Reporte de Caso
Canino invertido en apófisis frontal del maxilar: reporte de un caso
nverted canine in the frontal process of maxilla: a case report
Canino invertido en apófisis frontal del maxilar: reporte de un caso
Acta Odontológica Colombiana, vol. 8, núm. 1, pp. 75-82, 2018
Universidad Nacional de Colombia
Recepción: 29 Mayo 2017
Aprobación: 17 Noviembre 2017
Publicación: 01 Enero 2018
Resumen: Introducción: El canino permanente superior es el diente que presenta mayor porcentaje de erupción ectópica y, en la mayoría de los casos, queda impactado en el hueso. Esto sucede más en mujeres que en hombres. La formación de este diente va desde la pared anterior del seno maxilar, por debajo del piso de la órbita y desciende mesial y lingualmente. Presentación del caso: Paciente de sexo femenino de 25 años de edad, acude a la clínica dental tras ser diagnosticada, mediante una radiografía panorámica, con una pieza dental retenida de forma ectópica en la apófisis ascendente maxilar.Intervención: Se realiza una técnica quirúrgica bajo anestesia general, por lo que se coloca lidocaína con epinefrina para vasoconstricción. Se procede a realizar un colgajo semilunar cercano al fondo de saco vestibular superior. Una vez esto sucede, se cierra el colgajo y se toma una radiografía. Resultado: En referencia al defecto que deja el canino, no se observa una comunicación directa con seno maxilar, por lo que no se adiciona materiales para separar cavidades. Conclusión: Se recomienda la toma y análisis de una imagen panorámica y un registro de modelos para predecir un problema de retención entre los 9-10 años. En la toma de decisión para llevar al canino retenido hacia la arcada dental, se tiene que considerar la edad del paciente, forma radicular, posición dental, espacio del arco y riesgo quirúrgico.
Palabras clave: erupción ectópica de dientes, diente impactado, erupción dentaria.
Abstract: Background: The permanent canine tooth in the maxilla presents the highest rate of ectopic eruption, remaining bone-impacted in most cases. This is more common among women than among men. The development of this tooth goes from the anterior wall of the maxillary sinus below the floor of the orbit and descends mesially and lingually. Case presentation: A 25-year-old female patient who attended the dental clinic after being diagnosed, through a panoramic radiograph, with a tooth retained ectopically in the ascending process of the maxilla. Intervention: A surgical intervention was performed under general anaesthesia. In addition, lidocaine with epinephrine were administered locally to help vasoconstriction. A semilunar flap near the bottom of the vestibular sac was performed. Once the impacted canine was removed, the flap was closed and an x-ray was taken. Outcome: The defect left by the canine showed no evidence of a direct communication between the oral cavity and the maxillary sinus, so no materials were added to separate cavities. Conclusion: it is recommended to take and analyse a panoramic image and a register of models to predict potential retention tooth problems at the age of 9-10 years. In the decision to take a canine retained towards the dental arch, the patient's age, root shape, dental position, arch space and surgical risk must be considered.
Keywords: ectopic tooth eruption, impacted tooth, tooth eruption.
Introducción
La cronología del recambio dentario tiene al canino y tercer molar como los últimos dientes en ubicarse en la arcada dental. La erupción del canino maxilar en su lugar en la arcada no siempre ocurre de manera oportuna. La incorrecta o la no ubicación del canino maxilar puede deberse a múltiples factores como: alteración en el orden de erupción, pérdida temprana de dientes temporales o permanentes, perímetro de arco dental insuficiente, traumatismos, entre otros (1).
La erupción de dientes fuera de la ubicación en la arcada dental se conoce como erupción ectópica. Esta alteración de posición se empieza a manifestar desde el momento de la formación de su germen dentario. La literatura menciona que esta situación es más frecuente en mujeres que en hombres y es más común encontrarlo en palatino que en vestibular (1). Existe otra terminología conocida como hecterotópico, se utiliza cuando el diente se encuentra alejado de las estructura de los maxilares (2).
En su proceso de erupción, los caninos maxilares recorren al menos 22mm entre los 5 y los 15 años de edad, mostrando un movimiento significativo en dirección bucal entre los 10 y 12 años de edad. Previo a la etapa del recambio tienen una dirección palatina, aproximadamente ¾ de la raíz se encuentra formada antes de la erupción y se completa dos años después de ésta (2). Las diversas alteraciones de desarrollo pueden darse debido a su largo recorrido hasta llegar a su posición final en el arco dental. Su formación se da primero en la pared anterior del seno maxilar, por debajo del piso de la órbita, desciende mesial y lingualmente, alcanzando una posición vertical. Una vez que llega a 0,5 cm del plano oclusal, su erupción es guiada por la raíz del incisivo lateral permanente.
Cuando se presenta la erupción posterior a premolares o anterior a los incisivos, se conoce como transposición dental. La etiología de transmigración no ha sido aún definida, sugiriendo que puede tener determinantes genéticos que respondería a una aberración del desarrollo, así como la reabsorción de las raíces de los incisivos adyacentes. Debido a que estos son la guía para la erupción de los dientes en cuestión, también se pueden considerar como factores etiológicos locales los traumatismos, procesos infecciosos y tumores (1,3).
Se recomiendan métodos diagnósticos tempranos entre los 9 y 10 años de edad basados en análisis de modelos dentales y estudio imagenológico, mediante una radiografía panorámica. Lo anterior con el propósito de identificar y planificar soluciones a problemas como espacio insuficiente en la arcada, posición anómala del germen del canino o alteración del incisivo lateral que funciona como guía. Después de los 10 años, se puede realizar una revisión mediante palpación a nivel de la eminencia canina, para así poder realizar la respectiva confirmación de la presencia del germen.
Otros autores recomiendan la extracción del canino temporario cuando la trayectoria del canino sea por palatino, debido a que puede modificar y rectificar la trayectoria de erupción del canino permanente, disminuyendo la zona de mayor resistencia (1, 3, 4).
Los caninos retenidos horizontalmente o ubicados de forma invertida son los más difíciles de manejar, o los de pronóstico más pobre. Por lo que, estos dientes son proclives a extracción; asimismo, a mayor edad del paciente menores probabilidades de llevar el diente a la arcada dental (5).
La retención del canino puede ser intraósea (cubierto por hueso) o submucosa (cubierto por encía). Existen diversas causas con las que puede estar relacionado a la retención dental, entre ellas, tenemos: causas generales como las enfermedades sistémicas como síndrome de Gardner, disóstosis cleidocraneal o deficiencias endócrinas.
Dentro de las causas locales puede haber alteración en la longitud de la raíz del incisivo lateral o su ausencia, lo que no servirá de guía para la erupción del canino permanente. Además de éstas, tenemos las discrepancias óseas dentarias, pérdida temprana o retención prolongada del canino temporal, anquilosis, quistes o formaciones neoplásicas, dientes supernumerarios, dilaceraciones de la raíz, cierre prematuro del ápice, iatrogenia, trauma, etc. (5-7).
Como opciones de tratamiento están la observación, recolocación ortodóncica y la extracción. Si no hay síntomas ni procesos patológicos, se recomienda valorar la relación riesgo-beneficio y la observación puede ser la opción adecuada. La intervención y recolocación consiste en el tratamiento ortodóncico o quirúrgico-ortodóncico para llevar el diente retenido a la arcada. Ésta es la opción adecuada en el caso de caninos incluidos. La extracción se realiza cuando es imposible llevar el diente a la arcada o hay síntomas o procesos patológicos en los que es mayor el beneficio que el riesgo (8,10-13).
El propósito de este artículo es mostrar una posición poco común del diente canino superior. Posterior al análisis imagenológico, valorando las diferentes opciones terapéuticas se decidió realizar un procedimiento quirúrgico bajo anestesia general.
Caso clínico
Paciente de sexo femenino de 25 años de edad, acude a la clínica dental tras ser diagnosticada, mediante una radiografía panorámica, con un diente retenido de forma ectópica en la apófisis ascendente maxilar. Después de realizar un análisis de riesgo-beneficio, se decidió realizar una técnica quirúrgica para la respectiva extirpación. Al interrogatorio la paciente no reportó enfermedades sistémicas, traumatismos previos o sintomatología.
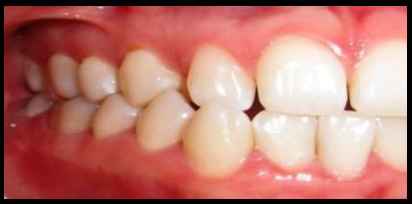
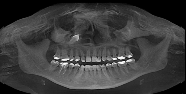
En la exploración intraoral observamos ausencia clínica del canino superior derecho y un diastema entre los dientes 12 y 14 (figura 1). Tras el estudio de la imagen panorámica (figura 2), se observa que el canino derecho superior se encuentra invertido y ubicado en la apófisis ascendente maxilar. Debido a la ubicación ectópica del diente, se solicita una tomografía axial computarizada de la estructura maxilofacial (TAC) (figura 3). Con esta ayuda diagnóstica se tendría mayor información sobre la ubicación exacta del canino derecho superior invertido (diente 13), situado en la apófisis ascendente maxilar, con respecto a las estructuras próximas o cercanas.



Técnica quirúrgica
Por la ubicación del diente, se decide realizar el procedimiento bajo anestesia general, por lo que se coloca adicionalmente lidocaína con epinefrina local para vasoconstricción. Se procede a realizar un colgajo semilunar cercano al fondo de saco vestibular superior. Se contornea la pieza dentaria y se realiza odontosección horizontal para retirar en tres segmentos (figura 4). Se realizó una valoración para revisar el defecto dejado por el canino y no se observó una comunicación directa con seno maxilar, por lo que no se adicionaron materiales para separar cavidades. Se cierra el colgajo y se termina la intervención quirúrgica sin complicaciones. Se tomó una radiografía final (figura 5).


Discusión
El diente canino está ubicado en el contorno del arco facial, permitiendo una adecuada proyección de la curvatura facial, movimientos de lateralidad y función de desgarro durante la masticación. Dentro del grupo de dientes anteriores, éste cumple un rol funcional y estético.
Aydin, Yilmaz y Yildrim (14) sugieren que la retención de caninos maxilares puede tener determinantes de origen genético, aunque en la mayoría de sus casos, la etiología multifactorial se da en relación a pérdida prematura de dientes temporales y una discrepancia óseo-dental. Pérez P., Pérez M. y Fierro (3) defienden que en muchos casos esta alteración se debe a su largo recorrido hasta llegar a su posición final en el arco dental. Autores como Montenegro y Hara (5) también recalcan que la causa de este tipo de alteraciones puede ser genética, pero, en su mayoría, la literatura indica que la causa más común para que se produzca esto es desconocida.
Maldonado et al. (13) resaltan que la decisión de manejo se basa en múltiples factores como edad del paciente, espacio en la arcada, ubicación de la pieza dental retenida. Estos autores sugieren extraer los caninos temporales (de encontrarse presentes) y realizar un tratamiento ortodóntico-quirúrgico para generar espacio en la arcada y guiar la trayectoria de los caninos hacia la arcada dental. Aunque existen casos en los que este tratamiento no se puede realizar, como el caso presentado, en que la posición invertida muy superior en el maxilar, junto con una oclusión aceptable del paciente y un mínimo espacio de diastema, conllevaron a la extracción quirúrgica.
Se debe evaluar siempre el riesgo-beneficio ante cualquier práctica terapéutica, así como el trabajo multidisciplinario para poder considerar diversas opciones antes de tomar una decisión final. Asimismo, López et al. (1) plantean que sólo es necesario realizar una extracción, si es que el órgano dentario tiene relación con algún proceso infeccioso y deba ser extirpado por un motivo que pueda llegar a comprometer la salud del paciente de alguna manera.
En contraposición a lo anterior, Cazar et al. (1) argumentan que se debe considerar la recolocación ortodóncica o quirúrgico-ortodóncica, cuando existe la necesidad de llevar el diente a la arcada dental por un espacio presente. Además, la condición de distancia, trayecto y posición lo deben hacer posible, sin embargo, cómo podemos ver en el caso presentado, esto no es realizable (3-9).
Conclusiones
Finalmente, es posible concluir:
· No existe una etiología específica para la retención del diente canino maxilar. Las causas son multifactoriales.
· Se recomienda la toma y análisis de una imagen panorámica y un registro de modelos para predecir un problema de retención entre los 9-10 años.
· La decisión para llevar al canino retenido hacia la arcada dental, tiene que considerar la edad del paciente, forma radicular, posición dental, espacio del arco y riesgo quirúrgico.
Bibliografía
1. López- Quiles J, López C, Baca R. Tercer molar ectópico en el ángulo de la mandíbula: caso clínico y revisión de la literatura. Cient Dent. 2008; 5 (2): 123-127.
2. Vera C, Mourelle M, Nova J. El canino superior incluido. Orientaciones diagnósticas y terapéuticas para el odontólogo general. Profesión dental; 2000; 3(6): 365-361.
3. Pérez M, Pérez P, Fierro C. Alteración en la erupción de caninos permanentes. Int. J. Morphol, 27(1), 2009:139-143.
4. Heimisdottir K, Bosshardt D, Ruf S, Can the severity of root resorption be acurately judged by means of radiograhs? Case report with histology. Am. J. Orthood Dentofacial Orthop, 2005; 128:106-9.
5. Montenegro M, Hara F. Tracción de canino retenido superior con aparatología ortodóntica fi ja Edgewise: Reporte de un caso. Revista Mexicana de Ortodoncia. 2013; 1 (1): 62-72.
6. Egido S, Arnau C, Juárez I, et al. Caninos incluidos, tratamiento odontológico. Revisión de la literatura. Av. Odontoestomatol 2013; 29 (5): 227-238.
7. Bustamante M, Prato R. Etiopatogenia y terapéutica de caninos permanentes ectópicos e incluidos [internet]. Rev Latinoamericana de Ortodoncia y Odontopediatría. 2010. [fecha de consulta: en marzo de 2017] Disponible en: https://www.ortodoncia.ws/publicaciones/2010/art-15/
8. Aguana K, Cohen L, Padrón L. Diagnóstico de caninos retenidos y su importancia en el tratamiento ortodóntico [internet]. Rev Latinoamericana de Ortodoncia y Odontopediatría. Edición electrónica 2010. [fecha de consulta: en marzo de 2017] Disponible en: https://www.ortodoncia.ws/publicaciones/2011/art-11/
9. Cazar M, Palacios D, Torres Y, et al. Tercer molar ectópico en seno maxilar: reporte de un caso. Revista ADM 2017; 74 (4): 202-205.
10. Ugalde F. Clasificación de caninos retenidos y su aplicación clínica. Revista ADM 2001; LVIII (1):21-30.
11. Canut JA. Ortodoncia Clínica y Terapéutica. 2. Edición. Barcelona, Ed Masson, 2000.
12. Chatem R. Maxillary canine impaction; a final twist in the tale? J. Orthod. 2004; 31:13-14.
13. Maldonado M, Hernández I, Dolores-Castillo L, et al. Retención de caninos permanentes: reporte de un caso y revisión de literatura. Revista de Odontopediatría Latinoamericana. 2012.
14. Aydin A, Yilmaz H, Yildrim D. Incidence of canine impaction and transmigration in a patient population. Dentomaxillo. Rad. 2004;33: 164-9.
15. Lucea A. Caninos incluidos. Tratamiento con biomecánica de arcos dobles. Ortodoncia Clínica, 2005; 8(1):22-32. .
16. Peck S, Peck L, Kataja M. The palatally displaced canine as a dental anomaly of genetic origin. Angle Orthod. 1994; 64(4):249-56.