Manejo odontológico integral de una paciente con disostosis cleidocraneal. Reporte caso
Integral dental management of a patient with cleidocraneal dysplasia. Case report
Manejo odontológico integral de una paciente con disostosis cleidocraneal. Reporte caso
Acta Odontológica Colombiana, vol. 12, núm. 2, pp. 115-125, 2022
Universidad Nacional de Colombia

Recepción: 20 Febrero 2022
Aprobación: 22 Abril 2022
Publicación: 15 Julio 2022
Resumen: Introducción: la disostosis cleidocraneal (CCD) es una enfermedad genética rara que compromete el desarrollo óseo normal, causada por la alteración en el gen RUNX2 del cromosoma 6p (brazo corto). Sus consecuencias incluyen alteraciones óseas por anomalías en la osificación intramembranosa que, a su vez, conllevan a modificaciones en el desarrollo de huesos craneales, claviculares, a múltiples efectos sobre el número, erupción y recambio dental, y a dificultades funcionales, además de cambios en la conducta psicosocial por el deterioro en la calidad de vida. Objetivo: describir el manejo integral de una paciente con disostosis cleidocraneal, a través de la revisión de caso clínico y el reporte de hallazgos en su mejoramiento, como consecuencia de tratamientos quirúrgicos, rehabilitación y el apoyo interdisciplinario, aspecto de gran importancia para este tipo de pacientes. Caso clínico: paciente femenina de 31 años con diagnóstico de CCD que asistió a la Unidad Estomatológica de la Universidad de Cartagena – Colombia, y fue remitida desde Genética por presentar inconformidad funcional y dolor leve durante la masticación de los alimentos por movilidad dental severa en dientes antero-inferiores; además, manifestó permanencia de órganos dentarios deciduos, la cual fue tratada en fases. Al tratamiento se le dio un enfoque multidisciplinar, lo que mejoró, de forma sustancial, la autopercepción e interrelación de la paciente en la sociedad.
Palabras clave: Cándida albicans, medicina oral, displasia cleidocraneal, arcada edéntula, estomatitis.
Abstract: Background: Cleidocranial dysostosis (CCD) is a rare genetic disease that compromises normal bone development, caused by the alteration in the RUNX2 gene of chromosome 6p (short arm), which causes bone alterations due to abnormalities in intramembranous ossification that leads to alterations in the development of cranial and clavicular bones and multiple effects on the number, eruption and dental turnover, which leads to functional difficulties, in addition to behavior and alterations in psychosocial behavior and the deterioration of their quality of life, Objective: To describe the comprehensive management of a patient with cranial Cleido dysostosis, through a clinical case review, reporting among the findings the improvement of the patient through surgical treatments, rehabilitation and interdisciplinary support, of great importance for this type of patient. Clinical case: A 31-year-old female patient with a diagnosis of CCD, who attended the Stomatology Unit of the University of Cartagena - Colombia, referred by the treating geneticist, due to functional discomfort and mild pain during chewing food due to severe dental mobility. in anterior-inferior teeth, also showing permanence of deciduous dental organs, which was treated in phases in which a multidisciplinary approach was given to its management, which substantially improved its self-perception and its interrelation in society.
Keywords: Oral medicine, Cleidocranial Dysplasia, Jaw edentulous, Candida albicans, Stomatitis.
Introducción
La disostosis cleidocraneal o también llamada displasia cleidocraneal (1) es una enfermedad genética rara que compromete el desarrollo óseo normal presentando clavículas aplásicas, persistencia de fontanelas abiertas, además de múltiples anormalidades dentales (2). Su prevalencia es de 1 - 9/1 000 000, ubicándose en el grupo de enfermedades huérfanas (3, 4).
El locus ubicado en 6p21 alberga el gen RUNX2 que regula la expresión de otros genes para lograr una correcta esqueleto-génesis en tiempo y espacio adecuado. Se presenta con herencia autosómica dominante, penetrancia completa y expresividad variable, por lo que es posible identificar varias personas afectadas en el grupo familiar con un amplio rango de manifestaciones (5-8).
El desconocimiento sobre esta enfermedad en el ámbito educativo, profesional y social ha conllevado a la falta de atención y al detrimento en la calidad de vida de los pacientes que la padecen, aunque la expectativa de vida es buena y rara vez se observa discapacidad significativa.
Las manifestaciones óseas en cabeza y cara propician una variación en la forma del cráneo adquiriendo las características de braquiocefálico con retardo en el desarrollo maxilar, en el recambio dental y presencia de múltiples dientes supernumerarios. Estas manifestaciones dentales, sumadas a la necesidad social y cultural de proyectar una imagen con una sonrisa agradable, conducen a complejos con dificultad en el manejo de las relaciones interpersonales. De esta manera, el odontólogo, por lo general, es el primer profesional que atiende a los pacientes afectados y es el responsable de realizar un diagnóstico acertado y una detección de las alteraciones dentales tempranas, para mejorar el pronóstico del paciente y establecer un plan de tratamiento efectivo que le proporcione una mejora en su calidad de vida (9-11).
Se presenta el caso de una paciente de origen rural, integrante de una familia donde se transmite el gen mutado, que ha visto afectada su inclusión social debido a las alteraciones dentales, agravadas por infecciones recurrentes, producto de la escasez de recursos económicos y la falta de atención en salud para atender su condición.
Presentación del caso
Mujer de 31 años, referida del macroproyecto de las estrategias para orientar a las personas y familiares que padecen un desorden de posible causa genética en la ciudad de Cartagena. Asiste a la Unidad Estomatológica de la Facultad de Odontología, de la Universidad de Cartagena, por presentar movilidad dental, principalmente en órganos dentarios antero-inferiores, referida desde hace aproximadamente 13 años; manifiesta, además, retardo en el recambio de sus órganos dentales deciduos a permanentes. En sus antecedentes médico- familiares cuenta que su padre y hermanos han sido sometidos desde hace aproximadamente 3 años a estudios genéticos para confirmación de disostosis cleidocraneal.
Durante la anamnesis, refiere que recibió a lo largo de su vida tratamiento odontológico consistente en exodoncias múltiples, sin una planificación apropiada, lo que conllevó a la pérdida de función masticatoria por los espacios edéntulos en ambos maxilares. De igual forma, comenta un posterior manejo protésico inadecuado, a través de la confección y adaptación de una prótesis parcial removible (PPR) que generó trauma en los rebordes alveolares y sobreinfecciones micóticas con Cándida albicans. El diagnóstico se fundamentó en los signos clínicos a nivel del paladar duro, estos son: la presencia de zonas blanquecinas que se despenden al raspado, alternadas con eritema a este nivel, un factor local predisponente (PPR desadaptada), pobre higiene y largo tiempo de uso (12, 13).
Según lo reportado en la literatura, el tratamiento inicial realizado para dicha infección fúngica, determina los azoles antifúngicos como fungistáticos e interferentes con la enzima lanosterol desmetilsa. Sin embargo, dada la limitada gama de medicamentos antifúngicos disponibles en el mercado, se prescribió ketoconazol 200 mg/ tabletas, 1 cada 12 horas por 5 días, y enjuagues con nistatina 100.000 UI 3 veces al día (12, 13).
Todos estos antecedentes, al parecer, han llevado a la paciente a adquirir un comportamiento reservado y un tanto hostil en sus relaciones interpersonales, comportamiento que fue posible apreciar durante la consulta odontológica. Se identificaron alteraciones genéticas; otros miembros del equipo indagaron por la parte familiar y de autoconcepto que afectan su calidad de vida. La paciente expresa que lo que más le afecta de su condición es su salud oral, por lo cual evita mirar a las personas a la cara, cubre su boca con la mano todo el tiempo y prefiere mantenerse distante en las conversaciones, en sus palabras: ¨por pena que me vean¨. El conocimiento de esta situación orientó al grupo a realizar el abordaje interdisciplinario con odontología para apoyar a la paciente en la búsqueda de alternativas resolutivas que permitieran su integración al grupo familiar.
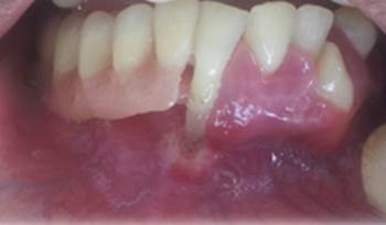
En el examen físico extraoral se observó frente prominente, tercio medio facial disminuido, hombros plegados con tórax excavado, dedos en forma de palillo de tambor, piel delgada y reseca, hiperfuncionalidad de la articulación del hombro. Mientras tanto, en la revisión estomatológica se observaron labios delgados, semi mucosas labiales con múltiples escamas y surcos labiales marcados, zona eritematosa intensa en mucosa palatina de paladar duro, con aspecto granular, halo blanquecino que delimita paladar duro del blando (Imagen 1); encía marginal y adherida con fuerte inflamación, eritematosa, engrosada, lisa y brillante de forma generalizada (Imagen 2); recesión gingival a nivel de encía marginal palatina y vestibular de órganos dentarios superiores. En la prueba de movilidad dental se evidencia movilidad horizontal y axial generalizada grado II y III para los órganos dentarios inferiores y II para los superiores.
A nivel de los rebordes alveolares superior e inferior se observó y palpó irregularidad acentuada en zona anterior, asociada a múltiples exodoncias realizadas en esta región de los maxilares.
Ayudas diagnósticas
A partir de la presentación del caso, los profesionales de la salud ordenaron ortopantomografía de los maxilares, en la cual se evidenciaron múltiples órganos dentarios retenidos a nivel de línea media del maxilar superior, región premolar inferior izquierda, tercer molar inferior derecho incluido (Imagen 3). Además, se observó amplia pérdida ósea vertical y horizontal.


Se evidencia prótesis parcial removible desadaptada, con presencia de órgano dentario adosado a esta hiperplasia fibrosa inflamatoria en zona anterior del reborde marginal anterior
elaboración propia

Con base en los hallazgos clínicos y radiográficos se diagnosticó estomatitis subprotésica tipo III en paladar duro y periodontitis crónica severa generalizada. A partir de allí, se decide iniciar un plan de tratamiento con manejo antimicótico para candidiasis oral de forma tópica y sistémica, educación oral acerca de la higiene de la prótesis y retiro de esta durante las noches, por un periodo de un mes.
Posteriormente, una vez mejorada la presentación de la estomatitis, y teniendo en cuenta la amplia movilidad dental y pérdida ósea de los maxilares, se explicó a la paciente la necesidad de realizar un plan de tratamiento completo, programándolo en dos tiempos quirúrgicos.
Una primera intervención consistió en la realización de cirugía preprotésica de exodoncias múltiples con regularización de rebordes alveolares, con el objetivo de eliminar los procesos infecciosos existentes y obtener un reborde adecuado para una posterior rehabilitación. Asimismo, se acordó, inmediatamente después de la cirugía, la colocación de una prótesis total removible superior, consiguiéndose de esta forma vencer la resistencia de la paciente a efectuarse el tratamiento ante el choque emocional de quedar totalmente edéntula.
La segunda parte del tratamiento se efectuó, aproximadamente tres meses más tarde, con la confección definitiva de prótesis totales removibles. Se procedió a informar a la paciente acerca de las características del procedimiento, los riesgos quirúrgicos y complicaciones postoperatorias, la cual aceptó voluntariamente y accedió al tratamiento firmando el consentimiento informado y realizándose los exámenes paraclínicos (TP, PPT, hemograma), cuyos resultados estuvieron dentro de los valores normales. La cirugía se realizó en dos tiempos: primero para el maxilar superior, luego para el inferior.
Descripción del procedimiento quirúrgico
Previa asepsia del campo, bajo anestesia local, se efectuaron exodoncias múltiples (Imagen 4) con regularización de rebordes alveolares para ambos maxilares, curetaje y remodelado del tejido gingival restante con puntos de sutura simple con ácido poliglicólico 4-0 (Imagen 5); se colocó la prótesis total removible superior temporal inmediatamente después de la cirugía, la cual cursó sin complicaciones.


Fase restauradora
Aproximadamente, a los 3 meses de haberse realizado la fase quirúrgica se procedió a la confección de la prótesis total removible bimaxilar (Imagen 6), con la cual la paciente comenta sentirse a gusto y estar totalmente adaptada a la misma, mostrando más confianza y seguridad al relacionarse con otras personas y mejoría considerable con su función masticatoria. Se realizaron controles protésicos periódicos durante un mes, en el que se realizaron ajustes mínimos oclusales.

Consideraciones éticas
El actual reporte de caso hace parte del macroproyecto de las estrategias para orientar a las personas y familiares que padecen un desorden de posible causa genética. Este reporte no presentó impedimentos éticos, de acuerdo con lo contemplado en la Resolución 8430 de 1993 del Ministerio de Salud y Protección Social de Colombia, y en el reglamento de ética de la Universidad de Cartagena, tal como consta en el Acta nº 46 del Comité de investigación el día 24 de mayo de 2012. A la paciente tratada se le explicó el tratamiento propuesto y le fueron respetados los principios de no maleficencia y beneficencia. La paciente aceptó de forma voluntaria y diligenció el consentimiento informado firmando con identificación y huella los tratamientos propuestos por el equipo interdisciplinario de odontología. Las fases de estos tratamientos fueron ejecutadas y registradas con su autorización.
Discusión
Pierre Marie y Paul Sainton describieron por primera vez la CCD en 1898 (1), pero, solo hasta 1975 fue reportado el primer caso en la literatura de dicha patología (2). Este es un raro trastorno autosómico dominante con alta penetrancia y amplia variación en la expresividad clínica, causada generalmente por haploinsuficiencia de RUNX2, cuyo gen, que fue mapeado en el cromosoma 6p21, tiene un papel importante durante la diferenciación osteoblástica. Runx2 se expresa débilmente en células mesenquimales no comprometidas y su expresión está regulada al alza en preosteoblastos, alcanza el nivel máximo en osteoblastos inmaduros y se regula a la baja en osteoblastos maduros (9, 14, 15), lo cual tiene repercusiones a nivel óseo facial y dental.
La CCD afecta a varias personas, miembros de una gran familia debido a su principal componente hereditario y la secuencia RUNX2; se ha revelado un componente hereditario de la secuencia, además, de nueve variaciones diferentes en 11 familias, 8 de las cuales fueron patogénicas y una figuró como una nueva inserción macroscópica (15, 16). Esto se encuentra reflejado en la historia clínica de la paciente actual, dos de sus hermanos y dos de sus hijos presentan rasgos clínicos de la patología.
A nivel físico se evidencian signos como baja estatura, falanges terminales cortos, mala alineación vertebral y pies planos. De igual forma, a nivel del sistema estomatognático pueden presentarse características dentales especiales como hiperdoncia (dientes supernumerarios), causantes de alteraciones en la alineación dental como apiñamiento, tal como lo afirma Roberts T et al. (17) en su artículo de revisión literaria Cleidocranial dysplasia: a review of the dental, historical, and practical implications with an overview of the South African experience, realizado en el año 2013. Al respecto, las características físicas coinciden con las del caso presentado, mientras que, las características dentales de hiperdoncia no se encontraron presentes; se evidenció deterioro amplio de la salud dental y maxilar, e incluso ausencia de órganos dentarios.
No obstante, en el reporte de caso realizado Symkhampha et al. (18) se refieren a 40 pacientes que asistieron a consulta, a quienes se les tomaron radiografías panorámicas en las que evidenciaron que el número medio de dientes supernumerarios y dientes impactados fue de 6,1 y 8,3, respectivamente; los dientes supernumerarios y dientes impactados se concentraron en las regiones anterior y premolar. El paralelismo de Ramus fue dominante en 32 pacientes (80,0%) y en 5 pacientes (12,5%), quienes mostraron una sutura mandibular de línea media y reflejaron alteración en la erupción dentaria. Para el caso presente de la paciente, en la radiografía panorámica se reconocieron dientes impactados en la región molar, lo que discrepa de lo encontrado por Symkhampha K et al. (18), pero, concuerda con dientes impactados en la región anterior. Por lo tanto, para el manejo dental de las anomalías craneofaciales de la CCD, se esperan resultados que devuelvan a la paciente tanto su funcionalidad como estética dental.
De acuerdo con lo anterior, el enfoque multidisciplinario permite tener miradas de distintas disciplinarias para la modificación y ajuste en salud, a fin de tender puentes entre las disciplinas y plantear soluciones dependiendo del tipo y la gravedad de las alteraciones dentales que se presentan e interactúan (19). Así, son los especialistas odontológicos con sus subespecialidades y un equipo conformado por cirujanos orales y maxilofaciales, ortodoncistas y rehabilitadores orales los encargados de llevar a cabo el tratamiento integral de estos pacientes (9). Además de lo reportado por Roberts et al. (17) sobre este enfoque integral del paciente, es relevante agregar, al componente del equipo interdisciplinario, el apoyo psicológico que deben recibir estos pacientes para su aceptación personal y relacionamiento social.
Sobre el plan de tratamiento odontológico que se llevó a cabo en el presente caso, es importante destacar que este fue acordado de forma interdisciplinar por especialistas odontológicos, basado en la evidencia y la clínica de la paciente, quien presentaba una avanzada enfermedad periodontal e infección fúngica que no ayudaba al pronóstico oral, por lo que se decidió practicar la exodoncia de todos los órganos dentarios y la posterior rehabilitación oral con prótesis total bimaxilar. Esto discrepa con el caso presentado por Ghomi et al. (20), en el que, para rehabilitar una paciente con disostosis craneofacial, se decidió dejar en boca los órganos dentarios presentes, rehabilitados con prótesis fija y prótesis removibles bimaxilares, gracias a su adecuada salud periodontal, la cual no presentaba nuestra paciente.
La disostosis cleidocraneal como todas las enfermedades que incluyen alteraciones óseas provoca en el individuo un desequilibrio, no sólo en su aspecto físico, sino en el ámbito social, lo que puede repercutir en su comportamiento y relaciones interpersonales, así como en su autoestima y autopercepción. Por ello, es de vital importancia la intervención del odontólogo en el tratamiento multidisciplinario de estos pacientes, para asegurarles, a través de un tratamiento quirúrgico y restaurativo, la mejora en su calidad de vida.
No obstante, en la actualidad, en Colombia, la disostosis cleidocraneal lamentablemente no se encuentra incluida dentro del listado de enfermedades huérfanas registrado en la Resolución 430 del 2013 del Ministerio de Salud y Protección Social, por lo tanto, no se brinda al paciente, por parte del Estado, las medidas tendientes a garantizar la protección social, ni tratamientos preventivos, paliativos ni restauradores que mejoren su salud oral ni general.
En consecuencia, es indispensable que al paciente con CCD se le brinde un manejo interdisciplinario, haciendo énfasis no sólo en las necesidades de salud físicas del paciente, sino en los aspectos sociales y motivacionales que interactúan con dicha patología. Estos aspectos deben ser comprendidos por el odontólogo, para que se pueda dar un enfoque holístico que le permita una mejor percepción de sí mismo, de su familia y un mejor desempeño en la sociedad.
Como una limitación de este reporte de caso se puede establecer la falta de participación del área de la psicología en el caso.
Contribuciones de los autores
Todos los autores participaron en la redacción de esta presentación de caso y revisión de literatura. Juan Giraldo redactó el primer borrador que fue revisado en reunión por los autores. Los doctores Malambo, López, Carbonell y Giraldo se encargaron de la corrección, estructuración y diseño del trabajo. Todos los autores leyeron, aprobaron y contribuyeron al documento final.
Conflictos de interés
Los autores declaran no tener ningún conflicto de interés.
Referencias
1. Singh S, Sharma S, Singh H, Wazir ND. Cleidocranial Dysplasia: A Case Report Illustrating Diagnostic Clinical and Radiological Findings. J Clin of Diagn Res. 2014; 8(6): ZD19-ZD20
2. Ahmed S, Shaheen MN, Hameed F. Delayed Eruption in Cleidocranial Dysplasia. J Ayub Med Coll Abbottabad. 2020; 32(3): 405–407. Disponible en: https://pubmed.ncbi.nlm.nih.gov/32829560/
3. Farrow E, Nicot R, Wiss A, Laborde A, Ferri J. Cleidocranial Dysplasia: A Review of Clinical, Radiological, Genetic Implications and a Guidelines Proposal. J Craniofac Surg. 2018; 29(2): 382–389. https://doi.org/10.1097/SCS.0000000000004200
4. Kassé AN, Limam SO, Diao S, Sané JC, Thiam B, Sy MH. Fracture-décollement de l’épiphyse médiale de la clavicule: à propos de 6 cas et revue de la littérature [Fractura-separación de la epífisis clavicular medial: unos 6 casos y revisión de la literatura]. Pan Afr Med J. 2016; 25: 19. https://doi.org/10.11604/pamj.2016.25.19.8787
5. Daneshjoo O, Ebrahimi P, Salehi LB, Pizzuti A, Garshasbi M. Identification of a novel RUNX2 gene mutation and early diagnosis of CCD in a cleidocranial dysplasia suspected Iranian family. Clin Case Rep. 2020; 8(12): 2333–2340. https://doi.org/10.1002/ccr3.2825
6. Kreiborg S, Jensen BL. Tooth formation and eruption - lessons learnt from cleidocranial dysplasia. Eur J Oral Sci. 2018; 126(1): 72–80. https://doi.org/10.1111/eos.12418
7. Komori T. Regulation of Proliferation, Differentiation and Functions of Osteoblasts by Runx2. Int J Mol Sci. 2019; 20(7): 1–11. https://doi.org/10.3390/ijms20071694
8. Radhika C, Mohita M, Payal C, Kalpana B, Saurabh C. Hypodontia and Delayed Dentition as the Primary Manifestation of Cleidocranial Dysplasia Presenting with a Diagnostic Dilemma. Case Rep Dent. 2012. 2012(1): 1–4 https://doi.org/10.1155/2012/262043
9. Kreiborg S, Jensen BL. Tooth formation and eruption - lessons learnt from cleidocranial dysplasia. Eur J Oral Sci. 2018; 126(1): 72–80. https://doi.org/10.1111/eos.12418
10. Dinçsoy–Bir F, Dinçkan N, Güven Y, Baş F, Altunoğlu U, Kuvvetli SS, et al. Cleidocranial dysplasia: Clinical, endocrinologic and molecular findings in 15 patients from 11 families. Eur J Med Genet. 2017; 60(3): 163–168. https://doi.org/10.1016/j.ejmg.2016.12.007
11. Albu ŞD, Pavlovici RC, Imre M, Ion G, Ţâncu AMC, Albu CC. Phenotypic heterogeneity of non-syndromic supernumerary teeth: genetic study. Rom J Morphol Embryol. 2020; 61(3): 853–861. https://doi.org/10.47162/RJME.61.3.23
12. Lewis MAO, Williams DW. Diagnosis and management of oral candidosis. Br Dent J. 2017; 223(9): 675–681. https://doi.org/10.1038/sj.bdj.2017.886
13. Taylor M, Brizuela M, Raja A. Oral Candidiasis. Treasure Island: StatPearls Publishing; 2022. Disponible en: https://www.ncbi.nlm.nih.gov/books/NBK545282/
14. Komori T. Regulation of Proliferation, Differentiation and Functions of Osteoblasts by Runx2. Int J Mol Sci. 2019; 20(7): 1–11. https://doi.org/10.3390/ijms20071694
15. Zubillaga MD, Lapeña–López de Armentia S. Disostosis cleidocraneal. Revisión de once casos en cinco generaciones. An Pediatr. 2008; 69(2): 162–166. https://doi.org/10.1157/13124897
16. Bufalino A, Paranaíba LMR, Gouve AF, Gueiros LA, Martelli–Júnior H, Junior JJ, et al. Cleidocranial dysplasia: oral features and genetic analysis of 11 patients. Oral Diseases. 2012; 18(2): 184–19. https://doi.org/10.1111/j.1601-0825.2011.01862.x
17. Roberts T, Lawrence S, Beighton P. Cleidocranial dysplasia: a review of the dental, historical, and practical implications with an overview of the South African experience. Oral Surg Oral Med Oral Pathol Oral Radiol. 2013; 115(1): 46–55. https://doi.org/10.1016/j.oooo.2012.07.435
18. Symkhampha K, Ahn GS, Huh KH, Heo MS, Lee SS, Kim JE. Radiographic features of cleidocranial dysplasia on panoramic radiograph. Imaging Sci Dent. 2021; 51(3): 271–278. https://doi.org/10.5624/isd.20201007
19. Sánchez–Bandala MA. El trabajo multidisciplinario en salud pública. La aportación de una mirada antropológica. Rev Salud Pública. 2017; 21(1): 65–67. https://doi.org/10.31052/1853.1180.v21.n1.16605
20. Ghomi AJ, Soufdoost RS, Barzegar MS, Hemmati MA. Oral Rehabilitation with Removable Partial Denture of a Patient with Cleidocranial Dysplasia. Case Rep Dent. 2020; 2020(1): 1–6. https://doi.org/10.1155/2020/8625842