Originales

Recepción: 20 Febrero 2019
Aprobación: 30 Abril 2020
Publicación: 12 Mayo 2020
DOI: https://doi.org/10.24188/recia.v12.n1.2020.702
Resumen: Describir la presencia de un granuloma inflamatorio crónico en un gallo Jacab colombiano y su posible relación con la aplicación de fármacos en esta especie, en Montería, Córdoba 2019. Un gallo Jacab (Gallus gallus domesticus), de 2 años de edad ingresa a cirugía en la clínica veterinaria “Julio E. Cuervo”, por presentar un nódulo de 2 cm en la región alar izquierda, de dos meses de evolución, se tomaron imagen radiológica latero lateral, evidenciando una lesión de 2 cm de diámetro en la región escapulo-humeral, se realizó extirpación quirúrgica bajo anestesia inhalada con Isoflurano 2 CAM y se envió a evaluación histopatológica. El diagnóstico patológico describe una neoformación móvil, indolora y consistencia firme, color pardo amarillenta, de 1,5 cm de diámetro, los cortes muestran una lesión, constituida por proliferación de fibras elásticas y fibroblastos fusiformes e histiocitos, con reacción inflamatoria linfoplasmocitoria de aspecto granulomatosa, tratándose de un granuloma inflamatorio crónico.
Palabras clave: Ave de corral, nódulo, plasmoma, quiste dermoide.
Abstract: To describe the presence of a chronic inflammatory granuloma in a colombian Jacab cock and its possible relation with the application of drugs in this species in Montería, Córdoba 2019. A 2-year-old Jacab (Gallus gallus domesticus) enters the veterinary clinic “Julio E. Cuervo”, presenting a 2 cm nodule in the left wing region, having already two months of evolution, lateral radiological imaging lateral, evidencing an injury of 2 cm diameter in the scapulohumeral region, surgical removal was performed under inhalation of anesthesia with isoflurane 2 CAM and sent to histopathological evaluation. The pathological diagnosis describes a firm, painless neoplasm with firm consistency, yellowish brown color and diameter of 1.5 cm. The lesions show consistent proliferation of elastic fibers and fusiform fibroblasts and histiocytes with granulomatous lymphoplasmacytic inflammatory reaction, diagnosis suggest a chronic inflammatory granuloma.
Keywords: Poultry, nodule, plasmoma, dermoid cyst.
INTRODUCCIÓN
Las aves de combate, con frecuencia presentan lesiones inflamatorias en piel y en otros tejidos, como resultado de la actividad zootécnica para lo cual son criados (1), en Colombia los gallos finos de raza Jabaq, son utilizados en combates, actividad que es lisita en el territorio nacional, amparados por la Ley 1774/2016 (2). Después del combate y derivado del mismos el ave, desarrolla las lesiones traumáticas que son frecuentes (3), presentándose abscesos de etiología bacteriana, los cuales se caseifican, apareciendo nódulos en la epidermis, siendo incómodos para el animal. En otros casos, la aplicación inadecuada de fármacos para aumentar el metabolismo o antibióticos, pueden producir granulomas por cuerpo extraño (1,4). Otra posible causa de la formación de lesiones dermatológicas en aves, son los quistes por plumas, sarcomas, lipomas, ateromas, quiste dermoide, quiste epidermoide y foliculitis (5).
Los granulomas, son un tipo de inflamación crónica, con predominio de células inflamatorias como macrófagos, aunque pueden presentarse linfocitos, eosinófilos y neutrófilos (6,7). Los macrófagos son derivados de monocitos sanguíneos, que en algunos casos se transforman en células gigantes y multinucleares, que está contenido por fibras de colágenas, haciendo que el material sea de aspecto fibroso y por eso su consistencia dura, que al corte se ven de aspecto granular. Las células por los general son grandes, con núcleo excéntrico y vesiculado, con citoplasma extendido y pálido (8,9); y las causas de los granulomas, son: infecciones bacterianas (Mycobacterium avium, y Corynebacteriumpyogenes), el suministro parenteral de sustancias oleosas, polisacáridos y cuerpos extraños (7,10,11).
El objetivo del presente caso fue describir la presencia de un granuloma inflamatorio crónico en un gallo fino Jacab (Gallusgallus domesticus), de origen traumático o farmacológico en Montería, Córdoba, Colombia en 2019.
MATERIALES Y MÉTODOS
Un gallo fino de pelea de raza Jacab (Gallus gallus domesticus), de 2 años de edad ingresó al servicio de consulta en la clínica veterinaria “Julio E. Cuervo”, de la Universidad de Córdoba, en Berasteguí, Ciénega de Oro, Córdoba (8º 52’N, 75º O), el gallo presentó un nódulo de 2 cm de diámetro en la región alar izquierda (escapulo-humeral), de dos meses de evolución posterior a un combate. El paciente presenta desparasitación y vacunación contra Newcastle vigente. Existe información de tratamiento farmacológico para tratar las lesiones del combate con penicilina benzatínica, 60 días antes.
La evaluación radiográfica lateral derecha izquierda, evidenció una masa radio opaca, única no infiltrante que presuntivamente puede ser una neoplasia y no de un absceso caseificado (Figura 1).

Se realizó escisión y evaluación histológica, con el fin de determinar el origen, fue premedicado con acepromacina 0.01 mg/kg subcutáneo, induciendo la anestesia con ketamina 3 mg/kg intramuscular (IM) en el músculo bíceps femoral y se anestesio con mascarilla con isoflurano 2 CAM, y se manejó tramadol 1 mg/kg, meloxicam 0.1 mg/kg y amoxicilina clavulonato 20 mg/kg IM.
Se pudo observar que el nódulo, no estaba adherido al tejido muscular y que su presencia solo era subcutánea (Figura 2), una neoformación móvil de consistencia firme, color pardo amarillenta aproximadamente y de 1cm x 1.5 cm (Figura 3).


RESULTADOS
Se presentó paresia en el ala izquierda, donde se encuentra el nódulo y a la palpación se describe un nódulo de consistencia firme, peduncular y solo adherido a la piel, no manifiesta inflamación o dolor; Los parámetros fisiológicos mostraron temperatura 41.3ºC, frecuencia cardíaca 200 lpm, frecuencia respiratoria 24 rpm y mucosas cloacales rosadas y húmedas, el ave con actitud atenta y activa, con una condición corporal 3.5 y peso 2300 gr.
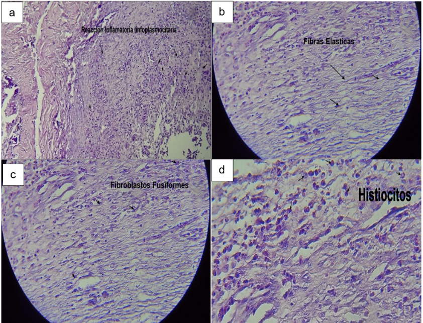
La muestra fue enviada a laboratorio de histopatología para el diagnóstico definitivo, se describe, una muestra con proliferación de fibras elásticas y fibroblastos fusiformes e histiocitos, reacción inflamatoria linfoplasmocitoria de aspecto granulomatosa, y por lo tanto tratándose de un granuloma inflamatorio crónico (Figura 4).

El ave fue dada de alta con terapia antibiótica con amoxicilina clavulonato 20 mg/kg oral cada 12 horas por 6 días, desinfección de la herida quirúrgica con clorhexidina cada 12 horas por 8 días, a los 10 días fueron retirados los puntos de sutura con una herida cicatrizada, se hizo seguimiento del paciente dos meses después del procedimiento sin recidivas.
DISCUSIÓN
Las aves domésticas presentan una gran variedad de lesiones dermatológicas, dentro de las cuales se encuentran quistes, neoplasia, abscesos y los mencionados granulomas (8,12,13), el origen es multifactorial incluyendo virus como la Viruela, Mycobacteriumavium, hongos y factores tumorales (13), como la lesión descrita en el gallo de combate se trataba de un granuloma de acuerdo con la descripción histológica, nos centraremos en discutir el posible origen del mismo, así como su pronóstico.
Un granuloma es una masa de células inmunes, que aparecen cuando el sistema inmunológico intenta aislar sustancias extrañas, que ha sido incapaz de eliminar (11), dichas sustancias incluyen organismos infecciosos como bacterias (9,15,17), como el Mycobacteriumavium (8) y hongos (Criptococcus spp) (14). Otros materiales como queratina y sutura, se han descrito como causantes (15,16). Un granuloma es, por tanto, un tipo especial de inflamación que puede ocurrir en una amplia variedad de enfermedades (6), siendo el adjetivo granulomatosa, una lesión que se caracteriza por la presencia de granulomas o a un proceso inflamatorio de evolución crónica (11).
La denominación granuloma, se otorga a una lesión nodular pequeña, lo cual puede ser desde una lesión tipo nevus, así como neoplasia (6,7); por lo tanto, la lesión macroscópica encontrada en el ejemplar concuerda con este argumento, se trata de un granuloma, del cual se desconocía el origen. Debido al antecedente traumático infeccioso, se pensó que el origen bacteriano era la causa como lo describen Blackmore y Keymer (8), Pass (12) y Speer (13).
La diferenciación histológica es importante pues una lesión nodular a la que definimos como granuloma puede no serlo. Un granuloma es una agrupación organizada de macrófagos, las cuales están asociados en cúmulos, con unión estrecha, que en ocasiones dificulta la observación individual de las células (9), similar a la descripción y con el aspecto histológico de la muestra presentada en este artículo (Figura 4). Es importante resaltar que la presencia de macrófagos de manera abundante, pero en disposición dispersa no se considera un granuloma (6,7).
En ocasiones los macrófagos se fusionan y forman una célula gigante multinucleada, denominada células epitelioides (18), este proceso no siempre pasa en todos los granulomas. Estas células epitelioides se diferencian claramente de los macrófagos, porque su núcleo es más grande y de forma fusiforme, además a la tinción de hematoxilina-eosina se observan de color eosinófilo (6,11).
Los granulomas también pueden tener: neutrófilos, eosinófilos, linfocitos, células gigantes multinucleadas, fibroblastos y una matriz de colágeno (11), esta característica histológica fue evidente en el caso presentado en el presente artículo (Figura 4d), y es de acuerdo al tipo de célula predominante, que se determina la clasificación de un granuloma, es importante entender que no solo es el tipo de célula predominante la base para la clasificación, sino otros componentes como la necrosis, el material presente y los acumulos celulares (6,7). Por ejemplo, algunos granulomas a simple vista presentan material blanquecino, al que se le nombra material caseificado. Este tipo, es muy frecuente en enfermedades causadas por Mycobacterium spp (6,18), el cual es ausente en el caso clínico presentando. Pero, no todo granuloma en piel o tejido subcutáneo, siempre tiene un componente infeccioso (15), puede ser causado por una neoformación, debido a sustancias insolubles, que en el presente caso pudo ser el verdadero responsable de su formación (15,16). El uso de suspensiones oleosas como la penicilina benzatínica, pudo ser la responsable del granuloma, estudiado en el presente trabajo. Esta sustancia poco soluble en tejido subcutáneo, con un pKa alcalino, requiere para su absorción un medio básico, con un pH 7.4 mínimo (19), es por esta razón que un error en la aplicación del producto, implica que debido a su densidad y farmacocinética, se presenta dificulta en la absorción y es esta la explicación, de cómo el fármaco puede comportarse como un cuerpo extraño (4,19). La presencia del fármaco induce la presencia de macrófagos, otras células de carácter inflamatorio, neovascularización, fibroblastos y fibrillas colágenas, lo que se describe en el caso, sugiriendo la posible causa del granuloma, en este orden de idea la evolución, donde se observa un reemplazo de los macrófagos por fibroblastos y un progresivo aumento de fibras colágenas, hasta formar una cicatriz (14). Los macrófagos pueden desencadenar una proliferación local de fibroblastos y además estimular la formación fibras de colágeno (6) y varios granulomas, presentan células gigantes histiocitarias multinucleadas, con citoplasma y núcleo parecido a macrófago (6,7,11), estas células gigantes se forman según la concepción clásica, que prevalece por división sucesiva de núcleos sin división del citoplasma (plasmodio), como se describe en el caso clínico de este trabajo. Algunos autores describen esta presencia, por fusión de macrófagos, dentro de las células gigantes, siendo el más frecuente el de las células de Langhans y la reacción a cuerpo extraño (20) (Figura 4), mientras que la diferenciación entre células de Langhans y granuloma, es que la primera el núcleo se dispone en la periferia, con forma de herradura (20), lo cual no se describe en el caso (Figura 4); ya que la reacción a cuerpo extraño (granuloma), el núcleo se dispone irregularmente, vesiculoso y con nucléolo notorio; el citoplasma es ligeramente basófilo (15), lo cual se observa en la vista microscópica del caso. En algunos casos, se observa células relacionadas con partículas extrañas y fagocitosis (15).
Los granulomas de tipo reumático, puede haber células epiteloideas, no así células gigantes, encontrándose degeneración fibrinoide del colágeno (11), no evidenciable en nuestro caso, además la presencia de un nódulo de Aschoff, en su fase del nodulillo celular, es específico de la enfermedad reumática y se presenta en órganos como el corazón (11), tejido no lesionado en este paciente y en cuando al granuloma cicatrizal típico, se puede ver un acumulo de fibras colágenas, entre las cuales se encuentra fibroblastos de aspecto fusiforme, además de histiocitos, mientras que un granuloma anular es más pequeño y se acompaña siempre de mucinosis en el centro del granuloma (6,7), un aspecto no descrito en el caso documentando, por esto descartamos que el granuloma haya tenido un origen traumático cicatrizal y sus características típicas con marcada tendencia a la fibrosis y hialinización (6), en la fase inicial está hecho de macrófagos jóvenes en los que pueden demostrarse las partículas de sílice, la reacción de la célula macrófaga frente a este material tiene dos efectos: formación de fibrillas reticulares y colágenas por una parte, y necrosis, por otra (6). Las fibrillas tienden a la hialinización, mientras las partículas liberadas en la necrosis son fagocitas por otros macrófagos en la periferia.
En cuanto al granuloma por Mycobacterium avium, el tamaño es pequeño, de 1-2 cm, blanquecino grisáceo, vítreo, por transparencia suele verse un centro amarillento, lo cual no concuerda con la descripción del caso, histológicamente, se caracteriza porque tiene tres partes, un foco central caseoso, corona de células epiteloideas y en la periferia infiltración linfoplasmocitaria (8), pero es fundamental para su diagnóstico la presencia de células epiteloideas, que se disponen radialmente, como empalizada, alrededor del centro caseoso (12), esta característica no fue evidenciable en la descripción histológica del caso (Figura 4), además de observarse células gigantes de Langhans, tampoco evidentes en el gallo; además, el granuloma de la sarcoidosis es similar al granuloma por Mycobacterium pero no se puede ver el centro caseoso (12), tampoco presente en este caso.
Otros tipos de granulomas descritos por la literatura son los que causan otras enfermedades infecciosas, como la Yersinia spp, los cuales presentan una corona de macrófagos o células epiteloideas alrededor de un foco central supurado (18), hay un granuloma supurativo lo cual no concuerda con el caso si se piensa en un granuloma por herida de espuela, el cual sería similar al causado por el rasguño de un gato (18).
En conclusión, en el presente caso, describe la presencia de un granuloma inflamatorio crónico en un gallo fino, de origen posiblemente farmacológico, por el uso de betalactámicos.
Conflicto de intereses
Los autores declaramos no tener conflictos de interés con respecto al trabajo aquí publicado
REFERENCIAS
1. Murillo LO, Gutiérrez Flores JE. Manual de crianza, raza, entrenamiento y reglamento del gallo de combate [Tesis]. Universidad Nacional Agraria: Nicaragua; 2012. URL disponible en: http://repositorio.una.edu.ni/1463/1/tnl01m977.pdf
2. Montes D, De La Ossa J, Fernández A. Ética Animal ¿Se Aplica En Colombia? Rev Colomb Cienc Anim. 2010; 2(2):377–384. https://doi.org/10.24188/recia.v2.n2.2010.319
3. Astaíza Martínez JM, Benavides Melo CJ, Chaves Velásquez CA, Pascuaza Erazo DA, Pascuaza Erazo ÓI. Estado de bioseguridad en criaderos de gallos de pelea (Gallus gallus) en Yacuanquer, Nariño, Colombia. Rev Med Vet. 2015; 30:37–3523. https://doi.org/10.19052/mv.3608
4. Molina VM. Farmacología veterinaria. 1st ed. Lasallista: Medellín; 2016.
5. Majo N, Dolz R. Atlas de la necropsia aviar. Zaragoza: Servet; 2012.
6. Grant MM, Jubb K, Palmer´s. Pathology of Domestic Animals. St Louis: Saunders Elsevier; 2007.
7. Trigo FJ, Valero G. Patología General Veterinaria. México DF: Universidad Nacional Autónoma de México; 2013.
8. Blackmore D, Keymer I. Cutaneous diseases of wild birds in Britain. Br Birds. 1969; 62(1948):316–331. https://britishbirds.co.uk/wp-content/uploads/article_files/V62/V62_N08/V62_N08_P316_331_A065.pdf
9. Zumla A, James GD. Granulomatous infections: etiology and classification. Clin Infect Dis. 1996; 23(1):146–158. https://doi.org/10.1093/clinids/23.1.146
10. Trigo FJ. Patología Sistémica Veterinaria. Vol. 27. México DF: Mc Graw-Hill Intermericana; 1998.
11. Kumar V, Abbas A, Nelson F, Aster JC. Robbins y Cotran. Patología estructural y funcional. Octava. St Louis: Elsevier; 2010.
12. Pass DA. The pathology of the avian integument: A review. Avian Pathol. 1989; 18(1):1-72. https://doi.org/10.1080/03079458908418580
13. Speer BL. Avian Medicine. Elsevier. St Louis: Elsevier; 2016. http://dx.doi.org/10.1016/B978-0-7506-3598-1.50011-4
14. Ferreira de Castro P. Afecções cirúrgicas em aves : estudo retrospectivo. [Tesis M.Sc]. Universidade de Sâo Paulo; Brasil: 2010. URL available in: http://www.teses.usp.br/teses/disponiveis/10/10137/tde-09022011-144207/publico/Patricia_Ferreira_Castro.pdf
15. Izquierdo MJ, Requena L. Foreign body granulomas. Actas Dermo Sifiliogr. 1999; 90(11):543–57. https://www.actasdermo.org/es-granulomas-por-cuerpos-extranos--articulo-13003554
16. López C, Manchola J, Medina S, Moreno S. Reacción granulomatosa de tipo cuerpo extraño secundaria a biomateriales y su respuesta inmunológica: Revisión sistemática de la literatura. Salut Sci Spiritus. 2016; 2(1):21–28. https://revistas.javerianacali.edu.co/index.php/salutemscientiaspiritus/article/view/1385
17. Fernández AE, Cáceres-Dittmar G, Sánchez MA, Tapia FJ. Factores de regulación en la formación del granuloma. Dermatologóa Venez. 1993; 31(2):47–53. http://revista.svderma.org/index.php/ojs/article/view/710
18. Schmidt RE, Reavill DR, Phalen DN. Pathology of pet and aviary birds. Second. Wiley-blackwell; 2015.
19. Botana LM. Farmacología Veterinaria: Fundamentos y aplicaciones terapéuticas. 1st ed. Panamericana, editor: Buenos Aires; 2016.
20. Molina VM, Oviedo C. Langerhans Cell Histiocytoma in canine: a case report in Colombia. Rev CES Med Vet y Zootec. 2014; 9(1):139–145. http://revistas.ces.edu.co/index.php/mvz/article/view/3000
Información adicional
Como citar (Vancouver).: Oviedo-Peñata CA, Molina Díaz VM. Descripción morfológica y anatómica de un granuloma inflamatorio crónico en Gallo Jabaq colombiano (Gallus gallus domesticus). Rev Colombiana Cienc Anim. Recia. 2020; 12(1):e702. https://doi.org/10.24188/recia.v12.n1.2020.702