REPORTE CLÍNICO
“Cirugía guiada de implantes inmediatos, utilizando la técnica Socket Shield”
“Guided immediate implant surgery, using the Socket Shield technique”.
“Cirugía guiada de implantes inmediatos, utilizando la técnica Socket Shield”
International journal of interdisciplinary dentistry, vol. 14, núm. 3, pp. 282-284, 2021
Sociedad de Periodoncia de Chile Implantología Rehabilitación Odontopediatria Ortodoncia
Recepción: 08 Junio 2020
Recibido del documento revisado: 06 Septiembre 2021
Aprobación: 08 Noviembre 2020
RESUMEN: Este informe clínico describe el tratamiento rehabilitador realizado a un paciente con fracturas horizontales de ambos incisivos centrales superiores, mediante la colocación de implantes inmediatos, utilizando una guía quirúrgica y la técnica Socket Shield. Después de un año de seguimiento, no se observan alteraciones clínicas de los tejidos duros y blandos, manteniéndose una alta estética. La cirugía guiada junto a la técnica Socket Shield es un enfoque de tratamiento prometedor para la rehabilitación con implantes de la zona anterior.
PALABRAS CLAVE: Implantes inmediatos, Técnica socket-shield, Guía quirúrgica, Cirugía guiada.
ABSTRACT: This clinical report describes the restorative treatment performed on a patient with horizontal fractures on both upper central incisors, by placing immediate implants using both surgical guide and the Socket Shield technique. After one year of monitoring, no clinical hard or soft tissues alterations were observed, maintaining high aesthetics. Guided surgery together with Socket Shield technique is a promising treatment approach for anterior implant rehabilitation.
KEY WORDS: Immediate implants, Socket-Shield technique, Surgical guide, Guided surgery.
INTRODUCCIÓN
La Rehabilitación sobre implantes en la región anterior se consideran un procedimiento complejo, con alta demanda estética, ya que no solo involucra la planificación integral del tratamiento, sino también por las altas expectativas de los pacientes. Ser capaz de gestionar con éxito la estética blanca y rosa en implantes con restauraciones funcionales, estéticas y con resultados a largo plazo involucra el dominio de varias competencias1.
Es de considerar la predictibilidad de la osteointegración de los implantes dentales a corto y largo plazo, no así, el comportamiento de los tejidos duros y blandos circundantes2.
Esta conducta inevitable, se manifiesta como resultado de una serie de procesos biológicos que ocurren posterior a la extracción del diente. La más relevante es la reabsorción ósea que acontece principalmente debido a la pérdida de soporte vascular que otorga el ligamento periodontal3,4. El tejido óseo cumple un rol importante en el mantenimiento y estabilidad de la encía2 su conservación es perentoria para precaver problemas estéticos que compliquen los procedimientos rehabilitadores5,6.
Con el fin de minimizar este proceso fisiológico, se han propuesto distintas técnicas complementarias a la colocación de los implantes dentales. Entre ellas, injertos gingivales7, regeneración ósea con membranas8, y / o materiales de injerto. A pesar de obtener buenos resultados, no siempre se logran contornos óptimos, en armonía con la rehabilitación protésica. La completa preservación alveolar aún no ha sido documentada en la literatura9.
La técnica de socket-shield (TSS) proporciona un complemento terapéutico prometedor para manejar estos riesgos y preservar el tejido óseo. El principio es preparar la raíz del diente a extraer de tal manera que la sección bucal de éste permanezca in situ en su alveolo, junto a su periodonto. El implante dental se instala simultáneamente a la extracción dentaria por detrás del resto radicular10.
Se decide realizar esta técnica ya que las ventajas descrita por sus autores Hürzeler et al.11 y posteriormente por Gluckman et al.12 permite el mantenimiento y estabilidad de la encía, al conservar de la pared vestibular radicular se preserva el ligamento periodontal, tejido determinante para minimizar los fenómenos reabsortivos de hueso alveolar post extracción e instalación inmediata del implante dental11,12.
INFORME CLINICO
Hombre de 42 años, sistémicamente sano, asiste al Departamento de Implantología de la Universidad de Los Andes. El examen clínico y radiográfico evidenció desdentamiento parcial superior e inferior. La evaluación periodontal mostró una periodontitis crónica generalizada. Se confirmaron fracturas asintomáticas de ambos incisivos centrales superiores en el tercio medio radicular, con leve desplazamiento coronal y movilidad clase II (Fig. 1). La primera etapa terapéutica consistió en la realización de tratamiento periodontal e instalación de una prótesis parcial removible. Se indicó la toma de un examen Cone Beam CT.

Debido a que los dientes que motivan la atención dental presentaban fracturas horizontales en su tercio medio, decidimos rehabilitar al paciente con implantes dentales inmediatos usando la técnica socket shield, siguiendo el protocolo sugerido por Hurzeler et al (2010)11. Elegimos esta técnica ya que la pared vestibular radicular que vamos a conservar es apropiada en altura y grosor, no presentan movilidad, lesiones periapicales, tratamientos endodónticos, postes intaradiculares y disponemos de suficiente tejido óseo para la instalación de los implantes por detrás del remanente radicular. La planificación virtual y uso de guía quirúrgica, nos permitirá la instalación de los implantes con un mayor grado de precisión.
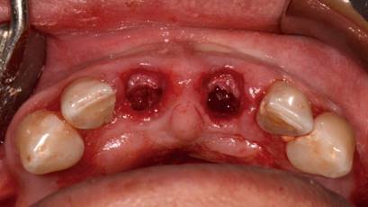
Posteriormente se realizó una impresión de alginato y vaciado en yeso del maxilar, se eliminaron mecánicamente ambos incisivos centrales. Este modelo se digitalizó con un escáner extraoral (3Shape, Trios) y se obtuvo un archivo STL. Luego con esto datos se hizo una coincidencia digital entre el CBCT y el archivo STL, utilizando el software BlueSky plan, (BlueSky bio). Se planificaron dos implantes cónicos de conexión interna de 3.8 x12 mm (Biohorizons), separados de la parte vestibular de las raíces y asegurando su correcto posicionamiento implantario (Img 1). Luego se diseñó una guía quirúrgica en el mismo software, exportada e impresa en ácido poliláctico (PLA) por una impresora de tecnología de deposición de material fundido (FDM) (Duplicator 7, Wanhao, China). Después de la anestesia local, se extrajo la porción coronal de ambos dientes fracturados, luego las partes apicales restantes se dividieron mesio-distalmente con una fresa de diamante de alta velocidad dejando dos porciones. Se retiró la parte palatina y se conservaron 5 mm de la pared vestibular radicular, posteriormente se instaló la guía quirúrgica en posición (Fig 2 y 3).



El protocolo de fresado llegó a los 21 mm de profundidad y a la fresa de 3.2 mm de diámetro. Ambos implantes alcanzaron 40 N de torque, todo bajo un protocolo de cirugía e inserción guiada estricta de implantes (Fig. 4).

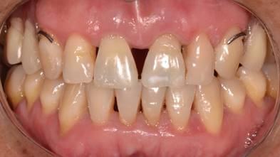
Después de la cirugía, ambas coronas naturales se adaptaron para ajustarse a un pilar temporal de titanio. Utilizando el adhesivo Universal (3M ESPE) y cementadas con resina fluida (A2 3M ESPE), siguiendo el protocolo de adhesión del fabricante, se confeccionaron las coronas provisionales, las que fueron instaladas como provisorios inmediatos en los implantes en boca, fue citado a control post operatorio, donde se tomó Radiografía panorámica (Img 2). Dándose de alta 21 días post intervención. Se hizo seguimientos a los seis y doce meses posteriores al alta.

Clínicamente no se visualizaron signos y/o síntomas que denotaran fracaso funcional o estético de la rehabilitación protésica al año de seguimiento, como se evidencian en (Fig. 5 e Img 3)


DISCUSION
Dentro de las limitaciones de este caso clínico (un año de seguimiento), los resultados demuestran que un segmento de la zona vestibular de raíz puede proteger la cresta ósea vestibular, después de la colocación inmediata del implante, favoreciendo de esta manera la estética, al igual que lo reportado por Bramanti et al1, Saeidi et al10 y Hürzeler et al11. Sin embargo, compartimos la sugerencia postulada por Gharpure et al13 que el resultado clínico y estético a largo plazo deben documentarse con más estudios.
En nuestro caso clínico la técnica Socket Shield demostró ser un procedimiento exitoso, cuando se combina con la instalación inmediata del implante con un protocolo de cirugía guiada estricta, ya que no se observó inflamación e infección postoperatorias y la oseointegración se logró sin complicaciones, y el posicionamiento implantario fue óptimo estos resultados coinciden a lo informado por Han, et al2, Baumer et al14 y Siompas et al.15.
CONCLUSIÓN
La técnica Socket Shield en combinación con la cirugía guiada estricta de implantes es un enfoque de tratamiento prometedor para la rehabilitación con implantes de la zona anterior. Para su aplicación clínica de rutina, faltan estudios clínicos con períodos de seguimiento a largo plazo.
Bibliografía
1. Bramanti E, Norcia A, Cicciù M, Matacena G, Cervino G, Troiano G, et al. Postextraction dental implant in the aesthetic zone, socket shield technique versus conventional protocol. J Craniofac Surg. 2018;29(4):1037-41.
2. Han CH, Park KB, Mangano FG. The modified socket shield technique. J Craniofac Surg . 2018;29(8):2247-54.
3. Van der Weijden F, Dell’Acqua F, Slot DE. Alveolar bone dimensional changes of post-extraction sockets in humans: a systematic review. J Clin Periodontol. 2009;36(12):1048-58.
4. Wang RE, Lang NP. Ridge preservation after tooth extraction. Clin Oral Implants Res. 2012;23: 147-56.
5. Mangano FG, Mastrangelo P, Luongo F, Blay A, Tunchel S, Mangano C. Aesthetic outcome of immediately restored single implants placed in extraction sockets and healed sites of the anterior maxilla: a retrospective study on 103 patients with 3 years of follow-up. Clin Oral Implants Res . 2017;28(3):272-82.
6. Masaki C, Nakamoto T, Mukaibo T, Kondo Y, Hosokawa R. Strategies for alveolar ridge reconstruction and preservation for implant therapy. J Prosthodont Res. 2015;59(4):220-8.
7. Lee AMH, Poon CY. The clinical effectiveness of alveolar ridge preservation in the maxillary anterior esthetic zone-a retrospective study. J Esthet Restor Dent. 2017;29(2):137-45.
8. Karaca Ç, Er N, Gülşahı A, Köseoğlu O. Alveolar ridge preservation with a free gingival graft in the anterior maxilla: volumetric evaluation in a randomized clinical trial. Int J Oral Maxillofac Surg. 2015;44(6):774-80.
9. Zita Gomes R, Paraud Freixas A, Han CH, Bechara S, Tawil I. Alveolar ridge reconstruction with titanium meshes and simultaneous implant placement: a retrospective, multicenter clinical study. BioMed Res Int. 2016;2016:5126838.
10. Saeidi P, Zuhr O, Hürzeler MB, Prandtner O, Rafael CF, Edelhoff D. Clinical benefits of the immediate implant socket shield technique. J Esthet Restor Dent . 2017;29 (2):93-101.
11. Hürzeler MB, Zuhr O, Schupbach P, Rebele SF, Emmanouilidis N, Fickl S. The socket-shield technique: a proof-of-principle report. J Clin Periodontol . 2010;37(9):855-62.
12. Gluckman H, Du Toit J, Salama M, Nagy K, Dard M. A decade of the socket-shield technique: a step-by-step partial extraction therapy protocol. Int J Esthet Dent. 2020;15(2):212-25.
13. Gharpure AM, Bhatavadekar NB. Current evidence on the socket-shield technique: a systematic review. J Oral Implantol. 2017;43(5):395-403.
14. Bäumer D, Zuhr O, Rebele S, Hürzeler MB. Socket shield technique for immediate implant placement - clinical, radiographic and volumetric data after 5 years. Clin Oral Implants Res . 2017;28(11):1450-58.
15. Siormpas KD, Mitsias ME, Kontsiotou-Siormpa E, Garber D, Kotsakis GA. Immediate implant placement in the esthetic zone utilizing the “root-membrane” technique: clinical results up to 5 years postloading. Int J Oral y Maxillofac Implants. 2014;29(6):1397-405.
Notas de autor
* Correspondencia Autor: Marco Antonio Rios Sierra | Dirección: Avenida Las Condes 9660 departamento 709 | Teléfono: +56995790044. | E- mail: marco.rios.sierra@gmail.com
Declaración de intereses