REPORTE CLÍNICO
Desafíos en el tratamiento de ortodoncia en paciente con síndrome de down, reporte de caso
Challenges in orthodontic treatment in a patient with down syndrome, a case report
Desafíos en el tratamiento de ortodoncia en paciente con síndrome de down, reporte de caso
International journal of interdisciplinary dentistry, vol. 15, núm. 1, pp. 87-89, 2022
Sociedad de Periodoncia de Chile Implantología Rehabilitación Odontopediatria Ortodoncia
Recepción: 20 Julio 2020
Recibido del documento revisado: 13 Septiembre 2020
Aprobación: 21 Octubre 2020
RESUMEN:
El Síndrome de Down es una condición genética que se identifica por la presencia de un grado variable de discapacidad cognitiva, rasgos y características físicas singulares, que también repercuten a nivel estomatognático. El objetivo de este reporte de caso es reflejar los desafíos terapéuticos que podemos enfrentar para lograr un tratamiento integral en estos pacientes. Madre de paciente consulta por apiñamiento dentario. Presenta enfermedades sistémicas asociadas al Síndrome de Down, alteraciones sensoriales, gingivitis generalizada, lesiones de caries, anomalías dentomaxilares y fibroma traumático en flanco lingual. El tratamiento incluyó adaptación a la atención odontológica, odontología preventiva y restauradora, periodoncia y ortodoncia. Luego de 25 meses de tratamiento, se logró el alta integral, debiendo modificar los objetivos del tratamiento y el manejo terapéutico ortodóncico en diversas ocasiones. Es posible realizar tratamientos integrales en pacientes con Síndrome de Down, considerando una buena adaptación, objetivos alcanzables y trabajo en equipo multidisciplinario.
PALABRAS CLAVE: Síndrome de Down, Cuidados Especiales en Odontología, Reporte de caso.
ABSTRACT:
Down Syndrome is a genetic condition identified by the presence of a variable degree of cognitive disability and unique physical characteristics and traits, which also have an impact on the stomatognathic system. The aim of this case report is to report the therapeutic challenges that we can face to achieve a comprehensive treatment. Patient’s mothers consult for dental crowding. The patient presents systemic diseases associated with Down Syndrome, sensory anomalies, generalized gingivitis, dental caries lesions, maxillary dental anomalies, and traumatic fibroma in the tongue. The treatment included adaptation to dental care, preventive and restorative dentistry, periodontics and orthodontics. After 25 months of treatment, comprehensive discharge was achieved, with modifications in the treatment objectives and orthodontic therapeutic management in several occasions. Comprehensive treatment in patients with Down Syndrome is possible, considering a good adaptation to the treatment, achievable objectives and multidisciplinary teamwork.
KEY WORDS: Orthodontics, Down Syndrome, Special Care Dentistry, Case Report.
INTRODUCCIÓN
El Síndrome de Down (SD) es un trastorno genético causado por la trisomía, translocación o trisomía parcial del cromosoma 21. Es una de las condiciones genéticas más prevalentes asociada a discapacidad cognitiva, no presenta predilección racial, socioeconómica ni de género.1
Las características orales y maxilofaciales presentadas por personas con SD son particulares y los cuidados de la salud oral deben ser siempre específicos y multidisciplinarios a cada paciente2-3. La mayor esperanza de vida y la progresiva interacción social de los individuos con SD ha llevado a un aumento de la demanda por tratamiento de ortodoncia 4-6. Si bien existen estudios sobre esta población, la mayoría de estos evalúa la prevalencia de maloclusiones y no los desafíos del tratamiento con aparatología fija7-8.
Este reporte de caso presenta los resultados del tratamiento odontológico integral con especial enfoque en los desafíos del tratamiento de ortodoncia, considerando el manejo de este grupo de pacientes desde una perspectiva integral.
REPORTE DE CASO
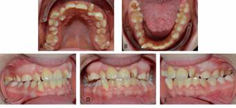
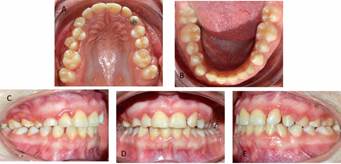
Mujer de 16 años con condición de Síndrome de Down. La madre consulta en la Clínica de Cuidados Especiales XXXXX (Ciego*) por apiñamiento dentario. La familia refiere mal comportamiento previo, historia de caries y cepillado irregular. Al examen físico general presenta discapacidad cognitiva moderada, hipotiroidismo, enfermedad celíaca y sobrepeso (Figura 1).

El diagnóstico integral con enfoque de riesgo es paciente género femenino, 16 años, potencialmente cooperadora, sin riesgo social, con riesgo biológico general, dentición permanente, gingivitis generalizada asociada a condición sistémica, lesión compatible con fibroma irritativo en flanco lingual izquierdo a nivel de 3.7. (Figura 2), caries oclusal profunda en diente 4.7, clase III esqueletal, biotipo braquifacial, perfil anterior anteinclinado, clase III canina y molar bilateral, overjet y overbite disminuidos, persistencia de dientes 5.3, 6.3 y 8.3, caninos permanentes con anomalía de tamaño por diente pequeño, apiñamiento dentario severo en maxilar y moderado en mandíbula, líneas medias dentarias no coincidentes, dinámica mandibular normal, respiración mixta, incompetencia labial, anteposición de cabeza. Se determinó la persistencia de tres caninos temporales, pero debido a la alteración de forma de los caninos definitivos se cuantificó éstos últimos como supernumerarios (Figura 3).


Los objetivos generales del tratamiento incluyeron: Adaptación e integración sensorial, prevención y refuerzo al huésped, tratamiento periodontal, rehabilitación de diente 3.7, exéresis y biopsia de lesión lingual y tratamiento de ortodoncia. Los objetivos iniciales del tratamiento de ortodoncia fueron mejorar el perfil de clase III esqueletal, alinear y nivelar dientes superiores e inferiores, corregir Overjet y Overbite disminuidos, obtener neutroclusión canina bilateral, mantener la salud de la articulación temporomandibular, restablecer salud periodontal y dentaria y recuperar la función lingual alterada a través de trabajo fonoaudiológico.
El tratamiento inició con adaptación a la atención odontológica a través de técnicas de manejo como control de voz, decir-mostrar-hacer y desensibilización progresiva hasta mejorar la integración sensorial, consiguiendo la incorporación y tolerancia satisfactoria en el tiempo al sonido de la turbina, micromotor y ultrasonido.
La educación y prevención realizadas por el periodoncista incluyó instrucción de higiene oral durante todas las sesiones tanto a la paciente como a la madre, quien supervisó la correcta aplicación de la técnica de cepillado con indicación de cepillo dental de cabezal pequeño e interdentarios desde un inicio, para luego incorporar el cepillo de uso ortodóncico y reveladores de placa de uso en casa. Posteriormente se realizó destartraje supragingival por gingivitis generalizada y exéresis de la lesión en flanco izquierdo de la lengua a nivel del diente 3.7 con biopsia para confirmación diagnóstica. Luego, se realizó aplicación de flúor barniz y obturación de diente 4.7 a través de técnica ART con controles periódicos, permaneciendo asintomático.
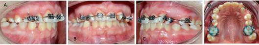
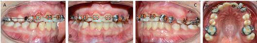
La planificación del tratamiento de Ortodoncia comprendió un tratamiento bimaxilar de compromiso con exodoncias de los dientes 1.3 - 6.3 y 8.3. El plan de tratamiento inicial comenzó con el uso de aparatología Multibrackets MBT .022 con bandas en molares superiores e inferiores. La paciente no consentía sesiones de más de 15 minutos, realizando la instalación parcial superior, a modo de adaptación al tratamiento de ortodoncia, para posteriormente continuar con instalación de arcada inferior. Se derivó a Odontopediatría para las exodoncias de los dientes 1.3 - 6.3 y 8.3. Luego de cuatro meses, la cuidadora refiere que la paciente descementaba intencionalmente los brackets con un lápiz. Si bien se realizó la reposición de éstos, el mal hábito persistió, por lo que se adoptó como alternativa de tratamiento instalar botones, con el objetivo de generar cupla y desrotar los incisivos superiores, continuando con la etapa de alineación y nivelación (figura 4). El mal comportamiento de la paciente persistió en el tiempo, pero aun cuando tenía indicación de retiro de los aparatos, debido a su conducta y la permanente gingivitis, se determinó modificar los objetivos terapéuticos propuestos en un inicio del tratamiento, dando prioridad a lograr el cierre del espacio provocado por la exodoncia del diente 6.3 para la alineación de la arcada superior. Por ellos, se suspendió la instalación de brackets en la arcada inferior y se decidió confeccionar bandas individuales para los dientes que requerían mayor alineación, utilizando como secuencia de arco un Niti Natural .014 y .020, junto con un SS .020 (Figura 5)


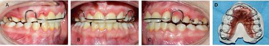
Una vez conseguida la alineación y nivelación del arco superior, se cerraron los espacios mediante cadena elastomérica. Al alcanzar el cierre del espacio superior, se realizó el retiro de los aparatos superiores, permaneciendo un pequeño diastema entre los dientes 4.2 y 4.3. La fase activa del tratamiento de ortodoncia duró 22 meses. Como contención se empleó una placa Hawley simple (Figura 6). Al control a los seis meses posterior al retiro de los aparatos, se observan pequeños diastemas en la zona entre los dientes 2.2 y 2.3, junto con las rotaciones de los premolares 1.4 y 1.5 (Figura 7). La paciente no permitió el retiro del botón palatino del diente 2.3, el que debió ser desgastado con instrumental rotatorio. A pesar de los desafíos que fueron presentándose durante el tratamiento, se advierte una mejoría en la alineación dentaria ligado a una oclusión estable.
*Ciego: Los cuidadores consultan en Clínica de Cuidados Especiales de la Facultad de Odontología de la Universidad de Chile. (Ciego) por apiñamiento dentario.


DISCUSIÓN
La mayoría de los reportes relacionados con ortodoncia y Síndrome de Down hacen referencia a la prevalencia de anomalías dentomaxilares y necesidad de tratamiento de este grupo específico, pero no a problemas o experiencias durante el tratamiento de ortodoncia. Esto a la larga mantiene las barreras de acceso y atención a los que se enfrentan estos pacientes y sus familias; no permitiendo a otros ortodoncistas conocer las dificultades que pueden ocurrir en el tratamiento de pacientes en situación de discapacidad.
En este reporte de caso, se observa el manejo interdisciplinario de una paciente con Síndrome de Down, en la cual se debió modificar los objetivos y adaptar la terapéutica del tratamiento de ortodoncia, desde un tratamiento convencional de ortodoncia en ambas arcadas a un tratamiento sólo en el maxilar; teniendo como principal objetivo el cierre del espacio producido por las exodoncias indicadas durante el tratamiento, elaborando bandas para dientes anteriores con cuplas para desrotar y lograr una alineación aceptable.
A la fecha existen variados estudios sobre tratamientos ortodóncicos en pacientes con SD y gran parte de estos concluyen que estos pacientes responden de diferente manera frente a una misma terapia ortodóntica9. Por ello es necesario un enfoque terapéutico multidisciplinar, siendo factores fundamentales el manejo del paciente y el compromiso de los cuidadores6.
Respecto al tratamiento ortodóncico se han reportado diversas complicaciones, siendo las más frecuentes úlceras traumáticas, desalojo de brackets, mayor tiempo de sillón, control de placa bacteriana deficiente y poca cooperación del paciente durante la atención10. Además, se debe tener en cuenta la mayor predisposición de los pacientes con SD a enfermedad periodontal, siendo fundamental el trabajo con periodoncista en estos pacientes con controles periódicos durante la fase activa del tratamiento6-10.
Como equipo, creemos necesario desarrollar estrategias específicas que no solo permitan evaluar en forma objetiva la necesidad de tratamiento, sino también la factibilidad de éste a través del tiempo. Para ello, es necesario crear consciencia dentro de los equipos de la importancia de capacitarse en el manejo de pacientes en situación de discapacidad, fomentar la formación de especialistas con manejo de pacientes que requieren cuidados especiales y el inicio de programas preventivos a temprana edad, enfocados en su tratamiento integral multidisciplinario e incluyendo a profesionales no odontológicos 6-10. Sin embargo, no se debe olvidar que no en todos los casos será posible cumplir con los objetivos ideales del tratamiento, planteándose objetivos realizables de acuerdo al paciente10.
En base a nuestra experiencia, sugerimos:
- Fomentar en cada momento la alianza terapéutica entre el paciente, la familia y el equipo multidisciplinario.
- Establecer una pauta de trabajo multidisciplinario que permita tomar decisiones más asertivas durante el tratamiento de pacientes en situación de discapacidad.
- Evaluar en forma objetiva no sólo la necesidad de tratamiento, en particular de ortodoncia, sino también la factibilidad de este en el tiempo. Idealmente comenzar en forma temprana con aparatos removibles para continuar en una segunda fase con aparatos fijos.
- No indicar exodoncias al inicio del tratamiento. Si se requiere espacio en la arcada, considerar comenzar con desgastes interproximales previo a la exodoncia, para que, en caso de tener que suspender el tratamiento, no sea un problema el cierre de espacio.
- Establecer objetivos a corto y largo plazo, que permitan el avance a la siguiente etapa sólo si éstos se cumplen. De esta forma manejar las expectativas de todos los involucrados. Por ejemplo, establecer un número de sesiones sin desalojo de brackets previo a la instalación de la otra arcada.
CONCLUSIÓN
Es posible realizar un tratamiento integral en pacientes con Síndrome de Down, que incluya tratamiento de ortodoncia. Se debe estar preparado para el manejo de complicaciones durante todo el tratamiento, manteniendo siempre objetivos de tratamiento simples y alcanzables, adaptando las terapias y considerando recursos alternativos. Es necesario incluir en la formación de los especialistas la formación con enfoque inclusivo, elaborar guías de tratamiento y pautas de consideraciones que faciliten la disminución de barreras de acceso de pacientes en situación de discapacidad a la atención de todas las especialidades odontológicas.
Bibliografía
Véliz S, Rotman M, Vergara D, Sciaraffia P, Salas M, Leiva N. Ortodoncia en el paciente con Síndrome de Down. Rev Dent Chile. 2015;106(3):4-7.
Areias C, Pereira ML, Pérez-Mongiovi D, Macho V, Coelho A, Andrade D. et al. Enfoque clínico de niños con síndrome de Down en el consultorio dental. Av Odontoestomatol. 2014;30(6):307-13.
Shore S, Lightfood T, Ansell P. Oral disease in children with DS: causes and prevention. Community Pract. 2010;83(2):18-21.
González LM, Rey D. Tratamiento de ortodoncia en paciente con síndrome de down. CES odontol. 2013;26(2):136-43.
Said Solaiman S, Bravo Francos I, Garrido Cruz E, Misu I, Alamán Fernández J, San Román Calvar P. Ortodoncia en el Síndrome De Down: Posibilidades Y Dificultades. Psychol Lat. 2018;Vol. Especial:410-3.
Abdul Rahim FS, Mohamed AM, Nor MM, Saub R. Malocclusion and orthodontic treatment need evaluated among subjects with Down syndrome using the Dental Aesthetic Index (DAI). Angle Orthod. 2014;84(4):600-6.
Korayem MA, Alkofide EA. Characteristics of Down syndrome subjects in a Saudi sample. Angle Orthod . 2014;84:30-7.
Jesuino FA, Valladares-Neto J. Craniofacial morphological differences between Down syndrome and maxillary deficiency children. Eur J Orthod. 2013;35:124-30.
Quinteros C, Rojas D, Terán K. Maloclusiones, factores asociados y alternativas de tratamiento ortodóncico para pacientes portadores de Síndrome de Down. Odontol Pediatr. (Madrid) 2017;25 (Suppl 2):120-129.
Abeleira MT, Pazos E, Limeres J, Outumuro M, Diniz M, Diz P. Fixed multibracket dental therapy has challenges but can be successfully performed in young persons with Down syndrome. Disabil Rehabil. 2016;38(14):1391
Notas
Notas de autor
* Correspondencia Autor: Sebastián Véliz Méndez | Dirección: Olivos 943, Independencia, Santiago de Chile, Chile. | Email: sveliz@odontologia.uchile.cl
Declaración de intereses