REPORTE CLÍNICO
Ameloblastoma uniquístico patrón mural: Reporte de un caso.
Unicystic mural ameloblastoma: A case report.
Ameloblastoma uniquístico patrón mural: Reporte de un caso.
International journal of interdisciplinary dentistry, vol. 15, núm. 2, pp. 161-164, 2022
Sociedad de Periodoncia de Chile Implantología Rehabilitación Odontopediatria Ortodoncia
Recepción: 15 Noviembre 2020
Recibido del documento revisado: 15 Abril 2021
Aprobación: 09 Junio 2021
RESUMEN: El ameloblastoma es un tumor odontogénico agresivo que se clasifica en uniquístico, extraóseo/periférico y metastatizante. Una mujer de 42 años acudió al Servicio de Cirugía Oral y Maxilofacial por aumento de volumen hemifacial izquierdo de 6 meses de evolución. Al examen se observó aumento de volumen de la región parotídea y submandibular izquierda, abombamiento tablas óseas mandibulares y movilidad dental. La tomografía axial computarizada reveló una lesión de aspecto quístico en la región mandibular. Se realizó la biopsia incisional y el tratamiento quirúrgico conservador. El diagnóstico histopatológico fue ameloblastoma uniquístico patrón mural. Luego de seis meses de descompresión, se realizó una nueva biopsia incisional, curetaje óseo y se aplicó solución de Carnoy. Once meses posteriores a la primera intervención, se constató radiográficamente aposición ósea de la lesión. El tratamiento de estos ameloblastomas continúa siendo controversial por lo que cada caso se debe abordar de manera única.
PALABRAS CLAVE: ameloblastoma, ameloblastoma uniquístico, amebloblastoma uniquístico mural, ameloblastoma mural.
ABSTRACT: Ameloblastoma is an aggressive odontogenic tumor classified as unicystic, extraosseous / peripheral, and metastasizing. A 42-year-old woman was attended at the Oral and Maxillofacial Surgery Service due to a 6-month facial asymmetry. Clinically, we observed a volume increase of the left parotid and submandibular region, bulging of the mandibular bone tables and dental mobility. Computed Tomography revealed a cystic-like lesion in the mandibular region. An incisional biopsy and conservative surgical treatment were performed. The histopathological diagnosis was unicystic ameloblastoma, mural pattern. After six months of decompression, a new incisional biopsy and bone curettage were performed, and Carnoy’s solution was applied. Eleven months after the first intervention, bone apposition was observed in the x-ray. The treatment of these ameloblastomas continues to be controversial, so every case should be approached in a unique manner.
KEY WORDS: ameloblastoma, unicystic ameloblastoma, unicystic mural amebloblastoma, mural amebloblastoma.
INTRODUCCIÓN
El ameloblastoma es un tumor odontogénico agresivo formado a partir del epitelio odontogénico dentro de un estroma fibroso maduro sin ectomesénquima odontogénico1. Representa el 1% de los tumores que afectan el territorio oro-maxilofacial2 y 13 a 58% de los tumores odontogénicos. Su incidencia estimada es de 0,5 por millón de población al año, observándose mayor incidencia en países de África y Asia3.
De acuerdo a su presentación clínica, histológica y radiográfica, la Organización Mundial de la Salud (OMS) lo clasifica en tres tipos: 1) uniquístico, 2) extraóseo/periférico y 3) metastatizante4,5. El ameloblastoma uniquístico fue descrito inicialmente como un ameloblastoma que se presentaba comúnmente en pacientes jóvenes, con apariencia radiográfica de lesión unilocular, de naturaleza quística al microscopio y que respondía bien al tratamiento conservador6.
De acuerdo a sus variantes histológicas, fue posteriormente subclasificado en tres tipos: 1) el tipo luminal o simple es una lesión quística unilocular con epitelio de revestimiento, 2) el tipo intraluminal es una lesión quística que comprende nódulos tumorales intraluminales y epitelio odontogénico con patrón plexiforme, y 3) el tipo mural presenta islas tumorales epiteliales ameloblastomatosas en la pared quística, que pueden estar unidas al revestimiento del quiste3,4,7,8.
El ameloblastoma uniquístico se localiza mayoritariamente en la zona posterior de la mandíbula, donde puede presentarse aumento de volumen asintomático como consecuencia de la expansión de las tablas óseas1. Dependiendo del tipo histológico y de la localización del ameloblastoma, la literatura ha sugerido diferentes tratamientos: conservadores en las variantes luminal e intraluminal, y más agresivos en la variante mural. Sin embargo, el manejo de los ameloblastomas uniquísticos de tipo mural continúa siendo controversial, debido a su similitud en recurrencia con el ameloblastoma convencional. Se han reportado tasas de recurrencia a los 5 años del 10 al 20% luego de tratamiento conservadores. En cambio, la recidiva disminuiría a un 4% luego de tratamientos radicales3,9.
A continuación, se presenta el caso de una paciente con un ameloblastoma uniquístico de tipo mural de gran tamaño. Se analizó su presentación clínica y radiográfica, diagnósticos diferenciales confundentes y se discutió acerca de las controversias de los distintos esquemas terapéuticos y tasas de recurrencia.
CASO CLÍNICO
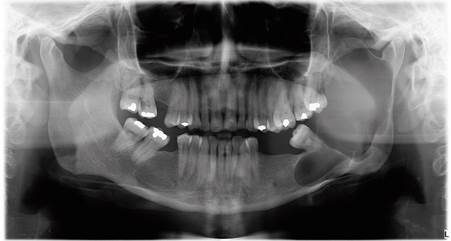
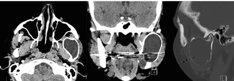
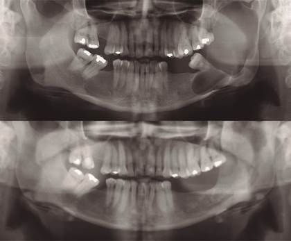
Paciente de sexo mujer, 42 años de edad, con antecedentes de hipotiroidismo en tratamiento, acude al Servicio de Cirugía Oral y Maxilofacial del Hospital San Juan de Dios, en Santiago de Chile, por aumento de volumen hemifacial izquierdo de 6 meses de evolución. Al examen clínico se observó un aumento de volumen de la región parotídea y submandibular izquierda (figura 1), desdentamiento parcial bimaxilar, abombamiento tablas óseas mandibulares y movilidad de tercer molar inferior izquierdo (diente 3.8) (figura 2). La radiografía panorámica reveló extensa lesión en zona posterior del cuerpo y en casi la totalidad de la rama mandibular izquierda, de características quísticas y expansivas, sugerentes de quiste odontogénico (figura 3). En la tomografía axial computarizada (TAC) se observó una lesión de aspecto quístico en la región mandibular izquierda, desde cuello condilar hasta cuerpo mandibular izquierdo, con expansión de corticales óseas vestibular y lingual (figura 4).




Bajo anestesia local, se realizó un colgajo de espesor total, accediendo directamente a la lesión por la cortical vestibular perforada. El contenido de la lesión fue un líquido de aspecto hemático, sin similitud a la queratina. Se realizó la biopsia incisional de la membrana quística mandibular izquierda, curetaje óseo, exodoncia de tercer molar inferior izquierdo e instalación de una cánula de descompresión. La paciente recibió la indicación de irrigar a través de cánula con suero fisiológico y se mantuvo en controles periódicos. El diagnóstico histopatológico fue ameloblastoma uniquístico patrón mural, describiéndose una pared fibrosa fibrovascular revestida parcialmente de epitelio ameloblástico y múltiples islas y cordones de epitelio ameloblástico de tipo folicular que infiltran la pared fibrosa.
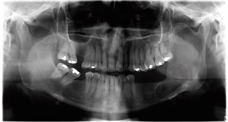
Seis meses después - al observar radiográficamente una disminución del área radiolúcida y aposición ósea (figura 5) - se realizó un nuevo abordaje, esta vez bajo anestesia general, para permitir un curetaje más agresivo y mayor remoción de tejido tumoral. Se realizó una nueva biopsia incisional y se aplicó solución de Carnoy. El resultado histopatológico fue ameloblastoma uniquístico patrón mural con proceso inflamatorio crónico y agudo.

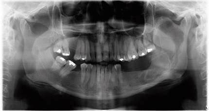
La paciente se mantuvo en control clínico y radiográfico periódico, observándose disminución de la lesión y la aposición ósea mandibular, y la consecuente simetrización facial. Once meses posteriores a la primera intervención quirúrgica, se constató radiográficamente aposición ósea de la lesión radiolúcida del cuerpo y rama mandibular izquierda, límites netos esclerosados y expansión ósea a nivel de la rama mandibular (figura 6), aposición ósea que continúo progresivamente, como se observó en la radiografía panororámica realizada 21 meses postquirúrgica (figura 7).


DISCUSIÓN
El ameloblastoma uniquístico es un tumor odontogénico benigno, localmente agresivo, caracterizado por presentar una cavidad única bien definida y tener un alto riesgo de recurrencia. La biopsia incisional continúa siendo el gold standard para su diagnóstico, por lo que errores en la muestra, especialmente en lesiones grandes y heterogéneas, pueden llevar a un incorrecto plan de tratamiento y con ello a un peor pronóstico10.
Las distintas alternativas de tratamiento como la enucleación, marsupialización o descompresión y resección radical continúan siendo controversiales, ya que los manejos conservadores se asocian a mayor tasa de recidiva, mientras que los tratamientos radicales presentan variadas complicaciones asociadas a su alta morbilidad11. Situaciones clínicas como las presentadas en nuestro caso hacen cuestionar el real costo/beneficio de los distintos abordajes de tratamientos, debido a que el extenso compromiso mandibular de nuestra paciente hubiese podido significar la necesidad de una hemimandibulectomía y la posterior reconstrucción mediante prótesis articular o injertos autológos.
Estudios han reportado que las características imagenológicas de reabsorción radicular y perforación de las tablas óseas, asociados a la presencia de un subtipo histopatológico mural, podrían sugerir un potencial agresivo de la lesión, por lo que el tratamiento inicial mediante la marsupialización o descompresión no estaría indicado. Sin embargo, Zheng et al., al analizar los efectos de esta alternativa de tratamiento en ameloblastomas uniquísticos, reportaron que el único factor predictor de recurrencia de la lesión fue la perforación de las corticales óseas. Por otra parte, la literatura ha sugerido que la presencia de impactación dental en ameloblastomas uniquísticos es el único factor significativo que indique menor agresividad de la lesión12, lo que no se observó en nuestra paciente.
La enucleación por si sola resultaría en la mayor tasa de recurrencia del ameloblastoma uniquístico, variando entre 30,5 a 60% según diferentes estudios. No obstante, el uso de sustancias coadyudantes, como la solución de Carnoy, permiten una reducción de la recidiva, alcanzando una tasa de 16%. La recurrencia del ameloblastoma uniquístico tratado mediante la marsupialización o descompresión y un procedimiento quirúrgico adicional (enucleación o resección) es de 18%. En el caso de ameloblastomas uniquísticos tratados desde un inicio de forma radical, la tasa de recurrencia alcanza el 3%10,13 (Rikhotso and Premviyasa 2019).
La descompresión, al reducir el tamaño quístico, permite una diminución de la morbilidad al momento de realizar el tratamiento resectivo definitivo, aumentado la probabilidad de preservación del nervio alveolar inferior, reduciendo el riesgo de fracturas patológicas y disminuyendo la necesidad de injertos óseos. Sin embargo, su evolución es impredecible, ya que los ameloblastomas reducen su tamaño en tiempos variados y sus tasas de recurrencia van entre el 4,5 a más del 50%. La literatura ha indicado que el periodo promedio de recurrencia es de alrededor de los 5 años, por lo que el seguimiento de los pacientes debe ser largo12.
Las posibles complicaciones de la descompresión son diversas. Si bien, la reducción del tumor puede ser evidente, la remoción de las células tumorales satélites puede haber sido inadecuada y haber invadido el tejido óseo esponjoso, pudiendo llevar a la recurrencia más allá del margen de la lesión inicial. Además, las múltiples intervenciones quirúrgicas pueden causar o acelerar la recurrencia debido a la implantación de células tumorales. Por lo mismo, en caso de recurrencias, debe ser considerado tratamiento más agresivos que prioricen la eliminación de las células tumorales.
El ameloblastoma uniquístico patrón mural es considerado ser tan agresivo como el ameloblastoma convencional, debido a su alto potencial de recurrencia, por lo que su manejo tienden a ser la resección y posterior reconstrucción. En el presente caso, la resección del total del segmento hubiese significado la necesidad de reconstrucción para devolver la funcionalidad de la articulación temporomandibular y el probable compromiso nervioso. Esto se hubiese traducido a un largo periodo de rehabilitación kinésico-funcional. Además, si bien la lesión tenía un patrón histológico mural, su comportamiento clínico era expansivo, pero sin perforación de las corticales óseas o rizálisis dentarias. Esto nos permitió suponer un comportamiento medianamente agresivo, y con ello un posible predictor positivo. La paciente se mantuvo con indicación de irrigación a través de la cánula por un periodo de 6 meses. Luego, volvió a ser sometida a un tratamiento quirúrgico, que consistió en el curetaje y la aplicación de solución de Carnoy. La descompresión del contenido interno del ameloblastoma, al promover la remodelación ósea y la osteogénesis, preservó el contorno mandibular y permitió evitar la hemimandibulectomía planificada inicialmente.
Actualmente, la paciente se encuentra en controles periódicos, evolucionando favorablemente tanto clínica como radiográficamente. Se planea en un futuro cercano realizar la resección en bloque de la lesión, sin la necesidad de la reconstrucción de la articulación temporomandibular. Bajo nuestro criterio clínico, el tratamiento agresivo debería reservarse en casos de recurrencia.
CONCLUSIÓN
El tratamiento de los ameloblastomas uniquísticos patrón mural continúa siendo controversial, debido a su naturaleza agresiva y su potencial recidiva. Pese a las distintas opciones de tratamientos, es imperativo evaluar cada caso de manera única, prefiriendo un abordaje agresivo pero limitando las comorbilidades del tratamiento. De esta forma, muchas veces es preferible terapias menos radicales de manera inicial, pero siempre considerando el seguimiento a largo plazo de los pacientes y la posibilidad de nuevas intervenciones quirúrgicas.
Bibliografía
Effiom OA., Oladunni MO, Abdulwarith OA, Sunday OA. Ameloblastoma: Current etiopathological concepts and management. Oral Dis. 2018;24(3):307-16. DOI:10.1111/odi.12646.
Xavier SP, de Mello-Filho FV, Rodrigues WC, Sonoda CK, de Melo WM. Conservative approach: Using decompression procedure for management of a large unicystic ameloblastoma of the mandible. J Craniofac Surg. 2014;25(3):1012-14. DOI:10.1097/SCS.0000000000000716.
Seintou A, Martinelli-Kläy CP, Lombardi T. Unicystic ameloblastoma in children: systematic review of clinicopathological features and treatment outcomes. Maxillofac Surg. 2014;43(4): 405-12. DOI:10.1016/j.ijom.2014.01.003.
Speight PM, Takata T. New tumour entities in the 4th edition of the World Health Organization Classification of Head and Neck tumours: odontogenic and maxillofacial bone tumours. Virchows Arch. 2018;472(3): 331-9. DOI:10.1007/s00428-017-2182-3.
Wright JM, Vered M. Update from the 4th Edition of the World Health Organization Classification of Head and Neck Tumours: Odontogenic and Maxillofacial Bone Tumors. Head and Neck Pathol. 2017;11(1): 68-77. DOI:10.1007/s12105-017-0794-1.
Robinson L, Martinez MG. Unicystic ameloblastoma: a prognostically distinct entity. Cancer. 1977;40(5): 2278-85. DOI: 10.1002/1097-0142(197711)40:5<2278::aid-cncr2820400539>3.0.co;2-l.
Ackermann GL, Altini M, Shear M. The unicystic ameloblastoma: a clinicopathological study of 57 cases. J Oral Pathol. 1988;17(9-10): 541-546. DOI: 10.1111/j.1600-0714.1988.tb01331.x.
Cadavid AMH, Araujo JP, Coutinho-Camillo CM et al. Ameloblastomas: current aspects of the new WHO classification in an analysis of 136 cases. Surg Exp Pathol. 2019;2(1):17. DOI:10.1186/s42047-019-0041-z.
Antonoglou GN, Sándor GK. Recurrence rates of intraosseous ameloblastomas of the jaws: A systematic review of conservative versus aggressive treatment approaches and meta-analysis of non-randomized studies. J Craniomaxillofac Surg. 2015;43(1):149-57. DOI: 10.1016/j.jcms.2014.10.027.
Rikhotso RE, Premviyasa V. Conservative treatment of ameloblastoma in a paediatric patient: A case report. J Oral Maxillof Surg. 2019;77(8): 1643-49. DOI: 10.1016/j.joms.2019.02.025.
Zheng CY, Cao R, Hong WS, Sheng MC, Hu YJ. Marsupialisation for the treatment of unicystic ameloblastoma of the mandible: a long-term follow up of 116 cases. Br J Oral Maxillofac Surg. 2019;57(7):655-62. DOI: 10.1016/j.bjoms.2019.06.002.
Gupta K, Chaturvedi TP, Gupta J, Agrawal R. Cell proliferation proteins and aggressiveness of histological variants of ameloblastoma and keratocystic odontogenic tumor. Biotech Histochem. 2019;94(5):348-51. DOI: 10.1080/10520295.2019.1571226.
Hendra FN, Natsir Kalla DS, Van Cann EM, de Vet HCW, Helder MN, Forouzanfar T. Radical vs conservative treatment of intraosseous ameloblastoma: systematic review and meta-analysis. Oral Dis . 2019;25(7): 1683-96. DOI: 10.1111/odi.13014
Notas
Notas de autor
* Correspondencia Autor: Marlene Díaz-Reiher | Dirección: Avenida Portales 3239, Santiago, Chile. | E-mail: marlene.diazr@gmail.com
Declaración de intereses