REPORTE CLÍNICO
Sobredentadura parcial como alternativa de tratamiento en paciente con secuela periodontal. Reporte de caso
Partial overdenture as an alternative treatment in patients with periodontal sequelae. A case report
Sobredentadura parcial como alternativa de tratamiento en paciente con secuela periodontal. Reporte de caso
International journal of interdisciplinary dentistry, vol. 15, núm. 3, pp. 207-210, 2022
Sociedad de Periodoncia de Chile Implantología Rehabilitación Odontopediatria Ortodoncia
Recepción: 16 Agosto 2020
Recibido del documento revisado: 03 Mayo 2021
Aprobación: 14 Mayo 2021
RESUMEN: La rehabilitación de pacientes desdentados parciales periodontalmente comprometidos es un desafío a nivel protésico. Esto se debe a que la condición de los dientes pilares no siempre es la adecuada, viéndose afectada la proporción corono-radicular por las secuelas de una enfermedad periodontal. Es en estas situaciones límite donde el uso de implantes óseo-integrados acompañado de ataches resilientes mejora la retención de una prótesis parcial removible convencional, disminuyendo el riesgo de sobrecarga en los dientes remanentes. En este reporte de caso se presenta una rehabilitación integral, resuelto con una sobredentadura parcial maxilar sin cobertura palatina sobre pilares Locator®, minimizando la carga en los dientes remanentes del grupo II con secuelas periodontales; y una rehabilitación del arco mandibular con operatoria directa, indirecta y prótesis fija, recuperando funcionalidad, soporte oclusal y manteniendo los dientes remanentes en el sector anterior.
PALABRAS CLAVE: Sobredentadura maxilar, Sobredentadura sin paladar, Pilar Locator, Pérdida soporte periodontal, Reporte de Caso.
ABSTRACT: Rehabilitation of periodontally compromised partially edentulous patients has always been a challenge at the prosthetic level, because the condition of the remaining teeth is not always adequate and the crown-root ratio is often affected by the sequelae of periodontal disease. In these borderline situations, the use of osseointegrated implants accompanied by resilient attachments improves the retention of a conventional removable partial denture, reducing the risk of overloading the remaining teeth. This case report presents a comprehensive rehabilitation, resolved with a maxillary partial overdenture without palatal coverage on Locator® abutments, minimizing the load on the remaining pieces of group II with periodontal sequelae; and a rehabilitation of the mandibular arch with direct, indirect and fixed prosthesis. In this way, it was possible to recover functionality, occlusal support and keep the remaining teeth in the front part of the maxilla.
KEY WORDS: Maxillary Implant Overdenture, Palateless Overdenture, Locator Attachment, Periodontal Attachment Loss, Case Report.
INTRODUCCIÓN:
El manejo protésico de pacientes parcialmente desdentados con secuela periodontal ha sido por años un gran desafío para el clínico. En función de esto, muchas veces el diseño protésico se debe realizar evaluando el estado periodontal y remanente coronario de dichos pilares, pero sin dejar de lado las prioridades del paciente tanto estéticas como de confort1.
Hoy en día, gracias a la implantología oral, es posible modificar a conveniencia los diseños protésicos mejorando la vía de carga y anclaje en casos donde no se logren resultados óptimos realizando prótesis parcial removible convencional2,3. Encontramos básicamente 3 tipos de formas de retener por medio de implantes una prótesis removible: “barra”, “bolas” y “retenedores resilientes sobre pilares Locator®”4, estos últimos son bien tolerados por los pacientes, poseen poca altura supra gingival y permiten ser usados en espacios interoclusales reducidos (6-7 mm). Es así como se puede evitar el uso de retenedores en dientes que no cumplan condiciones óptimas para ejercer un rol de diente pilar (proporción corono radicular desfavorable, movilidad dentaria grado 2 y 3)1, desplazando la carga a los implantes y estructuras protésicas5,6.
Según la evidencia existente, el número mínimo de implantes para la instalación de una sobredentadura maxilar es de 4 implantes correctamente distribuidos, todos con superficie tratada y de un largo, idealmente, no menor a 10 mm7. Si se cumplen las condiciones anteriores, los implantes y la sobredentadura tienen una tasa de sobrevida de 98% a los 5 años8.
En este reporte de caso, se plantea una rehabilitación integral en base al uso de 4 pilares Locator® sobre implantes maxilares, distribuidos óptimamente para retener una sobredentadura parcial, evitando la sobre carga de los dientes remanentes del grupo II con proporción corono radicular desfavorable. Lo anterior, realizado posterior a la rehabilitación del arco mandibular.
Informe del Caso:
Paciente de género femenino, 76 años de edad, jubilada sin otra fuente de ingreso, ASA II por HTA y artrosis de cadera controlada con Losartán y AINES respectivamente. Portadora de prótesis parcial removible superior por más de 20 años, consulta por recambio de prótesis inmediata instalada posterior a exodoncia del diente 2.2 (pilar distal de su anterior prótesis) ya que presenta evidentes problemas de ajuste y retención.
La paciente completó solo estudios básicos.
Hallazgos clínicos:
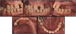
Paciente desdentada parcial superior e inferior (Figura 1), clase Kennedy-Applegate I superior, con remanencia de dientes 1.3 a 2.1, diastemadas, proinclinadas, movilidad grado 2 y profundidades al sondaje de 3 mm. Al consultar a la paciente sobre la opción de cerrar el diastema central o ser incluido en la rehabilitación, ella manifiesta que es prioridad mantenerlo sin alteración. Ausencia de soporte oclusal posterior y guías desoclusivas. Sin alteración de la DVO según parámetros faciales, objetivos (VD meter®(9) y fonéticos 10. Alteración del arco mandibular por extrusión de diente 4.6 y dientes 4.4, 4.1 y 3.1 bajo el plano oclusal, con una distancia inter-arco de 5 mm en lado derecho y de 7 mm en el lado izquierdo. Oclusión no fisiológica. En la relación transversal de los maxilares podemos observar una compresión del maxilar superior respecto a la mandíbula.

Evaluación diagnóstica:
Se solicitó set de radiografías periapicales y CBCT maxilar usando una guía radiográfica (Tabla 1), donde se observó buena disponibilidad ósea para la zona del diente 1.5, siendo posible la instalación de implantes en las zonas 1.5, 1.3, 2.2 y 2.5.

Adicionalmente, se realizó un encerado diagnóstico aumentando la DVO de forma instrumental en 2 mm11, esto aumentó el espacio inter-arco permitiendo mejorar el espacio protésico intermaxilar. Con esto se determinó una nueva DVO terapéutica y guía para la rehabilitación del plano inferior.
Se realizó una interconsulta con especialista en periodoncia en donde se evaluaron los siguientes parámetros periodontales: Índice de placa (16% O’Leary), Sangrado al sondaje (16% de sitios), Pérdida inserción clínica (-2.3 mm promedio), Profundidad de sondaje (1.9 mm promedio), dando un pronóstico favorable para los dientes remanentes. Diente 1.3 con pronóstico particular comprometido.
En endodoncia la paciente fue evaluada por los dientes 1.3, 4.2 y 4.1, estableciéndose en todas, un diagnóstico de Periodontitis Apical Asintomática, indicándose el re tratamiento endodóntico para dientes 4.2 y 4.1 y pronóstico favorable, diente 1.3 cuestionable.
En rehabilitación oral se determinó un pronóstico general favorable. Diente 1.3 con pronóstico particular comprometido.
Luego de las interconsultas realizadas, el pronóstico particular para el diente 1.3 es comprometido .
Finalmente, luego del análisis periodontal, endodóntico y rehabilitador particular, se indicó un pronóstico terapéutico general favorable12.
Tratamiento:
Se estableció un plan de tratamiento en base a una sobredentadura parcial superior para rehabilitar el edentulismo parcial maxilar y compresión maxilar, entendiéndose como una prótesis dentogingival. Se realizó la instalación de 4 implantes en maxilar superior y la exodoncia del diente 1.3 con instalación de implante inmediato en el sitio. Se consideró, dadas las características del reborde alveolar, el uso de expansión alveolar en conjunto con regeneración ósea guiada (ROG) simultánea13.
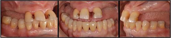
Durante el proceso de oseointegración, se procedió a la rehabilitación del arco inferior, consistente en resinas estratificadas, tabletops y full veneers de E.max Press®, cerrando diastemas y nivelando el plano oclusal. (Figura 2).

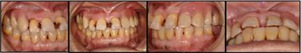
Luego de 7 meses post instalación de implantes, se procedió a la cirugía de conexión. Después de 14 días, se realizó la instalación de pilares Locator® (Figura 3).

Se tomó una impresión definitiva con cubeta individual y silicona monofásica para confeccionar la base metálica. El diseño de esta estructura fue en herradura, dejando libre la bóveda palatina2,3,5,6 manteniendo un diseño similar a la prótesis que la paciente usó hasta la pérdida de sus dientes pilares, asegurando una buena adaptación post operatoria. Una vez aprobada la subestructura metálica, enfilado dentario y acrilizado, se procedió a la instalación de los patrix del sistema Locator®, realizando la captación directamente en boca con acrílico Reline® (Figura 3). Finalmente, una vez chequeada la oclusión dejando un esquema oclusal balanceado bilateral, y dejando leve contacto en los dientes del sector anterior, se dan indicaciones de cuidado e higiene la paciente (Figura 4).

Seguimiento y Outcomes:
Luego de 1 año post instalación la paciente relata sentirse cómoda, funcional y estéticamente, logrando una correcta adaptación al dispositivo protésico. Se realizó el cuestionario OHIP-14Sp14 tanto al inicio del tratamiento como a 1 año post instalación, evidenciándose una clara mejoría en la calidad de vida de la paciente (Inicial: 19 puntos, 1 año post tratamiento: 2 puntos).
DISCUSIÓN:
En este reporte de caso se usó una sobredentadura para rehabilitar el edentulismo parcial superior de una paciente secuelada periodontalmente con larga data de uso de prótesis removible. Se consideró este diseño enfocándose en las prioridades funcionales, económicas y estéticas de la paciente, buscando mantener el mayor capital dentario posible.
La evidencia muestra que este tratamiento es una alternativa válida en casos donde se deben rehabilitar deficiencias tridimensionales, a la vez que mejora la retención y minimiza la carga en los dientes remanentes2,3.
En este caso particular, se realizó la instalación de 4 implantes y pilares Locator®, con una buena distribución A-P, distribuyendo de mejor manera las cargas oclusales. De este modo, se logró que el soporte sea principalmente a expensas de los implantes, permitiendo dejar libre la bóveda palatina. Este diseño protésico ha demostrado no generar problemas significativos tanto en la sobredentadura como en implantes, además de mejorar la calidad de vida del paciente7.
Estudios han demostrado que las cargas oclusales son absorbidas principalmente por los implantes y reborde residual, siendo por lo tanto una prótesis implanto-retenida e implanto-mucosoportada5,15. Esto fue comprobado por Damghani et al.5, en su estudio concluye que desde 4 implantes correctamente distribuidos (separación mínima de 16 mm en sentido A-P) en sobredentaduras con cobertura palatina, la presión en la bóveda palatina disminuye considerablemente, por lo que bajo este esquema no se justifica una cobertura palatina.
Se utilizaron pilares Locator® como sistema de retención, dada la limitada distancia inter-arco, facilidad de higiene y buenos resultados en la retención protésica2,3. Por otro lado, sobre la necesidad de ferulizar los pilares la evidencia demuestra que no existen diferencias significativas entre pilares ferulizados y no ferulizados en sobrevida de implantes y prótesis8.
El tratamiento impactó significativamente en la calidad de vida de la paciente, aumentando las 4 dimensiones medidas por el cuestionario OHIP-14Sp14, similar a los resultados obtenidos por Di Francesco y cols.8. Cabe destacar que no existen otros reportes de casos con este tipo de intervención en Chile y Latinoamérica.
CONCLUSIONES:
El uso de una sobredentadura parcial sobre 4 implantes con pilares Locator® es una alternativa viable para el tratamiento del edentulismo parcial maxilar en pacientes con secuela periodontal.
Bibliografía
Zarb GA, MacKay HF. The partially edentulous patient. I. The biologic price of prosthodontic intervention. Aust Dent J. 1980;25(2):63-8.
Chikunov I, Doan P, Vahidi F. Implant-retained partial overdenture with resilient attachments. J Prosthodont. 2008;17(2):141-8.
Cavallaro JS, Tarnow DP. Unsplinted implants retaining maxillary overdentures with partial palatal coverage: report of 5 consecutive cases. Int J Oral Maxillofac Implants. 2007;22(5):808-14.
Krennmair G, Seemann R, Fazekas A, Ewers R, Piehslinger E. Patient preference and satisfaction with implant-supported mandibular overdentures retained with ball or locator attachments: a crossover clinical trial. Int J Oral Maxillofac Implants . 2012;27(6):1560-8.
Damghani S, Masri R, Driscoll CF, Romberg E. The effect of number and distribution of unsplinted maxillary implants on the load transfer in implant-retained maxillary overdentures: An in vitro study. J Prosthet Dent. 2012;107(6):358-65.
Di Francesco F, De Marco G, Sommella A, Lanza A. Splinting vs not splinting four implants supporting a maxillary overdenture: a systematic review. Int J Prosthodont. 2019;32(6):509-18.
Sadowsky S, Zitzmann N. Protocols for the maxillary implant overdenture: a systematic review. Int J Oral Maxillofac Implants . 2017;31:s182-91.
Di Francesco F, De Marco G, Gironi Carnevale UA, Lanza M, Lanza A. The number of implants required to support a maxillary overdenture: a systematic review and meta-analysis. J Prosthodont Res. 2019;63(1):15-24.
Morata C, Pizarro A, Gonzalez H, Frugone-Zambra R. A craniometry-based predictive model to determine occlusal vertical dimension. J Prosthet Dent . 2020 Apr 1;123(4):611-7.
Alhajj MN, Khalifa N, Abduo J, Amran AG, Ismail IA. Determination of occlusal vertical dimension for complete dentures patients: an updated review. J Oral Rehabil. 2017;44(11):896-907.
Abduo J, Lyons K. Clinical considerations for increasing occlusal vertical dimension: A review. Aust Dent J . 2012;57(1):2-10.
Samet N, Jotkowitz A. Classification and prognosis evaluation of individual teeth - a comprehensive approach. Quintessence Int. 2009;40(5):377-87.
Shalabi MM, Manders P, Mulder J, Jansen JA, Creugers NHJ. A meta-analysis of clinical studies to estimate the 4.5-year survival rate of implants placed with the osteotome technique. Int J Oral Maxillofac Implants . 2007;22(1):110-6.
León S, Bravo-Cavicchioli D, Correa-Beltrán G, Giacaman RA. Validation of the Spanish version of the Oral Health Impact Profile (OHIP-14Sp) in elderly Chileans. BMC Oral Health. 2014 Aug 4;14(1):95.
Takahashi T, Gonda T, Tomita A, Maeda Y. Effect of attachment type on implant strain in maxillary implant overdentures: comparison of ball, locator, and magnet attachments. Part 2: Palateless dentures. Int J Oral Maxillofac Implants . 2018;33(2):357-64
Notas
Notas de autor
* Correspondencia Autor: Mario Barros Cariola | Dirección: Domingo Bondi 925, Las Condes, Santiago de Chile. | E-mail: mbarroscariola@gmail.com
Declaración de intereses