REPORTE CLÍNICO
Transición de prótesis removible a rehabilitación fija de arco completo sobre implantes: Impacto en el perfil facial. Reporte de caso.
Transition from removable denture to a fixed full-arch implant-supported dental prosthesis: Impact on facial profile. Case report
Transición de prótesis removible a rehabilitación fija de arco completo sobre implantes: Impacto en el perfil facial. Reporte de caso.
International journal of interdisciplinary dentistry, vol. 15, núm. 3, pp. 223-226, 2022
Sociedad de Periodoncia de Chile Implantología Rehabilitación Odontopediatria Ortodoncia
Recepción: 09 Diciembre 2020
Recibido del documento revisado: 21 Marzo 2021
Aprobación: 26 Abril 2021
RESUMEN: El perfil facial de un paciente con prótesis total removible podría no ser óptimo cuando el paciente tiene rebordes óseos conservados tridimensionalmente, planteando la necesidad de una prótesis dentaria y no dentogingival. El objetivo de este reporte es describir la transición y tratamiento de una paciente desdentada maxilar, usuaria de prótesis removible con excesivo soporte labial y disponibilidad ósea favorable. En la planificación se prueban parámetros estéticos mediante una ordenación dentaria sin flanco y en base a esta se planifica una “Cirugía de Implantes Protésicamente Guiada” para rehabilitación fija de arco completo sobre implantes en posiciones 1.6, 1.3, 1.1, 2.1, 2.3 y 2.6. Se concluye que con la técnica descrita se puede realizar una evaluación clínica veraz de la propuesta protésica, lo que se traspasa a la guía radiográfica y quirúrgica. Lo anterior permite consistencia entre planificación, cirugía, provisonalización y prótesis definitiva.
PALABRAS CLAVE: Maxilar edéntulo, Prótesis removible, Prótesis implanto-soportada, Estética dental.
ABSTRACT: The facial profile of a patient with a complete removable denture may not be optimal when the patient has a three-dimensionally preserved bone ridge, raising the need for a dental rather than dentogingival prosthesis. The objective of this report is to describe the transition and treatment of a maxillary edentulous patient, user of a removable prosthesis with excessive lip support and favorable bone availability. In the planning phase, aesthetic parameters are tested using a dental set-up without flank. Based on this, a “Prosthetically Driven Implant Surgery” is planned for a fixed full-arch implant-supported prosthesis with implants located in 1.6, 1.3, 1.1, 2.1, 2.3 and 2.6. It is concluded that, with the described technique, a truthful clinical evaluation of the prosthetic proposal can be performed, and then transferred to the radiographic and surgical guide. This allows consistency between planning, surgery, provisionalization and final prosthesis.
KEY WORDS: Edentulous Jaw, Partial Denture, Implant Supported Dental Prosthesis, Dental Esthetics..
INTRODUCCIÓN
Según la Encuesta Nacional de Salud (ENS), en Chile el 81,7% de la población igual o mayor a 65 años presentan dentición no funcional y el 22,4% utiliza prótesis total removible1. Éstas, son una buena alternativa cuando la dimensión vertical oclusal está disminuida y cuando el soporte labial está comprometido2. Otra alternativa de tratamiento para el edentulismo es la rehabilitación fija sobre implantes, pero requiere mayor preservación de las estructuras óseas remanentes. Conjuntamente, la línea y el soporte labial influyen drásticamente en el diseño de la prótesis. Actualmente, varios estudios muestran un interés creciente y mayor satisfacción con rehabilitaciones fijas en comparación con prótesis removibles3-5.
Cuando el motivo de consulta y las expectativas del paciente se combinan con el examen clínico y exámenes complementarios, se puede formular un diagnóstico y plan de tratamiento real e individualizado. Asimismo, la planificación debe ser transferida con una correcta ejecución que asegure los resultados esperados.
En el presente reporte de caso, se presenta la planificación y el tratamiento rehabilitador de una paciente portadora de prótesis maxilar removible, que debido a la disponibilidad ósea tridimensional y al soporte labial conservado, se rehabilita en base a prótesis fija de arco completo sobre 6 implantes.
INFORME DE CASO
Se presenta el caso de una paciente género femenino de 65 años de edad, ASA I, que consulta por cambio de prótesis removible a tratamiento fijo, para mejorar función (alimentación) y estética. Se aplica test Mini Mental (MMSE)6 como parte de la evaluación odontogeriátrica, donde la paciente obtuvo puntaje máximo, es decir, no presenta alteraciones cognitivas. Desdentada parcial maxilar con permanencia de diente 2.7. Al examen clínico, con la prótesis removible (PR) se observa soporte labial protruído y overjet de 5mm; al retirarla, se observa leve deficiencia en soporte labial por pérdida de dientes anteriores. Los rebordes óseos maxilares están bien conservados en altura y ancho, observándose según Pollini et al, una relación Labio-Diente-Reborde Clase I sin defecto (LTR Class I)7. Como antagonista presenta dentición natural y rehabilitación fija plural sobre implantes en 4.4 y 4.6 con 4.5 de intermediario y, PFU implantosoportada en 3.6; ambas realizadas en una etapa previa. La Dimensión Vertical Oclusal (DVO) de la paciente con prótesis es 59 mm y su espacio de inclusión fisiológica es 1mm. Simultáneamente, se evalúa DVO con VD-Meter8 otorgando un valor de 60 mm. El espacio disponible entre el reborde maxilar y dientes inferiores es de 7 a 9mm. Se obtienen modelos de estudio y se realiza montaje en articulador semiajustable en Relación Céntrica.
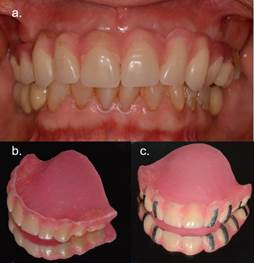
Al instalar la prótesis removible (PR) se pesquisa protrusión labial, línea media superior desviada a la izquierda y un enfilado asimétrico posterior bilateral (Figura 1a, b y c). Debido a esto, se realiza un nuevo enfilado dentario en articulador, sobre una lámina de acrílico de fotocurado para soporte palatino (Profibase®,Voco) y con dientes de acrílico Marché® (Figura 2a y 2b). El enfilado en la zona posterior consta de un premolar y primer molar, para dar contactos posteriores funcionales. Además de corregir parámetros funcionales y estéticos, se confecciona sin flanco para evaluar el soporte labial y perfil facial. Clínicamente se observa una integración facial natural y armónica al agregar exclusivamente dientes (Figura 3).



Posteriormente, este enfilado se transforma en guía radiográfica, agregando marcadores radiopacos en dientes específicos (Figura 2c). Los marcadores radiográficos se confeccionan con bandas de láminas de plomo de 2 mm de ancho y adheridas de vestibular a palatino hasta el límite amelo-cementario. Se solicita un Cone Beam Computarized Tomography (CBCT) con la guía radiográfica y, con el software del CBCT (Romexis®, Planmeca), se realiza el análisis de los sitios y la planificación digital 3D. Se seleccionan implantes Roxolid SLA® Bone Level Tapered (Straumann®), respetando distancias biológicas de Tarnow et al9 y Grunder et al10. Se planifican implantes de 4.8x12mm. para sitios 1.6 y 2.6; de 3.3x14mm. para 1.1 y 1.3; y de 3.3x12mm. para 2.1 y 2.3.
La guía radiográfica usada anteriormente es transformada en guía quirúrgica no estricta, perforando los sitios donde se instalarán los implantes para el paso de la fresa piloto. La cirugía se efectúa bajo anestesia local con técnica infiltrativa maxilar. Se realiza incisión supracrestal y colgajo semi Newman bilateral con descarga vertical hacia distal. Luego, se realizan osteotomías y la instalación de los implantes quedando todos sumergidos, con un torque de inserción mayor a 40Ncm. Se toma radiografía panorámica de control inmediato post-cirugía (Figura 4). La PR de la paciente se espacía para no sobrecomprimir tejidos blandos. Se controla a los 7 días, donde se retiran las suturas y se rebasa prótesis con rebasador blando (COE Soft, GC®). Posteriormente, se realizan controles mensuales sin complicaciones.
A los 3 meses, se realiza la cirugía de conexión. En esta etapa, nuevamente se utilizó el enfilado/guía quirúrgica para facilitar la ubicación de los implantes. A las dos semanas se toma impresión con los pilares de cicatrización y se solicita al laboratorio digitalizar el enfilado de planificación para confeccionar provisorio CAD/CAM (Computer Aided Design - Computer Aided Manufacturing) de polimetilmetacrilato (PMMA) y sobreponerlo en este nuevo modelo.

Debido al paralelismo y la angulación vestíbulo-palatina de los implantes en zonas de 1.1 y 2.1, se seleccionan e instalan pilares cónicos screw-retained abutments (Straumann®) con 0° de angulación y de 1 mm. de altura, torqueados a 35Ncm.
En la instalación del provisorio se realiza des-epitelización de tejido blando en zona de intermediarios: 1.4, 1.2, 2.2 y 2.4 para sculpting gingival; se adapta provisorio con terminación ovoide y se chequea oclusión. Posteriormente, se agregaron incrementos de resina fluida en los pónticos de forma gradual. A los 2 meses, el sculpting de tejidos blandos peri-implantarios se encuentra estable (Figura 5a y b).
La impresión definitiva se realizó con cubeta individual a nivel de pilares cónicos, con técnica de cubeta abierta y polivinilsiloxano de adición monofásico (EliteHD monophase, Zhermack®). Previamente, todos los pilares de impresión fueron individualizados con técnica indirecta para transferir los perfiles de emergencia y se ferulizaron con resina acrílica autopolimerizable de baja contracción (Pattern Resin LS, GC®) (Figura 5c).
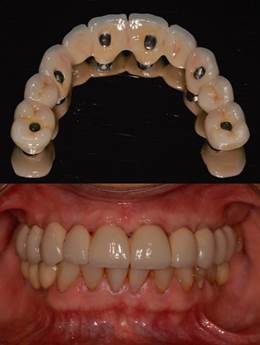
Para la fabricación de la estructura definitiva, se solicita al laboratorio confeccionar una estructura metálica CAD-CAM de arco total en relación a la prótesis provisoria, para lo cual se toman matrices de silicona del contorno del provisorio. Se chequea el asentamiento y ajuste pasivo de la estructura clínica y radiográficamente, se revisan espacios disponibles para la porcelana (Figura 5d). Se solicita al laboratorio la adición de porcelana feldespática de recubrimiento. Posteriormente se prueba estructura final, se chequea oclusión, se realizan ajustes en zona de troneras para dejar espacios higienizables y se envía nuevamente a laboratorio para glaseado. El día de la instalación definitiva se asienta la estructura de forma pasiva y se torquea de manera cruzada. Se da torque definitivo sugerido por el fabricante de 15 Ncm. Se sellan chimeneas, se chequea oclusión y se realiza pulido final (Figura 6). Finalmente, se logra una oclusión funcional y estable, además de un perfil y soporte labial armónicos, al restituir únicamente estructura dentaria (Figura 7).



DISCUSIÓN
El objetivo de una rehabilitación implantoasistida es obtener salud de los tejidos biológicos, funcionalidad y estética óptimas. Para lograr esto, primero es necesario visualizar la rehabilitación final y que esto guíe la posición quirúrgica de los implantes. Esto se ha denominado Cirugía de Implantes Protésicamente Guiada.
Para definir qué tipo de rehabilitación protésica es la adecuada para un paciente desde el punto de vista funcional y estético, es clave identificar la disponibilidad de tejidos duros y blandos. En base a esto se podrá definir qué tipo de deficiencias en sentido vertical y horizontal existen y así, determinar cuál es la rehabilitación más adecuada para restaurar las estructuras ausentes. Cuando los rebordes edéntulos se encuentran conservados tridimensionalmente, la rehabilitación corresponde a tejido dentario y la opción ideal es una prótesis fija sobre implantes. Cuando existe una deficiencia vertical de tejidos duros y blandos, se necesita una rehabilitación dentogingival, es decir incorporar a la prótesis fija encía rosada, lo cual puede ser a través de una prótesis fija metal-cerámica, de zirconio o una prótesis híbrida metal-acrílica. Cuando los rebordes se observan con una deficiencia vertical y horizontal importante, se enfrenta un desafío mayor, que es dar soporte labial significativo con una prótesis dento-gingival con flancos. Esto puede ser resuelto con sobredentaduras implanto-asistidas con ataches individuales o barras 7.
En este caso, un enfilado dentario sin flancos del tratamiento propuesto, fue útil para realizar una prueba estética y para chequear soporte labial, fonética, línea blanca y línea de la sonrisa, que en este caso fue baja, lo cual indicaba un caso de bajo riesgo estético. Este mismo dispositivo se utilizó para fabricar la guía radiográfica. La transferencia de esta plantilla a las imágenes radiográficas es la información más útil para determinar el plan quirúrgico. Luego, el cirujano traspasa esta información al paciente modificando la guía radiográfica para utilizarla como guía quirúrgica 11. Respecto al número de implantes, una revisión sistemática reciente concluye que para soportar una prótesis fija de arco completo maxilar o mandibular, el uso de menos de 5 implantes, en comparación con 5 o más implantes por arco, presentan tasas de supervivencia similares 12.
La decisión de conservar el diente 2.7 que tiene un pronóstico Clase A o bueno según Samet et al13, se consideró como beneficioso, debido a que presenta contacto con antagonista (PFU sobre implante), lo que nos ayuda en la determinación de la DVO, además de la ventaja de la mecanopercepción pulpar y periodontal, que es superior a la oseopercepción lograda por los implantes 14,15.
Finalmente, la evidencia ha demostrado altas tasas de sobrevida de los implantes en rehabilitaciones fijas de arco completo, de hasta el 98,7% en un tiempo medio de 5,2 años 3.
CONCLUSIÓN
Considerando las limitaciones de este reporte de caso, la prótesis fija de arco completo sobre implantes se plantea como una opción viable para rehabilitar pacientes portadores de prótesis removibles con rebordes óseos conservados. La correcta sinergia entre diagnóstico, planificación y ejecución permitió mejorar la estética, al lograr un perfil facial y soporte labial natural.
Consentimiento informado: La paciente entrega su consentimiento para el uso y publicación de sus fotografías e información de ficha clínica, sin comprometer su identidad, según normas de la “Clínica Odontológica Docente de la Universidad Católica de Chile” (CODUC).
Bibliografía
Ministerio de Salud de Chile. Encuesta Nacional de Salud (ENS) 2016-2017. Segunda entrega de resultados [Internet]. Departamento de Epidemiología; MINSAL, 2018. p. 11-12. [citado el 3 de Octubre 2020]. Available from: Available from: https://www.minsal.cl/wp-content/.../2-Resultados-ENS_MINSAL_31_01_2018.pdf
Aparecida I, Sartori DM, Uhlendorf Y, Eduardo L, Padovan M, Domingos P, et al. Attachment-Retained gingival prosthesis for implant-supported fixed dental prosthesis in the maxilla: a clinical report. J Prosthodont. 2014;23:654-8.
Papaspyridakos P, Weber HP, Bordin TB, Jeong Y, Catherine K, Sarah D, et al. Implant survival rates and biologic complications with implant-supported fixed complete dental prostheses: A retrospective study with up to 12 - year follow - up. Clin Oral Impl Res. 2018;29(8):881-93.
Abdou M, Mohamed E, Osama E, Askar M, Youssef G, Tonbary A. Patient satisfaction and oral health-related quality of life (OHRQoL) of conventional denture, fixed prosthesis and milled bar overdenture for All-on-4 implant rehabilitation. A crossover study. Clin Oral Impl Res . 2019;30(11):1-11.
Oh S, Kim Y, Park J, Kim S, Park S. Comparison of fixed implant-supported prostheses, removable implant-supported prostheses, and complete dentures: patient satisfaction and oral health-related quality of life. Clin Oral Impl Res . 2016;2:e31-7.
Folstein MF, Folstein SE, McHugh PR. Mini-mental state: a practical method for grading the cognitive state of patients for the clinician. J Psychiat Res. 1975;12:189-98.
Pollini A, Goldberg J, Mitrani R MD. The lip-tooth-ridge classification: a guidepost for edentulous maxillary arches. diagnosis, risk assessment, and implant treatment indications. Int J Periodontics Restorative Dent. 2017;37(6):835-41.
Morata C, Pizarro A, Gonzalez H, Frugone-zambra R. A craniometry-based predictive model to determine occlusal vertical dimension. J Prosthet Dent. 2020;123(4):611-7.
Tarnow DP, Cho SC, Wallace SS. The effect of inter-implant distance on the height of inter-implant bone crest. J Periodontol. 2000;71(4):546-9.
Grunder U, Gracis S, Capelli M. Influence of 3-D bone-to-implant relationship on esthetics. Int J Periodontics Restor Dent. 2005;25(2):113-9.
Handelsman M. Surgical guidelines for dental implant placement. Br Dent J. 2006;201(3):139-52.
Polido WD, Taylor TD, Aghaloo T, Emmett TW, Morton D. Number of implants placed for complete-arch fixed prostheses: A systematic review and meta-analysis. Clin Oral Impl Res . 2018;29(16):154-83.
Samet N, Jotkowitz DMDA. Classification and prognosis evaluation of individual teeth. A comprehensive approach. Quintessence Int. 2009;40(5):377-87.
Trulsson M. Sensory and motor function of teeth and dental Implants: A basis for osseoperception. Clin Exp Pharmacol Physiol. 2005;32:119-22.
Klineberg I, Murray G. Osseoperception: Sensory function and proprioception. Adv Dent Res. 1999;13:120-9
Notas
Notas de autor
* Correspondencia Autor: Constanza Gutiérrez Mendoza | Dirección: Alcalá de Henares 7262, La Reina, Santiago de Chile. | E-mail: cbegutierrez@gmail.com
Declaración de intereses