REPORTE CLÍNICO
Intrusión acelerada con miniimplantes y corticotomía para crear espacio protésico para implante.
Accelerated intrusion with mini-implant and corticotomy to create prosthetic space for an implant.
Intrusión acelerada con miniimplantes y corticotomía para crear espacio protésico para implante.
International journal of interdisciplinary dentistry, vol. 16, núm. 1, pp. 76-78, 2023
Sociedad de Periodoncia de Chile Implantología Rehabilitación Odontopediatria Ortodoncia
Recepción: 23 Enero 2022
Recibido del documento revisado: 18 Agosto 2022
Aprobación: 23 Agosto 2022
RESUMEN: La ausencia de un diente puede originar sobre-erupción de su antagonista debido al movimiento fisiológico. Distintos métodos se han empleado para lograr la rehabilitación en espacios interoclusales reducidos, la mayoría implica un tallado del diente antagonista o incluso la extracción dental. La intrusión dental periodontalmente asistida (corticotomía), es una alternativa terapéutica en la que el tallado del diente extruido ya no es necesario, conservando su integridad coronaria. Reporte de caso: Paciente femenino de 56 años con ausencia del 4.7, además presenta sobre-erupción del 1.7, limitando el espacio interoclusal y su rehabilitación. Se realizó intrusión del 1.7 mediante corticotomía con el Piezoeléctrico (técnica Piezocision) así como la colocación de minitornillos de ortodoncia para anclaje. Obtenido dicho espacio interoclusal, se rehabilitó con un implante dental. Conclusiones: La intrusión de molares con el apoyo de mini-implantes y corticotomías es un procedimiento que tiene como beneficio la creación de un espacio interoclusal para su restauración en un periodo corto de tiempo, sin tallar la estructura dentaria.
PALABRAS CLAVE: Espacio interoclusal, intrusión, mini-implante, corticotomía, implante.
ABSTRACT: The absence of a tooth can cause over-eruption of its antagonist due to a physiological movement. Different methods have been used to achieve rehabilitation in reduced interocclusal spaces. Most of them involve the wear of the opposing tooth or even dental extraction. Periodontal-assisted dental intrusion is a therapeutic alternative that does not require the reduction of the extruded tooth and preserves its structure. Case report: 56-year-old female patient with absence of tooth 4.7, also presenting an over-eruption of 1.7, limiting the interocclusal space and rehabilitation. Intrusion of tooth 1.7 was performed with corticotomy using the piezocision technique and placement of mini-screws followed by the placement of a dental implant. Conclusions: The intrusion of molars aided by orthodontic mini-screws and piezocision technique is an effective treatment, whose benefit is the creation of an ideal prosthetic space in a short period of time, avoiding the reduction of dental structure.
KEY WORDS: Interocclusal space, intrusion, mini-screws, corticotomy, implant.
INTRODUCCIÓN
La rehabilitación protésica de pacientes parcialmente desdentados puede ser un desafío cuando el espacio interoclusal es limitado1. Cuando se extraen los dientes posteriores y el espacio edéntulo emergente se deja sin tratar durante un periodo prolongado, la extrusión, el desplazamiento, la inclinación y la rotación de los dientes adyacentes y/o antagonistas pueden reducir el espacio necesario para fabricar prótesis parcial fija2.
Es necesario contar con un espacio interoclusal adecuado para la colocación de una prótesis dental; es decir, contar con un espacio entre los dientes antagonistas que permita colocar una prótesis sin interferir en función, estética y biología del sitio a rehabilitar. Según Misch3, el espacio interoclusal debe tener una distancia vertical de al menos 8-12 mm. Recuperar el espacio interoclusal es un requisito para el éxito del tratamiento en estos casos. Abordajes interdisciplinarios, como la reducción de los dientes sobreerupcionados, que pueden requerir una combinación de e tratamiento de endodoncia, cirugía periodontal y prótesis fija posteriormente; extracción de los dientes sobreerupcionados; reconstrucción quirúrgica del espacio desdentado e intrusión ortodóntica de los dientes extruidos para recuperar el espacio original2,4,5.
El manejo de intrusión de molares con mini-implantes es una terapia bien aceptada por los pacientes4. Tiene muchas ventajas incluidas, entre ellas la facilidad de ser colocados en múltiples sitios, considerado como un procedimiento sencillo, económico y bien tolerado por el paciente6. Las corticotomías son una cirugía que proporciona un fenómeno regional acelerado en el movimiento dental mediado por el ligamento periodontal junto con la morfología dental7.
Para reconstruir la oclusión en posterior y mantener la salud periodontal, es necesario un enfoque interdisciplinario e integral. Los implantes dentales se han convertido en una terapia predecible y confiable en el reemplazo de dientes perdidos8. Estudios prospectivos a 10 años muestran una tasa de supervivencia y éxito de un 95%9,10.
El objetivo de este reporte de caso consiste en presentar el manejo integral de un sitio edéntulo; el cual sufrió extrusión de diente antagonista y fue tratado mediante tratamiento de intrusión con mini-implantes y corticotomía con el fin de crear un espacio interoclusal para la rehabilitación del espacio antagonista con un implante dental.
REPORTE DE CASO CLINICO
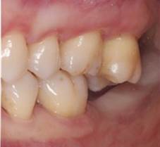
Se presenta a consulta una paciente de género femenino de 56 años, que su motivo de consulta es “necesito un implante”. En el interrogatorio de la historia clínica la paciente no presenta antecedentes patológicos ni no patológicos, por lo que fue clasificada como ASA I11. A la exploración clínica se observó la ausencia del segundo molar inferior derecho (4.7), el cual, refiere la paciente, perdió por caries. A su vez, se encontró la extrusión del molar antagonista (1.7) hacia el área a rehabilitar e inflamación gingival inducida por placa (Fig. 1).

PLAN DE TRATAMIENTO
Se planeó una fase higiénica convencional con destartraje, control de placa y raspados y alisados radiculares. La sustitución del 4.7 se planificó con la colocación de un implante dental de 5mm x 11.5mm (Hiossen). Se optó por la colocación de mini-implantes (MOSAS longitud 12 mm, Dewimed) en vestibular y palatino de la 1.7 con corticotomía mesial sin colgajo con la técnica piezocision (Piezo-Art), con el fin de intruir y crear un espacio protésico.
TRATAMIENTO
Fase higiénica
Se llevó a cabo la fase higiénica convencional con control de placa, eliminación de cálculo, pulido dental, raspado y alisado radicular del cuadrante I y IV y extracción del 1.8. Una vez llevada a cabo la revaloración a las 4 semanas se encontró un periodonto sano y se programó la cirugía.
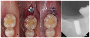
Colocación de implante dental cuadrante IV
Previa asepsia y antisepsia con yodopovidona, se aplicó anestesia local (articaína 4% con epinefrina 1:100000) en fondo de saco del 4.7 para bloquear el nervio alveolar inferior y se procedió a la colocación de implante de 5mm x 11.5mm (Hiossen) en 4.7 en adecuada tridimensionalidad planeada y siguiendo el protocolo de fresado recomendado por el fabricante (Fig. 2).

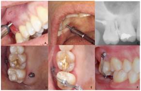
Inserción de los mini-implantes cuadrante I
Se infiltró articaína 4% con epinefrina 1:100000 en fondo de saco del 1.7 y 1.6 y palatino, posteriormente se realizó corticotomía en mesial del 1.7 con la técnica piezocisión descrita por Dibart12 (Fig. 3) posteriormente se realizaron las punciones en la zonas de inserción por medio de una sonda periodontal. Con el uso de un destornillador manual tamaño largo, fue colocado el mini-implante mesiovestibular y distopalatino. Una vez colocados, se tomó una radiografía periapical de control para verificar que los mini-implantes no dañaran las raíces de los dientes vecinos. Después se colocó un botón metálico en oclusal con la finalidad de evitar el desalojo de la cadena ortodóntica con la cual se realizaría la fuerza intrusiva (Fig.4).


INDICACIONES POST-QUIRURGICAS
Se indicó no cepillarse los dientes en la zona tratada durante 2 semanas, hasta retirar suturas. Además se prescribió como farmacoterapia amoxicilina de 750mg cada 12 horas durante 7 días, ketorolaco 10 mg 1 cada 8 horas por 5 días y clorhexidina al 0.12% 2 veces al día durante 1 min sin diluir13.
SEGUIMIENTO DEL CASO
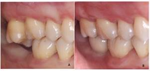
La paciente acudió a consulta de revisión cada 2 semanas. Se aplicó una fuerza de 150g. en el segundo molar superior derecho con una cadena ortodóntica cada 2 semanas eliminando un eslabón de esta misma durante 6 meses como lo escribe Kravitz y Carrillo4,6. Después de 5 meses postquirúrgicos, se descubrió el implante y se colocó el tornillo de segunda fase (5mm x 5mm) y fue retirado el botón oclusal del 1.7. Se colocó una corona atornillada sobre implante y se retiraron mini-implantes (Fig. 5).


RESULTADOS
Al finalizar el tratamiento se logró la intrusión de 4mm del segundo molar superior derecho sin complicaciones en el diente adyacente en 4 meses y la sustitución del espacio ausente del segundo molar inferior derecho por un implante dental. La paciente no refirió sintomatología de la ATM. Se le hizo hincapié sobre la importancia de continuar con su fase de mantenimiento cada 3 meses para asegurar salud periimplantaria y periodontal.
DISCUSIÓN
El espacio interoclusal menor a 8-12 mm para el tratamiento de prótesis parcial fija a veces puede mejorarse mediante la combinación de varias modalidades de tratamiento, como se hizo con éxito el presente caso. Este artículo muestra las ventajas de un tratamiento multidisciplinario y los beneficios que podemos obtener al trabajar con tratamientos poco invasivos como la técnica de piezocisión, el uso de mini-implantes e implantes dentales.
El reemplazo de dientes perdidos mediante restauraciones implantosoportadas es un enfoque de tratamiento ampliamente recomendado14. Los implantes dentales se han utilizado con éxito en la práctica clínica con una convincente tasa de supervivencia a diez años (95%)10. De acuerdo con Mish el espacio interoclusal debe ser por lo menos de 8-12mm de distancia en vertical. Sin embargo, el espacio edéntulo no restaurado debido a la pérdida de los dientes posteriores da como resultado un movimiento aleatorio de extrusión en los dientes adyacentes, lo que compromete la capacidad de colocar un implante. En tales casos, los tratamientos prostodónticos habituales que utilizan implantes dentales convencionales suponen un desafío para los médicos15.
En casos de espacio interoclusal reducido, los implantólogos tienen varias opciones para optimizar el espacio disponible para el implante. Sin embargo, estas opciones pueden prolongar o complicar aún más el tratamiento. Estas opciones incluyen: reducir los dientes opuestos sobre erupcionados (riesgo asociado - la pérdida de esmalte sano y puede ser necesario un tratamiento de endodoncia), reconstrucción quirúrgica del espacio desdentado, como la osteotomía segmentaria del maxilar posterior, intervención de ortodoncia para intruir los dientes extruidos; y el uso de mini-implantes15. Por tanto, existe la necesidad de una solución más sencilla y eficaz para tratar a los pacientes con un espacio interoclusal reducido.
El manejo de intrusión de molares con mini-implantes ortodónticos es una terapia con resultados favorables y aceptado por los pacientes ya que es un procedimiento conservador, económico y además evita el uso de aparatología fija en toda la arcada dentaria6. En el caso presentado se usaron dos mini-implantes uno en vestibular y palatino como anclaje para ejercer fuerza sobre 1.7 y comenzar una intrusión mecánica con ayuda de un botón de nance y cadena.
Becker y cols. nos dicen que los mini-implantes se colocan en las regiones vestibulares y lingual o palatina para obtener un mejor control del torque del diente, evitando así movimientos no deseados como rotaciones4.
La corticotomía fue introducida como una técnica suplementaria en la terapia ortodóntica para alcanzar movimientos dentales acelerados con una intervención quirúrgica mínima. Reduce el tiempo de tratamiento, eliminando la resistencia que ofrece el hueso cortical denso al movimiento ortodóntico y disminuye la reabsorción radicular y el daño al ligamento periodontal7. Vercellotti en el 2007 propone la corticotomía con el uso de piezoeléctrico. En el 2009 Dibart publica una técnica de corticotomía trasmucosa llamada piezocisión, menos invasiva que las anteriores. Los autores mencionan de una reducción del 60 a 70% del tiempo en el tratamiento en comparación con la ortodoncia tradicional12,16.
Es interesante observar que el molar intruído no presentó reabsorción radicular y una mayor cobertura de tejido gingival. Este fenómeno coincide con el estudio de Erkan y cols17, esto es, si un diente es intruído 1 mm. el margen gingival se moverá hacia coronal.
CONCLUSIONES
El manejo del espacio interoclusal limitado representa un desafío en el campo de la odontología. En el caso presentado, el resultado del tratamiento de orto-perio con el uso de mini-implantes y la intrusión dental periodontalmente asistida (corticotomía), mostró la intrusión de 4 mm, proporcionando suficiente espacio interoclusal para el tratamiento de colocación de un implante dental con su prótesis parcial fija en un periodo corto de tiempo en un paciente adulto.
AGRADECIMIENTOS
Gracias a CONACYT por la beca otorgada.
Bibliografía
Jung MH. Treatment of severe scissor bite in a middle-aged adult patient with orthodontic mini-implants. Am J Orthod Dentofacial Orthop. 2011;139(4):S154-65. doi: 10.1016/j.ajodo.2009.06.031.
Geckili O, Sakar O, Yurdakuloglu T, Firatli S, Bilhan H, Katiboglu B. Multidisciplinary management of limited interocclusal space: a clinical report: management of limited interocclusal space. J Prosthodont. 2011;20(4):329-32. doi: 10.1111/j.1532-849X.2011.00703.x.
Mish CE. Dental implant prosthetics. Mosby. 2005. 165-6.
Carrillo R, Buschang PH, Opperman LA, Franco PF, Rossouw PE. Segmental intrusion with mini-screw implant anchorage: A radiographic evaluation. Am J Orthod Dentofacial Orthop . 2007;132(5):576.e1-576.e6. doi: 10.1016/j.ajodo.2007.05.009.
Chen CM, Huang IY, Yang CF, Shen YS, Chen CH, Tseng YC, et al. Interdisciplinary management of dental implant patient: a case report. TKaohsiung J Med Sci. 2004;20(8):415-8. doi: 10.1016/S1607-551X(09)70179-2.
Kravitz ND, Kusnoto B, Tsay PT, Hohlt WF. Intrusion of overerupted upper first molar using two orthodontic miniscrews. Angle Orthod. 2007;77(5):915-22. doi: 10.2319/050106-187.1.
Wilcko W, Wilcko MT. Accelerating tooth movement: The case for corticotomy-induced orthodontics. Am J Orthod Dentofacial Orthop . 2013;144(1):4-12. doi: 10.1016/j.ajodo.2013.04.009.
Lekholm U, Gröndahl K, Jemt T. Outcome of oral implant treatment in partially edentulous jaws followed 20 years in clinical function. Clin Implant Dent Relat Res. 2006;8(4):178-86. doi: 10.1111/j.1708-8208.2006.00019.x.
Karoussis IK, Bragger U, Salvi GE, Burgin W, Lang NP. Effect of implant design on survival and success rates of titanium oral implants: a 10-year prospective cohort study of the ITIR Dental Implant System. Clin Oral Implants Res. 2004;15(1):8-17. doi: 10.1111/j.1600-0501.2004.00983.x.
Moraschini V, Poubel LA da C, Ferreira VF, Barboza E dos SP. Evaluation of survival and success rates of dental implants reported in longitudinal studies with a follow-up period of at least 10 years: a systematic review. Int J Oral Maxillofac Surg. 2015;44(3):377-88. doi: 10.1016/j.ijom.2014.10.023.
Maloney WJ, Weinberg MA. Implementation of the American Society of Anesthesiologists Physical Status Classification System in Periodontal Practice. J Periodontol. 2008;79(7):1124-6. doi: 10.1902/jop.2008.070625.
Dibart S, Sebaoun JD, Surmenian J. Piezocision: a minimally invasive, periodontally accelerated orthodontic tooth movement. Compend Contin Educ Dent. 2009;30:342-4, 346, 348-50.
Resnik RR, Misch C. Prophylactic Antibiotic regimens in oral implantology: rationale and protocol. Implant Dent. 2008;17(2):142-50. doi: 10.1097/ID.0b013e3181752b09.
Bassir SH, El Kholy K, Chen C, Lee KH, Intini G. Outcome of early dental implant placement versus other dental implant placement protocols: A systematic review and meta-analysis. J Periodontol . 2019;90(5):493-506. doi: 10.1002/JPER.18-0338.
Wang Y, Cen W, Huang JQ, Wei HW. Unconventional implant strategy for patients with a limited interocclusal space in the posterior region: a case report. BMC Oral Health. 2019;19(1):214. doi: 10.1186/s12903-019-0907-1.
Wilcko W, Wilcko MT. Accelerating tooth movement: The case for corticotomy-induced orthodontics. Am J Orthod Dentofacial Orthop . 2013;144(1):4-12. doi: 10.1016/j.ajodo.2013.04.009.
Erkan M, Pikdoken L, Usumez S. Gingival response to mandibular incisor intrusion. Am J Orthod Dentofacial Orthop . 2007;132(2):143.e9-143.e13. doi: 10.1016/j.ajodo.2006.10.015.
Notas
Notas de autor
* Correspondencia Autor: Mariela Pérez Benavides | Dirección: E. Aguirre Pequeño y Silao, Mitras Centro, Monterrey, N.L. México, CP 64460. | E-mail: marielaabenavid@gmail.com | Teléfono: +52 81 83294000 Extensión: 3192, 3100.
Declaración de intereses