REPORTE CLÍNICO
Tracción de tercer molar asociado a quiste dentígero y a nervio alveolar inferior: Reporte de caso.
Traction of the third molar associated with a dentigerous cyst and inferior alveolar nerve: A case report.
Tracción de tercer molar asociado a quiste dentígero y a nervio alveolar inferior: Reporte de caso.
International journal of interdisciplinary dentistry, vol. 16, núm. 1, pp. 82-84, 2023
Sociedad de Periodoncia de Chile Implantología Rehabilitación Odontopediatria Ortodoncia
Recepción: 09 Octubre 2021
Recibido del documento revisado: 24 Mayo 2022
Aprobación: 30 Junio 2022
RESUMEN
Caso: Paciente acude por tratamiento de un quiste dentígero asociado a un tercer molar desplazado hacia nervio alveolar inferior y borde basilar. Se realiza una descompresión del quiste, además de una tracción de la pieza con ortodoncia para posteriormente ser extraída de forma segura.
Conclusión: La tracción ortodóntica de tercer molar ofrece una buena alternativa frente a estos casos. Si bien la evolución del paciente frente a este tratamiento es favorable, falta evidencia que demuestre significativamente su eficacia.
PALABRAS CLAVE: Tercer Molar+ quiste dentígero+ tracción ortodóntica.
ABSTRACT
Case: Patient asks for treatment of a dentigerous cyst associated with a displaced third molar towards the inferior alveolar nerve and basilar border. A cyst decompression was performed, in addition to a traction of the tooth with orthodontics to be later extracted in a safe way.
Conclusion: Traction of the third molar offers a good choice in cases such as the one presented in this article. Although the evolution of the patient is favorable, there is a lack of evidence demonstrating its efficacy.
KEY WORDS: Third molar, dentigerous cyst, orthodontic extraction.
INTRODUCCIÓN
La cirugía de terceros molares es una de las prácticas más comunes en cirugía maxilofacial1. Estos dientes presentan una anatomía, posición y ubicación variables, determinando de este modo la manera en que se realizará cada procedimiento1-3. Existen estructuras anatómicas nobles en relación a los terceros molares que deben ser preservadas, entre ellas, por ejemplo, el nervio alveolar inferior (NAI)4. La complicación más común de alteraciones neurosensitivas es por extracción de terceros molares inferiores, producto de la cercanía que puede presentar el diente con esta estructura2. El daño puede ser temporal (4 a 6 meses) o permanente5, manifestando síntomas como sensación reducida (hipoestesia), anormal (parestesia) o desagradable (disestesia)6.
Por otro lado, existen patologías asociadas al tercer molar que aumentan la complejidad del procedimiento, tales como infecciones, fractura mandibular, daño al nervio milohioideo, lesiones tumorales o quísticas2,7.
Los quistes dentígeros son lesiones que se desarrollan por la expansión del folículo dental alrededor de un diente no erupcionado8, siendo el tercer molar inferior el diente más involucrado9-11. Es la segunda lesión más frecuente asociada a piezas dentarias y presenta una prevalencia de entre 11-33% dentro de todos los quistes odontogénicos9,10.
La indicación general de esta patología es la enucleación del quiste y la resección de la pieza dentaria, sin embargo, existen casos en que el tamaño de la lesión podría generar una fractura patológica10.
El objetivo de este estudio es presentar un reporte de caso de un paciente que presenta un tercer molar inferior asociado a un quiste dentígero, cuya lesión desplazó el diente hasta quedar inmerso dentro del canal alveolar inferior. Se describirá una técnica poco convencional que podría ofrecer una alternativa más segura y conservadora frente a estos casos.
CASO CLINICO
Paciente de 48 años, género masculino, acude a la Clínica Santa María por un aumento de volumen de larga data (pesquisado hace 3 años) en relación zona mandibular inferior derecha, la cual no ha recibido tratamiento puesto a que no ha generado síntomas en el tiempo. El paciente no tiene antecedentes mórbidos, no refiere consumo de medicamentos, sin hábito tabáquico o uso de otras sustancias.
Al examen clínico extraoral no se observan aumentos de volumen ni linfadenopatías. No hay parestesia del NAI derecho. Al examen intraoral no se observan alteraciones en tejidos blandos. La pieza 4.8 se encuentra clínicamente ausente, al palpar la zona no hay presencia de abombamiento de tablas.
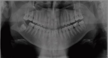
En la radiografía panorámica en el cual se hizo el hallazgo (Figura 1), se observa una imagen radiolúcida, redondeada, de límites definidos en relación a la corona del diente 4.8, que está incluido. En la tomografía computarizada cone beam, tomada al ingresar a nuestro servicio, se observa progresión de la lesión, con desplazamiento de la pieza dentaria a borde basilar mandibular. También es posible observar que este aumento de volumen respeta la anatomía mandibular, no perfora tablas ni hay evidencia de rizalisis (figura 2).


En base a las características clínicas y radiográficas de la lesión, el tiempo de progresión y ubicación, se elabora la hipótesis diagnóstica de quiste dentígero asociada a diente 4.8.
Se le explica al paciente las alternativas de tratamiento. La primera opción sería la enucleación y extracción inmediata de la pieza dentaria, que si bien sería un tratamiento más inmediato, presenta un pronóstico de tratamiento reservado por el alto riesgo a una alteración neurosensitiva del NAI y de una fractura mandibular. Por otro lado, se puede hacer una descompresión de la lesión, traccionar el tercer molar por ortodoncia fija para así alejar al diente del canal alveolar y posteriormente, extraerlo de una forma más segura, sin embargo, requerirá un seguimiento con controles periódicos.
Debido al alto riesgo de daño al NAI y tamaño de la lesión, además de un gran interés por parte del paciente para dar solución al caso, se decide en conjunto a realizar una descompresión del quiste más una extrusión del tercer molar mediante un botón de ortodoncia. El paciente no tiene ningún impedimento económico, geográfico o cultural para realizar este tratamiento.
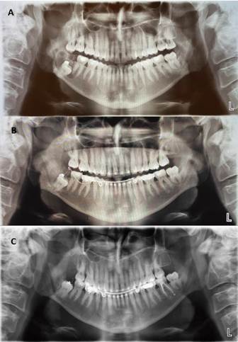
Primero se toma una muestra de la lesión quística (figura 3) y se cementa un botón de resina al diente 4.8. Además, se instala una cánula para descomprimir la lesión. Tras haber controlado al paciente 7 días después, es derivado a la especialidad de ortodoncia para la fijación y tracción del tercer molar (figura 4). La muestra es enviada a biopsia para estudio histopatológico, el cual confirma el diagnóstico de quiste dentígero.
Se hizo un seguimiento semanal del paciente durante el primer mes, luego mensual hasta completar 12 meses. En cada control se evaluaba el estado de la conexión, presencia o no de infección y la permanencia del botón de resina en el tercer molar. En caso de rotura del alambre, se volvía a instalar en los controles periódicos (figura 5).
Tras 12 meses de seguimiento, se logra observar una extrusión suficiente para realizar desinclusión del tercer molar con un bajo riesgo de daño al NAI, procedimiento el cual es llevado a cabo sin complicaciones (figura 6).




DISCUSION
Existen diversas técnicas para poder proteger el NAI, tales como la coronectomía, sin embargo, esta técnica puede traer consigo complicaciones tales como, periodontitis apical, infección, migración patológica de las raíces, entre otros12,13. En este caso se excluye esta técnica producto de que el diente estaba asociado a un extenso quiste, el cual no permitiría un correcto sellado de la porción apical.
Otra opción sería extraer el diente de inmediato. Esto no sólo, presenta un evidente riesgo de injuria al NAI como fue expuesto anteriormente, sino que estaría la necesidad de reforzar el macizo mandibular con una placa de reconstrucción más injerto óseo, para evitar una fractura patológica. La enucleación inmediata del quiste no está indicada en ningún caso, puesto que dejaría un defecto óseo considerable.
En la literatura se encuentran variaciones de ésta técnica, tales como cambiar el vector de fuerza desde el maxilar14 o incluso mediante el uso de microtornillos15. En todos coinciden que esta alternativa es sencilla, segura y costo efectiva, destacando la adherencia del paciente con el plan de tratamiento.
Una cavidad abierta con un aparato fijo es un factor predisponente para desarrollar biofilm y, por ende, un riesgo aumentado de infección. Es por esto, que se le indicó al paciente irrigación del acceso con CHX para mantener una correcta higiene del acceso.
Por otro lado, el compromiso del paciente, manejo interdisciplinario con ortodoncia y la adherencia al tratamiento, son claves para el éxito de este tipo de técnica. Nuestro paciente acudió prácticamente a todos los controles, involucrándose en el plan de tratamiento.
La extrusión ortodóntica del tercer molar ha demostrado ser efectiva reduciendo el riesgo, sin embargo, no queda exento de complicaciones, es más, si bien nuestro caso ha dado éxito, aún no hay suficiente evidencia que demuestre que la tracción ortodóntica disminuya significativamente el daño el nervio alveolar inferior14,15.
CONCLUSIÓN
La tracción ortodóntica de tercer molar ofrece una buena alternativa frente a estos casos. La cooperación del paciente, un correcto seguimiento y análisis del caso clínico son claves para el éxito. Si bien la evolución del paciente frente a este tratamiento es favorable, falta evidencia que demuestre significativamente su eficacia.
Bibliografía
Coulthard P, Bailey E, Esposito M, Furness S, Renton TF, Worthington HV. Surgical techniques for the removal of mandibular wisdom teeth. Cochrane Database Syst Rev. 2014;(7):CD004345. doi: 10.1002/14651858.CD004345. PMID: 25069437.
Contar CM, de Oliveira P, Kanegusuku K, Berticelli RD, Azevedo-Alanis LR, Machado MA. Complications in third molar removal: a retrospective study of 588 patients. Med Oral Patol Oral Cir Bucal. 2010;15(1):e74-8. doi: 10.4317/medoral.15.e74. PMID: 19767694.
Sarikov R, Juodzbalys G. Inferior alveolar nerve injury after mandibular third molar extraction: a literature review. J Oral Maxillofac Res. 2014;5(4):e1. doi: 10.5037/jomr.2014.5401. PMID: 25635208; PMCID: PMC4306319.
Pippi R, Santoro M. A multivariate statistical analysis on variables affecting inferior alveolar nerve damage during third molar surgery. Br Dent J. 2015;219(4):E3. doi: 10.1038/sj.bdj.2015.661. PMID: 26315197.
Ali AS, Benton JA, Yates JM. Risk of inferior alveolar nerve injury with coronectomy vs surgical extraction of mandibular third molars-A comparison of two techniques and review of the literature. J Oral Rehabil. 2018;45(3):250-257. doi: 10.1111/joor.12589. PMID: 29171914.
Ziccardi VB, Zuniga JR. Nerve injuries after third molar removal. Oral Maxillofac Surg Clin North Am. 2007;19(1):105-15, vii. doi: 10.1016/j.coms.2006.11.005. PMID: 18088869.
Bouloux GF, Steed MB, Perciaccante VJ. Complications of third molar surgery. Oral Maxillofac Surg Clin North Am . 2007 Feb;19(1):117-28, vii. doi: 10.1016/j.coms.2006.11.013. PMID: 18088870.
Prockt AP, Schebela CR, Maito FD, Sant’Ana-Filho M, Rados PV. Odontogenic cysts: analysis of 680 cases in Brazil. Head Neck Pathol. 2008;2(3):150-6. doi: 10.1007/s12105-008-0060-7. PMID: 20614309; PMCID: PMC2807569.
de Souza LB, Gordón-Núñez MA, Nonaka CF, de Medeiros MC, Torres TF, Emiliano GB. Odontogenic cysts: demographic profile in a Brazilian population over a 38-year period. Med Oral Patol Oral Cir Bucal . 2010;15(4):e583-90. PMID: 20038885.
Zhang LL, Yang R, Zhang L, Li W, MacDonald-Jankowski D, Poh CF. Dentigerous cyst: a retrospective clinicopathological analysis of 2082 dentigerous cysts in British Columbia, Canada. Int J Oral Maxillofac Surg. 2010 Sep;39(9):878-82. doi: 10.1016/j.ijom.2010.04.048. PMID: 20605411.
Neville BW, Damm DD, Allen CM, & Chi AC. Oral and maxillofacial pathology. Missouri: WB Saunders, Elsevier, 2016
Henderson JM. Coronectomy: A technique to protect the inferior alveolar nerve. Yearb Dent. 2006;2006:178
Renton T. Prevention of iatrogenic inferior alveolar nerve injuries in relation to dental procedures. Dent Update. 2010;37(6):350-2, 354-6, 358-60 passim. doi: 10.12968/denu.2010.37.6.350. PMID: 20929149.
Wang Y, He D, Yang C, Wang B, Qian W. An easy way to apply orthodontic extraction for impacted lower third molar compressing to the inferior alveolar nerve. J Craniomaxillofac Surg. 2012;40(3):234-7. doi: 10.1016/j.jcms.2011.05.001. PMID: 21641229.
Park W, Park JS, Kim YM, Yu HS, Kim KD. Orthodontic extrusion of the lower third molar with an orthodontic mini implant. Oral Surg Oral Med Oral Pathol Oral Radiol Endod. 2010 Oct;110(4):e1-6. doi: 10.1016/j.tripleo.2010.04.031. Epub 2010 Jul 31. PMID: 20674416
Notas
Notas de autor
* Correspondencia Autor: Francisco Javier Pinedo Henríquez | Dirección: Asturias 171, Las Condes, Santiago Chile. | Código postal: 7550000 | Teléfono: +56 9 9405 4577 | E-mail: francisco.pinedo@uc.cl
Declaración de intereses