TRABAJO INVESTIGACIÓN
Necesidad de regeneración ósea en la instalación de implantes: Análisis Retrospectivo de 7 años, Hospital San Camilo
Need for bone regeneration in the installation of implants: 7-years retrospective analysis, San Camilo Hospital
Necesidad de regeneración ósea en la instalación de implantes: Análisis Retrospectivo de 7 años, Hospital San Camilo
International journal of interdisciplinary dentistry, vol. 16, núm. 2, pp. 142-145, 2023
Sociedad de Periodoncia de Chile Implantología Rehabilitación Odontopediatria Ortodoncia
Recepción: 17 Octubre 2022
Recibido del documento revisado: 16 Enero 2023
Aprobación: 07 Febrero 2023
RESUMEN
Objetivo: Analizar la necesidad de regeneración ósea guiada en pacientes sometidos a terapia implantológica entre el año 2012 y 2019 del Hospital San Camilo, San Felipe.
Material y Método: Estudio observacional retrospectivo. Se incluyeron todos los pacientes pertenecientes al programa de implantes entre el 2012 y 2019. Los pacientes fueron organizados de acuerdo a la edad, género, marca de implante, uso de injerto, tiempo de carga y tasa de pérdida. Estos datos se evaluaron empleando estadística descriptiva calculando frecuencias y porcentajes en tablas de contingencias.
Resultados: Se incluyeron 182 pacientes. La distribución por sexo fue de 121 mujeres y 61 hombres. La edad promedio de los pacientes fue de 51,23 años. El 41,76% casos del total requirió ROG. El 74,3% del grupo de implantes unitarios requirió injerto óseo. Sólo un 4,71% del grupo de sobredentadura requirió de injerto óseo. El tiempo de carga promedio fue de 3,68 meses. La tasa de pérdida en implantes fue de 3,85%.
Conclusiones: El conocimiento y análisis de estos datos permite replantear la distribución de los recursos con el fin de realizar tratamientos más predecibles, disminuyendo las complicaciones y generando un ahorro de presupuesto.
PALABRAS CLAVE: Injerto óseo+ Epidemiología+ Implantes dentales.
ABSTRACT
Objective: To determine and analyze the need for guided bone regeneration (GBR) in patients who underwent implant therapy between 2012 and 2019 at the San Camilo Hospital, San Felipe.
Material and methods: Retrospective observational study. All patients belonging to the implant program were included, with the need for either single implants or overdentures, which were installed between 2012 and 2019. Patients were organized according to their age, gender, implant brand, use of graft, loading time and loss rate. These data were evaluated using descriptive statistics calculating frequencies and percentages in contingency tables.
Results: A total of 182 cases of implants were included. The distribution by sex was 121 women and 61 men. The average age of the patients was 51,23 years. The percentage of cases that required GBR was 41.76%. In the single implant group, 74.3% of cases required bone grafting. In the overdenture group, only 4.71% required bone grafting. The average loading time was 3,68 months. The implant loss rate was 3,85%.
Conclusions: The knowledge and analysis of these data allow us to evaluate the distribution of resources to carry out more predictable treatments to reduce complications and generate budget savings.
KEY WORDS: Bone graft, Epidemiology, Dental implants.
INTRODUCCIÓN
La caries y la enfermedad periodontal son las principales causas de pérdida dentaria1,2. La pérdida de dientes y el edentulismo tienen un impacto negativo en la calidad de vida de las personas3. Para la sustitución de los dientes se utilizan implantes de titanio, siendo este un tratamiento predecible que ha demostrado altas tasas de éxito y supervivencia, tanto en maxilar como en mandíbula, con números que alcanzan un 92,6% tras seguimientos de hasta 20 años4,5. Esta modalidad fue desarrolla por Brånemark y se basa en el fenómeno de osteointegración, que se define como una conexión directa, estructural y funcional entre hueso vivo, ordenado, y la superficie de un implante sometido a carga funcional6.
Si bien la disponibilidad ósea es un prerrequisito para la colocación y estabilidad funcional del implante, para obtener resultados estéticos óptimos este debe ser colocado siguiendo un enfoque de planificación de posicionamiento protésicamente guiada, utilizando la posición deseada de la futura restauración como guía para instalar el implante, teniendo en cuenta los tejidos blandos y duros perdidos tras la extracción del diente7,8.
Los cambios fisiológicos que ocurren en el hueso alveolar después de la extracción de un diente generan una pérdida horizontal de entre el 29% y el 63% y una pérdida vertical entre el 11% y el 22% a los 6 meses9. Estos cambios del volumen alteran significativamente la disponibilidad ósea al momento de colocar el implante. Por este motivo se hace necesario utilizar procedimientos de aumento de tejido óseo como la regeneración ósea guiada (ROG) previos a la colocación del implante o en el mismo momento de la instalación.
El aumento óseo a través de la ROG es un procedimiento altamente predecible con tasas de sobrevida de los implantes de hasta un 100%, similar a la de un sitio prístino10. Se han propuesto distintas alternativas de biomateriales para realizar la ROG, aunque en todas de ellas se emplean membranas, ya sean reabsorbibles o no reabsorbibles y un injerto de hueso particulado o en bloque, que puede ser según su origen autólogo, aloinjerto, xenoinjerto o aloplástico11. El material de injerto forma un andamiaje que permite el crecimiento de tejido óseo y la membrana ayuda a generar una exclusión temporal de las células epiteliales y favorece la formación de un compartimiento de regeneración ósea.
La cantidad de sustituto óseo a utilizar está determinado por la extensión del defecto mismo, de modo de asegurar que el implante quede rodeado por tejido óseo, sin dejar roscas expuestas, y que presente un mínimo de 1.5 mm de grosor de tabla vestibular, factor crítico para evitar futuras complicaciones12.
Dentro de las características a considerar al momento de decidir que sustituto óseo utilizar está el tamaño de la partícula. Las partículas pequeñas, que corresponde a las menores de 1 mm, se les atribuye una mejor adaptación al defecto pero una probabilidad mayor de reabsorción, por otro lado, las partículas de mayor tamaño tienen la capacidad de producir una mayor cantidad de hueso13.
Otro punto importante es la porosidad de la partícula, ésta debe permitir una difusión de nutrientes y la supervivencia celular. El tamaño adecuado de los poros de 200 a 350 μm ofrece las condiciones óptimas para el crecimiento interno del hueso recién formado. Un mayor tamaño de poros, facilita el flujo de nutrientes, infiltración celular y el crecimiento de vasos. Sin embargo, el aumento del tamaño de los poros y la porosidad también reducen la resistencia mecánica del material13.
También se debe considerar que el injerto óseo puede ser de origen cortical o medular esponjoso, este último es más frágil debido a su porosidad, pero se revasculariza antes que el hueso cortical y gana solidez en el tiempo. En cuanto al proceso de desmineralización, se observó que al desmineralizar la matriz se liberan proteínas osteoinductivas como las proteínas morfogenéticas óseas, que favorecen la regeneración en el lecho receptor14.
Por lo tanto es relevante tener presente el objetivo que se quiere alcanzar con el procedimiento quirúrgico para poder seleccionar el injerto más adecuado.
En Chile, el edentulismo parcial alcanza una prevalencia del 62,2 % de la población de 15 años o más y el edentulismo total un 5%2, es por ello por lo que en la red asistencial pública se hace indispensable realizar tratamientos rehabilitadores que permitan restituir las dientes perdidos, ya sea en base a prótesis removibles mucosoportadas, dentosoportadas o implantosoportadas.
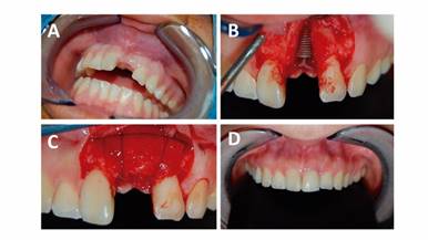
Los programas de implantología a nivel hospitalario proveen de canastas de prestaciones que involucran implantes unitarios (figura 1) y sobredentadura mandibular retenida por dos implantes (figura 2). Esta última constituye una modalidad de tratamiento destinada a pacientes adultos mayores edéntulos que sufren de severa reabsorción alveolar mandibular que impide la adaptación de una prótesis total removible mucosoportada15. Tras el Consenso de McGill 2002 de sobredentaduras y corroborado en el Consenso de York 2009, se estableció que la sobredentadura mandibular implanto-retenida en 2 implantes debiese ser la primera opción de tratamiento por sobre una prótesis removible convencional16,17, ya que ha demostrado altas tasas de éxito (90-95%)18, además de generar un impacto favorable en cuanto a comodidad, modificación de dieta, reducción en la tasa de pérdida ósea, entre otros, contribuyendo significativamente a una mejor calidad de vida en pacientes de avanzada edad16,17.


Los tratamientos implantológicos están frecuentemente asociados a procedimientos de aumento del volumen óseo19, por lo que se debe considerar el uso de biomateriales dentro de las canastas de prestaciones. Actualmente, la canasta implantológica del MINSAL, considera que solo un 20% a un 35% de las acciones implantológicas requiere ser asociadas a técnicas de ROG20.
El objetivo principal de este estudio es analizar la necesidad de regeneración ósea guiada en pacientes sometidos a terapia con implantes en una base de datos anonimizada del año 2012 hasta 2019 del Hospital San Camilo de San Felipe. De manera específica se busca caracterizar el porcentaje de pacientes del programa de implantes según sexo, edad, tipo de tratamiento implantológico, determinar el porcentaje de pacientes del programa de implantes con necesidad de injerto según tipo de tratamiento y determinar la tasa de fracaso de los implantes.
MATERIAL Y MÉTODO
Se realizó un estudio observacional retrospectivo, donde se analizó una cohorte anonimizada de pacientes tratados en el programa de implantes del Hospital San Camilo, San Felipe, entre los años 2012 y 2019. Previa aprobación del Comité Ético Científico de Investigación del Servicio de Salud Aconcagua, N° de folio 20/2022, la base de datos fue solicitada al subdirector médico del establecimiento indicando que sea anonimizada eliminando los datos personales tales como nombre, rut, número de ficha, dirección u otro que pudiera permitir identificar a algún paciente.
Se incluyeron todos los pacientes pertenecientes al programa de implantes, ya sea con necesidad de implante unitario o sobredentadura inferior, que fueron instalados entre el 2012 y 2019.
La recolección de los datos obtenidos fue organizada y analizada como variables descriptivas; demográficas (número de casos, edad y sexo), marca de implante, uso de injerto, tiempo de carga y tasa de pérdida.
Las variables cuantitativas y categóricas se evaluaron empleando estadística descriptiva calculando frecuencias y porcentajes en tablas de contingencias.
RESULTADOS
El total de la muestra analizada durante el período del 2012 al 2019 fue de 182 casos, de los cuales 97 (53,3%) casos fueron de implantes unitarios y 85 (46,7%) casos fueron de sobredentaduras.
La distribución por sexo fue de 121 (66,5%) mujeres y 61 (33,5%) hombres. La edad promedio de los pacientes fue de 51,23 años con una desviación estándar de 17,54 (Tabla 1). La mayor concentración de casos se observó dentro del rango etario de 61-70 años alcanzando el 31.9% del total de casos (Tabla 2). El paciente más joven fue de 17 años y el más longevo de 79 años.


En cuanto a fabricantes de implantes, se registraron 92 (50,5%) casos con implantes Alphabio, 29 (16%) casos con implantes BioHorizons, 47 (25,8%) casos con implantes Neodent y 14 (7,7%) casos con implantes Nobel (Tabla 3).

El total de casos que requirió ROG fue 76 (41,76%), de los cuales 72 casos correspondieron a implantes unitarios y 4 casos de sobredentaduras (Tabla 4). Al evaluar la necesidad de injerto según tipo de tratamiento, resultó que en implantes unitarios un 74,3% de los casos requirió injerto óseo en contraste con los casos de sobredentadura, donde sólo un 4,71 % de ellos requirió de injerto óseo.

El tiempo de carga promedio fue de 3,68 meses con una desviación estándar de 2,36. En 7 casos no se encontró registro de tiempo de carga.
En este período se perdió un total de 7 implantes: 1 Neodent, 1 BioHorizons y 5 Alphabio. Esto corresponde a una tasa de pérdida de 3,85% en 7 años. La tasa de pérdida en implantes unitarios y de sobredentaduras fue de 4,12% y 3,53% respectivamente.
DISCUSIÓN
En la variable rango etario, se observó una mayor concentración de casos entre los 61 a 70 años alcanzando un 31,9% del total de casos con una media de 51,23 años. Este rango etario es superior al reportado en otros estudios, como Lin et al.201821, donde se observó la concentración de casos en un rango etario entre los 41 y 60 años. Por otro lado Kang et al.201922 observó una concentración de casos entre los 47 a los 61 años con una media de 54 años. Bornstein et al.200819, observó la mayor concentración entre los 50 y 59 años de edad y una media 55,2. Tras la actualización de datos de Bornstein et al.2008 en Ducommun et al. 201923, se observó un aumento en el rango etario a 61 y 70 años con una media de 57,2 años. Esta tendencia da cuenta de una mayor demanda por implantes dentales de personas de mayor edad.
En cuanto a la distribución por sexo de los pacientes de esta cohorte, se observó una predominancia del sexo femenino sobre el género masculino obteniendo una razón entre mujeres y hombres 2:1. Esto no se refleja en otros estudios, como en Lin et al.201821 en donde se observó una leve diferencia entre mujeres y hombre obteniéndose una razón de 1:1, al igual que en Bornstein et al.19 donde la diferencia entre mujeres y hombres era de 6%. En la actualización de datos de Ducommun et al.23, se observó una razón de 1:1. En contra parte, en Kang et al.22, se observó que 39,5% era género femenino y el 60,5% era género masculino. Esta diferencia podría deberse a factores socio culturales, ya que en Chile tiende a observarse una mayor frecuencia de consulta odontológica por parte de las mujeres.
Respecto a la necesidad de injerto, se observó que un 41,76% del total de casos tuvo necesidad de injerto, este valor concuerda con Kang et al.22 en donde se utilizó injerto en un 39,3% de los casos. Por su parte, Bornstein et al.19 reportaron 51,7 % de necesidad de injerto. En este último estudio se debe hacer la observación que se incluyó el procedimiento de elevación de seno maxilar (con y sin ROG), por lo que si se analiza solo los procedimientos en que hubo necesidad de injerto para realizar una ROG el valor disminuye a un 39,7%. Luego, Ducommun et al.23 reportaron que un 43% de los casos existió necesidad de ROG. Si en este estudio se agrega el procedimiento de elevación de seno maxilar esta cifra sube a un 60,8%.
Del total de tratamientos realizados entre 2012 y 2019 en la cohorte analizada, un 46,7 % fueron sobredentaduras. En las tres cohortes analizadas por Ducommun et al. los tratamientos implantológicos sobre edéntulos fue significativamente menor respecto a los implante unitarios, reportando solo 5,5% , 5,1% y 6,8% del total de los casos. Esta diferencia puede deberse que en el análisis de Ducommun et al. se incluyen más escenarios clínicos que no están dentro del programa de implantes en los hospitales de Chile, como la colocación de implantes múltiples para rehabilitaciones plurales. Por otro lado, el programa de implantología hospitalario contempla una canasta exclusiva para la sobredentadura.
Respecto a la necesidad de injerto en sobredentaduras se observó que fue tan sólo de un 4,71%. Es importante notar que dentro de la planificación de la División de Gestión de Red Asistencial se contempla que un 20% de los casos de sobredentadura necesitarán injerto, lo que aparece como una sobreestimación de esta alternativa terapéutica para estos casos20. Es importante recalcar que los pacientes sometidos a tratamiento de sobredentadura implanto retenida a menudo presentan una reabsorción ósea alveolar muy severa y que los implantes a menudo se instalan en hueso basal. En este escenario, la realización de una regeneración ósea horizontal no ofrece ventajas clínicas.
Por otro lado, se observó que el implante unitario es el tratamiento más frecuente alcanzando un 53,3% del total de casos, cifra similar a la reportada por Ducommun et al. (56,2%, 52,8% y un 50,5% de los casos en los 3 grupos estudiados).
De los implantes unitarios analizados el 74,3 % requirió ROG. Es importante notar que dentro de la planificación de la División de Gestión de Red Asistencial se contempla que solo un 35% de los casos de implantes unitarios necesitará injerto, por lo que la necesidad de este tipo de tratamiento está significativamente subvalorada20. Además, se debe considerar que de los 97 casos de implantes unitarios registrados en el Hospital de San Camilo, 88 casos (94,8%) corresponden a zonas estéticas (entre los primeros premolares). En el análisis de Ducommun et al. se reportó un 83,5% de necesidad de injerto en implantes instalados en la zona estética, lo que es aún más alto que lo reportado en el presente estudio.
Actualmente el mercado ofrece un extensa variedad de marcas de implantes y es escasa la evidencia respecto a si la marca de implante afecta a la longevidad del implante. Un estudio sueco realizó un seguimiento de 8 años con implantes de tres casas comerciales: Astra, Nobel y Straumann. Se reportó que ciertas marcas de implantes efectivamente influían en la pérdida del implante24. Sin embargo las pruebas estadísticas no encontraron diferencias significativas entre las marcas de los implantes y la pérdida de estos. En la base de datos analizada del Hospital de San Camilo se observó 7 pérdidas de implantes, 1 Neodent, 1 BioHorizons y 5 Alphabio. Esta cifra mayor en Alphabio se puede explicar ya que en ese periodo de tiempo fue el implante que se utilizó con mayor frecuencia. Al corregir por frecuencia no se observó una diferencia significativa entre las tres casas comerciales.
El promedio de carga de los implantes en esta base de datos fue de 3.68 meses. En Ducommun et al.23 se dividió en rangos en donde la mayor cantidad de implantes fueron cargados entre las 10 y 12 semanas. En Lin et al.21 se esperó 6 meses para implantes con ROG y 3 meses sin ROG.
En cuanto a la tasa de pérdida, se reportaron 7 implantes perdidos lo que corresponde a un 3,85% del total de los implantes. En la revisión sistemática de Berglundh et al.25 se expuso que la tasa de pérdida antes de la carga funcional fue de 2,16 a 2,53%. Los implantes inmediatos y los implantes asociados a un procedimiento de aumento óseo fueron los que sufrieron las mayores tasas de pérdida.
Es importante mencionar que dentro de las limitaciones del presente estudio se encuentra su diseño de naturaleza retrospectiva, en donde existe un amplio potencial de ausencia de información como lo es la disponibilidad ósea inicial, dimensiones del implante colocado, tamaño del defecto de dehiscencia o fenestración tras la colocación de los implantes, causa de los implantes perdidos, entre otros. Además, el número de casos es bajo comparada con otras publicaciones. Podría ser útil considerar estos parámetros para evitar posibles sesgos en futuras investigaciones.
Los resultados obtenidos en este estudio permiten analizar las prevalencias de tratamientos realizados en el programa de implantología del hospital de San Felipe e identificar el déficit y la sobrevaloración de asignación de injerto para cada una de las canastas. El conocimiento y análisis de estos datos permitirá replantear la distribución de los recursos con el fin de realizar tratamientos más predecibles, disminuyendo las complicaciones y generando un ahorro presupuestario.
Bibliografía
Bailit HL, Braun R, Maryniuk GA, Camp P. Is periodontal disease the primary cause of tooth extraction in adults? J Am Dent Assoc. 1987;114(1):40-5. doi: 10.14219/jada.archive.1987.0052.
Ministerio de Salud. Informe Encuesta Nacional de Salud 2016-2017. Santiago: MINSAL, 2019. [Consultado 04/07/2022] Disponible: Disponible: http://epi.minsal.cl/wpcontent/uploads/2021/03/Informe_Salud_Bucal_ENS_2016_17.pdf.
Organización Mundial de la Salud. Salud Bucodental. OMS, 2022. [Consultado 05/07/2022]. Disponible: Disponible: https://www.who.int/es/news-room/fact-sheets/detail/oral-health.
Buser D, Mericske-Stern R, Bernard JP, Behneke A, Behneke N, Hirt HP, et al. Long-term evaluation of non-submerged ITI implants. Part 1: 8-year life table analysis of a prospective multi-center study with 2359 implants. Clin Oral Implants Res. 1997;8(3):161-72. doi: 10.1034/j.1600-0501.1997.080302.x.
Balshi T, Wolfinger G, Stein B, Balshi S. A Long-term retrospective analysis of survival rates of implants in the mandible. Int J Oral Maxillofac Implants. 2015;30(6):1348-54. doi: 10.11607/jomi.3910
Branemark P-I. Introduction to osseointegration. In: Branemark P-I, Zarb C, Albrektsson T (eds.) Tissue-Integrated prostheses: Osseointegration in clinical dentistry. Quintessence Publishing Co.: Chicago, 1985. p 11-76.
Garber DA, Belser UC. Restoration-driven implant placement with restoration-generated site development. Compend Contin Educ Dent. 1995;16(8):796, 798-802, 804.
Buser D, Sennerby L, De Bruyn H. Modern implant dentistry based on osseointegration: 50 years of progress, current trends and open questions. Periodontol 2000. 2017;73(1):7-21. doi: 10.1111/prd.12185.
Tan WL, Wong TLT, Wong MCM, Lang NP. A systematic review of post-extractional alveolar hard and soft tissue dimensional changes in humans. Clin Oral Implants Res . 2012;23(Suppl 5):1-21. doi: 10.1111/j.1600-0501.2011.02375.x.
Donos N, Mardas N, Chadha V. Clinical outcomes of implants following lateral bone augmentation: systematic assessment of available options (barrier membranes, bone grafts, split osteotomy). J Clin Periodontol. 2008;35(8 Suppl):173-202. doi: 10.1111/j.1600-051X.2008.01269.x.
Hämmerle CH, Jung RE. Bone augmentation by means of barrier membranes. Periodontol 2000 . 2003;33:36-53. doi: 10.1046/j.0906-6713.2003.03304.x.
Monje A, Chappuis V, Monje F, Muñoz F, Wang HL, Urban IA, et al. The critical peri-implant buccal bone wall thickness revisited: an experimental study in the Beagle dog. Int J Oral Maxillofac Implants . 2019;34(6):1328-36. doi: 10.11607/jomi.7657.
Yamada M, Egusa H. Current bone substitutes for implant dentistry. J Prosthodont Res. 2018;62(2):152-161. doi: 10.1016/j.jpor.2017.08.010.
Sheikh Z, Hamdan N, Ikeda Y, Grynpas M, Ganss B, Glogauer M. Natural graft tissues and synthetic biomaterials for periodontal and alveolar bone reconstructive applications: a review. Biomater Res. 2017;21:9. doi: 10.1186/s40824-017-0095-5.
Mericske-Stern R. Treatment outcomes with implant-supported overdentures: clinical considerations. J Prosthet Dent. 1998;79(1):66-73. doi: 10.1016/s0022-3913(98)70196-9.
Feine JS, Carlsson GE, Awad MA, Chehade A, Duncan WJ, Gizani S, et al. The McGill Consensus Statement on Overdentures. Montreal, Quebec, Canada. May 24-25, 2002. Int J Prosthodont. 2002;15(4):413-4. PMID: 12170858.
Thomason JM, Feine J, Exley C, Moynihan P, Müller F, Naert I, et al. Mandibular two implant-supported overdentures as the first choice standard of care for edentulous patients--the York Consensus Statement. Br Dent J. 2009;207(4):185-6. doi: 10.1038/sj.bdj.2009.728.
Mericske-Stern RD, Taylor TD, Belser U. Management of the edentulous patient. Clin Oral Implants Res . 2000;11(Suppl 1):108-25. doi: 10.1034/j.1600-0501.2000.011s1108.x.
Bornstein MM, Halbritter S, Harnisch H, Weber HP, Buser D. A retrospective analysis of patients referred for implant placement to a specialty clinic: indications, surgical procedures, and early failures. Int J Oral Maxillofac Implants . 2008;23(6):1109-16. PMID: 19216281.
Ministerio de Salud, Departamento Odontológico, División de Gestión de la Red Asistencial. Mecanismo de financiamiento de prestaciones No GES 2021. Santiago: MINSAL , 2021.
21. Lin G, Ye S, Liu F, He F. A retrospective study of 30,959 implants: Risk factors associated with early and late implant loss. J Clin Periodontol . 2018;45(6):733-43. doi: 10.1111/jcpe.12898.
Kang DY, Kim M, Lee SJ, Cho IW, Shin HS, Caballé-Serrano J, et al. Early implant failure: a retrospective analysis of contributing factors. J Periodontal Implant Sci. 2019;49(5):287-98. doi: 10.5051/jpis.2019.49.5.287.
Ducommun J, El Kholy K, Rahman L, Schimmel M, Chappuis V, Buser D. Analysis of trends in implant therapy at a surgical specialty clinic: Patient pool, indications, surgical procedures, and rate of early failures-A 15-year retrospective analysis. Clin Oral Implants Res . 2019;30(11):1097-106. doi: 10.1111/clr.13523.
Derks J, Håkansson J, Wennström JL, Tomasi C, Larsson M, Berglundh T. Effectiveness of implant therapy analyzed in a Swedish Population: early and late implant loss. J Dent Res. 2015;94(3 suppl):44S-51S. 10.1177/0022034514563077.
Berglundh T, Persson L, Klinge B. A systematic review of the incidence of biological and technical complications in implant dentistry reported in prospective longitudinal studies of at least 5 years. J Clin Periodontol . 2002;29 Suppl 3:197-212; discussion 232-3. doi: 10.1034/j.1600-051x.29.s3.12.x
Notas de autor
* Correspondencia Autor: Patricio Neira | Dirección: Sergio Livingstone #943, Independencia, Santiago, Chile | Teléfono: +56 9 9519 3394 | E-mail: pneira@odontologia.uchile.cl
Declaración de intereses