REPORTE CLÍNICO
Manifestaciones periodontales de la Granulomatosis de Wegener: Reporte de un caso clínico
Periodontal manifestations of Wegener’s granulomatosis: Case report
Manifestaciones periodontales de la Granulomatosis de Wegener: Reporte de un caso clínico
International journal of interdisciplinary dentistry, vol. 16, núm. 2, pp. 156-159, 2023
Sociedad de Periodoncia de Chile Implantología Rehabilitación Odontopediatria Ortodoncia
Recepción: 31 Marzo 2022
Recibido del documento revisado: 01 Mayo 2022
Aprobación: 22 Mayo 2022
RESUMEN: La granulomatosis de Wegener o granulomatosis con Poliangitis (GPA) es una enfermedad caracterizada por inflamación y necrosis de las paredes de los vasos sanguíneos. Es de etiología desconocida, baja prevalencia y alta agresividad. Esta enfermedad puede comprometer los tejidos bucales causando agrandamiento e inflamación del tejido gingival. Se reporta el caso de un paciente de género masculino que manifiesta aumento de volumen de la encía e inflamación asociado al diagnóstico de granulomatosis de Wegener. La lesión fue eliminada quirúrgicamente y el diagnóstico se logró al combinar los hallazgos serológicos del test ANCA, manifestaciones periodontales y análisis histopatológico. El paciente fue tratado con metotrexato y corticoesteroides y no presenta recidiva de la lesión luego de 2 años de control. En este artículo se analizan las manifestaciones periodontales asociadas a la GPA resaltando la importancia de un adecuado diagnóstico de lesiones periodontales caracterizadas por agradamiento gingival e inflamación.
PALABRAS CLAVE: Granulomatosis con poliangitis, Agrandamiento gingival, Diagnóstico.
ABSTRACT: Wegener’s granulomatosis or granulomatosis with polyangiitis (GPA) is a disease characterized by inflammation and necrosis of the blood vessel walls. It is of unknown etiology, low prevalence and high degree of aggressiveness. This disease can compromise the oral tissues, causing enlargement and inflammation of the gingival tissues. The case of a male patient who presented rapidly growing gingival tissue enlargement and inflammatory characteristics associated with the diagnosis of Wegener’s granulomatosis is reported. The lesion was removed surgically and the diagnosis was achieved by combining the serological findings of the ANCA test, periodontal manifestations and histopathological analysis of the lesion. The patient was treated with methotrexate and corticosteroids and the lesion did not reappear after 2 years of control. In this article, the periodontal manifestations associated with GPA are analyzed, highlighting the importance of an adequate diagnosis of periodontal lesions characterized by gingival enlargement and inflammation.
KEY WORDS: Granulomatosis with polyangiitis, Gingival overgrowth, Diagnosis.
INTRODUCCIÓN
Las vasculitis sistémicas primarias son un grupo de enfermedades poco frecuentes, que se caracterizan por inflamación y necrosis de las paredes de los vasos sanguíneos. La evidencia que existe sobre estas enfermedades es escaza y se ha sugerido un aumento de estas en la última década que pudiera estar explicado por un avance tanto en el reconocimiento de síntomas por parte del tratante y por un avance en los exámenes de detección de estas enfermedades. La identificación de anticuerpos circulantes dirigidos contra antígenos citoplasmáticos de los neutrófilos: ANCA (anti neutrophil cytoplasmic antibody) es un elemento a considerar en la clasificación de estas enfermedades. Dentro del grupo de vasculitis asociadas a ANCA, la granulomatosis de Wegener o granulomatosis con poliangitis (GPA) es una de las más frecuentes1. Es una enfermedad cuya etiología es aún desconocida2. Se puede asociar su origen a diferentes factores exógenos desencadenantes, ambientales y genéticos2,3,4.
La GPA es una enfermedad poco común con una prevalencia mundial estimada de 23,7 a 156,5 por millón3. Los aspectos epidemiológicos de la enfermedad descritos en la literatura muestran que no se reconoce una predilección por algún género en particular, afectando por igual a hombres y mujeres. Si bien se diagnostica con mayor frecuencia en adultos, se han descrito también casos que afectan a niños1,2. En Europa, la edad al diagnóstico es entre 45 y 60 años, lo que guarda relación con las características demográficas de Chile, donde el promedio de edad de pacientes con WG encontrado en un estudio realizado el año 2005 fue de 50,9±14,03 años1.
En relación a los aspectos clínicos de la GPA, esta puede afectar múltiples sistemas, pero en la mayoría de los casos se limita a un pequeño número de órganos, siendo los más comúnmente afectados: vía aérea superior, pulmones y riñones3. Las lesiones orales pueden presentarse en un 6-13% de los casos. Una de las manifestaciones orales más comunes de la GPA es en la región anterosuperior de las encías. A esta afectación se le conoce como gingivitis de fresa, la cual es un signo característico de la enfermedad5. Generalmente la gingivitis asociada a la GPA comienza de forma localizada pero puede llegar a extenderse comprometiendo labios, lengua, paladar, tejido óseo y glándulas salivales3.
La ciclofosfamida, la cual actúa como un inmunosupresor, combinada con glucocorticoides que tienen efecto antiinflamatorio, han sido los medicamentos de elección para tratar la GPA5.
REPORTE DE CASO
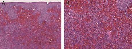
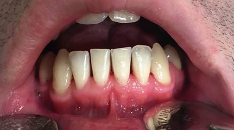
Se reporta el caso de un paciente de sexo masculino, 34 años, sin enfermedades sistémicas conocidas al momento de la primera consulta. No consume medicamentos, no es fumador. Acude en Julio de 2018 derivado por especialista en rehabilitación oral al especialista en periodoncia en la Clínica Odontológica CODUC de la UC. El paciente aceptó la publicación de este caso clínico a través de la firma de un documento de consentimiento informado institucional. El paciente manifestaba un aumento de volumen de la encía de características inflamatorias que comprometía encía marginal, adherida y papilas y que cubría tres cuartos de la corona clínica desde el diente 4.4 al 3.3 (Figura 1). A nivel radiográfico no se observaron efectos de la lesión gingival sobre el tejido óseo ni dientes comprometidos (Figura 2). Al examen clínico el tejido gingival presentaba sangramiento al sondaje sin sintomatología dolorosa asociada. A nivel periodontal se detectó pérdida de inserción periodontal de 1 a 3 mm en el sector de molares. La profundidad al sondaje varió entre 2 y 3 mm. Dada la gravedad de la enfermedad y sospecha de lesión neoplásica no se realizó un registro detallado de nivel de inserción ni profundidad al sondaje de todos los sitios periodontales. Debido a las características clínicas y ubicación de la lesión, la hipótesis diagnóstica pre-quirúrgica planteada fue de un fibroma odontogénico periférico. Dado el alto compromiso inflamatorio y sangramiento asociado, se le indicó al paciente Amoxicilina 1 gramo asociado a Metronidazol 500 miligramos, cada 12 horas durante 7 días con el propósito de reducir la inflamación e infección antes de la cirugía. Luego de dos semanas la lesión no cambió en sus aspectos inflamatorios. Como tratamiento, se decidió la eliminación quirúrgica de la lesión y su análisis mediante histopatología. El examen histopatológico mostró una lesión inflamatoria con gran infiltración por polimorfo nucleares neutrófilos, células gigantes multinucleadas y vasos sanguíneos dilatados asociados a hemorragia (Figura 3). Se solicitó una evaluación de la bioquímica sanguínea, la cual no entregó alteraciones compatibles con neoplasia maligna. El examen histopatológico se realizó en paralelo con el estudio de lesiones inflamatorias que estaban presentes en las fosas nasales por un especialista otorrinolaringólogo, quien detectó pólipos nasales. El paciente finalmente se derivó a un especialista en reumatología quien realizó el diagnóstico definitivo de Granulomatosis de Wegener (GPA) luego del examen clínico y determinación del examen ANCA a nivel sanguíneo. El paciente fue tratado con metotrexato y corticoesteroides. Luego de 2 años el paciente se encuentra sano, sin manifestaciones del Wegener en los tejidos periodontales (Figura 4).




DISCUSIÓN
La granulomatosis de Wegener o granulomatosis con poliangitis (GPA) es una enfermedad de etiología desconocida y baja prevalencia, estimada de 23,7 a 156,5 por millón, con una incidencia anual estimada de 3,0 a 14,4 por millón3. Es de alta agresividad, caracterizada por una reacción inflamatoria granulomatosa necrotizante que afecta primariamente a los vasos sanguíneos de pequeño y mediano calibre6. Es una enfermedad potencialmente letal que ha sido asociada a la producción de anticuerpos contra neutrófilos (ANCA) 4. Del grupo de las vasculitis asociadas a ANCA, la granulomatosis de Wegener (GW) es una de las más frecuentes1. Se puede asociar su etiología a diferentes factores exógenos desencadenantes. Uno de ellos son los agentes infecciosos, como el Staphylococcus aureus que, a través del mecanismo conocido como mimetismo molecular provoca una respuesta autoinmune en la que se elevan las citoquinas en presencia de ANCA, lo que conduce a la destrucción celular2,3. Otros desencadenantes descritos son factores ambientales, tales como la inhalación de polvo o exposición al sílice, factores químicos, tóxicos o farmacológicos en pacientes con predisposición genética4. Ciertos factores genéticos asociados a la función de las células T pueden predisponer a la inflamación granulomatosa por lo que han demostrado ser un factor de riesgo en la aparición de la Granulomatosis de Wegener (3. Diversos estudios se han realizado para intentar acercarse a un consenso sobre etiopatogenia, criterios diagnósticos, epidemiología y opciones de tratamiento de la Granulomatosis de Wegener. Sin embargo, los resultados han demostrado ser variados y esto puede ser explicado por diferentes factores: diferencia en metodologías de diagnóstico, estudios de tipo retrospectivo que pueden subestimar la verdadera incidencia de la enfermedad, distintas poblaciones evaluadas y cambio en la clasificación y nomenclatura de la enfermedad1,7. Los órganos y sistemas principalmente afectados por esta enfermedad son la vía aérea superior, pulmones y el riñón3. Para el diagnóstico clínico de la enfermedad, el paciente debe presentar dos o más de los siguientes criterios diagnósticos: i) Lesiones ulcerosas en la mucosa oral o sangramiento o tumefacción nasal; ii) Presencia de nódulos, cavidades o infiltraciones en la radiografía de tórax; iii) Alteraciones en el sedimento urinario y hematuria; iv) Presencia de inflamación granulomatosa en la biopsia5.
Puede tomar de 4.7 a 15 meses para establecer el diagnóstico desde la aparición de los primeros síntomas5. Dentro de estos, se describen en la literatura fiebre, malestar, dolor de cabeza, sudoración nocturna, anorexia, rinorrea persistente o epífora, descarga purulenta nasal, úlceras orales y / o nasales, sinusitis crónica, dolor de garganta, dolor de oído, pérdida de audición, ronquera, disfonía, tos, disnea, pérdida visual, agrandamiento de las glándulas salivales, artritis, artralgia, mialgias, neuropatía periférica, pérdida de peso, dolor abdominal, diarrea sanguinolenta y sangrado vaginal (3.
Las lesiones orales pueden presentarse en un 6-13% de los casos. Sin embargo, solo el 2% se desarrolla como primer signo de la enfermedad. Una de las manifestaciones orales más comunes de la Granulomatosis de Wegener ocurre en la región anterosuperior del tejido gingival. A esta afectación se le conoce como gingivitis de fresa, la cual es un signo característico de la enfermedad. Esta gingivitis se manifiesta con un agrandamiento y eritema de las papilas interdentales. El color de la encía afectada varía entre rojo y morado y pueden llegar a presentar petequias y aspecto granular con lesiones puntiformes amarillas. En aproximadamente el 70% de los casos, estas lesiones se resuelven favorablemente después de recibir tratamiento5. El dolor gingival y el sangrado se presentan de forma variable. Generalmente la gingivitis asociada a Granulomatosis de Wegener comienza de forma localizada pero puede llegar a afectar la superficie labial en forma de masas nodulares no dolorosas o la superficie lingual, sitios en los que es menos común ver manifestada la enfermedad. Puede extenderse incluso a nivel óseo provocando movilidad y pérdida de dientes3. La afectación de la mucosa palatina es infrecuente, pero puede surgir como una extensión de la Granulomatosis desde la nariz. Las manifestaciones en las glándulas salivales mayores son poco frecuentes pero se puede llegar a observar un agrandamiento uni o bilateral de una o más de las glándulas, sudoración nocturna y artralgia. En caso de que la glándula afectada sea la glándula parótida, puede presentarse parálisis del nervio facial3.
La histopatología de la Granulomatosis de Wegener se caracteriza por presentar áreas necróticas distribuidas de forma irregular y rodeadas por células gigantes multinucleadas, inflamación granulomatosa y también se puede observar vasculitis, en donde el infiltrado inflamatorio puede generar necrosis en las paredes de los vasos sanguíneos5.
La histopatología de las úlceras orales asociadas a Granulomatosis de Wegener son inespecíficos y no presentan los rasgos característicos de la enfermedad descritos anteriormente. Comprenden inflamación aguda o crónica con hiperplasia pseudoepiteliomatosa, histiocitos epitelioides, células gigantes multinucleadas, microabcesos y un infiltrado inflamatorio compuesto predominantemente por neutrófilos y eosinófilos3. La ciclofosfamida combinada con corticoides, han sido los medicamentos de elección para tratar la Granulomatosis de Wegener5. Sin embargo, presentan ambos una toxicidad importante a largo plazo, lo cual ha sido motivo de búsqueda de nuevas estrategias para limitar o reducir su uso. El tratamiento consta de dos fases: la primera fase es de inducción, de 3 a 6 meses, cuyo objetivo es lograr la remisión, y la segunda fase de mantención, de 12-24 meses, para asegurar la remisión y prevenir recaídas8.
La elección de la terapia de inducción suele determinarse en función de si el paciente presenta manifestaciones graves las cuales amenacen la vida o los órganos7. Para formas localizadas sin compromiso de órganos vitales está recomendado el uso de corticoides asociados a metotrexato o micofenolato mofetil8. Una vez lograda la remisión, se continúa el tratamiento con regímenes de mantenimiento menos tóxicos para prevenir las recaídas y minimizar las toxicidades7. En la fase de mantención, se recomienda la combinación de bajas dosis de corticoides orales con azatioprina o metotrexato. Se recomienda el uso sistemático de cotrimoxazol para prevenir recaídas e infecciones por Pneumocystis jirovecii8.
Durante el examen periodontal es importante realizar un diagnóstico diferencial con otras lesiones que podrían tener una manifestación similar tales como: i) agrandamiento gingival asociado a medicamentos, ii) fibroma odontogénico periférico; iii) agrandamiento gingival asociado a embarazo9. A este respecto, el fibroma odontogénico periférico se presenta como una tumoración gingival exofítica de crecimiento lento que compromete principalmente la encía adherida de la zona premolar y molar, aunque no existe un acuerdo en la literatura sobre si mandíbula o maxilar se ven más afectados. Esta masa tumoral puede generar un compromiso estético y funcional, al provocar por ejemplo, el desplazamiento de dientes asociadas. Se hace relevante diferenciar esta lesión de otras de aspectos clínicos similares por medio del análisis histopatológico10.
CONCLUSIÓN
Existen muy pocos casos en la literatura que reporten manifestaciones orales y/o periodontales de la Granulomatosis de Wegener. Su diagnóstico se logra mediante la determinación del examen ANCA y manifestaciones clínicas. Si bien es poco común que las manifestaciones orales se desarrollen como primer signo de la enfermedad, es fundamental que el clínico sea capaz de identificar sus síntomas y haga la interconsulta apropiada a esta condición con el reumatólogo u otro especialista. Es relevante conocer además los diagnósticos diferenciales con otras lesiones caracterizadas por agrandamiento e inflamación gingival.
Bibliografía
Cisternas M Marcela, Soto S Lilian, Jacobelli G Sergio, et al. Manifestaciones clínicas de la granulomatosis de Wegener y la poliangeítis microscópica en Santiago-Chile, 1990-2001. Rev Med Chile. 2005;133:273-8. http://dx.doi.org/10.4067/S0034-98872005000300001.
Comarmond C, Cacoub P. Granulomatosis with polyangiitis (Wegener): clinical aspects and treatment. Autoimmun Rev. 2014; 13:1121-5. doi: 10.1016/j.autrev.2014.08.017.
Almouhawis HA, Leao JC, Fedele S, Porter SR. Wegener’s granulomatosis: a review of clinical features and an update in diagnosis and treatment. J Oral Pathol Med. 2013;42:507-16. doi: 10.1111/jop.12030.
Fonseca FP, Benites BM, Ferrari A, Sachetto Z, de Campos GV, de Almeida OP, et al. Gingival granulomatosis with polyangiitis (Wegener’s granulomatosis) as a primary manifestation of the disease. Aust Dent J. 2017;62:102-6. doi: 10.1111/adj.12441.
Apoita-Sanz M, Blanco-Jauset P, Polis-Yanes C, Penin-Mosquera RM, Montserrat-Gomá G, Pozuelo-Arquimbau L, et al. Granulomatosis with poliangeitis (Wegener’s Granulomatosis): Orofacial manifestations. systematic review and case report. Oral Health Prev Dent. 2020;18:929-43. doi: 10.3290/j.ohpd.a45433.
Boonsma MM, Stegemann CA, Van Der Leij MJ, Osst W, Hermans J, Kallenberg CGM, et al. Prediction of relapses in Wegener’s granulomatosis by measurement of antineutrophil cytoplasmic antibody levels: a prospective study. Arthritis Rheum. 2000;43:2025-33. doi: 10.1002/1529-0131(200009)43:9<2025::AID-ANR13>3.0.CO;2-O.
Springer JM, Kalot MA, Husainat NM, Byram KW, Dua AB, James KE, et al. Granulomatosis with polyangiitis and microscopic polyangiitis: a systematic review and meta-analysis of benefits and harms of common treatments. ACR Open Rheumatol. 2021;3:196-205. doi: 10.1002/acr2.11230.
Ladrón de Guevara D, Cerda F, Carreño MA, Piottante A, Bitar P. Actualización en el estudio de granulomatosis con poliangeitis (Granulomatosis de Wegener). Rev Chil Radiol. 2019;25:26-34. http://dx.doi.org/10.4067/S0717-93082019000100026.
Pinedo F, Fernández A, Bravo C, Somarriva C, Santibañez N. Fibroma odontogénico periférico: Reporte de un Caso. Int J Odontostomatol. 2017;11: 178-81. http://dx.doi.org/10.4067/S0718-381X2017000200010.
Ritwik P, Brannon RB. Peripheral odontogenic fibroma: a clinicopathologic study of 151 cases and review of the literature with special emphasis on recurrence. Oral Surg Oral Med Oral Pathol Oral Radiol Endod. 2010;110:357-63. doi: 10.1016/j.tripleo.2010.04.018
Notas
Notas de autor
* Correspondencia Autor: Patricio Smith | Dirección: Marcoleta 391, Santiago, Chile. | Teléfono: + 56 2 2354 8400 | E-mail: psmithf@uc.cl
Declaración de intereses