CLINICAL REPORT
Esthetic crown lengthening in the treatment of gummy smile associated with altered passive eruption: A case report.
Esthetic crown lengthening in the treatment of gummy smile associated with altered passive eruption: A case report.
International journal of interdisciplinary dentistry, vol. 17, no. 1, pp. 39-41, 2024
Sociedad de Periodoncia de Chile Implantología Rehabilitación Odontopediatria Ortodoncia
Received: 27 November 2022
Revised document received: 22 December 2022
Accepted: 21 January 2023
ABSTRACT
Introduction: Excessive gummy smile affects the aesthetics of the patient and can be the result of several factors, including altered passive eruption, which can be surgically corrected by aesthetic crown lengthening.
Case report: 22-year-old female patient, who was treated by aesthetic crown lengthening for the correction of type 1B altered passive eruption.
Discussion: Considering the patient’s age and periodontal phenotype, surgical correction of the gummy smile by aesthetic crown lengthening shows stable long-term results.
Conclusion: Surgically correcting excessive gingival exposure through esthetic crown lengthening can help patients improve the appearance of their smile and regain their self-confidence.
KEY WORDS: Gummy smile+ Altered passive eruption+ Esthetic.
INTRODUCTION
Approximately 7% of men and 14% of women have a gummy smile, which is considered a mucogingival disease around teeth recognized by the American Academy of Periodontology, which can present in the form of pseudopockets, discrepancies in the gingival margins, excessive gingival exposure and gingival enlargement1-3.
Excessive gingival exposure can be attributed to 4 etiological factors, which are: lip hypermobility, excessive growth of the jaw, dentoalveolar extrusion, and altered passive eruption3,4 and in some cases a combination of them. For the diagnosis of excessive gingival exposure, different parameters must be evaluated, such as facial height, length of the upper lip, size of the clinical crown, lip at rest, smile line and maximum smile3.
In the evaluation of facial height, the middle and lower thirds should measure the same. When the lip is at rest, women show 3 to 4 mm of the central incisors, while men show 1 to 2 mm. The smile line can be high (Anterior teeth are fully exposed during smiling, and a gingival band is also seen), medium (Lip movement shows 75 to 100% of the anterior teeth, as well as interproximal gingival papillae) and low (The upper lip exposes the teeth in no more than 75%)5. In the maximum smile, the lip should move to the tooth-gingiva interface of the centrals and canines. If more than 1.5 to 2 mm of marginal gingiva is exposed, the excess gingiva causes esthetic compromise3. The size of the clinical crown plays a very important role in the differential diagnosis of altered passive eruption. Central incisors average 10-11 mm long and have a width-to-height ratio of 75-80%4.
If the cemento-enamel junction (CEJ) is in a normal position in the gingival sulcus, the patient does not have an altered passive eruption. When the CEJ is not detectable in the sulcus, a diagnosis of altered passive eruption can be made and then a crestal “bone probing” is performed. This together with a periapical parallel profile radiograph helps to make the diagnosis of the altered passive eruption classification and the treatment to choose3.
Coslet made a classification for cases of altered passive eruption that help us choose the ideal treatment, taking into account the amount of keratinized gingiva and the height of the alveolar crest6:
• Type 1A: Wide band of attached gingiva and alveolar crest apical to CEJ (1-2 mm from the CEJ). - Treatment: Gingivectomy
• Type 1B: Wide band of attached gingiva but the alveolar crest will be at the level or coronal to the CEJ. - Treatment: Gingivectomy and osseous surgery
• Type 2A: Inadequate amount of attached gingiva and the alveolar crest is in its normal position. - Treatment: Apically positioned flap
• Type 2B: Inadequate amount of attached gingiva and the alveolar crest is at the level or coronal to the CEJ. - Treatment: Apically positioned flap and osseous surgery
The objective of this article is to report a clinical case of aesthetic crown lengthening of a 22-year-old female patient, who was diagnosed with type 1B altered passive eruption.
CASE REPORT
A 22-year-old female patient, who attended the Department of Periodontics of the Universidad Autónoma de Nuevo León, with the purpose of consulting “Gum contouring”. In the interrogation of the clinical history, the patient denied any systemic disease, use of medicines, alcohol and/or tobacco, for which she was classified as ASA I7.Within her dental history, she reported having performed 2 previous surgeries (gingivectomy) after her orthodontic treatment.
In her facial analysis, the patient exhibited symmetrical facial fifths with the interpupillary and intercommissural lines parallel to each other, and showed an increased lower third as well as a high smile since she displayed more than 2 mm of gum in her maximum smile3.
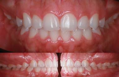
During intraoral examination small clinical crowns, discrepancy in the gingival margins and absence of incisal wear were observed (Figure 1). During the periodontal evaluation, an absence of periodontal pockets, bleeding on probing and a good band of keratinized gingiva were observed. The CEJ could not be detected in pieces 1.5 to 2.5 because the alveolar crest was at a level more coronal to it.

Based on the clinical and radiographic findings, a good general and individual prognosis was established8 as well as the diagnosis of altered passive eruption type 1B6 of teeth 1.7 to 2.7 due to the presence of a wide band of attached gingiva but radiographically the alveolar crest it was at the level or coronal to the CEJ (Figure 2). Scaling and oral physiotherapy were performed prior to surgery. Subsequently, based on the diagnosis of the patient with altered passive eruption type 1B, aesthetic crown lengthening which consists of performing gingivectomy, a full-thickness flap and bone recontouring from tooth 1.6 to 2.6.

Surgical procedure
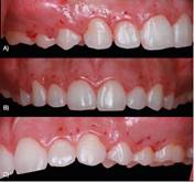
Surgical asepsis and antisepsis were performed. 360 mg of Articaine 4% 1/100,000 were infiltrated, using the posterior, middle and anterior alveolar technique. A nasopalatine technique was performed, and posterior papillae were infiltrated. CEJ positions were marked on the mesial, middle, and distal aspect on the gingiva with a periodontal probe (North Carolina, Hu-Friedy) (Figure 3).
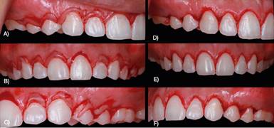
Submarginal incisions were made at the internal bevel of pieces 1.6 to 2.6 with a 15C blade and subsequently intrasulcular from 1.7 to 2.7, to achieve good access (Figure 4 A-C). Tissue collars were removed with a periodontal curette (Hu-Friedy) (Figure 4 D-F) and the full-thickness flap was raised to the mucogingival line from tooth 1.4 to 2.4 and beyond the mucogingival line posterior to the second premolars using a periosteal elevator (PR-3, Hu Friedy). After raised the flap, the alveolar crest was shown to be at the level of the CEJ as seen on radiographs (Figure 5 A-C). In the same way, it is confirmed with a probe, measuring the alveolar crest to the CEJ, to know how many millimeters were necessary to remove9,10. Bone surgery was performed using a pear and ball bur to remove the exostoses.



Vertical grooving was made to establish the width of the bone and osteoplasty was performed with a carbide ball bur, and an osteotomy was performed with an end carbide bur from the Periodontal Surgical Kit (Brasseler USA), leaving 3 mm from the CEJ to the alveolar crest, and the bone surgery was completed with osteoplasty again (Figure 5 D-F). The flap was positioned at the CEJ and sutured with internal vertical mattress sutures using 6-0 vicryl (Atramat) and external vertical sutures between molars.
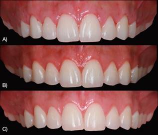
The respective postoperative indications were given and ketorolac 30 mg every 6 hours for 3 days, ibuprofen 600 mg every 6 hours for 5 days, and 0.12% chlorhexidine rinses every 12 hours for 7 days were prescribed. Stitches were removed at 7 days and follow-up appointments were scheduled at 15 days, 1 and 6 months (Figures 6 and 7).


DISCUSSION AND CONCLUSION
Different causes of a gummy smile have been described. A common and often undiagnosed etiology is altered passive eruption, which is a failure of normal apical migration of the gingiva and/or attachment apparatus11. Understanding the etiology of the condition to be treated facilitates the treatment plan that will produce a stable result12.
Studies have evaluated the perception of excessive gummy smile in society and showed that excessive gummy exposure negatively affects how attractive a person’s smile is considered, as well as how friendly, reliable, intelligent and self-confident they were perceived13.
Considering the age of the patient is an important factor as studies show that passive eruption continues up to 19 years of age. The results of the study by Morrow et. al demonstrated that the maxillary central incisor, lateral incisor, and canine teeth showed a 0.5 mm change in clinical length at ages 14 to 15 and 18 to 19 years14. These findings are important to the clinician in making treatment decisions for adolescents and young adults, especially males who may not be fully developmental by age 19 years.
Aesthetics plays an important role in the patient’s self-esteem, so a gummy smile could have a negative effect on their social and personal life. Surgically correcting excessive gingival exposure through esthetic recontouring can help patients improve the appearance of their smile and regain self-confidence.
A mean of 0.1 - 0.2 mm rebound of gingival tissue between 6 and 12 months after aesthetic crown lengthening was expected15, but less tissue rebound has been reported when leaving the 3 mm distance between the alveolar bone crest and the CEJ. The present case report shows the results of aesthetic crown lengthening surgery that achieved margin stability without soft tissue rebound at 6 months.
ACKNOWLEDGMENTS
Thanks to CONACYT for the scholarship granted.
References
Armitage GC. Development of a classification system for periodontal diseases and conditions. Ann of Periodontol. 1999;4(1):1-6. doi: 10.1902/annals.1999.4.1.1.
Caton JG, Armitage G, Berglundh T, Chapple ILC, Jepsen S, Kornman KS, et al. A new classification scheme for periodontal and peri-implant diseases and conditions - Introduction and key changes from the 1999 classification. J Clin Periodontol. 2018;45 Suppl 20:S1-S8. doi: 10.1111/jcpe.12935.
Robbins JW. Differential diagnosis and treatment of excess gingival display. Pract Periodontics Aesthet Dent. 1999;11(2):265-73. PMID: 10321231.
Mele M, Felice P, Sharma P, Mazzotti C, Bellone P, Zucchelli G. Esthetic treatment of altered passive eruption. Periodontol 2000. 2018;77(1):65-83. doi: 10.1111/prd.12206.
Fradeani M. Rehabilitación estética en prostodoncia fija. Análisis estético. Vol. 1. Barcelona: Quintessence Publishing; 2008. 63-106 p.
Coslet JG, Vanarsdall R, Weisgold A. Diagnosis and classification of delayed passive eruption of the dentogingival junction in the adult. The Alpha omegan. 1977;70(3):24-8. PMID: 276255.
Maloney WJ, Weinberg MA. Implementation of the American Society of Anesthesiologists Physical Status Classification System in Periodontal Practice. J Periodontol. 2008;79(7):1124-6. doi: 10.1902/jop.2008.070625.
McGuire MK, Nunn ME. Prognosis versus actual outcome. II. The Effectiveness of clinical parameters in developing an accurate prognosis. J Periodontol . 1996;67(7):658-65. doi: 10.1902/jop.1996.67.7.658.
Gargiulo AW, Wentz FM, Orban B. Dimensions and relations of the dentogingival junction in humans. J Periodontol . 1961;32(3):261-7.
Sonick M. Esthetic crown lengthening for maxillary anterior teeth. Compend Contin Educ Dent. 1997;18(8):807-20. PMID: 9533339.
Dolt AH, Robbins JW. Altered passive eruption: an etiology of short clinical crowns. Quintessence Int. 1997;28(6):363-72.
Jorgensen MG, Nowzari H. Aesthetic crown lengthening: Jorgensen & Nowzari. Periodontol 2000 . 2001;27(1):45-58. doi: 10.1034/j.1600-0757.2001.027001045.x.
Malkinson S, Waldrop TC, Gunsolley JC, Lanning SK, Sabatini R. The effect of esthetic crown lengthening on perceptions of a patient’s attractiveness, friendliness, trustworthiness, intelligence, and self-confidence. J Periodontol . 2013;84(8):1126-33. doi: 10.1902/jop.2012.120403.
Morrow LA, Robbins JW, Jones DL, Wilson NHF. Clinical crown length changes from age 12-19years: a longitudinal study. J Dent. 2000;28(7):469-73. doi: 10.1016/s0300-5712(00)00023-3.
Levine Ra, McGuire M. The diagnosis and treatment of the gummy smile. Compend Contin Educ Dent 1997; 18:757-764. PMID: 9533335
Notes
Author notes
* Corresponding author: Alejandra Baltazar Ruiz | Phone: +52 81 83294000 Extensión: 3192 | E-mail: E-mail: psgperiouanl@gmail.com
Conflict of interest declaration