REPORTE CLÍNICO
Queratoquiste: Expresión clínica mandibular atípica en un caso clínico.
Keratocyst: mandibular expression in a clinical case.
Queratoquiste: Expresión clínica mandibular atípica en un caso clínico.
International journal of interdisciplinary dentistry, vol. 17, no. 2, pp. 105-108, 2024
Sociedad de Periodoncia de Chile Implantología Rehabilitación Odontopediatria Ortodoncia
Received: 17 August 2022
Revised document received: 12 March 2023
Accepted: 11 April 2023
RESUMEN: El queratoquiste odontogénico constituye del 3 a 11% de los quistes odontogénicos. Se presenta desde la infancia hasta la vejez con mayor incidencia en hombres. La mandíbula está involucrada en el 60% al 80% de los casos, con una frecuencia en cuerpo y rama. Las lesiones de menor tamaño suelen ser asintomáticos, diagnosticados por examen radiográfico, no obstante, las lesiones más grandes pueden estar asociadas con dolor y aumento de volumen. Radiográficamente se observan lesiones uniloculares o multiloculares radiolúcidas de bordes nítidos, corticalizados, asociado a un diente retenido. Se presenta caso clínico de paciente género masculino de 30 años de edad, que exhibe una expresión atípica. Manifestándose como una doble lesión de queratoquistes odontogénicos independientes entre sí, localizados en rama y cuerpo mandibular derecha, tratado en el Servicio de Cirugía Maxilofacial del Hospital San José, Santiago de Chile. Se describe diagnóstico y tratamiento quirúrgico realizado. El interés clínico del caso es la presencia de dos lesiones independientes entre sí, con el mismo diagnóstico. Presentación que nos parece fundamental reportar en la literatura científica debido a su alto alcance e impacto.
PALABRAS CLAVE: Queratoquiste odontogénico, Tumor odontogénico, Descompresión, Enucleación.
ABSTRACT: The odontogenic keratocyst represents 3 to 11% of all odontogenic cysts. It occurs from childhood to old age with a higher incidence in men. The mandible is involved in 60% to 80% of cases, with a frequency in the body and ramus. Smaller lesions are usually asymptomatic and diagnosed by radiographic examination. However, larger lesions may be associated with pain and increased volume. Radiographically, radiolucent unilocular or multilocular lesions with sharp, corticalized edges are observed, associated with an impacted tooth. A clinical case of a 30-year-old male patient, who exhibits an atypical expression, is presented. A double lesion of odontogenic keratocysts independent of each other appears, located in the right mandibular ramus and body, treated in the Maxillofacial Surgery Service of the San José Hospital, Santiago de Chile. Diagnosis and surgical treatment performed are described. The clinical interest of the case is the presence of two lesions independent of each other, with the same diagnosis. It seems fundamental to us to report it in the scientific literature due to its high scope and impact.
KEY WORDS: Odontogenic keratocyst, Odontogenic tumors, Decompression, Enucleation.
INTRODUCCIÓN
El queratoquiste odontogénico (QQ) también denominado quiste primordial es definido como quiste del desarrollo de origen odontogénico. El cual presenta un alto índice de recidivas (20% - 30%)1, constituyendo del 3 a 11% de los quistes odontogénicos2.
Se presenta desde la infancia hasta la vejez, sin embargo, alrededor del 60% de los casos son diagnosticados entre los 10 y 40 años de edad2, con mayor incidencia en hombres que en mujeres (1:1,4)1,3. La mandíbula está involucrada en el 60% al 80% de los casos, frecuentemente localizado en cuerpo posterior y rama ascendente (65-80%)1,2.
Los queratoquistes odontogénicos de tamaño pequeño suelen ser asintomáticos y se descubren sólo por examen radiográfico, tienden a crecer en dirección anteroposterior dentro de la cavidad medular del hueso sin causar una expansión ósea evidente, no obstante, las lesiones más grandes pueden estar asociados con dolor, aumento de volumen o drenaje2.
Radiográficamente se observan lesiones uniloculares o multiloculares radiolúcidas de bordes nítidos y, a menudo, corticalizados, asociado a un diente retenido en 25% a 40% de los casos. Puede desplazar raíces de dientes adyacentes, pero no se describen rizalisis1,2.
Estas características son útiles para su diagnóstico diferencial clínico y radiográfico de quiste dentígero y radicular quienes suelen producir expansión ósea. Pueden estar presentes múltiples queratoquistes odontogénicos, y estos pacientes deben ser evaluados en busca de otras manifestaciones del síndrome de carcinoma nevoide de células basales (Gorlin)2.
Según su origen histopatológico se pueden dividir en dos tipos: los de origen primordial (60% de los casos); a partir de restos celulares de la lámina dental, no asociados a piezas dentales y los de origen dental (40%); que tienen su origen en el órgano reducido del esmalte y se asocian a piezas incluidas1. Histopatológicamente se observa una pared fibrosa delgada y friable, desprovista de infiltrado inflamatorio. El lumen quístico contiene un líquido transparente y/o de aspecto blanco sucio constituido por queratina1,2. El revestimiento epitelial se compone de una capa uniforme de epitelio escamoso estratificado en empalizada de células epiteliales cúbicas o cilíndricas, que a menudo son hipercromáticas2. La superficie luminal presenta habitualmente paraqueratosis (80%), describiéndose también una minoría de casos con ortoqueratosis, los cuales presentarían un comportamiento menos agresivo, con menor tasa de recurrencia1. Además, se pueden observar pequeños quistes satélites dentro de la pared fibrosa2.
Su crecimiento puede estar relacionado con factores desconocidos inherentes al epitelio mismo o con la actividad enzimática en la pared fibrosa. En la clasificación más reciente de la OMS de tumores odontogénicos, se les ha dado el nombre de “tumor odontogénico queratoquístico”2.
El diagnóstico se basa en las características histopatológicas, debido a que los hallazgos radiográficos pueden simular los de un quiste dentígero, un quiste radicular, un quiste residual, un quiste periodontal lateral y en la línea media maxilar pueden simular quistes del conducto nasopalatino2.
En consecuencia, la mayoría de los queratoquistes odontogénicos se tratan mediante enucleación y curetaje, ya que, la eliminación completa del quiste es difícil debido a la naturaleza delgada y friable de la pared del quiste. Suelen reaparecer después del tratamiento, esto debido a fragmentos del quiste original que no se extirparon en el procedimiento o un quiste “nuevo” que se ha desarrollado a partir de restos de lámina dental en el área del quiste original no se puede determinar con certeza. La frecuencia de recurrencia oscila entre el 5 % al 62 %, siendo no inusuales las recurrencias múltiples. Aunque muchos recurren dentro de los 5 años posteriores a la cirugía2.
Se recomienda la ostectomía periférica de la cavidad ósea con una fresa de hueso para reducir la frecuencia de recurrencia. Otros autores sugieren la cauterización química de la cavidad ósea con solución de Carnoy (alcohol absoluto 6ml, cloroformo 3ml, ácido acético al 98% 1ml y cloruro férrico 0.1 mg)2,4, después de la extirpación del quiste. También se ha utilizado la inyección intraluminal de la solución de Carnoy para liberar el quiste de la pared ósea, lo que permite una extracción más fácil con una tasa de recurrencia más baja2.
No obstante, el abastecimiento de la solución de Carnoy, se ha vuelto difícil últimamente, especialmente después de su prohibición por parte de la Agencia de Drogas y Alimentos de los Estados Unidos (FDA). Esto ha generado interés en explorar agentes químicos alternativos como el 5-Fluorouracilo (5-FU)5, el cual es un antimetabolito utilizado para el tratamiento de carcinomas basocelulares, inhibiendo la vía de señalización Sonic Hedgehog (SHH), la cual, según por su patogénesis molecular, también es compartida por los queratoquistes, por lo que recientemente se ha propuesto su tratamiento mediante la aplicación tópica de este metabolito, por su menor morbilidad y su nula neurotoxicidad comparada con otros tratamientos6. Aparte de la tendencia a las recurrencias, el pronóstico general para la mayoría de los queratoquistes odontogénicos es favorable. Ocasionalmente, un queratoquiste odontogénico localmente agresivo no se puede controlar sin resección local e injerto óseo2.
Por lo tanto, es necesario un seguimiento clínico y radiográfico postoperatorio con el fin de vigilar posibles recidivas, que pueden explicarse tanto por una enucleación o curetaje incompletos debidos a la debilidad de la pared del quiste o la invasión de tejidos blandos adyacentes, o bien por quistes satélites dada la alta actividad mitótica de la entidad, no detectados en el momento de la cirugía1,2.
Presentación del caso
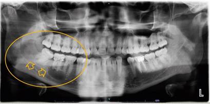
Paciente género masculino, 30 años, derivado desde Centro Atención Primaria de Salud al Hospital San José, por hallazgo radiográfico de lesiones radiolúcidas aparentemente quísticas en rama mandibular derecha y periapice de diente 18 de 1.5 cm de diámetro aprox. en control dental (Fig. 1). No refiere sintomatología. No presenta antecedentes mórbidos ni consumo de fármacos. Niega alergias.

Al examen físico, a primera impresión simétrico sin aumento de volumen evidente, sin expansión de tablas óseas. Fondo de vestíbulos desocupados sin alteración de mucosa oral, desdentado parcial.
En sus exámenes de laboratorio no muestran alteraciones.
Imágenes por tomografía computarizada se observan 2 lesiones hipodensas aisladas una de la otra ubicadas en cuerpo (Fig. 2) y rama mandibular derecha (Fig. 3), una de ellas comprometiendo periapice de diente 18, ambas lesiones de 1.5 cm de diámetro aproximadamente.


Por hallazgos clínicos sugerentes a queratoquiste se decide realizar biopsia incisional de tejidos asociados a lesiones e instalar cánulas de descompresión, para en un futuro realizar biopsia excisional, para estudio etiológico. El primer procedimiento; biopsia incisional e instalación de cánulas de descompresión, cauterización con solución de Carnoy en la zona del cuerpo y rama mandibular derecha, procedimiento realizado bajo anestesia local, requirió control mensual para chequeo de la descompresión con solución de suero fisiológico al 0.9% (verificando permeabilidad), además de controles radiográficos trimestrales. El paciente durante este período se realizaba irrigación con solución de suero fisiológico al 0.9% dos veces al día.
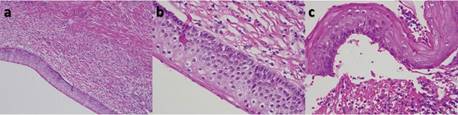
Luego del tratamiento y estudio histopatológico de ambas muestras, se evidenció en la primera muestra; múltiples fragmentos de membrana quística revestidos parcialmente por un epitelio plano pluriestratificado paraqueratinizado corrugado en su superficie, la capa basal se presenta en empalizada, con núcleos hipercromáticos, de un grosor de 6-10 células, mientras que otras áreas se observan un epitelio plano acantósico con exocitosis de infiltrado inflamatorio. La pared quística se observa fibrosa, con intenso infiltrado inflamatorio mononuclear, con escasos focos de calcificación. En la segunda muestra se observan fragmentos escasos de tejido conjuntivo. Ambos diagnósticos compatibles con Queratoquiste Odontogénico.
Luego de evidenciar la disminución de tamaño de las lesiones a los 5 meses, se planifica realizar exéresis de ambas lesiones quísticas bajo anestesia general. Respecto a procedimiento quirúrgico, se realizó un abordaje intraoral, a través de colgajo sagital de rama mandibular derecha. Se accede al sitio de muestra mediante osteotomía localizando cavidades quísticas en distal de diente 17 y apical de diente 19, en el cual se observa membrana quística, con contenido símil a queratina, se realiza curetaje profuso, retiro de membrana quística y exodoncia de diente 17, fijación de ambas cavidades con solución de Carnoy durante 2 minutos con 30 segundos, finalmente se reposicionan los márgenes de la incisión por primera intención mediante una sutura vicryl 3-0.
Por último, se envían dos muestras del tejido extirpado para realizar estudio histopatológico, en el cual se evidenció características similares en ambas muestras. Diagnóstico compatible con Queratoquiste Odontogénico (Fig.4).

A los controles inmediatos y mediatos el paciente ha presentado una evolución clínica favorable luego del procedimiento quirúrgico, sin signos ni síntomas de recibida.
DISCUSIÓN
En la última edición (5ta) de la Clasificación de tumores de cabeza y cuello de la Organización Mundial de la Salud (OMS), el QQ se mantiene como quiste odontogénico benigno, representando aproximadamente el 10% de todos los quistes odontogénicos, al igual que en la clasificación de la OMS del año 20173,7,8.
La distribución por edad informada es considerablemente amplia, con mayor incidencia en la tercera década de vida y con preponderancia del género masculino3. Se localizan con mayor frecuencia en zonas mandibulares dentadas, predominando en ángulo o rama mandibular3,9, características que se correlacionan al caso expuesto. En maxilar se reportan como sitios más comunes la zona anterior y la región del tercer molar3.
En caso de lesiones múltiples es necesario descartar que se asocie a un Síndrome, debido a su comportamiento agresivo con una tasa de recurrencia relativamente alta3. Síndromes como; carcinoma nevoide basocelular, oral-facial-digital, el Ehlers Danlos y el de Noonan, siendo más frecuente el primero1,3,10, el cual, es una displasia ectomesodérmica de origen hereditario, autosómica dominante, que se caracteriza por múltiples nevus basocelulares, malformaciones esqueléticas y QQ1, características clínicas que no se presentaron y fueron descartadas del caso.
Estas lesiones se caracterizan por un alto potencial proliferativo celular, regulado por proteínas relacionadas con la apoptosis celular como la p53, bcl-2, ki67 y PCNA, que se encuentran aumentadas en este tipo de quistes, así como la producción de IL- 1, IL-6, TNF y prostaglandinas intraluminales, que justifican su comportamiento recidivante y su alto índice de crecimiento con respecto a otros quistes odontogénicos1. A pesar de este alto índice proliferativo, raramente afectan a las corticales óseas y pueden mantenerse largo tiempo asintomáticos, siendo con frecuencia, hallazgos radiológicos, coincidente con el caso.
Por el contrario, la sintomatología comienza debido a sobreinfección del quiste, debutando con inflamación local y, en casos evolucionados; abscesos, fístulas o trismus. Se reportan perforaciones de las corticales hasta en un 25% de los casos dado su potencial de crecimiento, pudiendo debutar como una fractura patológica1.
Respecto a los estudios imagenológicos, se encuentran principalmente la tomografía computarizada (TC) y, en casos seleccionados, la resonancia magnética nuclear (RMN), quienes juegan un papel importante en el diagnóstico y manejo3. Es necesario considerar radiológicamente diagnósticos diferenciales con lesiones mandibulares radiolúcidas como el ameloblastoma, asimismo, diferenciarlos de los quistes foliculares, relacionados con la corona de piezas incluidas1.
Existen numerosas alternativas de tratamiento para el manejo de estas lesiones como descompresión, marsupialización, enucleación, diferentes medidas adyuvantes y finalmente la resección ósea11,12 pero la elección sigue siendo controvertida.
En el caso expuesto, en primera instancia se realiza descompresión del quiste, la cual es una alternativa de tratamiento conservadora, en la que se realiza una pequeña incisión y se utiliza una cánula de drenaje que reduce la presión en la lesión12,13, permitiendo así una cirugía en segunda instancia, menos agresiva y con menores tasas de recidivas1. El uso complementario de estas terapias aseguraría la remoción completa de la lesión, al disminuir el tamaño del quiste y permitir una extirpación más fácil.
Sin embargo, su uso depende de factores propios del paciente, como una condición sistémica que lo haga más propenso a infecciones secundarias, consumo de medicamentos, tamaño de la lesión o por la disposición del paciente a usar la cánula12,13.
En segunda instancia, se realiza la enucleación de la lesión, consistente en la extirpación de la lesión a través de una intervención quirúrgica. Además, se empleó como técnica coadyuvante la aplicación de solución de Carnoy posterior a la enucleación del queratoquiste, curetaje y limpieza del nicho quirúrgico para disminuir la posibilidad de recidiva (1-8,7%)1, la solución de carnoy ha demostrado penetrar el margen óseo alrededor de 1.54 mm y el tiempo de exposición ideal no deberá exceder los cinco minutos para evitar la inducción de neurotoxicidad local4.
Al realizar el tratamiento en dos tiempos quirúrgicos; iniciando con descompresión, y luego enucleación quística disminuimos la tasa de recurrencia12,13. Además, en la literatura no recomiendan enucleación de la lesión como primera instancia, debido a la alta tasa de recidiva (17-56%)1,9. Cabe señalar que en casos agresivos la literatura describe la realización de resección mandibular en bloque1.
En la literatura particularmente no se encuentra documentación de lesiones múltiples de queratoquistes aisladas e independientes entre sí, en la misma región anatómica ósea, no asociada a síndrome, como lo desarrollado en el presente reporte de caso. No obstante, autores manifiestan la existencia de lesiones odontogénicas híbridas que son poco comunes, las cuales combinan características histopatológicas de dos o más quistes y/o tumores odontogénicos que pueden coexistir en mismo sitio9.
Curiosamente, el ameloblastoma y el queratoquiste odontogénico cuando se asocian a otras lesiones odontogénicas no parecen presentar su conocida agresividad local9.
CONCLUSIÓN
El interés clínico del caso presentado es la presencia de dos lesiones independientes entre sí, con el mismo diagnóstico, siendo fundamental reportar en la literatura científica por su alcance clínico e impacto diagnóstico debido a múltiples QQ asociados a pacientes no sindrómicos; considerado una entidad única por su comportamiento clínico y su agresividad local. Además, de la importancia que conlleva la etapa diagnóstica, tratamiento y seguimiento clínico e imagenológico postoperatorio de estas lesiones, en vista a la alta tasa de recurrencia.
Presentando como limitación un diagnóstico tardío debido a la sintomatología silente de la lesión, comprometiendo diferentes estructuras requiriendo un estudio tridimensional y bajo un equipo multidisciplinario.
AGRADECIMIENTOS
Este caso clínico fue elaborado con el apoyo de la Dra. Andrea Maturana Ramírez. Patóloga Bucomáxilo Facial, CDT Dental Eloísa Diaz/Servicio de Anatomía Patológica, Hospital San José/ SSMN. Santiago, Chile.
Bibliografía
Sánchez Burgos R, Del Castillo Pardo de Vera JL, Morán Soto MJ, Pingarrón Martín L, Burgueño García M. Queratoquiste odontogénico mandibular: Presentación como trismus de larga evolución. Rev Esp Cirug Oral y Maxilofac. 2008;30(4):291-4. Disponible en: http://scielo.isciii.es/scielo.php?script=sci_arttext&pid=S1130-05582008000400010&lng=es.
Neville BW, Damm DD, Allen CM, Chi AC Oral and maxillofacial pathology. Elsevier, 2016. Available from: http://evolve.elsevier.com/Neville/OMPhttp://evolve.elsevier.com/Neville/OMP.
Borghesi A, Nardi C, Giannitto C, Tironi A, Maroldi R, di Bartolomeo F, et al. Odontogenic keratocyst: imaging features of a benign lesion with an aggressive behaviour. Insights Imaging. 2018 Oct 1 ;9(5):883-97. doi: 10.1007/s13244-018-0644-z. Available from: https://pubmed.ncbi.nlm.nih.gov/30066143/
Arellano FAM, González MM. Tumor odontogénico queratoquístico y sus tratamientos. Reporte de un caso. Rev ADM. 2008;65(1):44-8. Available from: https://www.medigraphic.com/pdfs/adm/od-2008/od081f.pdf
Singh AK, Khanal N, Chaulagain R, Bhujel N, Singh RP. How effective is 5-Fluorouracil as an adjuvant in the management of odontogenic keratocyst? A systematic review and meta-analysis. Br J Oral Maxillofac Surg. 2022 Jul 1;60(6):746-54. doi: 10.1016/j.bjoms.2022.02.001. Available from: https://www.bjoms.com/article/S0266-4356(22)00065-1/fulltext.
Hernández-Ortega R, Malanche-Abdalá G, Salgado-Chavarría F. Terapia adyuvante con 5-fluorouracilo tópico para queratoquiste odontogénico, presentación de caso y revisión de la literatura. Rev Odont Mex. 2021;25(3):2021-4. Available from: https://www.revistas.unam.mx/index.php/rom/article/view/83093
Vered M, Wright JM. Update from the 5th Edition of the World Health Organization Classification of Head and Neck Tumors: Odontogenic and Maxillofacial Bone Tumours. Head Neck Pathol. 2022 Mar 21;16(1):63-75. doi: 10.1007/s12105-021-01404-7. Available from: https://link.springer.com/article/10.1007/s12105-021-01404-7
Reichart P, Sciubba JJ, Philipsen HP. Splitters or lumpers: The 2017 WHO Classification of Head and Neck Tumours. J Am Dent Assoc. 2018 Jul 1;149(7):567-71. doi: 10.1016/j.adaj.2018.03.029. Available from: https://www-ncbi-nlm-nih-gov.uchile.idm.oclc.org/pmc/articles/PMC9019005/
Pontes FSC, Mosqueda-Taylor A, de Souza LL, de Paula LP, Batista LAL, Rodrigues-Fernandes CI, et al. Hybrid odontogenic lesions: A systematic review of 203 cases reported in the literature. J Oral Pathol Med. 2022;51(1):5-12. doi: 10.1111/jop.13238.
Avril L, Lombardi T, Ailianou A, Burkhardt K, Varoquaux A, Scolozzi P, et al. Radiolucent lesions of the mandible: a pattern-based approach to diagnosis. Insights Imaging. 2014 Feb ;5(1):85-101. doi: 10.1007/s13244-013-0298-9. Available from: http://pmc/articles/PMC3948901/
Slusarenko da Silva Y, Stoelinga PJW, Naclério-Homem M da G. Recurrence of nonsyndromic odontogenic keratocyst after marsupialization and delayed enucleation vs. enucleation alone: a systematic review and meta-analysis. Oral Maxillofac Surg. 2019 Mar 6 ;23(1):1-11. doi: 10.1007/s10006-018-0737-3. Available from: https://pubmed.ncbi.nlm.nih.gov/30498866/
Pardo S, Retamal F, Romo L. Enucleación secundaria a descompresión o marsupialización para pacientes con queratoquiste. Int J Interdiscip Dent. 2020.;13(3):224-8. doi:10.4067/S2452-55882020000300224 Available from: https://www.redalyc.org/articulo.oa?id=610065625023
Al-Moraissi EA, Pogrel MA, Ellis E. Enucleation with or without adjuvant therapy versus marsupialization with or without secondary enucleation in the treatment of keratocystic odontogenic tumors: A systematic review and meta-analysis. J Craniomaxillofac Surg. 2016 ;44(9):1395-403. doi: 10.1016/j.jcms.2016.05.020. Available from: https://www.sciencedirect.com/science/article/abs/pii/S1010518216300725?via%3Dihub
Author notes
* Correspondencia Autor: Hilda Moris Vidal | Dirección: San José 1196, Independencia, Santiago de Chile. | Teléfono: +56992202549 | E-Mail: franmorisv@gmail.com
Conflict of interest declaration