Notas Fitopatológicas
Alteraciones anatómicas e hiperplasia inducidas por Euphorbia mosaic virus aislamiento Yucatán Península en el mesófilo
Anatomic alterations and hyperplasia induced by Euphorbia mosaic virus Yucatan Peninsula isolate at the meshophyll
Alteraciones anatómicas e hiperplasia inducidas por Euphorbia mosaic virus aislamiento Yucatán Península en el mesófilo
Revista mexicana de fitopatología, vol. 36, núm. 2, pp. 287-297, 2018
Sociedad Mexicana de Fitopatología A.C.
Recepción: 05 Diciembre 2017
Aprobación: 05 Febrero 2018
Financiamiento
Fuente: CONACYT
Nº de contrato: #98920 a LL0 y por la beca de doctorado #46688 a NGT
Financiamiento
Fuente: CONACYT
Nº de contrato: project #98920 to LL0 and for the PhD scholarship #46688 to NGT
Resumen.: Euphorbia mosaic virus aislamiento Yucatan Peninsula es un begomovirus bipartita con una amplia gama de hospedantes experimentales, que incluyen especies de importancia económica, como frijol, chile y tomate, entre otras. Este virus provocó síntomas severos en hojas de Nicotiana benthamiana, pérdida de identidad celular y tisular, deformaciones de la lámina foliar y de la nervadura central, cambios en la estructura del mesófilo y proliferación celular, a diferencia de otros begomovirus bipartitas. Activó la expresión de los genes cycA1, cycA2 y cdkB2.2, implicados en la transición G2/M del ciclo celular mitótico y se localizó en el mesófilo de las hojas. EuMV-YP es el primer ejemplo de un begomovirus bipartita capaz de inducir la proliferación celular.
Palabras clave: geminivirus, ciclo celular.
Abstract.: Euphorbia mosaic virus isolated from the Yucatan Peninsula is a bipartite begomovirus with a wide range of experimental hosts, including species of economic importance, such as bean, chilli and tomato, among others. This virus produced severe symptoms on Nicotiana benthamiana leaves, leaf blade deformations, loss of tissue and cell identity, as well as changes in the mesophyll structure. Unlike other bipartite begomoviruses, EuMV-YP induced cell proliferation at the mesophyll; it also positively regulated the expression of cycA1, cycA2 and cdkB2.2, genes involved in the G2/M transition of the mitotic cell cycle, and localized at the mesophyll. This is the first example of a bipartite begomovirus capable of inducing cell proliferation.
Key words: geminivirus, cell cycle.
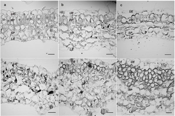
Euphorbia mosaic virus aislamiento Yucatan Peninsula (EuMV-YP) es un begomovirus bipartita con una amplia gama de hospedantes experimentales. El silenciamiento génico inducido por EuMV-YP en Nicotiana benthamiana inicia en las nervaduras y se extiende hacia el resto de la hoja (Villanueva et al., 2013), lo que sugiere que es capaz de alcanzar el mesófilo. La mayoría de los begomovirus bipartitas tienen hospedantes específicos, en los cuales permanecen restringidos al floema. El Tomato golden mosaic virus (TGMV) y el African cassava mosaic virus (ACMV) pueden invadir el mesófilo. Existe una correlación en su capacidad de salir del floema y la de producir síntomas severos en N. benthamiana (Wege et al., 2001). La replicación de los geminivirus ocurre en el núcleo de las células diferenciadas, para ello inducen su entrada al ciclo celular. Los begomovirus bipartitas y los mastrevirus promueven la síntesis de ADN sin pasar por la división celular (revisado por Hanley et al., 2013); mientras que los curtovirus inducen la mitosis, produciendo verrugas en la nervadura central (Park et al., 2004; Latham et al., 1997). En este trabajo se abordó la pregunta de si EuMV-YP es capaz de infectar las células del mesófilo de N. benthamiana y si su localización correlaciona con la severidad de los síntomas producidos. Para inocular con el virus silvestre se emplearon clonas infectivas construidas previamente (Villanueva et al., 2013), para localizar al virus se construyó el vector de expresión pEuMV-YPDAV1:GFP. Las combinaciones de plásmidos utilizados por tratamiento se indican en el Cuadro 1. En cada tratamiento se inocularon 20 plantas de N. benthamiana de cuatro hojas verdaderas, como se reportó previamente (Villanueva et al., 2013), en este trabajo se aplicó una presión de 70 psi a 6 cm de distancia y partículas de oro de 1 μm recubiertas con 5 μg de cada plásmido. A los 15 días después de la inoculación (ddi) se recolectaron las hojas número nueve y 10, denominadas “hojas con infección sistémica” porque emergieron después de la inoculación. Estas se fijaron y se embebieron en parafina, se hicieron cortes transversales de 8-10 μm en el centro de las hojas tal como se reportó previamente (Moo et al., 2012). Se adquirieron imágenes con el objetivo 40x de un microscopio confocal láser modelo Olympus FV100 SW y se procesaron con el software FV10 ASW versión 4.1. La fluorescencia de GFP se capturó con longitudes de onda de excitación/emisión de 488/507 nm, respectivamente. Para el análisis histológico, las secciones se tiñeron con azul de toluidina. Se registraron imágenes de secciones transversales y de la región media de las hojas con infección sistémica con el objetivo 6.5x de un microscopio Eclipse E200 Nikon. Se midió el grosor de la hoja y se contó el número de células por mm2 de cuatro plantas con síntomas moderados o severos a los 15 ddi. Se graficó el número de células y el espesor de la lámina foliar a partir de 12 valores individuales. Se probó la hipótesis nula de que las medias de las plantas con síntomas severos y moderados son iguales a las plantas sanas. Se llevaron a cabo pruebas F de dos muestras para determinar la homogeneidad de varianzas. La significancia estadística de la diferencia entre pares de medias (síntomas severos o moderados contra plantas sanas) se obtuvo con la prueba t de Student de dos muestras suponiendo varianzas desiguales, utilizando el programa Data Analysis ToolPak de Excel. Para los estudios de expresión génica, se tomaron hojas con infección sistémica de tres plantas, se congelaron y se molieron juntas en nitrógeno líquido. Se extrajo RNA total con el estuche RNeasy Plant mini kit (Qiagen) y un tratamiento con DNasa I. La primera cadena de cDNA se sintetizó con 500 ng de RNA total, Oligo-dT [d (T) 23VN] y el estuche ProtoScript M-MuLV, siguiendo el protocolo del fabricante (New England Biolabs, EE. UU.), el volumen final se ajustó a 50 μL. Para la segunda cadena, se utilizaron 0.2 μM de los cebadores para los genes cycA1, cycA2, cdkB2.2 (Caracuel et al., 2012) y ubi3 (Kotakis et al., 2010), 5 μL del cDNA, 0.2 mM dNTPs, 1.25 unidades de Taq polimerasa y amortiguador Thermo Pol (New England Biolabs) en 25 μL, con el programa: 94 °C por 5 min / 28 ciclos a 94 °C por 30 s, 56 °C por 60 s y 72 °C por 1 min / 72 °C por10 min. Se separaron 10 μL en un gel de agarosa al 0.8% teñido con bromuro de etidio. GFP se detectó en forma directa en todos los tipos de células del mesófilo, como la epidermis superior y el parénquima en empalizada (Figura 1A), el parénquima esponjoso y la epidermis inferior (Figura 1C) de las hojas con infección sistémica a los 15 ddi. No se detectó GFP en plantas sanas (Figura 1B y 1C). La fluorescencia de GFP fue baja y no fue posible detectarla en forma directa en el floema de la nervadura media y en otras células de los haces vasculares, pero si mediante inmunodetección (datos no mostrados). Estos resultados demuestran que EuMV-YP es capaz de invadir todos los tipos de células del mesófilo en N. benthamiana en una alta proporción, tal como lo hacen ACMV y TGMV (Wage et al., 2001). EuMV-YP también causó síntomas severos en N. benthamiana; a los 15 ddi se encontraron plantas con distintos grados de severidad: siete leves, ocho moderados y cinco severos. Las hojas con infección sistémica de plantas con síntomas severos presentaron enrollamientos pronunciados del margen hacia el envés, así como arrugamientos o abultamientos abundantes (Figura 2A, 2B y 2C), estos síntomas se mantuvieron hasta los 21 ddi. A los 25 ddi aparecieron mosaicos cloróticos y a los 28 ddi se observó la atenuación de síntomas (Figura 2D), que permanecieron así hasta la finalización del experimento. Estos resultados demuestran que al igual que ACMV y TGMV, EuMV-YP es capaz de inducir síntomas severos en N. benthamiana. Se han descrito tres determinantes genéticos que confieren la localización tisular de TGMV (Morra y Petty, 2000). EuMV-YP pertenece a un clado taxonómico distinto (Hernández et al., 2007), por tanto, los determinantes genéticos que le confieren la capacidad de invadir el mesófilo y de producir síntomas severos pueden ser distintos. Los abultamientos observados en las hojas de las plantas con síntomas severos sugerían que EuMV-YP causaba alteraciones anatómicas en las hojas (Figura 2A), además de una alta frecuencia de eventos de división celular (Figura 1A). Para caracterizar este hallazgo, se hizo un análisis histológico exhaustivo de las hojas en regiones discretas a lo largo de toda la lámina foliar (Figura 3A). En las plantas sanas se observó la organización tisular típica de N. benthamiana; epidermis superior, inferior y el parénquima en empalizada de una sola capa de células, éste último con células alargadas anticlinales; el parénquima esponjoso con dos o tres capas de células esféricas (Figura 1A). En plantas infectadas se observaron regiones con cambios en la morfología de las células y regiones engrosadas (Figura 4B, D, E y F), representando el 20 y el 50% de la hoja de las plantas con síntomas moderados y severos, respectivamente. El valor medio de las regiones engrosadas (alteradas) en plantas que mostraron síntomas severos fue significativamente diferente al de las regiones sin cambios (normales) en pruebas de t student (t ≤ 7.55, P << 0.01); lo mismo ocurrió en regiones alteradas vs normales de plantas con síntomas moderados (t ≤ 2.71, P ≤ 0.02) (Figura 3B Izq.). El número de células fue significativamente mayor en las plantas con síntomas severos o moderados en comparación con el de las sanas (t ≤ 6.18, P <0.01, t <3.87, P <= 0.01, respectivamente), con incrementos de 50 y 100% de las plantas con síntomas moderados y severos, respectivamente (Figura 3B Der.). La proliferación celular se observó en el parénquima en empalizada y esponjoso (Figura 4), que comúnmente tenían cuatro capas de células (Figura 4E y 4F). Sin embargo, en las plantas con los síntomas más severos, se encontraron hasta 10 capas (datos no mostrados). Ciertas regiones de las hojas presentaban alteración de la morfología celular, particularmente del parénquima en empalizada y esponjoso (Figura 4B y 4B). Además, se observaron células esféricas y de tamaño reducido en las regiones con mayor proliferación celular (Figura 4F). Estos resultados confirman que los abultamientos de las hojas son producto de la inducción de la división celular en el mesófilo de N. benthamiana. Resultados similares se encontraron al expresar la proteína C12 del Chrysanthemum virus B (CVB) en las hojas de N. tabacum, la cual es un determinante de patogenicidad y virulencia. CVB provoca enrollamientos y proliferación celular en las hojas del crisantemo, su hospedero natural (Lukhovitskaya et al., 2014). De hecho, muchos virus producen síntomas similares, pero no se han realizado los estudios histológicos que revelen la naturaleza de los síntomas, he aquí la relevancia del presente estudio. Cabe destacar que EuMV-YP es el primer ejemplo de un geminivirus que puede inducir la división celular en el parénquima en empalizada y esponjoso, por tanto, resulta un modelo interesante para estudiar los determinantes genéticos que están induciendo este fenómeno. Por el contrario, existen múltiples reportes de la inducción de la división celular en las células del floema y células asociadas en las nervaduras de las hojas. Tal es el caso de los Curtovirus y los begomovirus monopartitas, entre los geminivirus (Park et al., 2004; Srivastava et al., 2017) y de virus de RNA (Xie et al., 2014; Shen et al., 2016), en todos estos casos, la proliferación celular inducida conlleva a la producción de tumores en las nervaduras de las hojas. En concordancia con los resultados anteriores, la expresión los de los genes cycA1, cycA2 y cdkB2.2 se incrementó en las hojas de plantas infectadas a los 15 y 21 ddi en comparación con la de plantas sanas (Figura 5), mientras que el gen ubi3 se mantuvo sin cambio. La regulación positiva de genes que participan en la entrada a la fase mitótica (Breyne et al., 2002) es congruente con los incrementos del número de células en plantas con síntomas moderados o severos. Resultados similares se observaron en plantas infectadas con BCVT (Park et al., 2004), CBV (Lukhovitskaya et al., 2014) y el Rice black-streaked dwarf virus (RBSDV;Shen et al., 2016). Por el contrario, los begomovirus bipartitas Cabbage leaf curl virus (CaLCuV) y TGMV, activan la entrada al endociclo en Arabidopsis thaliana y en N. benthamiana, respectivamente (Nagar et al., 2002;Ascencio et al., 2008). CaLCuV activa la expresión de la mayoría de los genes que participan en la entrada al ciclo celular en la fase de síntesis de ADN y reprime la expresión de la mayoría de los genes asociados con la fase M o de división celular como CDKB2 en A. thaliana (Ascencio et al., 2008), lo que explica que CaLCuV induzca la endoreduplicación y no la división celular. Los aislados EuMV-Jal y EuMV-YP, que producen síntomas similares en varios hospederos experimentales y son incompatibles en replicación, han adquirido secuencias únicas en sus regiones intergénicas que los distinguen de virus filogenéticamente relacionados (Gregorio et al., 2010). EuMV-YP puede haber perdido las secuencias necesarias para bloquear el punto de control G2 / M o puede haber adquirido determinantes genéticos para inducir un ciclo mitótico completo, mediante mutación o la incorporación de secuencias genómicas de otros virus. Esto queda por determinarse. En conclusión, EuMV-YP es capaz de producir síntomas severos en N. benthamiana y de llegar el mesófilo, donde induce la mitosis y cambios en la morfología celular, así como la expresión de genes relacionados con la división celular.
| Tratamiento/treatment | Plásmidos/plasmids | Ensayo/Assay | |
|---|---|---|---|
| xTT | ySH | ||
| Testigo/control | pBluescript II SK+ | + | + |
| Virus silvestre/ Wild type virus | pEuMV-YP:HA + pEuMV-YP:HB | + | - |
| Vector GFP / GFP vector | pEuMV-YPDAV1:GFP | + | - |
| EuMV-YP GFP | pEuMV-YPDAV1:GFP + pEuMV-YP:HB | + | - |
| EuMV-YP + EuMV-YP GFP | pEuMV-YP:HA + pEuMV-YP:HB + pEuMV-YPDAV1:GFP | + | - |





Agradecimientos
A Oscar Moreno y Hernán Villanueva por los hemidímeros y el vector VIGS; a Jorge Ramírez Prado por apoyo con los análisis estadísticos. Al CONACYT por el financiamiento otorgado al proyecto #98920 a LL0 y por la beca de doctorado #46688 a NGT
Acknowledgements
To Oscar Moreno and Hernán Villanueva for the hemidimers and the VIGS vector; to Jorge Ramírez Prado for his support with the statistical analyses. To CONACYT for the funds given to project #98920 to LL0 and for the PhD scholarship #46688 to NGT.
LITERATURA CITADA
Ascencio IJT, Sozzani R, Lee TJ, Chu TM, Wolfinger RD, Cella R and Hanley BL. 2008. Global analysis of arabidopsis gene expression uncovers a complex array of changes impacting pathogen response and cell cycle during geminivirus infection. Plant Physiology 148:436-454. DOI: 10.1104/pp.108.121038
Breyne P, Dreesen R, Vandepoele K, De Veylder L, Van Breusegem F, Callewaert L, and Zabeau M. 2002. Transcriptome analysis during cell division in plants. Proceedings of the National Academy of Sciences 99:14825-14830. https://doi.org/10.1073/pnas.222561199
Caracuel Z, Lozano DR, Huguet S, Arroyo MM, Rodríguez NEA and Bejarano ER. 2012. C2 from beet curly top virus promotes a cell environment suitable for efficient replication of geminiviruses, providing a novel mechanism of viral synergism. New Phytologist 194:846-858. DOI: 10.1111/j.1469-8137.2012.04080.x
Gregorio JJ, Bernal AA, Bañuelos HB, Alpuche SAG, Hernández ZC, Moreno VO, Frías TG, Argüello AG. 2010. Analysis of a new strain of Euphorbia mosaic virus with distinct replicationspecificity unveils a lineage of begomoviruses with short Rep sequences in the DNA-B intergenic region. Virology Journal 7:275. https://doi.org/10.1186/1743-422X-7-275
Hanley BL, Bejarano ER, Robertson D and Mansoor S. 2013. Geminiviruses: masters at redirecting and reprogramming plant processes. Nature Reviews Microbiology 11:777-788. DOI: 10.1038/nrmicro3117
Hernández ZC, Idris AM, Carnevali G, Brown JK and Moreno VO. 2007. Molecular characterization and experimental host range of Euphorbia mosaic virus-Yucatan Peninsula, a begomovirus species in the Squash leaf curl virus clade. Plant Pathology 56:763-770. DOI: 10.1111/j.1365-3059.2007.01652.x
Kotakis C, Vrettos N, Kotsis D, Tsagris M, Kotzabasis K y Kalantidis K. 2010. Light intensity affects RNA silencing of a transgene in Nicotiana benthamiana plants. BMC Plant Biology 10:220. https://doi.org/10.1186/1471-2229-10-220
Latham JR, Saunders K, Pinner MS and Stanley J. 1997. Induction of plant cell division by beet curly top virus gene C4. The Plant Journal 11:1273-1283. DOI: 10.1046/j.1365-313X.1997.11061273.x
Lukhovitskaya NI, Solovieva AD, Boddeti SK, Thaduri S, Solovyev AG and Savenkov EI. 2013. An RNA virus-encoded zinc-finger protein acts as a plant transcription factor and induces a regulator of cell size and proliferation in two tobacco species. The Plant Cell 25:960-973. DOI: 10.1105/tpc.112.106476
Morra MR and Petty IT. 2000. Tissue specificity of geminivirus infection is genetically determined. The Plant Cell 12: 2259-2270. https://doi.org/10.1105/tpc.12.11.2259
Moo LRC, González AK, Rodríguez LC, Suarez V, Castaño E. 2012. Expression of RNA polymerase IV and V in Oryza sativa. Electronic Journal of Biotechnology 15:9-9. DOI: 10.2225/vol15-issue2-fulltext-8
Nagar S, Hanley BL and Robertson D. 2002. Host DNA replication is induced by geminivirus infection of differentiated plant cells. The Plant Cell 14:2995-3007. http://doi.org/10.1105/tpc.005777
Park J, Hwang H, Shim H, Im K, Auh CK, Lee S and Davis KR. 2004. Altered cell shapes, hyperplasia, and secondary growth in Arabidopsis caused by beet curly top geminivirus infection. Molecules and Cells 17:117-124. Disponible en línea: https://www.ncbi.nlm.nih.gov/pubmed/15055537
Shen J, Chen X, Chen J and Sun L. 2016. A phloem-limited fijivirus induces the formation of neoplastic phloem tissues that house virus multiplication in the host plant. Scientific Reports 6:29848. http://doi.org/10.1038/srep29848
Srivastava A, Agrawal L, Raj R, Jaidi M, Raj SK, Gupta S, Dixit R, Singh PC, Tripathi T, Sidhu OP, Singh BN, Shukla S, Chauhan PS and Kumar S. 2017. Ageratum enation virus Infection Induces Programmed Cell Death and Alters Metabolite Biosynthesis in Papaver somniferum. Frontiers in Plant Science 8:1172. DOI: 10.3389/fpls.2017.01172
Villanueva AH, Us CR, López 0L, Robertson D, Guerra PO, Minero GY and Moreno VO. 2013. A new virus-induced gene silencing vector based on Euphorbia mosaic virus-Yucatan peninsula for NPR1 silencing in Nicotiana benthamiana and Capsicum annuum var. Anaheim. Biotechnology Letters 35:811-823. https://doi.org/10.1007/s10529-013-1146-1
Wege C, Saunders, K, Stanley J and Jeske H. 2001. Comparative analysis of tissue tropism of bipartite geminiviruses. Journal of Phytopathology 149:359-368. DOI: 10.1046/j.1439-0434.2001.00640.x
Xie L, Lv MF, Zhang HM, Yang J, Li JM, Chen JP. 2014. Tumours induced by a plant virus are derived from vascular tissue and have multiple intercellular gateways that facilitate virus movement. Journal of Experimental Botany 65:4873-4886. DOI: 10.1093/jxb/eru254
Notas
Notas de autor
*Autor para correspondencia: luisa_lopez@cicy.mx.