Resumen:
Introducción: la hipomelanosis de Ito es un síndrome neurocutáneo y una enfermedad multisistémica, descrita por el dermatólogo japonés Minor Ito en 1951. Esta enfermedad se caracteriza por lesiones hipopigmentadas de distribución lineal o anular en la piel asociadas o no a manifestaciones neurológicas y oculares, así como malformaciones dentales y musculoesqueléticas.
Presentación del caso: paciente masculino de 12 años de edad, hijo de padres jóvenes no consanguíneos, con antecedentes patológicos familiares de crisis vagales, trastornos de la personalidad y crisis de epilepsia en la infancia. En los antecedentes patológicos personales se recogió apéndice preauricular unilateral derecho desde el nacimiento, espasmos durante el sueño a los 3 meses, hiperlaxitud articular e hipotonía al año, retraso en el desarrollo psicomotor, crisis de epilepsia focal lobal temporal y tónico-clónicas a partir de los 10 años, diagnóstico de agenesia pectoral a los 11 año y pielectasia bilateral. Acudió al servicio de Genética Clínica provincial remitido por la consulta de Dermatología por presentar máculas hipopigmentadas en miembro superior derecho, acompañada de las manifestaciones neurológicas, musculoesqueléticas y genitourinarias antes descritas. Teniendo en cuenta los criterios internacionales que se basan en las manifestaciones cutáneas y extracutáneas, se llegó al diagnóstico de hipomelanosis de Ito,
Conclusiones: la hipomelanosis de Ito es una entidad rara y multisistémica, de diagnóstico fundamentalmente clínico. El diagnóstico precoz es esencial para tratar oportunamente las formas de presentación y manifestaciones, logrando propiciar una mejor calidad de vida al paciente.
Palabras clave:Trastornos de la PigmentaciónTrastornos de la Pigmentación,HipopigmentaciónHipopigmentación,Anomalías CongénitasAnomalías Congénitas.
Abstract:
Introduction: dehypomelanosis of Ito is a neurocutaneous syndrome and a multisystem disorder, described by Japanese dermatologist Minor Ito in 1951. This disease is characterized by hypopigmented lesions of linear or annular distribution on the skin, associated or not with neurological and ocular manifestations, as well as dental and musculoskeletal malformations.
Case report: 12-year-old male patient, son of young non-blood parents with a family history of vagal crises, personality disorders and epileptic seizures in childhood. Personal pathological history included right unilateral appendageal since birth, spasms during sleep at 3 months, joint hyperlaxity and hypotonia at one year, delayed psychomotor development, focal temporal lobe and tonic-clonic epilepsy seizures at 10 years old, diagnosis of right pectoral agenesis at 1 year old and bilateral pyelectasis. He attended the Provincial Clinical Genetics Service referred by the Dermatology Clinic for presenting hypopigmented macules in the upper right limb, accompanied by the neurological, musculoskeletal and genitourinary signs described above. Taking into account the international criteria based on cutaneous and extra cutaneous manifestations, hypomelanosis of Ito was diagnosed.
Conclusions: hypomelanosis of Ito is a rare, multisystem disorder, with a fundamental clinical diagnosis. Early diagnosis is essential in order to provide a timely treatment, as well as knowing the forms of presentation and manifestations, achieving a better quality of life for the patient.
Keywords: Pigmentation Disorders, Hypopigmentation, Congenital Abnormalities.
Presentación de caso
Hipomelanosis de Ito, reporte de un caso
Hypomelanosis of Ito: case report

Recepción: 15 Enero 2020
Aprobación: 10 Mayo 2020
La hipomelanosis de Ito (HI), también conocida como incontinencia pigmenti achromianses es un síndrome neurocutáneo y una enfermedad multisistémica. Fue descrita por primera vez por el dermatólogo japonés Minor Ito, el cual mostró en 1951 los cambios pigmentarios típicos para el síndrome(1,2). La mayoría de los casos de HI son esporádicos y menos del 3 % tiene una incidencia familiar de cambios típicos en la piel con una herencia autosómica dominante(1).
Esta rara enfermedad se caracteriza por lesiones hipopigmentadas de distribución lineal o anular en la piel asociadas o no a manifestaciones neurológicas y oculares, así como malformaciones dentales y musculoesqueléticas(2,3).
Es la tercera facomatosis en frecuencia después de la neurofibromatosis tipo 1 y de la esclerosis tuberosa. Presenta una prevalencia de 1/10 000 recién nacidos vivos(3,4), mostrando en paises como España un caso por cada 8 000. Su presencia es más frecuente en el sexo femenino, presentándose en dos hombres por cada cinco mujeres(4).
La manifestación clínica más común es la afección cutánea, presentándose estos hallazgos en el 100 % de los pacientes afectados, en 50 % desde el nacimiento y en el resto con evolución en los primeros meses de vida, motivo por el que el diagnóstico se establece de forma tardía en algunos casos. Incluso, en el 30 % se han identificado manchas cafés con leche, ictiosis e hirsutismo(5).
Tomando en consideración la infrecuencia de este síndrome neurocutáneo en el medio de los autores, así como los mecanismos que intervienen en su producción, se decide describir las características de un niño con hipomelanosis de Ito.
Paciente masculino de 12 años de edad, hijo de padres jóvenes no consanguíneos (figura 1) y con antecedentes patológicos familiares de crisis vagales y trastornos de la personalidad (madre), y de crisis de epilepsia en la infancia (padre y hermana). Acudió al servicio de Genética Clínica provincial remitido por la consulta de Dermatología por presentar máculas hipopigmentadas en miembro superior derecho para valoración y diagnóstico.
Durante el primer y tercer trimestre la madre presentó sepsis vaginal; no se constataron alteraciones fetales estructurales por ultrasonido. Ocurrió parto eutócico, tiempo de gestación de 38,5 semanas, Apgar 8/9, peso al nacer 3 300 g, talla de 51 cm, circunferencia cefálica de 34 cm.
Al nacer se constató la presencia de apéndice preauricular unilateral derecho. A los tres meses presentó espasmos durante el sueño por lo que se le realizó un electroencefalograma que no arrojó alteraciones. Al año de edad se observó hiperlaxitud articular e hipotonía. El paciente presentó retraso en el desarrollo psicomotor pues comenzó a caminar con 1 año y 6 meses.
A los 2 años presentó pielectasia unilateral derecha, la cual se encontró bilateral al momento de la consulta. A partir de los 10 años presentó crisis de ausencia producto de epilepsia focal lobal temporal y tónico-clónicas, por lo que lleva tratamiento con carbamazepina (200 mg) una tableta y media diaria. A los 11 años en una interconsulta de Ortopedia fue diagnosticado de agenesia pectoral derecha.

Al interrogatorio se constató baja autoestima, timidez, retraso en el aprendizaje, palpitaciones, convulsiones tónico-clónicas generalizadas y crisis de ausencia.
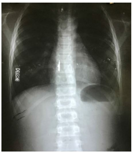
En el examen físico se encontró talla 165,7 cm (talla para la edad [T/E] > 97 percentil), apéndice preauricular unilateral derecho, máculas hipocrómicas que siguen las líneas de Blaschko en miembro superior derecho y región anterosuperior del hemitórax ipsilateral (figura 2), hernia umbilical, agenesia pectoral unilateral derecha, hiperlaxitud articular de las extremidades y escoliosis dorsolumbar (figura 3).

Se le indicó cariotipo en sangre periférica (resultado: 46 XY), fondo de ojo (sin alteraciones), interconsultas con Audiología y Cardiología descartándose alteraciones asociadas. Dadas las manifestaciones clínicas antes mencionadas se llegó al diagnóstico de hipomelanosis de Ito. Actualmente es valorado semestralmente por la Consulta de Genética Clínica, Neurología y Urología.

La imagen describe la presencia de escoliosis dorsolumbar
Se cree que la HI es causada por un mosaicismo cromosómico, encontrándose afectados diferentes loci como el 9q33-qter, 15q11-q13, y el Xp11; sin embargo, no existe consenso sobre la identidad del gen de la HI. En el proyecto genoma humano se ha reportado que el locus de la HI es una translocación balanceada del Xp21.2 (2,6).
El denominador común de todos los pacientes con hipopigmentación lineal a lo largo de las líneas de Blaschko es la presencia de lesiones maculosas hipopigmentadas, que nunca están precedidas de inflamación o lesión cutánea previa; las lesiones pueden afectar a una o más áreas de la piel(4), todo lo anterior coincide y se expresa en el miembro superior y hemitórax anterosuperior derecho del paciente descrito.
Romero y col.(3) plantean que las manifestaciones extracutáneas predominantes son las alteraciones neurológicas, como el retraso mental y la epilepsia (espasmos infantiles, convulsiones tónico-clónicas generalizadas y mioclonías); el paciente descrito cursa con ambas alteraciones.
Algunos autores(5,6) expone que el sistema osteomioarticular representa el segundo sistema más afectado, con alteraciones en la columna vertebral (cifosis o escoliosis) y el esqueleto axial (sindactilia y polidactilia). En este caso se manifestó la escoliosis, además de otras alteraciones que pudieran estar asociadas o no a dicha entidad, como la hiperlaxitud articular y la agenesia pectoral, reportadas igualmente en la literatura(7). Sin embargo, estas lateraciones no son reconocidas como patrones de dicha enfermedad.
En cuanto a la afectación oftalmológica producida por la enfermedad se han observado heterocromía del iris, opacidad corneal, nistagmo, atrofia coroidea, estrabismo, ectropión, miopía, coloboma del iris, dacrioestenosis, asimetría corneal, cataratas, microftalmia y variaciones anormales en el patrón pigmentario de la retina, la más frecuente es la hipopigmentada(2,3), las cuales no se manifestaron en el transcurso del diagnóstico de esta entidad.
Por tratarse de una enfermedad sistémica pueden encontrarse también otras alteraciones en cualquier parte del organismo, reportandose en la literatura hallazgos dentales, cardíacos y genitourinarios(6). La presencia de pielectasia bilateral forma parte de lo distintivo del presente caso, aportandole rareza y la necesidad de seguimiento por parte del equipo médico.
El diagnóstico es fundamentalmente clínico. En 1992, Ruíz Maldonado(8) propuso unos criterios diagnósticos basados en la presencia de manifestaciones cutáneas y extracutáneas. Estos criterios son: criterio fundamental, dado por la existencia de máculas cutáneas lineales o parcheadas, de carácter congénito o de adquisición no hereditaria, muy temprana, que se extienden por dos o más partes del cuerpo; criterios mayores dados por una o más anomalías del sistema nervioso central, o una o más anomalías del sistema musculoesquelético; los criterios menores son dos o más malformaciones congénitas fuera del sistema nervioso central, o del musculoesquelético, y anomalías cromosómicas. El diagnóstico definitivo se realiza basado en la existencia del criterio fundamental, más uno o más criterios mayores, o dos o más criterios menores(5,9). Sin embargo, para otros autores(4,7) la sola presencia de las áreas cutáneas de hipopigmentación típicas siguiendo las líneas de Blaschko son diagnósticas de la HI.
A la hora de indicar un correcto tratamiento es necesario precisar que no se indiquen soluciones para las lesiones cutáneas, lo que si se aconseja evitar la sobreexposición solar para evitar quemaduras en zonas de la piel más desprotegidas. En cuanto a las manifestaciones extracutáneas, el tratamiento está dirigido por las anomalías existentes y se debe remitir en cada caso al especialista correspondiente(4), la intervención de un equipo multidisciplinario puede asociarse con mejor pronóstico y menor morbilidad(10).
La hipomelanosis de Ito es una entidad rara y multisistémica, de diagnóstico fundamentalmente clínico. El diagnóstico precoz es esencial para tratar oportunamente las formas de presentación y manifestaciones, logrando propiciar una mejor calidad de vida al paciente.
CONFLICTO DE INTERESES: Los autores declaran que no existe conflicto de intereses.
CONTRIBUCIÓN DE AUTORÍA: Todos los autores participaron en la concepción, redacción, revisión y aprobación del manuscrito y su versión final.
FINANCIACIÓN: Los autores no recibieron financiación para el desarrollo del presente artículo.



La imagen describe la presencia de escoliosis dorsolumbar