Articles
Detección del Virus de la Mancha Necrótica de Impatiens (INSV) en trips y plantas ornamentales mediante RT-LAMP
Detection of Impatiens Necrotic Spot Virus (INSV) in thrips and ornamental plants by RT-LAMP
Detección del Virus de la Mancha Necrótica de Impatiens (INSV) en trips y plantas ornamentales mediante RT-LAMP
Biotecnia, vol. 26, e2256, 2024
Universidad de Sonora, División de Ciencias Biológicas y de la Salud
Received: 08 February 2024
Accepted: 29 April 2024
Published: 31 May 2024
Resumen: El virus fitopatógeno INSV es transmitido por trips y es capaz de infectar un gran número de cultivos, causando enormes pérdidas tanto en hortalizas como en ornamentales. El objetivo de este trabajo fue mejorar la detección del virus INSV en diferentes especies de plantas ornamentales, por lo que se colectaron muestras tanto de trips como de plantas de Impatiens balsamina (balsamina), Impatiens hawkeri (belén), Catharanthus roseus (vinca), Cyclamen persicum (ciclamen) y Pelargonium hortorum (geranio) con síntomas de virosis y mediante la técnica de RT-PCR se identificaron muestras positivas que se usaron para estandarizar la técnica de RT-LAMP. Los resultados muestran que el empleo del RT-LAMP permite la detección del virus de una forma más simple y es 60 veces más sensible que el RT-PCR.
Palabras clave: Amplificación isotérmica mediada por bucle, RT-PCR, diagnóstico, virus.
Abstract: The phytopathogenic impatiens necrotic spot virus (INSV) is transmitted by thrips and its capable of infecting many crops, causing huge losses in both vegetables and ornamentals. The aim of this work was to improve the detection of INSV virus in different species of ornamental plants. Therefore, samples of thrips as well as of de Impatiens balsamina (rose balsam), Impatiens hawkeri (New Guinea impatiens), Catharanthus roseus (periwinkle), Cyclamen persicum (cyclamen) and Pelargonium hortorum (geranium) plants with symptoms of viruses were collected, and positive samples identified by RT-PCR and used to standardize the RT-LAMP technique. The results show that the use of RT-LAMP allows the detection of the virus in a simpler way and 60 times more sensitive than RT-PCR.
Keywords: Loop-mediated isothermal amplification, RT-PCR, diagnostic, virus.
Introducción
El virus fitopatógeno de la mancha necrótica de Impatiens (Impatiens necrotic spot virus, INSV) es miembro del género Tospovirus, el cual pertenece a la familia Tospoviridae dentro del orden Bunyavirales. Este género estaba formado únicamente por el virus del bronceado del tomate (TSWV), eventualmente se agregó el TSWV-I que hoy en día se conoce como INSV (Martínez-Ochoa et al., 2003). El INSV es transmitido de forma persistente-propagativa mediante tisanópteros (Thysanoptera) llamados comúnmente trips, principalmente de la especie Frankliniella occidentalis (Pergande), aunque también se ha reportado la transmisión por Frankliniella intonsa (Trybom) (Sakurai et al., 2004) y Frankliniella fusca (Hinds) (Naidu, et al., 2001) pero de forma menos eficiente. La gama de hospederos de INSV incluye alrededor de 300 especies de plantas (Zhao et al., 2018), aunque era considerado un patógeno principalmente de plantas ornamentales, en años recientes ha ocasionado pérdidas en cultivos hortícolas, por ejemplo, en 2009, en la costa de California la incidencia de esta enfermedad en campos individuales de lechuga alcanzó hasta un 27 %, lo que resultó en pérdidas económicas sustanciales (Kuo et al., 2014). Este virus es adquirido únicamente por estadios larvales, a partir de este momento, el virus queda dentro del insecto y podrá transmitirlo por el resto de su vida; contrariamente, los trips adultos que se alimentan directamente de material vegetal infectado no pueden transmitir el virus (Whitfield et al., 2005).
Para la detección de INSV en tejidos vegetales se han utilizado métodos serológicos y moleculares como la reacción en cadena de la polimerasa (PCR) principalmente ( Elliott et al., 2009; Blockley y Mumford, 2001; Wells et al., 2001). Aunque el diagnóstico en plantas es importante, el conocer si la población de trips presentes en el cultivo portan el virus es trascendental, ya que uno de los factores más relevantes en la propagación de enfermedades virales es el control de los vectores. Para detectar virus en trips se han empleado técnicas como el ensayo de inmunoabsorción ligado a enzimas (ELISA) (Srinivasan et al., 2012); reacción en cadena de la polimerasa con transcripción inversa (RT-PCR) (Mason et al., 2003) y RT-PCR en tiempo real (Boonham et al., 2002; Rotenberg et al., 2009). Si bien, las técnicas moleculares ofrecen ventajas, también es cierto que aún presentan algunos inconvenientes como el requerimiento de equipo especializado y costoso (Caruso et al., 2023). Una alternativa que no necesita el uso de estos equipos, y que además es altamente específica y sensible es la amplificación isotérmica mediada por bucle (LAMP), la cual utiliza la actividad de desplazamiento de cadena de la ADN polimerasa Bst de Bacillus stearothermophilus para amplificar el ácido nucleico objetivo. Este tipo de PCR utiliza como mínimo cuatro iniciadores, dos externos (F3 y B3) y dos internos (FIP y BIP), estos últimos contienen secuencias en sentido y antisentido del ADN objetivo, lo que permitirá la formación de un bucle durante la reacción. Dentro de los extremos del ADN blanco se encuentran las regiones F2c y B2; dos secuencias internas a una distancia de 40 nucleótidos de los extremos F2c y B2 llamadas F1c y B1; y dos secuencias externas a los extremos F2c y B2 designadas F3c y B3. De esta forma, las secuencias del iniciador FIP contiene F1c, un espaciador de TTTT y la secuencia complementaria a F2c (F2); por otro lado, el iniciador BIP contiene la secuencia complementaria a B1 (B1c), un espaciador de TTTT y a B2. Mientras que los dos iniciadores externos contienen a B3 y la secuencia complementaria a F3c, respectivamente (Notomi et al., 2000). La sensibilidad del ensayo se puede aumentar si se utiliza un par de iniciadores más llamados BL y FL (Nagamine et al., 2002).
El primer paso en la reacción LAMP es la hibridación del iniciador FIP con su secuencia complementaria (región F2c) en la secuencia blanco e inicia la síntesis de la cadena complementaria. En seguida el iniciador F3 se hibrida a su región complementaria (F3c), lo que lleva al desplazamiento de la hebra unida a FIP y se produce una estructura de bucle en un extremo. A continuación, BIP se une a la región complementaria (B2) en la cadena unida a FIP e inicia la síntesis de otra cadena. La nueva hebra se desplaza durante la síntesis con B3, lo que da lugar a una estructura en forma de mancuerna, que se convierte en una estructura de tallo-bucle mediante autocebado. Esta estructura actúa como plantilla para el paso de amplificación cíclica de LAMP. Las regiones F3c y B3c están ausentes en la estructura de tallo-bucle y, por lo tanto, los iniciadores F3 Y B3 ya no son necesarios para la fase cíclica de la amplificación LAMP (Notomi et al., 2000).
Las reacciones LAMP se pueden acoplar con una transcriptasa inversa (RT-LAMP) para transcribir una secuencia de ARN en ADN de cadena sencilla (cDNA), la cual servirá como plantilla para la síntesis de nuevas cadenas (Bhat et al., 2022). La visualización del producto de las reacciones LAMP se puede observar mediante la turbidez, cambio de color, agregando intercalante fluorescente a la reacción, o en geles de agarosa (Hasiów-Jaroszewska y Borodynko, 2013; Sarkes et al., 2020; Tanner et al., 2015; Zhang et al., 2022).
RT-LAMP ofrece ventajas sobre RT-PCR ya que se lleva a cabo en menos tiempo, es más económica, además de no requerir termociclador (Romero et al., 2019). En este artículo se reporta la aplicación de la técnica RT-LAMP como una alternativa molecular altamente sensible, específica, y rápida para la detección de INSV en trips y plantas ornamentales.
Materiales y métodos
Muestreo de plantas y trips
Se realizaron muestreos durante los meses septiembre, octubre y noviembre de 2022, y en abril de 2023 de plantas de I. balsamina, I. hawkeri, C. roseus, y P. hortorum en dos unidades de producción localizadas en el Estado de Morelos. Se tomaron muestras de las hojas con síntomas típicos de virosis tales como manchas de color marrón o amarillo; deformación de las hojas; manchas necróticas en tallo; clorosis; mosaicos; manchas anulares de color púrpura oscuro en las hojas; y patrones de anillos; también se tomaron muestras de plantas que no presentaban síntomas de enfermedad (Figura 1). Las muestras fueron colocadas en toallitas de papel en bolsas de plástico y etiquetadas, se trasladaron al Laboratorio de Biotecnología Vegetal del Centro de Investigación en Dinámica Celular-Universidad Autónoma del Estado de Morelos (CIDCUAEM) donde se almacenaron a -20 °C hasta su análisis. De las mismas plantas muestreadas se capturaron trips con un aspirador entomológico, los cuales también fueron trasladados al laboratorio y conservados a la misma temperatura.

Extracción de ARN de plantas y trips
La extracción de ARN para plantas se llevó a cabo con diferentes métodos: para I. balsamina y P. hortorum se empleó el protocolo establecido por Michel-López et al. (2018) con algunas modificaciones: en un tubo de microcentrífuga se maceraron aproximadamente 100 mg de muestra congelada en nitrógeno líquido, se agregaron 700 µL de buffer de extracción (0.25 M NaCl, 20 mM EDTA, 50 mM Tris-HCl pH 7.5, 4 % PVP (w/v), 1 % SDS (w/v)) y 700 µL de cloroformo:isoamílico (24:1), se mezcló en vórtex por 30 s, posteriormente se centrifugó 4 min a 12,800 rpm , se transfirió la fase acuosa a un nuevo tubo y se agregó 1 volumen de fenol:cloroformo:isoamílico (24:1:1), se centrifugó y transfirió la fase acuosa, se repitió la extracción, se agregó 10 % de acetato de sodio del volumen de la muestra y dos volúmenes de etanol al 100 %, se incubó 1 hora a -20 °C, se centrifugó 30 min, finalmente se realizaron tres lavados con etanol al 75 %, la pastilla fue diluida en agua y se incubó 10 min a 60 °C. La extracción de ARN de C. roseus fue con el reactivo Trizol, siguiendo las indicaciones del proveedor. Finalmente, para la obtención de ARN de I. hawkeri y C. persicum, se utilizó el kit de Monarch® Total RNA Miniprep Kit siguiendo las indicaciones del fabricante (NEB, 2023), y adicionando al buffer de lisis PVP al 4 %.
Para la extracción de ARN de los trips se siguió el protocolo de Boonham et al. (2002) aplicando algunas modificaciones: de 30-40 trips adultos se molieron en un tubo de microcentrífuga con 50 µL de buffer de extracción que contienía Tris-HCl 200 mM (pH 8.5), NaCl 250 mM, EDTA 25 mM, SDS al 0.5 % (p/v), se agregaron 450 µL más del mismo buffer, la precipitación se efectuó agregando 25 µL de acetato de sodio 3 M (pH 5.2). Los tubos se incubaron a -20 °C durante 90 min, posteriormente se centrifugaron durante 10 min. Se desechó el sobrenadante y se añadió 1 volumen de isopropanol (-20 °C). El contenido de los tubos se mezcló y se incubaron 30 min a -20 °C. Después se centrifugaron por 30 min, el sedimento se lavó con etanol al 70 % tres veces, se dejó secar a temperatura ambiente por 10 min y finalmente se resuspendió en 25 µL de agua.
La cuantificación de ARN se realizó en un espectrofotómetro DeNovix DS-11 FX a 260 nm. Para corroborar la integridad del ARN se realizaron geles de agarosa al 1 %, los cuales se corrieron por 45 min a 50 V.
Condiciones de RT-PCR
La síntesis del cDNA se llevó a cabo en una reacción que contenía 2 μL de ARN, 2 μL de oligo dT (50 μM), 2 μL de buffer M-MuLV (10X), 1 μL de enzima M-MuLV (200 U/μL), 1 μL de dNTPs (10 mM), en un volumen de 20 μL; la mezcla se incubó a 42 °C por 60 min, posteriormente se inactivó la enzima a 65 °C por 20 min.
El cDNA obtenido de la reacción anterior se utilizó para la PCR, la cual contenía 2.5 µL del buffer de extracción, 0.65 µL de cada iniciador (10 µM), 2 µL de MgCl2 (25 mM), 2.5 µL de dNTPs (0.2 mM), 0.5 µL de Taq polimerasa y 2 µL de cDNA. Las condiciones a las cuales se llevó a cabo la PCR tanto para detectar INSV en plantas como en trips fueron las siguientes: desnaturalización inicial en 94 °C durante 5 min; 35 ciclos a 94 °C durante 60 s, 60 s a 54 °C y 60 s a 72 °C; y una extensión final a 72 °C durante 10 min (Almasi y Almasi, 2018), las reacciones se llevaron a cabo en un sistema de detección CFX96™. Los productos de PCR se sometieron a una electroforesis en gel de agarosa al 2%.
Condiciones de RT-LAMP
Las reacciones de RT-LAMP se prepararon en un volumen de 12.5 μL que contenía 6.25 μL de WarmStart RT-LAMP 2X Master Mix, 0.25 μL del colorante fluorescente (50X), 1.25 μL de la mix de iniciadores para RT-LAMP (10X), 1 μL de cDNA, 3.75 μL de agua. Se incubaron a 65 °C por 240 ciclos de 15 s, aproximadamente 1 h en un sistema de detección CFX96™, para la lectura de la fluorescencia se utilizó el software CFX Manager™. Los iniciadores utilizados para la identificación de INSV se muestran en la Tabla 1 (Almasi y Almasi, 2018). Los productos obtenidos en esta reacción se observaron mediante un gel de agarosa, además se observó la fluorescencia de los tubos al exponerlos a luz ultravioleta.

Sensibilidad de RT-PCR y RT-LAMP
Para establecer la sensibilidad en la detección de INSV mediante RT-PCR y RT-LAMP, se determinó la concentración de cDNAs individuales de las muestras positivas y posteriormente se realizaron diluciones seriadas 1:1. Las condiciones de las reacciones de RT-PCR y RT-LAMP fueron las mismas que anteriormente se describieron.
Resultados
Identificación de INSV por RT-PCR
Se realizó la extracción individual de ARN de plantas, así como la síntesis de cDNA, para eficientar la detección de virus se realizaron pools de cDNAs de 10 plantas (5 juegos por especie) para llevar a cabo las PCRs. De los grupos de plantas que dieron resultados positivos, se procedió al análisis individual por PCR.
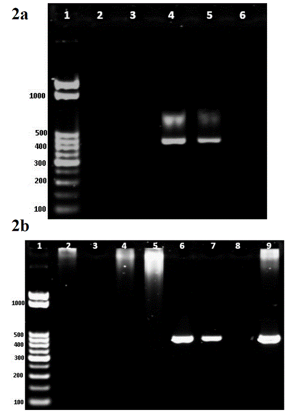
INSV fue detectado únicamente en plantas de I. hawkeri (Figura 2a), así como en los trips colectados en este cultivo (Figura 2b). También se detectó la presencia del INSV en trips colectados en plantas de C. persicum, aunque en este caso el virus no fue detectado en el tejido de la planta. El resultado fue negativo para todas las muestras de los cultivos de C. persicum, C. roseus, I. balsamina y P. hortorum, así como para los trips colectados en estas plantas, excepto los de C. persicum.

Identificación de INSV por RT-LAMP
Con las muestras de plantas y de trips identificadas como positivas a INSV en RT-PCR, se procedió a estandarizar la reacción de RT-LAMP. En la Figura 3 se muestra la detección de INSV en cDNAs de plantas (1 y 3) así como en cDNAs de trips (2 y 4), el control negativo fue cDNA de planta sana (5). La Figura 3 muestra la detección precisa de las cuatro muestras positivas, tanto las de plantas como las de trips y cero detecciones en el control negativo. La amplificación comienza a partir de los 30 min de incubación hasta los 50 min, se presentan diferencias en los tiempos de detección en las muestras analizadas, lo cual probablemente se deba a las variaciones en las cargas virales presentes en cada una de las muestras.

Las muestras positivas en RT-LAMP se observaron con luz UV (Figura 4a), y los resultados se corroboraron con un gel de agarosa para observar los productos amplificados (Figura 4b). Una vez conociendo el tiempo adecuado de incubación, la reacción se puede llevar a cabo en un baño María y observar los resultados simplemente con luz UV, sin la necesidad del equipo para detectar fluorescencia.

Comparación de la sensibilidad de RT-PCR y RT-LAMP
Para establecer la sensibilidad en la detección de INSV mediante RT-PCR y RT-LAMP se realizaron diluciones seriadas 1:1 a partir del cDNA. En la Figura 5a se muestran los resultados de la detección de INSV por RT-PCR, en donde se observa claramente una banda hasta una concentración de 0.187 mg/ mL, por otro lado, mediante RT-LAMP se observó la detección del virus hasta una concentración 60 veces menor (0.003 mg/ mL) (Figura 5b). Estos resultados muestran que la sensibilidad de la técnica de RT-LAMP es mayor que la obtenida con RT-PCR.

Discusión
INSV es un virus que afecta más de 300 especies de plantas y con una amplia distribución geográfica (Zhao et al., 2018). Para la detección de INSV en plantas y trips se han empleado técnicas como ELISA (Wells et al., 2001; Sakurai et al., 2004) y RT-PCR (Boonham et al., 2002; Nekoduka et al., 2015), si bien, las técnicas moleculares son más sensibles que las serológicas, en los últimos años, se ha reportado que la técnica molecular RT-LAMP es aún más más sensible, rápida y económica que RT-PCR (Sarkes et al., 2020). En este estudio se determinó que de 30-50 min son suficientes para detectar la amplificación del producto, no obstante, se han reportado tiempos más cortos de hasta 10-12 min para la amplificación de otros virus mediante RT-LAMP (Fukuta et al., 2013; Suzuki et al., 2016; Tahzima et al., 2019). De acuerdo con Nagamine et al. (2002) para reducir el tiempo de reacción se pueden utilizar los iniciadores de bucle (BL y FL). Por otro lado, también se han reportado tiempos mayores, de 60 y 75 min para la amplificación en RT-LAMP (Banerjee et al., 2016; Liu et al., 2019; Kokane et al., 2021), sin embargo, este tiempo no supera el que normalemnte se llevaría el realizar una RT-PCR que es de aproximadamente 3 h (Sarkes et al., 2020).
La temperatura óptima sugerida para la amplificación en RT-LAMP es de 65°C, la cual fue utilizada en este trabajo, aunque esta temperatura puede ser menor a los 65°C (Suzuki et al., 2016; Sui et al., 2018; Tiberini et al., 2019), o mayor (Tahzima et al., 2019) y amplificar el producto, sin embargo, a temperaturas muy elevadas podría causar la inactivación de la enzima o la inestabilidad de la reacción que podría afectar la estabilidad, sensibilidad y fuerza de la detección (Wei et al., 2012). Además de la temperatura, el tiempo de incubación también es importante en análisis RT-LAMP, a 65°C durante 30 min se observó amplificación de producto, estos resultados coinciden con los reportados por Zhang et al. (2011) quien detectó Wheat yellow mosaic virus mediante RT-LAMP a 65°C con un periodo de incubación de 30-45 min.
Los resultados obtenidos mediante el análisis de RTLAMP para la identificación de INSV muestran que la sensibilidad fue 60 veces mayor que en RT-PCR, en otros ensayos realizados con virus como Tomato chlorotic spot orthotospovirus han encontrado que RT-LAMP es 10 veces más sensible que RT-PCR (Sui et al., 2018); pero para virus como Citrus leaf blotch virus, Tomato brown rugose fruit virus, y Wheat yellow mosaic virus la sensibilidad fue de hasta 100 veces mayor que RT-PCR (Zhang et al., 2011; Liu et al., 2019; Sarkes et al., 2020), mientras que para Bean pod mottle virus, Apple mosaic virus y Prunus necrotic ringspot virus se alcanzó una sensibilidad de 1,000 veces más sobre RT-PCR (Wei et al., 2012; Wani et al., 2023).
El diagnóstico de virosis se realiza comúnmente en tejido vegetal, en este estudio además de identificar INSV en plantas también se efectuó en trips, los cuales son los vectores naturales de este virus. Este hallazgo propone que mediante el análisis y detección de INSV en la población de trips se podrán adoptar prácticas de manejo y control tempranas para evitar la propagación del virus en el cultivo. RTLAMP también se ha utilizado para identificar virus en áfidos (Aphidoidea) (Raigond et al., 2020).
Para una alerta temprana y control de enfermedades virales, es crucial contar con un método de detección rápido, preciso y con alta especificidad, RT-LAMP ha demostrado ser una técnica con estas características, además de evitar el uso de equipos costos como los termocicladores. RT-LAMP podría emplearse como técnica de diagnóstico rutinario de virus fitopatógenos y sus vectores.
Conclusiones
Los resultados obtenidos permiten concluir que es conveniente realizar la estrategia de agrupamiento (pooling) de muestras descrita en este trabajo, ya que permitió el análisis masivo de muestras y la identificación precisa de las muestras infectadas con los virus, todo esto con una reducción del 30 % en la inversión económica necesaria para el análisis.
La técnica de RT-LAMP demostró ser una herramienta altamente sensible y rápida para la detección de INSV tanto en muestras de tejido vegetal como en trips, superando significativamente la sensibilidad y el tiempo requerido en comparación con RT-PCR. La detección de INSV en trips, incluso cuando las plantas son negativas al virus, sugiere un riesgo potencial de transmisión y destaca la importancia de la vigilancia temprana de los vectores para implementar medidas preventivas eficaces en la protección de cultivos. La aplicación de RT-LAMP como técnica de diagnóstico rutinario para INSV y otros virus fitopatógenos se muestra prometedora, ofreciendo resultados confiables con ventajas significativas en términos de sensibilidad, rapidez y costo en comparación con las técnicas convencionales de diagnóstico. Esto sugiere su potencial para mejorar la capacidad de respuesta ante brotes virales en la agricultura.
Agradecimientos
Agradecemos al Consejo Estatal de Ciencia y Tecnología del Estado de Morelos por el financiamiento otorgado para la realización de este trabajo mediante los fondos de la Convocatoria para el financiamiento de proyectos de investigación en Ciencia de Frontera 2022.
La primera autora agradece al CONAHCyT por el otorgamiento de una beca para realizar sus estudios de Posgrado en el programa de Doctorado de Ciencias Agropecuarias y Desarrollo Rural de la Universidad Autónoma del Estado de Morelos.
Referencias
Almasi, M. A., y Almasi, G. 2018. Colorimetric immunocapture loop mediated isothermal amplification assay for detection of Impatiens necrotic spot virus (INSV) by GineFinderTM dye. European Journal of Plant Pathology, 150(2), 533-538. https://doi.org/10.1007/s10658-017-1294-6
Banerjee, A., Roy, S., Sharma, S. K., Dutta, S. K., Chandra, S., y Ngachan, S. V. 2016. Reverse transcription loop-mediated isothermal amplification (RT-LAMP) assay for rapid diagnosis of Chilli veinal mottle virus. Archives of Virology, 161(7), 1957-1961. https://doi.org/10.1007/s00705-016-2850-7
Bhat, A. I., Aman, R., y Mahfouz, M. 2022. Onsite detection of plant viruses using isothermal amplification assays. Plant Biotechnology Journal, 20(10), 1859-1873. https://doi.org/10.1111/pbi.13871
Blockley, A. L., y Mumford, R. A. 2001. Identification and isolation of Impatiens necrotic spot virus from prickly pear cactus (Opuntia microdasys). Plant Pathology, 50(6), 805. https://doi.org/10.1046/j.1365-3059.2001.00628.x
Boonham, N., Smith, P., Walsh, K., Tame, J., Morris, J., Spence, N., Bennison, J., y Barker, I. 2002. The detection of Tomato spotted wilt virus (TSWV) in individual thrips using real time fluorescent RT-PCR (TaqMan). Journal of Virological Methods, 101(1-2), 37-48. https://doi.org/10.1016/S0166-0934(01)00418-9
Caruso, A. G., Ragona, A., Bertacca, S., Montoya, M. A. M., Panno, S., y Davino, S. 2023. Development of an in-field real-time LAMP assay for rapid detection of Tomato leaf curl new delhi virus. Plants, 12(7). https://doi.org/10.3390/plants12071487
Elliott, D. R., Lebas, B. S. M., Ochoa-Corona, F. M., Tang, J., y Alexander, B. J. R. 2009. Investigation of Impatiens necrotic spot virus outbreak in New Zealand. Australasian Plant Pathology, 38, 490-495.
Fukuta, S., Tamura, M., Maejima, H., Takahashi, R., Kuwayama, S., Tsuji, T., Yoshida, T., Itoh, K., Hashizume, H., Nakajima, Y., Uehara, Y., y Shirako, Y. 2013. Differential detection of Wheat yellow mosaic virus, Japanese soil-borne wheat mosaic virus and Chinese wheat mosaic virus by reverse transcription loop-mediated isothermal amplification reaction. Journal of Virological Methods, 189(2), 348-354. https://doi.org/10.1016/j.jviromet.2013.03.005
Hasiów-Jaroszewska, B., y Borodynko, N. 2013. Detection of Pepino mosaic virus isolates from tomato by onestep reverse transcription loop-mediated isothermal amplification. Archives of Virology, 158(10), 2153-2156. https://doi.org/10.1007/s00705-013-1706-7
Kokane, A. D., Kokane, S. B., Warghane, A. J., Gubyad, M. G., Sharma, A. K., Reddy, M. K., y Ghosh, D. K. 2021. A rapid and sensitive reverse transcription-loop-mediated isothermal amplification (RT-LAMP) assay for the detection of Indian citrus ringspot virus. Plant Disease, 105(5), 1346-1355. https://doi.org/10.1094/PDIS-06-20-1349-RE
Kuo, Y. W., Gilbertson, R. L., Turini, T., Brennan, E. B., Smith, R. F., y Koike, S. T. 2014. Characterization and epidemiology of outbreaks of Impatiens necrotic spot virus on lettuce in Coastal California. Plant Disease, 98(8), 1050-1059. https://doi.org/10.1094/PDIS-07-13-0681-RE
Liu, H., Wu, W., Tan, J., Li, Y., Mi, W., Jiang, L., y Wu, Y. 2019. Development and evaluation of a one-step reverse transcription loop-mediated isothermal amplification for detection of Citrus leaf blotch virus. Journal of Virological Methods, 270, 150-152. https://doi.org/10.1016/j.jviromet.2019.05.009
Martínez-Ochoa, N., Csinos, A. S., Whitty, E. B., Johnson, A. W., y Parrish, M. J. 2003. First report on the incidence of mixed infections of Impatiens necrotic spot virus (INSV) and Tomato spotted wilt virus (TSWV) in tobacco grown in Georgia, South Carolina, and Virginia. Plant Health Progress, 4, 33-34. https://doi.org/10.1094/php-2003-0417-01-hn
Mason, G., Roggero, P., y Tavella, L. 2003. Detection of Tomato spotted wilt virus in its vector Frankliniella occidentalis by reverse transcription-polymerase chain reaction. Journal of Virological Methods, 109, 69-73. https://doi.org/10.1016/S0166-0934(03)00048-X
Michel-López, C. Y., González-Mendoza, D., Zapata-Pérez, O., Rubio-Piña, J., Cervantes-Díaz, L., y Bermúdez-Guzmán, M. D. J. 2018. Evaluación de tres protocolos para la extracción rápida de ARN total de tejidos de Prosopis juliflora (SW). Revista Mexicana de Ciencias Agrícolas, 9(6), 1259-1267. https://doi.org/10.29312/remexca.v9i6.788
Nagamine, K., Hase, T., y Notomi, T. 2002. Accelerated reaction by loop-mediated isothermal amplification using loop primers. Molecular and Cellular Probes, 16(3), 223-229. https://doi.org/10.1006/mcpr.2002.0415
Naidu, R.A., Deom, C.M., y Sherwood, J.L. 2001. First report of Frankliniella fusca as a vector of Impatiens necrotic spot tospovirus. Plant Dis. 85: 1211.
New England Biolabs Inc. (NEB). Quick Protocol for Total RNA Extraction (NEB #T2010). [Consultado 3 octubre 2023]. (2023). Disponible en: https://international.neb.com/protocols/2017/11/28/quick-protocol-for-monarch-totalrna-miniprep-kit-neb-t2010
Nekoduka, S., Kobayashi, K., Fuji, S. I., Okuda, M., y Sano, T. 2015. Molecular epidemiology of Impatiens necrotic spot virus on greenhouse ornamental plants in a local area of Japan. Journal of General Plant Pathology, 81(6), 429-438. https://doi.org/10.1007/s10327-015-0615-x
Notomi, T., Okayama, H., Masubuchi, H., Yonekawa, T., Watanabe, K., Amino, N., y Hase, T. 2000. Loop-mediated isothermal amplification of DNA. Nucleic Acids Research, 28(12), e63. https://doi.org/10.1093/nar/28.12.e63
Raigond, B., Verma, A., Pathania, S., J, S., Kochhar, T., y Chakrabarti, S. K. 2020. Development of a reverse transcription loopmediated isothermal amplification for detection of potato virus a in potato and in insect vector aphids. Crop Protection, 137. https://doi.org/10.1016/j.cropro.2020.105296
Romero, J. L. R, Carver, G. D., Arce Johnson, P., Perry, K. L., y Thompson, J. R. 2019. A rapid, sensitive and inexpensive method for detection of Grapevine red blotch virus without tissue extraction using loop-mediated isothermal amplification. Archives of Virology, 164(5), 1453-1457. https://doi.org/10.1007/s00705-019-04207-y
Rotenberg, D., Kumar, N. K. K., Ullman, D. E., Montero-Astúa, M., Willis, D. K., German, T. L., y Whitfield, A. E. 2009. Variation in Tomato spotted wilt virus titer in Frankliniella occidentalis and its association with frequency of transmission. Phytopathology, 99(4), 404-410. https://doi.org/10.1094/PHYTO-99-4-0404
Sakurai, T., Inoue, T., y Tsuda, S. 2004. Distinct efficiencies of Impatiens necrotic spot virus transmission by five thrips vector species (Thysanoptera: Thripidae) of tospoviruses in Japan. Applied Entomology and Zoology, 39, 71-78. https://doi.org/10.1303/aez.2004.71
Sarkes, A., Fu, H., Feindel, D., Harding, M., y Feng, J. 2020. Development and evaluation of a loop-mediated isothermal amplification (LAMP) assay for the detection of Tomato brown rugose fruit virus (ToBRFV). PLoS ONE, 15(6), 1-12. https://doi.org/10.1371/journal.pone.0230403
Srinivasan, R., Sundaraj, S., Pappu, H. R., Diffie, S., Riley, D. G., y Gitaitis, R. D. 2012. Transmission of iris yellow spot virus by Frankliniella fusca and Thrips tabaci (Thysanoptera: Thripidae). Journal of Economic Entomology, 105, 40-47. https://www.ptonline.com/articles/how-to-get-better-mfiresults
Sui, X., Zhang, S., Wu, Z., y Ling, K. S. 2018. Reverse transcription loop-mediated isothermal amplification for species-specific detection of tomato chlorotic spot orthotospovirus. Journal of Virological Methods, 253, 56-60. https://doi.org/10.1016/j. jviromet.2018.01.002
Suzuki, R., Fukuta, S., Matsumoto, Y., Hasegawa, T., Kojima, H., Hotta, M., y Miyake, N. 2016. Development of reverse transcription loop-mediated isothermal amplification assay as a simple detection method of Chrysanthemum stem necrosis virus in chrysanthemum and tomato. Journal of Virological Methods, 236, 29-34. https://doi.org/10.1016/j.jviromet.2016.07.005
Tahzima, R., Foucart, Y., Peusens, G., Beliën, T., Massart, S., y De Jonghe, K. 2019. New sensitive and fast detection of Little cherry virus 1 using loop-mediated isothermal amplification (RT-LAMP). Journal of Virological Methods, 265, 91-98. https://doi.org/10.1016/j.jviromet.2018.12.019
Tanner, N. A., Zhang, Y., y Evans, T. C. 2015. Visual detection of isothermal nucleic acid amplification using pHsensitive dyes. BioTechniques, 58(2), 59-68. https://doi.org/10.2144/000114253
Tiberini, A., Tomlinson, J., Micali, G., Fontana, A., Albanese, G., y Tomassoli, L. 2019. Development of a reverse transcriptionloop- mediated isothermal amplification (LAMP) assay for the rapid detection of onion yellow dwarf virus. Journal of Virological Methods, 271. https://doi.org/10.1016/j.jviromet.2019.113680
Wani, L. A., Jawa, P., y Khan, J. A. 2023. Development of one step colorimetric RT-LAMP assays for rapid detection of Apple mosaic virus and Prunus necrotic ringspot virus. Journal of Virological Methods, 316, 1-7. https://doi.org/10.1016/j.jviromet.2023.114729
Wei, Q. W., Yu, C., Zhang, S. Y., Yang, C. Y., Miriam, K., Zhang, W. N., Dou, D. L., y Tao, X. R. 2012. One-step detection of Bean pod mottle virus in soybean seeds by the reverse-transcription loop-mediated isothermal amplification. Virology Journal, 9(187). https://doi.org/10.1186/1743-422X-9-187
Wells, M. L., Pappu, H. R., Culbreath, A. K., Todd, J. W., y Brown, S. L. 2001. Field survey of Impatiens necrotic spot virus in Georgia peanut. Peanut Science, 28, 34-37. https://doi. org/10.3146/i0095-3679-28-1-9
Whitfield, A. E., Ullman, D. E., y German, T. L. 2005. Tospovirusthrips interactions. Annual Review of Phytopathology, 43, 459-489. https://doi.org/10.1146/annurev.phyto.43.040204.140017
Zhang, J., Hou, Q., Ma, W., Chen, D., Zhang, W., Wubshet, A. K., Ding, Y., Li, M., Li, Q., Chen, J., Dai, J., Wu, G., Zhang, Z., Zaberezhny, A. D., Pejsak, Z., Tarasiuk, K., Zafar Khan, M. U., Wang, Y., He, J., y Liu, Y. 2022. A naked-eye visual reverse transcription loop-mediated isothermal amplification with sharp color changes for potential pen-side test of foot-andmouth disease virus. Viruses, 14(9). https://doi.org/10.3390/v14091982
Zhang, Z.-Y., Liu, X.-J., Li, D.-W., Yu, J.-L., y Han, C.-G. 2011. Rapid detection of Turnip mosaic virus by reverse transcription loop-mediated isothermal amplification. Virology Journal, 8(550). https://doi.org/doi.org/10.1186/1743422X-8-55012227
Zhao, K., Margaria, P., y Rosa, C. 2018. Characterization of the first complete genome sequence of an Impatiens necrotic spot orthotospovirus isolate from the United States and worldwide phylogenetic analyses of INSV isolates. BMC Research Notes, 11, 1-8. https://doi.org/10.1186/s13104018-3395-5
Author notes
*Autor para correspondencia: Nelson Avonce e-mail: nelson.avonce@uaem.mx
Conflict of interest declaration
Los autores declaran que no existen conflictos de intereses en esta publicación.