REVISIÓN CIENTÍFICA
Revisión de métodos de aprendizaje automático para detectar al parásito de la enfermedad de Chagas
Machine learning methods review to detect Chagas disease parasite
Revisión de métodos de aprendizaje automático para detectar al parásito de la enfermedad de Chagas
Investigación y Ciencia, vol. 28, núm. 80, pp. 91-98, 2020
Universidad Autónoma de Aguascalientes
Recepción: 16 Julio 2019
Aprobación: 20 Febrero 2020
Resumen: La enfermedad de Chagas, causada por el parásito Trypanosoma cruzi, afecta a una gran cantidad de personas en Latinoamérica. Un análisis de sangre resulta el método preferido para generar un diagnóstico de la enfermedad; sin embargo, es un proceso tardado, ya que requiere de mucho esfuerzo de expertos para analizar grandes cantidades de muestras en BÚSQUEDA de parásitos. La implementación de sistemas automáticos que faciliten la detección del parásito en imágenes de muestras de sangre capturadas por microscopio es de gran utilidad. Por tanto, en este artículo de revisión se detallan los diferentes trabajos científicos que utilizan técnicas de aprendizaje automático para detectar y segmentar al parásito Trypanosoma cruzi en imágenes digitales.
Palabras clave: enfermedad de Chagas, Trypanosoma cruzi, detección, segmentación, aprendizaje profundo, red neuronal convolucional.
Abstract: Chagas disease, caused by the parasite Trypanosoma cruzi, affects many people in Latin America. A blood test is the preferred method to generate a diagnosis of the disease; however, it is a time-consuming process, since it requires a lot of effort by experts to analyze large quantities of samples in the search of the presence of parasites. Implementation of automatic systems that facilitate the detection of the parasite in images of blood samples captured by microscope is very useful. Therefore, in this review article, the different scientific papers that use machine learning techniques to detect and segment the parasite Trypanosoma cruzi in digital images are described.
Keywords: Chagas disease, Trypanosoma cruzi, detection, segmentation, deep learning, convolutional neural network.
INTRODUCCIÓN
De acuerdo con la Organización Mundial de la Salud (WHO, por sus siglas en inglés), la enfermedad de Chagas es una infección potencialmente mortal causada por el parásito Trypanosoma cruzi (figura 1) (WHO, 2020).
a infección se transmite comúnmente a través del contacto con insectos triatominos infectados con el parásito T. cruzi. Los insectos triatominos (figura 2), también conocidos como chinches, habitan principalmente en áreas rurales de Latinoamérica. Otras vías de transmisión son congénita, trasplante de órganos o transfusión de sangre (WHO, 2020).
Se estima que hay de 7 a 8 millones de personas en el mundo con la enfermedad de Chagas, cuya mayoría se encuentran en México, Centroamérica y Sudamérica, con un promedio de más de 10 mil muertes al año (WHO, s. f., 2020). Se calcula


que más de 30% de pacientes infectados sufren problemas cardiacos, y más de 10% digestivos, neurológicos o mixtos (WHO, 2020).
Durante la fase inicial de la enfermedad, que ocurre en los primeros dos meses después de la infección, un gran número de parásitos circula por la sangre. Sigue la fase crónica, donde los parásitos se alojan principalmente en el corazón y en el sistema digestivo, lo que dificulta su localización en una muestra de sangre común por medio de microscopio (WHO, 2020). Es de suma importancia realizar los estudios de detección durante la fase inicial para obtener diagnósticos eficaces y un pronto tratamiento de la enfermedad (WHO, 2020). Uno de los métodos para diagnosticar la enfermedad de Chagas es a través de la prueba de ELISA (EGÜEZ et al., 2017; MedlinePlus, s. f.), la cual trata de una prueba de laboratorio para detectar anticuerpos en la sangre; aunque el método más conveniente para diagnosticarla es mediante el análisis de frotis sanguíneo (EGÜEZ et al., 2017). Un frotis sanguíneo consiste en colocar una gota de sangre sobre un portaobjetos. Posteriormente, la muestra se tiñe para analizarla bajo el microscopio.
La detección de parásitos a través de inspección microscópica de frotis de sangre es una técnica muy COMÚN y conveniente, pero en ocasiones requiere de mucho tiempo y esfuerzo, ya que involucra el análisis de muchas muestras de sangre (Górriz et al., 2018; Mehanian et al., 2017; Peñas, Rivera, & Naval, 2017; Poostchi, Silamut, Maude, Jaeger, & Thoma, 2018). Para este tipo de análisis un método de aprendizaje automático puede ayudar a automatizar las actividades de observación bajo microscopio, ya que engloba técnicas y herramientas tecnológicas que permite a las computadoras realizar tareas complejas con alta exactitud (Sidey-Gibbons & Sidey-Gibbons, 2019). En aplicaciones médicas, los métodos basados en aprendizaje automático pueden ayudar a resolver problemáticas relacionadas con el diagnóstico y predicción de enfermedades (Magoulas & Prentza, 2001).
Contar con un sistema automático que identifique al parásito T. cruzi podría eliminar o reducir el error humano en la observación de grandes volúmenes de muestras de sangre, especialmente durante la fase crónica de la enfermedad y en zonas altamente endémicas. Por tanto, el propósito de este artículo fue describir los trabajos que implementan algoritmos de aprendizaje automático para la detección del parásito de la enfermedad de Chagas, así como señalar las innovadoras técnicas de aprendizaje profundo, pertenecientes a una subárea de aprendizaje automático, AÚN no consideradas, que se pueden implementar para detectar la presencia del parásito estudiado.
Detección y segmentación del parásito T. cruzi
Un análisis de sangre es esencial para detectar y tratar con oportunidad el padecimiento. Existen otros métodos que requieren pruebas portátiles especializadas para la detección del parásito T. cruzi en una muestra de sangre. Uno de ellos es el denominado Chagas Stat-Pak, presentado por Ponce et al. (2005), cuyo método tiene 99.6% de sensibilidad y 99.9% de especificidad; este rendimiento es comparable al que se obtiene con una prueba de ELISA. Otro método que requiere una prueba portátil es el denominado Chagas Detect Plus (Egüez et al., 2017). Si bien estas pruebas portátiles para diagnosticar la enfermedad de Chagas son rápidas y eficaces, obligatoriamente se requiere ALGÚN método manual o serológico para emitir un diagnóstico preciso. En caso de un resultado positivo, el paciente debe iniciar el tratamiento correspondiente (Egez et al., 2017).
Aunque la enfermedad de Chagas es una infección crónica potencialmente mortal para la población mundial, especialmente en zonas endémicas de Latinoamérica, en el área de aprendizaje automático y de visión por computadora se han reportado un número limitado de trabajos para la detección y segmentación del parásito T. cruzi en imágenes de muestras de sangre (Soberanis-Mukul, 2014; Soberanis-Mukul, Uc-Cetina, Brito-Loeza, & Ruiz- Piña, 2013; Uc-Cetina, Brito-Loeza, & Ruiz-Piña, 2013, 2015).
Uc-Cetina et al. (2013) proponen la detección del parásito de Chagas en imágenes de muestras de sangre mediante un algoritmo basado en el análisis del discriminante gaussiano. Su método consiste en analizar la información presente en el canal verde de las imágenes para extraer un vector con 121 características relevantes en zonas de la imagen donde existan posibles núcleos de parásitos. El problema de clasificación consiste en distinguir si el vector de características corresponde a un agente infeccioso de Chagas o no. Para ello, los autores implementaron el análisis de discriminante de Gauss para la construcción de dos modelos: p(x | y= 1), que modela la distribución de características de lo que es parecido a un parásito, y p(x | y= 0), que modela la distribución de características de lo que no lo parece; donde y indica si un ejemplo es un parásito (y= 1) o no (y= 0).
En la clasificación de un nuevo conjunto de pixeles de entrada se calculan las probabilidades del modelo bayesiano, y la mayor probabilidad indicará la clase dominante de la muestra. Como paso final del algoritmo los autores implementaron un algoritmo de búsqueda para encontrar puntos negros en las imágenes, los cuales indican la presencia de posibles núcleos de parásitos. Por cada imagen de entrada, el algoritmo puede clasificar hasta 100 posibles candidatos de núcleos. Su base de datos cuenta con 120 imágenes, de las cuales 60 cuentan con presencia de parásitos.
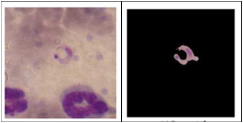
Los autores propusieron tres distintos modelos de experimentos, pero el que mejor obtuvo resultados fue el Experimento número 2 que aplicó el análisis de componentes principales (PCA) (Duda, Hart, & Stork, 2001) para reducir el tamaño del vector de características de entrada. Las tasas de rendimiento final que reportaron fueron 0.0167 en falsos negativos, 0.1563 en falsos positivos, 0.8437 en verdaderos negativos y 0.9833 en verdaderos positivos. En la figura 3 se observa un ejemplo de la detección del parásito con el algoritmo de los autores.
En el trabajo presentado por Soberanis-Mukul et al. (2013) se propone un algoritmo automatizado para detectar el agente infeccioso usando diversas técnicas de segmentación y clasificación en imágenes de muestras de sangre. Su base de datos cuenta con 120 imágenes, de las cuales 60 tienen presencia de parásitos. En una primera etapa de preprocesamiento aplican una máscara con el fin de conservar información presente del cuerpo del parásito. La máscara es el resultado de una umbralización sobre la imagen que contiene la diferencia de los canales azul y verde, previamente calculada. Posteriormente implementan un algoritmo de etiquetado para separar las regiones de pixeles y contabilizar sus áreas, esto con el fin de conservar aquellas regiones cuyas áreas sean similares al de un posible parásito. Como resultado de esta etapa de preprocesamiento se calculan centroides en las imágenes a color en las ubicaciones de las regiones que se mantuvieron.

La etapa de segmentación consiste en separar el objeto de interés (parásito) del fondo. Para ello, un clasificador gaussiano se entrena con ejemplos positivos (lo que representa un objeto de interés) y negativos (lo que no lo representa). Si se calculan las probabilidades que se presentan en el modelo de decisión bayesiano, se obtienen regiones de pixeles de interés que pueden ser un parásito. Posteriormente, los autores realizan una intersección de las imágenes obtenidas en ambas etapas (preprocesamiento y segmentación) para conservar las regiones donde el área obtenida es clasificada como un parásito si y sólo si también forma parte de la región de interés del resultado del método gaussiano.
En una última etapa las imágenes que se mantuvieron en la intersección pasan por un clasificador de K vecinos más cercanos (Cover & Hart, 1967) previamente entrenado para realizar una clasificación binaria (si es o no es parásito). Después del entrenamiento y pruebas los autores reportaron 98% de sensibilidad y 85% de especificidad. En la figura 4 se muestra un ejemplo de la segmentación del parásito de Chagas con el algoritmo de los autores.

En el trabajo de Uc-Cetina et al. (2015) se realiza una comparación de dos algoritmos robustos, AdaBoost y máquinas de soporte vectorial (Support Vector Machine, SVM), para la tarea de detección de T. cruzi en imágenes de muestras de sangre. El proceso de detección del agente infeccioso implementando AdaBoost consiste en cuatro etapas: 1) adquisición de las imágenes, 2) preprocesamiento de las imágenes, 3) detección de posibles parásitos entrenando un clasificador binario AdaBoost alimentado con características Haar específicas, y 4) un postprocesamiento usando una técnica enfocada en la acumulación de ADN entrenando una máquina de soporte vectorial para descartar falsos positivos.
Es importante mencionar que las plantillas Haar (Viola & Jones, 2001) propuestas en Uc-Cetina et al. (2015) están diseñadas para representar la morfología común del parásito de T. cruzi. Su base de datos cuenta con 120 imágenes, de las cuales 60 tienen presencia de parásitos. Los autores realizaron una comparación del proceso de detección antes mencionado (AdaBoost + SVM) con una implementación para reconocer el parásito de Chagas usando un ÚNICO clasificador SVM.
El clasificador SVM (Vapnik, 1998) se entrenó con diversas características propuestas en Ross, Pritchard, Rubin y Dusé (2006). Los diversos experimentos que se realizaron fueron con los clasificadores propuestos: 1) AdaBoost, 2) AdaBoost + postprocesamiento, 3) SVM con kernel lineal, 4) SVM con kernel polinomial, y 5) SVM con kernel RBF. La clasificación usando AdaBoost más un postprocesamiento obtuvo los mejores resultados y reportó 100% de sensibilidad y 93.25% de especificidad. En la figura 5 se muestra un ejemplo de la detección de T. cruzi con el algoritmo de los autores.

Soberanis-Mukul (2014) propone una comparación de tres clasificadores (SVM, AdaBoost y redes neuronales artificiales) para detectar y segmentar el parásito T. cruzi. Su metodología consiste en tres etapas: 1) cómputo de súper pixeles, 2) extracción de las características óptimas, y 3) entrenamiento de cada clasificador: redes neuronales usando el algoritmo de retro propagación; AdaBoost usando ensamble de perceptrones; y máquinas de soporte vectorial. Los súper pixeles están formados por conjuntos de pixeles que describen regiones continuas delimitadas a lo largo de la imagen.
La propuesta de usar grupos de pixeles permite que se extraigan características considerando el vecindario y la relación de los pixeles dentro de un grupo (Soberanis-Mukul, 2014). Su base de datos empleada consiste en 900 imágenes de ejemplos positivos (con parásitos) y 900 de negativos (sin parásitos). Los vectores de características de entrada para los clasificadores contienen distintos valores con base en espacios de color de los súper pixeles. En una primera etapa de la experimentación se es- coge la configuración del vector de características que mejor desempeño obtenga en los tres clasificadores propuestos por el autor. Posteriormente, compara el desempeño de sus clasificadores contra tres algoritmos en el estado del arte: clasificador gaussiano, clasificador de Bayes y el algoritmo propuesto en Soberanis-Mukul (2012).
Al finalizar la experimentación el autor reporta que el clasificador gaussiano presentó el menor error cuadrático medio con 0.18568, seguido del clasificador SVM propuesto por el autor (con un tamaño de súper pixel de 100) que obtuvo 0.22635 y, por último, el clasificador usando redes neuronales con un error de 0.361. En la figura 6 se muestra un ejemplo de los resultados de clasificación para una imagen de entrada. El autor concluye que la técnica de SÚPER pixeles permite adaptarse a los contornos del contenido de las imágenes, lo cual aísla de forma parcial o total el objeto de interés del fondo durante la clasificación.
DISCUSIÓN
En la tabla 1 se resumen los trabajos previamente descritos basados en aprendizaje automático para la detección de la enfermedad de Chagas. Dichos estudios implementan algoritmos de aprendizaje automático que se entrenan con características que los autores proponen después de analizar las imágenes. Si bien para los trabajos descritos ha resultado adecuado definir empíricamente las características a utilizar para la detección o segmentación del parásito, existen otras metodologías pertenecientes al área de aprendizaje profundo que aprenden a extraer automáticamente las características más importantes y las procesan SEGÚN su requerimiento; de esta forma, se evita tener que proponer manualmente el conjunto de características que alimentarán al algoritmo de detección o segmentación (Deep & Chokkalingam, 2019; Górriz et al., 2018; Poostchi et al., 2018).
Aunque los trabajos existentes no destacan por tener un alto desempeño de detección y reportan un elevado valor de falsos negativos (lo que indicaría que una persona no esté infectada erróneamente), es un buen comienzo para apoyar en el diagnóstico de la enfermedad de Chagas. Algoritmos basados en las redes neuronales convolucionales (CNN) de aprendizaje profundo para el análisis de imágenes biomédicas, se han convertido rápidamente en una metodología de uso debido al alto desempeño que se ha obtenido en los resultados de clasificación, detección y segmentación de objetos (Dong, Jiang, Shen, & Pan, 2017a; Dong et al., 2017b; Gopakumar, Swetha, Sai-Siva, & Sai-Subrahmanyam, 2018; Górriz et al., 2018; Liang et al., 2016; Mehanian et al., 2017; Peñas et al., 2017; Quinn et al., 2016). Sin embargo, estas técnicas no han sido exploradas para la detección de la presencia de T. cruzi, donde el reto principal es contar con un gran número de imágenes de entrenamiento (Razzak, Naz, & Zaib, 2018) para que el algoritmo pueda aprender y obtener los resultados de detección y/o segmentación del parásito causante de la enfermedad estudiada.


CONCLUSIONES
La enfermedad de Chagas es una infección crónica parasitaría ocasionada por el agente infeccioso T. cruzi. De los métodos para realizar un diagnóstico de la enfermedad, el más común es el análisis de frotis de sangre. Sin embargo, este método manual requiere de tiempo y esfuerzo, especialmente para analizar grandes cantidades de muestras de sangre, por ejemplo, pacientes en fase crónica, o en zonas altamente endémicas. Los trabajos reportados hasta ahora son de métodos tradicionales de aprendizaje automático para la detección y segmentación de los parásitos en imágenes de muestras de sangre; estos destacan por la facilidad de corroborar que la muestra que se detectó como infectada sea correcta, lo que reduce el esfuerzo y el tiempo necesarios. Sin embargo, aún no destacan por tener alta eficiencia, pero es buen comienzo para apoyar en el diagnóstico de la infección parasitaria que causa afecciones de consideración en Latinoamérica. Mediante metodologías avanzadas de aprendizaje profundo en tendencia es posible aumentar la eficiencia de los métodos actuales, dados los prometedores resultados que estas innovadoras técnicas han reportado en el análisis de imágenes biomédicas.
Agradecimientos
Los autores desean agradecer al Consejo Nacional de Ciencia y Tecnología (Conacyt) por el apoyo parcial para el desarrollo de esta recopilación científica.
REFERENCIAS
Cover, T., & Hart, P. (1967). Nearest neighbor pattern classification. IEEE Transactions on Information Theory, 13(1), 21-27. doi: 10.1109/TIT.1967.1053964
Deepa, N., & Chokkalingam, S. P. (2019). Deep convolutional neural networks (CNN) for medical image analysis. International Journal of Engineering and Advanced Technology (IJEAT), 8(3), 607-610. Recuperado de https://www.ijeat.org/wp- content/uploads/papers/v8i3S/C11290283S19.pdf
Dong, Y., Jiang, Z., Shen, H., & Pan, W. D. (2017a). Classification accuracies of malaria infected cells using deep convolutional neural networks based on decompressed images. SoutheastCon 2017, Charlotte, NC, US, 1-6. doi: 10.1109/SECON.2017.7925268
Dong, Y., Jiang, Z., Shen, H., Pan, W. D., Williams, L. A., Reddy, V. V., … Bryan, A. W. (2017b). Evaluations of deep convolutional neural networks for automatic identification of malaria infected cells. 2017 IEEE EMBS International Conference on Biomedical & Health Informatics (BHI), Orlando, Florida, US, 101-104. doi: 10.1109/BHI.2017.7897215
Duda, R. O., Hart, P. E., & Stork, D. G. (2001). Pattern Classification (2nd ed.). NY, US: Wiley-Interscience New York.
Egüez, K. E., Alonso-Padilla, J., Terán, C., Chipana, Z., García, W., Torrico, F., … Pinazo, M. J. (2017). Rapid diagnostic tests duo as alternative to conventional serological assays for conclusive Chagas disease diagnosis. PLoS Neglected Tropical Diseases, 11(4). doi: 10.1371/journal.pntd.0005501
Gopakumar, G. P., Swetha, M., Sai-Siva, G., & Sai-Subrahman- yam, G. R. K. (2018). Convolutional neural network-based ma- laria diagnosis from focus stack of blood smear images acqui- red using custom-built slide scanner. Journal of Biophotonics, 11(3), e201700003. doi: 10.1002/jbio.201700003
Górriz, M., Aparicio, A., Raventós, B., Vilaplana, V., Sayrol, E., & López-Codina, D. (2018). Leishmaniasis parasite segmentation and classification using deep learning. In F. Perales & J. Kittler (Eds.), Articulated motion and deformable objects (pp. 53-62). Springer. doi: 10.1007/978-3-319-94544-6_6
Guhl, F. (marzo de 2008). Photograph showing an adult specimen of Triatoma dimidiata from Colombia [Fotografía]. Recuperado de https://es.wikipedia.org/wiki/ Archivo:Triatoma_dimidiata-adult.jpg
Liang, Z., Powell, A., Ersoy, I., Poostchi, M., Silamut, K., Palaniappan, K., … Thoma, G. (2016). CNN-based image analysis for malaria diagnosis. 2016 IEEE International Conference on Bioinformatics and Biomedicine (BIBM), 493-496. doi: 10.1109/ BIBM.2016.7822567
Magoulas, G. D., & Prentza, A. (2001). Machine learning in medical applications. In G. Paliouras, V. Karkaletsis, & C. Spyropoulos (Eds.), Machine Learning and Its Applications (pp. 300-307). doi: 10.1007/3-540-44673-7_19
MedlinePlus. (s. f.). Examen de sangre ELISA [Especificaciones]. Recuperado de https://medlineplus.gov/spanish/ency/ article/003332.htm
Mehanian, C., Jaiswal, M., Delahunt, C., Thompson, C., Horning, M., Hu, L., … Bell, D. (2017). Computer-automated malaria diagnosis and quantitation using convolutional neural networks. 2017 IEEE International Conference on Computer Vision Workshops (ICCVW), 116-125. doi: 10.1109/ICCVW.2017.22
Peñas, K. E. D., Rivera, P. T., & Naval, P. C. (2017). Malaria parasite detection and species identification on thin blood smears using a convolutional neural network. 2017 IEEE/ACM International Conference on Connected Health: Applications, Systems and Engineering Technologies (CHASE), 1-6. doi: 10.1109/CHASE.2017.51
Ponce, C., Ponce, E., Vinelli, E., Montoya, A., Aguilar, V., Gonzalez, A., … Silveira, J. (2005). Validation of a rapid and reliable test for diagnosis of Chagas' disease by detection of Trypanosoma cruzi-specific antibodies in blood of donors and patients in Central America. Journal of Clinical Microbiology, 43(10), 5065 -5068. doi: 10.1128/JCM.43.10.5065-5068.2005
Poostchi, M., Silamut, K., Maude, R. J., Jaeger, S., & Thoma, G. (2018). Image analysis and machine learning for detecting malaria. Translational Research, 194, 36-55. doi: 10.1016/j. trsl.2017.12.004
Quinn, J. A., Nakasi, R., Mugagga, P. K. B., Byanyima, P., Lubega, W., & Andama, A. (2016). Deep convolutional neural networks for microscopy-based point of care diagnostics. Proceedings of International Conference on Machine Learning for Health Care, 56, 271-281. Recuperado de https://arxiv.org/ abs/1608.02989
Razzak, M. I., Naz, S., & Zaib, A. (2018). Deep learning for medical image processing: Overview, challenges and the future. In N. Dey, A. Ashour, & S. Borra (Eds.), Classification in BioApps (pp. 323-350). Springer. doi: 10.1007/978-3-319-65981-7_12
Ross, N. E., Pritchard, C. J., Rubin, D. M., & Dusé, A. G. (2006). Automated image processing method for the diagnosis and classification of malaria on thin blood smears. Medical and Biological Engineering and Computing, 44(5), 427-436. doi: 10.1007/s11517-006-0044-2
Sidey-Gibbons, J. A. M., & Sidey-Gibbons, C. J. (2019). Machine learning in medicine: A practical introduction. BMC Medical Research Methodology, 19(64). doi: 10.1186/s12874-019- 0681-4
Soberanis-Mukul, R. (2012). Detección de Trypanosoma cruzi en imágenes obtenidas a partir de muestras sanguíneas (Tesis de pregrado inédita). Universidad Autónoma de Yucatán, Mérida, Yucatán.
_____________(2014). Algoritmos de segmentación de Trypanosoma cruzi en imágenes de muestras sanguíneas (Tesis de maestría inédita). Universidad Autónoma de Yucatán, Mérida, Yucatán.
Soberanis-Mukul, R., Uc-Cetina, V., Brito-Loeza, C., & Ruiz-Piña, H. (2013). An automatic algorithm for the detection of Trypanosoma cruzi parasites in blood sample images. Computer Methods and Programs in Biomedicine, 112(3), 633-639. doi: 10.1016/j.cmpb.2013.07.013
Uc-Cetina, V., Brito-Loeza, C., & Ruiz-Piña, H. (2013). Chagas parasites detection through gaussian discriminant analysis. Abstraction and Application, 8, 6-17. Recuperado de redi. uady.mx:8080/bitstream/handle/123456789/770/UcBrito- Ruiz_2013.pdf
__________(2015). Chagas parasite detection in blood images using adaboost. Computational and Mathematical Methods in Medicine, 2015. doi: 10.1155/2015/139681
Vapnik, V. N. (1998). Statistical learning theory. Wiley.
Viola, P. & Jones, M. (2001). Rapid object detection using a boosted cascade of simple features. Proceedings of the 2001 IEEEComputer Society Conference on Computer Vision and Pattern Recognition CVPR 2001. Kauai, HI, US, 511-518. doi: 10.1109/CVPR.2001.990517
World Health Organization. (s. f.). Chagas disease (American trypanosomiasis) [Ficha informativa]. Recuperado de https:// www.who.int/chagas/disease/en/
__________(2020). Chagas disease (also known as American tripanosomiasis) [Datos clave]. Recuperado de https://www. who.int/en/news-room/fact-sheets/detail/chagas-disease- (american-trypanosomiasis)
Notas de autor
allan.ojedaa@gmail.com