Case Report
Takotsubo syndrome and impending thyroid storm: A case report and brief review of the literature
Síndrome de Takotsubo y tormenta tiroidea inminente: reporte de un caso y breve revisión de la literatura
Takotsubo syndrome and impending thyroid storm: A case report and brief review of the literature
Iberoamerican Journal of Medicine, vol. 4, núm. 3, pp. 169-173, 2022
Hospital San Pedro

Recepción: 24 Junio 2022
Corregido: 03 Julio 2022
Aprobación: 10 Julio 2022
Abstract:
Stress cardiomyopathy also called Takotsubo cardiomyopathy is characterized by transient regional systolic dysfunction of the left ventricle with electrocardiographic changes and an increase in troponin levels imitating myocardial infarction, but in the absence of angiographic evidence of obstructive coronary artery disease. Although the exact causal process has not been determined, it has been mentioned in connection with thyroid diseases. We describe a woman's case that experienced severe chest pain along with electrical and analytical abnormalities. Significant ventricular dysfunction was present, and the invasive coronary angiography revealed no lesions, which was compatible with stress cardiomyopathy. Impending thyroid storm due to Graves’ disease was observed as a trigger and it is imperative to identify and treat any clinical variables that could put patients at risk for Takotsubo syndrome or have an impact on the course of their treatment.
Keywords: Hyperthiroidism, Cardiomiopathy, Takotsubo syndrome, Graves’ disease, Thyroid diseases.
Resumen:
La miocardiopatía por estrés, también llamada miocardiopatía de Takotsubo, se caracteriza por una disfunción sistólica regional transitoria del ventrículo izquierdo con cambios electrocardiográficos y un aumento en los niveles de troponina que simulan un infarto de miocardio, pero en ausencia de evidencia angiográfica de enfermedad arterial coronaria obstructiva. Aunque no se ha determinado el proceso causal exacto, se ha mencionado en relación con las enfermedades de la tiroides. Describimos el caso de una mujer que presentaba dolor torácico intenso junto con anomalías eléctricas y analíticas. Presentaba importante disfunción ventricular y la coronariografía invasiva no mostraba lesiones, lo que era compatible con miocardiopatía de estrés. La tormenta tiroidea inminente debido a la enfermedad de Graves se observó como desencadenante y es imperativo identificar y tratar cualquier variable clínica que pueda poner a los pacientes en riesgo de síndrome de Takotsubo o tener un impacto en el curso de su tratamiento.
Palabras clave: Hipertiroidismo, Cardiomiopatía, Síndrome de Takotsubo, Enfermedad de Graves, Enfermedades tiroideas.
INTRODUCTION
In the early 1990s, Hiraku Sato was the first to characterize Takotsubo cardiomyopathy (TM) or stress cardiomyopathy (SC) as a condition that mimicked acute myocardial infarction (AMI). The ventriculogram of the heart resembles the shape of Japanese octopus trap, raising the name of Takotsubo syndrome [1].
It is a reversible cause of acute heart failure and has a clinical appearance similar to AMI with normal coronary arteries on angiography. The basal segments of the ventriculogram typically exhibit hypercontractility along with changes in apical contractility and its trigger is frequently physical or emotional stress [1, 2].
There have been several case reports of TM linked to thyroid conditions. However, there is no definite proof of a causal connection [1].
We present a case of TM in a patient with an impending thyroid storm due to Graves’ disease.
CASE REPORT
In 2022, a 45-year-old woman with no known underlying diseases was referred due to sudden oppressive chest pain lasting for 3 hours associated with nausea and dyspnea at rest. Physical examination with a normal state of consciousness, heart rate 71bpm, blood pressure of 110/50 mmHg, cardiopulmonary auscultation revealed an S3 gallop and bibasilar rales. There was no jugular vein engorgement, and the other findings were unremarkable.
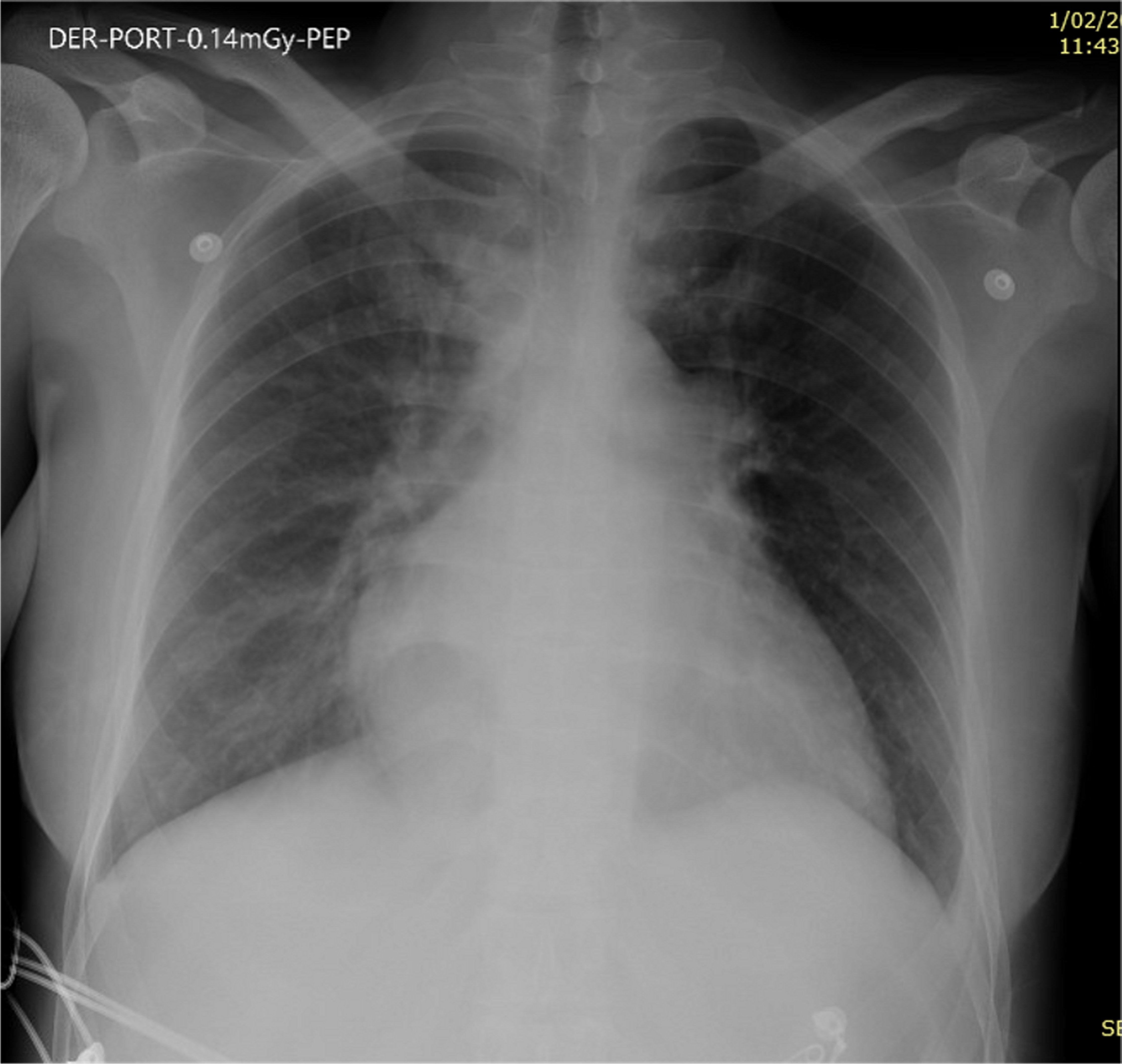
A chest X-ray was performed showing enlargement of the cardiac silhouette and bilateral interstitial infiltrates consistent with stage 2 acute pulmonary edema (Figure 1).

The electrocardiogram (ECG) revealed upsloping ST segment depression with prominent and symmetrical T waves in the precordial leads and reciprocal ST segment elevation in aVR compatible with “winter ECG pattern” (Figure 2).

Hemogram, plasma creatinine, urea and electrolytes tests were normal and troponin I was 0.15 ng/ml [Normal value (NV): less than 0.06 ng/ml].
Coronary angiography was done due to the initial suspicion of acute coronary syndrome (ACS) and the results showed that the coronary tree was free of lesionsand ventriculography revealed significant ventricular dysfunction, with hypercontractility of the most basal segments and akinesia of distal ones, consistent with Takotsubo syndrome (Figure 3). These findings were also found in the Doppler echocardiogram.

The patient was interrogated again and mentioned symptoms such as tremors, agitation, palpitations, and diarrhea throughout the previous three weeks. Thyroid function test revealed a free thyroxine 4 (FT4) value of 82.3 pmol/L (NV: 10-28.2), thyroid stimulating hormone (TSH) <0.01 mIU/L (NV 0.45-4.16), TSH receptor antibody (TRAb) 9.2 IU/L (NV<3.5) and the thyroid echography showed moderate enlargement of the thyroid gland, without nodules; being consistent with Graves' disease diagnosis.
The Burch-Wartofsky point scale (BWPS) indicated an imminent thyroid storm; therefore, antithyroid medication (Methimazole 10 mg every 8 hours) and beta blockers (Propranolol 40 mg every 6 hours) were initiated with positive clinical and analytical progress (Table 1).
| Table 1: Thyroid function tests | ||
| TSH | FT4 | |
| Admission | <0.01mIU/L (NV:0.45-4.16) | 82.3 pmol/L (NV: 10-28.2) |
| Discharged | <0.15 mIU/L (NV:0.45-4.16) | 51.2 pmol/L (NV: 10-28.2) |
A cardiac magnetic resonance (CMR) was performed on the patient six days after admission, and the results showed that the left ventricular function and contractility abnormality had returned to normal.
The patient was discharged with outpatient follow-up by cardiology and endocrinology teams.
DISCUSSION
Stress cardiomyopathy occurs in 1-2% of patients presenting with troponin-positive suspected acute coronary syndrome. The most typical form of this disorder is a hypokinetic or akinetic mid and apical segments with hyperkinesis of the basal walls of the left ventricle [3]. However there have been described a few additional takotsubo types, such as right ventricular, biventricular, midventricular, and basal (Takotsubo inverted) [4].
According to the International Takotsubo Registry, the mean age of stress cardiomyopathy patients was 66.4 years, and 89.9% of them were female. It is yet unknown why postmenopausal women are more susceptible [5].
Despite the fact that the exact cause of this syndrome is unclear, several theories have been proposed. One of these is microvascular spasm or dysfunction and direct myocardial toxicity due to catecholamine excess [6]. Therefore, clinically, and physiologically, hyperthyroidism can resemble a hyperadrenergic condition and cause similar changes. Through the upregulation of beta-adrenergic receptors, thyroid hormones exert both direct and indirect effects on cardiomyocytes, resulting in an increased chronotropic and inotropic response to normal levels of catecholamines [7].
Limited information is available on the risk factors for stress cardiomyopathy, and the development of the condition is frequently but not always associated with an extreme emotional or physical stress [8]. There have been reports of familial cases, raising the idea of a genetic susceptibility [9], and a potential correlation between serotonin norepinephrine reuptake inhibitors (SNRIs) and stress cardiomyopathy, but a causative relationship has not been proved [10].
The most common symptom of stress cardiomyopathy is acute substernal chest pain, which is similar to an acute coronary syndrome; however, some patients may experience dyspnea or syncope. ST segment elevation is a frequent ECG finding, typically in the anterior precordial leads; ST depression, QT interval prolongation, T wave inversion, aberrant Q waves, and non-specific abnormalities are other less frequent findings. Serum cardiac troponin and natriuretic peptides levels are elevated in most patients with stress cardiomyopathy [5].
The proposed Mayo Criteria for the Clinical Diagnosis of the Transient Left Ventricular Apical Ballooning Syndrome include: a) transient akinesis or dyskinesis of the left ventricular apical and mid-ventricular segments with regional wall-motion abnormalities extending beyond a single epicardial vascular distribution; b) absence of obstructive coronary disease or angiographic evidence of acute plaque rupture, new electrocardiographic abnormalities (either ST-segment elevation or T-wave inversion); and c) absence of recent significant head trauma, intracranial bleeding, Pheochromocytoma, obstructive epicardial coronary artery disease, Myocarditis and hypertrophic cardiomyopathy. These all criteria must be present [11].
Cardiac magnetic resonance may be useful in the diagnosis and evaluation of stress cardiomyopathy. In TM, the CMR may reveal a single mid-wall or subepicardial pattern of late gadolinium enhancement (LGE), but in AMI, LGE is either subendocardial or transmural [12].
In the absence of severe coronary artery disease, ST segment abnormalities have been related to a range of syndromes besides stress cardiomyopathy, such as myocarditis, coronary spasm and ACS associated to cocaine addiction. In addition, Similar reversible cardiomyopathy with global or focal dysfunction has been seen in individuals with severe brain damage and pheochromocytoma [13, 14].
Although most people with stress cardiomyopathy recover, the risk of serious complications are similar to those with acute coronary syndrome [5], and patients who survive the acute episode typically recover systolic ventricular function within one to four weeks [15].
CONCLUSIONS
This case shows that the most obvious diagnosis is not always the right one. Although TM is regarded as a rare cardiac disease, this condition it has been diagnosed more frequently. It may be preceded by a traumatic or upsetting experience, and it is typically associated with a positive prognosis. We propose the measurement of thyroid hormones when this entity is suspected; considering that, similar cases have been reported in the literature with clinical improvement with the standard antithyroid therapies. If thyroid disorders are identified, the management by the endocrinologist team will be necessary for cardiomyopathy resolution.
CONFLICT OF INTERESTS
The authors have no conflict of interest to declare. The authors declared that this study has received no financial support.
REFERENCES
1. Sato H, Tateishi H, Uchida T. Takotsubo-type cardiomyopathy due to multivessel spasm. In: Kodama K, Haze K, Hon M, editors. Clinical Aspect of Myocardial Injury: From Ischemia to Heart Failure. Tokyo: Kagakuhyouronsha; 1990:56-64.
2. Miyazaki S, Kamiishi T, Hosokawa N, Komura M, Konagai H, Sagai H, et al. Reversible left ventricular dysfunction "takotsubo" cardiomyopathy associated with hyperthyroidism. Jpn Heart J. 2004;45(5):889-94. doi: 10.1536/jhj.45.889.
3. Kurowski V, Kaiser A, von Hof K, Killermann DP, Mayer B, Hartmann F, et al. Apical and midventricular transient left ventricular dysfunction syndrome (tako-tsubo cardiomyopathy): frequency, mechanisms, and prognosis. Chest. 2007;132(3):809-16. doi: 10.1378/chest.07-0608.
4. Scantlebury DC, Prasad A. Diagnosis of Takotsubo cardiomyopathy. Circ J. 2014;78(9):2129-39. doi: 10.1253/circj.cj-14-0859.
5. Templin C, Ghadri JR, Diekmann J, Napp LC, Bataiosu DR, Jaguszewski M, et al. Clinical Features and Outcomes of Takotsubo (Stress) Cardiomyopathy. N Engl J Med. 2015;373(10):929-38. doi: 10.1056/NEJMoa1406761.
6. Gianni M, Dentali F, Grandi AM, Sumner G, Hiralal R, Lonn E. Apical ballooning syndrome or takotsubo cardiomyopathy: a systematic review. Eur Heart J. 2006;27(13):1523-9. doi: 10.1093/eurheartj/ehl032.
7. Eliades M, El-Maouche D, Choudhary C, Zinsmeister B, Burman KD. Takotsubo cardiomyopathy associated with thyrotoxicosis: a case report and review of the literature. Thyroid. 2014;24(2):383-9. doi: 10.1089/thy.2012.0384.
8. Sharkey SW, Lesser JR, Zenovich AG, Maron MS, Lindberg J, Longe TF, et al. Acute and reversible cardiomyopathy provoked by stress in women from the United States. Circulation. 2005;111(4):472-9. doi: 10.1161/01.CIR.0000153801.51470.EB.
9. Ikutomi M, Yamasaki M, Matsusita M, Watari Y, Arashi H, Endo G, et al. Takotsubo cardiomyopathy in siblings. Heart Vessels. 2014;29(1):119-22. doi: 10.1007/s00380-013-0345-y.
10. Woronow D, Suggs C, Levin RL, Diak IL, Kortepeter C. Takotsubo Common Pathways and SNRI Medications. JACC Heart Fail. 2018;6(4):347-8. doi: 10.1016/j.jchf.2017.12.011.
11. Prasad A, Lerman A, Rihal CS. Apical ballooning syndrome (Tako-Tsubo or stress cardiomyopathy): a mimic of acute myocardial infarction. Am Heart J. 2008;155(3):408-17. doi: 10.1016/j.ahj.2007.11.008.
12. Gerbaud E, Montaudon M, Leroux L, Corneloup O, Dos Santos P, Jaïs C, et al. MRI for the diagnosis of left ventricular apical ballooning syndrome (LVABS). Eur Radiol. 2008;18(5):947-54. doi: 10.1007/s00330-008-0853-9.
13. Kassim TA, Clarke DD, Mai VQ, Clyde PW, Mohamed Shakir KM. Catecholamine-induced cardiomyopathy. Endocr Pract. 2008;14(9):1137-49. doi: 10.4158/EP.14.9.1137.
14. Ako J, Sudhir K, Farouque HM, Honda Y, Fitzgerald PJ. Transient left ventricular dysfunction under severe stress: brain-heart relationship revisited. Am J Med. 2006;119(1):10-7. doi: 10.1016/j.amjmed.2005.08.022.
15. Wittstein IS, Thiemann DR, Lima JA, Baughman KL, Schulman SP, Gerstenblith G, et al. Neurohumoral features of myocardial stunning due to sudden emotional stress. N Engl J Med. 2005;352(6):539-48. doi: 10.1056/NEJMoa043046.
Notas de autor
yilmarm@uninorte.edu.co