Clinical Image
Massive bilateral renomegaly: severe expression of autosomal dominant polycystic kidney disease
Renomegalia bilateral masiva: expresión severa de poliquistosis renal autosómica dominante
Massive bilateral renomegaly: severe expression of autosomal dominant polycystic kidney disease
Iberoamerican Journal of Medicine, vol. 5, núm. 3, 2023
Hospital San Pedro
Recepción: 07 Mayo 2023
Corregido: 26 Mayo 2023
Aprobación: 03 Junio 2023
Keywords: Renomegaly, Polycistic kidney disease, Computed tomography
Palabras clave: Renomegalia, Poliquistosis renal, Tomografía computarizada
Autosomal dominant polycystic kidney disease (ADPKD) is the most common inherited kidney disease, accounting for 10% of cases of chronic kidney disease (CKD) [1]. The two associated gene mutations are PKD1, which accounts for 85% of cases, has an earlier onset and a more severe course, and PKD2, which has a later onset and is less severe [2]. It is characterized by the development and expansion of multiple cysts in the renal parenchyma, with progressive loss of renal function, arterial hypertension, acute and chronic pain, macroscopic hematuria, cyst infections and nephrolithiasis [1, 2, 3]. Genetic diagnosis is not necessary if the clinical and imaging findings are clear; computed tomography (CT) is more sensitive than ultrasound, allowing the detection of cysts as small as 1-2 mm [4].
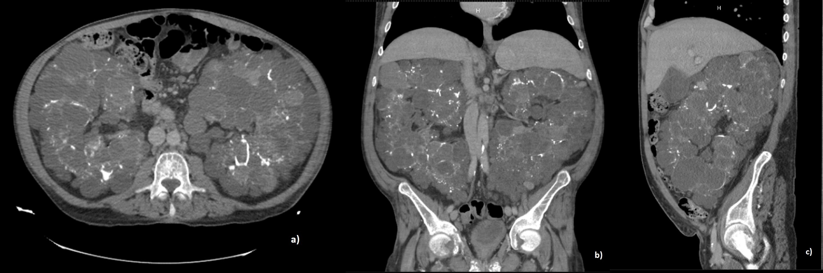
We present the case of a 42-year-old male with a history of stage V CKD diagnosed 5 years ago, receiving hemodialysis as a replacement therapy, secondary to confirmed ADPKD based on family history (father, paternal uncle, and brother with a history of ADPKD and stage V CKD), imaging, and clinical course. He was admitted to the hospital due to progressive increase in abdominal girth and generalized abdominal pain and in the lumbar region, as well as exertional dyspnea for the past 4 months. Pulse oximetry showed 91% saturation, with no evidence of cardiopulmonary compromise, only palpable renal masses in the abdomen without ascites. Laboratory tests revealed grade II anemia (hemoglobin 10.1g/dl [12 - 14 g/dl]) and blood chemistry showed impaired renal function tests (creatinine 8.7mg/dl [0.4 - 1.2 mg/dl], urea 72.1 mg/dl [12 - 54 mg/dl], blood urea nitrogen 33.7 mg/dl [6 - 20 mg/dl]) without other abnormalities. Abdominopelvic CT scan was performed, revealing massive bilateral polycystic renomegaly (Figure 1). The urology department informed the patient about the indication for bilateral laparoscopic nephrectomy due to symptomatic massive renomegaly, however, the patient declined the surgical procedure for personal reasons. Supportive measures were provided, including supplemental oxygen via nasal cannula, analgesia, and continued hemodialysis sessions following contrast study with clinical improvement. As there was no other indication for hospitalization to avoid nosocomial infections, the patient was discharged and referred to the urology outpatient clinic for follow-up.

Although nephrectomy is generally avoided in the context of ADPKD due to the complications of removing a partially functional kidney, it may be considered in cases of debilitating abdominal discomfort, marked limitation of daily activities, recurrent cyst infections, recurrent macrohematuria, suspicion of renal cancer, the need for space for future transplantation, and difficult-to-control nephrogenic hypertension [4]. Currently, bilateral laparoscopic nephrectomy is a safe and effective procedure in most cases. However, in kidneys larger than 3500 ml, there is a risk of conversion to open surgery with increased intraoperative and postoperative complications [4]. Therefore, the decision to perform nephrectomy in these patients should be carefully planned, considering the risk-benefit ratio and the personal preferences of each patient.
CONFLICT OF INTERESTS
The authors have no conflict of interest to declare. The authors declared that this study has received no financial support.
REFERENCES
1. Cornec-Le Gall E, Alam A, Perrone RD. Autosomal dominant polycystic kidney disease. Lancet. 2019;393(10174):919-35. doi: 10.1016/S0140-6736(18)32782-X.
2. Perumareddi P, Trelka DP. Autosomal Dominant Polycystic Kidney Disease. Prim Care. 2020;47(4):673-89. doi: 10.1016/j.pop.2020.08.010.
3. Harris PC, Torres VE. Polycystic Kidney Disease, Autosomal Dominant. 2002 Jan 10 [updated 2022 Sep 29]. In: Adam MP, Mirzaa GM, Pagon RA, Wallace SE, Bean LJH, Gripp KW, Amemiya A, editors. GeneReviews® [Internet]. Seattle (WA): University of Washington, Seattle; 1993–2023.
4. Lubennikov AE, Petrovskii NV, Krupinov GE, Shilov EM, Trushkin RN, Kotenko ON, et al. Bilateral Nephrectomy in Patients with Autosomal Dominant Polycystic Kidney Disease and End-Stage Chronic Renal Failure. Nephron. 2021;145(2):164-70. doi: 10.1159/000513168.
Notas de autor
louis.roblesmi@gmail.com