Comunicaciones breves
Chronic granulomatous inflammation in teleost fish Piaractus mesopotamicus: histopathology model study
Inflamación crónica granulomatosa en el pez teleósteo Piaractus mesopotamicus: modelo de estudio histopatológico
Chronic granulomatous inflammation in teleost fish Piaractus mesopotamicus: histopathology model study
Revista MVZ Córdoba, vol. 22, no. 1, pp. 5738-5746, 2017
Universidad de Córdoba
Received: 02 November 2015
Accepted: 08 August 2016
Abstract: Objective.This study evaluated the cell kinetic and formation of granuloma during chronic inflammation induced by Bacillus Calmette-Guérin (BCG) in the skeletal muscle of Piaractus mesopotamicus, as a histopathology model to study innate immunity. Material and methods. Sixty fish were divided in two groups: BCG-inoculated and non-inoculated fish and the inflammatory response analyzed 3, 7, 14, 21 and 33 days post-inoculation (DPI) by histopathology after hematoxylin-eosin and Ziehl-Neelsen staining. Results. 3 DPI of BCG showed a diffuse inflammatory reaction mostly composed by mononuclear cells. The inflammation continued diffuse 7 DPI initiating the cellular organization surrounding the inoculum and have continued at 14 DPI with discrete presence of epithelioid-like type cells with acidophilic cytoplasm and floppy chromatin. Higher cellular organization (21 DPI) surrounding the granuloma with intense peripheral mononuclear inflammatory infiltrate and nevertheless, an increase in the number of fibroblasts and macrophage-like cells was observed. The inflammatory process became less diffuse 33 DPI with formation of small amount of granuloma surrounded by the same type of reaction found in bigger granuloma. Both the young and old granuloma presented typical characteristic around the inoculum composed by a layer of epithelioid-like type cells, besides macrophages, some lymphocytes and abundant fibroblasts. Conclusions. This study showed the feasibility in the use of pacus to study chronic granulomatous inflammatory response induced by BCG, characterized by changes in the kinetics of inflammatory cells in skeletal muscle classifying as immune-epithelioid type, similar to granulomatous inflammation caused by M. marinum in teleost fish.
Keywords: BCG, granuloma, macrophage, mycobacterium, pacu.
Resumen: Objetivo. Este estudio evaluó la cinética celular y la formación de granuloma durante la inflamación crónica inducida por el Bacilo Calmette-Guérin (BCG) en el músculo esquelético de Piaractus mesopotamicus, como modelo histopatológico para estudiar la inmunidad innata. Materiales y Métodos. Sesenta peces fueron divididos en dos grupos: peces inoculados con BCG y no inoculados y la respuesta inflamatoria analizada en 3, 7, 14, 21 y 33 días post-inóculo (DPI) por medio del análisis histopatológico y tinciones de hematoxilina-eosina y Ziehl-Neelsen. Resultados. 3 DPI de BCG se observó reacción inflamatoria difusa principalmente formada por infiltrado celular mononuclear. Al 7° DPI la inflamación continuaba difusa con inicio de organización celular alrededor del inoculo, que se observó hasta el 14° DPI con discreta presencia de células de tipo epiteliodes con citoplasma acidófilo y cromatina laxa. Para el 21° DPI se observó alta organización celular alrededor del granuloma con intenso infiltrado mononuclear periférico e incremento en el número de fibroblastos y macrófagos. El proceso inflamatorio se tornó menos difuso a los 33 DPI con formación de pequeños granulomas contenidos dentro de uno más grande. Los granulomas formados más rápidamente así como los formados tardíamente, presentaron características típicas alrededor del inóculo compuesta por una camada de células tipo epitelioides, macrófagos, linfocitos y fibroblastos. Conclusión. Este estudio mostró la viabilidad del uso del P. mesopotamicus para estudiar la respuesta inflamatoria crónica granulomatosa inducida con BCG, caracterizado por la evolución de la cinética de células inflamatorias en el músculo esquelético clasificándolo como de tipo inmune-epitelioide, similar a la inflamación granulomatosa causada por M. marinum en peces teleósteos.
Palabras clave: BCG, granuloma, macrófago, micobactéria, pacu.
INTRODUCTION
The mycobacteriosis is the common occurrence in many fish species, involvement of more than one species of Mycobacterium in fish infections, ranging manifestation of disease, although typically including granuloma formation (1) with potential for zoonotic transmission (2).
It is characterized by the formation of a granuloma with typical acid-alcohol resistant bacillus (BAAR) after staining with Ziehl-Neelsen (3). Due to its infectivity, the lack of details for host selection and environmental ubiquity including water, soil, dust, aerosol, and from animals (4). Mycobacteriosis is an emerging disease and also one of the most important chronic infectious diseases in the aquaculture/ornamental fish (5).
The disease develops from the chronic situation until the formation of a granuloma, it is associated with low mortality and can remain asymptomatic for a long time, causing damages on fish growth that become non marketable, and in acute cases all fish can be lost (6).
The granuloma is a focal compact collection of inflammatory cells with predominance of mononuclear cells and is generally formed as a result of a persistence of some product non degradable with active hypersensitivity(7, 8). This formation consists in a final result of a complex interaction among the invader organism/antigen, chemical products, drugs or other irritants, macrophage activity, response of Th1 helper cells, hyperactivity of B cells, circulating immune complexes and chemical and biological mediators (3, 4). Inflamed or immunological reactivity areas recruit monocytes in the blood (9) and these cells differentiate to macrophages after diapedesis (10) which merge to generate the multinucleated giant cells at site of inflammation, or differentiate in secreting macrophages known as epithelioid type cells (8,11,12,13).
Mycobacteria have the capacity of delude the host immune defense (14,15) and to survive inside the macrophages. Additionally, they can also present zoonotic risk (16). The use of Bacillus Calmette-Guérin (BCG) is the unique vaccine against tuberculosis being one of the most used in the last 100 years worldwide (17).
Studies demonstrate that its use induce to a granuloma formation (8,18) but is not constant and depends on the phylogenetic position of fish (19) also influenced by a great variety of fishes (20) in which becomes few clear the events involved in the process until the granuloma formation. Pacu (Piaractus mesopotamicus) is a neotropical freshwater species of great importance in South America finfish aquaculture, and this teleost fish has demonstrated to be a good bioindicator of water quality and has been used as model for ecotoxicity studies (21,22). In this context, this study evaluated the cell kinetic and formation of granuloma during chronic inflammation induced by BCG in the skeletal muscle of pacus, as a model to study innate immunity.
MATERIALS AND METHODS
Animals and conditioning. Sixty healthy juvenile of pacus with mean weight 120±5 g were randomly distributed in ten 250 L plastic tanks with water supplied from an artesian well at a flow of 1 L/min with supplementary aeration. They were fed commercial feed (3% of the biomass, 28% of GP and 4000 kcal of GE/kg). The parameters physical and chemical of the water were measured with a probe YSI Model MPS 556.
Experimental design. After acclimatized for seven days the fish were randomly distributed in two groups (BCG-inoculated and non-inoculated) 30 fish in each group. To evaluate the inflammatory process, five subgroups of six fish from each group were collected for analysis at 3, 7, 14, 21 and 33 days post-inoculation (DPI).
Induction of the inflammatory process. To the inoculum of BCG, the fish were anesthetized by immersion in an aqueous solution of benzocaine (1:10000 v/v) prediluited in alcohol (0.1 g/mL) and inoculated with 40 μL of 2.2 x 106 colony forming unities (CFU)/mL of inactivated bacilli (BCG from Rio de Janeiro) using a syringe BD ULTRA-FINE™. The inoculum was made on the muscle tissue in the laterodorsal region, equidistant between the start of the dorsal fin and the midline. After procedure, they returned to their tanks, with continuous water flow and constant aeration. Non-inoculated fish were exposed to the same procedures but did not receive inoculation (Ethics Committee CEUA-UNESP protocol nº 020092/09).
Histopathology. After euthanasia in a benzocaine solution (1:500 v/v), fragments of the inoculated muscle were collected, fixed in formalin solution 10% buffered for posterior routine histological techniques and embedded in paraffin. Cross sections of 5 μm thickness were stained with hematoxylin-eosin (HE) for histopathological examination and Ziehl-Neelsen (ZN) reagent to identify the bacillus. The slides were examined under microscope Olympus (BX 51) and the images captured with digital camera (Olympus DP73).
RESULTS
Histopathological analysis of HE stained slides of non-inoculated fish showed no signs of chronic inflammation as also confirmed after Ziehl-Neelsen staining. On the other hand, BCG-inoculated fish showed the bacilli presence (Figure 1). For evolution process study, inoculated fish showed a diffuse inflammatory reaction in the muscle 3 DPI mostly composed by mononuclear cells with dense chromatin and reduced cytoplasm (Figure 2-a). There were also observed multinucleated giant cells with phagocytic activity, some plasmocytes cells and pigments that might be associated with erythrocyte lysis, besides interstitial edema characterized by dissociation of the muscle fibers (Figure 2-b).

The inflammation continued diffuse 7 DPI initiating the cellular organization surrounding the inoculum (Figure 2-c). Mononuclear infiltrate was greater with the formation of the multinucleated giant cells, persistence of the interstitial edema and tissue necrosis. In the blood vessels the presence of mononuclear cells disposed close to the axial stream blood was observed besides foci of perivascular cell infiltrate containing dense chromatin nuclei and few cytoplasm. In the inflammatory infiltrate, brownish granules compatible with hemosiderin possibly derived from hemorrhage (Figure 2-d) was evidenced. Surrounding the inoculum fibroblast-like cells was found.

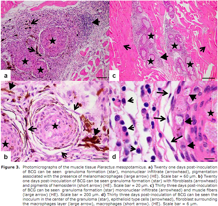
Interstitial edema with discrete presence of the multinucleated giant cells was found 14 DPI. The foci of necrosis were not more visualized; the inflammatory focus was more organized with the presence of mononuclear infiltrate, pigment debris similar to hemosiderin indicating erythrocyte lysis and fibroblasts surrounding the inoculum. It was observed typical morphology of a granuloma with a central inoculum besides mononuclear cells infiltration in the peripheral region (Figure 2-e). Discrete presence of epithelioid-like type cells with acidophilic cytoplasm and floppy chromatin with the presence of some lymphocytes and great amount of fibroblasts was observed (Figure 2-f). It can be observed higher cellular organization surrounding the granuloma, intense peripheral mononuclear inflammatory infiltrate with the presence of hemosiderin pigments at 21 DPI with increase in the number of fibroblasts and macrophages cell surrounding the inoculum (Figure 3-a and 3-b).

At 33 DPI, the inflammatory process became less diffuse even presenting mononuclear infiltrate, formation of small amount of granuloma surrounded by the same type of reaction found in bigger granuloma (Figure 3-c). Both the young and old granuloma presented typical characteristic around the inoculum composed by a layer of epithelioid-like cells, besides macrophages, some lymphocytes and abundant fibroblasts (Figure 3-d).
DISCUSSION
The inflammatory process in pacus has initiated with intense perivascular reaction composed mostly by macrophages that had migrated to the lesioned site, similar to that observed by Sado and Matushima (18). Over the course of time, it formed multinucleated giant cells as also described in P. mesopotamicus by Manrique et al (8). Contrarily, Ishikawa (23) did not observe giant cells 84 DPI with Mycobacterium marinum in Oreochromis niloticus. This difference could be in part attributed to the different bacterium strain used and fish species.
Epithelioid type cells were also found by Manrique et al (8) studying the granuloma formation in P. mesopotamicus, and these cells started to be observed in the 14th day of chronic granulomatous inflammation, confirmed by immunohistochemical staining. The great number of melanomacrophages observed in this study might be strongly related to the hemorrhage present in the muscular lesion. Consequently, these cells have phagocytosed the hemosiderin as a result of erythrocyte lysis, as described by Ramos et al (24) in visceral granuloma naturally diagnosed in cultured Sparus aurata. During granulomatous inflammation increased number and size of melanomacrophages were observed in the spleen of O. niloticus (25).
The granuloma formation was evident with organized macrophages disposed around the inoculum, epithelioid type cells and foreign body like giant cells at 33 DPI, corroborating previous studies in Centropomus spp. (18). Nevertheless, it was not found the formation of caseous center contrarily to that found in Paralichthys orbignyanus and Elacatinus figaro naturally infected by M. marinum (26).
Cellular staining of the granuloma herein observed developed according to Gauthier et al (27) description in Morone saxatilis experimentaly infected with M. marinum where the macrophages with phagocytic activity have suffered morphophysiological changes and became transformed in epithelioid type cells with secreting activity. This feature will be maintained until the immune like granuloma as described by Mariano (28). In conclusion, this study showed the feasibility of using the P. mesopotamicus to study chronic granulomatous inflammatory response induced by BCG, characterized by changes in the kinetics of inflammatory cells in skeletal muscle classifying as immune-epithelioid type, similar to granulomatous inflammation caused by M. marinum.
Conflict of interests
The authors declare that there is no conflict of interests regarding the publication of this article.
Acknowledgements
The authors thank Research Support Foundation of the São Paulo State (FAPESP) (processes numbers 2009/17640-7 and 2010/08624-5); Ataulpho de Paiva Foundation for vaccine donation of vaccines.
REFERENCES
1. Whipps CM, Lieggi C, Wagner R. Mycobacteriosis in Zebrafish Colonies. ILAR 2012; 53(2):95-105.
2. Waltzek TB, Cortés-Hinojosa G, Wellehan JF Jr, Gray GC. Marine mammal zoonoses: a review of disease manifestations. Zoonoses Public Health 2012; 59:521-535.
3. Ulrichs T, Lefmann M, Reich M, Morawietz K, Roth A, Brinkmann V,et al. Modified immunohistological staining allows detection of Ziehl–Neelsen-negative Mycobacterium tuberculosis organisms and their precise localization in human tissue. J Pathol 2005; 205:633–640.
4. Kazda J, Pavlik I, Falkinham JO. III, Hruska K. The Ecology of Mycobacteria: Impact on Animal’s and Human’s Health. 1ed., Netherlands: Springer; 2009.
5. Jacobs JM, Stine CB, Baya AM, Kent ML. A review of mycobacteriosis in marine fish. J Fish Dis 2009; 32:119–130.
6. Kent ML, Whipps CM, Matthews JL, Florio D, Watral V, Bishop-Stewart JK, et al. Mycobacteriosis in zebrafish (Danio rerio) research facilities. Comp Biochem Physiol C Toxicol Pharmacol 2004; 138:383-390.
7. Manrique WG, Claudiano GS, Figueiredo MAP, Petrillo TR, Marcusso PF, Gimeno EJ, et al. Lectinhistochemical staining of granuloma induced by bacillus Calmette-Guérin in Piaractus mesopotamicus. Rev MVZ Córdoba 2013; 18(3):3753-3758.
8. Manrique WG, da Silva Claudiano G, de Castro MP, Petrillo TR, Figueiredo MAP, de Andrade Belo MA, et al. Expression of cellular components in granulomatous inflammatory response in Piaractus mesopotamicus Model. PLoSONE 2 015; 10(3):e0121625.
9. Belo MAA, Souza DGF, Faria VP, Prado EJR, Moraes FR, Onaka EM. Haematological response of curimbas Prochilodus lineatus, naturally infected with Neoechinorynchus curemai. J Fish Biol 2013; 82:1403-1410.
10. Belo MAA, Moraes FR, Yoshida L, Prado EJR, Moraes JRE, Soares VE, et al. Deleterious effects of low level of vitamin E and high stocking density on the hematology response of pacus, during chronic inflammatory reaction. Aquaculture 2014; 422-423: 124-128.
11. Belo MAA, Schalch SHC, Moraes FR, Soares VE, Otobon IA, Moraes JER. Effect of dietary supplementation with vitamin E and stocking density on macrophage recruitment and giant cell formation in the teleost fish, Piaractus mesopotamicus. J Comp Pathol 2005; 133:146-154.
12. Belo MAA, Moraes JRE, Soares VE, Martins ML, Brum CD, Moraes FR. Vitamin C and endogenous cortisol in foreign-body inflammatory response in pacus. Pesqui Agropecu Bras 2012; 47:1015-1021.
13. Sakabe R, Moraes FR, Belo MAA, Moraes JER, Pilarski F. Kinects of chronic inflammation in Nile tilapia supplemented with essential fatty acids n-3 and n-6. Pesqui Agropecu Bras 2013; 48:313-319.
14. Onwueme KC, Vos CJ, Zurita J, Ferreras JA, Quadri LEN. The dimycocerosate ester polyketide virulence factors of mycobacteria. Prog Lipid Res 2005; 44:259–302.
15. Cambier CJ, Takaki KK, Larson RP, Hernandez RE, Tobin DM, Urdahl KB, et al. Mycobacteria manipulate macrophage recruitment through coordinated use of membrane lipids. Nature 2014; 505:218–222.
16. Haenen OLM, Evans JJ, Berthe F. Bacterial infections from aquatic species: potential for and prevention of contact zoonoses. Rev Sci Tech Off Int Epiz 2013; 32(2):497-507
17. Andersen P, Kaufmann SH. Novel vaccination strategies against tuberculosis. Cold Spring Harb Perspect Med 2014; 2;4(6)pii: a018523.
18. Sado RY, Matushima ER. Histopathological, immunohistochemical, and ultra-structural evaluation of chronic inflammatory response of robalo (Centropomus spp.) to BCG. Braz J Vet Res Anim Sci 2007; 44:58-64.
19. Oksanen KE, Myllymäki H, Ahava MJ, Mäkinen L, Parikka M, Rämet M. DNA vaccination boosts Bacillus Calmette-Guérin protection against mycobacterial infection in zebrafish. Dev Comp Immunol 2016; 9:54(1):89-96.
20. Ishikawa CM, Matushima ER, Oliveira de Souza CW, Timenetsky J, Ranzani-Paiva MT. Micobacteriose em peixes. Bol Inst Pesca 2001; 27:231-242.
21. Castro MP, Moraes FR, Fujimoto RY, Cruz C, Belo MAA, Moraes JRE. Acute toxicity by water containing hexavalent or trivalente chromium in native Brazilian fish, Piaractus mesopotamicus: Anatomopathological alterations and mortality. Bull Environ Contam Toxicol 2014; 92:213-219
22. Castro MP, Claudiano GS, Petrillo TR, Shimada MT, Belo MAA, Marzocchi-Machado CM, et al. Acute aerocystitis in Nile tilapia bred in net cages and supplemented with chromium carbochelate and Saccharomyces cerevisiae. Fish Shellfish Immunol 2014; 31:284-290.
23. Ishikawa CM. Quantificação bacteriana e avaliação das lesões em peixes da espécie Oreochromis niloticus (tilápia do Nilo) inoculados experimentalmente com Mycobacterium marinum ATCC 927. São Paulo. Dissertação [Mestrado em Epidemiologia Experimental Aplicada às Zoonoses] – Faculdade de Medicina Veterinária e Zootecnia da Universidade de São Paulo; 1998.
24. Ramos P. Visceral granuloma in sea bream (Sparus aurata L.) with p resumptive etiology of mycobacteriosis. Rev Port Ci Vet 2000; 95(536):185-191.
25. Manrique WG, Claudiano GS, Petrillo TR, Castro MP, Figueiredo MAP, Belo MAA, et al. Response of splenic melanomacrophage centers of Oreochromis niloticus to inflammatory stimuli by BCG and foreign body. J Appl Ichthyol 2014; 30:1001-1006.
26. Romano LA, Sampaio LA, Tesser MB. Micobacteriose por Mycobacterium marinum em “linguado” Paralichthys orbignyanus e em “barber goby” Elacatinus figaro: diagnóstico histopatológico e imuno-histoquímico. Pesq Vet Bras 2012; 32(3):254-258.
27. Gauthier DT, Rhode MW, Vogelbein WK, Kator H, Ottinger CA. Experimental mycobacteriosis in striped bass Morone saxatilis. Dis Aqua Organ 2003; 54:105-117.
28. Mariano M. The experimental granuloma. A hypothesis to explain the persistence of the lesion. Rev Inst Med Trop São Paulo 1995; 37:161-176.