RESUMEN: Los mucoceles de los senos paranasales son tumoraciones expansivas que muestran diferentes presentaciones y localizaciones. Son tumores benignos de crecimiento lento, pero debido a la expansión que presentan causan la erosión y desplazamiento de las estructuras adyacentes, la edad de presentación varía de los 40 a los 60 años, sin predilección por el sexo. Aproximadamente en el 60-65 % de casos afectan a los senos paranasales frontales. La clínica de presentación es variable y depende mucho del tamaño del mucocele, así como de su localización y tiempo de evolución, pueden permanecer asintomáticos por mucho tiempo y debutar con alguna complicación; en los de localización frontal los hallazgos más frecuentes son cefalea frontal, asimetría facial, alteraciones a nivel ocular como diplopía, proptosis ocular, disminución de la movilidad ocular, reducción de la agudeza visual, incluso pudiendo llegar a pérdida de la visión total en el ojo afecto; la expansión intracraneal también puede llevar a fístulas de líquido cefalorraquídeo, meningitis y abscesos cerebrales. En el diagnóstico es fundamental solicitar el par radiológico de tomografía y resonancia magnética con contraste para determinar la extensión real del mucocele, la afectación de las estructuras adyacentes y optar por la mejor terapéutica posible. Esta patología es de manejo quirúrgico, el objetivo es abrir la cavidad del mucocele para lograr una adecuada ventilación y drenaje del seno afecto, actualmente la cirugía endoscópica nasal o combinada es la terapéutica más empleada.
Palabras clave: Mucocele, senos paranasales, manejo quirúrgico, cirugía endoscópica nasal.
ABSTRACT: Mucoceles of the paranasal sinuses are expansive tumors that show different presentations and locations. They are benign tumors of slow growth, but due to their expansion they cause erosion and displacement of adjacent structures. The age of presentation varies from 40 to 60 years old, with no gender predilection. Approximately 60-65% of cases affect the frontal paranasal sinuses. The clinical presentation is variable and depends on the size of the mucocele, as well as its location and time of evolution, they can remain asymptomatic for a long time and debut with some complication; In frontal mucoceles the most frequent findings are frontal headache, facial asymmetry, ocular alterations such as diplopia, ocular proptosis, decreased ocular mobility, reduced visual acuity, and even total loss of vision in the affected eye; intracranial expansion can also lead to cerebrospinal fluid fistulas, meningitis and brain abscesses. In the diagnosis it is essential to request the radiological pair of tomography and magnetic resonance with contrast to determine the real extension of the mucocele, the affectation of the adjacent structures and to opt for the best possible therapy. This pathology is of surgical management, the objective is to open the mucocele cavity to achieve an adequate ventilation and drainage of the affected sinus, currently the nasal endoscopic or combined surgery is the most used therapy.
Keywords: Spina bifida occulta, Spinal Dysraphism, Neural tube defects.
Reporte
Mucocele frontal: reporte de caso
Frontal mucocele: case report
Recepción: 16 Agosto 2021
Recibido del documento revisado: 25 Agosto 2021
Aprobación: 30 Agosto 2021
Los mucoceles de los senos paranasales son tumoraciones pseudoquísticas crónicas expansivas compuestas por un epitelio respiratorio externo con contenido mucoso aséptico en su interior. Son tumoraciones benignas pero que presentan un crecimiento progresivo pudiendo causar una erosión, remodelado y destrucción ósea debido a su expansión, así como el desplazamiento de las estructuras adyacentes1.
Se pueden presentar en cualquier rango etario, pero el rango más frecuente de presentación es de los 40 a los 60 años, sin preponderancia por algún sexo, en cuanto a la localización pueden afectar a cualquier seno paranasal, pero con mayor frecuencia se presentan en los senos frontales (60-65 %), seguido por los senos etmoidales (20-30 %), senos maxilares (10 %) y en último lugar los senos esfenoidales (2-3 %), normalmente son únicos siendo rara la presentación múltiple afectando a varios senos paranasales1,2.
Su origen es aún discutido, se piensa que ocurren por una alteración en el drenaje de los senos paranasales, lo cual tiene concordancia con que los senos más afectos sean los frontales debido a que estos tienen una zona de drenaje más estrecha. Hasta el 50 % de los pacientes presentan como base una rinosinusitis crónica de largo tiempo de evolución2.
Pueden permanecer asintomáticos por mucho tiempo debido a su lento crecimiento, cuando se manifiestan el paciente puede presentar cefalea frontal, rinorrea, asimetría facial, diplopía, disminución de la agudeza visual, ptosis palpebral, proptosis ocular hacia abajo y afuera e incluso pérdida de la visión en el ojo afecto. Así también pueden presentar complicaciones como infecciones en cuyo caso será un mucopiocele e incluso expansión intracraneal causando fístulas de líquido cefalorraquídeo y riesgo de meningitis y abscesos cerebrales3.
Para le diagnóstico es fundamental solicitar tomografía con contraste de los senos paranasales donde podremos encontrar que las paredes de cavidades paranasales estan expandidas, adelgazadas o ausentes, el seno comprometido completamente velado y hay un realce del contorno del mucocele, sin realce central. Así también se debe solicitar la resonancia magnética contrastada para evaluar la interfase entre el mucocele y las estructuras adyacentes, en la secuencia T2 son hiperintensos por el gran contenido líquido4.
El tratamiento es quirúrgico, se busca la apertura, drenaje y Marsupialización del mucocele para lograr un buen drenaje y ventilación del seno afecto, el abordaje puede ser abierto, endoscópico o combinado, en la actualidad lo más utilizado es la cirugía endoscópica nasal4,5.
A continuación, se presenta el caso clínico de una paciente adulta con el diagnóstico de un mucocele del seno frontal izquierdo, que fue tratada en la Cátedra y Servicio de Otorrinolaringología del Hospital de Clínicas.
Adulto mayor, de sexo femenino, con 76 años, presenta cuadro de aproximadamente 1 años de evolución que se inicia con cefalea a nivel frontal, intermitente, de intensidad progresiva, de predominio en el lado izquierdo, que se intensificaba con los cambios posicionales (al agacharse principalmente) y cambios climáticos y que cede solo parcialmente con analgésicos comunes. Desde hace 4 meses la paciente nota el desplazamiento progresivo del globo ocular izquierdo hacia afuera y abajo, lo cual se acompaña de diplopía y en ocasiones de visión borrosa. Niega cualquier otro síntoma como fiebre, rinorrea purulenta, signos inflamatorios a nivel local y síntomas obstructivos, así como cuadros similares anteriores. Como patología de base la paciente nos refiere hipertensión arterial en tratamiento con enalapril de 20 mg dos veces por día, niega diabetes, asma y alergia a medicamentos.
Al examen físico se constata la proptosis ocular izquierda que desplaza el globo ocular hacia abajo y afuera (Figura 1). A la endoscopía nasal se constata un septo central, cornetes inferiores normotróficos, cavum libre, meatos medios libres y no se observa presencia de secreción. La paciente es evaluada por oftalmología donde se constata una agudeza visual en el ojo izquierdo a cuenta dedo a 20 cm que no mejora con el agujero estenopéico, movimientos oculares limitados en todas las posiciones y en el fondo de ojo vítreo claro, papila de bordes netos, coloración pálida, excavación de 3 mm, retina aplicada.
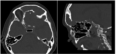
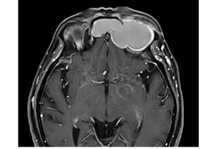
Se le solicita una tomografía de nariz y senos paranasales donde encontramos el velamiento total de ambos senos frontales, ocupados por densidad de partes blandas, adelgazamiento, erosión y destrucción de las paredes superior, posterior e inferior del seno frontal izquierdo con invasión de órbita izquierda y desplazamiento ocular hacia abajo y afuera (Figura 2), también se solicita una resonancia magnética contrastada constatándose la ocupación de ambas digitaciones del seno frontal por gran mucocele, que no restringe a la difusión y muestra tenue realce periférico; con remodelado óseo y efecto de masa sobre las estructuras adyacentes, en especial sobre el globo ocular izquierdo generando proptosis, realce meníngeo laminar regional a nivel del aspecto frontal izquierdo, sin edema parenquimatoso ni focos de abscesos y nervios ópticos de espesor y contornos conservados, sin realce patológico (Figura 3).
La paciente es sometida a cirugía endoscópica funcional de senos paranasales, se realizó un Draft III con lo que se logra la remoción parcial de la cápsula y del contenido, pero asegurando el drenaje y buena ventilación de los senos frontales sin mayores complicaciones, por anatomía patológica retorna el diagnóstico de cavidad con cubierta de epitelio respiratorio, sin atipias y contenido mucoso, compatible con mucocele frontal. En los controles post operatorios se constata una disminución de la proptosis ocular izquierda, pero sin mejoría marcada en la agudeza visual.



Los mucoceles son formaciones expansivas pseudoquísticas de contenido mucoso que crecen lentamente expandiéndose, causando remodelado óseo, así como el desplazamiento de las estructuras vecinas. Ocurre por la obstrucción del ostium de drenaje del seno y se suele relacionar con la existencia previa de rinosinusitis crónica en la mayoría de los casos o también traumatismos, cirugía o lesiones expansivas, en el caso de nuestra paciente presentaba signos y síntomas de rinosinusitis crónica, lo cual fue lo que probablemente causó la obstrucción del ostium del seno frontal y su drenaje5,6. En cuanto a la frecuencia, ocurren principalmente en los senos frontales, seguido de los etmoidales, los maxilares y en último lugar los esfenoidales, esto coincide con el caso presentado donde los senos afectos fueron los frontales6.
El crecimiento expansivo causa aumento de la presión llevando a la atrofia y destrucción de las paredes óseas del seno paranasal, el mucocele se extiende así hacia las regiones de menor resistencia, ya sea hacia la órbita, senos adyacentes, cavidades nasales e incluso a nivel intracraneal. En esta paciente ocurrió una extensión a nivel de la órbita del lado izquierdo con un importante desplazamiento ocular, así como también hacia la cavidad intracraneal entrando en contacto con las meninges7,8.
La clínica varía dependiendo de la localización del mucocele así como del tamaño y el tiempo de evolución, presentan una fase inicial asintomática cuando están limitados al seno paranasal, cuando sobrepasan estos límites aparecen los síntomas más llamativos, es la fase de exteriorización o complicación, los de localización frontal se caracterizan sobre todo por cefalea frontal y síntomas oftalmológicos como epífora, proptosis con desplazamiento del ojo en sentido caudal y lateral, lo que puede provocar diplopía, llegando incluso a la pérdida de la visión en el globo ocular afecto de forma permanente. Puede llegar a presentar complicaciones importantes como fístula a nivel cutáneo por erosión de la tabla externa, la destrucción de la tabla interna puede dar lugar a fístulas de LCR, meningitis y abscesos intracraneales. En nuestro caso la paciente acudió con un importante desplazamiento del globo ocular acompañado de una disminución marcada de la agudeza visual la cual no se pudo recuperar debido al tiempo de evolución y al tamaño de la patología7.
Lo que se espera encontrar con las técnicas de diagnóstico imagenológico son, con la tomografía, un adelgazamiento, erosión e incluso destrucción de las paredes óseas, principalmente la pared posterior debido a su delgadez, poniendo en comunicación las estructuras adyacentes con el seno afecto, el cual se encuentra ocupado por una densidad de partes blandas, homogénea sin aire que no realza con el contraste. La resonancia magnética nos sirve para diferenciarlos de los tumores nasosinusales y delimitar el contacto con estructuras adyacentes, los hallazgos en T1 encontramos una masa de contenido hipointenso con una delgada línea periférica hiperintensa. Todos estos hallazgos coinciden con los hallazgos imagenológicos del caso presentado8-10.
El tratamiento de los mucoceles es quirúrgico, esto puede llevarse a cabo mediando abordaje abierto, abordaje cerrado por vía endoscópica nasal o combinando ambos; en la actualidad el abordaje endoscópico es el más utilizado y se considera el gold standard debió a la menor posibilidad de complicaciones, menor taza de recurrencia, de morbilidad y por ser mínimamente invasivo, no obstante en algunos casos puede que la patología no se pueda resolver totalmente por esta vía, ya sea por el tamaño, localización o ambos del mucocele. En este caso se optó por el abordaje endoscópico, llevando a cabo un Draft III, se logró la Marsupialización de los senos frontales, con un buen drenaje y ventilación de estos11,12.
Autor correspondiente: Carlos Jorge Ocampos. Universidad Nacional de Asunción, Paraguay. Correo: ocamposcarvallo@gmail.com


