ORIGINAL ARTICLE
Received: 3 May 2023
Revised document received: 14 September 2023
Accepted: 11 October 2023
DOI: https://doi.org/10.36660/ijcs.20230060
Abstract
Background: Garlic is an herbal medicinal plant with several pharmacological properties used for the management of various ailments. However, its potential in the reversal of ischemic heart disease induced by combined oral contraceptive pills is not well reported.
Objective: This study investigated the cardioprotective potential of aqueous garlic extract against cardiotoxicity induced by oral contraceptive pills.
Methods: Forty-six rats were used for this study. Six were used to determine the lethal dose (LD50), and 40 rats were divided randomly into 5 groups of 8 rats each. Group A received feed and distilled water. Group B received 0.6 mg/kg of oral contraceptive pills. Group C received 500 mg/kg of garlic extract. Group D received 0.6 mg/kg of oral contraceptive pills + 500 mg/kg garlic extract. Group E received 0.6 mg/kg of oral contraceptive pills + 700 mg/kg garlic extract. The animals were sacrificed, and blood and tissue samples were collected for biochemical and histological analysis. Statistical analysis was done using SPSS, and p values < 0.05 were considered significant.
Results: The acute toxicity dose of combined oral contraceptive pills was 1.5 mg/kg for albino rats. Combined oral contraceptive pills induced ischemic necrosis as revealed by the photomicrographs, in addition to elevation of serum cardiac troponin-1, lactate dehydrogenase, creatine kinase, and malondialdehyde levels. Treatment with garlic extract demonstrated significant reduction in cardiac troponin-1 (p = 0.000), lactate dehydrogenase (p = 0.002), creatine kinase (p = 0.001), and malondialdehyde (p = 0.001) levels, as well as restoration of the cardiac cytoarchitecture changes caused by the combined oral contraceptive pills.
Conclusion: This study has demonstrated that aqueous garlic juice can reverse ischemic heart disease, lessen cytoarchitectural alterations of the heart caused by combined oral contraceptive pills, and thus ameliorate cardiac dysfunction.
Keywords: Contraceptive Agents, Rats, Garlic, Myocardial Ischemia.
Introduction
Oral contraceptives are birth control pills used by women to prevent unintended pregnancy.1 They are one of the most widely used means of contraception globally, taken by over 150 million women.2 They contain synthetic steroid hormones such as estrogen and progesterone that act on the hypothalamus-pituitary-gonadal axis of the female reproductive system, suppressing luteinizing hormone and follicle stimulating hormone, thus preventing ovulation.3 They also alter the uterine lining to limit fetal development and increase cervical mucus secretions to inhibit sperm penetration into the cervix.4Oral contraceptive pills come in two forms: combined oral contraceptive pills, which consist of progesterone and estrogen, and progestin-only pills, which contain only progesterone.5 These hormones have diverse adverse effects on tissues and organs of the body system. Estrogen induces decreased venous blood flow, arterial endothelial proliferation, and decreased plasma level of antithrombin III; it also increases blood coagulability due to changes in platelet functions and the fibrinolytic system,6 while progesterone may cause decreased glucose tolerance, lower high-density lipoprotein levels, and increased levels of low-density lipoprotein, platelet aggregation, and coronary arterial spasm.7 Prolonged consumption of combined oral contraceptive pills has been reported to be connected to a number of metabolic diseases, including cardiovascular diseases, such as venous thromboembolism, stroke, atherosclerosis, myocardial infraction, hypertension, bone diseases, breast cancer, endometrial cancer, and ovarian cancer.7,8

Effect of aqueous garlic extract on ischemic heart disease induced by combined oral contraceptive pills in female rats COC: combined oral contraceptive.
Ischemic heart disease is a condition in which there is an insufficient supply of blood and oxygen to the myocardium.9 It is a disease in which the blood perfusion to the heart is hindered by atheroma, thrombosis, or spasm of coronary arteries, which may decrease the oxygenated blood supply to myocardium, subsequently leading to oxygen demand and myocardial ischemia, which consequently lead to cardiac muscle cell necrosis in a prolonged state.6 Ischemic heart disease is the most frequent, chronic, life-threatening disease and the main cause of death in both men and women around the world.10,11 Family history,12 prolonged stress and other psychiatric disorders,13 smoking,14 obesity,15 dyslipidemia,16 hypertension, diabetes, and infections with certain microorganisms contribute to the development of ischemic heart disease.17 Despite tremendous advancements in lifestyle modifications and pharmacological interventions of well-established risk factors over the past decades, ischemic heart disease and stroke continue to be the leading cause of mortality in advanced countries.18 It is crucial to continue using preventive strategies, especially for primary prevention. Thus, society is concentrating on creating safe, accessible, and inexpensive methods for preventing diseases connected to atherosclerosis.
Several plants species possess many pharmaceutical properties due to their phytoconstituents (glycosides, alkaloids, saponins, steroids, flavonoids, tannins, and terpenoids) that are useful for the formulation of new drugs in contemporary society.19 Garlic (Allium sativum) is reported to be one of these herbal medicinal plants. Garlic and its derivatives have been reported to have both therapeutic and nutritional benefits since ancient times, with varying biological effectiveness.20 It is used as a therapeutic agent for several metabolic diseases, such as hyperlipidemia, atherosclerosis, arrhythmia, diabetes, thrombosis, and hypertension.19 According to recent scientific investigations that followed the principles of contemporary medical systems, garlic has anti-microbial, anti-thrombotic, anti-diabetic, anti-hypertensive, anti-cancer, and immunomodulatory effects.21 Regarding the fact that different garlic preparations have different pharmaceutical potentials, this study investigated the ameliorative effect of aqueous garlic extract on ischemic heart disease induced by combined oral contraceptive pills in female Wistar rats.
Materials and methods
Study design
This research utilized a randomized subject control experimental design with observational study. The researcher used a convenience sampling technique. The study was conducted in accordance with the Declaration of Helsinki and approved by the Research and Ethical Committee of College of Health Sciences, Niger Delta University. Animal handling was carried out according to Good Laboratory Practice (GLP) and in accordance with the National Institute of Health Guide for Care and Use of Laboratory Animals.22
Experimental animal care
For this investigation, 46 apparently healthy female rats (Rattus norvegicus) weighing between 120 and 210 g were used. The animals were separated into 5 groups of 8 animals per group based on body weight and housed in cages made of metal nesting under standard conditions with temperature range of 25 to 30 °C and relative humidity. They were fed with growers’ mash and distilled water, with 12-hour light and dark cycles. The beddings of the cages were changed, and the cages were cleaned daily with disinfectant. Groups A (negative control) received 2 ml/kg water and normal feed. Groups B (positive control), D, and E received 0.6 mg/kg body weight of combined oral contraceptive pills only once daily in 5-day cycles (4 days of treatment with a 1-day break) for 48 days. Group C received only 500 mg/kg body weight aqueous extract of Allium sativum once daily for 48 days. Groups D and E were post-treated (48 days after exposure to combined oral contraceptive pills) with 500 mg/kg and 700 mg/kg body weight of aqueous extracts of Allium sativum for 4 weeks, respectively. The rats were allowed to acclimatize for 2 weeks before the commencement of the experiment. Out of the 46 rats, 6 were used to determine the lethal dose (LD50) of combined oral contraceptive pills.
Preparation of combined oral contraceptive pills
A Levofem® tablet, which is a brand of combined oral contraceptive pill made up of 0.03 mg ethinyl estradiol and 0.3 mg levonorgestrel, manufactured by PT Harsen, Jakarta Timur-13750 (Indonesia) and imported and distributed by Deep K. Tyagi Foundation Nigeria was used for the study. The drugs were purchased from Danson Pharmacy Store Opolo, Yenagoa, Bayelsa State, Nigeria. The concentration of the combined oral contraceptive pills used was adopted in accordance with the method described by Toryila et al. 23 The package contains 28 pills; each white tablet contains 0.03 mg ethinylestradiol and 0.3 mg levonorgestrel, and each brown tablet contains 75 mg ferrous fumarate. Twenty-one white tablets of the drug were dissolved in 100 ml of distilled water. The drug was administered daily by oral gavage syringe. A concentration of 0.6 mg/kg body weight was administered daily in 5-day cycles (4 days of treatment with a 1-day break) for 48 days. The dose and volume of the drug administered was calculated using the following formula:
Preparation of garlic aqueous extract
Garlic bulbs were bought from a local market at Swali in Yenagoa, Bayelsa State, Nigeria. The plant bulbs were taken to the Department of Biological Sciences, Niger Delta University, Amassoma Nigeria, where they were identified by a taxonomist. The garlic aqueous extract was prepared according to the method described by Ghiasi.24 Thirty grams of garlic were crushed and dispensed to 100 ml distilled water in a conical flask. The juice was obtained using a fruit juice extracting machine. The resultant homogenized mixture was then filtered 3 times with a cheese cloth and centrifuged for 10 minutes at 2000 rpm. The clear supernatant was collected in dark bottles and stored in a refrigerator at 2 to 8 °C until it was used. Based on weight of the starting material (30 g per 100 ml), the concentration of prepared garlic was considered to be 300 mg/ml. The animals were treated with garlic aqueous extract (1 ml per 100 g body weight) once daily via gavage for 48 days.
Drug and garlic extract administration
The drug was administered once daily via oral route in a 5-day cycles (4 days of treatment with a 1-day break) using a metal cannula attached to 2.0 ml syringe, for a period of 48 days. Groups B, D, and E were exposed to 0.6 mg/kg body weight except the control group, while group C was administered with 500 mg/kg body weight of aqueous extract of garlic. Groups D and E were post-treated (after 48 days) with 500 mg/kg and 700 mg/kg body weight of aqueous extract of garlic for 4 weeks, respectively.
Acute toxicity study of combined oral contraceptive pills
The up-and-down method of acute toxicity studies was adopted to determine the LD50 of the combined oral contraceptive pills. A total of 6 female albino rats were used (1 rat per dosage). The rats were administered with 0.4 mg/kg, 0.6 mg/kg, 0.8 mg/kg, 1.0 mg/kg, 1.2 mg/kg, and 1.5 mg/kg, one at a time. The first dosage administered was 0.4 mg/kg, and it was steadily increased by 0.2 mg/kg after 2 days if each rat survived the initial dosage. Signs of toxicity were observed continuously for the first 2 hours after treatment in all rats, then frequently for 4 hours, and thereafter for a period of 48 hours. The surviving animals were monitored for delayed death for a period 7 days, and they were observed for physical signs of toxicity such as dullness, listlessness, tremor, deep breathing, decreased respiratory rate, and death.25
Collection of specimens for biological and histological analysis
After the required weeks of experimentation, the rats were anesthetized with chloroform and sacrificed. Blood samples were collected via cardiac puncture with syringe and dispensed into ethylene diamine tetra-acetic acid and plain sample containers for biochemical analysis. Thereafter, the rats were excised to collect heart tissues, which were fixed in 10% formal saline for histological investigations.
Assessment of biochemical parameters
Serum creatine kinase myocardial band (MB) was estimated by kinetic ultra-violet (UV) method according to International Federation of Clinical Chemistry and Laboratory Medicine (IFCC) as reported by Young26with modification. Serum lactate dehydrogenase was estimated by kinetic UV method according to IFCC as reported by Cervellin et al.,27 with modification. The enzyme lactate dehydrogenase catalyzes the reduction of pyruvate and NADH to form NAD . The rate of oxidation of NADH to NAD is measured as a decrease in absorbance which is proportional to the lactate dehydrogenase activity in the sample. Serum cardiac troponin was estimated using enzyme immunosorbent assay (ELISA) as reported by Babuin and Jaffe28 with modification.
Histopathological investigation
The excised heart specimens from each rat were cut into slabs of about 6 mm3 in size and fixed immediately in 10% formal saline. A Histokinette automatic tissue processor- (LEICA TP 1020) was used for tissue processing, and all tissues were embedded in paraffin wax in a tissue embedder (LEICA EG 1160). The tissue blocks were sectioned in a rotary microtome (Heitz 150 Rotary Microtome) at 5 microns. The slides were stained with hematoxylin and eosin using the method described by Ochei and Kolhatkar29 for general tissue architecture. The stained slides were examined under a high-resolution microscope (Olympus BX60MF, Japan), and photomicrographs were taken at a magnification of × 400.
Statistical analysis
For analysis of the data, Statistical Software for Social Sciences (SPSS), version 23.0 was used. One-sample Kolmogorov-Smirnov test indicated that the data were normally distributed. Two-way analysis of variance (ANOVA) was used to compare the groups. The Bonferroni multiple comparison. method was used for all post-hoc analyses. Data were presented using mean ± standard deviation for all quantitative values. The level of significance was set at 95% confidence interval, and p < 0.05 was considered significant.
Results
Acute toxicity study
Table 1 shows the results of the acute toxicity study carried out. The rats were observed for signs of toxicity (behavioral changes and death) continuously for first the 2 hours after the treatment with combined oral contraceptive pills, then frequently for 4 hours, and thereafter for a period of 48 hours. The surviving animals were monitored for delayed death for a period of 7 days. We observed no signs of toxicity and mortality in the rats administered with 0.4 mg/kg, 0.6 mg/kg, 0.8 mg/kg, and 1.0 mg/kg body weight of combined oral contraceptive pills. However, behavioral changes such as dullness, listlessness, tremor, deep breathing, redness of eye, and decreased respiratory rate were observed in the rats administered with 1.2 mg/kg and 1.5 mg/kg body weight of combined oral contraceptive pills. The LD50 of combined oral contraceptive pills in female rats was estimated as a cut-off value, since no mortality occurred even at values above 1.2 mg/kg body weight.

Effects of aqueous garlic extract on cardiac biomarkers and lipid peroxidation activities in female rats administered with combined oral contraceptive pills
Table 2 shows the effect of aqueous garlic extract on some cardiac biomarkers and malondialdehyde in female Rattus norvegicus administered combined oral contraceptive pills. Serum troponin-1 (p = 0.000), lactate dehydrogenase (p = 0.0024), and creatine kinase MB (p = 0.001) levels were significantly elevated in the rats treated with only combined oral contraceptive (group B) when compared with the control (group A). Lipid peroxidation product malondialdehyde levels were significantly (p = 0.001) increased in the rats treated with only combined oral contraceptive (group B) when compared with the control (group A). However, there was a significant (p = 0.001) drastic reduction in the serum level of serum troponin-1, lactate dehydrogenase, and creatine kinase MB and malondialdehyde following treatment with 500 mg/kg and 700 mg/kg body weight of Allium sativum (groups D and E). This reduction was more pronounced in the rats treated with 700 mg/kg body weight of the garlic juice.

Histological examination of heart tissues of female rats administered aqueous garlic extract and combined oral contraceptive pills treated
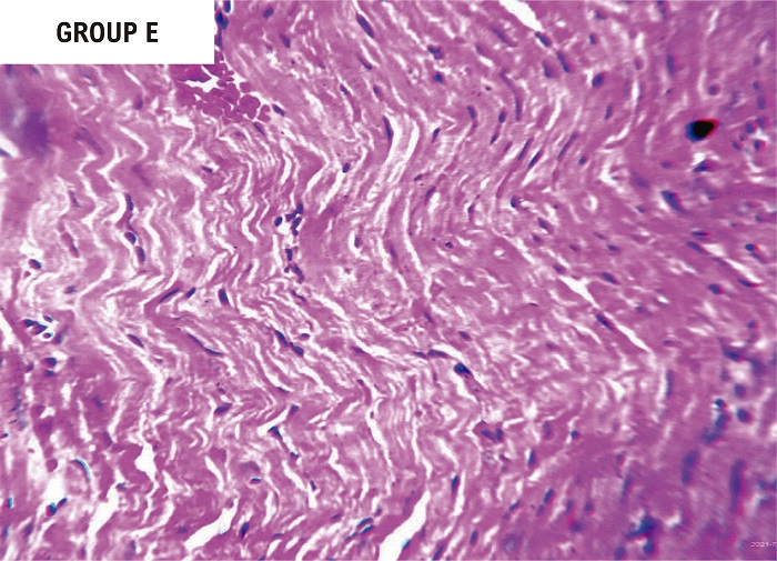
As shown in Figure 1, microscopic examination of hematoxylin and eosin-stained slides of heart tissues revealed that the transverse section of the control group (group A) showed normal histological features of the heart. The cardiocytes were normal, all suggestive of normal cardiac tissue architecture. Figure 2 shows the photomicrograph of a transverse section of the heart of an adult female rat administered with 0.6 mg/kg body weight of combined oral contraceptive pills orally for 48 days (group B). The section showed alteration in normal morphology of the heart with localized area of ischemic necrosis suggestive of obstruction in blood flow (ischemic heart disease). The substance administered is cardiotoxic at concentration and duration. Figure 3 shows the photomicrograph of a representative transverse section of an adult rat administered with 0.6 mg/kg body weight of combined oral contraceptive pills orally for 48 days and treated with 500 mg/kg body weight of aqueous garlic extract for 4 weeks after administration of oral contraceptive pills (group D). The section showed hypertrophy of the cardiocytes. The substance administered is non-toxic and shows potential ability to reverse the ischemic changes observed in group B. Figure 4 shows a photomicrograph of a representative transverse section of an adult rat administered with 0.6 mg/kg body weight of combined oral contraceptive pills orally for 48 days and treated with 700 mg/kg body weight of aqueous garlic extract for 48 days after administration of oral contraceptive pills (group E). The section showed normal histomorphology of the heart tissue. The substance administered is non-toxic and shows potential ability to reverse the ischemic changes observed in group B.




Discussion
The practice of utilizing medicinal herbs in the management of diseases dates back to ancient times. Garlic, notably the Allium sativum species, has long been studied for its result-oriented biological and pharmacological properties. This study demonstrated the ameliorative effect of Allium sativum on ischemic heart disease induced by combined oral contraceptive pills in female Wistar rats.
In the present study, the acute toxicity test (LD50) of combined oral contraceptive pills showed no mortality in any group of the studied rats. However, the acute toxicity symptoms observed were dullness, listlessness, deep breathing, tremor, reduced response to stimuli, decreased respiration rate, lachrymation, redness of eye, and increased secretion from nose and vagina. Thus, the oral median LD50 of the combined oral contraceptive pills on adult female albino rats was found to be greater than 1.2 mg/kg body weight (1200 µg/kg body weight). The result corresponds with Satoskar et al.,30 who reported that estrogens and progesterone may cause several unpleasant effects such as loss of appetite, vomiting, dullness, increased vaginal secretion, and breast enlargement.
Combined oral contraceptive intake for a prolonged period of time is connected to increased risk of cardiovascular diseases.31 Cardiac proteins which serve as biomarkers of the heart are elevated in individuals with myocardial infarction, acute myocarditis, and atherosclerosis,32 and they are useful in making clinical diagnosis. A number of cardiovascular illnesses, such as myocardial infarction, acute myocarditis, and ischemic stroke, have been associated with the use of combined oral contraceptives, according to previous research.31,33In this study, the serum levels of troponin-1, lactate dehydrogenase, and creatine kinase MB were significantly (p < 0.05) elevated in the rats treated with combined oral contraceptive pills (group B) compared with controls (group A). This increase could be due to the fact that the estrogen present in hormonal contraceptives increases cellular lipid peroxidation activities in the cell membrane, causing leakage of cardiac proteins into the extracellular fluid. It could also be attributed to elevation of many coagulation factors causing hypercoagulability,34 which is seen to be the most vital determinant of atherosclerosis,35 subsequently leading to myocardial infarction and ischemic stroke and causing increased cardiac troponin, lactate dehydrogenase, and creatine kinase.
Oxidative stress has been shown to cause cardiovascular diseases.36 Previous research has reported the generation of reactive oxygen species in combined oral contraceptive pill users. Prolonged use of contraceptive pills resulted in increased lipid peroxidation.37 Malondialdehyde, a clinical indicator of oxidative stress, may be produced as a result of lipid peroxidation.38 Malondialdehyde levels were significantly (p < 0.05) elevated in the rats treated with combined oral contraceptive pills. This could be attributed to high production of reactive oxygen species in the rats administered combined oral contraceptive pills. This demonstrates that combined oral contraceptive pills induce oxidative stress. This is in agreement with De Groote et al.39 and Massart et al.40
Garlic has been used to treat and prevent hyperlipidemia, atherosclerosis, arrhythmia diabetic thrombosis, hypertension, and other cardiovascular and metabolic illnesses.21,41 Data from the current study showed that the post-treatment of the rats with aqueous garlic extract caused a significant drastic reduction in the serum levels of troponin-1, lactate dehydrogenase, and creatine kinase-MB following treatment with 500 mg/kg and 700 mg/kg body weight of Allium sativum extract (groups D and E). The study has shown that the treatment of the ischemia induced by oral contraceptive pills with garlic juice significantly protected the heart and myocardial function. The decrease in serum troponin-1, lactate dehydrogenase, and creatine kinase MB is mainly attributed to the bioactive metabolite allicin found in crushed garlic and its breakdown into organic polysulfides, which interact with thiol-containing compounds (glutathione) found in biological systems to produce free H2S, preventing myocardial injury and dysfunction.20
The malondialdehyde levels also showed a drastic reduction in the rats treated with garlic extract (groups D and E) compared with group B. This reduction shows that garlic may be able to protect cell membranes from free radical damage and stop the leaking of cardiac biomarkers, in addition to preventing LDL oxidative modification and maintaining a healthy lipid profile.42 In addition, allicin present in garlic can inhibit free radical production and scavenge the chain-carrying peroxyl radicals of the substrates by transferring its allylic hydrogen to the oxidized substrate.43 Garlic also has phytochemicals, including S-allylcysteine, sulfur metabolites, and S-allylmercaptocysteine, which have strong antioxidant effects.44
Results from the present study suggest that garlic has the potential ability to reverse ischemic heart disease caused by oral contraceptive pills. This is in agreement with previous reports by Madaj and Budoff,45 who reported that garlic possesses beneficial effects and could thus be used as a therapeutic agent for many illnesses, including cardiovascular diseases. Several studies have demonstrated that the bioactive compound allicin is responsible for most biological activities of garlic.46 The enzyme alliinase and alliin are present in an uncrushed garlic cell. Once the garlic clove is crushed, alliin and alliinase are released to form allicin, which is the primary bioactive compound found in garlic juice.18 Thus, it is on this ground that allicin is probably responsible for cardioprotective/ameliorative effect of garlic juice on ischemic heart disease induced by oral contraceptives in female rats. Previous studies have reported that treatment with allicin-containing garlic significantly protected the rat heart against monocrotaline-induced coronary endothelial dysfunction and prevented the development of right ventricular hypertrophy.46 Studies by Sánchez-Gloria et al.47 and Deng et al.48 also demonstrated that allicin improves post-ischemic pulmonary artery flow. Allicin has also been reported to be responsible for the mediation of the protective effect of garlic via its action on coronary endothelial function and vasoreactivity. Therefore, in agreement with reports from other studies, the cardioprotective/ameliorative potential of the aqueous garlic extract in the current study is probably mediated via the vasoregulatory effects of garlic extract and its antioxidant activity in ischemia induced by combined oral contraceptive pills.
Conclusion
The results of this study have demonstrated that the treatment of rats with Allium sativum juice reverses ischemic heart disease induced by combined oral contraceptives, lessens cytoarchitectural changes in the heart, and ameliorates cardiac dysfunction. The biochemical and histomorphology alterations in the heart, as observed by biochemical parameters and histological photomicrographs, all revealed cardioprotective potential of the garlic juice.

Acknowledgements
The authors acknowledge the support of the staff of the Department of Medical Laboratory Science and the Department of Pharmacology at Niger Delta University. We equally appreciate the laboratory instructors and final year students of the Department of Medical Laboratory Science for their immense support.
References
Jin J. JAMA Patient Page. Oral Contraceptives. JAMA. 2014;311(3):321. doi: 10.1001/jama.2013.283505.
Park H, Kim K. Trends and Factors Associated with Oral Contraceptive Use among Korean Women. Healthcare. 2021;9(10):1386. doi: 10.3390/healthcare9101386.
Akshara S, Rohitash J. Adverse Effect of Combined Oral Contraceptive Pills. Asian J Pharm Clin Res. 2017;10(1):17-21. doi:10.22159/ajpcr.2017.v10i1.14565.
Shulman LP. The State of Hormonal Contraception Today: Benefits and Risks of Hormonal Contraceptives: Combined Estrogen and Progestin Contraceptives. Am J Obstet Gynecol. 2011;205(4 Suppl):S9-13. doi: 10.1016/j.ajog.2011.06.057.
Allen RH, Cwiak CA, Kaunitz AM. Contraception in Women Over 40 Years of Age. CMAJ. 2013;185(7):565-73. doi: 10.1503/cmaj.121280.
Al-Juhaishi AMR, Al-Shehristani RMM, Al-Obaidi ZMJ. The Correlation of the Use of Oral Contraceptive Pills and the Risk of Ischemic Heart Disease in Perimenopausal Women. J Pharm Sci Res. 2018;10(6):1464-7.
Naz F, Jyoti S, Akhtar N, Afzal M, Siddique YH. Lipid Profile of Women Using Oral Contraceptive Pills. Pak J Biol Sci. 2012;15(19):947-50. doi: 10.3923/pjbs.2012.947.950.
World Health Organization. Family Planning: A Global Handbook for Providers. Geneva: WHO; 2008.
World Health Organization. Global Atlas on Cardiovascular Disease Prevention and Control. Geneva: WHO; 2011.
Andrew EM. Epidemiology and Global burden of Ischaemic Heart Disease. In: Camm AJ, Luscher TF, Maures G, Serruys PW. The ESC Textbook of Cardiovascular Medicine. London: Oxford University Press; 2018. p. 298-304.
Khan MA, Hashim MJ, Mustafa H, Baniyas MY, Al Suwaidi SKBM, AlKatheeri R, et al. Global Epidemiology of Ischemic Heart Disease: Results from the Global Burden of Disease Study. Cureus. 2020;12(7):e9349. doi: 10.7759/cureus.9349.
Øygarden H, Fromm A, Sand KM, Eide GE, Thomassen L, Naess H, et al. Can the Cardiovascular Family History Reported by Our Patients be Trusted? The Norwegian Stroke in the Young Study. Eur J Neurol. 2016;23(1):154-9. doi: 10.1111/ene.12824.
Tulloch H, Greenman PS, Tassé V. Post-Traumatic Stress Disorder Among Cardiac Patients: Prevalence, Risk Factors, and Considerations for Assessment and Treatment. Behav Sci. 2014;5(1):27-40. doi: 10.3390/bs5010027.
Thun MJ, Carter BD, Feskanich D, Freedman ND, Prentice R, Lopez AD, et al. 50-Year Trends in Smoking-Related Mortality in the United States. N Engl J Med. 2013;368(4):351-64. doi: 10.1056/NEJMsa1211127.
Dawber TR, Moore FE, Mann GV. II. Coronary Heart Disease in the Framingham Study. Int J Epidemiol. 2015;44(6):1767-80. doi: 10.1093/ije/dyv346.
Antman EM, Selwyn AP, Braunwald E, Loscalzo J. Ischemia Heart Disease. In: Loscalzo, editor. Harrison`s Cardiovascular Medicine. New York: McGrow-Hill; 2010. p. 366-370.
Pothineni NVK, Subramany S, Kuriakose K, Shirazi LF, Romeo F, Shah PK, et al. Infections, Atherosclerosis, and Coronary Heart Disease. Eur Heart J. 2017;38(43):3195-201. doi: 10.1093/eurheartj/ehx362.
Varshney R, Budoff MJ. Garlic and Heart Disease. J Nutr. 2016;146(2):416S-421S. doi: 10.3945/jn.114.202333.
El-Saber Batiha G, Magdy Beshbishy A, G Wasef L, Elewa YHA, A Al-Sagan A, Abd El-Hack ME, et al. Chemical Constituents and Pharmacological Activities of Garlic (Allium sativum L.): A Review. Nutrients. 2020;12(3):872. doi: 10.3390/nu12030872.
Bradley JM, Organ CL, Lefer DJ. Garlic-Derived Organic Polysulfides and Myocardial Protection. J Nutr. 2016;146(2):403S-409S. doi: 10.3945/jn.114.208066.
Hussein JH, Mohammed YH, Imad HH. A Review: Anti-microbial, Anti-inflammatory Effect and Cardiovascular effects of Garlic: Allium sativum. Research J Pharm Tech. 2017;10(11):4069-78. doi: 10.5958/0974-360X.2017.00738.7.
Institute of Laboratory Animal Resources. Guide for the Care and Use of Laboratory Animals. Washington, DC: The National Academies Press; 1996.
Toryila JE, Amadi K, Odeh SO, Adelaiye AB, Egesie UG, Achie N. Dynamics of Combined Oral Contraceptive: A Study of Some Haematological Parameters in Female Wistar Rats. OSR J Pharm. 2014;4(9):15-9. doi:10.9790/3013-0409015019.
Ghiasi, JG. Garlic (Allium sativum) Juice Protects from Semen Oxidative Stress in Male Rats Exposed to Chromium Chloride. Anim Reprod. 2014;11(4):526-32.
Deora PS, Mishra CK, Mavani P, Asha R, Shrivastava B, Rajesh KN. Effective Alternative Methods of LD50 Help to Save Number of Experimental Animals. J Chem Pharm Res. 2010;2(6):450-453.
Young DS. Effects on Clinical Laboratory Tests. In: Donald S, Young MD, editors. Drugs Disease, Herbs & Natural Products. New York: John Wiley & Sons; 2021.
Cervellin G, Comelli I, Lippi G. Rhabdomyolysis: Historical Background, Clinical, Diagnostic and Therapeutic Features. Clin Chem Lab Med. 2010;48(6):749-56. doi: 10.1515/CCLM.2010.151.
Babuin L, Jaffe AS. Troponin: The Biomarker of Choice for the Detection of Cardiac Injury. CMAJ. 2005;173(10):1191-202. doi: 10.1503/cmaj/051291.
Ochei JK, Kolhatkar A. Medical Laboratory Science Theory and Practice. London McGraw Hill Education; 2005.
Satoskar RS, Bhandarkar SD, Ainapure SS. Pharmacology and m Pharmacotherapeutics. 24th ed. Mumbai: Popular Prakashan; 2015.
Roach RE, Helmerhorst FM, Lijfering WM, Stijnen T, Algra A, Dekkers OM. Combined Oral Contraceptives: The Risk of Myocardial Infarction and Ischemic Stroke. Cochrane Database Syst Rev. 2015;2015(8):CD011054. doi: 10.1002/14651858.CD011054.pub2.
Wang XY, Zhang F, Zhang C, Zheng LR, Yang J. The Biomarkers for Acute Myocardial Infarction and Heart Failure. Biomed Res Int. 2020;2020:2018035. doi: 10.1155/2020/2018035.
Zakharova MY, Meyer RM, Brandy KR, Datta YH, Joseph MS, Schreiner PJ, et al. Risk Factors for Heart Attack, Stroke, and Venous Thrombosis Associated with Hormonal Contraceptive Use. Clin Appl Thromb Hemost. 2011;17(4):323-31. doi: 10.1177/1076029610368670.
Tchaikovski SN, Rosing J. Mechanisms of Estrogen-Induced Venous Thromboembolism. Thromb Res. 2010;126(1):5-11. doi: 10.1016/j.thromres.2010.01.045.
Borissoff JI, Spronk HM, ten Cate H. The Hemostatic System as a Modulator of Atherosclerosis. N Engl J Med. 2011;364(18):1746-60. doi: 10.1056/NEJMra1011670.
Mallick AK, Ahsan M, Das B, Saxena S, Samanta S, Kukreja S. Study of Lipid Profile During Late Reproductive Phase, Perimenopause and Postmenopause in North Indian Women. Int J Med Res Rev. 2015;3(1):46-50. doi.org/10.17511/ijmrr.2015.i1.08.
Pincemail J, Vanbelle S, Gaspard U, Collette G, Haleng J, Cheramy-Bien JP, et al. Effect of Different Contraceptive Methods on the Oxidative Stress Status in Women Aged 40 48 Years from the ELAN Study in the Province of Liege, Belgium. Hum Reprod. 2007;22(8):2335-43. doi: 10.1093/humrep/dem146.
Al-Kushi AG, El-Boshy ME, ElSawy NA, Omar OAS, Header EA. Pathological Comparative Studies on Aqueous and Ethanolic Extracts of Zingiber Officinale on Antioxidants and Hypolipidemic Effects in Rats. Life Sci J. 2013;10(2):2393-403.
De Groote D, d'Hauterive SP, Pintiaux A, Balteau B, Gerday C, Claesen J, et al. Effects of Oral Contraception with Ethinylestradiol and Drospirenone on Oxidative Stress in Women 18-35 Years Old. Contraception. 2009;80(2):187-93. doi: 10.1016/j.contraception.2009.02.015.
Massart A, Portier H, Rosado F, Toumi H, Filaire E. Lipid Peroxidation in Judoists Using Oral Contraceptives. Int J Sports Med. 2012;33(10):781-8. doi: 10.1055/s-0032-1306282.
Khan SH, Hassan S, Sarder R, Anjum MA. Effects of Dietary Garlic Powder on Cholesterol Concentration in Native Desi Laying Hens. Am J Food Technol. 2008;3(3): 207-13.
Abdel-Baky ES, Abdel-Rahman ON. Cardioprotective Effects of the Garlic (Allium sativum) in Sodium Fluoride-Treated Rats. JoBAZ 2020;81:7. doi: 10.1186/s41936-020-0140-0.
Miron T, Wilchek M, Sharp A, Nakagawa Y, Naoi M, Nozawa Y, et al. Allicin Inhibits Cell Growth and Induces Apoptosis Through the Mitochondrial Pathway in HL60 and U937 cells. J Nutr Biochem. 2008;19(8):524-35. doi: 10.1016/j.jnutbio.2007.06.009.
Asdaq SM, Inamdar MN, Asad M. Pharmacodynamic Interaction of Garlic with Propranolol in Ischemia-Reperfusion Induced Myocardial Damage. Pak J Pharm Sci. 2010;23(1):42-7.
Madaj PM, Budoff M. JA Review: Garlic Effects on the Cardiovascular System. J Cardiol & Cardiovasc Ther. 2017;5(2):555658. doi: 10.19080/JOCCT.2017.05.555658.
Shackebaei D, Ghazvineh S, Godini A, Pilehvarian A, Reshadat S. Cardioprotective Effect of Garlic Juice on the Isolated Rat Heart in Ischemia- Reperfusion. J Med Plant Res. 2010; 9(35): 71-9.
Sánchez-Gloria JL, Arellano-Buendía AS, Juárez-Rojas JG, García-Arroyo FE, Argüello-García R, Sánchez-Muñoz F, et al. Cellular Mechanisms Underlying the Cardioprotective Role of Allicin on Cardiovascular Diseases. Int J Mol Sci. 2022;23(16):9082. doi: 10.3390/ijms23169082.
Deng X, Yang P, Gao T, Liu M, Li X. Allicin Attenuates Myocardial Apoptosis, Inflammation and Mitochondrial Injury During Hypoxia-Reoxygenation: An in Vitro Study. BMC Cardiovasc Disord. 2021;21(1):200. doi: 10.1186/s12872-021-01918-6.
Notes
This article is part of the thesis of master submitted by Onitsha Enebrayi Nelson, from Department of Medical Laboratory Science Niger Delta University Nigeria.
This study was approved by the Ethics Committee on Animal Experiments of the College of Health Sciences Etich Committee, Niger Delta University, under the protocol number NDU/CHSEC/0392.
There were no external funding sources for this study.
Author notes
Mailing Address: Onitsha Enebrayi Nelson. Niger Delta University, Medical Laboratory Science, College Of Health Science. Postal code: 560001. Amassoma, Bayelsa – Nigeria. E-mail: brayi4life@gmail.com
Conflict of interest declaration
No potential conflict of interest relevant to this article was reported.