Reporte de Caso
Importancia del acabado y pulido en restauraciones con resinas compuestas en dientes anteriores. Reporte de caso clínico
Importance of finishing and polishing in resin composite restorations in anterior teeth. Case Report
Importancia del acabado y pulido en restauraciones con resinas compuestas en dientes anteriores. Reporte de caso clínico
Revista científica ciencias de la salud, vol. 1, núm. 1, pp. 52-56, 2019
Universidad del Pacífico
Recepción: 01 Febrero 2019
Aprobación: 01 Mayo 2019
RESUMEN: Los padrones estéticos impuestos por la sociedad y medios de comunicación hoy en día son muy altos, y la expectativa de nuestros pacientes por los procedimientos odontológicos realizados principalmente en el sector anterior no es menor. La evolución de los sistemas de resinas compuestas, así como de los sistemas de acabado y pulido posibilitan hoy en día obtener superficies de alta calidad en las restauraciones, lo que se traduce en buenas propiedades ópticas, mejor estética, buena función, mayor duración de las restauraciones y disminución de la placa dental, maximizando así la salud bucal de los pacientes. La efectividad de un buen procedimiento de acabado y pulido en una restauración dental de cualquier tipo es un objetivo muy importante de ser alcanzado.
Palabras clave: Estética dental, resinas compuestas, pulido dental, alisadura de la restauración dental.
ABSTRACT: The today aesthetic standards imposed by society and the media are very high, and the expectation of our patients for dental procedures mainly in the anterior sector is not minor. The evolution of resin composite systems as well as the finishing and polishing systems now a days enable to obtain high quality surfaces areas in restorations, which translates into good optical properties, better aesthetics, good function, longer duration of restorations and the decrease in dental plaque, thus maximizing the oral health of patients. The effectiveness of a good finishing and polishing procedure in any kind dental restoration is a very important goal to be achieved.
Key words: Dental esthetics, composite resins, dental polishing, dental restoration wear.
INTRODUCCIÓN
Hoy en día, los padrones estéticos impuestos por la sociedad y medios de comunicación son muy altos, y la expectativa de nuestros pacientes por los trabajos realizados no es menor.
Como es sabido, la odontología se encuentra en constante desarrollo e innovación, tal es así, que hay cada vez más lanzamientos de materiales que conlleva a la aplicación de nuevas técnicas o protocolos modificados para su aplicación. La evolución de los materiales restauradores introdujo al mercado, materiales de nano relleno, que garantizan la posibilidad de obtener superficies de alta calidad en las restauraciones. Sin embargo, la composición heterogénea de los materiales estéticos de restauración influye en la rugosidad de la restauración. La matriz resinosa y las partículas de relleno no se deterioran de la misma manera, y esto es debido a que poseen diferente dureza. Las imperfecciones suelen formarse alrededor de las partículas de cuarzo en las resinas compuestas convencionales, y por esta razón, las irregularidades aparecen en la superficie de las restauraciones1.
Existen, dos factores que afectan la calidad del pulido de una restauración, el primero es el tipo de material utilizado y el segundo es la técnica de acabado y pulido que se aplica2.
El tamaño y la forma de las partículas de relleno de los materiales restauradores estéticos afectan de gran manera la superficie final de la restauración, además de afectar en términos de rugosidad y brillo3.
Las superficies de las restauraciones de resinas compuestas influyen sobre la calidad y longevidad de las restauraciones dentro de la cavidad oral y la morfología superficial toma cada vez más importancia en las restauraciones actuales debido a las mayores exigencias estéticas de los pacientes y menor tiempo requerido por los operadores, para satisfacer estos requerimientos se modifican las resinas compuestas y tratan de simplificar los sistemas de pulido. En la actualidad hay muchos intentos por reducir la cantidad de instrumentos relacionados con la etapa de acabado y pulido, es decir un solo instrumento para todos los pasos, pero estos intentos todavía no logran el consenso entre los investigadores. Actualmente utilizamos sistemas de granulación progresiva es decir usamos instrumentos abrasivos con granulación gruesa inicialmente y terminamos con una granulación más fina4,6.
El objetivo primordial es realizar la conservación de las superficies de las restauraciones; es decir, conservarlas sin manchas o acúmulos de placa bacteriana y esto lo lograremos reduciendo las superficies ásperas, márgenes inadecuadamente acabados y retirando los excesos del material sobre todo en los bordes cerca de las encías ya que esto es un factor para la aparición de caries secundarias7,9.
Los procedimientos realizados para un buen acabado y pulido son importantes desde el punto de vista estético, así como el funcional. La obtención de una superficie bien acabada y pulida de materiales estéticos restauradores garantiza buenas propiedades ópticas, estética de la restauración y minimiza la retención de placa dental. Así como también maximizan la salud bucal de los pacientes y aumentan la duración de las restauraciones que se realizan. Una superficie dental suave reduce o elimina la ocurren- cia de irritaciones gingivales, así como también minimiza la alteración de color de la superficie. Un diente con una restauración pulida es biológicamente más compatible con el tejido gingival, razón por la cual la salud de este se mantiene10.
El tamaño y la forma de las partículas de relleno de los materiales restauradores estéticos afectan de gran manera la superficie final de la restauración, además de afectar en términos de rugosidad y brillo3.
PRESENTACION DEL CASO CLINICO
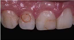
Paciente de sexo masculino con 28 años, acude a la consulta clínica expresando el deseo de cambiar las restauraciones que posee en los dientes anteriores hace más de 5 años, ya que le produce incomodidad en el aspecto de estas, no refiere otra molestia a más de eso.
Fue realizada una evaluación clínica y radiográfica para recabar la mayor cantidad de información posible a fin de realizar un diagnóstico detallado. Se observaron restauraciones pigmentadas, sobre contorneadas y defectuosas del tipo clase IV en la pieza 1.1, restauración de clase V en la pieza 1.2 y una cavidad tipo clase III en la pieza1.3 (Fig. 1), en donde el paciente refiere haber tenido anteriormente una restauración pero que la misma se desprendió. No se observaron lesiones de caries activas en dichas piezas. Se le propuso al paciente realizar nuevas restauraciones directas con resinas compuestas de las piezas 1.2, 1.1 y 1.3. El primer paso que se realizó para iniciar el caso clínico fue la toma de color de la resina compuesta a utilizar, las resinas compuestas de elección fueron de esmalte Estelite Omega color A2 (Tokuyama) y dentina Empress Direct color A3 (Ivoclar Vivadent) y para la cara palatina de la pieza 1.1 la resina compuesta de elección fue Translúcido de Forma (Ultradent).

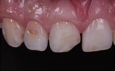
Una vez determinado el material restaurador se procedió a eliminar las restauraciones antiguas y respectivo bisel con puntas diamantadas adecuadas (Fig.2). A continuación, se decidió utilizar un sistema adhesivo que consiste en primer de autograbado y agente adhesivo (Clearfil SE Bond; Kuraray Dental). En zonas de esmalte se realizó grabado por 30 segundos con ácido fosfórico al 35% (Ultra-Etch, Ultradent). La lámpara de fotopolimerización utilizada fue Valo (Ultradent), utilizando 1400 mW/cm2 de potencia en 3 aplicaciones de 3 segundos por capa de resina compuesta utilizando una técnica de estratificación natural para así poder lograr buena estética en el sector anterior (Fig. 3)


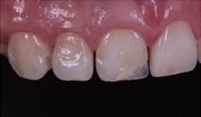
Una vez realizada las restauraciones (Fig. 4) se procede al acabado de estas, utilizando primeramente discos flexibles con recubrimiento de óxido de aluminio (Sof-Lex™, 3M) en la secuencia de granulación gruesa, disco rojo; para la eliminación de excesos del material; granulación media, disco naranja; para realizar el contorneo de la restauración y granulación fina, disco amarillo, para dar el acabado de la resina compuesta (Fig.5). La secuencia de discos fue utilizada en la zona vestibular a baja velocidad (10.000 rpm) de forma intermitente entre 15 a 20 segundos, realizando movimientos unidireccionales con presión suave y evitando el contacto de la zona interna metálica para evitar que la restauración se raye. En la zona palatina de la pieza 1.1 se utilizó una secuencia de acabado con gomas de silicona impregnadas con carburo de silicio y partículas de óxido de aluminio con movimientos de forma intermitente y con irrigación, primeramente, la copa de color verde, para eliminar irregularidades más pronunciadas; luego la copa amarilla para suavizar irregularidades menores y por último la copa blanca (Jiffy, Ultradent) para acabado final de la superficie. A continuación, se realizó el acabado y pulido de las zonas interproximales utilizando tiras flexibles de acetato impregnadas con oxido de aluminio de granulación media (azul), fina (rosa) y superfina (amarillo) (FlexiStrips, Cosmedent) siguiendo el orden mencionado realizando movimientos antero- posteriores dando así también un buen pulido en zonas interproximales.


Para terminar la restauración se procedió al pulido de las caras palatina y vestibular de las respectivas restauraciones. Primeramente, de las zonas vestibulares utilizando un disco flexible de fieltro (FlexiBuff, Cosmedent) combinado con una pasta de pulido a base de oxido de aluminio. (Enamelize, Cosmedent). Es importante resaltar que para conseguir los resultados esperados es fundamental manejar la velocidad del contra ángulo, realizando movimientos de cepillado intermitentes hasta no ver más residuos de pasta en la superficie; no se debe ejercer presión con el disco sobre la restauración. Luego de haber utilizado el disco impregnado con la pasta, se utilizó el disco de fieltro seco realizando los mismos movimientos anteriores.
DISCUSIÓN
El adecuado contorneado, acabado y pulido de restauraciones anteriores de resinas compuestas es la llave para el éxito de estas y de toda restauración adhesiva directa en general.
La mayoría de los autores coinciden en que un efectivo protocolo de acabado y pulido de las superficies de restauraciones con resinas compuestas logran mejorar la mimética con respecto al esmalte superficial del diente, además de disminuir o minimizar la acumulación de placa bacteriana, irritación gingival e inclusive caries recurrente11.
A lo largo del tiempo han sido propuestas y estudiadas distintas técnicas de acaba-do y pulido principalmente para restauraciones anteriores y aún se encuentran literaturas que aseguran que el uso de la técnica de fotocurado de la resina con una matriz de poliéster en contacto directo con la restauración es con la cual se obtiene la superficie más lisa y suave. Sin embargo, existen situaciones en donde la anatomía de la zona a restaurar no permite un buen posicionamiento de la matriz, por lo que esta técnica tiene sus limitaciones y es viable solo en zonas libres principalmente. Además, la capa superficial de las resinas compuestas que se encuentra debajo de la tira de poliéster posee una distribución deficiente de su matriz de relleno y debe ser removida12. Significa que de igual manera se debe acudir a un protocolo de pulido ya sea con gomas o discos abrasivos. Por lo que hoy en día hay múltiples opciones de sistemas de acabado y pulido en el mercado a disposición del odontólogo.
La clave de un buen acabado y pulido es tener el conocimiento de saber qué tipo de resina compuesta vamos a utilizar y de acuerdo con eso elegir el sistema de pulido, ya que los fabricantes diseñan un determinado sistema que funciona mejor con determinadas resinas compuestas de acuerdo con el tipo de relleno inorgánico. Cuanto menor y más homogénea sea la matriz inorgánica de la resina compuesta, mejores resultados tendremos.
Cada material posee un comportamiento independiente, es decir, utilizar el mismo sistema de acabado y pulido en distintos sistemas de resinas compuestas traen como resultado, diferente grado de suavidad y brillo final en la restauración13.
Sistemas de acabado y pulido como los discos revestidos de óxido de aluminio, puntas diamantadas de acabado, fresas de carburo para acabado, puntas de gomas pulidoras de resinas y pastas de pulido son efectivas siempre y cuando sean utiliza-das siguiendo una secuencia de granulación gradual. Cuanto más tiempo invertimos en el acabado y pulido, mejores resultados tendremos.
REFERENCIAS BIBLIOGRÁFICAS
Lemos CA, Mauro SJ, Dos Santos PH, Briso AL, Fagundes TC. Influence of mechanical and chemical degradation in the surface roughness, gloss, and color of microhybrid composites. J Contemp Dent Pract. 2017; 18(4):283-8. Doi: 10.5005/jp-journals-10024-2032
Colombo M, Vialba L, Beltrami R, Federico R, Chiesa M, Poggio C. Effect of different finishing/polishing procedures on surface roughness of Ormocer based and different resin composites. Dent Res J. 2018; 15(6):404-10. Disponible en: https://www.ncbi.nlm.nih.gov/pmc/articles/PMC6243812/
Roque AC, Bohner LO, de Godoi AP, Colucci V, Corona SA, Catirse AB, et al. Surface roughness of composite resins subjected to hydrochloric acid. Braz Dent J 2015; 26(3):268-71.Doi: 10.1590/0103-6440201300271
Martínez L. Evaluación de rugosidad superficial en resinas compuestas de nanotec- nología, posterior al terminado y pulido, con diferentes sistemas de pulido. Universidad de Nuevo León, México. 2014. Doi: 10.13140/RG.2.2.32048.87040
Türkün LS. Effect of re-use of a disposable micropolisher on the surface of a microhybrid resin composite. Am J Dent. 2004; 17(4):279-82. Disponible en: https://pubmed.ncbi.nlm.nih.gov/15478491/
Marigo L, Rizzi M, La Torre G, Rumi G. 3-D Surface profile analysis: different finishing methods for resin composites. Oper Dent. 2001; 26(6):562-8. Disponible en: https://pubmed.ncbi.nlm.nih.gov/11699179/
Bollen CML, Lambrechts P, Quirynem M. Comparison of surface roughness of oral hard materials to the threshold surface roughness for bacterial plaque retention: a review of the literature. Dent Mater. 1997;13(4):258-69. Doi: 10.1016/s0109-5641(97)80038-3
Jung M. Finishing and polishing of a hybrid composite and a heat-pressed glass ceramic. Oper Dent. 2002; 27(2):175-83. Disponible en: https://pubmed.ncbi.nlm.nih.gov/11931137/
Neme AL, Frazier KB, Roeder LB, Debner TL. Effect of prophylactic polishing protocols on the surface roughness of esthetic restorative materials. Oper Dent. 2002; 27(1):50-8. Disponible en: https://pubmed.ncbi.nlm.nih.gov/11817469/
Mopper W. Contouring, Finishing, and Polishing Anterior Composites. The key to beauty and biologic integrity of long-term restorations lies in the final steps of the procedure. Dentistry. 2011; 7(3). Disponible en: https://www.aegisdentalnetwork.com/id/2011/03/contouring-finishing-and-polishing-anterior-composites
Moda MD, Godas AGDL, Fernandes JC, et al. Comparison of different polishing methods on the surface roughness of microhybrid, microfill, and nanofill composite resins. J Invest Clin Dent. 2018; 9(1):2287. Doi: 10.1111/jicd.12287
Al-Ani Z. Effect of Different Finishing and Polishing Procedures on The Discoloration of Composite Resin. Iraqi Dent. J. 2015; 37(2):73-75. Doi: 10.26477/idj.v37i2.47
Kemaloglu H, Karacolak G, Turkun LS. Can Reduced-Step Polishers Be as Effective as Multiple-Step Polishers in Enhancing Surface Smoothness? Journal of Esthetic and Restorative Dentistry. 2016; 29(1):31-40. Doi: 10.1111/jerd.12233
Notas
Notas de autor
Autor correspondiente: Lourdes Servián. email: lourdes.servian@hotmail.com