Reporte de caso
Histiocitosis de células de langerhans. Un hallazgo poco común en la glándula tiroides. A propósito de un caso
Langerhans cell histiocytosis. A rare finding in the thyroid gland. About a case
Histiocitosis de células de langerhans. Un hallazgo poco común en la glándula tiroides. A propósito de un caso
Revista científica ciencias de la salud, vol. 3, núm. 2, pp. 102-111, 2021
Universidad del Pacífico
Recepción: 01 Marzo 2021
Aprobación: 01 Agosto 2021
RESUMEN: La histiocitosis de células de Langerhans (HCL) es una neoplasia mieloide, poco común, se caracteriza por la proliferación de células histiocíticas CD1a+/Langerina+. La incidencia en adultos es 1 a 2 casos por millón, un poco más frecuente en niños. La presentación es variable, como una única lesión en un órgano hasta una enfermedad multisistémica con toque de órganos vitales. Los tejidos de mayor afinidad son: huesos, piel, pulmones e hipófisis y raramente tiroides. El retraso en el diagnóstico o en el tratamiento puede provocar un deterioro de la función de los órganos afectados. El objetivo de la comunicación es reportar un caso de HCL, de presentación aún menos frecuente, en forma aislada en la glándula tiroides de un adulto, hallazgo hecho tras una tiroidectomía total, realizándose el diagnóstico luego de la histología.
Palabras claves: Histiocitosis de células de langerhans, tiroides, neoplasia.
ABSTRACT: Langerhans cell histiocytosis (LCH) is a rare myeloid neoplasm characterized by the proliferation of CD1a+/Langerin+ histiocytic cells. The incidence in adults is 1 to 2 cases per million, a little more frequent in children. The presentation is variable, as a single lesion in an organ to a multisystemic disease with touch of vital organs. The tissues with the highest affinity are: bones, skin, lungs and pituitary and rarely thyroid. Delay in the diagnosis or in the treatment can cause a deterioration in the function of the affected organs. The objective of the communication is to report a case of LCH, with an even less frequent presentation, isolated form in the thyroid gland of an adult, a finding made after a total thyroidectomy, the diagnosis being made after histology.
Key words: Langerhans cell histiocytosis, thyroid, neoplasms.
INTRODUCCIÓN
La histiocitosis de células Langerghans (HCL) es un tipo de histiocitosis caracterizada por la presencia de células del mismo nombre. Estas son células dendríticas del sistema mononuclear fagocítico derivadas de la médula ósea, pero llevan el nombre de Langerhans por la similitud de las células de Langerhans de la piel, los progenitores de estas últimas son células del saco vitelino y de los monocitos derivados del hígado fetal que pueblan la piel antes del nacimiento y se mantienen localmente en condiciones de estado estable, en cambio las células derivadas de monocitos en sangre periférica migran a la epidermis tras el proceso de inflamación y se diferencian en células similares a las células de Langerhans1.
La HCL comparte marcadores de superficie con las células de Langerhans epidérmicas (CD1a+ / CD207+) y una expresión aumentada de genes asociados con precursores de células dendríticas mieloides inmaduras. Badalian-Very y sus colegas identificaron la mutación BRAF V600E en más de la mitad de las lesiones de HCL, 40 un hallazgo que se verificó posteriormente en otras series y se atribuyó a la célula de HCL patógena2,3.
La proteína BRAF es un miembro de la familia RAF de serina / treonina quinasa, y es un componente clave de la vía de señalización MAPK (RAS-RAF-MEK-ERK) que conduce a la activación de factores de transcripción esenciales para el crecimiento y la proliferación celular. La transversión V600E (c.1799T> A en el exón 15) es la mutación más común en BRAF y es uno de los principales impulsores de las neoplasias malignas humanas que conducen a la activación constitutiva aguas abajo de MEK y ERK. Los estudios han informado que BRAF-V600E se observa con más frecuencia en pacientes con HCL multisistémica que en pacientes con enfermedad aislada y esto Se asocia con un mayor riesgo de recaída4.
Se han confirmado otras mutaciones en los genes de la vía MAPK en casi el 80% de los pacientes con HCL. Se podrían descubrir mutaciones adicionales de MAPK porque la vía ERK se activa en el 100% de los pacientes con HCL y es así que la HCL tambien puede presentarse junto a otros canceres histológicos con mutaciones compartidas, como el caso de cancer de tiroides5.
La incidencia anual de HCL es de 4,6 casos por 1 millón de niños menores de 15 años, con una proporción de hombres a mujeres de 1,2: 1 y la incidencia estimada entre adultos es de 1 a 2 casos por millón6,7. Registros en EEUU han observado mayor incidencia en raza hispana que afroamericanos8.
La presentación clínica de esta patología es muy variable y puede ir desde lesiones asintomáticas únicas hasta una enfermedad multisistémica. El hueso y la piel tienen una mayor frecuencia de afectación, así como el eje hipotalámico hipofisario, aunque también se pueden ver alteradas otras glándulas endocrinas, pero en menor medida, por ejemplo, la glándula tiroides. Los niños con afectación del hígado, el bazo o la médula ósea tienen un desenlace fatal, por lo tanto, se clasifican como pacientes con HCL de alto riesgo6. Se han descrito casos en que la presentación inicial fue en un solo órgano, como en el caso de la hipófisis o de la tiroides causando una diabetes insípida o un hipotiroidismo respectivamente y con el tiempo evolucionan a afectación sistémica9. En los adultos, la HCL pulmonar aislada (PLCH) es la manifestación más común y se considera un tipo específico de HCL por su origen policlonal10.
Histológicamente se observan lesiones características granulomatosas destructivas que contienen células mononucleares con núcleos dentados, estas son las células de Langerhans presentadoras de antígenos dendríticos (con gránulos de Birbeck), también existe infiltración de linfocitos y granulocitos eosinofílicos y la Inmunohistoquimica presenta positividad para S100, CD1a y Langerina (CD207)11. El aspecto histológico benigno de la célula CD207+, el infiltrado inflamatorio que la acompaña y la tormenta de citocinas tanto local como sistémica respaldan un origen inflamatorio de la HCL, mientras que la clonalidad, las mutaciones del gen activador somático en la vía de la proteína quinasa activada por mitógenos (MAPK) y las mutaciones compartidas con precursores hematopoyéticos favorecen la reclasificación de la HCL como un trastorno neoplásico mieloide4. Durante la Revision de Clasificaciones de la Sociedad de Histiocitos en el 2016 se redefinió a la HCL como una neoplasia mieloide inflamatoria11. En la práctica profesional el diagnostico no está exento de dificultades debido a la naturaleza poco frecuente y las diferentes formas en cuanto a presentación clínica, particularmente entre pacientes adultos; los estudios auxiliares, imagenológicos y la histología tienen un papel fundamental tanto para el diagnóstico como para el seguimiento sobre todo en pacientes con riesgo de una evolución tórpida o complicación sistémica. Finalmente traemos a colación el caso de un adulto, con HCL localizado en la glándula tiroides, cuyo diagnóstico se realiza luego de una tiroidectomía total.
CASO CLINICO
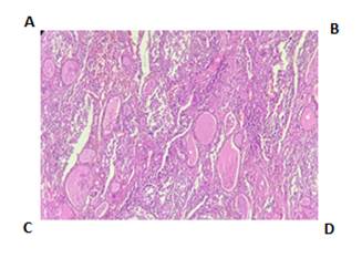
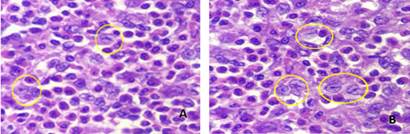
Varón, 61 años, sin antecedentes patológicos de valor, consulta por dificultad para deglutir desde hace algunos meses. Examen físico: tiroides aumentada, palpación de nódulos en ambos lóbulos, consistencia firme, no adheridos a estructuras vecinas. Laboratorio: Perfil tiroideo normal. Rutina normal. Ecografía: bocio multinodular a expensas de nódulos hiperecogénicos de 31.5x19 mm y 49.7x29.6 mm y adenomegalia cervical bilateral. Se realiza una punción aspiración con aguja fina (PAAF) del nódulo tiroideo izquierdo; que informa lo siguiente: “Extendido hipercelular con numerosas placas, acúmulos tridimensionales y células aisladas con atipia nuclear, así como numerosas células multinucleadas en un fondo hemorrágico, categoría Bethesda III; atipia de significado indeterminado”, como pie de nota se sugiere que podría tratarse de un Carcinoma Papilar de Tiroides, pero el material presenta severos artefactos de fijación y aplastamiento que dificultan la evaluación. Por tanto, se decide realizar una tiroidectomía total y biopsia de ganglios. La anatomía patológica informa: “Parénquima extensamente reemplazado por una proliferación celular; aspecto histiocítico, células grandes y medianas, citoplasma amplio claro, y eosinofílico con hendiduras nucleares; abundante población eosinofílica. El aspecto histológico es inusual y el diagnóstico diferencial se establece entre una Histiocitosis de Células de Langherans, un Linfoma de Hodgkin y una Tiroiditis Granulomatosa. Ganglios peritiroideos con hitiocitos en senos cortical y medular” (Figuras 1 y 2).


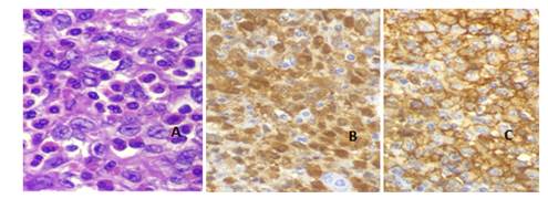
Tras la Inmunohistoquímica (Fig 3) se observan células LCA+, S100+, CD1a+ CD68+/- (Fig 3). DIAGNOSTICO FINAL: Histiocitosis de Células de Langerhans. TAC sin otras lesiones focales, no adenomegalias. Tratamiento levotiroxina. Seguimiento por hematología, no requirió quimioterapia, actualmente libre de enfermedad.

DISCUSION
La afectación de la hipófisis posterior es la presentación endocrina más frecuente de HCL, particularmente en niños6. Las lesiones en la glándula tiroides son extremadamente raras y el compromiso único de tiroides lo es aún más; con prevalencia en mujeres adultas, presentándose como agrandamiento difuso más que nodular y sin síntomas, a diferencia de este caso. La revisión hecha por Patten y col en el 2012, notifica 75 casos de afectación de la glándula tiroides por HCL, la mayoría de la literatura inglesa; 59% de los cuales presentaba bocio, el 25,8% nódulos tiroideos, el 40,9% de los pacientes estaban en eutiroidismo, seguido por hipotiroidismo e hipertiroidismo subclínico. En la mayoría de los casos la afectación de la tiroides fue parte de una enfermedad multisistémica, predominando en adultos más que en niños, con una proporción de mujeres a hombres ligeramente superior (1,4: 1 respectivamente). El 15% de los que tenían afectación tiroidea estaba asociadoa HCL en hipófisis posterior12.
La HCL puede co-existir junto con otras patologías de la glándula tiroides. El primer caso notificado de Bocio, Carcinoma Papilar de Tiroides (CPT) y HCL simultáneas fue en un paciente con HCL de larga duración. Se ha sugerido que ambos procesos podrían tener vías comunes de patogénesis, y que el proceso inflamatorio subyacente y la mutación de BRAF también podrían desencadenar el desarrollo de CPT5. Recientemente Kim Ik y colaboradores tras el diagnóstico de un caso de HCL en cráneo, asociado a un carcinoma papilar de tiroides y Enfermedad de Castleman, realizan una revisión en la literatura, encontrando 19 casos de HCL en tiroides y carcinoma papilar, 2 de ellos en niños, la edad media de los adultos fue de 36 años, 11 eran hombres, 4 casos se presentaron en forma metacrónica y 5 con lesiones en ganglios, sólo 8 caso tenía extensión a otros órganos13. Se han descrito también otras patologías concomitantes de la tiroides como la enfermedad de Graves e hipotiroidismo central o primario, pero en general son eutiroides como este paciente14.
Para la presentación de este caso, se buscó publicaciones en Pub Med de casos relacionados a HCL y tiroides, del 2013 a 2020, en inglés y español y se encontraron 25 casos de los cuales 3 eran niños, la edad promedio en adultos fue 40 años, la relación hombre/mujer fue de 1.5/1, la presentación clínica más frecuente fue de un bocio nodular o multinodular (20 casos), a diferencia de lo que publicó Patten12. Nueve casos se presentaron como una tiroiditis dolorosa, 4 con hipotiroidismo y 2 con hipertiroidismo. Sólo se encontraron 2 casos más publicados con CPT. Trece tenían afectación de otros órganos y en 8 pacientes fueron diagnosticados de una Diabetes Insípida (Cuadro 1).
El presente caso se trata de un varón, cuyos síntomas compresivos lo llevan a la consulta, en donde se constata luego de una Ecografía un bocio multinodular, pero con una punción un poco confusa ya que finalmente informa como un Bethesda III, sin descartar la posibilidad de un carcinoma papilar. En muchos casos el diagnóstico diferencial de la HCL que afecta a la tiroides no resulta evidente porque los signos y síntomas son variables e inespecíficos. y se realiza luego del estudio de la pieza quirúrgica, como en esta ocasión15, En particular, los nódulos tiroideos o el bocio difuso pueden diagnosticarse erróneamente como las siguientes enfermedades: tumores benignos, carcinoma indiferenciado, linfoma, tiroiditis linfoide, tiroiditis granulomatosa crónica, la aspiración con aguja fina es esencial para la HCL16.
En el caso actual, la PAAF se describe característicamente como un extendido hipercelular, con numerosas células gigantes multinucleadas. Es necesaria una alta sospecha para guiar al diagnóstico final; en algunos pacientes aun luego de una tiroidectomía y una biopsia formal, se confunden los diagnósticos con una tiroiditis subaguda y al presentarse otros síntomas de afectación extratiroidea (diabetes insípida, lesiones líticas oseas), se realiza el diagnostico restrospectivamente tras revisión de placas e inmunohistoquimica9.
El paciente fue sometido a una tiroidectomía total confirmándose el diagnóstico de HCL con afectación de los ganglios peritiroideos, a través de la Anatomía Patológica y la Inmunohistoquímica en donde se observan las células características LCA+, S100+, CD1a+ CD68+/-. (fig 1, 2 y 3).
Cabe destacar que también están indicados los estudios genéticos ya que la presencia de mutaciones BRAF-V600E implica un riesgo de enfermedad multisistémica y de recaída4, pero no se pudo realizar en el paciente por razones de disponibilidad.
Si bien no existen ensayos prospectivos en cuanto a un tratamiento estándar, es fundamental conocer el grado de afectación de órganos para decidir el manejo; teniendo en cuenta la siguiente clasificación: HCL de sistema único (SS-HCL) con afectación multifocal o unifocal, o como HCL multisistémica (MS-HCL) con afectación de múltiples órganos con o sin afectación de órganos de riesgo1,17. La enfermedad extendida al sistema hematopoyético es extremadamente rara en adultos y si el bazo, hígado o Sistema Nervioso Central están implicados, esto lleva a un pronóstico desfavorable si no hay respuesta al tratamiento. La fiebre, los sudores nocturnos y la pérdida de peso podrían predecir el curso agresivo de HCL raramente observado en adultos comparable al del linfoma no Hodgkin de alto grado17. Para los casos de afectación sistémica se opta por quimioterapia y corticoides, incluyendo las terapias dirigidas como el Imatinib o Vemurafenib, estos últimos muestran efectividad en casos con mutación BRAF-V600E18-20.
Para los casos locales o de un sólo órgano la conducta es aún más discutida, pero se tienen datos de que la enfermedad aislada en el adulto tiene un buen pronóstico21,22. Se describen casos sobre todo en tiroides, con buena respuesta y sin evolución a otros tejidos luego de cirugía sola, principalmente en aquellos de hallazgo incidental23. El compromiso aislado de los ganglios linfáticos es raro y se han descrito regresiones espontáneas, por lo que el vaciamiento ganglionar extenso no está indicado24.

En la revisión de Patten la mayoría de los niños se sometieron a una combinación de cirugía y quimioterapia para el tratamiento de la HCL tiroidea (52,6%), mientras que la mayoría de los adultos se sometieron a cirugía sola (57,5%), seguida de cirugía y quimioterapia o radioterapia (21,3%)12.
Tras el diagnóstico postoperatorio, el paciente fue evaluado por Hematología, quienes no encontraron datos clínicos ni imagenológicos de una enfermedad sistémica, por lo que se decide espectar el tratamiento quimioterápico, tampoco se encontraron deficiencias hormonales ni diabetes insípida en la evaluación endocrinológica. Por otro lado, el seguimiento periódico es fundamental para descartar recurrencia en otros órganos y sistemas, inclusive la aparición de cáncer en otros tejidos25.
En conclusión, la HCL es una neoplasia rara y el compromiso único de tiroides es aún más, con prevalencia en mujeres adultas, presentándose como agrandamiento difuso más que nodular y sin síntomas, a diferencia de este caso. Existen reportes relacionados con cáncer papilar de tiroides, enfermedad de Graves e hipotiroidismo central o primario, pero en general son eutiroides como este paciente. También se reporta como primera manifestación de enfermedad sistémica, por lo que es importante el seguimiento. La PAAF raramente es concluyente, el diagnóstico definitivo es histológico.
REFERENCIAS BIBLIOGRÁFICAS
Kobayashi M, Arinobu T. Langerhans cell histiocytosis in adults: Advances in pathophysiology and treatment. Cancer science. 2018;109:12: 3707-13. Doi: http://doi.org/10.1111/cas.13817
Berres ML, Lim KP, Peters T, et al. BRAF-V600E expression in precursor versus differentiated dendritic cells defines clinically distinct LCH risk groups. J Exp Med. 2014;211(4):669-83. Doi: http://dx.doi.org/10.1084/jem.20130977.
Badalian-Very G, Vergilio A, Degar B, et al. Recent advances in the understanding of Langerhans cellhistiocytosis. Gayane British Journal of Haematology 2011, 156, 163-172. Doi: http://doi.org/10.1111/j.1365-2141.2011.08915
Allen CE, Merad M, McClain KL. Langerhans-Cell Histiocytosis. N Engl J Med. 2018 Aug 30;379(9):856-68. Doi: http://dx.doi.org/10.1056/NEJMra1607548 .
Al Hamad M, Albisher HM, Al Saeed WR, Almumtin AT, Allabbad FM, A Shawarby M. BRAF gene mutations in synchronous papillary thyroid carcinoma and Langerhans cell histiocytosis co-existing in the thyroid gland: a case report and literature review. BMC Cancer. 2019 Feb 22;19(1):170. Doi: http://dx.doi.org/10.1186/s12885-019-5372-3 .
Guyot-Goubin A, Donadieu J, Barkaoui M, Bellec S, Thomas C, Clavel J. Descriptive epidemiology of childhood Langerhans cell histiocytosis in France, 2000-2004. Pediatr Blood Cancer 2008;51(1):71-5. Doi: http://dx.doi.org/10.1002/pbc.21498
Aricò M, Girschikofsky M, Généreau T, et al. Langerhans cell histiocytosis in adults: report from the International Registry of the Histiocyte Society. Eur J Cancer 2003;39(16):2341. Doi: http://dx.doi.org/10.1016/s0959-8049(03)00672-5
Venkatramani R, Rosenberg S, Indramohan G, Jeng M, Jubran R. An exploratory epidemiological study of Langerhans cell histiocytosis. Pediatr Blood Cancer 2012;59(7):1324-6. Doi: http://dx.doi.org/10.1002/pbc.24136
Ben Nacef I, Mekni S, Mhedhebi C, Riahi I, Rojbi I, Nadia M, Khiari K. Langerhans Cell Histiocytosis of the Thyroid Leading to the Diagnosis of a Disseminated Form. Case Rep Endocrinol. 2020 Mar 17;2020:6284764. Doi: http://dx.doi.org/10.1155/2020/6284764 .
Wang FF, Liu YS, Zhu WB, Liu YD, Chen Y. Pulmonary Langerhans cell histiocytosis in adults: A case report. World J Clin Cases. 2019;7(14):1892-1898. Doi: http://dx.doi.org/10.12998/wjcc.v7.i14.1892
Emile JF, Charlotte F, Chassagne-Clement C, Copin MC, Fraitag S, Mokhtari K, Moreau A. Classification histologique et altérations moléculaires des histiocytoses. Presse Med. 2017 Jan;46(1):46-54. Doi: https://doi.org/10.1016/j.lpm.2016.01.016
Patten DK, Wani Z, Tolley N. Solitary langerhans histiocytosis of the thyroid gland: a case report and literature review. Head Neck Pathol. 2012 Jun;6(2):279-89. Doi: http://dx.doi.org/10.1007/s12105-011-0321-8
Kim IK, Lee KY. Adult Langerhans cell histiocytosis of skull in a patient with synchronous papillary thyroid carcinoma and Castleman disease. BMJ Case Reports CP 2021;14(1):e239341. Doi: http://dx.doi.org/10.1136/bcr-2020-239341
Chrisoulidou A, Xirou P, Boudina M, Margaritidou E, Patakiouta F. Images in Endocrine Pathology: Isolated Langerhans Cell Histiocytosis of the Thyroid in a Patient with Autoimmune Thyroiditis and Hyperthyroidism. Endocr Pathol. 2015;26(3):276-278. Doi: http://dx.doi.org/10.1007/s12022-015-9369-4
Saqi A, Kuker AP, Ebner SA, et al. Langerhans Cell Histiocytosis: Diagnosis on Thyroid Aspirate and Review of the Literature. Head Neck Pathol. 2015;9(4):496-502. Doi: http://dx.doi.org/10.1007/s12105-015-0608-2.
Pandyaraj RA, Sathik Mohamed Masoodu K, Maniselvi S, Savitha S, Divya Devi H. Langerhans cell histiocytosis of thyroid-a diagnostic dilemma. Indian J Surg. 2015;77(Suppl 1):49-51. Doi: http://dx.doi.org/10.1007/s12262-014-1118
Girschikofsky M, Arico M, Castillo D, et al. Management of adult patients with Langerhans cell histiocytosis: recommendations from an expert panel on behalf of Euro-Histio-Net. Orphanet J Rare Dis. 2013;8:72. 2013 May 14. Doi: http://dx.doi.org/10.1186/1750-1172-8-72
Montella L, Insabato L, Palmieri G. Imatinib mesylate for cerebral Langerhans cell histiocytosis. N Engl J Med. 2004;351:1034-1035. Doi: http://dx.doi.org/10.1056/NEJM200409023511022
Wagner C, Mohme H, Krömer-Olbrisch T, et al. Arch Dermatol. 2009;145(8):949. Doi: http://dx.doi.org/10.1001/archdermatol.2009.164
Haroche J, Cohen-Aubart F, Emile JF, et al. Dramatic efficacy of vemurafenib in both multisystemic and refractory Erdheim-Chester disease and Langerhans cell histiocytosis harboring the BRAF V600E mutation. Blood. 2013;121(9):1495-1500. Doi: http://dx.doi.org/10.1182/blood-2012-07-446286
Foulet-Rogé A, Josselin N, Guyetant S, et al. Incidental langerhans cell histiocytosis of thyroid: case report and review of the literature. Endocr Pathol. 2002;13(3):227-33. http://dx.doi.org/10.1385/EP:13:3:227 .
Thompson LD, Wenig BM, Adair CF, Smith BC, Heffess CS. Langerhans cell histiocytosis of the thyroid: a series of seven cases and a review of the literature. Mod Pathol. 1996;9(2):145-149. Disponible en: https://pubmed.ncbi.nlm.nih.gov/8657721/
Dursun A, Pala EE, Ugurlu L, Aydin C. Primary Langerhans Cell Histiocytosis in Thyroid. Acta Endocrinol (Buchar). 2020;16(4):501-504. Doi: http://dx.doi.org/10.4183/aeb.2020.501
Lo WC, Chen CC, Tsai CC, Cheng PW. Isolated adult Langerhans' cell histiocytosis in cervical lymph nodes: should it be treated?. J Laryngol Otol. 2009;123(9):1055-1057. Doi: http://dx.doi.org/10.1017/S0022215108004155 .
Maraqa B, Al-Ashhab M, Kamal N, El Khaldi M, Sughayer M. Concomitant Langerhans cell histiocytosis of cervical lymph nodes in adult patients with papillary thyroid carcinoma: A report of two cases and review of the literature. Autops Case Rep. 2021;11:e2021253. 2021 Mar 12. Doi: http://dx.doi.org/10.4322/acr.2021.253
Ozisik H, Yurekli BS, Demir D, Ertan Y, Simsir IY, Ozdemir M, Erdogan M, Cetinkalp S, Ozgen G, Saygili F. Langerhans cell histiocytosis of the thyroid together with papillary thyroid carcinoma. Hormones (Athens). 2020 Jun;19(2):253-259. Doi: http://dx.doi.org/10.1007/s42000-020-00181-2 .
He Y, Xie J, Zhang H, Wang J, Su X, Liu D. Delayed Diagnosis of Langerhans Cell Histiocytosis Presenting With Thyroid Involvement and Respiratory Failure: A Pediatric Case Report. J Pediatr Hematol Oncol. 2020 Nov;42(8):e810-e812. Doi: http://dx.doi.org/10.1097/MPH.0000000000001625 .
Xie J, Li Z, Tang Y. Successful management of multiple-systemic Langerhans cell histiocytosis involving endocrine organs in an adult: A case report and review of literature. Medicine (Baltimore). 2018 Jun;97(26):e11215. Doi: http://dx.doi.org/10.1097/MD.0000000000011215 .
Kuhn E, Ragazzi M, Zini M, Giordano D, Nicoli D, Piana S. Critical Pitfalls in the use of BRAF Mutation as a Diagnostic Tool in Thyroid Nodules: a Case Report. Endocr Pathol. 2016 Sep;27(3):220-3. Doi: http://dx.doi.org/10.1007/s12022-016-9414-y .
Skowronska-Jozwiak E, Sporny S, Szymanska-Duda J, Baranska D, Lewinski A. Hypopituitarism and goitre as endocrine manifestation of Langerhans cell histiocytosis (LCH). Case Report. Neuro Endocrinol Lett. 2016 Jul;37(3):174-178. Disponible en: https://pubmed.ncbi.nlm.nih.gov/27618599/
Attakkil A, Thorawade V, Jagade M, Kar R, Parelkar K. Isolated Langerhans Histiocytosis in Thyroid: Thyroidectomy or Chemotherapy? J Clin Diagn Res. 2015 Sep;9(9):XD01-XD03. doi: http://dx.doi.org/10.7860/JCDR/2015/12313.6466 .
Sangtian J, Riangwiwat T, Triamchaisri S, Kanoksil W, Sriphrapradang C. Fine-needle aspiration biopsy of langerhans cell histiocytosis of thyroid gland. J Clin Endocrinol Metab. 2015 Jan;100(1):15-6. Doi: http://dx.doi.org/10.1210/jc.2014-2859 .
Roy M, Jain D, Bakhshi S, Mathur S, Iyer VK. Primary Langerhans cell histiocytosis of the thyroid gland: role of langerin in FNA cytological diagnosis. Cytopathology. 2015 Apr;26(2):128-30. Doi: http://dx.doi.org/10.1111/cyt.12142 .
Long Q, Shaoyan W, Hui W. 18F-fluorodeoxyglucose positron emission tomography/computed tomography for primary thyroid langerhans histiocytosis: A case report and literature review. Indian J Nucl Med. 2015 Oct-Dec;30(4):328-30. Doi: http://dx.doi.org/10.4103/0972-3919.159688 .
Oza N, Sanghvi K, Menon S, Pant V, Patil M, Kane S. Cytological Diagnostic Approach in 3 Cases of Langerhans Cell Histiocytosis Presenting Primarily as a Thyroid Mass. Acta Cytol. 2015;59(5):418-24. Doi: http://dx.doi.org/10.1159/000440969 .
Cai YF, Wang QX, Ni CJ, Dong SY, Lv L, Li Q, Chen ED, Zhang XH. A Case Report: The Diagnosis and Therapeutic Evaluation for a Rare Disease of Langerhans Cell Histiocytosis Involving Thyroid. Medicine (Baltimore). 2015 Nov; 94(44):e1891. Doi: http://dx.doi.org/10.1097/MD.0000000000001891 .
Diego E, Biagetti B, Iglesias C, González O, Mesa J. Histiocitosis de células de Langerhans asociada a carcinoma papilar de tiroides. Rev Clin Esp (Barc). 2014 Mar;214(2):e19-21. Spanish. Doi: http://dx.doi.org/10.1016/j.rce.2013.11.005 .
Marupudi KC, Karanth SS, Thomas J. Langerhans cell histiocytosis presenting as hypothyroid goitre: a unique presentation. BMJ Case Rep. 2014 Dec 2;2014:bcr2014206760. doi: http://dx.doi.org/10.1136/bcr-2014-206760 .
Chen WZ, Lv YX, Xu DB, Chen WZ, Yu JC. [Langerhans cell histiocytosis of the thyroid: a case report]. Journal of Clinical Otorhinolaryngology Head and Neck Surgery. 2017 Mar 5;31(5):397-399. Doi: http://dx.doi.org/10.13201/j.issn.1001-1781.2017.05.018 .
Znati K, Sekal M, Chbani L, Elfatemi H, Harmouch T, Amarti A. Cause très rare de goitre diffus [Very rare cause of diffuse goiter]. Ann Pathol. 2013 Oct;33(5):352-4. Doi: http://dx.doi.org/10.1016/j.annpat.2013.08.002 .
Pusztaszeri MP, Sauder KJ, Cibas ES, Faquin WC. Fine-needle aspiration of primary Langerhans cell histiocytosis of the thyroid gland, a potential mimic of papillary thyroid carcinoma. Acta Cytol. 2013;57(4):406-12. Doi: http://dx.doi.org/.1159/000348801 .
Notas
Notas de autor
Autor correspondiente: Helen López. email: helenlopez.ov@gmail.com