REPORTE DE CASO
Abordaje respiratorio no invasivo en un niño con diagnóstico de atrofia muscular espinal tipo II y atelectasia masiva: reporte de un caso
Non-invasive respiratory approach in a child diagnosed with spinal muscular atrophy type II and massive atelectasis: a case report
Abordaje respiratorio no invasivo en un niño con diagnóstico de atrofia muscular espinal tipo II y atelectasia masiva: reporte de un caso
Argentinian journal of respiratory and physical therapy, vol. 6, no. 1, pp. 31-37, 2024
Asociación Científica de Difusión y Promoción de la Kinesiología
Received: 28 October 2023
Accepted: 17 January 2024
RESUMEN
Introducción: Existe evidencia sobre los beneficios del tratamiento no invasivo en la insuficiencia respiratoria aguda (IRA) asociada a la atrofia muscular espinal (AME). Sin embargo, hasta la fecha, no hemos encontrado reportes de casos en nuestro país que describan el manejo no invasivo en la IRA causada por atelectasias masivas en pacientes con AME. El objetivo de este estudio fue describir el abordaje respiratorio no invasivo en un niño con AME tipo II que ingresó con IRA y atelectasia masiva, a un hospital público pediátrico.
Presentación del caso: Un niño de 10 años con diagnóstico de AME II ingresó con dificultad respiratoria en el contexto de una atelectasia masiva izquierda. Se implementaron medidas no invasivas, que incluyeron el posicionamiento adecuado, la intensificación de la terapia de higiene bronquial, el aumento del tiempo de ventilación no invasiva y la optimización del equipo de soporte ventilatorio y de la interfaz. Luego de cinco días de tratamiento, se observó una resolución significativa de la atelectasia. Al octavo día, se le otorgó el egreso hospitalario.
Conclusión: Se describió el abordaje respiratorio no invasivo en un niño con AME tipo II, el cual resultó favorable para la IRA y la resolución de una atelectasia masiva. Los cuidados respiratorios no invasivos son fundamentales para mejorar la sobrevida y calidad de vida de estos pacientes.
PALABRAS CLAVES: Pediatría+ Atrofia muscular espinal+ Atelectasia pulmonar+ Insuficiencia respiratoria+ Terapia respiratoria+ Ventilación no invasiva.
ABSTRACT
Introduction: There is evidence supporting the benefits of non-invasive treatment for acute respiratory failure (ARF) associated with spinal muscular atrophy (SMA). However, to date, no case reports describing the non-invasive management of ARF due to massive atelectasis in patients with SMA are available in our country. The aim of this study was to describe the non-invasive respiratory approach in a child with SMA type II who was admitted with ARF and massive atelectasis to a public pediatric hospital.
Case presentation: A 10-year-old child diagnosed with SMA type II was admitted with respiratory failure due to massive atelectasis of the left lung. Non-invasive measures, including proper positioning, enhanced use of airway clearance techniques, prolonged non-invasive ventilation, and optimization of ventilatory support equipment and interface, were implemented. After five days of treatment, a significant improvement in atelectasis was observed. On the eighth day, the patient was discharged.
Conclusion: We described the non-invasive respiratory approach in a child with SMA type II, which proved to be beneficial in addressing ARF and massive atelectasis. Non-invasive respiratory care is essential for improving both the survival and quality of life of these patients.
KEY WORDS: Pediatrics, Spinal muscular atrophy, Pulmonary atelectasis, Respiratory failure, Respiratory therapy, noninvasive ventilation.
Introducción
Los niños con atrofia muscular espinal (AME) presentan debilidad muscular progresiva con afectación respiratoria.1 El compromiso de los músculos inspiratorios, espiratorios y bulbares conducen a trastornos deglutorios y a una tos inefectiva para eliminar secreciones. La hipoventilación alveolar, las atelectasias, el mal manejo de secreciones y las infecciones respiratorias recurrentes como consecuencia de una tos ineficaz y una disfunción bulbar severa, son las principales causas de insuficiencia respiratoria aguda (IRA). (2,3
La IRA es la causa más común de morbimortalidad en la AME.3) La probabilidad de desarrollar IRA depende de la gravedad de la debilidad: siendo inevitable en AME I, altamente frecuente en AME II e infrecuente en AME III. Dentro del enfoque de la IRA, se incluye como primera línea de tratamiento no invasivo el uso de ventilación no invasiva (VNI), el posicionamiento en decúbito dorsal plano (DDP) y la intensificación de la terapia de higiene bronquial (THB). Estas estrategias tienen como propósito optimizar la ventilación alveolar y el intercambio gaseoso.1
Existe evidencia sobre los beneficios del tratamiento no invasivo en la IRA en esta población;1 sin embargo, hasta la fecha, no hemos encontrado reportes de casos en nuestro país que describan el manejo no invasivo en la IRA causada por atelectasias masivas en pacientes con AME. El abordaje respiratorio es el aspecto más crítico para prolongar la supervivencia y promover la calidad de vida, sin recurrir a procedimientos invasivos. Por lo tanto, constituye un desafío comprender las evaluaciones necesarias y las opciones disponibles para un tratamiento apropiado.
Por tal motivo, el objetivo de este estudio fue describir el abordaje respiratorio no invasivo en un niño con AME tipo II que ingresó con IRA y atelectasia masiva a un hospital público pediátrico de Buenos Aires.
Presentación del caso
Niño de 10 años diagnosticado con AME tipo II y con antecedentes de múltiples internaciones debido a cuadros respiratorios. Durante su última internación, requirió cinco días de ventilación mecánica invasiva (VMI). Desde enero de 2019 hasta el momento del estudio, el niño utilizaba VNI domiciliaria nocturna debido a síntomas de hipoventilación. Usaba un equipo BIPAP ST de Respironics® con monorama a fuga, humidificación activa e interfaz nasal, con los siguientes parámetros: presión inspiratoria pico (PIP) de 14 cmH2O, presión positiva al fin de la espiración (PEEP, por sus siglas en inglés) de 4 cmH2O, frecuencia respiratoria (FR) de 12 respiraciones por minuto, tiempo inspiratorio (TI) de 1,2 segundos y fracción inspirada de oxígeno (FIO2) de 0,21. En su última evaluación funcional respiratoria en 2019, se observó una incapacidad ventilatoria restrictiva severa: la capacidad vital funcional fue del 30 %, el volumen espiratorio forzado en un segundo fue del 34 % y el pico flujo tosido (PFT) fue de 70 L/min.
En junio de 2021, el niño ingresó al hospital en regular estado general, con dificultad respiratoria acompañada de hipoxemia, taquicardia y aumento de secreciones. Se constató tiraje generalizado y abolición de la entrada de aire en el campo pulmonar izquierdo. Como primera medida, se posicionó al paciente en DDP para favorecer la biomecánica muscular y no generar una mayor sobrecarga en el sistema respiratorio. Se lo conectó a su respirador e interfaz nasal, y se ascendieron las presiones a 20 cmH2O de PIP, 8 cmH2O de PEEP, con 1 segundo de TI, 18 de FR y 0,21 de FiO2. Se realizó asistencia mecánica de la tos (AMT) con el dispositivo Cough Assist® (CA E70, Philips Respironics®), lo que facilitó la movilización de abundantes secreciones. Se decidió el ingreso a la unidad de cuidados intensivos pediátricos para monitoreo y control.
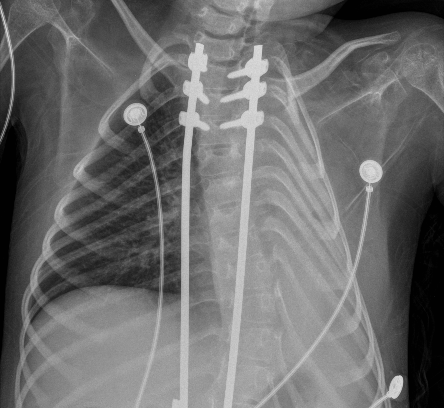
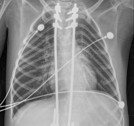
El primer día de internación, se solicitó una radiografía, que evidenció una atelectasia masiva del pulmón izquierdo (Figura 1). En este contexto, se optimizó la THB e interfaz de VNI. Para optimizar la presurización del sistema respiratorio, se cambió la interfaz nasal por una oronasal. El paciente permaneció con su equipo de VNI durante las 24 horas y solo se desconectó para realizar THB. Se monitorearon los signos vitales con el objetivo de mantener una saturación ≥94 % con la menor FiO2 posible. Como parte del plan de THB, se programó ventilación percusiva intrapulmonar (VPI) y CA dos veces al día durante cinco días consecutivos. Se utilizó un equipo de VPI The Impulsator® de Percussionaire con circuitos Phasitron®. Se emplearon 10 minutos en modo easy para favorecer la movilización de secreciones más distales y 10 minutos en modo hard para garantizar el reclutamiento alveolar. Se utilizó una relación I/E de 1:1 o 3:1, según tolerancia, con un rango de presión de la vía aérea entre 10-30 cmH2O y una presión de trabajo de 2-4 bares. Se continuó con CA, con una presión de insuflación de +30 cmH2O y una presión de exuflación de -40 cmH2O, junto con asistencia manual de la tos, con el objetivo de movilizar secreciones de vías aéreas proximales. En el segundo día, ante la ausencia de mejoría, se optimizó el equipo de soporte ventilatorio cambiando la VNI domiciliaria por un equipo de soporte vital. Se colocó un Trilogy 202 (Respironics®) en modalidad binivel, con monorama a fuga, en modo asistido controlado por presión, con humidificación activa y una interfaz facial total. En el tercer día, no se implementaron cambios en la programación de la VNI, y se continuó con la misma THB. En el cuarto día, se interconsultó al servicio de endoscopía respiratoria, quienes otorgaron un turno a la brevedad para realizar una fibrobroncoscopía con intubación e instilación de alfa dornasa, junto con VPI en línea con ventilación mecánica, como método invasivo de resolución de atelectasias. En el quinto día, se realizó una nueva radiografía, que mostró una reducción significativa del área atelectásica (Figura 2), lo cual se objetivó con mejoría clínica. Esto permitió descender las presiones, y se volvió a su programación habitual. Asimismo, se finalizó el uso de la VPI y se continuó únicamente con CA y asistencia manual de la tos. Después de 24 horas, el paciente estaba llevando a cabo dos períodos de 3 horas de desconexión de la VNI a aire ambiente. A las 48 horas, se logró la desvinculación de la VNI diurna, con reconexión nocturna a su equipo domiciliario e interfaz nasal. En el séptimo día, se confirmó la resolución de la atelectasia en la radiografía (Figura 3), quedando suspendida la intervención de endoscopía respiratoria. En el octavo día, se le otorgó egreso hospitalario. En la Figura 4, se resume la evolución del paciente.




Todos los datos fueron tratados con máxima confidencialidad, según la Ley Nacional 25326 de Protección de Datos Personales. Dado el carácter retrospectivo y por considerarse un estudio de bajo impacto no se requirió el consentimiento informado. El estudio fue aprobado por el Comité de Ética e Investigación del Hospital Garrahan.
Discusión
En este estudio, se describió el abordaje respiratorio no invasivo en un niño con AME tipo II que ingresó con IRA cursando una atelectasia masiva. Nuestro abordaje no invasivo se basó en diversas estrategias de tratamiento, que incluyeron el posicionamiento en DDP, la prolongación de la VNI y la intensificación de la THB.1 Asimismo, se optimizó la VNI mediante el uso de un equipo de soporte vital y una interfaz adecuada, y se inició antibioticoterapia precoz. Si bien el niño ingresó hipoxémico, no se eligió el aporte de oxígeno como primera medida y, al igual que la literatura1, se optó por implementar las medidas no invasivas mencionadas.
El niño permaneció internado ocho días, y se observó una mejoría significativa en la atelectasia al quinto día. En comparación, Crescimanno et al. informaron sobre un paciente con distrofia muscular y atelectasia en el lóbulo inferior derecho, quien requirió una internación de dieciséis días.4 Esta diferencia podría deberse a que nuestro tratamiento no invasivo fue favorable, no siendo así en el estudio mencionado4, en el cual debieron recurrir a fibrobroncoscopía con instilación de alfa dornasa en dos ocasiones. Cabe destacar que, a diferencia de nuestro tratamiento, utilizaron un dispositivo de oscilación de alta frecuencia sobre la pared torácica (HFCWO, por sus siglas en inglés) como THB. Diversos estudios compararon la eficacia entre el dispositivo de HFCWO y el equipo de VPI y concluyeron que la VPI fue más efectiva para la limpieza de las vías respiratorias, con mejoras en los valores de las pruebas de función pulmonar.5,6 Las publicaciones sobre VPI son limitadas en pediatría, y más aún en enfermedades neuromusculares (ENM); sin embargo, los resultados son alentadores, ya que destacan una alternativa segura y efectiva para resolver atelectasias7,8,9,10, al igual que lo observado en nuestro paciente. Deakins et al. realizaron un ensayo clínico aleatorizado para comparar el uso de la VPI con la fisioterapia convencional en la resolución de atelectasias. Implementaron un índice de atelectasias que destacó una amplia mejora en el grupo VPI frente al grupo control, con una mediana de 2,1 días frente a 6,2, respectivamente.9) Asimismo, Birnkrant et al. describieron el uso de la VPI en tres pacientes neuromusculares con atelectasias que no respondían a la fisioterapia convencional y encontraron mejoría clínica y radiológica a las 48 horas de iniciar la VPI.11) Sin embargo, en concordancia con Yen Ha et al.8, nuestro paciente resolvió la atelectasia al quinto día de VPI. Esta diferencia puede deberse al hecho de que, al igual que Yen Ha et al.8, se implementó la VPI de forma no invasiva a través de una máscara facial, en comparación con Deakins et al.9, que utilizaron VPI con VMI. El tiempo empleado en la VPI fue de veinte minutos por sesión, al igual que lo reportado en diversos trabajos.7,9 Otros estudios informan tiempos de diez minutos.9,10 Encontramos también diferencias en la frecuencia de uso del dispositivo: Dreakins et al. repitieron el tratamiento cada cuatro horas, pero en la mayoría de las publicaciones, al igual que en nuestro estudio, se realizó dos veces al día.8,9,10)
El PFT del niño era menor al 50 % del predicho, por lo que, según Chatwin et al., reunía criterios suficientes para el uso de AMT.12 Si bien la familia estaba entrenada en THB convencionales con bolsa de reanimación autoinflable, se ha demostrado una mayor eficacia con la AMT, ya que en ciertos casos, las THB convencionales pueden ser insuficientes para controlar eventos respiratorios agudos.13 No obstante, los costos de estas tecnologías son elevados y de difícil acceso para las familias. El CA fue programado con una presión de insuflación de +30 cmH2O y una presión de exuflación de -40 cmH2O. Hasta la actualidad, no hay evidencia clara ni consenso disponible respecto a los ajustes de presiones óptimas para niños con ENM. Algunos estudios informaron aumentos en el PFT con presiones bajas14,15, mientras que otros informaron mayor eficacia con presiones altas16. Anteriormente, existía una tendencia a utilizar presiones positivas y negativas iguales, valores que se asociaban a mayores efectos fisiológicos y confort respiratorio.17 Publicaciones recientes recomiendan el uso de presiones asimétricas, con una presión negativa mayor que la positiva, para aumentar el PFT18, al igual que lo reportado en nuestro caso. Hov et al. simularon las características pulmonares de un niño con ENM y determinaron que una presión inspiratoria y espiratoria establecida entre +20 a +30 y −40 cmH2O, respectivamente, y un TI superior a un segundo podrían considerarse para niños con ENM.18 Sin embargo, no tenemos registros del TI empleado en cada sesión, ya que mayormente la terapia se realizó en modo manual, y esta variable podría diferir en los distintos ciclos y según el operador.
Las interfaces nasales suelen ser de elección en la ventilación domiciliaria.19 Sin embargo, frente al evento agudo, y ante la posibilidad de aumento de parámetros ventilatorios y horas de uso, suelen resultar incómodas y poco eficaces.20 En nuestro caso, la implementación de una interfaz nasal no fue factible debido a la necesidad de altas presiones, la presencia de fugas y las caídas en la saturación. La interfaz que brindó mejor resultado fue la facial total.
Este estudio presenta ciertas limitaciones. No se utilizó un índice de atelectasias que afirmara objetivamente la resolución de ellas. Si bien consideramos importante su implementación, no contamos con dicho índice en nuestra institución. Por lo tanto, decidimos utilizar técnicas radiológicas habituales y la evaluación clínica del niño. Además, el paciente recibió un conjunto de intervenciones, lo cual impide atribuir la resolución de la atelectasia a una única terapia.
Nuestro abordaje no invasivo, precoz, intensivo y adaptado a las necesidades del niño resultó beneficioso para resolver una atelectasia masiva, evitando la claudicación respiratoria e intubación orotraqueal con sus complicaciones asociadas. Sin embargo, debido a las características propias del diseño, el estudio no permite la generalización de resultados. Es necesario realizar futuros estudios con muestras más representativas para determinar la efectividad del abordaje no invasivo.
Conclusión
En este estudio, se describió el abordaje respiratorio no invasivo aplicado a un niño con AME tipo II, el cual resultó ser favorable en el manejo de la IRA y en la resolución de una atelectasia masiva. Los cuidados respiratorios, específicamente los no invasivos, son fundamentales para mejorar la sobrevida y la calidad de vida, ofreciendo resultados beneficiosos. Considero importante generar estrategias de intervención que permitan brindar una atención oportuna y adecuada, según la etapa y el contexto clínico.
AGRADECIMIENTOS
Al servicio de Kinesiología y a la UCI 44 del Hospital de Pediatría Prof. Dr. Juan P. Garrahan.
REFERENCIAS BIBLIOGRÁFICAS
Monges S, De Castro Perez F, Mozzoni J, Aguerre V, Palumbo C, Gravina P, et al. GAP 2019 - Manejo de la atrofia Muscular Espinal. Guías de atención pediátrica [Internet]. 2019 [citado 17 de octubre de 2023]. Disponible en: Disponible en: http://www.garrahan.gov.ar/images/intranet/guias_atencion/GAP_2019_-_MANEJO_AME_-_VERSION_FINAL.pdf.
Aguerre V;Pulmonary Committee; Kinesiology Working Group; Disability Working Group; Gastroenterology Committee; Nutritional Committee. Consenso de cuidados respiratorios en enfermedades neuromusculares en niños: Resumen ejecutivo. Arch. argent. pediatr. [Internet]. Octubre 2014 [citado 17 de octubre de 2023];112(5):476-477. Disponible en: Disponible en: http://www.scielo.org.ar/scielo.php?script=sci_arttext&pid=S0325-00752014000500023&lng=es. doi: 10.5546/aap.2014.476.
Chatwin M, Toussaint M, Gonçalves MR, Sheers N, Mellies U, Gonzales-Bermejo J, et al. Airway clearance techniques in neuromuscular disorders: A state of the art review. Respir Med. 2018;136:98-110. doi: 10.1016/j.rmed.2018.01.012.
Crescimanno G, Marrone O. Successful treatment of atelectasis with Dornase alpha in a patient with congenital muscular dystrophy. Rev Port Pneumol. 2014;20(1):42-5. doi: 10.1016/j.rppneu.2012.12.002.
Nicolini A, Grecchi B, Ferrari-Bravo M, Barlascini C. Safety and effectiveness of the high-frequency chest wall oscillation vs intrapulmonary percussive ventilation in patients with severe COPD. Int J Chron Obstruct Pulmon Dis. 2018;16(13):617-625. doi: 10.2147/COPD.S145440.
Bidiwala A, Volpe L, Halaby C, Fazzari M, Valsamis C, Pirzada M. A comparison of high frequency chest wall oscillation and intrapulmonary percussive ventilation for airway clearance in pediatric patients with tracheostomy. Postgrad Med. 2017;129(2):276-282. doi: 10.1080/00325481.2017.1264854.
Simonassi J, Canzobre MT. Use of Intrapulmonary Percussive Ventilation as Mechanical Bronchial Hygiene Therapy in Critical Pediatric Patients. Rev Am Med Resp [Internet]. Junio 2022 [citado 17 de octubre de 2023];22(2):230-240. Disponible en: Disponible en: http://www.scielo.org.ar/scielo.php?script=sci_arttext&pid=S1852-236X2022000200230&lng=es.
Yen Ha TK, Bui TD, Tran AT, Badin P, Toussaint M, Nguyen AT. Atelectatic children treated with intrapulmonary percussive ventilation via a facemask: clinical trial and literature overview. Pediatr Int. 2007;49(4):502-7. doi: 10.1111/j.1442-200X.2007.02385.x.
Deakins K, Chatburn RL. A comparison of intrapulmonary percussive ventilation and conventional chest physiotherapy for the treatment of atelectasis in the pediatric patient. Respir Care. 2002;47(10):1162-7.
Reardon CC, Christiansen D, Barnett ED, Cabral HJ. Intrapulmonary percussive ventilation vs incentive spirometry for children with neuromuscular disease. Arch Pediatr Adolesc Med. 2005;159(6):526-31. doi: 10.1001/archpedi.159.6.526.
Birnkrant DJ, Pope JF, Lewarski J, Stegmaier J, Besunder JB. Persistent pulmonary consolidation treated with intrapulmonary percussive ventilation: a preliminary report. Pediatr Pulmonol. 1996;21(4):246-9. doi: 10.1002/(SICI)1099-0496(199604)21:4<246::AID-PPUL8>3.0.CO;2-M.
Chatwin M, Simonds A. Long-term mechanical Insufflation-Exsufflation cough assistance in neuromuscular disease: patterns of use and lessons for application. Respir Care. 2020;65(2):135-143. doi: 10.4187/respcare.06882.
Chatwin M, Ross E, Hart N, Nickol AH, Polkey MI, Simonds AK. Cough augmentation with mechanical insufflation/exsufflation in patients with neuromuscular weakness. Eur Respir J. 2003;21(3):502-8. doi: 10.1183/09031936.03.00048102.
Chatwin M, Bush A, Simonds AK. Outcome of goal-directed non-invasive ventilation and mechanical insufflation/exsufflation in spinal muscular atrophy type I. Arch Dis Child. 2011;96(5):426-32. doi: 10.1136/adc.2009.177832 .
Vianello A, Corrado A, Arcaro G, Gallan F, Ori C, Minuzzo M, Bevilacqua M. Mechanical insufflation-exsufflation improves outcomes for neuromuscular disease patients with respiratory tract infections. Am J Phys Med Rehabil. 2005 Feb;84(2):83-8; discussion 89-91. doi: 10.1097/01.phm.0000151941.97266.96.
Chatwin M, Toussaint M, Gonçalves MR, Sheers N, Mellies U, Gonzales-Bermejo J, et al. Airway clearance techniques in neuromuscular disorders: A state of the art review. Respir Med. 2018;136:98-110. doi: 10.1016/j.rmed.2018.01.012
Mozzoni JL, Gómez S. Uso del asistente mecánico de la tos en sujetos neuromusculares pediátricos en el domicilio. AJRPT. 2020;2(2):20-27. doi: 10.58172/ajrpt.v2i2.106.
Hov B, Andersen T, Toussaint M, Fondenes O, Carlsen K, Hovland V. Optimizing expiratory flows during mechanical cough in a pediatric neuromuscular lung model. Pediatr. Pulmonol. 2020;55:433-440. doi: 10.1002/ppul.24606.
Viscusi CD, Pacheco GS. Pediatric emergency non invasive ventilation. Emerg Med Clin North Am. 2018;36:387-400. doi: 10.1016/j.emc.2017.12.007.
Chen TH, Hsu JH. Non invasive Ventilation and Mechanical Insufflator-Exsufflator for Acute Respiratory Failure in Children With Neuromuscular Disorders. Front Pediatr. 2020;8:593282. doi: 10.3389/fped.2020.593282.
Notes
Author notes
Correspondencia: anush_ansourian@hotmail.com
Conflict of interest declaration