Reporte de Caso
Pineoblastoma en el adulto. A propósito de un caso
Pineoblastoma in the adult. About a case
Pineoblastoma en el adulto. A propósito de un caso
Gaceta Médica Espirituana, vol. 25, no. 3, 2409, 2023
Centro Provincial de Información de Ciencias Médicas de la Universidad de Ciencias Médicas Dr. Faustino Pérez Hernández Sancti Spíritus
Received: 15 June 2023
Accepted: 30 September 2023
RESUMEN
Fundamento: Los pineoblastomas son tumores cerebrales infrecuentes dentro del grupo de los tumores primitivos neuroectodérmicos. La presentación clínica por lo general está relacionada con la obstrucción del acueducto de Silvio, lo que ocasiona hidrocefalia e hipertensión intracraneal.
Objetivo: Describir las características clínicas e imagenológicas de un paciente adulto con diagnóstico de pineoblastoma.
Presentación de caso: Masculino, 33 años, que comenzó con disminución de la agudeza visual que evolucionó a la amaurosis bilateral y trastorno de la marcha. Se diagnosticó hidrocefalia obstructiva triventricular, por lo cual se realizó tercer ventriculostomía endoscópica. Se decidió un abordaje supracerebeloso infratentorial a la lesión tumoral, con apoyo endoscópico en posición semisentado; se logró la resección parcial. En estudio inmunohistoquímico se encontró Ki-67 mayor de 50 % de las células, neurofilamento y sinaptofisina positiva. Se concluyó como pineoblastoma. Recibió radioterapia convencional con Co-60, fraccionada, con un total de 30 dosis diarias de 2 Gy. La evolución del paciente a los 6 meses de operado fue satisfactoria.
Conclusiones: El tratamiento combinado de cirugía y radioterapia constituye un esquema terapéutico ideal en este tipo de lesiones tumorales. La endoscopia es una herramienta de gran valor en los abordajes quirúrgicos a la región pineal.
Palabras clave: Pineoblastoma+ tumores neuroectodérmicos primitivos+ región pineal+ endoscopia.
ABSTRACT
Background: Pineoblastomas are infrequent brain tumors among the neuroectodermal primitive tumors. Clinical presentation is usually related to Silvian aqueduct obstruction, which causes hydrocephalus and intracranial hypertension.
Objective: To describe the clinical and imagenological characteristics in an adult patient diagnosed with pineoblastoma.
Case presentation: Male, 33 years old, who started with visual acuity decline that evolved to bilateral amaurosis and gait disorder. Triventricular obstructive hydrocephalus was diagnosed, therefore, an endoscopic third ventriculostomy was realized. It was decided to use an infratentorial supracerebellar approach to the tumor lesion, with endoscopic support in semi-seated position; partial resection was achieved. In immunohistochemical study, Ki-67 was found to be higher than 50% of the cells, neurofilament and synaptophysin positive. It was concluded as pineoblastoma. He received fractionated Co-60 conventional radiotherapy, with a total of 30 daily doses, 2 Gy. The evolution of the patient 6 months after surgery was satisfactory.
Conclusions: The combined treatment of surgery and radiotherapy constitutes an ideal therapeutic scheme in this type of tumor lesions. Endoscopy is a tool of great value in surgical approaches to the pineal region.
Keywords: Pinealoma, neuroectodermal tumors primitive, pineal region, endosonography.
INTRODUCCIÓN
Dentro del grupo de tumores supratentoriales, los procesos tumorales alrededor de la glándula pineal, representan solo el 0.3 %. 1
Los pineoblastomas son tumores cerebrales infrecuentes, dentro del grupo de los tumores primitivos neuroectodérmicos; son infiltrativos y pobremente diferenciados y pueden tener diseminación extracraneal o leptomeníngea. 2
Se presentan con mayor frecuencia en la población pediátrica, en los menores de 2 años se encuentran asociados al retinoblastoma. En los adultos solo representan el 1 % de los tumores del sistema nervioso central. 3,4
La presentación clínica por lo general está relacionada con la obstrucción del acueducto de Silvio, lo que ocasiona hidrocefalia e hipertensión intracraneal; representan el 40 % de los tumores del parénquima pineal y son el subtipo más agresivo debido a la frecuente invasión de estructuras adyacentes y diseminación a través del líquido cerebroespinal, con índices de supervivencia a los 5 años menores al 60 %. 3
Debido a su baja incidencia en la población adulta el tratamiento óptimo y el pronóstico de estas lesiones no se ha determinado. En la búsqueda de información no se encontraron publicaciones en Cuba del manejo de este tipo de lesiones. El objetivo es describir las características clínicas e imagenológicas de un paciente adulto con diagnóstico de pineoblastoma.
PRESENTACIÓN DE CASO
Masculino, 33 años, piel blanca, procedencia urbana, manualidad izquierda, médico de profesión, que comenzó con disminución de la agudeza visual, que evolucionó a la amaurosis bilateral en el transcurso de dos meses, acompañada de trastorno de la marcha, por lo cual acudió a consulta. Se realizó estudio de tomografía computarizada (TC) simple de urgencia que diagnosticó hidrocefalia obstructiva triventricular. Se le realizó tercer ventriculostomía endoscópica, donde no se constata a nivel de la pared ventricular una lesión para tomar muestra de biopsia.
En estudio de tomografía contrastada se observó lesión hipodensa infratentorial no bien definida que colapsaba el IV ventrículo, sin edema perilesional, descenso de las amígdalas cerebelosas en 2 mm, no realce tras la administración del contraste. El III ventrículo con diámetro de 9 mm, índice de Evans: 0.32.
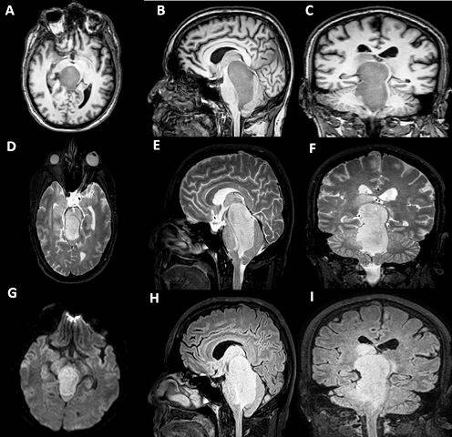
Se realizó estudio por resonancia magnética donde se observó secuencias de 3D en T1, T2, FLAIR, difusión y SWI en la que se observó lesión ocupativa hiperintensa en T2 e hipointensa en T1 que ocupa el acueducto de Silvio, IV ventrículo, y se identifica la glándula pineal a la cual desplaza en sentido dorsal; marcados signos de restricción de la difusión, no calcificaciones y escasos signos de angiogénesis; no hidrocefalia; aracnoidocele selar; signos de edema en región talámica bilateral con predominio derecho, así como signos de degeneración walleriana derecha. (Figura 1)

Luego del proceder derivativo el paciente mejoró la sintomatología inicial, pero después de dos meses comenzó nuevamente con inestabilidad postural, vértigos y disminución de la fuerza muscular en hemicuerpo izquierdo con predominio crural; dos semanas después se suman la disminución de la audición del lado izquierdo y desorientación temporo-espacial.
Al examen neurológico previo a la cirugía presentaba:
Inestabilidad a la marcha con aumento de la base de sustentación
Lateropulsión a la izquierda
Apertura ocular espontánea
Desorientación en tiempo y persona
Pupilas meióticas e isocóricas
Obedecía órdenes simples
Divergencia de la posición primaria de la mirada
No tenía reflejo consensual, fotomotor o de acomodación
Parálisis de la mirada ascendente (signo de Parinaud)
Hemiparesia izquierda a predominio crural
Miembro superior derecho: 5/5, miembro superior izquierdo: 4/5, miembro inferior derecho: 5/5, miembro inferior izquierdo: 3/5
Cofosis izquierda e hipoacusia contralateral
Nistagmo horizontal izquierdo con fase rápida a la izquierda
Al examen neuroftalmológico:
Exotropia e hipotropia 15 grados en el ojo izquierdo
Fondo de ojo: discos ópticos de bordes bien definidos, pálidos hacia el cuadrante temporal
Motilidad ocular: limitación total de los movimientos verticales, de mayor acentuación en dirección superior. Limitación de la abducción del ojo derecho con nistagmo en abducción del ojo contraleral. Reflejo fotomotor disminuido notablemente
Karnofsky score: 40/100 puntos
Marcadores tumorales:
Alfa feto proteína:
En LCR: 0.50 UI/ml
En suero: 0.50 UI/ml
Gonadotropina coriónica humana:
En LCR: 1.31 UI/ml
En suero: 2.01 UI/ml
Se decidió un abordaje supracerebeloso infratentorial a la lesión tumoral, con apoyo endoscópico en posición semisentado. (Figura 2)

Cumplió profilaxis antibiótica con cefazolina 3 g en las primeras 24 h. Se le realizó craniectomía de fosa posterior, para facilitar abordaje supracerebeloso infratentorial, con introducción de lente de endoscopia de 0° inicialmente y luego de 30° (Karl Storss, Alemania); se constató lesión friable y sangrante, la cual se aspiró con facilidad. (Figura 3)

Se logró resección subtotal, se dejó material hemostático en la cavidad y se procedió al cierre dural hermético sin necesidad de duroplastia.
No se utilizó ecografía transoperatoria como monitoreo cardiopulmonar.
En las 96 h siguientes el paciente presentó desregulación térmica con picos febriles de 39-40°C, sin foco infeccioso demostrable, que fue relacionado con disfunción hipotalámica transitoria.
La biopsia con coloración de hematoxilina-eosina reveló células relativamente pequeñas y uniformes con núcleos redondos y ovales de cromatina en “sal y pimienta”, áreas laxas que recuerdan la formación de rosetas. Se observaron algunas células pleomórficas con algunas mitosis. (Figura 4)

En estudio inmunohistoquímico se encontró Ki-67 mayor de 50 % de las células, neurofilamento y sinaptofisina positiva.
Se concluyó como pineoblastoma; recibió radioterapia convencional con Co-60, fraccionadas, para un total de 60 Gy.
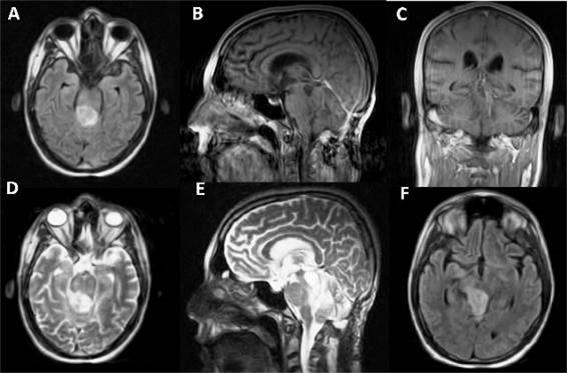
La evolución del paciente a los 6 meses de operado fue satisfactoria, lo cual se observó en la imagen de resonancia magnética (IRM) mostrando control de la lesión. (Figura 5)

DISCUSIÓN
Los tumores de la región pineal son un grupo amplio de lesiones compuestos por los tumores de células germinales, tumores gliales, tumores del parénquima pineal, quistes, entre otros. Los tumores del parénquima pineal se originan de células de la propia glándula llamadas pinealocitos y representan solo el 0.3 -1 % de todos los tumores del sistema nervioso central primario. 1,5
Los pineoblastomas como subtipo histológico en el adulto son bastante raros, y solo se han reportado alrededor de 200 casos desde 1979; 6) por lo cual no existen guías de tratamiento estandarizadas para estos pacientes y las recomendaciones actuales derivan de estudios en pacientes pediátricos.
La clasificación actual de la OMS describe los tumores propios de la glándula (TPG) como pineocitomas (Grado I), los TPG de diferenciación intermedia (Grado II o III), los tumores papilares de la región pineal (Grado II o III) y los pineoblastomas (Grado IV). 7,8
Los pineoblastomas son más frecuentes en los niños y menos del 10 % de los casos reportados se han presentado en adultos; estos en el adulto y en el niño tienen un comportamiento distinto y poseen distinta respuesta al tratamiento quirúrgico y la terapia adyuvante. 9
Desde el punto de vista histopatológico, los pineoblastomas están compuestos de pequeñas células redondas con apariencia cromática en “sal y pimienta”, nucléolo mal definido y escaso citoplasma. Son tumores hipercelulares con células uniformes, elevado índice núcleo/citoplasma, donde la necrosis es relativamente frecuente; las rosetas de Homer Wright son una característica frecuente. 6
La presentación clínica de los mismos está relacionada con el efecto de masa en la región, por lo que la cefalea, náuseas, diplopía y desórdenes de los movimientos oculares, tales como el síndrome de Parinaud, son síntomas frecuentes. (10
En los estudios de imagen, puede haber áreas de calcificación alrededor de la lesión, lo que se ha propuesto como una característica de los tumores de parénquima pineal. Las mismas se aprecian con facilidad tanto en los estudios de tomografía como de resonancia magnética. En la IRM se observan como hipo o iso-intensidades en las imágenes potenciadas en T1, e iso o hiperintensidades en aquellas potenciadas en T2. En las IRM por difusión los pineoblastomas exhiben una restricción de la difusión, similar a aquellas neoplasias con alto nivel de celularidad. 11
Debido a la escasa incidencia de este tipo tumoral en la población adulta no existe consenso en cuanto a la mejor opción de tratamiento, pero se recomienda la máxima resección quirúrgica seguida de radioterapia craneoespinal o quimioterapia. 12
La resección máxima (GTR, Gross Total Resection en inglés) de la lesión tumoral junto a un proceder derivativo, cuando existe hidrocefalia, es el pilar del tratamiento, independientemente de la edad del paciente; debido a que alrededor de la mitad de los pacientes se presentan con hidrocefalia, la tercer ventriculostomía endoscópica constituye el método de elección para disminuir la presión intracraneal, obtener muestra para el diagnóstico histológico y evita la diseminación de células tumorales hacia otras cavidades, además de disminuir las posibilidades de fístula luego del momento operatorio de la resección tumoral. 13
A pesar de que la cirugía se propone como la terapéutica fundamental, el rol pronóstico de la resección máxima es debatido. Lutterbach J, et al.14) concluyeron que la extensión de la resección quirúrgica se comportaba como factor pronóstico; sin embargo, Mynarek M, et al., 15 encontraron que la extensión de la resección tumoral no era un factor de riesgo en relación con el período de progresión libre de síntomas (en inglés, Progression Free Survival) y sobrevida (en inglés, Overall Survival). No obstante, estos autores concluyeron que, dada las características retrospectivas de su análisis, sus datos no debían limitar la intencionalidad de una resección máxima segura (en inglés, Maximal Safe Resection).
La endoscopia ha sido utilizada como una herramienta valiosa para mejorar la visualización, minimizar la retracción cerebelosa y disminuir la morbilidad de los abordajes a la región pineal. 16
En cuanto a la radioterapia, no existe consenso sobre el volumen de la diana y la dosis óptima. La mayor serie en tumores pineales fue reportada por Glanzmann C, et al. quienes sugieren un rango de 44-50 Gy, utilizando sistemas 2D. 17
Kumar N, et al. recomiendan dosis de 50-54 Gy, en esquema convencional fraccionado, y con preferencia usa técnicas con conformación en 3D. 18
En cuanto al volumen de la zona a radiar, los esquemas más frecuentes están basados en irradiación craneoespinal y luego local, aunque algunos autores solo reportan radioterapia focal como es el caso de Lee JYK, et al.4) quienes evaluaron 34 casos de pacientes mayores de 16 años con pineoblastoma, de los cuales 24 fueron tratados solo con radioterapia craneal, reportando que una dosis mayor de 40 Gy fue asociada con aumento de la sobrevida.
Los datos de toxicidad tardía en la población pediátrica son inherentes al tratamiento de la lesión focal. Por estas razones el uso de radioterapia conformacional tiene un significado clínico diferente en adultos que en niños. La mayor distancia entre el tumor y los órganos sanos (tiroides, corazón, esófagos y páncreas) pudiera disminuir la incidencia de los efectos adversos a corto y mediano plazo, en este grupo etario. 19
La quimioterapia es aún controversial, y se ha estudiado, por lo general, en pacientes pediátricos, donde el pineoblastoma tiene el peor pronóstico. En pacientes adultos los datos son muy limitados. 20
Pero considerando la similitud biológica entre los meduloblastomas y los pineoblastomas se han incluido diferentes esquemas combinados. (5
Un ensayo de fase III que agrupó a 421 pacientes con meduloblastomas reportó una supervivencia de más de cinco años en el 86 % de los casos, con dosis semanales de vincristina-lomustina-cisplatino. (21) El mismo régimen fue usado por Gerber NU, et al., (22 donde se incluyeron niños y adultos jóvenes con tumores primitivos neuroectodérmicos supratentoriales (SPNETs por sus siglas en inglés), con una supervivencia a los cinco años de 64 % y un perfil de toxicidad aceptable.
Sin embargo, otros investigadores no han demostrado ningún impacto de la quimioterapia en sus cohortes, pero el análisis está limitado por el bajo número de pacientes de la muestra y la variabilidad de esquemas utilizados. 4
CONCLUSIONES
El tratamiento combinado de cirugía y radioterapia constituye un esquema terapéutico ideal en este tipo de lesiones tumorales. La endoscopia es una herramienta de gran valor en los abordajes quirúrgicos a la región pineal.
REFERENCIAS BIBLIOGRÁFICAS
Cuccia V, Rodríguez F, Palma F, Zuccaro G. Pinealoblastomas in children. Childs Nerv Syst [Internet]. 2006 [cited 2022 Feb 20];22(6):577-85. Available from: Available from: https://link.springer.com/article/10.1007/s00381-006-0095-6
Luther N, Stetler WR, Dunkel IJ, Christos PJ, Wellons JC, Souweidane MM. Subarachnoid dissemination of intraventricular tumors following simultaneous endoscopic biopsy and third ventriculostomy: Clinical article. J Neurosurg Pediatr [Internet]. 2010 [cited 2022 Feb 20];5(1):61-7. Available from: Available from: https://thejns.org/pediatrics/view/journals/j-neurosurg-pediatr/5/1/article-p61.xml
de Jong MC, Kors WA, de Graaf P, Castelijns JA, Kivelä T, Moll AC. Trilateral retinoblastoma: a systematic review and meta-analysis. Lancet Oncol [Internet]. 2014 [cited 2022 Feb 20];15(10):1157-67. Available from: Available from: https://www.sciencedirect.com/science/article/abs/pii/S1470204514703365?via%3Dihub
Lee JYK, Wakabayashi T, Yoshida J. Management and Survival of Pineoblastoma: An Analysis of 34 Adults from the Brain Tumor Registry of Japan. Neurol Med Chir (Tokyo) [Internet]. 2005 [cited 2022 Feb 20];45(3):132-42. Available from: Available from: https://www.jstage.jst.go.jp/article/nmc/45/3/45_3_132/_pdf/-char/en
Cuccia F, Mortellaro G, Cespuglio D, Valenti V, Gregorio GD, Quartuccio E, et al. A Case Report of Adult Pineoblastoma Occurring in a Pregnant Woman. Anticancer Res [Internet]. 2019 [cited 2022 Feb 20];39(5):2627-31. Available from: Available from: https://ar.iiarjournals.org/content/anticanres/39/5/2627.full.pdf
Gener MA, Conger AR, Van Gompel J, Ariai MS, Jentoft M, Meyer FB, et al. Clinical, Pathological, and Surgical Outcomes for Adult Pineoblastomas. World Neurosurg [Internet]. 2015 [cited 2022 Feb 20];84(6):1816-24. Available from: Available from: https://www.sciencedirect.com/science/article/pii/S1878875015010165
Louis DN, Perry A, Reifenberger G, von Deimling A, Figarella-Branger D, Cavenee WK, et al. The 2016 World Health Organization Classification of Tumors of the Central Nervous System: a summary. Acta Neuropathol (Berl) [Internet]. 2016 [cited 2022 Feb 20];131(6):803-20. Available from: Available from: https://link.springer.com/article/10.1007/s00401-016-1545-1
McLendon RE, Yachnis AT, Miller CR, Ng H-K. Central Nervous System Tumor Classification: An Update on the Integration of Tumor Genetics. Hematol Clin [Internet]. 1 de febrero de 2022 [cited 2022 Dec 11];36(1):1-21. Available from: Available from: https://www.hemonc.theclinics.com/article/S0889-8588(21)00104-0/fulltext
Tate M, Sughrue ME, Rutkowski MJ, Kane AJ, Aranda D, McClinton L, et al. The long-term postsurgical prognosis of patients with pineoblastoma. Cancer [Internet]. 2012 [cited 2022 Feb 22];118(1):173-9. Available from: Available from: https://acsjournals.onlinelibrary.wiley.com/doi/epdf/10.1002/cncr.26300
Motiei-Langroudi R, Sadeghian H, Soleimani MM, Seddighi AS, Shahzadi S. Treatment Results for Pineal Region Tumors: Role of Stereotactic Biopsy Plus Adjuvant Therapy vs. Open Resection. Turk Neurosurg [Internet]. 2016 [cited 2022 Feb 22];26(3):336-40. Available from: Available from: http://www.turkishneurosurgery.org.tr/pdf/pdf_JTN_1685.pdf
Choudhri AF, Whitehead MT, Siddiqui A, Klimo P, Boop FA. Diffusion characteristics of pediatric pineal tumors. Neuroradiol J [Internet]. 2015 [cited 2022 Feb 20];28(2):209-16. Available from: Available from: https://www.ncbi.nlm.nih.gov/pmc/articles/PMC4757159/
Hinkes BG, von Hoff K, Deinlein F, Warmuth-Metz M, Soerensen N, Timmermann B, et al. Childhood pineoblastoma: experiences from the prospective multicenter trials HIT-SKK87, HIT-SKK92 and HIT91. J Neurooncol [Internet]. 2007 [cited 2022 Feb 20];81(2):217-23. Available from: Available from: https://link.springer.com/article/10.1007/s11060-006-9221-2
Horta-Tamayo EE, Acosta-González LC, Ortega-Raez DR, Rodríguez-Santillán LB. Tercer ventriculostomía endoscópica en hidrocefalia secundaria a tumores de fosa posterior en adultos. Rev Cienc Médicas Pinar Río [Internet]. 2021 [citado 20 Feb 2022];25(6). Disponible en: Disponible en: http://scielo.sld.cu/pdf/rpr/v25n6/1561-3194-rpr-25-06-e5273.pdf
Lutterbach J, Fauchon F, Schild SE, Chang SM, Pagenstecher A, Volk B, et al. Malignant Pineal Parenchymal Tumors in Adult Patients: Patterns of Care and Prognostic Factors. Neurosurgery [Internet]. 2002 [cited 2022 Feb 20];51(1):44-56. Available from: Available from: https://mayoclinic.pure.elsevier.com/en/publications/malignant-pineal-parenchymal-tumors-in-adult-patients-patterns-of
Mynarek M, Pizer B, Dufour C, van Vuurden D, Garami M, Massimino M, et al. Evaluation of age-dependent treatment strategies for children and young adults with pineoblastoma: analysis of pooled European Society for Paediatric Oncology (SIOP-E) and US Head Start data. Neuro Oncol [Internet]. 2017 [cited 2022 Feb 20];19(4):576-85. Available from: Available from: https://doi.org/10.1093/neuonc/now234
Huanca Amaru J, López Piloto O, Abreu Casas D, Rodríguez de la Paz NJ, Llerene Bernal M. Tumor pineal resuelto por Abordaje Infratentorial supracerebeloso Endoscópico. Reporte de un caso y revisión de la literatura. Rev Argent Neurocir [Internet]. 2020 [citado 20 Feb 2022];358-64. Disponible en: Disponible en: https://www.ranc.com.ar/index.php/revista/article/view/59/153
Glanzmann C, Seelentag W. Radiotherapy for tumours of the pineal region and suprasellar germinomas. Radiother Oncol [Internet]. 1989 [cited 2022 Feb 20];16(1):31-40. Available from: Available from: https://pubmed.ncbi.nlm.nih.gov/2813835/
Kumar N, Srinivasa GY, Madan R, Salunke P. Role of radiotherapy in residual pineal parenchymal tumors. Clin Neurol Neurosurg [Internet]. 2018 [cited 2022 Feb 20];166:91-98. Available from: Available from: https://www.sciencedirect.com/science/article/abs/pii/S0303846718300337?via%3Dihub
Gaito S, Malagoli M, Depenni R, Pavesi G, Bruni A. Pineoblastoma in Adults: A Rare Case Successfully Treated with Multimodal Approach Including Craniospinal Irradiation Using Helical Tomotherapy. Cureus [Internet]. 2019 [cited 2022 Feb 20];11(10). Available from: Available from: https://www.cureus.com/articles/20962-pineoblastoma-in-adults-a-rare-case-successfully-treated-with-multimodal-approach-including-craniospinal-irradiation-using-helical-tomotherapy
Biswas A, Mallick S, Purkait S, Gandhi A, Sarkar C, Singh M, et al. Treatment outcome and patterns of failure in patients of pinealoblastoma: review of literature and clinical experience from a regional cancer centre in north India. Childs Nerv Syst [Internet]. 2015 [cited 2022 Feb 20];31(8):1291-304. Available from: Available from: https://link.springer.com/content/pdf/10.1007/s00381-015-2751-1.pdf
Packer RJ, Gajjar A, Vezina G, Rorke-Adams L, Burger PC, Robertson P, et al. Phase III study of craniospinal radiation therapy followed by adjuvant chemotherapy for newly diagnosed average-risk medulloblastoma. J Clin Oncol [Internet]. 2006 [cited 2022 Feb 20];24(25):4202-8. Available from: Available from: https://facultyopinions.com/prime/718450219
Gerber NU, von Hoff K, Resch A, Ottensmeier H, Kwiecien R, Faldum A, et al. Treatment of children with central nervous system primitive neuroectodermal tumors/pinealoblastomas in the prospective multicentric trial hit 2000 using hyperfractionated radiation therapy followed by maintenance chemotherapy. Int J Radiat Oncol [Internet]. 2014 [cited 2022 Feb 20];89(4):863-71. Available from: Available from: https://www.sciencedirect.com/science/article/pii/S0360301614004878
Author notes
*Autor para la correspondencia: ernestoht@infomed.sld.cu
Conflict of interest declaration