Artículos
Caracterización molecular de Colletotrichum gloeosporioides aislado de plantas de ñame de la Costa Atlántica Colombiana utilizando la técnica “DNA Amplification Fingerprinting (DAF)”
Molecular characterization of Colletotrichum gloeosporioides isolated from yam plants of Colombia Atlantic Coast using DNA Amplification Fingerprinting technique (DAF)
Caracterización molecular de Colletotrichum gloeosporioides aislado de plantas de ñame de la Costa Atlántica Colombiana utilizando la técnica “DNA Amplification Fingerprinting (DAF)”
Revista Colombiana de Biotecnología, vol. XVIII, núm. 1, pp. 95-103, 2016
Universidad Nacional de Colombia
Recepción: 20 Septiembre 2015
Aprobación: 20 Mayo 2016
Resumen: La antracnosis en ñame, causada por el hongo Colletotrichum gloeosporioides, es una enfermedad relevante que posee el potencial de destruir el 100% de la cosecha, convirtiéndose en la principal limitante fitosanitaria para el rendimiento del cultivo en el país. Esta es una situación preocupante considerando que aproximadamente 35.000 familias de pequeños y medianos agricultores de la Costa Atlántica Colombiana subsisten de este cultivo; es por esto que el objetivo de este trabajo fue caracterizar molecularmente 42 aislamientos del hongo procedentes de plantas de ñame con síntomas de la enfermedad, utilizando la técnica molecular “DNA Amplification Fingerprinting (DAF)”, caracterizada por su resolución en la determinación de la variabilidad genética de diferentes organismos. Para la determinación de polimorfismos, se amplificaron 16 marcadores DAF implementando iniciadores tipo decámero, los cuales fueron visualizados por electroforesis en microchip con el equipo MCE-202 MultiNA. Se evaluó la reproducibilidad de la técnica DAF. La amplificación arrojó 391 bandas inequívocamente polimórficas en todas las muestras, el coeficiente de Dice identificó cinco grupos con 0.30% de similaridad y el índice de diversidad genética fue de 0.28; datos que reflejan un alto grado de variabilidad en la colección estudiada de C. gloeosporioides. Ésta puede deberse, al intercambio de germoplasma, a su condición heterotálica, a las mutaciones y al alto potencial de dispersión de las conidias que le permiten mantener la viabilidad bajo condiciones adversas. Por último, se encontró que DAF es una técnica reproducible, confirmando que es una metodología fiable para la caracterización molecular de hongos.
Palabras clave: antracnosis, necrosis, diversidad genética, ADN, hongo.
Abstract: Yam anthracnose, caused by the fungus Colletotrichum gloeosporioides, is a significant disease that has the potential to destroy harvests in 100%, causing the decrease in crop yields nationally. Consequently, its situation affects approximately 35.000 families of small farmers the Atlantic Coast for whom it is the livelihoods. Due to above, the objective of this work was to perform the molecular characterize of 42 C. gloeosporioides isolates from yam plants with symptoms of the disease, using the molecular technique “DNA Amplification Fingerprinting (DAF)” useful for its resolution in determining the genetic variability of different organisms. For polymorphisms determination, were amplified 16 DAF markers by using primers decamers type, the banding patron was visualized by electrophoresis in microchip 202 MCE-MultiNA equipment also, we assessed of DAF technique reproducibility. The amplification process yielded 391 unequivocally polymorphic bands in all samples, Through Dice coefficient we identified five groups with 0.30% of similarity and a genetic diversity index of 0.28. Our data show a high degree of variability in the collection of C. gloeosporioides studied. The high variability could be due to several reasons like germplasm exchanges, the heterothallic condition of fungal isolates, a presence of mutations and the high potential for conidia dispersal that allow it to maintain its viability under adverse conditions. Finally, we found that DAF technique is reproducible, confirming that it is a reliable methodology for the fungi molecular characterization.
Keywords: anthracnose, necrosis, genetic diversity, DNA, fungi.
Introducción
El ñame pertenece a la familia Dioscoreaceae, la cual cuenta con seis géneros y alrededor de 600 a 900 especies, muchas de ellas de elevado potencial económico según González (2012). Es una planta monocotiledónea que se caracteriza por tener tubérculos carnosos a los que se les denomina ñames, los cuales contienen fécula abundante y metabolitos secundarios, entre los más comunes de estos compuestos están las saponinas esteroidales (Ramos et al., 2015; Acevedo et al., 2014).
Esta especie está ampliamente distribuida en regiones tropicales y subtropicales de alta pluviosidad, es utilizada principalmente en la alimentación humana en lugares como África, el sur de Asia, Islas del Pacífico y la región Caribe Colombiana; siendo producto básico en la dieta alimenticia de la población, debido a su alto contenido nutricional, donde el principal componente es el almidón, fuente rica de carbohidratos; además que su alto contenido de vitamina C le otorga valor como anti-escorbuto, constituyéndolo en un valioso alimento para hombres y animales (Pinzón et al., 2013).
El ñame de amplia distribución, engloba especies silvestres y cultivadas originarias de África, Asia y América, las cuales son sembradas en regiones tropicales, subtropicales y templadas de todo el mundo (Bustamante, 2006; Acevedo et al., 2014). En Colombia, este cultivo es importante en la Costa Caribe, el Pacífico y la Amazonía, donde, las especies de mayor importancia tanto por el área sembrada como por la demanda del tubérculo, son ñame criollo (Dioscorea alata) que cuenta con mejores características en cuanto a rendimiento, vigor y capacidad de almacenamiento frente al ñame espino (Dioscorea rotundata Poiret) que aunque no iguala las propiedades de la especie criollo, es menos susceptible a patologías devastadoras como la antracnosis, causada por el hongo Colletotrichum gloeosporioides (Penz.) Sacc. (Reina, 2012). Según Agronet (2016), en promedio, Colombia siembra 340.000 hectáreas, de las cuales se obtienen 385.000 toneladas por año.
La antracnosis es una enfermedad que ocasiona lesiones típicas necróticas en los tallos, hojas y frutos de las plantas afectadas (Cannon et al., 2012). Tiene una notable relevancia en la agricultura moderna, no solo porque posee el potencial de destruir el 100% de la cosecha, sino porque aún en los casos en que no causa pérdidas totales, por lo general, reduce en forma crónica el rendimiento del cultivo (Jiménez et al., 2012). En la Costa Atlántica Colombiana, es conocida como mancha de hierro o quemazón y afecta los rendimientos hasta en un 50% (Bustamante, 2006).
El uso tradicional de fungicidas de sintesis química logran un cierto control de la enfermedad, sin embargo, generan un impacto negativo sobre los organismos benéficos presentes en el ambiente (Almaguel & Botta, 2005), por lo anterior, los resultados han sido poco eficientes y lo que se ha logrado es aumentar problemas como la contaminación ambiental, el aumento en los costos de producción y la generación de una respuesta adaptativa del patógeno; a lo cual se le suma el inadecuado manejo del cultivo y control de C. gloeosporioides, debido a la poca información disponible acerca de la diversidad y estructura de la población biológica del hongo, asociada con antracnosis en ñame, lo cual permitiría un mejor entendimiento del comportamiento del patosistema C. gloeosporioides – Ñame (Bustamante et al., 2003; Bustamante, 2006; Pinzón, 2014).
En Colombia, se han venido desarrollando trabajos que han permitido profundizar en el conocimiento del patógeno, donde la variabilidad genética del hongo está siendo recientemente estudiada. El objetivo de este trabajo fue contribuir al entendimiento del patosistema, caracterizando molecularmente una colección de aislados de C. gloeosporioides, utilizando la técnica DNA Amplification Fingerprinting (DAF) y evaluando el uso de la metodología de Microchip Electrophoresis System for DNA/RNA Analysis en el equipo MCE-202 MultiNA en la amplificación de los productos.
Materiales y métodos
Material biológico
Se implementaron 42 aislamientos pertenecientes a la colección del Instituto de Biotecnología de la Universidad Nacional de Colombia. Estos, fueron aislados de plantas de ñame (Dioscorea alata y Dioscorea rotundata) cultivadas en la Costa Atlántica Colombiana con síntomas de antracnosis.
Reactivación de aislados de C. gloeosporioides
Los hongos se encontraban conservados por la metodología de subcultivo periódico con aceite mineral a una temperatura de 4°C, con el fin de disminuir la velocidad de transferencia de oxígeno, favoreciendo la estabilidad y minimizando la frecuencia de resiembra (Pinzón et al., 2009).
Para la reactivación de los ejemplares, se hicieron repiques sucesivos de los hongos en cajas de Petri con medio PDA (Papa Dextrosa Agar) y se incubaron a 24°C en total oscuridad durante 15 días aproximadamente, brindándoles las condiciones necesarias para el crecimiento y producción de micelio para la extracción del ADN.
Extracción del ADN
La extracción de ADN se realizó siguiendo el protocolo modificado de Bustamante et al. (2003), para aislar ADN de tubérculos de ñame:
El rompimiento de la pared y membrana celular de los hongos se realizó por fricción mecánica en el perturbador celular (bead beatter), durante un minuto en tubos Eppendorf de 2 mL con iguales cantidades de perlas de cristal “beads” de 0.5 mm de diámetro (Scientific Industries, Inc.) y de micelio de cada hongo. Enseguida a cada muestra, se le adicionó 400 y 20 µL de Buffer bromuro de hexadeciltrimetilamonio (CTAB) y DTT (ditiotreitol) respectivamente, para agitar e incubar por 30 minutos a 65ºC (Bustamante et al., 2003).
Posteriormente, a cada muestra se le agregó 300 µL de cloroformo: alcohol isoamílico en proporción 24:1, mezclando suavemente. La mezcla fue centrifugada por 10 minutos a 14.000 r.p.m. Para la precipitación del ADN se transfirió el sobrenadante a un tubo nuevo y se le adicionó 300 µL de isopropanol frío, la anterior mezcla se incubó a -20°C durante 60 minutos y se centrifugó por 5 minutos a 14.000 r.p.m. El ADN fue lavado dos veces con 300 µL de etanol al 70%, centrifugando por 5 minutos a 12.000 r.p.m. y descartando el etanol entre cada lavada. Finalmente, el ADN se dejó secar a temperatura ambiente por 30 minutos y fue re suspendido en 50 µL de agua tipo II.
Cuantificación del ADN
La verificación de la concentración del ADN extraído se realizó por medio de lecturas en un Fluorómetro Qubit™ con el kit de cuantificación de ADN de cadena pesada (2 – 1000 ng) de (Invitrogen®). Las concentraciones fueron ajustadas a 10 ng/µL con agua tipo II estéril.
Para confirmar la integridad del ADN se realizaron electroforesis en gel de agarosa al 0.8%.
Caracterización molecular
Generación de patrones de bandeo de los aislados de C. gloeosporioides con la técnica DAF
Esta metodología considera múltiples secuencias blanco y sitios anónimos en el genoma, usando iniciadores de secuencias aleatorias tipo decámero (Caetano-Anolles et al., 1991; Caetano-Anolles et al., 1998).
Esta técnica se aplicó a un grupo de cuarenta y dos (42) aislados del hongo C. gloeosporioides, con dieciséis iniciadores tipo decámero (tabla 1). La PCR se realizó en placas multipozos, bajo las condiciones descritas en la tabla 2 y a un volumen final de 20 µL. La amplificación se realizó en un termociclador (C1000, Bio-Rad®) bajo las siguientes condiciones: desnaturalización inicial a 94°C por 5 min; seguido de 40 ciclos cada uno compuesto de: desnaturalización a 94°C por 15 s, hibridación a 35°C por 20 s y extensión a 72 °C por 1 min; y una extensión final a 72°C por 5 min.

Los productos de la amplificación fueron separados por electroforesis con microchip en el equipo MCE- 202 MultiNA. Se utilizó un kit de 2.500 pares de bases y 10 µL del marcador de peso pGEM® (DNA-3 Kb), los volúmenes de los reactivos son calculados automáticamente por el equipo dependiendo del número de muestras.
Análisis de datos
Elaboración de matrices
Una vez se obtuvieron los patrones de bandeo de las muestras, se contaron todas las bandas inequívocamente identificables generadas con cada iniciador y se elaboraron matrices de datos doble estado de presencia/ausencia en Excel (Microsoft, 2007). Posteriormente, se determinaron las matrices de similaridad a partir del índice de similaridad de Dice (Nei y Li, 1979) con el programa SimQual del paquete bioestadístico NTSYS versión 2.02i (Numerical Taxonomy System) y a partir de éstas se construyeron matrices de agrupamiento con el método UPGMA (Unweighted Pair Group Arithmetic Mean) en el programa SAHN del mismo paquete estadístico.
Obtención del dendograma
El resultado del agrupamiento se graficó en el programa Tree Plot de NTSYS, el cual arrojó el dendograma del conjunto de iniciadores para observar los grupos formados.


Estimación de la diversidad genética
La diversidad genética de la colección de aislados se evaluó teniendo en cuenta la frecuencia de variantes, a través del cálculo de la diversidad genética promedio [Hi], la cual expresa la probabilidad de que en un loci único, cualquier par de alelos escogidos al azar de la población sean diferentes entre sí (De Vicente et al., 2004).
Resultados y Discusión
Extracción del ADN
Con el protocolo modificado de Bustamante et al., (2003) que contempla el uso de CTAB, se logró extraer ADN genómico de forma sencilla, rápida, en gran cantidad y de buena calidad, razones importantes para desarrollar todos los experimentos y réplicas con gran eficiencia. Este protocolo de extracción es adecuado para extraer y purificar ADN de plantas y microorganismos y está especialmente indicado para eliminar los polisacáridos y los compuestos polifenólicos que, de otro modo, alterarían la pureza del ADN y por tanto, su calidad (Somma, 2010).
Este procedimiento se ha aplicado con frecuencia en estudios de genética molecular de plantas, hongos y bacterias y ha sido utilizado en el proceso de detección de Organismos Genéticamente Modificados (Lipp et al., 2001).
Cuantificación del ADN
Según las mediciones de cuantificación, las concentraciones de ADN obtenidas tuvieron valores máximos entre 709 ng/µL y 206.5 ng/µL y valores mínimos entre 21.7 ng/µL y 12.2 ng/µL.
Teniendo en cuenta que la base de la mayoría de investigaciones en biología molecular depende de la obtención de ADN, se puede confirmar como reportan Rada & Taboada (1998), que esta técnica permitió la obtención de ADN de buena concentración e integridad, prerrequisito importante para su uso en técnicas de biología molecular como Impresiones Digitales de ADN o Fingerprinting. Fundamentado esto, en los valores reportados anteriormente y en la eficiencia de la amplificación con marcadores moleculares tipo DAF empleados en este estudio.
Caracterización molecular
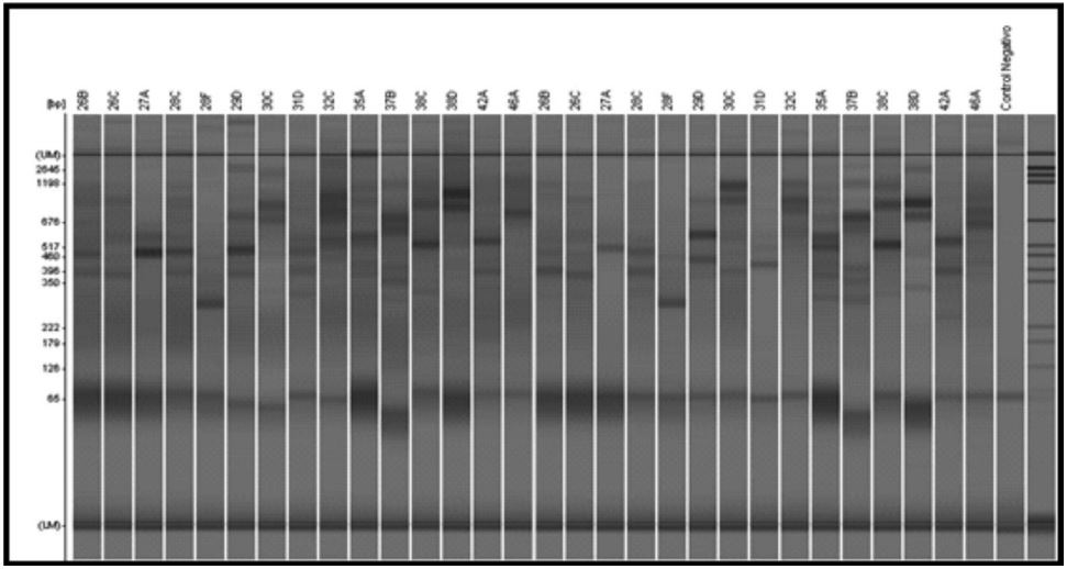
Los 16 iniciadores utilizados amplificaron regiones aleatorias con un número entre 19 y 36 bandas, con un promedio de amplificación de 24.4 bandas por iniciador (figura 1) (datos completos no mostrados por extensión del texto). El menor número de bandas se presentó en los iniciadores OPM09 con 20 y OPL10 con 19, contrario a los iniciadores OPM07 y OPL07 que presentaron el mayor número de bandas con 27 y 36, respectivamente. En total se obtuvieron 391 bandas inequívocamente polimórficas en toda la colección (tabla 3), datos que permiten inferir que los aislados estudiados presentan un alto grado de polimorfismo.
Se determinó la fiabilidad de la técnica DAF al obtenerse una buena reproducibilidad de las bandas (figura 2) (datos completos no mostrados por extensión del texto).


Análisis de agrupamiento
El dendograma obtenido por análisis de la colección mediante el coeficiente de Dice (figura 3), evidencia que a un 0.30 % de similaridad se discriminan 5 grupos, el primero conformado por 8 aislados, el segundo por 29, el tercero y cuarto con 2 aislados cada uno y un aislado que no se agrupó; teniendo en cuenta que los rangos de similaridad se acotan de 0 a 1, donde, valores cercanos a 1 indican altos grados de semejanza y baja diversidad, mientras que cifras cercanas a 0 significan poca semejanza y gran diversidad, se puede demostrar que la colección de C. gloeosporioides analizada presenta muy poca similitud y alta diversidad genética, resultado que se respalda con el calculado en la estimación de la diversidad genética (0.28) y con las 391 bandas polimórficas obtenidas de la amplificación de todos los aislados; los resultados presentados concuerdan con las investigaciones de Álvarez et al. (2005), donde aplicaron las técnicas moleculares: Amplificación de la región del espaciador interno transcrito (ITS) del ADNr, análisis de polimorfismo de fragmentos de restricción combinado con la reacción en cadena de la polimerasa (PCR-RFLPs) y la amplificación aleatoria de microsatélites (RAMs) para la identificación de C. gloeosporioides en guanábana, las cuales les permitieron determinar un alto grado de variabilidad genética a un coeficiente de similitud de 0.31; igualmente Montero et al., (2010) analizaron la diversidad genética de la especie C. gloeosporioides en cultivos de aguacate, mediante el análisis de zimogramas isoenzimáticos y de amplificación de fragmentos de polimorfismo de ADN amplificado al azar (RAPDs), estimadores estadísticos que confirmaron la amplia variabilidad genética del patógeno, con un índice de variabilidad genética de 0.3.

El hongo C. gloeosporioides es uno de los hongos filamentosos biológicamente más exitosos, convirtiéndose en un modelo de estudio debido a su amplia variabilidad y poca especificidad (Bustamante, 2006), características que pueden ser evaluadas con el uso de herramientas moleculares que detectan variaciones específicas a nivel de ADN, pudiendo ser valoradas en cualquier etapa del desarrollo de las cepas sin sufrir alteraciones por los cambios medio ambientales y presentando una cantidad mayor de polimorfismos, por lo que este tipo de caracterización se constituye en un instrumento útil para la determinación adecuada de variabilidad en hongos (Rodríguez, 2007).
En los últimos años, las técnicas moleculares han facilitado la caracterización de muchos organismos, entre ellos C. gloeosporioides, permitiendo la realización de numerosas investigaciones enfocadas a estudiar la variabilidad genética del agente causal de la antracnosis. Bailey & Jeger (1992) reportaron un estudio de variación genética en aislados de C. gloeosporioides obtenidos de aguacate, papaya, plátano y mango, confirmando que hay alta variación entre aislamientos del mismo cultivo. Por otro lado, Montero et al., (1998), con el marcador molecular RAPDs en frutos de aguacate en Michoacán-México, determinaron la diversidad genética de este mismo hongo, mediante la aplicación de un índice de variabilidad genética basado en la proporción de la presencia/ausencia de las bandas amplificadas sobre el número total de bandas por iniciador y obtuvieron un valor de 0.41 para C. gloeosporioides, concluyendo que dicha característica puede deberse a que el patógeno posee un ciclo de vida corto y reproducción de tipo sexual y asexual, confiriéndole una tasa alta de mutación y recombinación por cruzamiento.
Afanador et al. (2003), analizaron la diversidad genética del hongo evaluando metodologías como los AP-PCR, RAPDs-PCR y análisis de ADN mitocondrial asociado a secuencias ricas de adeninas y timinas, reportando una alta heterogeneidad y complejidad genética en cultivos de mango en Colombia, relacionadas probablemente con la presencia de un estado perfecto del patógeno (Glomerella cingulata).
La alta diversidad genotípica del hongo C. gloeosporioides en ñame fue reportada en Nigeria por Abang et al., (2005), calculada a partir de las técnicas de amplificación de la subunidad 18S de ADNr visualizada en Denaturing Gradient Gel Electrophoresis -DGGE- y Microsatellite-primed PCR -MP-PCR-, cuyos resultados permitieron estimar diversidades de 0.25 y 0.21 para las formas más virulentas, valores concordantes con los obtenidos en la presente investigación. Para el año 2006, el mismo autor, empleando marcadores moleculares RAPDs evidenció una vez más niveles altos de variabilidad genética del hongo, revelando que la antracnosis tiene mayor incidencia y severidad en zonas de bosque húmedo, y reportando por primera vez que aislados de una misma lesión eran genéticamente diferentes.
Más recientemente, Domínguez et al., (2012), realizaron la caracterización molecular de C. gloeosporioides causante de antracnosis en hojas, raquis y frutos de palma africana en Maracaibo-Venezuela, incluyendo pruebas de PCR específicas, secuenciación de ITS del ADNr y análisis de variabilidad mediante RFLPs y RAPDs. Dentro de los resultados obtenidos en la investigación encontraron que la variabilidad genética de la población tiene una estructura fundamentalmente clonal y que la gran heterogeneidad morfológica y la complejidad genética de la especie Colletotrichum gloeosporioides sensu lato, puede ser explicada por la presencia de un complejo de especies polimórficas que contiene una serie de subgrupos con diferentes grados de patogenicidad, especificidad y diversidad genética, donde se incluye por lo menos a Colletotrichum fructicola, C. gloeosporioides sensu stricto, C. siamense, C. asianum, C. hymenocallidis, C. horii y C. kahawae. Pinzón (2014), en el trabajo, caracterización morfológica y molecular de Colletotrichum gloeosporioides aislado de ñame (Dioscorea spp.) y establecimiento de una escala de virulencia para su caracterización patogénica, reporta una alta variabilidad genética de esta especie, indicando la presencia del complejo C. gloeosporioides sensu lato y otras especies del género involucradas en el desarrollo de antracnosis en el cultivo de ñame.
La diversidad genética permite mantener un reservorio de condiciones de variación de respuesta al medio, facilitando la adaptación y la supervivencia del individuo y como se demuestra anteriormente, ésta característica ha sido ampliamente estudiada en C. gloeosporioides, reportándose numerosas investigaciones aplicando diferentes técnicas moleculares, sin embargo, las causas de la variabilidad de este patógeno en ñame, aun son inciertas (Pinzón, 2014; Abang et al., 2006).
Para Montero et al., (2010) esto puede tener su origen en diversos factores: el intenso tráfico existente en el germoplasma genera un intercambio del hongo, que se encuentra como infección latente (síntomas no visibles) en plantas y frutos, igualmente la capacidad del hongo para reproducirse sexualmente, siendo además una especie heterotálica que incluye la meiosis como un tipo de reproducción y por consiguiente el entrecruzamiento de segmentos cromosómicos que junto con las mutaciones, podrían ser la mayor fuente de variabilidad del mismo, cuya fase sexual Glomerella cingulata, es ampliamente conocida, sin tener un papel reconocido en las epidemias de antracnosis en ñame (Abang et al., 2006).
Una tercera fuente de variabilidad genética, se atribuye a un alto potencial de dispersión y adhesión de las conidias y ascosporas de muchas especies del género Colletotrichum, las cuales están envueltas con una sustancia mucilaginosa hidrofílica, compuesta principalmente de polisacáridos y glicoproteínas de alto peso molecular, que le permite a las conidias mantener la viabilidad bajo condiciones adversas como temperaturas extremas, luz ultravioleta y baja humedad. Al mismo tiempo, protege las esporas de los materiales tóxicos producidos por los tejidos vegetales hospederos durante el desarrollo de una lesión (Bustamante, 2006).
La variación genética presente en C. gloeosporioides refleja la capacidad del patógeno para evolucionar y adaptarse a diferentes ambientes, aspecto que contribuye al alto grado de dificultad en el diseño de estrategias de control efectivas y duraderas, por lo que la búsqueda de variedades resistentes a la enfermedad ha sido sugerida como una estrategia potencial en el mejoramiento de la enfermedad, sin embargo, esta estrategia es apropiada si el patógeno es exclusivamente asexual y si el potencial de flujo de genes es bajo, pero si el patógeno es recombinante y tiene un alto potencial de flujo de genes, como parece ser el caso de C. gloeosporioides en ñame, la recombinación de alelos de virulencia puede ocurrir tan rápido que los esfuerzos pueden ponerse en riesgo (Abang et al., 2003; Sanabria et al., 2010; Pinzón, 2014).
Conclusiones
La colección del hongo C. gloeosporioides estudiada presentó un alto grado de diversidad genética, soportado esto en los valores obtenidos del índice de similaridad de Dice, del índice de diversidad genética y de la amplificación, los cuales fueron, 0.30 %, 0.28 y 391 bandas completamente polimórficas en toda la colección, respectivamente.
“DNA Amplification Fingerprinting (DAF)” fue una buena herramienta para la caracterización molecular de la colección de aislados de C. gloeosporioides provenientes de plantas de ñame de la Costa Atlántica Colombiana, permitiendo a su vez determinar la variabilidad genética de los aislados.
Se evidenciaron diferencias importantes en la aplicación de las metodologías de amplificación: Microchip Electrophoresis System for DNA/RNA Analysis en el equipo MCE-202 MultiNA y electroforesis en geles de agarosa, dirigidas éstas a la identificación más precisa de las bandas y sus respectivos valores en la primera metodología, lo cual permite obtener datos más ajustados de los perfiles de caracterización, disminuyendo el margen de error.
Agradecimientos
Los autores agradecen al Instituto de Biotecnología de la Universidad Nacional de Colombia, sede Bogotá por prestar las instalaciones para el desarrollo del trabajo.
Referencias
Abang, M., Stephan, W., Mignouna, H., Green, K., & Asiedu, R. (2003). Molecular taxonomic, epidemiological and population genetic approaches to understanding yam anthracnose disease. African Journal of Biotechnology, 2(12), 486-496.
Abang, M., Fagbola, O., Smalla, K., & Winter, S. (2005). Two Genetically Distinct Populations of Colletotrichum gloeosporioides Penz., causing anthracnose in Yam. Phytopathology, 153, 137- 142.
Abang, M., Asiedu, R., Hoffmann, P., Wolf, G., Mignouna, H., & Winter, S. (2006). Pathogenic and genetic variability among Colle- totrichum gloeosporioides isolates from different yam hosts in the agroecological zones in Nigeria. Journal Phytopathology, 15(4), 51-61.
Acevedo, A., Sandoval, I., & Salcedo, J. (2014). Desarrollo y productividad de ñame (Dioscorea trífida y Dioscorea esculenta) en diferentes condiciones hídricas. Acta agronómica, 64(1), 30-35.
Afanador, K., Minz, D., Maymond, M., & Freeman, S. (2003). Characterization of Colletotrichum isolates from Tamarillo, Passiflora and Mango in Colombia and identification of a unique species of the genus. The American Phytopathological Society, 93(5), 579-587.
Almaguel, L., & Botta, E. (2005). Introducción a la Acarología Agrícola: Manejo integrado de Steneotarsonemus spinki, Smiley. Ciudad de La Habana – Cuba. Disponible en: http://www.inisav.cu/OtrasPub/Curso%20acarolog%C3%ADa.pdf . Consultado el 19 de marzo de 2016.
Álvarez, E., Ospina, C., Mejía, J., & Llano, G. (2005). Caracterización morfológica, patogénica y genética del agente causal de la antracnosis (Colletotrichum gloeosporioides) en guanábana (Annona muricata) en el Valle del Cauca. Fitopatología Colombiana, 28(1), 1-8.
Bailey, A., & Jeger, J. (1992). Colletotrichum: Biology, pathology and control. British Society for Plant Pathology - Wallingford, Oxon, UK: CAB International, p. 388.
Bustamante, S. (2006). Estudio preliminar para la identificación de patrones de expresión génica del hongo Colletotrichum gloeosporioides Var. Alateae expuesto a diferentes estímulos utilizando “DD RT-PCR”. Bogotá D.C. Universidad Nacional de Colombia.
Bustamante, S., Guzmán, M., & Buitrago, G. (2003). Caracterización molecular del germoplasma de ñame colombiano utilizando “DNA Amplification Fingerprinting (DAF)” en condiciones radiactivas. Revista Colombiana de Biotecnología, 5(2), 57-63.
Caetano-Anolles, G., Bassam, B., & Gresshoff, P. (1991). DNA Amplification Fingerprinting using very short arbitrary oligonucleotide primers. Biotechnology, 9,553-557.
Caetano-Anolles, G. (1998). DAF optimization using Taguchi methods and the effect on termal cycling parameters on DNA Amplification. Biotechniques, 25, 472-480.
Cannon, P., Damm, U., Johnston, P., & Weir, B. (2012). Colletotrichum–current status and future directions. Studies in Mycology, 73,181-213.
De Vicente, M., López, C., & Fulton, T. (2004). Análisis de la diversidad genética utilizando datos de marcadores moleculares: Módulo de Aprendizaje. Instituto Internacional de Recursos Fitogenéticos (IPGRI) y Cornell University. Disponible en: http://www.bioversityinternational.org/fileadmin/user_upload/online_library/publications/pdfs/Molecular_Markers_Volume_2_es.pdf . Consultado el 19 de marzo de 2016.
Domínguez, I., Mohali, S., Marín, M., & Pino, H. (2012). Caracterización y variabilidad genética de Colletotrichum gloeosporioides sensu lato en plantaciones de palma aceitera (Elaeis guineensis Jacq.) en Venezuela. Tropical Plant Pathology, 37(2), 108-122.
González, M. (2012). El ñame (Dioscorea spp.). Características, usos y valor medicinal. Aspectos de importancia en el desarrollo de su cultivo. Cultivos Tropicales, 33(4), 5-15.
Jiménez, H., Álvarez, A., Mejía, J., & Ochoa, A. (2012). Caracterización molecular de accesiones de ñame (Dioscorea alata L.) de la región caribe colombiana. Revista U.D.C.A-Actualidad y Divulgación Científica, 15(2), 323-330.
Lipp, M., Bluth, A., Eyquem, F., Kruse, L., Schimmel, H., Van den Eede, G., & Anklam, E. (2001). Validation of a method based on polymerase chain reaction for the detection of genetically modified organisms in various processed foodstuffs. Technology, 212, 497-504.
Montero, V., Montalvo, H., Morales, G., Peña, A., Gálvez, A., & Azpiroz, R. (1998). Estimación de la variabilidad genética intrapoblacional mediante el uso de fragmentos de DNA amplificados al azar. Agric. Tec. Mex., 24(1), 83-89.
Montero, V., Morales, J., González, M., Anaya, J., Corona, T., & Gálvez, A. (2010). Diversidad genética, patogénica y morfológica del hongo Colletotrichum gloeosporioides (Penz.) de Michoacán, México. Revista Mexicana de Ciencias Agrícolas, 1(2), 157-172.
Pinzón, Y., Bustamante, S. & Buitrago, G. (2009). Evaluación de métodos para la conservación de hongos fitopatógenos del ñame (Dioscorea sp). Revista Colombiana de Biotecnología, 11(2), 8-18.
Pinzón, Y., Bustamante, S., & Buitrago, G. (2013). Diagnóstico molecular diferencial Colletotrichum gloeosporioides y Fusarium oxysporum en ñame (Dioscorea sp.). Revista Colombiana de Biotecnología, 17(1), 52-60.
Pinzón, Y. (2014). Caracterización morfológica y molecular de Colletotrichum gloeosporioides aislado de ñame (Dioscorea spp.) y establecimiento de una escala de virulencia para su caracterización patogénica. Bogotá D.C. Universidad Nacional de Colombia.
Rada, A., & Taboada, G. (1998). Métodos de obtención y purificación de ADN humano para su aplicación en genética molecular. Biofarbo, 6, 63-68.
Ramos, V., Bustamante, S., Rincón, J., Rojas, M., Raz, L., & Buitrago, G. (2015). Identificación, establecimiento in vitro y análisis fitoquímico preliminar de especies silvestres de ñame (Dioscorea spp.) empleadas con fines medicinales. Revista Colombiana de Biotecnología, 17(1), 9-17.
Red de información y comunicación del sector agropecuario: Agronet. Estadísticas cultivo de ñame. Disponible en: http://www.agronet.gov.co/Paginas/estadisticas.aspx . Consultado el 19 de marzo de 2016.
Reina, Y. (2012). El cultivo de ñame en el Caribe colombiano. Banco de la República - Centro de estudios económicos regionales (CEER) - Cartagena. Disponible en: http://www.banrep.gov.co/docum/Lectura_finanzas/pdf/dtser_168.pdf . Consultado el 19 de marzo de 2016.
Rodríguez, A. (2007). Caracterización molecular de poblaciones de Colletotrichum spp. asociadas a Coffea arabica en Colombia y su aplicación en el diagnóstico del CBD. Disponible en: http://www.javeriana.edu.co/biblos/tesis/ciencias/tesis18.pdf . Bogotá D.C. Pontificia Universidad Javeriana.
Sanabria, A., Mahuku, G., Kelemu, S., Cadavid, M., García, C., Hío, J., Martínez, E., & Osorio, J. (2010). Molecular identification and characterization of Colletotrichum sp. isolates from Tahiti lime, tamarillo and mango. Agronomía Colombiana, 28(3), 391-399.
Somma, M. (2010). Análisis de la presencia de Organismos Genéticamente Modificados en muestras de alimentos. Extracción y purificación de ADN. JRC European Commission. Disponible en: http://gmocrl.jrc.ec.europa.eu/capacitybuilding/manuals/Manual%20ES/User%20Manual%20ES%20full.pdf . Consulta- do el 19 de marzo de 2016.