Caso clínico
Fibromatosis musculoaponeurótica agresiva: presentación de un caso
Muscleneuropatic agressive fibromatosis: a case presentation
Fibromatosis musculoaponeurótica agresiva: presentación de un caso
Revista Salud Uninorte, vol. 34, núm. 1, pp. 220-227, 2018
Fundación Universidad del Norte, División de Ciencias de la
Recepción: 25 Junio 2017
Aprobación: 12 Julio 2017
Resumen: Paciente masculino de 40 años, consulta por dolor en región glútea izquierda, asociado a masa de crecimiento progresivo; inicialmente valorado por ortopedia, donde le realizan radiografía y gammagrafía sin diagnóstico definitivo; revalorado por ortopedia y traumatología, luego de resonancia magnética y biopsia del glúteo comprometido se diagnostica fibromatosis glútea, la cual fue tratada con una resección del tejido invasivo y posteriormente radioterapia complementaria con acelerador lineal. Conclusión: Los tumores desmoides son infrecuentes y representan 0,03 % de todas las neoplasias y < 3 % de todos los tumores de tejidos; la cirugía ha sido tradicionalmente el pilar terapéutico debido a la variabilidad en el curso clínico y la importancia del sitio involucrado se asocia al tratamiento y aplicación de radioterapia.
Palabras clave: Fibromatosis agresiva, tumor desmoide, biopsia, radioterapia.
Abstract: 40 year old male patient complains about pain in left gluteal region, associated with progressive growing mass; initially valued by orthopedics, which performed x-ray scan and gammagraphy without a definitive diagnosis. He was reassessed by orthopedics and traumatology, through magnetic resonance imaging and biopsy of the committed gluteal, and was diagnosed with gluteal fibromatosis, which was treated with invasive tissue resection and subsequently additional accelerator radiotherapy. Conclusions: Desmoid tumors are rare and account for 0.03 % of all malignancies and < 3 % of all tumors of tissues. Surgery has traditionally been the therapeutic mainstay due to variability in the clinical course and importance of the site of involvement is associated with the treatment and application of radiation therapy.
Key Words: aggressive fibromatosis, desmoid tumor, biopsy, radiotherapy.
INTRODUCCIÓN
La fibromatosis músculo aponeurótica agresiva, es un tumor monoclonal de tejidos blandos poco frecuente, procedentes de tejido conjuntivo, músculo, fascia y estructuras aponeuróticas 1, 2. Se caracterizan por presentaciones clínicas, localizaciones anatómicas y comportamientos biológicos muy variables, por lo que se requiere un tratamiento individualizado. La patogénesis de la fibromatosis no se entiende completamente; por lo general ocurre entre los 15 y 60 años, pero es más frecuente en adultos jóvenes y predominante en mujeres; puede ser observado en casi todas las partes del cuerpo, e involucra extremidades, el tronco y la cavidad abdominal. Este tipo de tumor, a pesar de exhibir características de crecimiento infiltrantes tales como fibrosarcoma, no hace metástasis. Se dividen en dos: superficial (fascial), de crecimiento lento y tamaño pequeño, originado en la fascia o aponeurosis y profunda (músculo aponeurótica), de comportamiento agresivo y tamaño más grande y con una alta tasa de recidiva 3, 4. La gran mayoría de estas entidades tienen una incidencia baja en la población general según la Organización Mundial de la Salud (OMS), se considera que representan el 0,03 % de todas las neoplasias y el 3 % de todos los tumores de tejidos blandos 5.
CASO CLÍNICO
Paciente de 40 años de sexo masculino, sin antecedentes de importancia, quien inicialmente consultó por dolor a la sedestación, subir escaleras, y con evolución progresiva de limitación para la marcha, tratado inicialmente como unatendinitis, con fisioterapia sin mejoría visible por persistencia de sintomatología. Luego de un año decide asistir a ortopedia, por continuidad de su cuadro clínico; el médico realiza un examen físico sin encontrar alteraciones mayores, por lo cual decide ordenar la toma una gammagrafía ósea de tres fases, con reporte de áreas de hipercaptación en múltiples articulaciones, dando como diagnóstico enfermedad inflamatoria poliarticular simétrica.
Con ese diagnóstico se remite a una consulta especializada de medicina de rehabilitación y fisiatría donde se revalora al paciente, y en examen físico se observa crecimiento de una tumoración en la región glútea izquierda asociada a pérdida de la movilidad, por lo que se solicita radiografía de pelvis y resonancia magnética nuclear de la zona comprometida. En un control a los 3 meses con ortopedia, el paciente ingresa a la consulta con marcha de Trendelemburg, a la vez que continúa el crecimiento de la masa glútea. Se observaron reportes de la radiografía de pelvis (figura 1 A-B), los cuales son normales, mientras que la resonancia pélvica muestra masa difusa a nivel del glúteo izquierdo, al parecer sin compromiso de órganos vitales. Finalmente se redirige a ortopedia oncológica para valoración, donde deciden programar una resección de la masa más biopsia abierta, en la cual se encuentra una masa en la región glútea, adherida a planos profundos musculares, con una extensión de 30 cm y de crecimiento hacia el muslo, la cual se resecó de manera completa pesando 670 gramos.

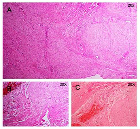
El estudio anatomopatológico de la biopsia abierta es el de fibromatosis glútea aponeurótica sin signos de anaplasia (ver figura 2), además con una prueba inmunohistoquímica con reactividad tumoral para actina muscular específica y negativa para receptores hormonales (ver figura 3).


Se decide coadyuvar el manejo con radioterapia por medio de acelerador lineal durante 13 días, con resultado final sin evidencia de tumor. El paciente actualmente se encuentra con mejoría notoria de su movilidad, retomó sus actividades cotidianas y en su última cita de control, no se evidenció signos de nueva reproducción tumoral.
DISCUSIÓN
Los tumores de tejidos blandos y en especial la fibromatosis tienen una presentación más común entre el rango de edad entre los 26 a 45 años, siendo mayor en mujeres que en hombres 6. Cualquier síntoma debe ser explorado con profundidad, mediante una buena historia clínica, antecedentes y un buen examen físico; el dolor, la inflamación y la pérdida de movilidad permiten orientar el diagnóstico. En el caso presentado se observa una fibromatosis músculo-aponeurótica extra- abdominal, ubicada en la región glútea en un paciente masculino de 40 años, que muestra diferencias con los casos habituales, ya que la fibromatosis extra-abdominal aparece por lo general en espalda sobre la región escapular. Otra presentación menos frecuente es la fibromatosis pélvica, que afecta región glútea y los cuádriceps, aunque en este caso también afectó los músculos isquiotibiales 7.
La discrepancia diagnóstica es una característica variable, tal cual se dio en este caso, que presenta ciertos hallazgos incidentales en radiografías de pelvis como un flebolito en el borde acetabular izquierdo; estos son normales, aunque pueden indicar la presencia de tumores benignos. Es por esto que para la identificación de tumores de tejidos blandos la toma de imágenes diagnósticas como la tomografía computarizada (TC) y la resonancia nuclear magnética (RNM) permiten obtener claridad diagnóstica 8, 9. La cirugía sigue siendo el tratamiento estándar para la fibromatosis agresiva (AF); sin embargo, el control local y la recidiva son aún el principal obstáculo en su tratamiento. Algunos factores asociados a la recidiva son cirugía con presencia de residuos histológicos (R0), diámetro del tumor (≥ 10 cm) y localización en las extremidades 8-10
Cuando las lesiones abarcan estructuras neurovasculares, no es posible realizar la cirugía con márgenes quirúrgicos adecuados, sin embargo, en este caso no había estructuras neurovasculares grandes comprometidas. Es importante recordar que el rango de recurrencia de este tipo de tumor oscila de un 19 a 77 %, en las series reportadas, con un seguimiento a 10 años el 57 % de los tumores se volvió a presentar, mientras que otros estudios manifiestan una recurrencia de hasta el 68 % después del manejo inicial, lo que recalca la importancia del monitoreo constante; sin embargo, en este caso en especial, no hubo recurrencia 3. La radioterapia se utiliza sobre todo como un complemento, proporcionando resultados beneficiosos especialmente en la enfermedad recurrente 11. En cuanto a la quimioterapia citotóxica, se reserva para la enfermedad no susceptible de cirugía o radiación 12.
CONCLUSIONES
El caso presentado evidencia la importancia del diagnóstico oportuno de los tumores desmoides, los cuales a pesar de ser infrecuentes por representar el 0,03 % de todas las neoplasias y menos del 3 % de todos los tumores de tejidos blandos, además de tener un difícil diagnóstico, un correcto abordaje por parte del médico general y derivación oportuna a los médicos especialistas pueden mejorar el pronóstico en el tratamiento. Por último, es claro que se necesitan más series de casos para mejorar el diagnóstico temprano, así como encontrar asociación causal con diferentes agentes ambientales a fin de impulsar la creación de planes de salud que logren evitar o mitigar su incidencia o progresión a estadios de difícil tratamiento.
Agradecimientos
A los colaboradores, el Dr. Santiago Escandón Villota, especialista en Ortopedia Oncológica. Al Dr. Alfredo García, MD patólogo y profesor de Patología, y también a Lina González, estudiante de Medicina de la UPTC.
REFERENCIAS
1. Wu C, Nik-Amini S, Nadesan P, Stanford WL, Alman BA. Aggressive fibromatosis (desmoid tumor) is derived from mesenchymal progenitor cells. Cancer Res [internet]. 2010 [citado el 12 de Ab. de 2015];70(19):7690-8. Disponible en: Disponible en: http://cancerres.aacr-journals.org/content/70/19/7690.long doi: 10.1158/0008-5472.CAN-10-1656
2. Küçük L, Keçecİ B, Sabah D, YücetürkG. Aggressive fibromatosis : evaluation of prognostic factors and outcomes of surgical treatment. Acta Orthop Traumatol Turc [internet]. 2014 [citado el 22 de Mar. De 2015];48(1):55-60. Disponible en: Disponible en: http://www.ncbi.nlm.nih.gov/pubmed/24643101. doi: 10.3944/AOTT.2014.3171.
3. Miranda JA, Martínez GR, Linares LM, González L, Delgado EA, Flores N. Acta Ortopédica Mexicana [internet]. 2008 [citado el 12 de Ab. de 2015];22(2):85-9. Disponible en: Disponible en: http://www.medigraphic.com/pdfs/orto-pe/or-2008/or082d.pdf
4. Gronchi A, Colombo C, Le Péchoux C, Dei Tos a P, Le Cesne A, Marrari A, et al. Sporadic desmoid-type fibromatosis: a stepwise approach to a non-metastasising neoplasm--a position paper from the Italian and the French Sarcoma Group. Ann Oncol [internet]. 2014, Mar. [citado el 28 de Jun. de 2015];25(3):578-83. Disponible en: Disponible en: http://annonc.oxford- journals.org/content/25/3/578.long. doi:10.1016/j.ejca.2014.11.00
5. Weiss S, Goldblum J. Enzinger and Weiss´s Soft Tissue Tumors. Fibromatoses. 4ta. ed. Cleveland: Mosby; 2001.
6. Crago AM, Denton B, Salas S, Dufresne A, Mezhir JJ, Hameed M, et al. A prognostic nomogram for prediction of recurrence in desmoid fibromatosis. Ann Surg [internet]. 2013 [citado el 12 de Ab. de 2015];258(2):347-353. Disponible en: Disponible en: http://www.ncbi.nlm.nih.gov/pmc/articles/PMC4096320/. doi:10.1097/SLA.0b013e31828c8a30
7. Peng PD, Hyder O, Mavros MN, Turley R, Firoozmand A, Lidsky M, et al. Manage- ment and Recurrence Patterns of Desmoids Tumors: A Multi-institutional Analysis of 211 Patients. Ann Surg Oncol [internet]. 2012 [citado el 28 de Jun. de 2015];19(13):4036-42. Disponible en: Disponible en: http://www.ncbi.nlm.nih.gov/pubmed/22972507 doi: 10.1245/s10434-012-2634-6
8. Hentati D, Kochbati L, Belaid A, Ben Hassouna J, Maalej M. Radiation therapy in extra abdominal desmoid tumours. Tunis Med [internet]. 2011, Apr. [citado el 28 de Jun. de 2015];89(4):350-4. Disponible en: Disponible en: http://www.latunisiemedicale.com/article-medicale-tunisie.php?article=1686&Codelang=en
9. Vizcaíno I, Costa S, Cremades A. Fibromatosis músculo-aponeurótica agresiva, hallazgos en imagen en un caso de afectación postraumática del músculo escaleno. Radiología [internet]. 2001, Oct. [citado el 28 de Jun. de 2015];43(08):409-12. Disponible en: Disponible en: http://www.elsevier.es/es-revista-radiologia-119-articulo-fibromatosis-musculo-aponeu-rotica-agresiva-hallazgos-imagen-13021876
10. Bertani E, Testori A, Chiappa A, Misitano P, Biffi R, Viale G, et al. Recurrence and prognostic factors in patients with aggressive fibromatosis. The role of radical surgery and its limitations. World J Surg Oncol [internet]. World Journal of Surgical Oncology;2012, Jun. [citado el 28 de Jun. de 2015];10(1):184. Disponible en: Disponible en: http://wjso.biomedcentral.com/articles/10.1186/1477-7819-10-184. doi: 10.1186/1477-7819-10-184
11. Prodinger PM, Rechl H, Keller M, Pilge H, Salzmann M, von Eisenhart-Rothe R, et al. Surgical resection and radiation therapy of desmoid tumours of the extremities: results of a supra-regional tumour centre. Int Orthop [internet]. 2013, Oct. [citado el 28 de Jun. de 2015];37(10):1987-93. Disponible en: Disponible en: http://www.ncbi.nlm.nih.gov/pubmed/23793461. doi: 10.1007/s00264-013-1942-1
12. Pires de Camargo V, Keohan ML, D’Adamo DR, Antonescu CR, Brennan MF, Cantante S, et al. Clinical outcomes of systemic therapy for patients with deep fibromatosis (desmoid tumor). Cancer [internet]. 2010 [citado el 12 de Ab. de 2015];116:2258-65. Disponible en: Disponible en: http://www.ncbi.nlm.nih.gov/pmc/articles/PMC2925106/ doi: 10.1002/cncr.25089
Notas
Notas de autor
*Correspondencia: Cristian Andrés Pulido Medina, Teléfono: (+57) 3204031531. Dirección: Calle 24 #5-63, Tunja (Boyacá, Colombia. (+53) 3204031531). Cristianandrés.pulido@gmail.com