Caso clínico
Hernia paraesofágica: un reto diagnóstico
Paraesophageal hernia: a diagnostic challenge
Hernia paraesofágica: un reto diagnóstico
Revista Salud Uninorte, vol. 34, núm. 3, pp. 814-818, 2018
Fundación Universidad del Norte, División de Ciencias de la
Recepción: 19 Junio 2017
Aprobación: 08 Noviembre 2017
Resumen: Se presenta un caso de hernia paraesofágica en una mujer con diagnóstico inicial de enfermedad ácidopéptica. El diagnóstico preciso requirió radiografía de tórax, radiografía de vías digestivas altas y tomografia axial computarizada. Fue tratada mediante abordaje por videolaparascopía; seis meses después estaba asintomática y sin complicaciones. El médico general debe considerar la probabilidad de hernia paraesofágica en pacientes añosos con síntomas del tracto digestivo superior inexplicados, especialmente cuando los síntomas son crónicos y sin respuesta adecuada al tratamiento con inhibidores de la bomba de protones.
Palabras clave: Hernia hiatal, laparoscopía, radiografía torácica.
Abstract: A case of paraesophageal hernia in a woman with an initial diagnosis of peptic acid disorders. Precise diagnosis required chest radiography, upper gastrointestinal tract x-ray and computed tomography. She was treated by videolaparoscopic approach; six months later she was asymptomatic and suffered no complications. The General Practitioner should consider the likelihood of paraesophageal hernia in elderly patients with unexplained upper digestive tract symptoms, especially when the symptoms are chronic and unresponsive to treatment with proton pump inhibitors.
Keywords: Hiatal hernia, laparoscopy, thoracic radiography.
INTRODUCCIÓN
El diagnóstico de hernia paraesofágica es poco frecuente en el mundo. Representa aproximadamente el 5 % de las hernias hiatales 1; su diagnóstico oportuno es un reto, debido a su silencio clínico, y cuando no, a su sintomatología inespecífica, especialmente al considerar su potencial evolución a urgencias que ponen en peligro la vida.
Se presenta el caso de una mujer de 52 años de edad con diagnóstico inicial de enfermedad ácidopéptica, que requirió diferentes estudios imagenológicos, para el diagnóstico preciso.
DESCRIPCIÓN DEL CASO
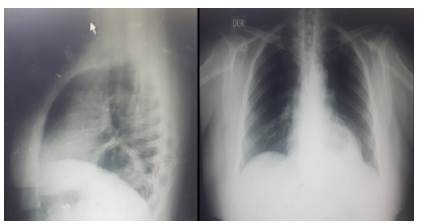
Paciente femenino, 52 años de edad, que consulta por dolor de 12 horas de evolución tipo cólico, urente, en hipocondrio izquierdo, intensidad 8/10 según la escala análoga, acompañado de pirosis, náuseas y vómitos de contenido gástrico, irradiado a región lumbar; dos días antes consultó por sintomatología similar, tratada con analgésicos e inhibidores de bomba de protones, sin mejoría; una ecografía de ese momento reportó esteatosis hepática y vesícula biliar ausente. Antecedentes de hipertensión arterial, colecistectomía, cesárea y menopausia precoz. Al examen físico se encontró álgida, pálida, diaforética, abundante panículo adiposo abdominal; dolor a la palpación en epigastrio, mesogástrio e hipocondrio izquierdo, sin más datos importantes; pruebas de laboratorio normales; impresión diagnóstica: enfermedad ácidopéptica. Una esofagogastroduodenos-copia interrogó hernia paraesofágica de 2 cm vs. vólvulo gástrico; una radiografía de tórax evidenció nivel hidroáereo retrocardiaco en la proyección lateral e imagen sugestiva de masa retrocardiaca en la proyección anteroposterior (figura 1).

Una radiografía de serie digestiva alta reportó hernia hiatal paraesofágica con disminución del calibre en la parte alta de la cavidad gástrica y paso normal del contraste al intestino delgado y colon (figura 2).

Posterior tomografía axial computada de tórax y abdomen contrastada reportó hernia paraesofágica con protrusión intratorácica del fondo gástrico (figura 3).

Se diagnosticó hernia paraesofágica y se realizó cirugía electiva mediante videolaparoscopia: se introdujeron trocares, se documentó defecto diafragmático en hiato esofágico, se hizo reducción del estómago a cavidad abdominal, previa adherenciolisis y liberación pleural izquierda con bisturí ultrasónico (armónico), se disecaron los pilares, se movilizó el esófago distal, se reparó el defecto con sutura de poliéster trenzada 2/0, mediante puntos separados y se realizó funduplicatura tipo Floppy Nissen. La paciente toleró procedimiento.
Dos días después, una radiografía control reportó normalidad del tránsito esofágico, del estómago y del bulbo duodenal, sin fugas, se descartaron recidivas y se verificó unión gastroesofágica permeable (figura 4).

La paciente toleró vía oral, con resolución de la sintomatología; egresó sin complicaciones, con indicación de inhibidor de bomba de protones. Seis meses después no se documentaron complicaciones relacionadas con el procedimiento.
Revisión del tema
La hernia paraesofágica es una hernia hiatal en la cual hay protrusión del fundus, y en ocasiones del estómago completo, hacia el tórax y mediastino posterior, a través del hiato diafragmático dilatado 2. Debido a complicaciones como hemorragia, perforación y estrangulación gástricas, y aspiración pulmonar, cuando es diagnosticada, se indica su reparación quirúrgica, incluso en pacientes asintomáticos 3.
En el contexto de las hernias hiatales, las hernias paraesofágicas representan el 5 % y corresponden a las tipo II, III y IV según el sistema actual de clasificación 4. De acuerdo con esto, pueden presentarse tres variantes morfológicas: 1. La unión gastroesofágica se mantiene en su posición intraabdominal mientras el fundus se hernia hacia el tórax (tipo II o verdadera, porque tiene saco herniario); 2. La unión gastroesofágica se hernia conjuntamente con el estómago (tipo III), pero con una porción de este en posición cefálica; se considera como una combinación de las hernias hiatales tipo I (por deslizamiento) y II; 3. La hernia incluye además del estómago a estructuras como el colon, intestino delgado o bazo (tipo IV).
El tipo III es el más frecuente, con 90 % de los casos; el tipo II, entre 3,5 a 14 %, y el tipo IV en 2 a 5 %. Las mujeres tienen cuatro veces más probabilidades de desarrollarla, y su incidencia es mayor después de 50 años 5.
Más de la mitad son silenciosas, como lo muestra la serie de 162 pacientes de El Khoury et al. 6, en la cual se encontró que el 66 % son asintomáticos. En el mismo estudio y en otro 7, los síntomas reportados, en orden de frecuencia, incluyeron: pirosis, regurgitación, síntomas respiratorios, dolor torácico, disfagia, anemia, sensación de plenitud postprandial, nauseas, vómitos, hematemesis y anorexia. Aproximadamente la mitad reporta disminución de síntomas con inhibidores de la bomba de protones.
Conforme a lo referido en el párrafo anterior, el diagnóstico es accidental, la mayor parte de las veces ligado al proceso diagnóstico de síntomas inexplicados del tracto gastrointestinal superior, cardiacos o respiratorios; desde esta perspectiva, la radiografía simple de tórax es la ayuda diagnóstica inicial más frecuente; sin embargo, es la radiografía de vías digestivas altas la que permite observar la posición de la unión gastroesofágica y hacer la clasificación. Por otro lado, la tomografía axial computariza-da no es una prueba rutinaria, pero en el caso de pacientes en los que se sospechan vólvulos gástricos, es útil para la demostración anatómica precisa de la porción intratoracica del estómago, y en ciertos casos, para la clasificación del carcinoma como complicación de la hernia hiatal 8. Otras ayudas incluyen la manometría, útil para identificar trastornos de motilidad esofágica y del esfínter gastroesofágico, lo cual podría alterar el abordaje quirúrgico con respecto a la funduplicatura; la esofagogastroduodenos-copia es útil para reconocer isquemia gástrica, úlcera o erosión. En caso de úlcera gástrica, la cirugía debe retrasarse hasta curar la infección, o por lo menos hasta después de seis semanas de tratamiento con inhibidores de la bomba de protones.
El tratamiento definitivo de esta hernia es quirúrgico. El abordaje transabdominal laparoscópico es el estándar de oro; la técnica empleada continúa evolucionando, pero actualmente se aceptan ciertas claves: reducción completa del saco después de disección, identificación de la unión gastroesofágica y de los pilares, reaproximación libre de tensión de los pilares con malla onlay, movilización del esófago hasta una longitud intraabdominal mínima de 3 cm, creación de procedimiento antirreflujo para ayudar a restaurar la competencia del esfínter y asegurar la reparación, y endoscopia de finalización para asegurar que la técnica de funduplicatura haya sido adecuada 9.
DISCUSIÓN
El caso fue el de una paciente multiconsultante, tratada como enfermedad ácidopéptica, sin respuesta a inhibidores de la bomba de protones. Las pruebas de laboratorio normales descartaron pancreatitis y/o coledocolitiasis. Los hallazgos incidentales del estudio endoscópico hicieron enfocarse en el diagnóstico de hernia paraesofágica vs. vólvulo gástrico. Las radiografías de tórax y de vías digestivas altas confirmaron el diagnóstico, pero con escasa claridad morfológica, por lo que fue necesaria una tomografía axial computada de tórax, a pesar de no ser una prueba de rutina, para definir morfológicamente la hernia.
Se hizo reparación electiva mediante procedimiento laparoscópico teniendo en cuenta, según la literatura, las ventajas que ofrece para la recuperación del paciente, a pesar del riesgo de recidivas; para disminuir la probabilidad de daño del esófago y fugas se utilizó bisturí ultrasónico. Debido a la adecuada laxitud de los tejidos y el uso de una técnica sin tensión, no fue necesario colocar malla. De conformidad con los estudios publicados, se realizó funduplicatura gástrica para tratar el reflujo gastroesofágico; la técnica fue la Floppy Nissen, que ha mostrado los mejores resultados y menores complicaciones. De acuerdo con lo reportado, al segundo día postoperatorio se realizó una nueva serie de vías digestivas altas y se descartaron fugas, estenosis y recidivas. A los seis meses de seguimiento la paciente muestra mejoría de los síntomas, por lo que clínicamente se considera que el procedimiento ha sido exitoso.
CONCLUSIÓN
Es importante diagnosticar y tratar adecuadamente la hernia paraesofágica, por el riesgo de sus potenciales complicaciones. Este caso adiciona evidencia favorable para su tratamiento por videolaparoscopia, y muestra que por su sintomatología inespecífica, cuando la hay, debería formar parte del espectro diagnóstico del médico general que trata pacientes adultos mayores con síntomas inexplicados del tracto gastrointestinal superior, cardiaco o respiratorio, en especial cuando son crónicos.
La radiografía simple de tórax es importante en el diagnóstico inicial y el tratamiento debe ser quirúrgico mediante abordaje transabdominal laparoscópico.
REFERENCIAS
1. Lebenthal A, Waterford SD, Fisichella PM. Treatment and Controversies in Paraesophageal Hernia Repair. Front Surg. 2015; 2: 13-9. doi: 10.3389/fsurg.2015.00013
2. Braghetto I, Csendes A, Korn O, Musleh M, Lanzarini E, Saure A et al. Hiatal Hernias: Why and How Should They Be Surgically Treated? Cir Esp. 2013;91: 438-3. (English edition).
3. Arafat FO, Teitelbaum EN, Hungness ES. Modern treatment of paraesophageal hernia: preoperative evaluation and technique for laparoscopic repair. Surg Laparosc Endosc Percutan Tech. 2012;22(4):297-303. doi: 10.1097/SLE.0b013e31825831af.
4. Kissane, Nicole A., Rattner, David W. Paraesophageal and Other Complex Diaphragmatic Hernia. In Yeo Ch J, editor. Shackelford's. Surgery of the Alimentary Tract. 7th Ed.; 2013. p. 494-508.
5. Mungo B, Molena D, Brock MV. Paraesophageal Hernia. En: Cameron JL, Cameron AM, editors. IIth Ed.; 2014. p. 27-36.
6. El Khoury R, Ramirez M, Hungness ES. Soper N J, Patti MG. Symptom Relief After Laparoscopic Paraesophageal Hernia Repair Without Mesh. J Gastrointest Surg. 2015; 19:1938-1942. https://doi.org/10.1007/s11605-015-2904-2
7. Perry KA, Hunter JG. Paraoesophageal hernia and gastric volvulus. In Griffin SM, Raimes SA, Shenfin J. Oesophagogastric Surgery. 5thEd.; 2014. p. 308-316.
8. Madriz W, Alvarado VH, Jaén J. Diagnóstico radiológico de hernia hiatal. Revisión bibliográfica y presentación de casos. Revista Médica de Costa Rica y Centroamérica. 2008; 583: 103-108.
9. Oleynikov D, Jolley JM. Paraesophageal Hernia. The Surgical Clinics of North America. 2015; 95 (3); 555-565.
Notas de autor
*Corresponencia: David Vargas 080015 Kra 35C3 # 82D-37 Barranquilla. Colombia.