Caso clínico
Obstrucción intestinal por ascaris lumbricoides en un niño de 6 años. Reporte de un caso
Intestinal obstruction by ascaris lumbricoides in a 6-years-old child. A case report
Obstrucción intestinal por ascaris lumbricoides en un niño de 6 años. Reporte de un caso
Revista Salud Uninorte, vol. 34, núm. 3, pp. 819-823, 2018
Fundación Universidad del Norte, División de Ciencias de la
Recepción: 19 Agosto 2017
Aprobación: 03 Diciembre 2017
Resumen:
Las sintomatologías de la infección por ascaris lumbricoides es generalmente gastrointestinal y su tratamiento es clínico, sin embargo, la obstrucción intestinal es la forma de presentación más rara y requiere de tratamiento quirúrgico.
Se presenta el caso de un paciente de 6 años, con vómito, dolor y distensión abdominal de 48 horas de evolución. La radiografía abdominal mostró niveles hidroaéreos. Se realizó una exploración quirúrgica que encontró un apelotonamiento de parásitos a nivel del íleon. Se describe el manejo terapéutico.
Palabras clave: Obstrucción intestinal, áscaris lumbricoides, enterotomía, pediatría.
Abstract:
The symptomatology of Ascaris lumbricoides infection is generally gastrointestinal and the treatment is clinical, however intestinal obstruction is the most rare form of presentation and requires surgical treatment.
The case of a 6-year-old patient with vomiting, pain and abdominal distension over 48 hours of evolution is presented. Abdominal radiography showed fluid levels. A surgical exploration was performed which found a package of parasites at the ileum. Therapeutic management is described.
Keywords: Intestinal obstruction, ascaris lumbricoides, enterotomy, pediatrics.
INTRODUCCIÓN
En la población pediátrica, la obstrucción intestinal (OI) se presenta con síntomas comunes de distensión abdominal, constipación, fracaso del paso del bolo fecal, vómito y desequilibrio electrolítico 1). Aunque las adherencias posqui-rúrgicas son una causa frecuente 2, la etiología varía según el grupo etáreo. En los neonatos predominan causas congénitas, tales como las atresias intestinales y malformación anorectal. Luego de esta edad adquieren relevancia la intususcepción, apendicitis 1, divertículo de Meckel, malrotación con vólvulo de intestino medio y tumores 3. Sin embargo, el apeloto-namiento de áscaris lumbricoides (AL) es una causa infrecuente 4, pero que debe ser considerada en pacientes provenientes de zonas con alta incidencia de esta parasitosis.
Describimos el manejo terapéutico de un paciente con OI por a AL, atendido en el Hospital de Niños Dr. Francisco de Icaza Bustamante de Guayaquil (Ecuador).
CASO CLÍNICO
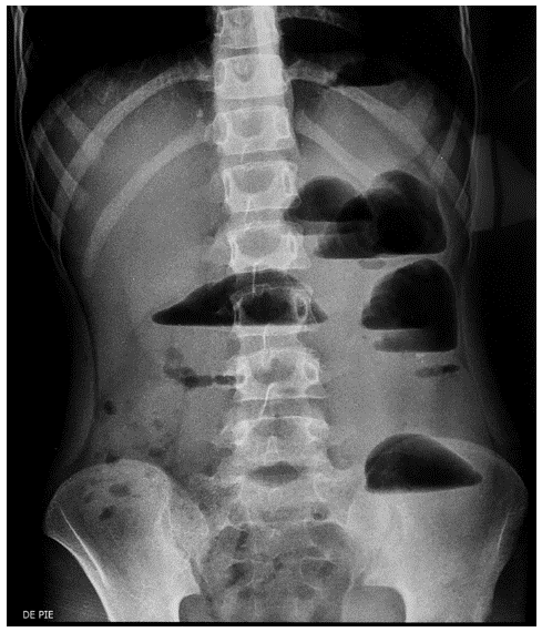
Varón de 6 años, que fue valorado por el cirujano pediatra en el Servicio de Emergencias debido a vómito bilioso persistente, acompañado de dolor y distensión abdominal de 48 horas de evolución. El peso al ingreso fue de 15.5 Kg (-2DE) y la estatura de 108 cm (-2DE). Las mucosas orales estaban secas y el abdomen distendido, con dolor difuso e intenso. Se palpó una masa a nivel de la fosa ilíaca derecha (FID). En la biometría hemática destacó el contaje de leucocitos en 15000/mm3 con segmentados en 70 %, hematocrito de 38.5 % y hemoglobina 13 g/dL. Las pruebas de coagulación fueron normales. Adicionalmente, en la radiografía de abdomen se observaron niveles hidroaéreos (foto 1).

Mediante una sonda nasogástrica (SNG) se eliminó 200 mL de líquido bilioso. Por la sintomatología persistente de OI se decidió una exploración quirúrgica abdominal a través de una incisión transversal infraumbilical derecha. El apéndice tuvo características normales, pero en el íleon, a 20 cm de la válvula ileocecal se encontró un apelotonamiento de AL (foto 2), imposible de movilizar al colon mediante taxis.

Por esta razón se realizó una enterotomía (foto 3) para retirar los parásitos (foto 4).


Luego se practicó una enterorrafia con sutura de poliglactina 4/0 en puntos de espesor total y reforzamiento en serosa.
En el posoperatorio recibió ampicilina, amikacina y metronidazol intravenosos. Se administró pamoato de pirantel por vía enteral, que logró la eliminación de parásitos en la deposición al tercer día. Inició tolerancia oral al quinto día y egresó al séptimo. Actualmente acude a seguimiento por consulta externa de Pediatría y Cirugía. Los reportes posteriores de coproparasitario han sido negativos.
DISCUSIÓN
Es interesante que en este caso la sintomatología acompañante del cuadro de abdomen agudo obstructivo fuera inespecífica. En este contexto, el peso y estatura bajos para la edad se observan también en la desnutrición y alteraciones metabólicas; la palpación de una masa en la FID se interpretó como un plastrón, cuando en realidad era el mismo apelotonamiento de áscaris.
Los estudios paraclínicos tampoco mostraron datos sugestivos de infestación por estos helmintos, y al no existir el antecedente de cirugía abdominal previa, se descartó la secuela por adherencias, por lo que la resolución quirúrgica fue la única alternativa diagnóstica y terapéutica a la vez.
La ascaridiasis predomina en áreas con infraestructura sanitaria deficiente 5, y presenta mayor morbilidad en niños de 3 a 8 años de edad 6. La obstrucción mecánica del lumen intestinal es provocada por un apelotonamiento de AL 7, observada en el 65.8-73.8 % de las complicaciones quirúrgicas debidas a estos parásitos 8,9, ya que también se reportan lesiones por migración hacia las vías biliares o pancreáticas y la cavidad peritoneal 9,10.
Se ha descrito eosinofilia en el hemograma y signos radiológicos de madeja de estambres y migas de pan 11,12. El ultrasonido es un recurso diagnóstico importante, aunque la materia fecal y el gas intestinal pueden interferir con la observación de los parásitos 13.
Ya establecido el cuadro de OI, se determinará el acceso quirúrgico más adecuado. Preferimos la cirugía abierta a la laparoscópica, porque facilita la exposición del campo operatorio y la movilización de los parásitos hacia el colon 0. si esto no es posible, su retiro a través de una enterotomía.
La pronta intervención puede evitar graves consecuencias, como la isquemia, necrosis o vólvulo intestinal 14-16, los cuales precisan de resección con anastomosis termino-terminal, o creación de ostomas si el status intestinal no es favorable 17.
Finalmente, es importante señalar que el mejoramiento de la infraestructura sanitaria y programas de educación en salud son las medidas preventivas más eficaces para reducir la morbilidad por ascaridiasis.
REFERENCIAS
1. Bhedi A, Prajapati M, Sarkar A. A prospective study of intestinal obstruction in paediatric age group. Int Surg J. 2017;4(6):1979-1983. Doi: 10.18203/2349-2902.isj20172395.
2. Hess M. Obstrucción intestinal y vólvulo. En: Cline DM, Ma OJ, Cydulka RK,
3. Meckler GD, Thomas SH, Handel DA, editores. Tintinalli Manual de Medicina de Urgencias. 7a ed. México: McGraw-Hill Interamericana; 2014. p. 228-229.
4. McCollough M, Sharieff GQ. Abdominal surgical emergencies in infants and young children. Emerg Med Clin N Am. 2003;21(4):909-935. doi: 10.1016/S0733-8627(03)00090-7.
5. Morales JL, Arpon F, Bravo C. Obstrucción intestinal por Ascaris lumbricoides. Rev Chil Cir. 2009;61(1):13-14. doi: 10.4067/S0718-40262009000100002.
6. Khan MW, Ghauri SK. Small bowel Ascaris infestation: a diagnostic challenge. Int J Gen Med. 2016;9:99-101. Doi: 10.2147/IJGM.S98950.
7. Chin J. El control de las enfermedades transmisibles. 17a ed. Washington (D.C): Organización Panamericana de la Salud (US) 2001. 748 p. Publicación Científica y Técnica n° 581.
8. Agrawal R, Kumar P, Mohan N. Ascariasis presenting as acute abdomen. A rare case. Int J Adv Integ Med Sci. 2016;1(2):75-78. Doi: 10.5005/jp-journals-10050-10025.
9. Rode H, Cullis S, Millar A, Cremin B, Cywes S. Abdominal complications of Ascaris lumbricoides in chidren. Pediatr Surg Int. 1990;5(6):397-401. Doi: 10.1007/BF00174333.
10. Ochoa B. Surgical complications of ascariasis. World J Surg. 1991;15(2):222-227. doi: 10.1007/BF01659056.
11. Anand S, Sharma AP, Aggarwal S, Nath D, Mathur S. Asymptomatic intraperitoneal ascariasis: Importance of diagnostic laparoscopy. J Minim Access Surg. 2014;10(3):157-158. Doi: I 10.4103/0972-9941.134881.
12. Moscatelli G, Orbe G, Etchepareborda N, Altcheh. Ascariasis intestinal. Arch Argent Pediatr. 2015;113(1):88-89. Doi: 10.5546/aap.2015.88.
13. Baeza Herrera C, Godoy Esquivel A, Sánchez Fernández L, García Cabello L et al. Coledocoascaridiasis. Bol Med Hosp Infant Mex. 2002;59(12):786-791.
14. Umetsu S, Sogo T, Iwasawa K, Kondo T, Tsunoda T, Oikawa-Kawamoto M, Komatsu H, Inui A, Fujisawa T. Intestinal ascariasis at pediatric emergency room in a developed country. World J Gastroenterol. 2014;20(38):14058-14062. doi: 10.3748/wjg.v20.i38.14058.
15. Rodriguez EJ, Gama MA, Ornstein SM, Anderson WD. Ascariasis causing small bowel volvulus. Radiographics. 2003;23(5):1291- 1293. Doi: 10.1148/rg.235025155.
16. Das CJ, Kumar J, Debnath J, Chaudhry A. Imaging of ascariasis. Australasian Radiology. 2007;51(6):500-506. Doi: 10.1111/j.1440-1673.2007.01887.x.
17. Encalada F, Alejandro F, Paladines E, Leiva J. Ascaridiasis complicada: presentación de un caso. Revista Medicina. 2003;9(4):321-323.
18. Hesse AA, Nouri A, Hassan HS, Hashish AA. Parasitic infestations requiring surgical interventions. Semin Pediatr Surg. 2012;21(2):142-150. Doi 10.1053/j.semped-surg.2012.01.009.
Notas de autor
*Correspondencia: Jorge Isaac Ramírez Rivera. Servicio de Cirugía Pediátrica. Hospital del Niño Dr. Francisco de Icaza Bustamante. Gómez Rendón s/n yAv. Quito. Guayaquil (Ecuador). isaac_ramirezrivera@hotmail.com