CASO CLÍNICO
Pólipo antrocoanal pediátrico. Descripción de un caso clínico
Pediatric antrochoanal polyp. Description of a clinical case
Pólipo antrocoanal pediátrico. Descripción de un caso clínico
Revista Salud Uninorte, vol. 35, núm. 2, pp. 298-305, 2019
Fundación Universidad del Norte, División de Ciencias de la
RESUMEN:
Los pólipos antrocoanales son masas benignas y pediculadas de la cavidad nasal, cuya etiología permanece desconocida. Las manifestaciones clínicas son rinorrea anteroposterior, obstrucción nasal crónica, roncopatía, sensación de cuerpo extraño e incluso el síndrome de apnea obstructiva del sueño infantil. El diagnóstico es clínico y se apoya en la rinoscopia y endoscopia. La proyección de Waters o Blondeau y la tomografía computarizada aportan datos de ocupación del seno maxilar. El diagnóstico diferencial del pólipo antrocoanal pediátrico incluye la hipertrofia adenoidea, cuerpos extraños, meningoencefalocele y el angiofibroma. El tratamiento es la resección del pólipo por sinusotomía endonasal, endoscópica o microquirúrgica; o por vía vestibular según la técnica de Caldwell-Luc. Se presenta el caso de un paciente de 14 años, atendido en el Hospital del Niño Dr. Francisco de Icaza Bustamante, de Guayaquil (Ecuador).
Palabras clave: Pólipos nasales, obstrucción nasal, pediatría.
ABSTRACT:
Antrochoanal polyps are benign and pedunculated masses in the nasal cavity, whose etiology remains unknown. Clinical manifestations are anteroposterior rhinorrhea, chronic nasal obstruction, snoring, foreign body sensation and even obstructive sleep apnea syndrome in children. The diagnosis is clinical and relies on rhinoscopy and endoscopy. The Waters or Blondeau projection and the computed tomography provides data of occupation in the maxillary sinus. The differential diagnosis of pediatric antrochoanal polyp includes adenoid hypertrophy, foreign bodies, meningoencephalocele and angiofibroma. The treatment is the resection of the polyp by endonasal, endoscopic or microsurgical sinusotomy; or via vestibular, according to the Caldwell-Luc technique. We present the case of a 14-year-old patient, attended at the Hospital Dr. Francisco de Icaza Bustamante, Guayaquil (Ecuador).
Keywords: Nasal polyps, nasal obstruction, Pediatrics.
INTRODUCCIÓN
El pólipo antrocoanal (PA) es una lesión pediculada, benigna y generalmente unilateral que proviene de la mucosa del antro maxilar (1-5), del cual se prolapsa sobre el ostium lateral o accesorio y se proyecta hacia la región coanal y nasofaringe (1,2,5,6).
De etiología no establecida, algunos autores sugieren que derivan de quistes nasales intramurales 7, pero también se los ha relacionado con la inflamación crónica bacteriana de la nariz y senos paranasales y con la fibrosis quística 2.
Las manifestaciones clínicas son rinorrea anteroposterior, obstrucción nasal crónica, roncopatía 8, sensación de cuerpo extraño 3 e incluso el síndrome de apnea obstructiva del sueño infantil 8.
Puede aparecer a cualquier edad, pero el 70 % de casos se presenta entre los 10 a 30 años (2). Se considera que entre el 29 al 39.8 % (4,6) corresponden a la edad pediátrica.
Describimos un caso atendido en el Hospital del Niño Dr. Francisco de Icaza Bustamante, de Guayaquil.
OBSERVACIÓN CLÍNICA
Varón de 14 años de edad, acudió a la consulta externa de Otorrinolaringología por presentar rinorrea de intensidad moderada, de aproximadamente 5 meses de evolución, exacerbada en el último mes. Refirió respiración oral intermitente y ronquidos. Adicionalmente, su madre contó que observó una "carnosidad" en la cavidad oral de su hijo. Al examen físico por rinoscopia se encontró una masa que ocupaba la fosa nasal derecha y descendía por nasofaringe para ubicarse en posición retrouvular, también observada con la apertura bucal (foto 1).

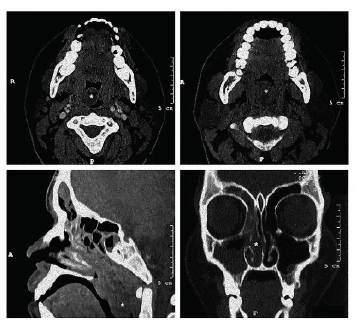
Por este hallazgo se solicitó una tomografía computarizada de cavidad bucal y senos paranasales, en la cual se definió una masa de tejido blando en la nasofaringe y fosa nasal derecha, independiente de la pared faríngea posterior (foto 2).

Con estos datos se programó la resección quirúrgica de la masa nasal y mediante la técnica de Caldwell-Luc se retiró un pólipo de aproximadamente 6 x 1.5 cm (foto 3).

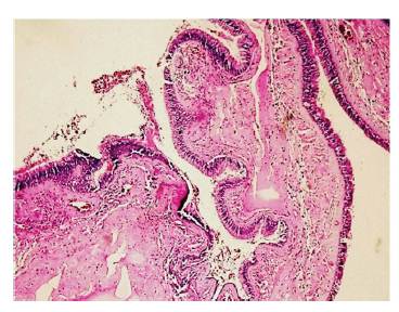
El estudio patológico reveló un estroma de apariencia mixoide de células de núcleos pequeños, con cromatina fina, sin cambios de atipia; formaciones vasculares de tamaño variable, algunas dilatadas y congestivas e infiltrado inflamatorio mixto de predominio infomononuclear. El estroma revestido por epitelio columnar pseudoestratificado ciliado, sin cambios neoplásicos (foto 4).

En el posoperatorio recibió Amoxicilina/Ácido clavulánico e Ibuprofeno por vía oral y egresó a los 24 h. Se ha mantenido bajo control periódico bimensual por consulta externa, y a los 6 meses no presentó recidiva ni reportado molestias. Lamentablemente, no acudió a controles posteriores, por cambio de domicilio a recinto rural distante.
DISCUSIÓN
Aunque los PAs son poco frecuentes en los niños, el examen clínico debe ser meticuloso. Con la sola abertura bucal es posible distinguir una masa que protruye y se coloca detrás de la úvula, pero es por rinoscopia cuando se observa el PA que ocluye la coana y ocupa la rinofaringe; adicional-mente, la endoscopia con ópticas rígidas y fibroscopio con vasoconstricción de la mucosa nasal permiten visualizar la salida y trayecto del pólipo 1 que se presenta como una masa redondeada de color gris amarillento y translúcida.
Los medios imagenológicos aportan importantes datos. El velamiento maxilar homolateral o la opacidad del perfil de la rinofaringe que ocupa la luz sin continuarse con la pared faríngea posterior, se puede encontrar en la proyección de Waters o Blondeau (1,2); la tomografía es más detallada al demostrar la ocupación total o parcial del seno, la continuidad con la formación endonasal y coanal 1, dimensión y la relación con las estructuras vecinas, información importante para la planificación quirúrgica 6.
El tratamiento es la extirpación del pólipo evitando alterar la fisiología sinusal. Se dispone de an-trostomía por abordaje de Caldwell-Luc, antrostomía endonasal, endoscópica o microquirúrgica. El gold estándar actual es la cirugía sinusal endoscópica funcional (9-11); sin embargo, el abordaje abierto es aún una opción real en hospitales con escasos recursos, por lo que en nuestro caso de estudio, la extracción del PA se logró mediante tensión de pedículo por vía nasobucal, complementando la desinserción de su base y retiro de restos polípoideos del interior del antro maxilar mediante la técnica de Caldwell-Luc, y evitar con ello la recurrencia, que en menores de 15 años puede llegar al 36.4 % 6. Adicionalmente, el riesgo de lesión de los alveolos dentales era mínimo, debido a la edad del paciente.
El diagnóstico diferencial en el PA pediátrico incluye: meningoencefalocele, angiofibroma, hipertrofia adenoidea y cuerpos extraños.
El análisis histológico muestra que los PAs están recubiertos por epitelio cilindrico ciliado pseudoestratificado similar a la mucosa nasal, estroma de tejido conectivo laxo y edema 11.
Este estudio confirma la sospecha clínica inicial, ya que la resección de la masa nasal se contraindica en el meningoencefalocele y el angiofibroma. En el primer caso, por el riesgo de crear una fístula de líquido cefaloraquideo y en el segundo, por provocar sangrado profuso. En este sentido, se debe tener claro que una masa pulsátil que aumenta de tamaño con la maniobra de Valsalva o al comprimir la vena yugular interna indica un encefalomeningocele 12, y una masa rojiza en la rinofaringe y la pared lateral nasal, con crecimiento progresivo y causante de epistaxis a repetición, un angiofibroma. En estos casos, la tomografía computarizada o la resonancia magnética nuclear serán útiles en la orientación diagnóstica 2.
La hipertrofia adenoidea muestra imágenes tomográficas de ocupación del cavum, pero la fibros-copía develará una masa no polipoidea de características inflamatorias. Por su parte, los cuerpos extraños antiguos (rinolitos) simulan estructuras tumorales cuando están rodeados de fibrina o tienen aspecto calcáneo 13.
Finalmente, se resalta que las masas nasales en la población pediátrica provocan diverso grado de ansiedad en el entorno familiar del paciente, por lo que al diagnosticarse el PA es preciso informar claramente de la naturaleza benigna de esta lesión.
REFERENCIAS
1. Diamante V. Otorrinolaringología y afecciones conexas. Tercera edición. Buenos Aires: El Ateneo; 2004.
2. Escajadillo JR. Oídos, nariz, garganta y cirugía de cabeza y cuello. Cuarta edición. México: Editorial El Manual Moderno; 2014.
3. Berlucchi M, Nassif N, Redaelli de Zinis LO. Pharyngeal involvement of antrochoanal polyp. Arch Dis Child. 2016 Mar;101(3):258. doi: 10.1136/archdischild-2015-309708.
4. Kizil Y, Aydil U, Ceylan A, Uslu S, Bastürk V, Ileri F. Analysis of choanal polyps. J Craniofac Surg. May 2014; 25(3):1082-1084. doi: 10.1097/SCS.0000000000000543.
5. Mandour ZM. Antrochoanal polyp in pediatric age groupEgyptian Journal of Ear, Nose, Throat and Allied Sciences. March 2017; 18(1):17-21. doi: 10.1016/j.ejenta.2016.12.010.
6. Chaiyasate S, Roongrotwattanasiri K, Patumanond J, Fooanant S. Antrochoanal polyps: How long should follow-up be after surgery? Int J Otolaryngol. 2015;2015:297417. doi: 10.1155/2015/297417.
7. Berg O, Carenfelt C, Silfverswárd C, Sobin A. Origin of the choanal polyp. Arch Otolaryngol Head Neck Surg. Nov 1988; 114(11):1270-1271. doi: 10.1001/archotol.1988.01860230064025.
8. Jurado-Ramos A, Gutiérrez J, Cantillo E. Tumores benignos y malignos de la nariz y los senos paranasales. En: Navarro M, Pérez R, Sprekelsen C, editores. Manual de Otorrinolaringología Infantil. Barcelona: Elsevier; 2012. p. 246-263.
9. Pagella F, Emanuelli E, Pusateri A, Borsetto D, Cazzador D, Marangoni R et al. Clinical features and management of antrochoanal polyps in children: Cues from a clinical series of 58 patients. Int J Pediatr Otorhinolaryngol. Nov 2018;114:87-91. doi: 10.1016/j.ijporl.2018.08.033.
10. Escamilla-Islas FA, Treviño-González JL, Martínez-Camarillo JM. Antrochoanal Polyp: A Literature Update. J Otolaryngol Rhinol. 2018;4:049. doi 10.23937/2572-4193.1510049.
11. Chagarlamudi K, O'Brien WT, Towbin RB, Towbin AJ. Antrochoanal polyp. Appl Radiol [Internet]. 2019; 48(1):38-40. Disponible en: https://www.appliedradiology.com/articles/antrochoanal-polyp
12. Sarandeses A, Eiroa AM. Tumoraciones endonasales. En Escobar C, Escobar S, editores. ORL sin recurrir a exploraciones complementarias. Tercera edición. Barcelona: Centro de Estudios e Investigación Gaes; 2013. p. 63.
13. Artigas-Sapiain C, Sarría-Echegaray P, Tomás-Barberán M. Manejo de cuerpos extraños nasales y óticos en niños. Semergen. 2010;36(5):278-282. doi: 10.1016/j.semerg.2010.01.017.
Notas de autor
*Correspondencia: Tebelio Enrique Iglesias Marimón. Servicio de Otorrinolaringología. Hospital del Niño Dr. Francisco de Icaza Bustamante. itebelioenrique@yahoo.es