Artículos originales
Genes de resistencia en cepas bacterianas asociadas a infecciones en una institución prestadora de servicios de salud del departamento de Boyacá
Genes of resistance in bacterial strains associated with infections in a health services providing institution of the department of Boyacá
Genes de resistencia en cepas bacterianas asociadas a infecciones en una institución prestadora de servicios de salud del departamento de Boyacá
Revista Salud Uninorte, vol. 36, núm. 2, pp. 394-411, 2020
Fundación Universidad del Norte, División de Ciencias de la
Recepción: 08 Agosto 2018
Aprobación: 02 Septiembre 2019
RESUMEN
Objetivo: Determinar la presencia de los genes de resistencia en cepas bacterianas asociados a infecciones en una IPS de segundo nivel del municipio de Duitama (Boyacá).
Materiales y métodos: Se llevó a cabo un estudio observacional, descriptivo de corte transversal; se confirmó la identificación y el fenotipo de la resistencia de acuerdo con la guía CLSI M100-S23 del Clinical and Laboratory Standards Institute (CLSI); se hizo el análisis molecular de la presencia de los genes que codifican resistencia en cepas gram negativas y positivas.
Resultados: El estudio mostró una prevalencia de genes de resistencia en 91,7% de las muestras evaluadas (33/36), siendo blaTEM el más frecuente está presente en 33 cepas (91,7 %), seguido por blaCTXM1 36,1 % y blaSHV con 27,8% de frecuencia. Para la frecuencia de los genes en S. aureus, se pudo evidenciar que 37.5 % de las cepas presentaron el gen blaZ y 32,5 % el gen mecA; resultados que confirman la presencia de genes que codifican este tipo de resistencias y se convierten en el principal mecanismo responsable de infecciones en pacientes hospitalizados.
Conclusión: La genotipificación bacteriana permitió confirmar la presencia de clones con resistencia tipo BLEE en el 92 % de las cepas Gram negativas (E. coli y K. pneumoniae) y en el 37 % de las cepas Gram positivas (S. aureus), por lo cual es necesario mantener la vigilancia de estas cepas a fin de evitar posibles brotes causados por estos microorganismos resistentes.
Palabras clave: fenotipo+ farmacorresistencia microbiana+ monitoreo epidemiológico+ tipificación molecular+ infecciones bacterianas.
ABSTRACT
Objective: Determine the presence of resistance genes in bacterial strains associated with infections in a second-level IPS in Duitama City, Department of Boyacá.
Materials and methods: An observational, descriptive cross-sectional study was carried out. Subsequently, the identification and phenotype of the resistance was confirmed according to the CLSI guide M100-S23 of Clinical and Laboratory Standards Institute (CLSI). Molecular analysis to identify the presence of genes for bacterial resistance was done in both gram-negative and Gram-positive strains.
Results: The study showed a prevalence of resistance genes in 91.7 % of the samples evaluated (33/36), blaTEM was the most frequent gene being present in 33 strains (91.7 %), followed by blaCTXM1 36.1 % and blaSHV with 27.8 %. For the frequency of the genes in S. aureus, it was evidenced that 37.5% of the strains presented the blaZ gene and 32.5 % the mecA gene, results that confirm the presence of genes that encode this type of resistance and become the main mechanism responsible for infections in hospitalized patients.
Conclusion: The bacterial genotification allowed to confirm the presence of clones with resistance type fi-lactamasas extended spectrum (ESBL) in 92 % of the Gram negative strains (E. coli and K. pneumoneae) and in 37 % of Gram positive strains (S. aureus), which is why it is necessary to maintain the surveillance of these strains in order to avoid possible outbreaks caused by these resistant microorganisms.
Keywords: phenotype, drug resistance, microbial, epidemiological monitoring, molecular typing, bacterial infections.
INTRODUCCIÓN
Las enfermedades infecciosas fueron la principal causa de muerte del ser humano antes del descubrimiento de la penicilina en los años 40; pese a que la medicina y otras ciencias presentan avances, las infecciones bacterianas siguen siendo un grave problema en muchos países del mundo 1. Aunque la resistencia bacteriana es un fenómeno natural, el uso irracional de antimicrobianos tanto en el ser humano, animales y agricultura están acelerando este proceso, dejándonos sin alternativas para el tratamiento de las infecciones 2.
Las infecciones por bacterias resistentes pueden afectar a cualquier persona, sin importar edad, religión o región donde se encuentre. A nivel hospitalario, las infecciones asociadas a la atención de salud (IAAS) cada vez se vuelven más difíciles de tratar, por lo cual se han convertido en una de las mayores amenazas para la salud pública 3. En hospitales de alta complejidad, el problema de la resistencia presenta un mayor impacto por las pocas medidas de prevención y control, higiene de manos, protocolos de limpieza y desinfección, elevado número de pacientes críticamente enfermos, presencia de múltiples enfermedades concomitantes y uso frecuente de dispositivos invasivos, el uso inapropiado de antibióticos, mecanismos de resistencia intrínsecos o adquiridos por la bacteria que conllevan a la aparición de multirresistencia, capacidad que tienen las bacterias de eludir la acción antibacteriana como fenómeno inagotable, así como su alta tasa de mutaciones y su amplia gama de transferencia de material genético intra- o interespecífico 1,4.
En estos ambientes hospitalarios, uno de los factores que más altas tasas de mortalidad y morbilidad producen son las infecciones por enterobacterias productoras de β-lactamasas de espectro extendido (BLEE), debido a la capacidad de hidrolizar los antibióticos β-lactámicos empleados; dichos antibióticos son los más empleados a nivel mundial 5.
El panorama de la resistencia de las bacterias en Colombia es complejo, y gracias a los múltiples estudios de caracterización microbiológica y molecular llevados a cabo por diferentes grupos de vigilancia e investigación del país, se ha logrado conocer la prevalencia, las variantes, la distribución y las implicaciones clínicas de las betalactamasas en los hospitales de diferentes ciudades del país 6.
El departamento de Boyacá tiene un perfil de resistencia muy diverso a nivel hospitalario, lo que hace necesario ampliar los estudios de estos microorganismos aislados, buscando factores relacionados con la diseminación de bacterias resistentes, sumando al ya referido uso inapropiado de antibióticos y la aplicación deficiente en las medidas de prevención y control 7. Por lo tanto, el objetivo de este estudio fue determinar la presencia de los genes de resistencia en cepas bacterianas asociados a infecciones en una IPS de segundo nivel del municipio de Duitama (Boyacá), de tal manera que se identifiquen y confirmen estos fenotipos de resistencia y se aporte datos relevantes a la vigilancia de este evento de interés en dicho departamento.
MATERIALES Y MÉTODOS
Se llevó a cabo un estudio observacional, descriptivo, de corte transversal. Para ello se caracterizaron cepas provistas por el laboratorio de la IPS de segundo nivel del municipio de Duitama que presentaron algún fenotipo de resistencia. El muestreo se realizó durante febrero a octubre de 2017; y para esto no se tuvo acceso a las historias clínicas ni a la información de los pacientes. La identificación bacteriana inicial se realizó mediante el sistema PHOENIX 100 BD®, al igual que los perfiles de susceptibilidad.
Para la confirmación fenotípica de bacterias Gram negativas y Gram positivas se emplearon métodos convencionales (BBL Crystal GP / GN ID (BD)) en el Laboratorio de Microbiología de la Universidad de Boyacá 8. Para las cepas Gram negativas se realizó prueba de tamizaje a las entero-bacterias aisladas, empleando sensidiscos de cefotaxime (CTX30), ceftazidime (CAZ30), cefepime (FEP30), ceftriaxona y aztreonam (ATM30). Una vez obtenidos los resultados de los antibiogramas, se confirmó la presencia de BLEE con el test de sinergia de doble disco, utilizando la cepa Klebsiella pneumoniae ATCC 700603 como control positivo y la cepa Escherichia coli ATCC 25922 como control negativo 9. El resultado positivo se interpreta por un halo de inhibición mayor o igual a 5 mm de la cefalosporina en combinación con el ácido clavulánico respecto de la cefalosporina; en el total de las cepas se confirmó en el 100 % (n=36) el fenotipo de resistencia.
Para las cepas Gram positivas, los sensidiscos de antibióticos utilizados fueron: Oxacilina (OX, 1μg), Eritromicina (ERI, 15 μg), Clindamicina (CLI, 2 μg), Tobramicina (TOB, 10 μg), Tetraciclina (TCY, 30 μg), Ciprofloxacina (CIP, 5 μg) y Vancomicina (VAN, 30 μg). A todas las cepas identificadas como S. aureus que presentaron resistencia a oxacilina (OX, 1μg) se les realizó el método de difusión del disco con cefoxitina (FOX, 30μg), acorde con los criterios del CLSI/NCCLS 2017 10. Toda cepa de S. aureus oxacilina-resistente y cefoxitina-resistente, fue considerada como S. aureus resistente a meticilina (cepa SARM). Todos estos ensayos fueron realizados por duplicado. Como control de calidad se utilizaron dos cepas: Staphylococcus aureus ATCC 43300 como control positivo y S. aureus ATCC 29213 como control negativo.
Pruebas moleculares
Para la identificación de los genes de resistencia, se realizó una extracción de ADN empleando el kit de extracción de Promega "Wizard" Genomic DNA Purification, siguiendo las instrucciones del fabricante 11. El ADN obtenido fue cuantificado empleando un protocolo basado en un marcador fluorescente intercalante 12; para esto se empleó el equipo de QuantusTM Fluorometer (Promega) y el kit QuantiFluor® dsDNA System (Promega), siguiendo las recomendaciones del fabricante.
Todas las amplificaciones se realizaron mediante PCR convencional en un termociclador labconco de doble bloque; para estas se empleó el reactivo premezclado 2X PCR Taq MasterMix with dye de Applied Biological Materials (ABM), que contiene una concentración balanceada de ADN Taq polimerasa, dNTPs, MgCl2 y demás componentes necesarios para la PCR, según se muestra en la tabla 1. Las amplificaciones fueron realizadas en un volumen final de 25 uL (master master mix 1X; 0.2 uM de cada primer y 2 ng/uL de ADN) en el termociclador Labconco, según los protocolos especificados para cada gen. Todos Los iniciadores fueron sintetizados por Macrogen Korea.

Caracterización de genes AmpC, blaTEM, blaCTXM1, blaSHV en cepas Gram negativas:
Para la detección molecular de los genes de resistencia en Escherichia coli y Klebsiella pneumoniae se utilizó el protocolo 005 del Laboratorio de Epidemiología Molecular de la Universidad de Boyacá, empleando iniciadores y condiciones establecidas por Paterson et al. 13. Para los genes tipo AmpC (550pb) se emplearon los iniciadores F5'-ATCAAAACTGGCAGCCG-3' y R5'-GAGCCCGTTTTAT-GCACCCA-3', amplificados bajo las siguientes condiciones: desnaturalización inicial de 94 °C 30s, seguido por 35 ciclos de 94 °C 30s, alineamiento a 56.9 °C 1 min y extensión 72 °C 1 min, con una extensión final de 72 °C 10 min. Para la detección de los genes blaTEM (900pb) se emplearon los iniciadores F5'-AAACGCTGGTGAAAGTA-3' y R5'-AGCGATCTGTCTAT-3' y las siguientes condiciones: desnaturalización inicial de 94 °C 30s seguido por 35 ciclos de 94°C por 30 s, alineamiento a 49 °C por 1 min y extensión 72 °C por 1 min, con una extensión final de 72 °C por 10 min. Para blaCTXM1 (500pb) se utilizaron los inciadores F5'-GACGATGTCACTGGCTGAGC-3' y R5'-AGCCGCC-GACGCTAATACA-3', amplificados bajo las condiciones: desnaturalización inicial de 94 °C por 30 s, seguido por 35 ciclos de 94 °C por 30 s, alineamiento a 58 °C por 1 min, y extensión 72 °C por 1 min, con una extensión final de 72 °C por 10 min. Para blaSHV (700pb) se emplearon los iniciadores F5'ATGCGTTATATTCGCCTGTG-3' y R5'-TGCTTTGTTATTCGGGCCAA-3', amplificados bajo las siguientes condiciones: desnaturalización inicial de 94 °C por 30 s, seguido por 35 ciclos de 94 °C por 30 s, alineamiento a 56 °C por 1 min, y extensión 72 °C por 1 min, con una extensión final de 72 °C por 10 min.
Para el control de amplificación se utilizó la cepa Klebsiella pneumoniae ATCC 700603 (control positivo) y la cepa Escherichia coli ATCC 25922 (control negativo).
Caracterización de genes blaZ y mecA en cepas Gram positivas:
Para la caracterización molecular de cepas Gram positivas se utilizó la presencia o ausencia de los genes de resistencia blaZ y mecA. La extracción del ADN se realizó empleando el protocolo 003 para extracción de ADN en bacterias Gram Positivas del Laboratorio de Epidemiología Molecular de la Universidad de Boyacá 14. Como control se emplearon cepas de Staphylococcus aureus ATCC43300.
El gen blaZ (861pb) se evaluó mediante reacción en cadena de la polimerasa con los iniciadores F5' TAC AAC TGT AATATC GGA GGG y R5' CAT TAC ACT CTT GGC GGT TTC. En el esquema de amplificación se tuvieron en cuenta las siguientes condiciones: desnaturalización inicial de 94 °C 5 min, seguido por 35 ciclos de 94 °C por 30 s, alineamiento a 55 °C por 30 s, y extensión 72 °C por 30 s, con una extensión final de 72 °C por 5 min. Como control se emplearon cepas de Staphylococcus aureus ATCC43300. En cuanto al gen mecA (533 pb); las cepas meticilino resistentes fueron detectadas utilizando los iniciadores F5' AAA ATC GAT GGT AAA GGT TGG y R5' AGT TCT GCA GTA CCG GAT TTG. La amplificación se realizóde la siguiente mmanera : desnaturalización 94 °C por 30 s, 30 ciclos de alineamiento a 55 °C por 30 s y extensión a 72 °C por 1 min, y una etapa de extensión final de 72 °C por 5 min.
Los productos de amplificación se evidenciaron mediante electroforesis en gel de agarosa al 1 % en TAE 1 %, empleando safeview classic (ABM) como agente intercalante, y opti DNA Marker 1Kb (ABM) como marcador de peso molecular. Las bandas se evidenciaron en un transiluminador Ul-traSlim Led Illuminator Maestrogen.
RESULTADOS
Se evaluaron un total de 76 cepas, las cuales cumplieron con el criterio de inclusión de presentar algún fenotipo de resistencia. Dentro de los aislamientos de los microorganismos Gram negativos, de las 36 cepas, el 55.6 % (n= 20) correspondió a Escherichia coli (E. coli) y el 41.7 % (n=15) a Klebsiella pneumoniae (K. pneumoniae). El 2.8 % restante está representado por una cepa de Klebsiella oxytoca (n=1). Se evidenció que el servicio con mayores aislamientos bacterianos fue Urgencias, con predominio de la cepa de E.coli, seguido de Hospitalización y Unidad de Cuidado Intensivo (UCI), con predominio de aislamientos de K. pneumoniae.
Se incluyeron un total de 40 cepas Gram positivas identificadas como S. aureus en el 100 % de los aislados. Con respecto a la procedencia de la infección según el servicio del hospital, se determinó que 52.5 % (n=21) correspondía a Consulta por Urgencias; 20 % (n=8) a Hospitalización; 10 % (n=4) a Quirófanos; 7.5 % (n=3) a Consulta de Observación; 7.5 % (n=3) Unidad de Cuidado Intensivo - UCI Adultos, y por último, 2.5 % (n=1) a Consulta Externa.
Los resultados de la evaluación de los fenotipos de resistencia para los aislados de E.coli (n= 20) y K. pneumoniae (n=16) se presentan en la figura 1.

El patrón de resistencia para las 40 cepas de S. aureus mostró que el 100 % de las cepas presentó resistencia frente a Penicilina G; el 47.5 % a la oxacilina. En cuanto a esta última, la literatura refiere que se debe realizar la confirmación empleando un sensidisco de cefoxitin que determinará la presencia presuntiva de la resistencia a oxacilina mediada por el gen mecA 15,16. El 15 % de las cepas presentó resistencia a la eritromicina; 5 % resistencia frente a clindamicina; 2.5% son resistentes al trimetropin sulfa, y ningún aislamiento presentó resistencia a Vancomicina.
Caracterización molecular de genes de resistencia en bacterias Gram negativas y Gram positivas. El estudio mostró una prevalencia de genes de resistencia en el 91,7 % de las muestras evaluadas (33/36), siendo blaTEM el más frecuente, presente en 33 cepas (91,7 %), seguido por blaCTXM1, presente en el 36,1 % y blaSHV, presente en el 27,8 % de las cepas. Al evaluar el gen Ampc en las cepas Gram negativas, se determinó una frecuencia de 5,6 %. Un análisis más detallado revela que el 26,8 % de las cepas presentaba tanto el gen blaTEM como el gen blaSHV; adicionalmente, las dos cepas que presentaron el gen Ampc también presentaron el gen blaTEM, y solo una de las cepas analizadas, que corresponde a una cepa aislada de Klebsiella pneumoniae, presentó tres genes: Ampc, blaSHV y blaTEM (tabla 2).


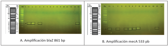
Caracterización de genes blaZ y mecA en cepas Gram positivas. Los resultados de los estudios de presencia de genes de resistencia en S. aureus se muestran en la figura 3.


DISCUSIÓN
Los resultados de este estudio se asemejan a los reportados en otras investigaciones en las que E. coli es el uropatógeno con mayor número de aislamientos Gram negativos, seguidos por K. pneumoniae17-19. Así mismo, se evidenció que el servicio con mayor número de aislamientos fue urgencias, con predominio de la cepa de E.coli, seguido de Hospitalización y Unidad de Cuidado Intensivo (UCI), con predominio de aislamientos de K. pneumoniae, lo cual sugiere una grave problemática, debido a que el mayor número de muestras aisladas en pacientes son ambulatorios. Esto demuestra la existencia de este patógeno a nivel de comunidad, y se pudo establecer un uso indiscriminado de antibióticos, que motiva a realizar más trabajos de este tipo para vigilar el uso correcto de los mismos 20,21. Entre agosto y diciembre de 2011 se realizó un estudio de casos y controles en 3 instituciones de salud de tercer nivel en Colombia. En este se tomaron todos los pacientes admitidos por urgencias con diagnóstico probable de infección de vías urinarias. De los 2124 pacientes seleccionados, 629 tuvieron un urocultivo positivo; en 431 de estos se aisló E. coli; 54 fueron positivos para BLEE y 29 corresponden a CTXM. Dicho estudio mostró resultados compatibles con los de este estudio en cuanto a cepa y mecanismo de resistencia predominante 22.
Una de las cepas identificada como K. pneumoniae presenta en su resultado del antibiograma resistencia a la mayoría de los antibióticos, incluso a la penicilina; este patrón de resistencia es compatible fenotípicamente con el mecanismo de resistencia KPC (Klebsiella pneumoniae Carbapenemasa) 23, que no pudo ser confirmado molecularmente debido a que aún no se cuenta con su estandarización, dejando la confirmación para próximas investigaciones.
La cepa catalogada como posible portadora de este mecanismo de resistencia proviene de muestra de orina aislada del servicio de urgencia, lo cual puede sugerir que no se asocia a la estancia prolongada sino, por el contrario, a un mal manejo de la terapia antibiótica por parte del personal de salud, o la falta de apego al tratamiento por parte del paciente, lo cual pudo generar la falla terapéutica, y así favorecer la expresión del mecanismo de resistencia 24.
K. pneumoniae ha venido en aumento considerable; en un estudio a nivel nacional se tomaron 23 hospitales entre 2009 y 2012 y se analizaron 38 048 aislamientos durante el periodo descrito. Se describieron perfiles de resistencia para Escherichia coli, Klebsiella pneumoniae, Pseudomonas aeruginosa y Acinetobacter baumannii. E. coli fue el microorganismo más frecuente (promedio=14,8 %); seguido de K. pneumoniae, con un 15 %. De los aislamientos de K. pneumoniae evaluados, 68,4 % fue positivo para KPC. Porcentaje elevado que requiere de vigilancia y monitoreo por las entidades encargadas. Así mismo, se sugiere la realización de investigaciones enfocadas a este mecanismo de resistencia principalmente 9.
En cuanto a los Gram positivos de las cepas evaluadas, el 47.5 % presenta resistencia a la meticilina (oxacilina), que presuntivamente podrían catalogarse como Staphylococcus aureus resistente a la meticilina (SARM), patógeno de gran importancia en salud pública, debido a la rápida diseminación y diversificación de linajes pandémicos que presentan perfiles variables de virulencia y sensibilidad antimicrobiana 25-28, comparado con los resultados reportados por Nancy Amaya entre enero y diciembre de 2008, en los que se obtuvo una resistencia meticilino resistente de 64 %, pero al igual que la presente investigación, no se detectó resistencia a la Vancomicina 29.
En cuanto al análisis molecular, se muestra una prevalencia de genes de resistencia en el 91,7 % de las muestras evaluadas (33/36), siendo blaTEM el gen más frecuente identificado en 33 cepas (91,7 %), lo cual coincide con el rango de frecuencia reportada para Klebsiella pneumoniae30; blaCTXM1 fue el segundo más prevalente, con 36,1 %, seguido por blaSHV, con 27,8 %. Al comparar estos resultados con el trabajo de Ting y colaboradores en 2013, la frecuencia de estos genes es mayor en sus casos de estudios, lo cual indica que considerando las condiciones ambientales, las cepas bacterianas pueden presentar diferentes perfiles y mecanismos de resistencia. En el caso particular de E. coli, solo se encontraron 2 cepas que expresaban blaSHV, mientras que Ting no encontró cepas que presentaran este mecanismo de resistencia 31. Al evaluar el gen Ampc en las cepas Gram negativas, se encontró una frecuencia de 5,6 %. Un análisis más detallado revela que el 26,8 % de las cepas presentaban tanto el gen blaTEM como blaSHV, las dos cepas que presentaron el gen Ampc también presentaron el gen blaTEM; solo una cepa, que corresponde a una K. pneumoniae presentó tres genes: Ampc, blaSHV y blaTEM.
Al comparar los resultados obtenidos con los resultados de caracterización fenotípica se pudo apreciar que el 100 % de las cepas presentaron fenotipo BLEE, mientras que molecularmente se identificó el gen blaZ en un 40 % de ellas. En el caso de fenotipo meticilino resistente, se observó en el 50 %, mientras que solo un 30 % presentó el gen mecA.
En Sudamérica, una de las primeras publicaciones de infecciones por SARM en pacientes ambulatorios adultos con infección de piel fue en Brasil, en 2002 32; posteriormente, fueron apareciendo otros reportes, entre ellos un estudio multicéntrico en Argentina, realizado entre noviembre de 2006 y noviembre de 2007, en el que se diagnosticaron 840 infecciones por S. aureus, de las cuales 447 fueron adquiridas en la comunidad, representando el 62 % del total de las infecciones adquiridas en la comunidad (CA-SARM) 33. Con el aumento en la prevalencia de SARM en pacientes ambulatorios con infecciones de piel y partes blandas (IP y PB) hubo un cambio epidemiológico en los últimos años respecto a las infecciones producidas por S. aureus, lo cual lo convierte en un hecho de importancia clínica y terapéutica, de gran trascendencia en la salud pública, por lo que se presenta más en comunidad que no ha sido hospitalizada ni recibido tratamiento antibiótico 25,34.
CONCLUSIONES
La genotipificación bacteriana permitió confirmar la presencia de clones con resistencia tipo BLEE en el 92 % de las cepas Gram negativas (E. coli y K. pneumoneae) y en el 37 % de las cepas Gram positivas (S. aureus), por lo cual es necesario mantener la vigilancia de estas cepas a fin de evitar posibles brotes causados por estos microorganismos resistentes.
Las consecuencias de ignorar la presencia de las bacterias productoras de BLEE en nuestra realidad puede condicionar al fracaso del tratamiento, lo que puede conllevar a aumentar la resistencia y diseminación de este tipo de microorganismos desde el espacio intrahospitalario a la comunidad.
Ante el incremento de microorganismos Gram negativos multirresistentes y la amplia distribución de las carbapenemasas en esta Institución prestadora de servicios de salud, es de gran importancia la articulación de la biología molecular a los sistemas de vigilancia epidemiológica tradicionales que permita el análisis integral de la resistencia; ya que estos hallazgos podrían servir para el desarrollo de programas de uso adecuado de antimicrobianos y la elaboración de guías para la prevención y contención de bacterias multirresistentes no solo en esta institución sino en Colombia.
REFERENCIAS
1. Paola López-Velandia D, Torres-Caycedo MI, Prada-Quiroga CF. Genes de resistencia en bacilos Gram negativos: Impacto en la salud pública en Colombia Resistance genes in gram negative bacilli: Impact on public health in Colombia. Available from: http://www.scielo.org.co/pdf/reus/v18n1/v18n1a18.pdf
2. Serra Valdés MÁ. La resistencia microbiana en el contexto actual y la importancia del conocimiento y aplicación en la política antimicrobiana. Rev Habanera Ciencias Médicas. 2017;16(3).Disponible en: http://scielo.sld.cu/scielo.php?script=sci_arttext&pid=S1729-519X2017000300011
3. Fariña N. Bacterial resistance. A global public health problem with difficult solution. Memorias del Inst Investig en Ciencias la Salud. May 2016; 14(1):4-7.Disponible en: http://dx.doi.org/10.18004/Mem.iics/1812-9528/2016.014
4. Gallego-Maldonado G, Otálora-Díaz AShi, Urbano-Cáceres EX, Morales-Súarez CM. Vista de Multirresistencia bacteriana: Reto terapéutico en trasplante renal. Universidad y Salud. 2017 ;21(1):72-87. Disponible en: https://revistas.udenar.edu.co/index.php/usalud/article/view/3656/5028
5. Coral Torres DE. Caracterización molecular de genes de resistencia a íílactámicos, en aislados bacterianos clínicos miembros de la familia Enterobacteriaceae. Quito: Pontificia Universidad Católica del Ecuador Facultad de Ciencias Exactas y Naturales Escuela de Ciencias Biológicas; 2020.
6. Rada AM, Hernández-Gómez C, Restrepo E, Villegas MV. Distribution and molecular characterization of beta-lactamases in Gram negative bacteria in Colombia (2001-2016). Biomedica. May 2019 ;39:199-220.Disponible en : https://doi.org/10.7705/biomedica.v39i3.4351
7. Alós J-I. Resistencia bacteriana a los antibióticos: una crisis global. Enferm Infecc Microbiol Clin. Dec 2015 ;33(10):692-9. Disponible en: http://linkinghub.elsevier.com/retrieve/pii/S0213005X14003413
8. Abdulai H, Hamidu. Assessment of antibiotic use at Tamale Teaching Hospital. Jan 2017; Available from: http://ir.knust.edu.gh/handle/123456789/10228
9. Hernández-Gómez C, Blanco Gabriel VM, Correa A, José Maya J, de la Cadena E, Perengüez M et al. Evolución de la resistencia antimicrobiana de bacilos Gram negativos en unidades de cuidados intensivos en Colombia. Biomédica. 2014;3434(11).Disponible en: http://dx.doi.org/10.7705/biomedica.v34i0.1667
10. Muro de Zaro Alcalá, Ma. Carbapenemasas: Un mecanismo de resistencia bacteriana. Disponible en: http://147.96.70.122/Web/TFG/TFG/Memoria/MANUELA MURO DE ZARO ALCALA.pdf
11. Rodríguez EC, Saavedra, SY, et al. Diseminación de Klebsiella pneumoniae productoras de KPC-3 en hospitales de Bogotá durante un periodo de tres años. Biomédica. 2014;34(1):224-31. Disponible en: http://www.scielo.org.co/pdf/bio/v34s1/v34s1a25.pdf
12. Paciel DD, Seija V, Prieto J, Vignoli R, Medina J, Savio E. Enterobacterias productoras de KPC (Klebsiella pneumoniae carbapenemasa).; Disponible en: http://www.infectologia.edu.uy/images/stories/pdf/publicaciones/biomedicas/tendencias/KPC_pacieletal.pdf
13. Paterson DL, Hujer KM, Hujer AM, Yeiser B, Bonomo MD, Rice LB, et al. Extended-Spectrum β-Lac-tamases in Klebsiella pneumoniae Bloodstream Isolates from Seven Countries: Dominance and Widespread Prevalence of SHV- and CTX-M-Type β-Lactamases. Antimicrob Agents Chemother. Nov 2003;47(11):3554-60. Available from: /pmc/articles/PMC253771/?report=abstract
14. Cremonesi P, Castiglioni B, Malferrari G, Biunno I, Vimercati C, Moroni P et al. Technical note: Improved method for rapid DNA extraction of mastitis pathogens directly from milk. J Dairy Sci. Jan 2006;89(1):163-9.
15. Morosini MI, Cercenado E, Ardanuy C, Torres C. Detección fenotípica de mecanismos de resistencia en microorganismos grampositivos. Enferm Infecc Microbiol Clin. Jun 2012 ;30(6):325-32. Disponible en: http://www.sciencedirect.com/science/article/pii/S0213005X11003107
16. Yábar MN, Curi-Pesantes B, Torres CA, Calderón-Anyosa R, Riveros M, Ochoa TJ. Multirresistencia y factores asociados a la presencia de betalactamasas de espectro extendido en cepas de Escherichia coli provenientes de urocultivos. Rev Peru Med Exp Salud Publica. 2017;34:660-5. Disponible en: https://www.scielosp.org/article/rpmesp/2017.v34n4/660-665/#
17. Moisés M, García M. Situación actual de la resistencia bacteriana Current situation of the bacterial resistance. MEDISAN. 2010;15(5). Disponible en: http://scielo.sld.cu/pdf/san/v15n5/san01511.pdf
18. Docquier J-D, Luzzaro F, Amicosante G, Toniolo A, Rossolini GM. Multidrug-Resistant Pseudomo-nas aeruginosa Producing PER-1 Extended-Spectrum Serine-β-Lactamase and VIM-2 Metallo-β-Lactamase. Emerg Infect Dis. Oct 2001 ;7(5):910-1. Disponible en: http://www.ncbi.nlm.nih.gov/pubmed/11747713
19. Lee K, Lim YS, Yong D, Yum JH, Chong Y. Evaluation of the Hodge test and the imipenem-EDTA double-disk synergy test for differentiating metallo-beta-lactamase-producing isolates of Pseudomonas spp. and Acinetobacter spp. J Clin Microbiol. Oct 2003 ;41(10):4623-9. Available from: http://www.ncbi.nlm.nih.gov/pubmed/14532193
20. Montaluisa Colcha MD. Determinación de Blee Producidas por Klebsiella Pneumoniae y su Relacion con la Resistencia a los Antimicrobianos. May 2016; Disponible en: http://repositorio.uta.edu.ec/handle/123456789/23211
21. Apac CG. Resistencia antibiótica en el Perú y América Latina. Disponible en: http://dev.scielo.org.pe/pdf/amp/v29n2/a10v29n2.pdf
22. Horna G, Astocondor L, Jacobs J, García C. Phenotypic methods for detection of methicillin-resistant Staphylococcus aureus. Inst Trop Med Antwerp Found Public Util. Available from: http://seq.es/seq/0214-3429/28/2/horna.pdf
23. OMS. Resistencia a los antibióticos. WHO;. 2017. Available from: http://www.who.int/mediacentre/factsheets/antibiotic-resistance/es/
24. Tamma PD, Han JH, Rock C, Harris AD, Lautenbach E, Hsu AJ et al. Carbapenem Therapy Is Associated With Improved Survival Compared With Piperacillin-Tazobactam for Patients With Extended-Spectrum β-Lactamase Bacteremia. 2015. Available from: https://academic.oup.com/cid/article/60/9/1319/404190
25. Barrero L, Rivera S, Villalobos A. Protocolo de vigilancia en salud pública, Infecciones asociadas a dispositivos. Grup Enfermedades Transm Equipo Infecc Asoc a la Aten en salud. 2016: 3-70. Disponible en: http://www.ins.gov.co/lineas-de-accion/Subdireccion-Vigilancia/sivigila/Protocolos SIVIGILA/PRO Infecciones asociadas a procedimientos médico-quirúrgicos.pdf
26. Londoño Restrepo J, Macias Ospina IC, Ochoa Jaramillo FL. Factores de riesgo asociados a infecciones por bacterias multirresistentes derivadas de la atención en salud en una institución hospitalaria de la ciudad de Medellín 2011-2014. Infectio. Apr 2016 ;20(2):77-83. Disponible en: https://www.sciencedirect.com/science/article/pii/S0123939215000922
27. Pantoja Ortiz K.P, Segura JC, Bettin LJ, Coriat J, Díez H. Frecuencia de betalactamasas de espectro extendido (BLEE) en klebsiella pneumoniae, klebsiella oxytoca y Escherichia coli aisladas de pacientes hospitalizados en una clínica de tercer nivel en Bogotá. Cienc Actual. 2015;4:1-9.
28. García CS, de la Gándara MP, García FJC. Betalactamasas de espectro extendido en enterobacterias distintas de Escherichia coli y Klebsiella. Enferm Infecc Microbiol Clin. Jan 2010;28:12-8. Available from: http://linkinghub.elsevier.com/retrieve/pii/S0213005X10700033
29. Amaya Donoso NA. Resistencia Bacteriana en Unidad de Cuidados Intensivos Adultos de la Clínica Medilaser, Neiva-Colombia, entre enero y diciembre de 2008 2009RFS. Revista Facultad de Salud. Disponible en: https://www.journalusco.edu.co/index.php/rfs/article/view/44/150
30. Buitrago EM, Hernández C, Pallares C, Pacheco R, Hurtado K, Recalde M. Frecuencia de aislamientos microbiológicos y perfil de resistencia bacteriana en 13 clínicas y hospitales de alta complejidad en Santiago de Cali -Colombia Infectio Asociación Colombiana de Infectología. Infectio. 2014;18(1):3-11. Disponible en: https://ac.els-cdn.com/S0123939214707349/1-s2.0-S0123939214707349-main.pdf?_tid=713ccda8-e1cf-11e7-b928-00000aab0f02&acdnat=1513366853_b5322575760c03f-742484c1be4ab8245
31. Ting C, Jun A, Shun Z. Detection of the common resistance genes in Gram-negative bacteria using gene chip technology. Indian J Med Microbiol. 2013;31(2):142-7.
32. Ribeiro A, Dias C, Silva-Carvalho MC, Berquó L, Ferreira FA, Santos RNS et al. First report of infection with community-acquired methicillin-resistant Staphylococcus aureus in South America. J Clin Microbiol. Apr 2005 ;43(4):1985-8. Available from: http://www.ncbi.nlm.nih.gov/pubmed/15815039
33. Paganini H, Della Latta MP, Muller Opet B, Ezcurra G, Uranga M, Aguirre C et al. Community-acquired methicillin-resistant Staphylococcus aureus infections in children: multicenter trial. Arch Argent Pediatr. Oct 2008 ;106(5):397-403. Available from: http://www.ncbi.nlm.nih.gov/pubmed/19030638
34. Abente SI, Carpinelli LI, Guillén RI, Rodríguez FI, Fariña NI, Laspina FI et al. Frecuencia de Staphylo-coccus aureus meticilino resistente y del factor de virulencia PVL en pacientes ambulatorios con infección de piel y partes blandas de Asunción, Paraguay. Investig Cienc Salud. 2016;14014(202):8-16. Disponible en: http://scielo.iics.una.py/pdf/iics/v14n2/v14n2a48.pdf
Notas