Caso clínico
Hemorragia talámica izquierda espontánea: caso ilustrativo
Spontaneous Left Talamic Hemorrhage: Illustrative Case
Hemorragia talámica izquierda espontánea: caso ilustrativo
Revista Salud Uninorte, vol. 37, núm. 1, pp. 230-239, 2021
Fundación Universidad del Norte, División de Ciencias de la
Recepción: 22 Octubre 2020
Aprobación: 15 Enero 2021
RESUMEN:
La hemorragia talámica pertenece al grupo de las hemorragias intracerebrales de etiología no traumática o quirúrgica. Es una entidad relativamente infrecuente y tiene una prevalencia de 6-15 % de los casos dentro de dicho grupo. El tálamo es una estructura anatómica donde convergen múltiples vías neuronales, por lo tanto, sus manifestaciones clínicas no están totalmente descritas. A pesar de ello, se conoce que su presentación clínica más frecuente está asociada al síndrome sensitivo de Déjerine-Roussy, caracterizado por intenso dolor neuropático, alodinia contralateral a la lesión, hemiparesia y hemiataxia. La hemorragia talámica también se puede presentar con alteraciones de la memoria, sueño, emociones y procesamiento de información sensitiva. Se presenta un caso de hemorragia talámica izquierda espontánea en un paciente de 71 años que debutó con cambios en su comportamiento, bradipsiquia y amnesia anterógrada, con posterior recuperación completa de su estado cognitivo y psicológico antes de los 8 días y con hallazgos normales en la panangiografía.
Palabras clave: hemorragia intracerebral espontánea, accidente cerebrovascular, tálamo, tomografía axial computarizada, resonancia magnética nuclear.
ABSTRACT: Thalamic hemorrhage belongs to the group of intracerebral hemorrhages of non-traumatic or surgical etiology. It is relatively rare and has a prevalence of 6-15% of cases. The thalamus is an anatomical structure where multiple neural pathways converge; therefore, its clinical manifestations are not fully described. Despite this, it is known that its most frequent clinical presentation is associated with the Dejerine-Roussy sensory syndrome, characterized by intense neuropathic pain, allodynia contralateral to the lesion, hemiparesis and hemiataxia. Thalamic hemorrhage can also present with alterations in memory, sleep, emotions, and the processing of sensitive information. We present a case of spontaneous left thalamic hemorrhage in a 71-year-old patient who presented with changes in his behavior, bradypsy-chia, and anterograde amnesia, with subsequent complete recovery of his cognitive and psychological state before 8 days and with normal findings in the panangiography.
Keywords: spontaneous intracerebral hemorrhage, stroke, thalamus, Computed axial tomography, nuclear magnetic resonance.
I. INTRODUCCIÓN
Los accidentes cerebrovasculares representan la tercera causa de muerte en el adulto y un 10-15 % de ellos corresponde a hemorragia intracerebral espontánea (HICE), la cual constituye uno de los procesos ictales de mayor gravedad 1),(2. La HICE es una enfermedad de relevancia justificada por múltiples razones, pero principalmente se debe a sus altos índices de morbilidad y mortalidad en los primeros 30 días. Su mortalidad es superior a la del infarto cerebral; el pronóstico es pobre y genera una gran carga socioeconómica 3),(4. Se trata de una emergencia médica que debe ser diagnosticada y tratada por neurólogos en colaboración con especialistas en medicina interna, medicina intensiva, radiología, neurología y neurocirugía 4. La severidad de la presentación clínica de la HICE puede variar dependiendo del tamaño, volumen y localización de la hemorragia 2. La hemorragia talámi-ca se caracteriza por ser un tipo de hemorragia cerebral de localización supratentorial subcortical y su prevalencia varía de 6 a 15 % de las hemorragias intracerebrales de etiología no traumática 5),(6. Las lesiones vasculares talámicas tienen la capacidad de causar anmesia anterógrada o retrógrada, disfunciones ejecutivas o disfasia, así como síntomas psicológicos o comportamentales, y causar demencia vascular 7. Presentamos el caso de una hemorragia talámica espontánea izquierda.
PRESENTACIÓN DEL CASO
Paciente masculino, caucásico de 71 años de edad, con antecedente de bradicardia sinusal, quien ingresó remitido a centro de salud de tercer nivel con cuadro clínico de 48 horas de evolución, consistente en cefalea holocraneana de instauración súbita, asociado a agitación psicomotora, bradipsiquia y amnesia anterógrada, motivo por el cual se decidió hospitalizar en sala general y se solicitó valoración por parte del Departamento de Medicina Interna.
Al examen físico se encontró una TA:110/70 mmHg, FC:42 latidos/minutos, FR:21 respiraciones/ minutos, T:36.7 °C. El paciente se encuentra con facie álgica, consciente, exhibe lenguaje bradilálico, pero coherente, con ausencia de alteraciones campimétricas, conserva simetría facial, con reflejo fotomotor, consensual, corneal, nauseoso y carinal presentes, fuerza muscular conservada en las cuatro extremidades (5/5 por la escala de Daniels), con tono y troismo normal, sin adia-dococinesia, reflejos osteotendinosos presentes y reflejos patológicos ausentes; marcha independiente sin alteraciones; resto de examen físico normal.
Los laboratorios evidencian hemograma, perfil lipídico, perfil tiroideo, glicemia, ionograma, función hepática y renal dentro de los límites de normalidad. De igual forma, se solicitó perfil in-munológico, VDRL y VIH con resultados normales y no reactivos, respectivamente; previamente se realizó electrocardiograma, que mostró evidente bradicardia sinusal. Posteriormente se inicia manejo sintomático y se solicitó una tomografía axial computarizada (TAC) simple de cráneo.
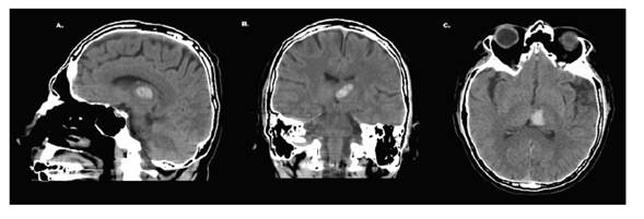
Por tratarse de un cuadro con compromiso neurológico, se solicitó valoración por el Departamento de Neurología y Neurocirugía, que valoran al paciente, quien evidenció cuadro clínico similar a las anotaciones en la exploración física y paraclínica previa; se describió TAC con hallazgos compatibles con hemorragia intraparenquimatosa en la región talámica izquierda (figura 1: A, B y C), por lo que se amplió el estudio y se solicitó ecografía de vasos carotideos, Resonancia Magnética Nuclear (RMN) de cerebro contrastada y panangiografía cerebral.
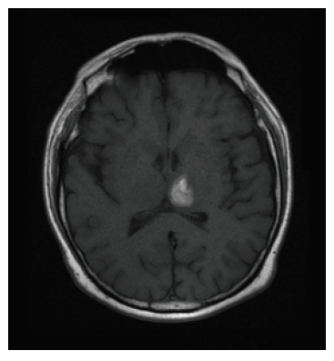
Se reporta ecografía de vasos carotideos sin compromiso hemodinámico cerebral. La RMN evidenció hematoma intraparenquimatoso de ubicación talámico-izquierda (figura 2). La panangiografía cerebral no reveló hallazgos patológicos. Se decide un tratamiento conservador y monitorización neurológica. Transcurrido el tercer día de hospitalización, el paciente recuperó la totalidad de sus funciones neuropsicológicas sin secuelas. Durante los siguientes tres días de hospitalización el paciente continuó su evolución de manera satisfactoria. Se dio de alta médica con recomendaciones y manejo sintomático. No obstante, continúa en seguimiento periódico por parte del Departamento de Neurología.


DISCUSIÓN
La HICE es una emergencia neurológica que se asocia a una alta tasa de morbimortalidad 8. Se define como el inicio improviso y sin antecedente traumático o quirúrgico de cefalea que generalmente se acompaña de alteración del estado de conciencia y/o focalización neurológica, que se relaciona a hemorragia intraparenquimatosa diagnosticada por estudios de imagen o por estudio patológico (autopsia clínica) y que a la vez no es atribuible a transformación hemorrágica de un infarto cerebral 2),(5. El 35% de las HICE se localiza en la región putaminal; del 6 al 15 % en la región talámica, del 5 al 15 % cerebelosa, y un 5 % pontina (6). Conocer el comportamiento de esta condición es complejo, ya que su conocimiento es limitado. No obstante, es bien conocido que a mayor edad, estos eventos se presentan con mayor frecuencia; múltiples estudios demuestran que más de la mitad de los casos de HICE se observan entre los 55 y 75 años de edad, dato que concuerda con el paciente descrito en este caso 1,9. En cuanto a los factores de riesgo, la hipertensión arterial (HTA) crónica se puede relacionar con la HICE en un 70 % de los casos, con un riesgo relativo (RR) entre 3.9 y 13.3 1; además, se ha descrito que se presenta con más frecuencia en pacientes asiáticos y de raza negra, lo que puede atribuirse al mayor riesgo que poseen estos de padecer HTA. Así mismo, los pacientes que padecen diabetes mellitus, coagulopatía, hipercolesterolemia, angiopatía amiloide cerebral, reciente consumo excesivo de alcohol, lesiones vasculares y/o infectocontagiosas y la de menor frecuencia, y no por ello menos importante, la farmacológica ,y por abuso de sustancias de uso recreacional, que también representan un riesgo mayor de presentar episodios de HICE que la población normal 1),(9),(10),(11),(12. En un estudio transversal retrospectivo, realizado por Ospina et al. se observó que el 40 % de los pacientes con HICE no presentó antecedentes de importancia 9. El presente caso solo tenía como único antecedente personal bradicardia sinusal, la cual no se considera un factor de riesgo para padecer HICE 9; razón por la cual se clasiicó al paciente como una HICE sin antecedentes.
Como se mencionó anteriormente, la presentación clínica de esta condición depende del tamaño y de la circunscripción de la lesión vascular 6,13,14,15. Las manifestaciones clínicas producidas por lesiones talámicas son muy variadas, poco sistematizables y poco conocidas por el médico, y representan un verdadero desafío. El conocimiento de los síndromes asociados a lesiones talá-micas permitirá un abordaje oportuno, ya que proporciona herramientas de juicio clínico, como también la localización anatómica de la lesión, estima el grado de severidad y la estructura vascular afectada 6),(13),(14.
En lo que respecta al presente caso, el paciente debutó con una cefalea holocraneana de instauración súbita, la cual puede aparecer en un 50 % de los pacientes. Fisiopatológicamente, este tipo de lesiones originan una disrupción del tejido adyacente y un efecto de masa que en algunos casos puede ocasionar edema perilesional, compresión e isquemia 1,5,6. Entre las funciones del tálamo se encuentran la regulación de las emociones y la memoria; en este caso hallaron alteraciones de este tipo, puesto que el paciente presentó cambios en su comportamiento y amnesia anterógrada; además de este defecto neuropsicológico, también se logró percibir bradilalia en el paciente, incluyendo este signo dentro la gama de alteraciones del lenguaje, típicas de compromiso talámico 1),(6),(13),(14.
La irrigación de las zonas del tálamo obedece a las diferentes variables anatómicas de cada individuo. No obstante, las principales arterias que irrigan al tálamo son: la arteria tuberotalámica, paramediana, coroidea inferolateral y posterior. El compromiso de cada una de dichas arterias va a estar representando a través un conjunto de signos y síntomas característicos 6,8,13. Se puede encontrar problemas de aprendizaje y memoria, confabulación, desorientación temporal, memoria autobiográfica pobre y alteración del lenguaje si es del lado izquierdo; y compromiso espacial si es del lado derecho 6. La alteración de las habilidades sociales y cambio de personalidad, incluyendo apatía, agresividad, agitación, es el síndrome que caracteriza el compromiso de la arteria paramediana. Estableciendo una correlación clínico-anatómica, estos fueron los hallazgos que más concordaron con el cuadro clínico del paciente del caso descrito, por cual se sospechó compromiso de la arteria paramediana izquierda.
Respecto a la severidad del cuadro del paciente, se clasificó de leve a moderada, teniendo en cuenta que se han reportado casos de presentaciones más severas de HICE, que además de involucrar compromiso neuropsicológico (como el presente individuo), presentan compromiso neuro-oftalmológico y neurológico general 13,14. Pérez et al. señalan que la mortalidad de este padecimiento puede ir de un 23 % a un 58 %; más de 2/3 de los sobrevivientes desarrollan algún grado de incapacidad permanente, solo un 38 % de los pacientes sobrevive al año del episodio, y solo un 20 % vive con independencia a los 6 meses, y todo esto claramente se relaciona con la severidad del cuadro clínico 1.
El diagnóstico presuntivo se puede establecer mediante la historia clínica y el examen neurológico. Se debe emplear la TAC o RMN para corroborar la hemorragia en el parénquima cerebral. Ambas cuentan con una muy buena sensibilidad, ayudan a determinar las dimensiones del hematoma en términos de localización, tamaño y volumen y contribuyen a precisar la edad del hematoma 5,12. Por este motivo, se decidió realizar dichos estudios en el paciente del presente caso. Tanto la RMN como las imágenes angiográficas tienen una bondad, que son de gran sensibilidad para la detección de lesiones concomitantes con hemorragias intraparenquimatosas; estas se indican en dependencia del estado clínico, pero la disponibilidad y selección de estas modalidades depende de los recursos locales, estándares regionales y la organización del sistema de salud nacional 1,4,5. En la institución donde fue abordado el paciente sí se contaba con la disponibilidad de dichos estudios, y en busca de establecer un diagnóstico etiológico se le ordenó al paciente una panangiografía, la cual descartó malformación arteriovenosa y lesión aneurismática. No obstante, se sugirió repetir el examen después de la reabsorción completa del hematoma (3 meses aproximadamente) 12.
Respecto al tratamiento, se instauró manejo médico monitorizado y vigilancia estricta con el in de prevenir el potencial daño cerebral secundario. Al tratarse de una hemorragia de poca extensión y no presentar factores asociados a un mal pronóstico, el paciente tuvo una evolución satisfactoria y no fue candidato a manejo quirúrgico.
Cabe mencionar que la opción quirúrgica en la hemorragia talámica está mucho menos dilucidada que en la hemorragia cerebelosa y aún existe controversia, ya que su beneicio no ha sido congruente en todos los estudios realizados, lo cual sugiere que la opción quirúrgica puede no ser muy coniable 6,15. En otras palabras, la evacuación quirúrgica de la HICE talámica no ha mostrado ser de utilidad en comparación con el tratamiento médico. Sin embargo, pacientes que desarrollan hidrocefalia obstructiva demandan colocación de ventriculostomía 6.
Un estudio descriptivo realizado por Lacerda et al. menciona las ventajas de calidad de la técnica quirúrgica endoscópica en este tipo de hemorragia, las cuales se sustentan en una mínima manipulación del tejido cerebral viable y mayor visualización durante la eliminación del hematoma; y enfatizan en que las técnicas mínimamente invasivas muestran una tendencia hacia mejores desenlaces 15. Otro estudio de diseño retrospectivo realizado por Wang et al. menciona el potencial benéfico del drenaje del hematoma asistido por robot en la hemorragia talámica de poco volumen, y señalan que mejora el pronóstico en especial en los pacientes con hematomas que se expanden a la cápsula interna 16. En todo caso, se requieren ensayos clínicos prospectivos, que conirmen los resultados de los estudios ya realizados y que se comparen con el tratamiento conservador.
En cuanto al tiempo de estancia hospitalaria del paciente en cuestión fue de 6 días, lo cual concordó con el estudio realizado por Ospina et al., en el que la estancia hospitalaria de los pacientes tuvo una mediana de 8 días (RIQ: 4-14) 9.
CONCLUSIONES
La hemorragia talámica es una entidad poco frecuente de las HICE que, a pesar de los esfuerzos en materia de investigación, aún se asocia a altas tasas de morbimortalidad. Dicha entidad puede adoptar una presentación clínica variada. La suspicacia del médico es fundamental para el abordaje de esta patología; es de vital importancia el conocimiento anatomoisiológico del tálamo para establecer una correcta correlación e interpretación del cuadro clínico, y ser idóneo tanto en la elección de ayudas diagnósticas como en la estrategia terapéutica correcta de estos pacientes.
REFERENCIAS
Pérez Á, Lagares A, Pascual B, Rivas J, Alday R, González P et al. Tratamiento quirúrgico de la hemorragia intracerebral espontánea. Parte I: Hemorragia supratentorial. Neurocirugía. 2008; 19(1): 12-24. Doi: https://doi.org/10.1016/S1130-1473(08)70244-6
Vergara A, Rodríguez J, Barros P, Sánchez R, Quintero O. Hemorragia intracerebral espontánea: características tomográficas y evolución. Revista Finlay. 2016; 253-263.
Cunha O, Mello L, Boer V, Bernardes C, Haas L, de Castro R. Hemorragia intracerebral espontanea: conduta terapéutica e resultados em 391 pacientes. J Bras Neurocirurg. 2012; 23 (2): 108-117.
Hernández A, Rodríguez D. Neuroimagen de la hemorragia intraparenquimatosa cerebral primaria. Rev Cubana Neurol Neurocir. 2018; 8(2): 1-21.
Escudero D, Marqués L, Taboada F. Actualización en hemorragia cerebral espontánea. Med Intensiva. 2008; 32(6):282-295.
Carrillo R, Rangel C. Hemorragia talámica. Rev Invest Med Sur Mex. 2013; 20(2):117-123.
Blanco E, Mazo S, Molano A, Bereincua R , Lloréns V, Fernández, M. Estudio con tomografía por emisión de positrones de un caso de demencia vascular por hematoma talámico izquierdo, ejemplo del fenómeno de diasquisis. Rev Neurol. 2016; 62 (9): 408-410.
Teramoto S, Yamamoto T, Nakao Y, Watanabe M. Novel Anatomic Classification of Spontaneous Thalamic Hemorrhage Classified by Vascular Territory of Thalamus. WorldNeurosurg. 2017; 104:452-458. Doi: https://doi.org/10.1016Zj.wneu.2017.05.059
Ospina J, Bedoya Á, Patino J. Descripción de los pacientes con hemorragia intracerebral espontánea en el Hospital San José de Bogotá. Rev Chil Neurocir. 2019; 45(2):131-135.
Aguiar P, Mandel M, Lourenco L, Fontes R, Melgaris M, Simin R et al. Hemorragia intracerebral espontanea. J Bras Neurocirurg. 2001; 12 (3): 126-138.
Vallejos J, Mellado P, Huete I. Hematoma talámico bilateral simultáneo. Reporte de dos casos y revisión de la literatura. Rev Chil Neuro-Psiquiat. 2006; 44(2): 127-133. Doi: https://doi.org/10.4067/S0717-92272006000200005
Gálvez M, Bravo E, Rodríguez P, Farias M, Cerda J. Characteristic of the spontaneous intracranial hemorrhages in computed tomography and magnetic resonance. Rev Chil Radiol. 2007; 13(1): 12-25. Doi: https://doi.org/10.4067/S0717-93082007000100005
Vergara I, Saavedra M, Amador R, Lorenzana P, Rosseli M, Parra de Rios L, et al. Los síndromes de lesión talámica. Acta Méd. Colomb. 1991; 16(6): 289-303.
de Betolaza S, Nuñez M, Roca F, Perendones M. Lesiones talámicas: un desafío semiológico. Rev. urug.med. Inte. 2016; 1(1): 12-19.
Lacerda, A, Mazorra M, Mederos F, Abreu D, Rojas C, Edes P. Evacuación endoscópica de Hemorragia Intracerebral Supratentorial espontánea. Rev Chil Neurocir. 2019; 42(1): 19-23. Doi: https://doi.org/10.36593/rev.chil.neurocir.v4211.88
Wang Y, Jin H, Gong S, Yang X, Sun X, Xu M et al. Efficacy Analysis of Robot-Assisted Minimally Invasive Surgery for Small-Volume Spontaneous Thalamic Hemorrhage. World Neurosurg. 2019; 131:e543-e549. Doi: https://doi.org/10.1016 /j.wneu.2019.07.224.
Notas