Caso clínico
Gist gigante de alto riesgo: Reporte de caso y revisión de la literatura
Giant GIST of High-risk Criteria: Case Report and Literature Review
Gist gigante de alto riesgo: Reporte de caso y revisión de la literatura
Revista Salud Uninorte, vol. 37, núm. 3, pp. 880-892, 2021
Fundación Universidad del Norte, División de Ciencias de la
Recepción: 15 Julio 2020
Aprobación: 02 Agosto 2021
RESUMEN: Los tumores del estroma gastrointestinal (GIST) son las neoplasias mesenquimales más frecuentes del tracto digestivo. Los criterios de estadificación del riesgo, como angioinvasion, tamaño, infiltración y el índice mitótico, permiten realizar un adecuado diagnóstico y tratamiento. Se presenta un paciente masculino de 67 años de edad, quien consultó por he-matemesis y melenas. Endoscópicamente se observó una masa en el estómago de 20x10x6 cm de diámetro de la cual se tomó biopsia para estudio. Al examen histopatológico se diagnósticó un GIST con invasión microscópica de la lámina propia y angioinvasión, estos dos componentes histopatológicos son escasamente tomados en cuenta para clasificar GIST; sin embargo, son muy importantes en este contexto, pues cambian el pronóstico de la enfermedad y con requerimiento de terapia adyuvante con imatinib. El desenlace del paciente fue favorable, debido a la conducta terapéutica establecida. El comportamiento biológico del GIST varía dependiendo de las características clínicas e histopatológicas. Este caso resalta los criterios de alto riesgo del GIST y la necesidad de modificar el tratamiento cuando están presentes.
Palabras clave: GIST, estómago, estratificación de riesgo, imatinib.
ABSTRACT: Gastrointestinal stromal tumors (GIST) are the most common mesenchymal neoplasms of the digestive tract. Risk staging criteria such as angioinvasion, size, infiltration, and mitotic index allow for adequate diagnosis and treatment. A 67-year-old male patient is presented, who consulted for hematemesis and melena. Endoscopically, a 20x10x6 cm diameter mass was observed in the stomach, which was taken for a biopsy for study. On histopathological examination, a GIST with the microscopic invasion of the lamina propia and angioinvasion was diagnosed. These two histopathological components are scarcely taken into account to classify GIST; however, they are very important in this context, changing the prognosis of the disease and requiring adjuvant therapy with imatinib. The outcome of the patient was favorable due to the established therapeutic conduct. The biological behavior of GIST varies depending on the clinical and histopathological characteristics. This case highlights the high-risk criteria for GIST and the need to modify the treatment when present.
Keywords: GIST, stomach, risk stratification, imatinib.
INTRODUCCIÓN
Los tumores del estroma gastrointestinal (GIST) continúan siendo las neoplasias mesenquimales más frecuentes, representando entre el 1 y 3 % de los tumores malignos del tubo digestivo 1. La frecuencia de ocurrencia es 6.8 a 14.5 casos por millón al año 2,3. Las localizaciones más usuales de los GIST son: estómago (51 %), intestino delgado (36 %), colon (7 %), recto (5 %) y esófago (1 %) 2,3. Su histogénesis probable es atribuida a las células intersticiales de Cajal 3,4. En la inmunohistoquímica expresa positividad para las proteínas CD117 (c-KIT), PDGFRA y DOG-1 4. El tratamiento de primera línea consiste en la extirpación quirúrgica, asegurando márgenes de resección libres de tumor para reducir el riesgo de recurrencia local 3. Las mutaciones activas de c-KIT (un receptor para el factor de crecimiento epidérmico) ha convertido al GIST en un verdadero paradigma en los objetivos de la terapia molecular mediante el uso de inhibidores de la tirosina cinasa como imatinib en el tratamiento adyuvante 5-7, los cuales mejoran el pronóstico de pacientes con GIST metastásico 8,9.
Se ha identificado que cerca del 10-30 % de los GIST tienen un curso clínico maligno 3; por ello, el uso de los criterios histopatológicos como la delimitación tumoral, pleomorfismo, necrosis y anaplasia son usados en la mayoría de los tumores para clasificarlos como benignos o malignos. Sin embargo, en el caso de los GIST, esta delimitación es más difícil de precisar y se basa en otros criterios para una adecuada clasificación de los tumores, estableciendo el pronóstico y tratamiento apropiados.
Este reporte de caso presenta un GIST gástrico gigante con criterios histopatológicos de alto riesgo y destaca los principales sistemas de clasificación para la estimación de progresión a malignidad.
REPORTE DE CASO
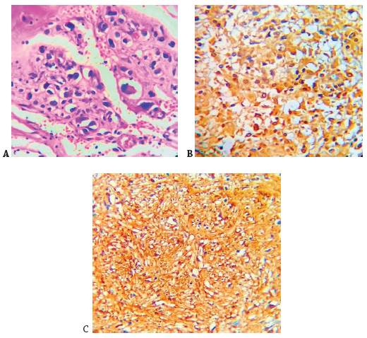
Paciente masculino de 67 años de edad, procedente del área rural, se presenta a la sala de emergencias por hematemesis y melenas en múltiples ocasiones durante más de 15 días, asociado con pérdida de peso subjetiva y sensación de masa en el abdomen, niega otros síntomas asociados. Se documentó en el historial médico un antecedente de hipotiroidismo en tratamiento con levo-tiroxina 50 mcg/día. Al examen físico, se observa al paciente en regulares condiciones generales, con palidez mucocutánea marcada y con los siguientes signos vitales: frecuencia cardiaca: 85 latidos por minuto; frecuencia respiratoria: 17 respiraciones por minuto; tensión arterial: 110/70 mmHg; temperatura: 37° C. A la exploración física del sistema gastrointestinal se encuentra una masa palpable en la región epigástrica, prominente, no dolorosa, inmóvil. Sin otros hallazgos notables al examen físico. En los exámenes de laboratorio, el recuento sanguíneo reveló anemia (hemoglobina 5.5 g/dl), con unos glóbulos blancos de 4.200/μL, neutrófilos polimorfonucleares 61.7 %, linfocitos 32.1 %, monocitos 6.2 % y plaquetas de 261,000/μL. Se hospitaliza y el mismo día se realizó una endoscopia de vías digestivas altas, con el hallazgo de una lesión submucosa de aproximadamente 5,5 cm, el cual se biopsia para estudio. No se encontraron lesiones en el duodeno. Además, se realizó una tomografía axial computarizada (TAC) abdominal que muestra una masa voluminosa de 20x10x6 cm de diámetro que depende de la pared del estómago. El examen microscópico reveló un tumor fusocelular mesenquimatoso, probable GIST; se realiza tinción de inmunohistoquímica para ser confirmado. En el tercer día de hospitalización, el paciente presentó un nuevo episodio de hemorragia gastrointestinal grave, tratado con omeprazol intravenoso, transfusión de sangre de 3 UI de glóbulos rojos. Se practicó cirugía de emergencia, debido al compromiso hemodinámico y control del sangrado. El procedimiento quirúrgico consistió en gastrectomía subtotal, gastroyeyunostomía más omentectomía, derivación gastrointestinal en Y de Roux y anastomosis termino-terminal del intestino delgado (figura 1). En el postoperatorio, el paciente es trasladado a Unidad de Cuidados Intensivos con soporte inotrópico con Dobutamina a 0.25 mcg/kg/min. Posteriormente, debido a la evolución clínica favorable, alrededor del séptimo día, se da egreso de la clínica, con cita de control en un mes, con cirugía oncológica. El paciente asiste con el informe histopatológico del producto de gastrectomía; el cual reporta a nivel macroscópico una masa gigante de 20x10x6 cm de ubicación mural y ulcerada. La lesión se extiende a lo largo de la curvatura menor que obstruye casi toda la luz gástrica. A nivel microscópico, el tumor se desplaza desde la mucosa hasta la serosa y se asocia con la invasión de la lámina propia y angioinvasión (figura 2). Se caracteriza por células poco diferenciadas y fusadas distribuidas en un patrón estoriforme en un estroma con áreas mixoides en las cuales las células exhiben pleomorfismo considerable, fenotipo epitelioide y células multinucleadas gigantes (figura 2). El índice mitótico fue <5 mitosis en 50 campos de alto poder (CAP), áreas de necrosis no fueron documentadas, con márgenes de resección libres de tumor. Debido a las características histopatológicas del tumor; El médico Patólogo consideró como impresión diagnóstico un GIST, un tumor neuroendocrino, un carcinoma poco diferenciado y un linfoma anaplásico dentro de los diagnósticos diferenciales. Se utilizaron las tinciones inmunohistoquímicas para células epiteliales, neuroendocrinas, linfoides y estromales. Las tinciones mostraron positividad para DOG-1, CD-117 y la coexpresión de CD-34 (figura 2). Los marcadores policlonales CKAE1/AE3, CK7, CK20, CD56, cromogranina, CD45, CD20 y CEA fueron negativos. El diagnóstico histopatológico definitivo fue un GIST con alto riesgo de progresión a malignidad debido al tamaño del tumor, la infiltración de la mucosa y angioinvasión (figura 2). En la disección no se documentaron ganglios linfáticos regionales. Debido a los hallazgos histopatológicos, el médico oncólogo decidió el tratamiento adyuvante con imatinib 400 mg dosis/día. Hasta la fecha continúa en tratamiento con médico tratante.


DISCUSIÓN
Los GIST son la proliferación mesenquimal más frecuente, cuya histogénesis es dependiente de las células intersticiales de Cajal 3,4. El tumor GIST es una neoplasia rara, con una frecuencia de ocurrencia de 6.8 a 14.5 casos por millón de personas al año 2,3. Las localizaciones más comunes de los GIST son: estómago (51 %), intestino delgado (36 %), colon (7 %), recto (5 %) y esófago (1 %) 2,3. En Colombia se han documentado algunos casos de GIST en recto 10, duodeno 11 y gástrico 12. Por su parte, Vargas et al.13 y Oliveros-Wilches et al.14 han presentado algunas series de casos de GIST gástricos.
Su comportamiento biológico es bastante heterogéneo, su espectro abarca desde pequeñas lesiones asintomáticas benignas hasta sarcomas metastásicos, que son fatales 15. En el GIST gástrico se ha identificado mutaciones en el exón 11 del gen KIT y el exón 18 del gen PDGFRA, que han sido asociados al comportamiento y predictores de la respuesta terapéutica. En ese sentido, se ha detectado la mutación en el exón 11 el gen KIT en el 67-75% de los casos, siendo relacionada con pobre pronóstico. Sin embargo, se ha demostrado que el GIST inhibidores de la tirosin kinasa como el imatinib en el 83.5 % 16. Además, las mutaciones en el gen PDGFRA ocurren principalmente en tumores gástricos y casi exclusivamente en el exón 18, seguidas de pocas mutaciones en el exón 12 y el exón 14. La mutación con más frecuencia en el exón 18 es una sustitución de un solo nucleótido conocido como Asp842Val (D842V), que es resistente a los inhibidores de la tirosinacinasa 16.
Dado el patrón de crecimiento intramural del tumor, se hace evidente cuando alcanza un tamaño significativo, manifestándose como masa palpable, hemorragia gastrointestinal, obstrucción y perforación que ocasionan verdaderas emergencias quirúrgicas y amenazan la vida del paciente 17,18, tal como sucedió en el caso presentado, el paciente consultó por hematemesis y melenas. Debido al tamaño tumoral y la ulceración, que provocan una hemorragia de vías digestivas altas con requerimiento de hemoderivados y procedimiento quirúrgico de emergencia.
La determinación de malignidad en este grupo de tumores es compleja. Por ende, se ha propuesto el uso de diferentes criterios para tratar de predecir el comportamiento biológico del tumor. En términos generales, los tumores más grandes ubicados en el intestino delgado y con recuentos mitóticos altos son más agresivos 19 (Tabla 1). Del mismo modo, los criterios del consenso del NIH-GIST 20, utilizan dos factores; tamaño tumoral e índice mitótico, para estratificar el riesgo de recurrencia tumoral (Tabla 2). Algunos autores han planteado ciertos marcadores histológicos convencionales de malignidad, como el pleomorfismo, la angioinvasión y la hipercelularidad, para predecir el comportamiento agresivo 21; sin embargo, a nivel microscópico, se ha considerado que la invasión de la lámina propia de la mucosa es un hallazgo altamente sugestivo de malignidad 22. Aunque en la literatura se han reportado casos de GIST gástrico gigante con ruptura espontánea y sangrado gastrointestinal 23-25, los autores no han destacado la descripción de la angioinvasión y la infiltración de la lámina mucosa propia como criterios de alto riesgo. En este reporte de caso, se documentó un tumor gástrico mayor de 10 cm, con ulceración y afectación histológica de la lámina propia asociado a angioinvasión. En general, además del tamaño, estos criterios permitieron su clasificación como GIST de alto grado, por lo que el médico tratante indicó terapia adyuvante con imatinib.


Con la aparición de los inhibidores de la tirosina cinasa, los GIST se redefinieron en términos histológicos, inmunofenotípicos y perfil mutagénico. Desde entonces, la investigación básica y clínica ha aumentado el conocimiento sobre el GIST, permitiendo el avance de las terapias dirigidas y demostrando el papel del imatinib en el GIST de alto riesgo 7,26. El ensayo clínico aleatorizado EORTC comparó el tratamiento adyuvante con imatinib versus observación después de la cirugía R0/R1 para GIST. Los resultados respaldan la recomendación de prescribir imatinib solo en pacientes con GIST de alto riesgo 27. En este ensayo, los pacientes con GIST de riesgo bajo a intermedio no obtuvieron un beneficio adicional con imatinib en comparación con placebo.
CONCLUSIONES
El tumor GIST es una patología rara, pero con un potencial maligno notable. Aunque clínicamente puede imitar otras neoplasias gastrointestinales y presentarse como emergencia quirúrgica e inestabilidad hemodinámica por la hemorragia de vias digestivas altas, como en el caso presentado, el GIST tiene características histopatológicas y moleculares distintivas. El reconocimiento de los criterios histopatológicos de alto riesgo, como el tamaño del tumor, el índice mitótico, la ubicación, la invasión de la lámina propia, la angioinvasion y la ruptura, son esenciales para la clasificación de los tumores, así como para establecer el pronóstico y tratamiento más apropiado (la resección quirúrgica y terapia adyuvante con imatinib) en tumores de alto riesgo.
REFERENCIAS
Corless CL. Gastrointestinal stromal tumors: what do we know now? Mod Pathol. 2014;27(S1):S1.
Tran T, Davila JA, El-Serag HB. The epidemiology of malignant gastrointestinal stromal tumors: an analysis of 1,458 cases from 1992 to 2000. Am J Gastroenterol [Internet]. 2005;100: 162-168. Disponible en: https://doi.org/10.1111/j.1572-0241.2005.40709.x
Akahoshi K, Oya M, Koga T, Shiratsuchi Y. Current clinical management of gastrointestinal stromal tumor. World J Gastroenterol [Internet]. 2018;24(26):2806-2817. Disponible en: https://doi.org/10.3748/wjg.v24.i26.2806
Wu CE, Tzen CY, Wang SY, Yeh CN. Clinical Diagnosis of Gastrointestinal Stromal Tumor (GIST): From the Molecular Genetic Point of View. Cancers Basel [Internet]. 2019;11(5):679. Disponible en: https://doi.org/10.3390/cancers11050679
Joensuu H, Roberts PJ, Sarlomo-Rikala M, Andersson LC, Tervahartiala P, Tuveson D, Silberman S, Capdeville R, Dimitrijevic S, Druker B, Demetri GD. Effect of the tyrosine kinase inhibitor STI571 in a patient with a metastatic gastrointestinal stromal tumor. N Engl J Med [Internet]. 2001;344(14):1052-1056. Disponible en: https://doi.org/10.1056/NEJM200104053441404
Nishida T, Doi T, Naito Y. Tyrosine kinase inhibitors in the treatment of unresectable or metastatic gastrointestinal stromal tumors. Expert Opin Pharmacother [Internet]. 2014;15(14):1979-89. Disponible en: https://doi.org/10.1517/14656566.2014.937707
Reichardt P. The Story of Imatinib in GIST - a Journey through the Development of a Targeted Therapy. Oncol Res Treat [Internet]. 2018;41(7-8):472-477. Disponible en: https://doi.org/10.1159/000487511
Eisenberg BL, Harris J, Blanke CD, Demetri GD, Heinrich MC, Watson JC, Hoffman JP, Okuno S, Kane JM, von Mehren M. Phase II trial of neoadjuvant/adjuvant imatinib mesylate (IM) for advanced primary and metastatic/recurrent operable gastrointestinal stromal tumor (GIST): early results of RTOG 0132/ACRIN 6665. J Surg Oncol [Internet]. 2009;99(1):42-47. Disponible en: https://doi.org/10.1002/jso.21160
Bauer S, Rutkowski P, Hohenberger P, Miceli R, Fumagalli E, Siedlecki JA, Nguyen BP, Kerst M, Fiore M, Nyckowski P, Hoiczyk M, Cats A, Casali PG, Treckmann J, van Coevorden F, Gronchi A. Long-term follow-up of patients with GIST undergoing metastasectomy in the era of imatinib - analysis of prognostic factors (EORTC-STBSG collaborative study). Eur J Surg Oncol [Internet]. 2014;40(4):412-9. Disponible en: https://doi.org/10.1016/j.ejso.2013.12.020
Pérez Calv, Castellví-Valls , Viso-Pon, Ortiz de Zárate , González-Santin , Petron, P. Tratamiento neoadyuvante con Imatinib en un tumor gigante del estroma gastrointestinallrectal. Rev Colomb Cir [Internet]. 2019;33, 428-432. Disponible en: https://doi.org/10.30944/20117582.90
Beltrán, A; Valenzuela, Díaz, Hait, Larraí, C. tumores del estroma gastrointestinal deloduodeno: Revisión de la literatura científica actual Con énfasis En El Tratamiento. Rev Colomb Cir. 2014;29, 140-154.
Melo-Peñaloza M, Williamson D, Vargas L. Tumor GIST grande en estómago: hallazgo incidental posterior a laparotomía. Presentación de un caso y revisión de la literatura. Rev Col Gastroenterol. 2014;29 (1):63-68.
Vargas CA, Cardona AF, Carranza H, Otero JM, Reveiz L, Ospina E, et al. Tumores del estroma gastrointestinal (GIST): experiencia en dos instituciones hospitalarias de Bogotá, D.C., Colombia (estudio del ONCOLGroup). Rev Colomb Gastroenterol [Internet]. 2008 consultado 7 agosto 2021];23( 3 ): 213-223. Disponible en: Disponible en: http://www.scielo.org.co/scielo.php?script=sci_arttext&pi-d=S0120-99572008000300005&lng=en.
Oliveros Wilche, , Pinilla Morales, Sánchez Pedraz, &, Contreras Ramo, F. Tumores estromales gastrointestinales (GIST) gástricos, serie de casos. Rev Colomb Gastroenterol [Internet]. 2021;36(2), 172-179. Disponible en: https://doi.org/10.22516/25007440.569
Joensuu H, Hohenberger P, Corless CL. Gastrointestinal stromal tumour. Lancet [Internet]. 2013;14;382(9896):973-83. Disponible en: https://doi.org/10.1016/S0140-6736(13)60106-3
Barceló, Net, Cardil, , et al. KIT exon 11 and PDGFRA exon 18 gene mutations in gastric GIST: proposal of a short panel for predicting therapeutic response. Surg Exp Pathol [Internet]. 2018;1,8. Disponible en: https://doi.org/10.1186/s42047-018-0021-8
Rammohan A, Sathyanesan J, Rajendran K, et al. A GIST of gastrointestinal stromal tumors: A review. World J Gastrointest Oncol [Internet]. 2013;5(6):102-112. Disponible en: https://doi.org/10.4251/wjgo.v5.i6.102
Sorour MA, Kassem MI, Ghazal Ael-H, El-Riwini MT, Abu Nasr A. Gastrointestinal stromal tumors (GIST) related emergencies. Int J Surg. 2014;12(4):269-280.
Miettinen M, Lasota J. Gastrointestinal stromal tumors: pathology and prognosis at different sites. Semin Diagn Pathol. 2006;23(2):70-83.
Fletcher CD, Berman JJ, Corless C, Gorstein F, Lasota J, Longley BJ, Miettinen M, O'Leary TJ, Remotti H, Rubin BP, Shmookler B, Sobin LH, Weiss SW. Diagnosis of gastrointestinal stromal tumors: A consensus approach. Hum Pathol [Internet]. 2002;33(5):459-65. Disponible en: https://doi.org/10.1053/hupa.2002.123545
Downs-Kelly E, Rubin BP. Gastrointestinal Stromal Tumors: Molecular Mechanisms and Targeted Therapies. Wang HL, editor. Pathol Res Int. 2011;2011:708596.
Miettinen M, Sobin LH, Lasota J. Gastrointestinal stromal tumors of the stomach: a clinicopatholo-gic, immunohistochemical, and molecular genetic study of 1765 cases with long-term follow-up. Am J Surg Pathol [Internet]. 2005;29(1):52-68. Disponible en: Doi: 10.1097/01.pas.0000146010.92933.
Mehta RM, Sudheer VO, John AK, et al. Spontaneous rupture of giant gastric stromal tumor into gastric lumen. World J Surg Oncol [Internet]. 2005;3(1):11. Disponible en: Doi:10.1186/1477-7819-3-11
Cruz, Vincenz, Ketze, .M. et al. Spontaneous intratumoral bleeding and rupture of giant gastric stromal tumor (> 30 cm) in a young patient. World J Surg Onc [Internet]. 2008;6, 76. Disponible en: https://doi.org/10.1186/1477-7819-6-76
Fiscon V, Portale G, Isoardi R, Frigo F, Migliorini G. Spontaneous rupture of giant gastric GIST presenting as hemoperitoneum and mimicking cavernous liver angioma. Tumori. 2009;95(2):233-5.
Poveda A, García Del Muro X, López-Guerrero JA, Cubedo R, Martínez V, Romero I, Serrano C, Valverde C, Martín-Broto J; GEIS (Grupo Español de Investigación en Sarcomas/Spanish Group for Sarcoma Research). GEIS guidelines for gastrointestinal sarcomas (GIST). Cancer Treat Rev [Internet]. 2017;55:107-119. Disponible en: https://doi.org/10.1016/j.ctrv.2016.11.011
Rutkowski P, Gronchi A, Hohenberger P, Bonvalot S, Schoffski P, Bauer S, Fumagalli E, Nyckowski P, Nguyen BP, Kerst JM, Fiore M, Bylina E, Hoiczyk M, Cats A, Casali PG, Le Cesne A, Treckmann J, Stoeckle E, de Wilt JH, Sleijfer S, Tielen R, van der Graaf W, Verhoef C, van Coevorden F. Neoadjuvant imatinib in locally advanced gastrointestinal stromal tumors (GIST): the EORTC STBSG experience. Ann Surg Oncol [Internet]. 2013;20(9):2937-43. Disponible en: https://doi.org/10.1245/s10434-013-3013-7
Notas
Notas de autor
*Correspondencia: José Darío Portillo-Miño. Facultad de Ciencias de la Salud, Fundación Universitaria San Martín, Cra. 43a n.°13-173, Pasto (Nariño), 520003. Colombia. jose.portillo@sanmartin.edu.co. Orcid: 0000-0003-4858-9400
Declaración de intereses