Caso clínico
Granuloma telangiectásico de cavidad oral en zona anterior
Telangiectasic granuloma of oral cavity in anterior area
Granuloma telangiectásico de cavidad oral en zona anterior
Revista Salud Uninorte, vol. 38, núm. 1, pp. 367-375, 2022
Fundación Universidad del Norte, División de Ciencias de la
Recepción: 25 Mayo 2020
Aprobación: 24 Septiembre 2021
RESUMEN
Introducción: El granuloma telangiectásico es una neoplasia benigna de origen epitelial y contenido vascular que se presenta en cavidad oral, de crecimiento lento. Su etiología es atribuible a trauma físico, alteraciones hormonales y al uso de medicamentos, además es inducido por presencia de cálculos y deficiente higiene oral.
Objetivo: Describir las características clínicas y patológicas de un granuloma telangiectásico presente en cavidad oral, su patogénesis y el manejo de terapéutico del caso.
Presentación del caso: Paciente de 35 años que acude a consulta por presentar una lesión tumoral, en sector anterosuperior derecho, afectando la estética de la paciente. Se efectuó excisión quirúrgica y al realizar el estudio histopatológico se confirmó diagnóstico de granuloma telangiectásico.
Conclusión: Los profesionales de la odontología deben conocer todos los aspectos relacionados con el granuloma telangiectásico, etiopatogenia, características clínicas e histológicas, con el objeto de identificar esta patología, establecer diagnósticos diferenciales y poder brindar un diagnóstico adecuado y, por consiguiente, un plan de tratamiento específico para cada caso.
Palabras claves: Decs Lilacs: Granuloma piogénico+ hemangioma capilar lobular+ angio-granuloma.
ABSTRACT
Introduction: The granuloma telangiectásico is a benign neoplasia of epithelial origin and vascular content that occurs in oral cavity with greater predilection in gum, of slow growth. Its etiology is attributable to physical trauma, hormonal alterations and the use of medicines, and is induced by the presence of stones and poor oral hygiene.
Objective: to describe the clinical and pathological characteristics of a telangiectatic granuloma present in oral cavity, its pathogenesis and the therapeutic management of the case.
Presentation of the case: A 35-year-old patient who attended a dental consultation for presenting a tumor lesion of a soft consistency, located in the right anterior superior sector, affecting the aesthetics of the patient. Surgical excision was performed, detoxification of the exposed area with citric acid, and the histopathological study confirmed the diagnosis of telangiectatic granuloma.
Conclusion: Dental professionals must know all the aspects related to telangiectatic granuloma, etiopathogenesis, clinical and histological characteristics, in order to identify this pathology, establish differential diagnoses and be able to provide an adequate diagnosis and therefore a specific treatment plan for each case.
Keywords: Mesh Database granuloma, pyogenic, hemangioma, lobular capillary, angio-granuloma.
INTRODUCCIÓN
El granuloma telangiectásico se encuentra clasificado en un grupo de lesiones vasculares; también llamado hemangioma Capilar Lobular (LCH). se lo denomina con este nombre por su aspecto clínico; además, el tejido presenta cambios histológicos que evidencian proliferaciones que adoptan una disposición lobular 1. Anteriormente era conocido como épulis gravídico, pero esta terminología es poco usual, debido a que su origen no es una infección bacteriana ni produce pus. En 1904 Hatzell lo denominó granuloma piógeno aún sigue siendo usado para denotar esta lesión.2
El granuloma telangiectásico es una neoplasia benigna que se presenta como una proliferación vascular; se observa con mayor frecuencia en cavidad oral. El sitio de mayor predilección es la encía del maxilar superior en zona anterior, aunque se puede encontrar en encía de la zona posterior, lengua, labios, paladar duro, piso de boca y la mucosa bucal. Esta patología se puede presentar durante cualquier etapa de la vida, pero tiene mayor incidencia en la segunda década de vida 1,3. Comúnmente se desarrolla como una respuesta a diversos estímulos, como irritación local, lesiones traumáticas, exfoliación de dientes primarios, espículas óseas, trauma del cepillado, factores hormonales durante el embarazo por aumento de la progesterona, uso de anticonceptivos orales o puede ser inducido por el consumo de medicamentos como la ciclosporina. Actualmente se ha mencionado que esta lesión es el resultado de una respuesta inflamatoria exagerada asociada a presencia de cálculos dentales y deficiente higiene oral 1,4,5.
Las características clínicas que presenta este tipo de lesión evidencia un nódulo único, de aspecto exofítico, superficie lisa o lobulada con pequeñas pápulas eritematosas; de base sésil o pediculada; la mucosa que lo recubre presenta una coloración que puede variar de rojo a púrpura o rosa dependiendo del grado de vascularización; de consistencia blanda, de crecimiento rápido y de tamaño variable entre milímetros hasta centímetros. Su evolución es autolimitada, sin embargo, existen granulomas que han logrado ocupar gran parte de la cavidad oral; puede estar ulcerada debido al trauma constante, usualmente es asintomático y puede tener características hemorrágicas y comprimible 2,6. No es fácil su identificación clínica; debido a sus características anatómicas puede ser confundido con otras lesiones proliferativas como: osteosarcoma, hiperplasia fibrosa focal, granuloma periférico de células gigantes, carcinoma de células escamosas, sarcoma de Kaposi, linfoma no hodking, fibroma periférico osificante, fibrosarcoma, hemangioma capilar, angiosarcoma 5,7.
El tratamiento en este tipo de lesiones es la excisión quirúrgica, acompañada de curetaje y eliminación del factor etiológico. Algunos autores han mencionado el uso de tratamientos conservadores, como terapia con láser diodo, uso de laser ND Yang refrigerado por agua, electrocirugía con terapia periodontal de apoyo, pulsed- dye laser, inyección intralesional de etanol o corticoides, escleroterapia con tetradecil sulfato de sodio y criocirugía. Este tipo de lesiones presenta una alta recidiva si no se elimina de forma completa 8,9,10.
El objetivo de este artículo es describir las características clínicas y patológicas de un granuloma telangiectásico presente en cavidad oral, su patogénesis y el manejo de terapéutico del caso.
CASO CLÍNICO
Paciente femenina de 35 años, sin compromiso sistémico que asiste a consulta odontológica por presentar lesión tumoral en encía vestibular de órgano dentario anterosuperior derecho, de cuatro meses de evolución, asintomática, que genera inconformidad estética. La paciente fue portadora de aparatología ortodontica en tres ocasiones, cada uno de estos tratamientos con una duración de 1 año aproximadamente, pero posterior a dichos tratamientos era recidivante la formación de diastema entre órgano dental 11 y 21, tal como lo describe Neelakanti et al. en 2020. Asistía a controles odontológicos periódicos por tener antecedentes de enfermedad periodontal crónica, además presentaba episodios de bruxismo.
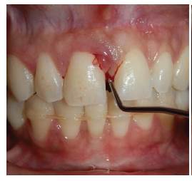
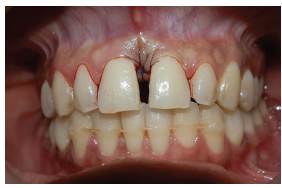
En el exámen estomatológico se observó lesión tumoral unilobular en el maxilar superior localizada a nivel de encía marginal vestibular por mesial de órgano dental 11, de base sésil, consistencia firme y blanda, de 3 mm de diámetro, de superficie eritematosa, con ligero sangrado al mínimo contacto, correspondiendo con las características clínicas descritas por Rebolledo y cols en 2015 11 (figura 1A). No se observa sobreinserción de frenillo labial superior que justifique la aparición de diastema entre los dos órganos dentarios anterosuperiores.


Se realizó evaluación de la condición de los tejidos periodontales a nivel de órgano dentario 11 mediante una sonda periodontal tipo Williams y se obtuvo profundidad de sondeo de 10 mm (figura 1B). Se evidencia margen gingival sin recesiones o hiperplasias en otras zonas; no se observa presencia de placa bacteriana abundante, cálculos supragingivales o caries que actúen como factor irritante asociado.
A partir de los hallazgos clínicos y la relación de los factores etiológicos para el caso, se estableció como diagnóstico presuntivo: absceso periodontal crónico, granuloma piógeno, fibroma. Se planteó realizar excisión quirúrgica de la lesión con terapia periodontal de apoyo para posterior análisis histopatológico.
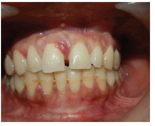
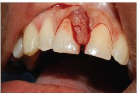
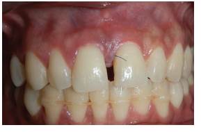
Se hace valoración clínica completa, se procede a realizar asepsia de la zona, aplicación de lidocaína al 2 % 1:80.000, mediante técnica anestésica infiltrativa se realiza incisión con hoja de bisturí número 15. Se levanta colgajo de espesor total para exponer la lesión; posteriormente aflora tejido nodular único, de consistencia firme y depresible, sangrante, doloroso a la palpación, de color rosa, de 4 mm de ancho por 9 mm de largo, de superficie lisa, base sésil. Se hace la extirpación completa de la lesión (figura 2A). Se realiza raspado y alisado radicular ultrasónico y manual. Se efectuó detoxificación de la raíz con fórmula magistral de ácido cítrico gel al 3 0% y hemostasia por dos minutos (figura 2B). Se sutura con Nylon 6-0 con puntos en ocho (figura 3A). Se realizó cita de control 8 días después de la cirugía para retirar suturas (figura 3B). Se cita nuevamente a los 15 días para realizar seguimiento. Se evidenció cicatrización de los tejidos blandos, y dos meses después se encontró un proceso de cicatrización dentro de lo esperado, sin complicación alguna.


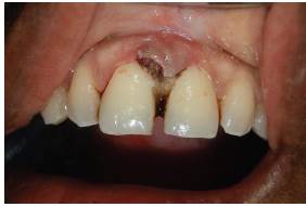
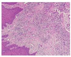
La muestra extirpada se almacenó en formol tamponado al 10 % para su análisis histopatológico (figura 4A). Esta arrojó el siguiente resultado: los cortes mostraron mucosa oral con hiperplasia marcada del epitelio. A nivel de la lámina propia se observó infiltrado inflamatorio de predominio linfoplasmocitario de distribución heterogénea, proliferación fibrocolágena y de vasos de pequeño calibre (figura 4B) El diagnóstico definitivo es granuloma telangiectásico.




DISCUSION
Las características clínicas de un granuloma, la sintomatología, los antecedentes de enfermedades sistémicas y el tamaño de la lesión son algunos de los criterios que reporta la literatura, mediante los cuales se puede establecer un diagnóstico presuntivo. En este caso se analizaron factores etiológicos relacionados, características clínicas, antecedentes odontológicos y sistémicos de la paciente; esto permitió establecer diagnósticos presuntivos, descartando lesiones con algún grado de malignidad.
Livia et al., en 2019 reportan caso clínico que presenta sospechas de malignidad por su aspecto tumoral y poca frecuencia con respecto a sus características clínicas y su comportamiento. Es solo hasta el estudio histopatológico cuando logran descartar este tipo de lesiones 12. Este estudio reporta que el granuloma telangiectásico se puede presentar durante cualquier etapa de la vida, teniendo mayor incidencia en personas adultas a partir de la segunda década. Así mismo muestra los diversos sitios donde aparece la lesión en cavidad oral, teniendo mayor predilección en la encía maxilar superior. Entre los factores etiológicos relacionados con la formación del granuloma se puede mencionar el trauma por uso constante de aparatología ortodóntica, así como las condiciones específicas de la paciente por tener antecedentes de enfermedad periodontal crónica.
Scott et al., en 2018 muestran en su estudio de reporte de casos la presentación de un granuloma piógeno en un niño de 5 años a nivel de tercio medio de la superficie dorsal de la lengua; el origen etiológico de la lesión está relacionado con un trauma contundente en donde la superficie permanecía ulcerada1. Neelakanti et al., en 2020 muestran en su estudio la presencia de granuloma telangiectásico en paciente joven de 28 años de edad, sin enfermedades sistémicas, la lesión se encuentra ubicada en zona de incisivos superiores y mencionan que la existencia de esta puede conducir a complicaciones como formación de diastemas 10. Esto corresponde con el presente caso reportado, en el que la lesión se produce en paciente joven de 35 años de edad, sin alteraciones sistémicas, el sitio de presentación es en zona de incisivos superiores, que en determinadas ocasiones ha producido la formación de diastema.
Es importante para el odontólogo relacionar los antecedentes médicos y odontológicos del paciente para establecer el origen etiológico de la patología presente, tal como se puede inferir con el presente caso. Ante la formación constante de diastemas posterior a tratamientos ortodónticos se debe realizar una exploración clínica completa y determinar la causa de esta condición.
Se sugiere reforzar la escisión de granulomas telangiectásicos como tratamiento definitivo, en casos asociados a presencia de biopelícula dental, con terapia periodontal de apoyo y la concomitante detoxificación de las superficies involucradas con solución de ácido cítrico como alternativa terapéutica en casos en que el uso de otras sustancias como la tetraciclina, esté contraindicado.
REFERENCIAS
Peters S, Koslovsky D. Pyogenic Granuloma in the Tongue in a Five Year Old: A Case Report. Journal of Clinical Pediatric Dentistry. 2018; 42(5):383-385. https://doi.org/10.17796/1053-4625-42.5.10
Marla V, Shrestha A, Goel K, Shrestha S, et al. The Histopathological Spectrum of Pyogenic Granuloma: A Case Series. Case Reports in Dentistry. 2016; 16(1):1-6. https://doi.org/10.1155/2016/1323798
Elumalai R, Kumar K, Narayanan R, Anitha N, Malathi L, et al. Non-Lobular Capillary Haemangio-ma-A Histopathological Variant of Pyogenic Granuloma. Indian Journal of Public Health Research & Development. 2019;10(8):1808. https://doi.org/10.5958/0976-5506.2019.02376.3
De lira A, Silva N. Prevalence and etiological factors of Piogenic Granuloma in gestants. Brazilian Dental Science. 2019; 22(4):443-449. https://doi.org/10.14295/bds.2019.v22i4.1760
Boyapat, R., Maloth, K. and Salavadi. Pyogenic granuloma: Report of two cases with review of literature. Journal of Periodontology & Implant Dentistry. 2018;8(2):73-76. https://doi.org/10.15171/jpid.2016.013
Nassir Albageah, H, Algowaifly, M. Management of Large Sized Pyogenic Granuloma over the Gingiva: A Case Report. Dentistry. 2016; 6(7):1-2. https://doi.org/10.4172/2161-1122.1000384
Hamdoun R, Ennibi O, Amine C. Pyogenic Granuloma of the Gingiva: A Case Report. International Journal of Contemporary Medical Research. 2018;5(11):1-3. https://doi.org/10.21276/ijcmr.2018.5.11.4
Zeng H, Yang R, Ding Y. Use of a water-cooled Nd: YAG pulsed laser in the treatment of giant gingival pyogenic granulomas during pregnancy. Journal of Stomatology, Oral and Maxillofacial Surgery. 2019; 5(6):1-3. https://doi.org/10.1016/j.jormas.2019.05.006
Neelakanti A, Tiwari S, Sathyanarayana S. An innovative and less invasive management of recurrent pyogenic granuloma in the esthetic zone: A case report with 18-month follow-up. Journal of Indian Society of Periodontology. 2017; 21(3):241. https://doi.org/10.4103/jisp.jisp_61_17
Livia L, Sovero A. Granuloma Piógeno: Reporte de un caso de lesión hiperplásica reactiva con aspecto tumoral. Revista Estomatológica Herediana. 2019; 29(3):224-30. https://doi.org/10.20453/reh.v29i3.3606
Rebolledo-Cobos M, Escalante-Fontalvo M. Hemangioma Capilar versus Granuloma Telangiectásico en cavidad bucal; una ardua labor diagnóstica. Duazary. 2015 dic; 12 (2): 187 - 191
Castelino RL, Rao K, Buch SA, Bhat S, Babu SG, et al. Pyogenic Granuloma of the Incisive Papilla: A Rare Case Report. Cumhuriyet Dent J. 2019;22(3):364-368. https://doi.org/10.7126/cumudj.524785
Notas
Notas de autor
*Correspondencia: Cielo Betin-Portacio cbetinp@unicartagena.edu.co, cielobetin9@ gmail.com