Eritema necrolítico migratorio y glucagonoma pancreático
Necrolytic migratory erythema and pancreatic glucagonoma
Eritema necrolítico migratorio y glucagonoma pancreático
Biomédica, vol. 36, núm. 2, 2016
Instituto Nacional de Salud
Recepción: 26 Febrero 2015
Aprobación: 30 Diciembre 2015
Resumen:
El eritema necrolítico migratorio es una dermatosis paraneoplásica infrecuente que puede ser la primera manifestación clínica del glucagonoma, el cual se caracteriza por erupción mucocutánea, intolerancia a la glucosa, hipoaminoacidemia, hiperglucagonemia y glucagonoma pancreático. Se presenta el caso clínico de una mujer de 45 años que presentó pérdida de peso, polidipsia, polifagia, vómito posprandial, caída abundante del cabello y dolor abdominal de dos meses de evolución. Tenía, además, placas eritematosas, descamativas y migratorias en tronco, periné, codos, manos, pies, pliegues submamarios y antecubitales de 20 días de evolución. En la biopsia de piel se observaron células epidérmicas altas con cambio vacuolar notorio, extensa necrosis y delgada capa córnea ortoqueratósica, hallazgos interpretados como eritema necrolítico migratorio. Se sugirió investigar un glucagonoma pancreático. En los exámenes de laboratorio se encontró anemia moderada, hiperglucemia e importante hiperglucagonemia. La ecografía abdominal reveló una masa de 6 x 5 x 5 cm en la cola pancreática, la cual fue resecada. El diagnóstico histopatológico fue de glucagonoma confirmado por inmunohistoquímica. Los síntomas cutáneos desaparecieron a los 10 días de la resección tumoral. Se concluye que los cambios histológicos observados pueden ser claves en la búsqueda de una enfermedad distante de la piel y permiten hacer su diagnóstico. El patrón histológico de vacuolización y necrosis epidérmica subcórnea debe llevar a sospechar la presencia de un glucagonoma pancreático.
Palabras clave: eritema necrolítico migratorio, glucagonoma, neoplasias pancreáticas, síndromes paraneoplásicos, eritema, manifestaciones cutáneas.
Abstract:
Necrolytic migratory erythema is a rare paraneoplastic dermatosis that may be the first clinical manifestation of the glucagonoma syndrome, a disorder characterized by mucocutaneous rash, glucose intolerance, hypoaminoacidemia, hyperglucagonaemia and pancreatic glucagonoma. The clinical case of a 45-year-old woman is presented. She had been experiencing weight loss, polydipsia, polyphagia, postprandial emesis, excessive hair loss and abdominal pain for two months. Erythematous, scaly and migratory plaques with 20 days of evolution were found on her trunk, perineum, elbows, hands, feet, inframammary and antecubital folds. The skin biopsy revealed noticeable vacuolar changes in high epidermal cells, extensive necrosis and thin orthokeratotic cornified layer. These findings pointed to a diagnosis of necrolytic migratory erythema. A suggestion was made to investigate a pancreatic glucagonoma. Laboratory tests showed moderate anemia, hyperglycemia and marked hyperglucagonaemia. Abdominal ultrasound revealed a mass in the tail of the páncreas measuring 6 x 5 x 5 cm which was resected. The histopathological findings were compatible with a diagnosis of glucagonoma, as confirmed by immunohistochemistry. Skin symptoms disappeared 10 days after the tumor resection. We can conclude that the histological changes defined may be clues that can lead the search for a distant skin disease and allow for its diagnosis. The histological pattern of vacuolation and epidermal necrosis should arouse suspicion of pancreatic glucagonoma.
Keywords: Necrolytic migratory erythema, glucagonoma, pancreatic neoplasms, paraneoplastic syndromes, erythema, skin manifestations.
Caso clínico
Se trata de una mujer de 45 años con polidipsia, polifagia, vómito posprandial, dolor abdominal, pérdida de peso, astenia, bradipsiquia y caída del cabello, de dos meses de evolución. Veinte días antes de la consulta habían aparecido placas eritematosas, descamativas, migratorias, con centro hiperpigmentado y escamocostras en los bordes, localizadas en su tronco, región perineal, codos, manos, pies y pliegues antecubitales (figura 1). La paciente medía 152 cm y pesaba 43 kg. La madre y una hermana padecían diabetes mellitus y un hermano había fallecido con manifestaciones clínicas semejantes a las suyas.
En la biopsia de una lesión cutánea se observó epidermis acantósica con capa córnea delgada ortoqueratósica, vacuolización y necrosis de los queratinocitos espinosos y de los granulosos con formación de una banda eosinófila con algunos neutrófilos polimorfonucleares. En la dermis se observó infiltrado inflamatorio linfocítico perivascular superficial (figura 2). Se diagnosticó como eritema necrolítico migratorio y se sugirió investigar la presencia de un glucagonoma pancreático.
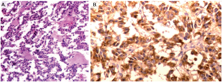
En los exámenes de laboratorio se informó anemia (hemoglobina: 10 g/dl; hematocrito: 30 %), hiperglucemia (130 mg/dl), cetonuria e hiperglucagonemia (1.000 pg/ml; normal: 50-100 pg/ml). En la ecografía abdominal se evidenció una masa de 6 x 5 x 5 cm en la cola pancreática. Se practicó pancreatectomía distal con esplenectomía y el estudio histopatológico del tumor correspondió a un glucagonoma confirmado por inmunohistoquímica (figura 3). No se demostraron metástasis.
Las lesiones cutáneas se resolvieron 10 días después de la resección quirúrgica del tumor. En el control posoperatorio a los pocos meses se encontró una mejoría gradual del estado general de la paciente.
Discusión
Las dermatosis paraneoplásicas son infrecuentes, de difícil diagnóstico (1) y se clasifican en enfermedades hiperqueratósicas, vasculares del tejido conjuntivo, proliferativas dérmicas, alteraciones de depósito dérmico, dermatosis neutrofílicas, ampollosas y eritemas reactivos. En este último grupo está incluido el eritema necrolítico migratorio (2).

Placas eritematosas, descamativas e hiperpigmentadas
El eritema necrolítico migratorio se presenta con lesiones mucocutáneas que pueden preceder el diagnóstico de un glucagonoma pancreático, en un año, en promedio (3); es frecuente que su diagnóstico sea tardío (3 a 12 años) (3,4), lo que aumenta la posibilidad de metástasis. El caso que se describe es excepcional, ya que el diagnóstico se hizo a los 20 días de aparecer la erupción cutánea.
El eritema necrolítico migratorio se caracteriza por parches eritematosos irregulares que evolucionan en placas anulares erosionadas, coalescentes y recubiertas por ampollas y costras. La erupción es evanescente, dolorosa, pruriginosa (2,3,4,5,6,7,8) y simula otras afecciones, como el eccema, la dermatitis seborreica, la dermatitis de contacto, la psoriasis, y el intertrigo o candidiasis (5,9). En 95 % de los casos compromete las zonas intertriginosas (ingles, glúteos, periné, abdomen inferior), la región perioral y las extremidades inferiores, como ocurrió en la paciente cuyo caso se presenta. El compromiso mucoso se manifiesta como estomatitis, glositis y queilitis angular (2,3,5,6,9,10).

Imágenes de una lesión reciente. A, B y C. Epidermis acantósica con cambio vacuolar y necrosis de los queratocitos superficiales, con capa córnea delgada ortoqueratósica. A: hematoxilina y eosina, 2X; B: hematoxilina y eosina, 4X; C: hematoxilina y eosina, 10X. D y E. Se observa cambio vacuolar de los queratocitos y necrosis extensa superficial que forma una banda eosinófila con algunos neutrófilos polimorfonucleares. D: hematoxilina y eosina, 10X; E: hematoxilina y eosina, 40X. En la dermis superficial (A-D) se aprecian telangiectasias e infiltrado inflamatorio linfocítico perivascular moderado.

A. Se aprecia una neoplasia endocrina de patrón trabecular compuesta por células cúbicas monótonas con núcleo redondo central y sin actividad mitótica. B. Células tumorales positivas con la técnica de inmunohistoquímica para glucagón. A: hematoxilina y eosina, 10X. B: inmunohistoquímica, 20X
El hallazgo histopatológico más frecuente del eritema necrolítico migratorio es la hiperqueratosis con paraqueratosis difusa (71 %), seguido de espongiosis y edema de los queratocitos superficiales malpighianos y granulosos (65 y 53 %, respectivamente) (3). Los cambios tempranos que se observan son infiltrado linfocítico perivascular leve, capa córnea delgada y ortoqueratósica, células epidérmicas edematosas con citoplasma vacuolado claro y necrosis de la epidermis superficial que genera una banda delgada eosinófila; la espongiosis y la muerte celular pueden producir una hendidura por debajo del estrato córneo o dentro del tercio superior de la epidermis (3,9,11). La infección concomitante por Candida albicans o Staphylococcus aureus es frecuente y genera infiltrado de neutrófilos polimorfonucleares (3,12); con el tiempo se incrementa el infiltrado linfocítico perivascular y la dermis papilar se torna edematosa (3,9). El proceso inflamatorio activo aparece en ciclos de siete a catorce días (9), y en la fase crónica se aprecia dermatitis psoriasiforme con paraqueratosis y ausencia de la capa granular (2).
Debe hacerse el diagnóstico diferencial con otras dermatosis por deficiencia, particularmente con la pelagra (bajos niveles de niacina), el déficit de cinc y el síndrome de Harnup (13). El déficit de cinc, que semeja la acrodermatitis enteropática, presenta hallazgos histopatológicos similares al eritema necrolítico migratorio, como vacuolización de los queratocitos superficiales, necrosis de queratocitos y paraqueratosis (6,8,14).
La similitud clínica e histológica con condiciones como el déficit de vitamina B y las del tipo de la acrodemartitis enteropática, sugiere que las alteraciones cutáneas del eritema necrolítico migratorio se deben a un déficit nutricional causado por el exceso de glucagón (5).
El eritema necrolítico migratorio es la primera manifestación clínica en el 70 % de los pacientes con glucagonoma (2,4,11,14). El primer caso de este síndrome fue descrito por Becker, Kahn y Rotman en 1942, en una mujer de 45 años con erupciones eritematosas y vesiculares diseminadas asociadas con glositis, queilitis, pérdida de peso, anemia normocítica, hiperglucemia e hipoproteinemia. En la autopsia se encontró una neoplasia pancreática con metástasis en los ganglios linfáticos adyacentes e invasión de la glándula suprarrenal izquierda, así como trombosis de las venas cava, iliaca y femoral izquierdas (15). Las manifestaciones cutáneas fueron denominadas eritema necrolítico migratorio por Wilkinson en 1973, y Mallison, et al., introdujeron el término “síndrome de glucagonoma” para describir la asociación entre el eritema necrolítico migratorio y el glucagonoma pancreático (14,16).
La incidencia estimada del síndrome es de 1 en 20 millones y se han informado alrededor de 400 casos en la literatura científica (14). Afecta por igual a ambos sexos y se presenta principalmente entre la cuarta y la sexta décadas de la vida (4,17).
Los criterios diagnósticos de un síndrome de glucagonoma comprobado fueron propuestos en 1981 (16) e incluyen los siguientes: 1) masa tumoral detectada por visualización directa o por técnicas radiográficas; 2) tumor compuesto por células que contienen glucagón; 3) niveles séricos elevados de glucagón, y 4) al menos, uno de los siguientes hallazgos: erupción cutánea, intolerancia a la glucosa e hipoaminoacidemia (16). Las manifestaciones del síndrome incluyen, además, pérdida de peso, diarrea, debilidad, trastornos neuropsiquiátricos, diabetes mellitus y cardiomiopatía dilatada (2,6,17). La trombosis venosa profunda y la tromboembolia pulmonar se presentan en 10 a 30 % de los casos y son la causa de muerte en 50 % de estos pacientes (18).
Las alteraciones en los resultados de los exámenes de laboratorio incluyen importante aumento del glucagón sérico, anemia normocítica normocrómica y disminución de la albúmina, los aminoácidos y el colesterol (2,6). Los pacientes con síndrome de glucagonoma presentan valores de glucagón sérico de entre 1.000 y 5.000 pg/ml (16). Nuestra paciente tenía 1.000 pg/ml, con un control normal de laboratorio de 50 a 100 pg/ml. Es posible que las concentraciones séricas de glucagón no se correlacionen con la edad, el sexo, las alteraciones clínicas o metabólicas, o el tamaño o la localización del tumor, ya que el potencial biológico de cada forma de glucagón depende de su peso molecular (14,16).
Las manifestaciones clínicas del síndrome se atribuyen a los efectos metabólicos por exceso de glucagón, es decir, el aumento de la glucogenólisis, la lipólisis y la gluconeogénesis a partir de aminoácidos, y la inhibición de la glucólisis (2,8,19). Se cree que al disminuirse los niveles de aminoácidos séricos se aumentan los niveles cutáneos de ácido araquidónico, lo que incrementa la producción de mediadores inflamatorios como prostaglandinas y leucotrienos (2,12). La asociación del eritema necrolítico migratorio y la diabetes mellitus son claves útiles para sospechar la presencia de un glucagonoma (20).
En el momento del diagnóstico, 50 a 100 % de los pacientes con glucagonoma tienen metástasis (3,5,6,9,16,19). El hígado es el órgano más afectado (80 % de los casos) (11,17), seguido por los ganglios linfáticos peripancreáticos, los huesos, la glándula suprarrenal, el riñón y el pulmón (3,11,18). La supervivencia media es de 3 a 7 años desde el momento del diagnóstico del tumor (11). El seguimiento de esta paciente no fue suficiente para valorar la supervivencia.
La cirugía es el tratamiento óptimo para los pacientes con síndrome de glucagonoma, (3,7,18), ya que la resección del tumor antes de la aparición de metástasis es curativa. En los pacientes con tumores metastásicos o que no se pueden resecar, suelen emplearse análogos de la somatostina (2,6) y suplementos nutricionales (2). La normalización de los niveles séricos de glucagón con tratamiento quirúrgico o médico, generalmente produce la desaparición de las lesiones cutáneas (8,11). El diagnóstico precoz del eritema necrolítico migratorio puede disminuir las consecuencias catabólicas y el riesgo de metástasis (4,14).
En el síndrome de pseudoglucagonoma se presenta el eritema necrolítico migratorio sin evidencia de tumor pancreático, y está asociado a otras condiciones de base, como pancreatitis, enfermedad celíaca, enfermedad inflamatoria intestinal, síndrome de malabsorción, carcinoma de intestino delgado, hepatitis C, cirrosis, carcinoma hepatocelular, colangiocarcinoma, carcinoma de células pequeñas de pulmón, síndrome mielodisplásico, consumo de heroína y quimioterapia (2,4,6,9,11,21,22). Las manifestaciones cutáneas del síndrome de glucagonoma y pseudoglucagonoma son indistinguibles (23).
Conclusión
El trabajo conjunto del dermatólogo y el patólogo facilita el diagnóstico del eritema necrolítico migratorio, clave clínica e histopatológica que puede conducir al diagnóstico del glucagonoma pancreático.
Conflicto de intereses
Los autores manifiestan que no existe ningún tipo de conflicto de intereses financiero, académico ni personal, para la publicación de este artículo.
Financiación
Universidad de La Sabana
Referencias
1. Ortega-Loayza A, Ramos W, Gutiérrez EL, Chávez P, Bobbio L, Galarza C. Cutaneous manifestations of internal malignancies in a tertiary health care hospital of a developing country. An Bras Dermatol. 2010;85:736-42. http://dx.doi.org/10.1590/S0365-05962010000500026
2. DeWitt CA, Buescher LS, Stone SP. Cutaneous manifestations of internal malignant disease: Cutaneous paneoplastic syndromes. In: Goldsmith LA, Katz SI, Gilchrest BA, Paller AS, Leffell DJ, Wolff K, editors. Fitzpatrick’s Dermatology in General Medicine. Eigth edition. New York: McGraw-Hill; 2012. p. 1493-507.
3. Pujol RM, Wang CY, el-Azhary RA, Su WP, Gibson LE, Schroeter AL. Necrolytic migratory erythema: Clinicopathologic study of 13 cases. Int J Dermatol. 2004; 43:12-18. http://dx.doi.org/10.1111/j.1365-4632.2004.01844.x
4. Lobo I, Carvalho A, Amaral C, Machado S, Carvalho R. Glucagonoma syndrome and necrolytic migratory erythema. Int J Dermatol. 2010;49:24-9. http://dx.doi.org/10.1111/j.1365-4632.2009.04220.x
5. Cowen EW, Callen JP. Skin signs of internal malignancy. In: Callen JP, Jorizzo JI, Bolognia JL, Piette WW, Zone JJ, editors. Dermatological signs of internal disease. Fourth edition. Hong Kong: Elsevier; 2009. p. 107-16.
6. Compton NL, Chien AJ. A rare but revealing sign: Necrolytic migratory erithema. Am J Med. 2013; 126:387-9. http://dx.doi.org/10.1016/j.amjmed.2013.01.012
7. Tseng H-C, Liu CT, Ho JC, Lin SH. Necrolytic migratory erythema and glucagonoma rising from pancreatic head. Pancreatology. 2013;13:455-57. http://dx.doi.org/10.1016/j.pan.2013.03.011
8. van Beek AP, de Haas E, van Vloten W, Lips C, Roijers J, Canninga-van Dijk M. The glucagonoma síndrome and necrolytic migratory erythema: A clinical review. Eur J Endocrinol. 2004;151:531-7.
9. Pearce DJ, Greer KE, Jorizzo JL. Pancratic disease. In: Callen JP, Jorizzo JI, Bolognia JL, Piette WW, Zone JJ, editors. Dermatological signs of internal disease. Fourth edition. hong Kong: Elsevier; 2009. p. 243-6.
10. Grewal P, Salopek T. Is necrolytic migratory erithema due to glucagonoma a misnomer? A more apt name might be mucosal and intertriginous erosive dermatitis. J Cutan Med Surg. 2012;16:76-82.
11. Ormaechea-Pérez N, Arregui-Murua MA, López-Pestaña A, López-Núñez M, Jaka-Moreno A, Tuneu-Valls A. Eritema necrolítico migratorio como marcador de síndrome del glucagonoma. Med Cutan Iber Lat Am. 2013;41:70-3.
12. Da Silva JA, De Carvalho K, De Souza AC, Rodrigues IC, Ferreira A, De Oliveira SM, et al. Paraneoplastic cutaneous manifestations: Concepts and updates. An Bras Dermatol. 2013;88:9-22. http://dx.doi.org/10.1590/S0365-05962013000100001
13. Rezvani I. Defects in metabolism of amino acids. In: Kliegman R, Stanton B, Geme J, Schor N, Behrman R, editors. Nelson textbook of pediatrics. Nineteenth edition. Philadelphia: Elsevier Saunders; 2011. p. 429.
14. Arellano MI, Alcántara VD, Báez JA, Mercadillo P, Vargas B. Eritema necrolítico migratorio asociado con síndrome pseudoglucagonoma. Dermatol Rev Mex. 2013;57:49-56.
15. Becker W, Kahn D, Rothman S. Cutaneous manifestations of internal malignant tumors. Arch Dermatol Syphilol. 1942;45:1069-80.
16. Stacpoole PW. The glucagonoma syndrome: Clinical features, diagnosis, and treatment. Endocr Rev. 1981;2:347-61. http://dx.doi.org/10.1210/edrv-2-3-347
17. Sahoo MK, Gupta S, Singh I, Pahwa S, Durgapal P, Bal CS. Necrolytic migratory erythema associated with glucagonoma syndrome diagnosed by 68Ga-DOTANOC PET-CT. Asia Pac J Clin Oncol. 2014;10:190-3. http://dx.doi.org/10.1111/ajco.12048
18. Granero P, Miyar A, Granero J, Álvarez P, Álvarez J, Fernández J, et al. Glucagonoma syndrome: A case report. J Med Case Rep. 2011;5:402-6. http://dx.doi.org/10.1186/1752-1947-5-402
19. Qadan M, Visser B, Kim J, Pai R, Triadafilopoulos G. Abdominal mass, anemia, diabetes mellitus, and necrolytic migratory erithema. Dig Dis Sci. 2012;57:1465-8. http://dx.doi.org/10.1007/s10620-011-1967-5
20. Halvorson S, Gilbert E, Hopkins S, Liu H, López C, Chu M, et al. Putting the pieces together: Necrolytic migratory erythema and the glucagonoma syndrome. J Gen Intern Med. 2013;28:1525-9. http://dx.doi.org/10.1007/s11606-013-2490-5
21. Chiyomaru K, Takai T, Ohashi A, Nishigori C. Necrolytic migratory erythema with cholangiocarcinoma: Pseudoglucagonoma syndrome. Eur J Dermatol. 2010; 20:238-9. http://dx.doi.org/10.1684/ejd.2010.0878
22. Gronau M, Jäger D, Enk AH, Hassel J. Necrolytic migratory erythema in a patient with neuroendocrine carcinoma. Intern Med. 2012; 52:151-2. http://dx.doi.org/10.2169/internalmedicine.52.8499
23. Langan EA, Mansoor W, Brabant G, Young HS, Jamieson LA. A painful blistering rash on the lower legs and perineum. Clin Exp Dermatol. 2012;38:209-11. http://dx.doi.org/10.1111/j.1365-2230.2012.04355.x