Presentación de casos
Encefalitis autoinmunitaria asociada a anticuerpos contra el receptor N-metil-D-aspartato: presentación de dos casos
Autoimmune encephalitis associated to antibodies against the N-methyl-D-aspartate receptor: Report of two cases
Encefalitis autoinmunitaria asociada a anticuerpos contra el receptor N-metil-D-aspartato: presentación de dos casos
Biomédica, vol. 37, núm. 1, 2017
Instituto Nacional de Salud
Recepción: 30 Junio 2015
Aprobación: 02 Agosto 2016
Resumen:
La encefalitis asociada a anticuerpos contra receptores N-metil-D-aspartato es un síndrome neurológico que se presenta más comúnmente en mujeres jóvenes y frecuentemente se asocia al teratoma de ovario. Se caracteriza por un cuadro clínico agudo con síntomas generales inespecíficos que evoluciona hacia deterioro neurológico, psicosis y convulsiones; en su etapa más avanzada, se asocia con movimientos anormales y disautonomía. Se reportan dos casos en mujeres de 23 y 12 años. Dada su baja incidencia, se explica el proceso clínico que llevó a su diagnóstico y las opciones de tratamiento empleadas.
Palabras clave: encefalitis, receptores de glutamato, N-metilaspartato, autoinmunidad, inmunoterapia, anticuerpos.
Abstract:
Anti-N-methyl-D-aspartate receptor encephalitis is a neurological syndrome that is more common in young women and is often associated with ovarian teratoma. It is characterized by acute general unspecific symptoms that evolve to neurological deterioration, psychosis and seizures. In its more advanced stage it is associated with abnormal movements and dysautonomia. We report two cases in women of 23 and 12 years of age. Given its low incidence, we present the clinical exercise that led to their diagnoses and the treatment options employed.
Key words: Encephalitis, receptors, glutamate, N-methylaspartate, autoimmunity, immunotherapy, antibodies.
Entre los receptores del glutamato se encuentra el N-metil-D-aspartato, el cual está involucrado en la plasticidad sináptica, los procesos de aprendizaje y la memoria 1. La encefalitis asociada a anticuerpos contra el N-metil-D-aspartato es un síndrome neurológico autoinmunitario que inicialmente se consideró paraneoplásico 2 y afecta principalmente a mujeres jóvenes. Por lo general, se asocia al teratoma de ovario, aunque también se han descrito casos en ambos sexos, en diferentes grupos de edad y en sujetos sin procesos neoplásicos de base 3,4. En el 2007, se hizo su caracterización más completa con el reporte de 12 casos relacionados con teratoma de ovario 5.
Desde entonces, el número de casos informados ha aumentado 6 debido al reconocimiento de su etiología y sus manifestaciones clínicas, así como a la disponibilidad de técnicas diagnósticas adecuadas 7. En Colombia, se ha publicado hasta la fecha un caso de encefalitis autoinmunitaria asociada a anticuerpos contra el N-metil-Daspartato en un paciente pediátrico 8. En este reporte se presentan dos casos atendidos en el Hospital San Rafael de Tunja
Caso 1
Se trata de una mujer de 23 años de edad que había tenido un embarazo un año antes y consultó en diciembre de 2014 por un cuadro clínico de cuatro días de evolución, consistente en alucinaciones auditivas y visuales. La paciente manifestó que, en los siete días anteriores, había tenido dolor de cabeza sin características específicas, acompañado de acúfenos, mareo y náuseas.
En la valoración psiquiátrica se diagnosticó un episodio psicótico agudo y se inició el tratamiento con lorazepam y risperidona. Los síntomas continuaron con somnolencia, disartria y taquicardia. Se practicaron una tomografía axial (TC) cerebral simple (figura 1) y una resonancia magnética (RM) cerebral simple, cuyas imágenes no mostraron lesiones agudas.

En los exámenes de química sanguínea en el momento del ingreso no se encontraron alteraciones relevantes (cuadro1).

La paciente presentó fiebre, taquicardia y estupor en las siguientes 24 horas, por lo cual se le practicó una punción lumbar (cuadro 1). Debido a que se sospechó encefalitis herpética, se decidió administrarle aciclovir. En una nueva punción lumbar hecha 48 horas después, se encontraron parámetros similares, razón por la cual se amplió el diagnóstico diferencial de encefalitis y se hicieron pruebas con el panel de anticuerpos onconeuronales (anti-Hu, Yo, Ri, fifisina CV2, Ma2) y anticuerpos contra el receptor N-metil-D-aspartato. Asimismo, se hicieron pruebas con anticuerpos antinucleares (ANA), anticoagulante lúpico, anticuerpos anticitoplasma de neutrófilos (ANCA) y anticuerpos extraíbles del núcleo (ENA).
En los días siguientes, la paciente presentó alternadamente movimientos mioclónicos y tónicos, y posteriormente, movimientos de versión cefálica, así como movimientos de hiperextensión del tronco en determinados momentos, los cuales se interpretaron como epilépticos, aunque este origen se descartó en el examen neurológico mediante telemetría, pues solo se evidenció la lentitud difusa propia del paciente con encefalopatía.
Durante la estancia en la unidad de cuidados intensivos, la paciente presentó disautonomía grave, incluida diaforesis profusa, picos febriles de hasta 41 °C, episodios de taquicardia y múltiples eventos de hipotensión, inicialmente atribuidos a infección tratada empíricamente, aunque esta se descartó posteriormente.
A los 14 días de estar recibiendo aciclovir sin que se lograra su recuperación, se sometió a traqueostomía y gastrostomía, y se decidió tratarla con pulsos de metilprednisolona para una posible encefalitis autoinmunitaria. En ese momento, se recibió el resultado negativo en las pruebas con los anticuerpos onconeuronales y el positivo para los anticuerpos contra el receptor N-metil-D-aspartato.
En los dos meses siguientes, se le administró también inmunoglobulina y se la sometió a plasmaféresis, sin lograr una reacción favorable. Por último, la paciente recibió rituximab como tratamiento de rescate. Ya que la enfermedad se asocia con el teratoma de ovario, se incluyó el síndrome paraneoplásico en el estudio y se ordenaron pruebas con el antígeno carcinoembrionario, el ca-125 y el ca19-9, con resultados positivos para estos dos últimos.
La TC de tórax y la TC contrastada de abdomen y de pelvis, así como la endoscopia de vías digestivas altas y la colonoscopia, no revelaron la presencia de enfermedades. Cinco meses después, la paciente continuaba hipoactiva, con apertura ocular espontánea, mutismo, ocasionales movimientos distónicos en sus extremidades, y brotes de taquicardia y fiebre.
Caso 2
Se trata de una paciente de 12 años de edad, con desarrollo psicomotor normal e historia familiar de coagulopatía, que fue llevada al servicio de urgencias con cuadro clínico de cinco días de evolución, caracterizado por cefalea pulsátil temporal izquierda de intensidad moderada y disfasia, la cual progresó a afasia nominal dos días después, con presencia de somnolencia, hiporexia, náuseas y un pico febril (38,5 °C).
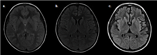
En el examen físico se evidenció afasia, lateralización de la marcha a la izquierda y disdiadococinesia izquierda. Durante la observación, se manifestaron movimientos bruscos con desviación oculocefálica a la derecha y postura distónica en las cuatro extremidades. La paciente se tornó estuporosa, lo cual motivó su ingreso en la unidad de cuidados intensivos pediátricos. La TC simple de cráneo, la RM cerebral simple (figura 2) y el electroencefalograma (EEG) inicial no evidenciaron alteraciones, pero el EEG posterior evidenció una lentitud en el rango delta difuso, y el examen citoquímico del líquido cefalorraquídeo mostró pleocitosis polimorfonuclear (cuadro1).

La paciente fue valorada en el servicio de neurología pediátrica, y se consideró la posible presencia de encefalitis viral, para lo cual se inició el tratamiento con aciclovir. En su segundo día de hospitalización presentó agitación psicomotora, ideas delirantes, y agresividad contra sí misma y contra otros. Los nuevos estudios de imágenes (TC, RM, radiografía de tórax) y los exámenes de sangre resultaron normales.
En los días siguientes, presentó estupor, discinesia facial, movimientos coreicos en el hemicuerpo derecho, picos febriles esporádicos, bajo gasto urinario, brotes de taquicardia y bradicardia, presión arterial alta y baja, e hipoventilación central, por lo cual requirió respiración mecánica asistida invasiva.
Debido a la poca mejoría con el tratamiento antiviral, se consideró un posible diagnóstico de encefalitis autoinmunitaria y se solicitaron pruebas para ANA, anticardiolipinas, ANCA y anticoagulante lúpico, cuyos resultados fueron negativos. En consecuencia, se extendió la búsqueda con pruebas para anticuerpos contra el N-metil-D-aspartato en líquido cefalorraquídeo, las cuales resultaron positivas. Se inició, entonces, el tratamiento con metilprednisolona, pero debido a la poca reacción, se complementó con inmunoglobulina humana y plasmaféresis en forma escalonada. Dado que estas medidas resultaron infructuosas, se optó por administrarle rituximab. El teratoma de ovario se descartó mediante ecografía pélvica.
La evolución de la paciente no fue favorable, por lo cual se decidió cambiar el tratamiento farmacológico por prednisolona, con la cual se consiguió una mejoría significativa, aunque incompleta. Desde entonces, su estado cognitivo y los síntomas psicóticos han mejorado significativamente, la paciente ha vuelto a caminar, aunque con problemas, y se pudieron cerrar la gastrostomía y la traqueostomía.
Discusión
Debido a lo reciente de su descripción, la incidencia y la prevalencia exactas de la encefalitis autoinmunitaria asociada a anticuerpos contra el N-metil-D-aspartato aún se desconocen.
Los síntomas son de instauración aguda o subaguda 9, con fases identificables 10,11. En el 70 % de los pacientes se inicia con una fase prodrómica de síntomas inespecíficos, como náuseas, diarrea, fiebre y cefalea. Los pacientes evolucionan a una fase psicótica y convulsiva, con alteraciones mentales variadas, como apatía, pánico, ansiedad, depresión, capacidades cognitivas disminuidas, agresividad, ideas delirantes, religiosidad exacerbada, manía y alucinaciones visuales o auditivas 12. Usualmente, se desarrollan manifestaciones neurológicas concomitantes, como ataxia, alteraciones del lenguaje, déficit de memoria y convulsiones generalizadas, especialmente de tipo tónico-clónico, particularmente resistentes al tratamiento antiepiléptico 3,4,13. Posteriormente, los pacientes entran en una fase sin reacción, un período variable caracterizado por una respuesta disminuida al medio, fluctuaciones del estado de conciencia, mutismo, catatonia o movimientos anormales: discinecias orolinguofaciales, distonías y automatismos faciales 14. Aproximadamente, el 69 % de los pacientes diagnosticados presenta una última fase de disautonomía que, de avanzar sin el tratamiento adecuado, puede causar la muerte. Esta inestabilidad autonómica se manifiesta esencialmente por arritmias cardiacas, hipertermia e hipotermia, salivación excesiva, incontinencia urinaria, hipertensión e hipotensión, e hipoventilación central 15. Los casos que se han reportado presentaron las fases descritas en una u otra medida.
La presencia de anticuerpos contra el N-metil-Daspartato en el líquido cefalorraquídeo constituye la confirmación definitiva del diagnóstico. En 25 % de los pacientes la RM es normal y, en el porcentaje restante, generalmente se evidencia una atrofia cortical leve o transitoria 5. Los electroencefalogramas, por lo general, revelan actividad lenta y desorganizada, y en ocasiones, actividad epileptiforme 4. En el examen citoquímico del líquido cefalorraquídeo, se ha encontrado pleocitosis linfocítica en la mayoría de los casos 16. El panel de anticuerpos onconeuronales ayuda en el diagnóstico diferencial del síndrome paraneoplásico 17; además, por la asociación estadística con el teratoma de ovario, se debe excluir esta condición.
El objetivo terapéutico en la encefalitis autoinmunitaria es retirar de la circulación los anticuerpos y atenuar su producción, para mejorar la condición del paciente e inducir la remisión del cuadro. Por la baja incidencia de este síndrome, el tratamiento se sustenta en las recomendaciones de los expertos. Al establecer la sospecha clínica de encefalitis asociada a anticuerpos contra el N-metil-D-aspartato, se debe iniciar el tratamiento inmunosupresor de primera línea, el cual incluye dosis altas de esteroides intravenosos, como la metilprednisolona, de inmunoglobulinas por vía intravenosa, o plasmaféresis. Según la evolución, se puede requerir inmunoterapia de segunda línea con rituximab, ciclofosmamida e, incluso, con metotrexato o alemtuzumab 3,14,18,19,20.
Aproximadamente, el 53% de los pacientes responden al tratamiento de primera línea, 75 a 80 %, se recuperan completamente y el porcentaje restante puede quedar con déficit neurológico sustancial o fallecer 3,14,21. La reacción al tratamiento suele ser lenta y el retraso en su inicio se relaciona con peores resultados clínicos. El riesgo de muerte se asocia con la inestabilidad autonómica o con complicaciones propias de la hospitalización prolongada 20,22
Agradecimientos
A los siguientes profesionales del Hospital San Rafael de Tunja: Martín Germán Ayala (neurólogo), Wilson Orlando Rincón (neurólogo), Mónica María Ospina (neurofisióloga), Omar Humberto Muñoz (psiquiatra), Julio Alberto Velandia (intensivista), Vicente Aljure Reales (radiólogo), y Carlos Mojica (intensivista pediátrico), por su colaboración en la atención y discusión académica de los casos presentados. Los autores certificamos que las personas mencionadas en los agradecimientos tienen conocimiento de dicha mención y están de acuerdo con aparecer en ellos.
Referencias
1. Tsien JZ. Building a brainier mouse. Sci Am. 2000;282:62-8. http://dx.doi.org/10.1038/scientificamerican0400-62
2. Tûzûn E, Dalmau J. Limbic encephalitis and variants: Classification, diagnosis and treatment. Neurologist. 2007;13: 261-71. http://dx.doi.org/10.1097/NRL.0b013e31813e34a5
3. Dalmau J, Gleichman AJ, Hughes EG, Rossi JE, Peng X, Lai M, et alAnti-NMDA-receptor encephalitis: Case series and analysis of the effects of antibodies. Lancet Neurol. 2008; 7:1091-8. http://dx.doi.org/10.1016/S1474-4422(08)70224-2
4. Florance NR, Davis RL, Lam C, Szperka C, Zhou L, Ahmad S, et alAnti-N-methyl-D-aspartate receptor (NMDAR) encephalitis in children and adolescents. Ann Neurol. 2009;66:11-8. http://dx.doi.org/10.1002/ana.21756
5. Dalmau J, Tûzûn E, Wu H, Masjuan J, Rossi JE, Voloschin A, et alParaneoplastic anti-N-methyl-D-aspartate receptor encephalitis associated with ovarian teratoma. Ann Neurol.2007;61:25-36. http://dx.doi.org/10.1002/ana.21050
6. Day GS, High SM, Cot B, Tang-Wai DF. Anti-NMDA-receptor encephalitis: Case report and literature review of an underrecognized condition. J Gen Intern Med. 2011;26:811-6. http://dx.doi.org/10.1007/s11606-011-1641-9
7. Miya K, Takahashi Y, Mori H. Anti-NMDAR autoimmune encephalitis. Brain Dev. 2014;36:645-52. http://dx.doi.org/10.1016/j.braindev.2013.10.005
8. Suárez DV, Rojas JP, Castillo GE, Díaz E, Montero FJ. Encefalitis por anticuerpos contra el receptor N-metil D-aspartato (NMDAR) en pediatría. Reporte de caso y revisión de la literatura. Acta Neurológica Colombiana. 2014;30:193-9.
9. De Broucker T, Martínez-Almoyna L. Anti-NMDA-receptor encephalitis. Med Mal Infect. 2010;40:1-5. http://dx.doi.org/10.1016/j.medmal.2009.10.013
10. Iizuka T, Sakai F, Ide T, Monzen T, Yoshii S, Iigaya M, et alAnti-NMDA receptor encephalitis in Japan: Long-term outcome without tumor removal. Neurology. 2008;70:504-11. http://dx.doi.org/10.1212/01.wnl.0000278388.90370.c3
11. Sansing LH, Tûzûn E, Ko MW, Baccon J, Lynch DR,Dalmau J. A patient with encephalitis associated with NMDA receptor antibodies. Nat Clin Pract Neurol. 2007;3:291-6. http://dx.doi.org/10.1038/ncpneuro0493
12. Kruse JL, Jeffrey JK, Davis MC, Dearlove J, IsHak WW, Brooks JO. Anti-N-methyl-D-aspartate receptor encephalitis: A targeted review of clinical presentation, diagnosis, and approaches to psychopharmacologic management. Ann Clin Psychiatry. 2014;26:111-9.
13. Johnson N, Henry C, Fessler AJ, Dalmau J. Anti-NMDA receptor encephalitis causing prolonged nonconvulsive status epilepticus. Neurology. 2010;75:1480-2. http://dx.doi.org/10.1212/WNL.0b013e3181f8831a
14. Lazar-Molnar E, Tebo AE. Autoimmune NMDA receptor encephalitis. Clin Chim Acta. 2015;438:90-7. http://dx.doi.org/10.1016/j.cca.2014.08.010
15. Jones KC, Benseler SM, Moharir M. Anti-NMDA receptor encephalitis. Neuroimaging Clin. 2013;23:309-20. http://dx.doi.org/10.1016/j.nic.2012.12.009
16. Irani SR, Bera K, Waters P, Zuliani L, Maxwell S, Zandi MS, et alN-methyl-D-aspartate antibody encephalitis: Temporal progression of clinical and paraclinical observations in a predominantly non-paraneoplastic disorder of both sexes. Brain J Neurol. 2010;133:1655-67. http://dx.doi.org/10.1093/ brain/awq113
17. Graus F, Delattre JY, Antoine JC, Dalmau J, Giometto B, Grisold W, et alRecommended diagnostic criteria for paraneoplastic neurological syndromes. J Neurol Neurosurg Psychiatry. 2004;75:1135-40. http://dx.doi.org/10.1136/jnnp.2003.034447
18. Dalmau J, Lancaster E, Martínez-Hernández E, Rosenfeld MR, Balice-Gordon R. Clinical experience and laboratory investigations in patients with anti-NMDAR encephalitis. Lancet Neurol. 2011;10:63-74. http://dx.doi.org/10.1016/S1474-4422(10)70253-2
19. Susan Byrne ML. N-methyl-D-aspartate receptor antibody encephalitis: How much treatment is enough? Dev Med Amp Child Neurol. 2014;57:14-5. http://dx.doi.org/10.1111/dmcn.12559
20. Ramanathan S, Mohammad SS, Brilot F, Dale RC. Autoimmune encephalitis: Recent updates and emerging challenges. J Clin Neurosci. 2014;21:722-30. http://dx.doi.org/10.1016/j.jocn.2013.07.017
21. Titulaer MJ, McCracken L, Gabilondo I, Armangué T, Glaser C, Iizuka T, et al. Treatment and prognostic factors for long-term outcome in patients with anti-NMDA receptor encephalitis: An observational cohort study. Lancet Neurol. 2013;12:157-65. http://dx.doi.org/10.1016/S1474-4422(12)70310-1
22. Peery HE, Day GS, Dunn S, Fritzler MJ, Prûss H, De Souza C, et alAnti-NMDA receptor encephalitis. The disorder, the diagnosis and the immunobiology. Autoimmun Rev. 2012;11:863-72. http://dx.doi.org/10.1016/j.autrev.2012.03.001
Notas
Notas de autor
Correspondencia: José Luis Bustos, Carrera 4 N° 32-14, apartamento 401, Tunja, Colombia Teléfono: (302) 412 8468; fax: (302) 740 5030 jose.bustos@uptc.edu.co
Declaración de intereses