ARTÍCULO ORIGINAL
Una serie de casos fatales de fiebre manchada de las Montañas Rocosas en Sonora, México
A fatal case series of Rocky Mountain spotted fever in Sonora, México
Una serie de casos fatales de fiebre manchada de las Montañas Rocosas en Sonora, México
Biomédica, vol. 38, núm. 1, 2018
Instituto Nacional de Salud
Recepción: 09 Agosto 2016
Aprobación: 25 Abril 2017
Resumen
Introducción.: La fiebre manchada de las Montañas Rocosas es una infección muy letal, particularmente si no se diagnostica y se trata oportunamente.
Objetivo.: Describir el perfil clínico de los casos fatales de pacientes con fiebre manchada de las Montañas Rocosas, hospitalizados en Sonora, México.
Materiales y métodos.: Se analizó una serie de 47 defunciones por fiebre manchada de las Montañas Rocosas en el periodo de 2013 a 2016. El diagnóstico se confirmó mediante reacción en cadena de la polimerasa (PCR) o la cuadruplicación de los títulos de inmunoglobulina G (IgG) en muestras de suero pareadas analizadas mediante inmunofluorescencia indirecta. Se compararon las características clínicas y de laboratorio, estratificando a los sujetos en dos grupos: pediátricos y adultos.
Resultados.: No hubo diferencias en las manifestaciones clínicas entre los grupos; el exantema petequial fue el signo más frecuente (96 %), seguido por cefalea (70 %) y mialgias (67 %). La muerte ocurrió en el 55 % de los sujetos a pesar de haber recibido doxiciclina antes del quinto día del inicio de los síntomas. Los marcadores de laboratorio más frecuentes fueron trombocitopenia, falla hepática e insuficiencia renal.
Conclusión.: La fiebre manchada de las Montañas Rocosas es una enfermedad muy letal, lo cual puede estar relacionado con la ausencia de sospecha del diagnóstico y el retraso en la administración de doxiciclina, pero también con características atribuibles a Rickettsia rickettsii que inciden en la variabilidad de los resultados adversos que se han observado en regiones donde la enfermedad es frecuente.
Palabras clave: Rickettsia rickettsii+ garrapatas+ fiebre manchada de las Montañas Rocosas/mortalidad+ doxiciclina+ México.
Abstract
Introduction: Rocky Mountain spotted fever is a highly lethal infectious disease, particularly if specific treatment with doxycycline is given belatedly.
Objective: To describe the clinical profile of fatal Rocky Mountain spotted fever cases in hospitalized patients in the state of Sonora, México.
Materials and methods: We conducted a cross-sectional study on a series of 47 deaths caused by Rickettsia rickettsii from 2013 to 2016. The diagnosis of Rocky Mountain spotted fever was confirmed in a single blood sample by polymerase chain reaction (PCR) or by a four-fold increase in immunoglobulin G measured in paired samples analyzed by indirect immunofluorescence. Clinical and laboratory characteristics were compared stratifying subjects into two groups: pediatric and adult.
Results: There were no differences in clinical characteristics between groups; petechial rash was the most frequent sign (96%), followed by headache (70%) and myalgia (67%). Although that doxycycline was administered before the fifth day from the onset of symptoms, death occurred in 55% of patients. In clinical laboratory, thrombocytopenia, and biomarkers of liver acute failure and acute kidney failure were the most frequent.
Conclusion: Rocky Mountain spotted fever remains as one of the most lethal infectious diseases, which may be related not only to the lack of diagnostic suspicion and delayed administration of doxycycline, but to genotypic characteristics of Rickettsia rickettsii that may play a role in the variability of the fatality rate that has been reported in other geographical regions where the disease is endemic.
Key words: esENRickettsia rickettsii, ticks, Rocky Mountain spotted fever/mortality, doxycycline, México..
La fiebre manchada de las Montañas Rocosas asociada a Rickettsia rickettsii, también conocida como fiebre manchada de Brasil, entre otras denominaciones regionales utilizadas (CIE-10,A77.0), es una enfermedad transmitida a los humanos por la mordedura de garrapatas infectadas con la bacteria R. rickettsii1. Es el padecimiento más serio del grupo de las fiebres manchadas provocadas por bacterias de la familia Rickettsiaceae 2, y estaba asociado a tasas de fatalidad de entre 85 y 91% en la era preantibiótica 3,4, lo que las equipara con otras infecciones como la meningoencefalitis amebiana primaria, con 95% 5, el ántrax, con 85% 6, e incluso las ubica por encima de la fiebre por ébola, con 50% 7, la viruela, con 30% 8, y el síndrome respiratorio del oriente medio, con 50% 9.
El fenómeno fisiopatológico esencial de las manifestaciones clínicas de la enfermedad es la infección sistémica del endotelio celular, que provoca un incremento de la permeabilidad vascular en diversos compartimentos anatómicos, y constituye el principal componente patogénico de los casos graves que cursan con complicaciones y llevan a la muerte de los pacientes 10.
A pesar de que la gravedad de la infección es bien reconocida, existen variaciones regionales en la tasa de resultados fatales que fluctúan desde 1 % en Estados Unidos 11 hasta 20 a 30 % en niños y adolescentes en México 12,13, variación que se explicaría por el inapropiado manejo médico de los casos 14,15, la confusión diagnóstica de esta fiebre con otras rickettsiosis menos graves 16-18, y la eventual diferencia en la virulencia de las cepas de R. rickettsii19,20. Aunque no todas las infecciones producidas por R. rickettsii tienen un resultado fatal, factores como el tamaño del inóculo administrado 21 y el inicio tardío del tratamiento con doxiciclina (después del quinto día tras el comienzo de los síntomas), se han asociado con este resultado 14.
Si bien en diversos estudios se ha documentado la gravedad de esta fiebre, en este estudio se incluyeron solamente casos confirmados por laboratorio en el estado de Sonora, una región endémica de la enfermedad en el noroeste de México.
En esta región, de clima seco y semiseco, con una temperatura anual media de 22 °C y una precipitación pluvial media de 450 mm anuales, la enfermedad reapareció a principios de la primera década del 2000 tras varias décadas de ausencia. Desde entonces, cada año ocurren en promedio 100 casos confirmados 13, algunos fatales, distribuidos a lo largo del estado.
El conocimiento de las características clínicas de la enfermedad puede orientar al médico de la primera consulta a sospechar oportunamente el diagnóstico. Por tal motivo, el presente estudio describe el perfil clínico de una serie de casos fatales de fiebre manchada de las Montañas Rocosas, con el propósito de fomentar la discusión de aspectos relacionados con la oportunidad de la sospecha diagnóstica y el tratamiento.
Materiales y métodos
Se hizo un estudio transversal en una serie consecutiva de 47 pacientes ingresados por sospecha de fiebre manchada de las Montañas Rocosas en hospitales públicos del estado de Sonora, México, entre enero de 2013 y junio de 2016. El diagnóstico básico de la causa de defunción de los sujetos de estudio se registró como fiebre manchada de las Montañas Rocosas [fiebre maculosa (rickettsiosis transmitida por garrapatas)], código A77.0 de la Clasificación Internacional de Enfermedades, décima revisión.
Se consideró como un caso confirmado de la fiebre, primero, a todo paciente con resultado positivo para R. rickettsii en una muestra sanguínea única analizada mediante la prueba de reacción en cadena de la polimerasa (PCR) en punto final. La identificación del género Rickettsia se hizo mediante la detección del gen gltA, que codifica para la proteína sintasa de citrato, con un producto de amplificación de 401 pares de bases 22, en tanto que la especie se identificó mediante la proteína hipotética A1G_04230, con un producto de amplificación de 153 pares de bases.
Esta es una región específica para la especie R. rickettsii, identificada como una región conservada después de secuenciar el genoma 23. En segundo lugar, también se consideraron casos confirmados aquellos en los que se observó una cuadruplicación de los títulos de inmunoglobulina G (IgG) en muestras pareadas (7 y 21 días) medidos por inmunofluorescencia indirecta (IFI) según la recomendación de los Centers for Disease Control and Prevention (CDC) 1.
Por otro lado, se había hecho autopsia en cuatro de los pacientes; los hallazgos histopatológicos se obtuvieron empleando la tinción de hematoxilina y eosina y, posteriormente, la de Pinkerton para la identificación del género Rickettsia. Los sujetos se estratificaron en pacientes pediátricos (menores de 18 años) y adultos (de 18 o más años). El estudio fue aprobado por los comités de ética de los hospitales involucrados.
Los datos del estudio se obtuvieron retrospectivamente de los registros hospitalarios (expedientes clínicos, estudios epidemiológicos, notas de patología y certificados de defunción), y se ingresaron en una base de datos estandarizada con los datos demográficos, epidemiológicos, clínicos y de laboratorio registrados en el momento del ingreso hospitalario.
Se utilizó la estadística descriptiva para caracterizar el perfil clínico y los resultados de laboratorio, y las diferencias en las variables categóricas se evaluaron mediante la prueba exacta de Fisher o la de ji al cuadrado de Yates, en tanto que para examinar la normalidad de los datos continuos, se usó la prueba de Kolmogorov-Smirnov; las diferencias se evaluaron mediante la prueba t de Student en las distribuciones normales y la U de Mann-Whitney en las que no lo eran. Los datos se analizaron utilizando el programa de análisis estadístico NCSS (Number Cruncher Statistical System), versión 9.0.
Resultados
Se estudiaron 47 casos fatales, 24 de los cuales correspondían a pacientes adultos (51 %); la media de la edad fue de 5,5 ± 0,9 años para los pacientes pediátricos y de 36,7 ± 3,8 años para los adultos. Los antecedentes de contacto con garrapatas se registraron en 98% de los casos. Cuarenta seis (98 %) casos se confirmaron mediante PCR para R. rickettsii y únicamente un caso mediante IFI.
En cuanto a las características clínicas, se observó que la media general de días desde el inicio de los síntomas hasta la muerte fue de 7,30 ± 0,82 días, con una hospitalización media de 2,52 ± 1,10 días. La doxiciclina se administró, en promedio, a los 5,08 ± 0,24 días del inicio de los síntomas. No se encontraron diferencias en las manifestaciones clínicas entre niños y adultos, siendo el exantema petequial el signo más frecuente en ambos grupos (96%), seguido por cefalea (70%) y mialgias (67%) (cuadro 1).

Con el análisis de los datos de laboratorio, se observó una media de leucocitos de 11,13 μl, neutrofilia (9,34 μl) y linfopenia (0,78 μl), así como plaquetopenia importante (18,11 μl), afectación renal aguda con elevación de la creatinina sérica (1,72 mg/dl) y la urea (87,8 mg/dl), de la bilirrubina a expensas de la bilirrubina directa (3,10 mg/dl), de la aspartato aminotransferasa (AST) (279,7 U/L) y de la alaninoamino transferasa (ALT) (94,4 U/L), además de prolongación del tiempo de protrombina (19,1 s) y de la tromboplastina parcial (55,1 s). Asimismo, se observó hipoproteinemia (4,4 mg/dl), hipoalbuminemia (2,3 g/dl), hipoglobulinemia (1,9 g/dl) e hiponatremia (129,5 mEq/l) en ambos grupos. Solo se apreciaron diferencias significativas entre los niños y los adultos en los niveles medios de hemoglobina, hematocrito, conteo linfocitario, proteínas totales y globulina (p<0,05) (cuadro 2).

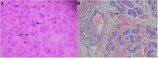
En el estudio de patología se observó el bacilo intracelular (figura 1A) con la tinción de Pinkerton 24. En los cuatro casos analizados mediante esta técnica, se observó un proceso inflamatorio con presencia de células mononucleares y vasculitis, afectación de múltiples órganos, incluidos los pulmones, el corazón, los riñones, el hígado, el bazo, la piel y el cerebro (cuadro 3). Un hallazgo interesante fue que los tres pacientes de sexo masculino habían presentado orquitis con vasculitis o trombosis vascular (figura 1B).


Discusión
El presente estudio corrobora que la fiebre manchada de las Montañas Rocosas es una infección de elevada letalidad en Sonora, México. Aunque esta serie solo incluyó defunciones, en todos los casos el diagnóstico etiológico se había confirmado mediante pruebas de laboratorio válidas, y no se consideraron casos clínicamente similares o con resultados de laboratorio indeterminados. La muestra original incluía a 51 pacientes con diagnóstico confirmado, de los cuales solo cuatro sobrevivieron (letalidad del 92 %). En este sentido, la tasa observada podría explicarse parcialmente por un sesgo de selección, pues es probable que los casos de intensidad moderada no hayan requerido hospitalización, lo cual habría contribuido a sobrestimar la probabilidad de muerte por esta fiebre.
No obstante, en otras series pediátricas regionales se ha documentado una letalidad por fiebre manchada de las Montañas Rocosas entre 20 y 30 %, lo que indica su gravedad y la ubica como uno de los padecimientos más letales a nivel mundial, incluso por encima del ántrax, el ébola y el síndrome respiratorio del medio oriente 6,8-9. Si, además, se considera que una proporción de los sobrevivientes presentaba secuelas con efectos a largo plazo, como amputaciones, deterioro neurológico, depresión, y daño visual y auditivo 25, debe considerársele como un problema médico y sanitario de gran relevancia.
Por otra parte, se acepta que el diagnóstico de esta fiebre constituye un desafío clínico por la poca especificidad de los síntomas iniciales, lo que puede contribuir a confundirla con otras enfermedades, como la fiebre por dengue, el chikungunya, el zika, la hepatitis infecciosa y los exantemas virales 1.
Un mensaje básico para los profesionales de la salud es que la presencia de fiebre, cefalea y malestar general en sujetos que residen en áreas endémicas, es suficiente para sospechar el diagnóstico y comenzar el tratamiento específico con doxiciclina. También, es menester considerar que la dificultad de la sospecha clínica crece si no hay una búsqueda intencionada de los datos epidemiológicos, como la historia de contacto con garrapatas, pues, como se evidenció en la serie estudiada, casi todos los enfermos tenían tal antecedente pero no se lo tomó en cuenta en la primera consulta médica como dato para sospechar el diagnóstico.
Un asunto de relevancia es que los síntomas de esta fiebre son más claros en los estadios avanzados de la enfermedad, cuando el exantema petequial es extenso, y la falla hepática y, la insuficiencia renal agudas, así como el deterioro neurológico y respiratorio son evidentes, tal como se pudo apreciar en los sujetos del presente estudio. Esta imagen clínica no es aparente en la etapa temprana de la evolución de la enfermedad, y su presencia se asocia a resultados fatales y complicaciones en los sobrevivientes 1,10.
Para reducir la probabilidad de que los casos lleguen a esta etapa, es fundamental que los médicos de la primera consulta de las regiones endémicas incluyan la fiebre manchada de las Montoñas Rocosas en su inventario diagnóstico, pues según los registros analizados en este estudio, aunque el 80 % de los pacientes solicitó atención médica en el curso de las primeras 48 horas de iniciados los síntomas 12, el diagnóstico clínico solo se estableció con la aparición del exantema petequial y otras manifestaciones de gravedad y mal pronóstico, como la plaquetopenia. Asimismo, los hallazgos patológicos que se observaron concuerdan con reportes previos 26-29, aunque resalta la presencia de orquitis y vasculitis testicular, lo que puede ser importante para el seguimiento de los sobrevivientes.
Aunque los resultados de laboratorio no pueden llevar a afirmaciones concluyentes, la presencia de leucocitosis con neutrofilia, la trombocitopenia que resulta del secuestro plaquetario y su destrucción en la microcirculación, así como la elevación de la procalcitonina sérica y la hiponatremia, pueden ayudar al médico a diferenciar la enfermedad de otros padecimientos febriles como el dengue, el chikungunya, el sarampión, la hepatitis y las encefalitis virales 30.
Por otra parte, aunque la mortalidad es menor entre los pacientes que reciben doxiciclina durante los primeros cinco días del inicio de los síntomas 14,31, también es posible suponer que algunos de los pacientes diagnosticados con la fiebre fueron en realidad infectados por otras especies de Rickettsia asociadas con una menor gravedad clínica, tal como se ha documentado en algunas series que incluyeron, no solamente casos de fiebre manchada de las Montañas Rocosas, sino otras rickettsiosis 16-18, con lo cual se podría subestimar la verdadera letalidad de R. rickettsii.
De hecho, recientemente, Delisle, et al. 32, estudiaron 56 muestras serológicas de pacientes con sospecha de fiebre manchada y encontraron que todas ellas eran reactivas cuando menos a dos especies de Rickettsia, y no necesariamente a R. rickettsii, y que ninguna de ellas era específicamente reactiva a R. rickettsii, pero sí a R. amblyommi, R. parkeri y R. montanensis. Ese estudio indica que infecciones por especies distintas a R. rickettsii asociadas con cuadros clínicos de menor gravedad, se han considerado erróneamente como fiebre manchada de las Montañas Rocosas, algo que también se ha señalado previamente en los estudios descriptivos de Estados Unidos 18.
Lo anterior implica que es necesario mejorar la capacidad diagnóstica para distinguir las infecciones producidas por R. rickettsii de aquellas relacionadas con otras especies de menor virulencia. Las limitaciones actuales para diferenciar rutinariamente las diferentes especies de Rickettsia que producen síntomas en los seres humanos, pueden contribuir a subestimar la verdadera tasa de letalidad de esta fiebre. Por ejemplo, en reportes relativamente recientes de zonas endémicas de Estados Unidos, la letalidad ha oscilado entre 0,3 y 1,4 % 18,33, mientras que en algunas regiones de Arizona ha alcanzado hasta 10 % 11 y, en México, 30 % 13. Tal variabilidad no es necesariamente exclusiva de los mecanismos fisiopatológicos e inmunológicos subyacentes en la infección por R. rickettsii, pues también pueden relacionarse con diferencias en los criterios diagnósticos utilizados, con las dificultades para identificar otras especies de Rickettsia 17, y con la reacción cruzada en las pruebas serológicas para otras especies con menor virulencia 16,32.
Otro aspecto relevante es que el retraso de cinco días o más en la administración de la doxiciclina se ha señalado como uno de los principales determinantes de la letalidad de la fiebre manchada de las Montañas Rocosas 14,31. En la presente serie, poco más de la mitad (55 %) de los pacientes recibió doxiciclina en los primeros cinco días tras el comienzo de los síntomas y, sin embargo, fallecieron después de presentar sepsis tras solo 2,5 días de estancia en el hospital. Este hecho, que no se propone como explicación causal, sí puede fomentar la discusión sobre aspectos que no han sido suficientemente explorados. Por ejemplo, es conveniente que se retome el estudio de la variabilidad en la virulencia de distintas cepas de R. rickettsii. En este sentido, en los reportes a lo largo de los años se han evidenciado diferencias en la gravedad clínica de la cepa del oeste, presente en regiones como Montana, en Estados Unidos, y en Sonora y Sinaloa, en México. Con esta cepa se han registrado tasas de fatalidad entre el 70 y el 80 %, en tanto que con la cepa del este, identificada en Idaho, Estados Unidos, y en Veracruz, México, la fatalidad ha llegado al 5 % 4,20,34.
Recientemente, Eremeeva, et al. 19 identificó la presencia de un genotipo único de R. rickettsii en Mexicali, Baja California Norte, estado vecino a Sonora, en donde ocurrió un brote muy letal de fiebre manchada de las Montañas Rocosas en el 2009. Los fragmentos intergénicos de esta cepa fueron muy distintos a los de aislamientos previos, incluso de los provenientes del estado de Arizona, frontera de Estados Unidos con Sonora, hallazgo que puede sustentar la hipótesis de que la variabilidad en la letalidad de R. rickettsii no se debe únicamente a la oportunidad con la que se administra la doxiciclina, sino a otras características genéticas propias de la bacteria.
Además, sería conveniente ampliar la investigación para elucidar el papel de algunos factores que se han asociado con la fatalidad de la fiebre manchada de las Montañas Rocosas, como la deficiencia de la enzima glucosa 6 fosfato-deshidrogenasa y deficiencias nutricionales 30,35, además del papel de las citocinas proinflamatorias que incrementan la permeabilidad microvascular de los pacientes infectados 36, lo cual también pudiera asociarse a la elevada letalidad observada en Sonora.
Por último, en el presente estudio se evidenció que la letalidad por esta fiebre manchada sigue siendo muy elevada. En el noroeste de México, en Sonora, su presencia se asocia con el contacto con garrapatas Rhipicephalus sanguineus4,12,19 infectadas por R. rickettsii que se alojan como ectoparásitos en el perro doméstico y, por lo tanto, es relativamente frecuente. Las manifestaciones clínicas graves provocadas por el daño endotelial de los vasos sanguíneos, comprometen diversos órganos del cuerpo y, aunque pueden estar relacionadas con características genotípicas únicas de la cepa de R. rickettsii predominante en la región, podrían evitarse con la sospecha temprana de la enfermedad.
Aunque persisten interrogantes sobre la variabilidad genética de R. rickettsii y la gravedad clínica de la infección, ante la sospecha empírica de la enfermedad es vital el inicio oportuno del tratamiento con doxiciclina, que continúa siendo la opción terapéutica más eficaz y cuyo inicio tardío se asocia con resultados fatales.
Referencias
1. Biggs HM, Barton-Behravesh C, Bradley KK, Dahlgren FS, Drexler NA, Dumler JS, et al. Diagnosis and management of tickborne rickettsial diseases: Rocky Mountain spotted fever and other spotted fever group rickettsiosis, ehrlichiosis, and anaplasmosis - United States. MMWR Recomm Rep. 2016;65:1-44.
2. Parola P, Paddock CD, Raoult D. Tick-borne rickettsioses around the world: Emerging diseases challenging old concepts. Clin Microbiol Rev. 2005;18:719-56. https://doi. org/10.1128/CMR.18.4.719-756.2005
3. Ricketts HT. Some aspects of Rocky Mountain spotted fever as shown by recent investigations. 1909. Rev Infect Dis. 1991;13:1227-40.
4. Bustamante ME, Varela G. Una nueva rickettsiosis en México: existencia de la fiebre manchada Americana en los estados de Sinaloa y Sonora. Revista del Instituto de Salubridad y Enfermedades Tropicales. 1943;4:189-210.
5. Cervantes-Sandoval I, Serrano-Luna JJ, García-Latorre E, Tsutsumi V, Shibayama M. Characterization of brain inflammation during primary amoebic meningoencephalitis. Parasitol Int. 2008;57:307-13. https://doi.org/10.1016/j.parint.2008.01.006
6. Jernigan JA, Stephens DS, Ashford DA, Omenaca C, Topiel MS, Galbraith M, et al. Bioterrorism-related inhalational anthrax: The first 10 cases reported in the United States. Emerg Infect Dis. 2001;7:933. https://doi.org/10.3201/eid0706.010604
7. World Health Organization. Ebola response roadmap situation report. Fecha de consulta: 6 de marzo de 2016. Disponible en: http://apps.who.int/ebola/current-situation/ebola-situation-report-2-march-2016.
8. Lofquist JM, Weimert NA, Hayney MS. Smallpox: A review of clinical disease and vaccination. Am J Health Syst Pharm. 2003;60:749-56.
9. Assiri A, Al-Tawfiq JA, Al-Rabeeah AA, Al-Rabiah FA, Al-Hajjar S, Al-Barrak A, et al. Epidemiological, demographic, and clinical characteristics of 47 cases of Middle East respiratory syndrome coronavirus disease from Saudi Arabia: A descriptive study. Lancet Infect Dis. 2013;13:752-61. https://doi.org/10.1016/S1473-3099(13)70204-4
10. Dumler JS. Clinical disease: Current treatment and new challenges.En: Palmer GH, Azad AF, editors. Intracellular pathogens II. Rickettsiales. First edition. Washington, D.C.: ASM Press; 2012. p. 1-25.
11. Drexler NA, Dahlgreen FS, Nichols-Heitman K, Massung RF, Paddock CD, Barton-Behravesh C. National surveillance of spotted fever rickettsiosis in the United States, 2008-2012. Am J Trop Med Hyg. 2016;94:26-34. https://doi.org/10.4269/ajtmh.15-0472
12. Álvarez-Hernández G, Murillo-Benítez C, Candia-Plata MC, Moro M. Clinical profile and predictors of fatal Rocky Mountain spotted fever in children from Sonora, México. Pediatr Infect Dis J. 2015;34:125-30. https://doi.org/10.1097/INF.0000000000000496.
13. Álvarez-Hernández G, Candia-Plata MC, Delgado-de la Mora J, Acuña-Meléndrez NH, Vargas-Ortega AP, Licona-Enríquez JD. Fiebre maculosa de las Montañas Rocosas en niños y adolescentes mexicanos: cuadro clínico y factores de mortalidad. Salud Pública Mex. 2016;58:385-92.https://doi.org/10.21149/spm.v58i3.7908
14. Kirkland KB, Wilkinson WE, Sexton DJ. Therapeutic delay and mortality in cases of Rocky Mountain spotted fever. Clin Infect Dis. 1995;20:1118-21.
15. Moreira-Galvao MA, Dumler JS, Lisias-Mafra C, Berger-Calic S, Buffe-Chamone C, Filho GC, et al. Fatal spotted fever rickettsiosis, Minas Gerais, Brazil. Emerg Infect Dis. 2003;9:1402-5. https://doi.org/10.3201/eid0911.030193
16. Raoult D, Paddock CD. Rickettsia parkeri infection and other spotted fevers in the United States. N Engl J Med. 2005;335: 626-7. https://doi.org/10.1056/NEJM200508113530617
17. Raoult D, Parola P. Rocky Mountain spotted fever in the USA: A benign disease or a common diagnostic error? Lancet Infect Dis.2008;8:587-9. https://doi.org/10.1016/S1473-3099(08)70210-X
18. Openshaw JJ, Swerdlow DL, Krebs JW, Holman RC, Mandel E, Harvey A, et al. Rocky Mountain spotted fever in the United States, 2000-2007: Interpreting contemporary increases in incidence. Am J Trop Med Hyg. 2010;83:174-82. https://doi.org/10.4269/ajtmh.2010.09-0752
19. Eremeeva ME, Zambrano ML, Anaya L, Beati L, Karpathy SE, Santos-Silva MM, et al. Rickettsia rickettsii in Rhipicephalus ticks, Mexicali, México. J Med Entomol. 2011;48:418-21.
20. Clark TR, Noriea NF, Bublitz DC, Ellison DW, Martens C, Lutter EL, et al. Comparative genome sequencing of Rickettsia rickettsii strains that differ in virulence. Infect Immun. 2015;83:1568-76. https://doi.org/10.1128/IAI.03140-14
21. DuPont HL, Hornick RB, Dawkins AT, Heiner GG, Fabrikant IB, Wisseman CL, et al. Rocky Mountain spotted fever: A comparative study of the active immunity induced by inactivated and viable pathogenic Rickettsia rickettsii. J Infect Dis. 1973;128:340-4.
22. Labruna MB, Whitworth T, Horta MC, Bouyer DH, McBride JW, Pinter A, et al. Rickettsia species infecting Amblyomma cooperi ticks from an area in the state of Sao Paulo, Brazil, where Brazilian spotted fever is endemic. J Clin Microbiol. 2004;42:90-8. https://doi.org/10.1128/JCM. 42.1.90-98.2004
23. Kato CY, Chung IH, Robinson LK, Austin AL, Dasch GA, Massung RF. Assessment of real-time PCR assay for detection of Rickettsia spp. and Rickettsia rickettsii in banked clinical samples. J Clin Microbiol.2013;51:314-7. https://doi.org/10.1128/JCM.01723-12.
24. Luna LG. Manual of histologic staining methods of the Armed Forces Institute of Pathology. Third edition. New York: Blakiston Division, McGraw-Hill Book Company; 1968. p. 237.
25. Archibald LK, Sexton DJ. Long-term sequelae of Rocky Mountain spotted fever. Clin Infect Dis.1995;20:1122-5.
26. Bradford WD, Hackel DB. Myocardial involvement in Rocky Mountain spotted fever. Arch Pathol Lab Med. 1978;102:357-9.
27. Walker DH, Mattern WD. Acute renal failure in Rocky Mountain spotted fever. Arch Intern Med. 1979;139:443-8. https://doi.org/10.1001/archinte.1979.03630410051017
28. Walker DH, Crawford CG, Cain BG. Rickettsial infection of the pulmonary microcirculation: The basis for interstitial pneumonitis in Rocky Mountain spotted fever. Hum Pathol. 1980;3:263-72.
29. Kao GF, Evancho CD, Loffe O, Lowitt MH, Dumler JS. Cutaneous histopathology of Rocky Mountain spotted fever. J Cutan Pathol. 1997;24:604-10. https://doi.org/10.10.1111/j.1600-0560.1997.tb01091.x
30. Chen LF, Sexton DJ. What's new in Rocky Mountain spotted fever? Infect Dis Clin North Am. 2008;22:415-32. https://doi.org/10.1016/j.idc.2008.03.008
31. Dalton MJ, Clarke MJ, Holman RC, Krebs JW, Fishbein DB, Olson JG, et al. National surveillance for Rocky Mountain spotted fever, 1981-1992: Epidemiologic summary and evaluation of risk factors for fatal outcome. Am J Trop Med Hyg. 1995;52:405-13.
32. Delisle J, Mendell NL, Stull-Lane A, Bloch KC, Bouyer DH, Moncayo AC. Human infections by multiple spotted fever group rickettsiae in Tennessee. Am J Trop Med Hyg. 2016;94:1212-7. https://doi.org/10.4269/ajtmh.15-0372
33. Chapman AS, Murphy SM, Demma LJ, Holman RC, Curns AT, McQuiston JH, et al. Rocky mountain spotted fever in the United States, 1997-2002. Vector Borne Zoonotic Dis. 2006;6:170-8. https://doi.org/10.1196/annals.1374.026
34. Weiss E. History of rickettsiology. En: Walker DH, editor. Biology of rickettsial diseases. First edition. Boca Ratón, Florida: CRC Press; 1988. p. 15-32.
35. Walker DH, Hawkins HK, Hudson P. Fulminant Rocky Mountain spotted fever. Its pathogenic characteristics associated with glucose-6-phospate dehydrogenase deficiency. Arch Pathol Lab Med. 1983;107:121-5.
36. Woods ME, Olano JP. Host defenses to Rickettsia rickettsii infection contribute to increased microvascular permeability in human cerebral endothelial cells. J Clin Immunol. 2008;28: 174-85. https://doi.org/10.1007/s10875-007-9140-9
Notas
Notas de autor
*Correspondencia: Gerardo Álvarez-Hernández, Boulevard Luis Donaldo Colosio, sin número, Colonia Centro, Hermosillo, Sonora, México, CP 83000 Teléfono y fax: (662) 259 2121 galvarez@guayacan.uson.mx
Declaración de intereses