Imágenes en Biomedicina
Citología por punción-aspiración con aguja fina guiada por ultrasonido endoscópico en el diagnóstico de adenocarcinoma ductal de páncreas
Fine needle aspiration cytology guided by ultrasound endoscopy in the diagnosis of ductal adenocarcinoma of the pancreas
Citología por punción-aspiración con aguja fina guiada por ultrasonido endoscópico en el diagnóstico de adenocarcinoma ductal de páncreas
Biomédica, vol. 38, núm. 1, 2018
Instituto Nacional de Salud
Recepción: 16 Noviembre 2016
Aprobación: 17 Septiembre 2017
Resumen:
El cáncer de páncreas es la cuarta causa de muerte por cáncer en los Estados Unidos; en el mundo se asocia con 227.000 muertes anuales, aproximadamente. Es producto de múltiples factores, siendo el tabaquismo el principal factor de riesgo. La punción-aspiración con aguja fina guiada por ultrasonido endoscópico es una técnica muy eficaz en el diagnóstico de lesiones neoplásicas del páncreas. El diagnóstico citológico mediante esta técnica debe hacerse según los lineamientos para el sistema pancreático-biliar de la Papanicolaou Society of Cytopathology. Dichos lineamientos incluyen las indicaciones, las técnicas, la terminología y la nomenclatura, así como los estudios auxiliares, el manejo posterior al procedimiento y los criterios citológicos para el diagnóstico. La especificidad de una interpretación positiva o maligna para la punción-aspiración pancreática con aguja fina, es de 90 a 95 % en la mayoría de los estudios.
Palabras clave: adenocarcinoma, neoplasias pancreáticas, páncreas, biología celular, patología..
Abstract:
Pancreatic cancer is the fourth cause of cancer deaths in the United States. Worldwide this type of cancer is responsible for 227,000 deaths per year. Pancreatic cancer is multifactorial, with smoking being the main risk factor. Endoscopic ultrasound-guided fine needle aspiration is a highly effective technique for the diagnosis of neoplastic lesions of the pancreas. Cytological diagnosis by this technique should be performed under the guidelines of the pancreatic-biliary system of the Papanicolaou Society of Cytopathology. These guidelines address indications, techniques, terminology and nomenclature, ancillary studies and post-procedure management, as well as cytological criteria for diagnosis. The specificity of a positive or malignant interpretation for the pancreatic fine needle aspiration corresponds to 90-95% in most studies.
Key words: Adenocarcinoma, pancreatic neoplasms, pancreas, cell biology, pathology..
El cáncer de páncreas es la cuarta causa de muerte por cáncer en los Estados Unidos, y a nivel mundial se asocia con 227.000 muertes anuales, aproximadamente.
Los factores de riesgo para su desarrollo incluyen el tabaquismo, los antecedentes familiares de pancreatitis crónica, la edad avanzada, el sexo masculino, la diabetes mellitus, la obesidad, las exposiciones ocupacionales, el origen étnico afro-americano, la dieta rica en grasas o en carne y con bajo consumo de verduras y folatos, y, probablemente, la infección por Helicobacter pylori y la enfermedad periodontal. Aunque el cáncer de páncreas responde a múltiples factores, el tabaquismo y los antecedentes familiares implican un mayor riesgo. Debe recordarse que cerca del 20 % de los tumores pancreáticos se asocian con el tabaquismo1.
El ultrasonido endoscópico es una modalidad de imágenes diagnósticas de gran utilidad en la detección y el estudio de la extensión de las neoplasias pancreáticas. De hecho, es más sensible que la tomografía computadorizada en la detección de lesiones más pequeñas. Sin embargo, el uso exclusivo del ultrasonido endoscópico no siempre se puede distinguir entre procesos benignos y malignos. Por lo tanto, el diagnóstico morfológico es necesario para la confirmación.
La punción-aspiración con aguja fina guiada por ultrasonido endoscópico ha evolucionado hasta convertirse en una técnica muy eficaz, con una sensibilidad y especificidad de 98 y 100 %, respectivamente, y ha desplazado otras formas diagnósticas, como la biopsia guiada por tomografía computadorizada, el cepillado endoscópico retrógrado guiado por colangio-pancreatografía, y otras biopsias2,3.
El diagnóstico citológico mediante la punción-aspiración con aguja fina guiada por ultrasonido endoscópico, debe realizarse bajo los lineamientos para el sistema pancreático-biliar de laPapanicolaou Society of Cytopathology. Dichos lineamientos incluyen las indicaciones, las técnicas, la terminología y la nomenclatura, los estudios auxiliares y el manejo posterior al procedimiento, además de los criterios citológicos para el diagnóstico de las enfermedades4.
La categoría VI de este sistema de clasificación hace referencia a los diagnósticos positivos o malignos, e incluye un grupo de neoplasias que exhiben inequívocamente características citológicas malignas, incluido el adenocarcinoma ductal pancreático y sus variantes, el colangiocarcinoma, el carcinoma de células acinares, el carcinoma de alto gradiente neuroendocrino (células pequeñas y grandes células), el pancreatoblastoma, los linfomas, los sarcomas y las metástasis en el páncreas. Debido a que nueve de cada diez neoplasias malignas en el páncreas son adenocarcinomas ductales convencionales, la categoría “positiva” o “maligna” suele estar relacionada con esta neoplasia. La especificidad de una interpretación positiva o maligna de la punción-aspiración pancreática con aguja fina guiada por ultrasonido endoscópico y el cepillado biliar es muy alta, de 90 a 95 %, en la mayoría de los estudios4.
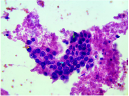
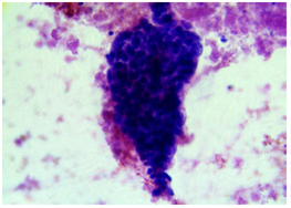
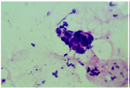
Los criterios citológicos varían según el grado de diferenciación tumoral. El adenocarcinoma ductal bien diferenciado presenta un número variable de células con predominio de células ductales, láminas cohesivas de células de tamaño pequeño a mediano, bordes lisos y fragmentos tridimensionales con aumento moderado del tamaño nuclear con relación al núcleo o citoplasma relativamente bajo, apiñamiento celular y superposición, y pérdida de la polaridad nuclear, y a menudo se observan núcleos pálidos con cromatina condensada con anisonucleosis leve a moderada, irregularidad de la membrana nuclear con hendiduras y muescas, y nucléolos ausentes u ocasionalmente prominentes. Las mitosis atípicas son raras y la necrosis es poco frecuente5,6.


El adenocarcinoma ductal moderadamente diferenciado presenta características similares a las mencionadas, pero con fragmentos celulares mayores, de aspecto tridimensional o sincitial aglomerado, con mayor cantidad de células discohesivas, en tanto que el pleomorfismo celular es más extenso, hay importante anisonucleosis y los nucléolos prominentes son escasos6,7.
El adenocarcinoma ductal poco diferenciado presenta características llamativas, tales como el pleomorfismo extremo, con casi total ausencia de diferenciación glandular, fragmentos de tejido sincitial poco cohesivos y una población significativa de células malignas grandes y multinucleadas6,8,9.


Referencias
1. Vincent A, Herman J, Schulick R, Hruban RH, Goggins M. Pancreatic cancer. Lancet. 2011;378:607-20. https://doi.org/10.1016/S0140-6736(10)62307-0
2. Yun SS, Remotti H, Vázquez MF, Crapanzano JP, Saqi A. Endoscopic ultrasound-guided biopsies of pancreatic masses: Comparison between fine needle aspirations and needle core biopsies. Diagn Cytopathol. 2007;35:276-82. https://doi.org/10.1002/dc.20621
3. Chatzipantelis P, Salla C, Konstantinou P, Karoumpalis I, Sakellariou S, Doumani I. Endoscopic ultrasound-guided fine-needle aspiration cytology of pancreatic neuroendo-crinetumors. Cancer. 2008;114:255-62. https://doi.org/10. 1002/cncr.23637
4. Pitman MB, Layfield LJ. Guidelines for pancreaticobiliary cytology from the Papanicolaou Society of Cytopathology: A review. Cancer Cytopathol. 2012;122:399-411. https://doi.org/10.1002/cncy.21427
5. Lin F, Staerkel G. Cytologic criteria for well differentiated adenocarcinoma of the pancreas in fine-needle aspiration biopsy specimens.Cancer. 2003;99:44-50. https://doi.org/10.1002/cncr.11012
6. Bardales RH, Stelow EB, Mallery S, Lai R, Stanley MW. Review of endoscopic ultrasound-guided fine-needle aspiration cytology. Diagn. Cytopathol. 2006;34:140-75. https://doi.org/10.1002/dc.20300
7. Hruban RH, Fukushima N. Pancreatic adenocarcinoma: Update on the surgical pathology of carcinomas of ductal origin and PanINs. Mod Pathol. 2007;20:S61-70. https://doi.org/10.1038/modpathol.3800685
8. Layfield LJ, Bentz J. Giant-cell containing neoplasms of the pancreas: An aspiration cytology study.Diagn Cytopathol. 2008;36:238-44. https://doi.org/10.1002/dc.20785
9. HoshimotoS, Matsui J, Miyata R, Takigawa Y, Miyauchi J. Anaplastic carcinoma of the pancreas: Case report and literature review of reported cases in Japan. World J Gastroenterol. 2016;22:8631-7. https://doi.org/10.3748/wjg.v22.i38.8631
Notas
Notas de autor
* Correspondencia: Andrés E. Duque, Urbanización Castillejo, Conjunto Residencial Villa Miravila, Guatire, Zamora, Miranda, Venezuela Teléfono: (58-412) 210 3667 andresedp95@gmail.com
Declaración de intereses