COMUNICACIÓN BREVE
Detección del virus del dengue en larvas y pupas de Aedes aegypti recolectadas en áreas rurales del municipio de Anapoima, Cundinamarca, Colombia
Dengue virus detection in Aedes aegypti larvae and pupae collected in rural areas of Anapoima, Cundinamarca, Colombia
Detección del virus del dengue en larvas y pupas de Aedes aegypti recolectadas en áreas rurales del municipio de Anapoima, Cundinamarca, Colombia
Biomédica, vol. 37, núm. 2, 2017
Instituto Nacional de Salud
Recepción: 16 Agosto 2016
Aprobación: 18 Mayo 2017
Resumen
Introducción.: La incidencia y la prevalencia del dengue en Cundinamarca son elevadas y, recientemente, se detectó Aedes aegypti en algunas áreas rurales del departamento.
Objetivo.: Evaluar la transmisión transovárica del virus del dengue en larvas y pupas recolectadas en áreas rurales del municipio de Anapoima.
Materiales y métodos.: Se recolectaron ejemplares vivos en 53 viviendas y se transportaron al laboratorio de Anapoima, donde se clasificaron, se agruparon y se congelaron. Llevadas a Bogotá, se las homogeneizó, se les extrajo el ARN con Trizol (r) , se las sometió a una reacción en cadena de la polimerasa de transcripción inversa (Reverse Transcription Polymerase change reaction, RT-PCR) y a PCR convencional, y los productos amplificados se analizaron en geles de agarosa al 2 %.
Resultados.: En 54,7 % de las viviendas evaluadas se encontraron formas inmaduras del vector y el serotipo más frecuente fue el DENV-1. Sin embargo, en algunos pools se detectó la presencia simultánea de los serotipos DENV 1 y 2, DENV 1 y 3, y DENV 1 y 4, así como los serotipos DENV 1, 2 y 3.
Conclusión.: Los resultados confirmaron la transmisión vertical del virus de manera natural en el área rural del municipio, lo cual reafirma la capacidad vectorial de A. aegypti y explica, en parte, la persistencia del virus en la región y la posibilidad de que en la fase adulta el vector lo transmita sin haber consumido sangre infectada. Esta situación aumenta el riesgo de infección por el virus del dengue en Colombia y, por lo tanto, la necesidad de adelantar programas de prevención y control en todas las zonas con presencia del mosquito.
Palabras clave: Aedes+ virus del dengue+ área rural+ Colombia.
Abstract
Introduction: There is a high incidence and prevalence of dengue in the department of Cundinamarca, and recently Aedes aegypti, the main vector of dengue virus (DENV), was detected in some of its rural areas.
Objective: To evaluate viral transovarial transmission in larvae and pupae collected in rural areas of the municipality of Anapoima, Cundinamarca.
Materials and methods: Live larvae and pupae were collected from 53 homes and later they were taken to the laboratory in Anapoima, where they were classified, pooled and frozen. In Bogotá, they were homogenized, RNA was extracted with Trizol(tm) , and RT-PCR and conventional PCR were performed. The amplified products were analyzed on 2% agarose gels.
Results: In 54.7% of the houses we found A. aegypti in immature stages, and DENV-1 was the most frequent serotype. However, the simultaneous presence of DENV 1 and 2, DENV 1 and 3, DENV 1 and 4, and DENV 1, 2 and 3 serotypes was detected in some pools.
Conclusion: The results confirmed the natural vertical transmission of the virus in the rural area under study. These findings confirmed the vector capacity of A. aegypti, and partly explains the persistence of the virus in the region and the possibility of transmission by the vector during adulthood without having ingested infected blood. This situation increases the risk of DENV infection in Colombia and the need for prevention and control programs in all areas where the mosquito is present.
Key words: esENAedes, dengue virus, rural areas, Colombia.
El ciclo de vida de Aedes (Stegomyia) aegypti (L) comprende las fases de huevo, larva, pupa y adulto (1). En condiciones de laboratorio, luego de consumir sangre humana las hembras depositan entre 100 y 300 huevos de 0,8 mm sobre las paredes de los recipientes y en contacto con el agua. Pasados dos o tres días, y según las condiciones de humedad y temperatura, los huevos eclosionan; las larvas son exclusivamente acuáticas, muy activas y consumen para su desarrollo la materia orgánica presente en el recipiente, incluso, llegan a practicar el canibalismo, pues pueden alimentarse de otras larvas de su especie o de otras especies (2). Entre los 7 y los 14 días en condiciones óptimas de temperatura (25 a 29 °C) y alimentación, las larvas se transforman en pupas. En este estado permanecen entre uno y tres días, y experimentan cambios anatómicos y fisiológicos, no se alimentan y apenas se mueven hasta el momento en que emergen. Los adultos son alados y dimorfos; 24 horas después de su emergencia están en capacidad de aparearse y pueden vivir entre 35 y 40 días (3).
La importancia epidemiológica de A. aegypti radica en que este mosquito es el principal vector, no solo de los cuatro serotipos del virus del dengue (DENV-1, DENV-2, DENV-3, DENV-4), sino también de los virus de la fiebre amarilla (YFV), del chikungunya (CHIKV), del Zika (ZIKV) y de otros virus (4).
En Colombia, A. aegypti circula en todos los departamentos y se lo considera como el principal vector del virus del dengue en áreas urbanas por debajo de los 1.800 msnm (5). Sin embargo, en Málaga, departamento de Santander, se lo ha encontrado a 2.200 msnm (6) y, recientemente, a 2.302 msnm en el municipio de Bello, Antioquia (7).
Las condiciones socioeconómicas, así como las migraciones y el desplazamiento en el país, han aumentado los asentamientos humanos en zonas sin condiciones apropiadas de saneamiento básico. Estas situaciones han permitido que A. aegypti colonice más áreas del territorio, incluidas las zonas rurales (8,9).
Recientemente, Olano, et al. (8), y Pérez-Castro, et al. (10), confirmaron la presencia del mosquito y la circulación de los cuatro serotipos del virus del dengue en las áreas rurales de los municipios de La Mesa y Anapoima, Cundinamarca,
En estos municipios, la circulación del virus es muy alta en las zonas urbanas, lo cual puede deberse a la presencia de infecciones asintomáticas por dengue, a fallas en las campañas de prevención y control del vector en dichas zonas, y a la poca atención que se presta al dengue y al mosquito vector en las áreas rurales. Otra explicación de la persistencia del virus es la posibilidad de otras formas de transmisión y circulación del virus en el vector, por ejemplo, la transmisión transovárica o vertical (11,12).
En este contexto, en el presente trabajo se evaluó la transmisión vertical del DENV en larvas y pupas de A. aegypti capturadas en zonas rurales (cuatro veredas y dos inspecciones de policía) del municipio de Anapoima, Cundinamarca.
Materiales y métodos
Área de estudio
El municipio de Anapoima pertenece a la región del Tequendama, en el suroccidente del departamento de Cundinamarca, a 87 km de Bogotá, sobre la carretera que conduce a Girardot, vía La Mesa (figura 1). El municipio tiene una altitud promedio de 710 msnm, temperatura promedio de 26 ºC y precipitación anual promedio de 1.300 msnm; su extensión es de 124,2 km 2, su relieve es montañoso, y posee una población de 13.312 habitantes, de los cuales 45 % vive en el área rural, según los registros del DANE para 2015. La economía del municipio se basa en la agricultura (árboles frutales, café, caña de azúcar) y en el turismo, principal renglón de su economía.

Entre mayo y junio de 2016, se visitaron las veredas (subdivisión territorial de áreas rurales con una población de 50 a 1.200 habitantes) de La Chica, Santa Ana, Santa Lucía, y San Judas, y las inspecciones de policía (subdivisión territorial de áreas rurales regida por un inspector de policía) de Patio Bonito y La Paz (figura 1).
Recolección de larvas y pupas
Se inspeccionaron los principales criaderos potenciales de A. aegypti (albercas y tanques utilizados para almacenar agua de consumo) (13,14). Los ejemplares recolectados se almacenaron vivos en tubos de ensayo y se colocaron en gradillas dentro de una nevera de poliestireno expandido (icopor) para ser transportados al laboratorio ubicado en el municipio de Anapoima (Fundación Lazos del Calandaima). Allí se identificaron en el estereomicroscopio los individuos (larvas y pupas) hasta el nivel de especie, de acuerdo con sus características morfológicas (15,16), se almacenaron en grupos de 30 individuos por vial y se congelaron a -20 °C.
Extracción y amplificación del ARN viral
Las larvas o pupas se transportaron a Bogotá en hielo seco y, una vez en el laboratorio, se verificaron los códigos y el estado de las muestras, e inmediatamente se almacenaron a -80 °C.
Posteriormente, cada grupo (pool) fue homogeneizado en medio de cultivo Eagle modificado de Dulbecco (Dulbecco's Modified Eagle's Medium, DMEM) y centrifugado a 12.000g durante 10 minutos y a 4 °C; luego se tomaron los sobrenadantes y se les agregó Trizol(r) siguiendo las instrucciones del fabricante.
La presencia de ARN viral se evaluó según el protocolo de la PCR anidada de Chien, et al. (17). Inicialmente, se hizo una RT-PCR para la detección del virus del dengue utilizando 400 ng de ARN y el estuche SuperScript III Platinum One-Step Quantitative RT-PCR System (r) , con los siguientes iniciadores: MD1: -5´TCAATATGCTGAAACGCGC GAGAAACCG3´y D2: -5´TTGCACCAACAGTCAA TGTCTTCAGGTTC3´-.
El programa de amplificación fue el siguiente: transcripción inversa a 50 °C durante 15 minutos, desnaturalización a 95 °C durante 5 minutos y a 94 °C durante 2 minutos. La amplificación se hizo en 30 ciclos con las siguientes temperaturas: desnaturalización a 94 °C durante 30 segundos; anillamiento a 55 °C durante 30 segundos, extensión a 72 °C durante 30 segundos, y una extensión final a 72 °C durante 5 minutos.
La presencia del ARN viral se observó en gel de agarosa al 2 % teñido con bromuro de etidio y un producto de amplificación de 511 pb. Si la muestra era positiva, se hacía una segunda ronda de PCR para la tipificación en suero de los virus utilizando el mismo estuche de PCR; como cebadores, se emplearon el iniciador D1, y los siguientes iniciadores específicos para cada serotipo: DENV-1: TS1 -5´CGTCTCCGTGATCCGGGGG3´- DENV-2: TS2 -5´CGCCACAAGGGCCATGAACAG3´- DENV-3: TS3 -5´TAACATCATCATGACACAGAGC3´- DENV-4: TS4 -5´CTCTGTTGTCTTAAACAAGAGA3´-. El programa de amplificación fue el siguiente: desnaturalización a 94 °C durante dos minutos.
Para la amplificación, se utilizaron 25 ciclos con las siguientes temperaturas: desnaturalización a 94 °C durante 30 segundos; anillamiento a 60 °C durante 30 segundos; una extensión a 72 °C durante 30 segundos y una extensión final a 72 °C durante cinco minutos.
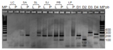
Por último, se analizaron los productos de la PCR en gel de agarosa al 2 % teñidos con bromuro de etidio, y se detectaron los cuatro serotipos con un producto de 208 pb para DENV-1, de 119 pb para DENV-2, de 288 pb para DENV-3 y de 260 pb para DENV-4; como control, se evaluó la expresión del gen celular actina 1 de 683 pb, según el protocolo de Staley, et al. (18).
Determinación de los índices de infestación de las viviendas en las áreas evaluadas y análisis de datos
Se determinaron los índices de infestación de las viviendas inspeccionadas en las veredas e inspecciones de policía (porcentaje de viviendas positivas para formas inmaduras de A. aegypti). Además, se calcularon las frecuencias de infección (presencia o ausencia de ARN viral en alguna de las formas inmaduras) con base en el número de viviendas visitadas. La información obtenida en la encuesta entomológica, los datos del hallazgo del vector en las viviendas y los resultados de las pruebas de laboratorio, se tabularon con Microsoft Excel y se analizaron con el programa Stata 12.1. Posteriormente, se calcularon las frecuencias de muestras positivas, y se analizó la asociación de las variables cualitativas mediante la prueba de ji al cuadrado y el test exacto de Fischer, considerando un valor de p de 0,05 como estadísticamente significativo.
Resultados
El rango altitudinal de las viviendas visitadas estuvo entre los 538 y los 1.713 msnm. Se detectaron formas inmaduras de A. aegypti en 54,7 % de las viviendas visitadas en las veredas e inspecciones de policía (cuadro 1). En 64,7 % de las viviendas se detectaron pupas, en 21,4 %, larvas, y en 13,9 %, larvas y pupas. Los lugares en donde más frecuentemente se encontraron las formas inmaduras del vector fueron las albercas y los tanques para el almacenamiento de agua para consumo humano.

A pesar de que el vector se encontró en la vereda La Chica, no se detectó ARN viral en los especímenes, en tanto que en el resto de las zonas evaluadas se encontró ARN viral en larvas o en pupas (figura 2). En las veredas San Judas y Santa Ana, se encontraron formas del dengue positivas para los serotipos DENV-1 y DENV-2 en 50 % de las muestras para ambos casos. En Santa Lucía, además del DENV-1, se detectaron los serotipos DENV-3 y DENV-4 en 16,7 y 50 % de las muestras analizadas, respectivamente. En la inspección de policía de Patio Bonito, se detectaron los serotipos DENV-1, DENV-2 y DENV-3 de forma simultánea en 50 % de las viviendas visitadas, mientras que en la inspección de La Paz solo se detectó el serotipo DENV-1 (cuadro 2 y figura 3).



Según estos resultados, el porcentaje de infección de las formas inmaduras de A. aegypti recolectadas en las áreas evaluadas del municipio fue de 50 %.
No se pudo establecer la asociación entre la presencia de formas inmaduras del vector y la cercanía de cada área al casco urbano, debido a la diferencia en el número de casas visitadas en cada una de ellas. Sin embargo, cuando se comparó la presencia del vector entre veredas e inspecciones de policía, se encontró que el número de viviendas con el vector en las veredas fue mayor que en las inspecciones de policía y que dicha diferencia fue estadísticamente significativa (p<0,004). Asimismo, no se observaron diferencias cuando se analizó la la presencia del DENV según la ubicación de las áreas de estudio (p=0,456).
Discusión
En el presente estudio se reporta la transmisión vertical del DENV en larvas y pupas de A. aegypti capturadas en áreas rurales de Cundinamarca, Colombia. Además, se confirmaron los altos índices de infestación del vector en esta zona.
La transmisión transovárica o vertical del DENV fue reportada inicialmente en modelos de infección experimental, inoculando hembras de A. aegypti con sangre infectada o con aislamientos virales (19). En 1983, Khin, et al., recolectaron en campo larvas y mosquitos machos, y reportaron que estos individuos eran positivos para DENV-2 (20). Así, se confirmó la competencia de A. aegypti como vector al permitir la producción de grandes cantidades de virus y su circulación en los diferentes tejidos y órganos del insecto, incluido el aparato reproductor, lo cual favorece la transmisión vertical del virus a su progenie. Otros autores han sugerido que la presencia del virus en los estadios inmaduros del vector puede deberse al canibalismo indiscriminado que practican las larvas (19); sin embargo, esto es poco probable dada la degradación del virus por la acción de las enzimas y los ácidos digestivos. Por el contrario, el mecanismo de transmisión vertical garantiza la persistencia de los virus que se transmiten en los periodos entre epidemias o en condiciones ambientales difíciles, y convierte las formas inmaduras de A. aegypti en reservorios virales (21).
En este estudio se encontró que en 54,7 % de las viviendas inspeccionadas había formas de A. aegypti, ya que se pudieron recolectar entre uno y tres grupos de larvas, pupas o de ambas, en tanto que no se detectó Aedes albopictus. Este resultado es muy interesante, puesto que comúnmente este mosquito se encuentra en zonas rurales o con abundante vegetación (22,23). Aunque en Colombia A. albopictus fue reportado por primera vez en Leticia en 1998, hasta la fecha no se ha reportado su presencia en el departamento de Cundinamarca, lo cual sugiere que A. aegypti es el principal vector del DENV y, quizá, de otros arbovirus como el CHIKV y el ZIKV, en las zonas rurales visitadas, independientemente de su dispersión en el territorio (el caso de las veredas), o su concentración en una zona particular (inspecciones de policía) (24), y cerca o lejos del casco urbano.
Las visitas a las veredas y las inspecciones se hicieron entre el 2012 y el 2013, y en todas se encontró el vector. Además, se reportó la circulación de los cuatro serotipos del virus en la zona (10). Se confirmó, además, que el DENV-1 fue el serotipo más prevalente, aunque en algunas viviendas se registraron grupos positivos para dos o más serotipos. Esto último podría explicarse por la estrategia metodológica de agrupar hasta 30 individuos (larvas o pupas) por tubo, los cuales podían provenir de distintas hembras; tampoco debe descartarse la posibilidad de que una hembra depositara huevos infectados con varios serotipos, como lo reportaron previamente Bara, et al. (25). De todas maneras, los hallazgos de este estudio confirmaron la circulación simultánea de los cuatro serotipos del DENV en la región, lo cual aumenta la probabilidad de infecciones y reinfecciones entre los habitantes de la zona y el riesgo de que desarrollen cuadros de dengue grave.
El municipio de estudio presenta altas tasas de incidencia y seroprevalencia del DENV, al igual que otras zonas de Cundinamarca (comunicación personal, Jaime Castellanos), lo cual se explicaría, en parte, por los altos índices de infestación del mosquito, por el alto porcentaje de infección de las formas inmaduras y su consumo de sangre de personas infectadas y asintomáticas. Joshi, et al., reportaron que la infección del mosquito por transmisión vertical en áreas urbanas no supera el 20 % (26) y, en este caso, el porcentaje de infección fue de 50 %. La diferencia en los porcentajes puede deberse, ante todo, a las campañas de control del vector, dado que en las zonas urbanas estos programas están dirigidos a controlar la población del mosquito en los diferentes estadios de desarrollo, mientras que en las áreas rurales -por lo menos en Colombia-, no se han implementado campañas de control poblacional de A. aegypti y el mosquito cuenta, por lo tanto, con una gran diversidad de criaderos. Queda por determinar y evaluar el papel de los asintomáticos en la infección y la circulación del virus en áreas rurales, pues dicha posibilidad se ha planteado como la causa más importante de la existencia y la persistencia del virus (18).
Por último, los resultados obtenidos en el presente estudio confirman los altos índices de infestación de A. aegypti en el área rural del municipio de Anapoima y su capacidad de transmitir de manera natural el DENV. Estos hallazgos reafirman la capacidad vectorial de A. aegypti, lo que explica, en parte, la persistencia del virus en la región y su transmisión por el mosquito adulto sin que haya consumido sangre infectada, lo cual aumenta las áreas de influencia del DENV en el departamento.
Por lo tanto, se sugiere extender a las áreas rurales de los municipios considerados en riesgo la vigilancia de A. aegypti, e integrarla a los programas regulares de vigilancia entomológica del vector, así como complementarla con la vigilancia por laboratorio clínico para la determinación y confirmación de casos en estas comunidades (27).
Agradecimientos
A Humberto Mosquera y Nancy Herrera por su apoyo en la recolección del material entomológico y su determinación taxonómica
Referencias
1. Christopher R. Aedes aegypti (L.). The yellow fever mosquito. Its life history, bionomics and structure. New York: Cambridge University Press; 1960. p. 739.
2. Manrique P, Che-Mendoza A, Rizzo N, Arana B, Pilger D, Lenhart A, et al. Operational guide for assessing the productivity of Aedes aegypti breeding sites Geneva: World Health Organization; 2011. https://doi.org/10.2471/TDR.10.978-924-1500371
3. Icaza J. El mosquito Aedes aegypti y el dengue en México. México: Bayer de México; 2003. p. 152.
4. Tilak R, Ray S, Tilak V, Mukherji S. Dengue, chikungunya...and the missing entity-Zika fever: A new emerging threat. Med J Armed Forces India. 2016;72:157-63. https://doi.org/10.1016/j.mjafi.2016.02.017
5. Padilla JC, Rojas DP, Sáenz-Gómez R. Dengue en Colombia: epidemiología de la reemergencia a la hiperendemia. Bogotá: Guías de Impresión Ltda.; 2012. p.1-17.
6. Suárez N. Registro de altitud del Aedes aegypti en Colombia. Biomédica 1981;1:225. https://doi.org/10.7705/biomedica.v1i4.1809
7. Ruiz-López F, González-Mazo A, Vélez-Mira A, Gómez GF, Zuleta L, Uribe S, et al. Presencia de Aedes (Stegomyia) aegypti (Linnaeus, 1762) y su infección natural con el virus dengue en alturas no registradas para Colombia. Biomédica. 2016;36:303-8. https://doi.org/10.7705/biomedica. v36i2.3301
8. Olano V, Matiz M, Lenhart A, Cabezas L, Vargas S, Jaramillo J, et al. Schools as potential risk sites for vector-borne disease transmission: Mosquito vectors in rural schools in two municipalities in Colombia. J Am Mosq Control Assoc. 2015;31:212-22. https://doi.org/10.2987/moco-31-03-212-222.1
9. Morales A. Aedes aegypti en zona rural del municipio de La Mesa (Cundinamarca) Colombia, S.A. Biomédica. 1981;1:223-4. https://doi.org/10.7705/biomedica.v1i4.1806
10. Pérez-Castro R, Castellanos J, Olano V, Matiz M, Jaramillo J, Vargas S, et al. Detection of all four serotypes in Aedes aegypti female mosquitoes collected in a rural area in Colombia. Mem Inst Oswaldo Cruz. 2016;111:23340. https://doi.org/10.1590/0074-02760150363
11. Thenmozhi V, Tewari S, Manavalan R, Balasubramanian A, Gajanana A. Natural vertical transmission of dengue viruses in Aedes aegypti in southern India. Trans R Soc Trop Med Hyg. 2000;94:507.
12. Thenmozhi V, Hiriyan J, Tewari S, Samuel P, Paramasivan R, Rajendran R, et al. Natural vertical transmission of dengue virus in Aedes albopictus (Diptera: Culicidae) in Kerala, a southern Indian state. Jpn J Infect Dis. 2007;60:245-9.
13. Romero-Vivas C, Arango-Padilla P, Falconar A. Pupal productivity surveys to identify the key container habitats of Aedes aegypti (L) in Barranquilla, the principal seaport of Colombia. Ann Trop Med Parasitol. 2006;100(Suppl.1):S8795. https://doi.org/10.1179/136485906X105543
14. Tinker M, Olano V. Ecología del Aedes aegypti en un pueblo de Colombia, Suramérica. Biomédica. 1993;13:514.https://doi.org/10.7705/biomedica.V13i1.2041
15. González R, Darsie JR Jr. Clave ilustrada para la determinación genérica de larvas de Culicidae de Colombia y el nuevo mundo. Bol Mus Entomol Univ Valle. 1996;4:21-37.
16. Tinker M, Stojanovich CJ. Identification of the pupae of receptacle breeding mosquitoes. Ann Entomol Soc Am. 1962;55:577-82.
17. Chien L, Liao T, Shu PY, Huang J, Gubler D, Chang G. Development of real time reverse transcriptase PCR assays to detect and serotype dengue viruses. J Clin Microbiol. 2006;44:1295-304. https://doi.org/10.1128/JCM.44.4.12951304.2006
18. Staley M, Dorman K, Bartholomay L, Fernández-Salas I, Farfán-Ale J, Loroño-Pino MA, et al. Universal primers for the amplification and sequence analysis of actin-1 from diverse mosquito species. J Am Mosq Control Assoc. 2010;26:214-8. https://doi.org/10.2987/09-5968.1
19. Grunnill M, Boots M. How important is vertical transmission of dengue viruses by mosquitoes (Diptera: Culicidae)? J Med Entomol. 2016;53:1-19. https://doi.org/10.1093/jme/tjv168
20. Khin M, Than K. Transovarial transmission of dengue 2 virus by Aedes aegypti in nature. Am J Trop. Med Hyg. 1983;32:590-4. https://doi.org/10.4269/ajtmh.1983.32.590
21. Mbaika S, Lutomiah J, Chepkorir E, Mulwa F, KhayekaWandabwa C, Tigoi C, et al. Vector competence of Aedes aegypti in transmitting Chikungunya virus: Effects and implications of extrinsic incubation temperature on dissemination and infection rates. Virol J. 2016;13:114.https://doi.org/10.1186/s12985-016-0566-7
22. Service M. Culicine mosquitoes (Culicinae). In: Medical Entomology for Students. Cambridge: Cambridge University Press; 2012. p. 52-80. https://doi.org/10.1017/CBO9780511811012.007
23. Rey J, Lounibos P. Ecología de Aedes aegypti y Aedes albopictus en América y transmisión de enfermedades. Biomédica. 2015;35:. https://doi.org/10.1590/S012041572015000200005
24. DANE. Conceptos básicos. Fecha de consulta: 31 de julio de 2016. Disponible en: http://www.dane.gov.co/files/inf_geo/4Ge_ConceptosBasicos.pdf
25. Bara J, Clark T. Remold susceptibility of larval Aedes aegypti and Aedes albopictus (Diptera: Culicidae) to dengue virus. J Med Entomol. 2013;50:179-84.
26. Joshi V, Mourya D, Sharma R. Persistence of dengue -3 virus through transovarial transmission passage in successive generation of Aedes aegypti mosquitoes. Am J Trop Med Hyg. 2002;67:158-61.
27. Barrera R. Recomendaciones para la vigilancia de Aedes aegypti. Biomédica. 2016;36:454-62. https://doi.org/10.7705/biomedica.v36i3.2892
Notas
Notas de autor
Correspondencia: Myriam Lucía Velandia-Romero, Vicerrectoría de Investigaciones, Universidad El Bosque, Avenida Carrera 9 N° 131 A-02, edificio D, segundo piso, Bogotá, D.C., Colombia Teléfono: (571) 648 9066; fax: (571) 648 9066 velandiamyriam@unbosque.edu.co y mlvelandiaro@gmail.com
Declaración de intereses