Resumen: El síndrome hemofagocítico es una condición clínica e histológica grave, secundaria a diferentes procesos. La glomerulonefritis colapsante es una podocitopatía proliferativa, generalmente de pronóstico desfavorable para la función renal. Se presenta un caso en el que las dos condiciones aparecieron asociadas, lo cual es una forma infrecuente de presentación del linfoma hepatoesplénico de células T. Se discute, asimismo, el papel de los marcadores de desdiferenciación podocitaria en esta glomerulopatía, y se revisan la fisiopatología y el tratamiento.
Palabras clave: glomerulonefritisglomerulonefritis,linfohistiocitosis hemofagocíticalinfohistiocitosis hemofagocítica,linfomalinfoma,insuficiencia renalinsuficiencia renal,antígenos de diferenciaciónantígenos de diferenciación,trastornos linfoproliferativostrastornos linfoproliferativos.
Abstract: The hemophagocytic syndrome is a serious clinical-histological entity secondary to different diseases. Collapsing glomerulonephritis is a proliferative podocytopathy that usually has an unfavorable renal prognosis. We present a case in which both entities were associated, which is an infrequent form of hepatosplenic T-cell lymphoma. In addition, we review the role of the markers of podocyte dedifferentiation in this glomerulopathy and its pathophysiology and treatment.
Key words: Glomerulonephritis, lymphohistiocytosis, hemophagocytic, lymphoma, renal insufficiency, antigens, differentitation, lymphoproliferative disorders.
PRESENTACIÓN DE CASO
Glomerulonefritis colapsante con marcadores de desdiferenciación podocitaria en síndrome hemofagocítico secundario a linfoma hepatoesplénico de células T
Collapsing glomerulonephritis with podocyte markers in hemophagocytic syndrome secondary to hepatosplenic T-cell lymphoma
El síndrome hemofagocítico es una condición clínica e histológica grave que se define como una exacerbación del sistema inmunitario, fundamentalmente macrofagocítica, secundaria a varios procesos autoinmunitarios, infecciosos, tóxicos y neoplásicos, entre ellos, el linfoma 1,2. Este cuadro etiológico lo comparte con la glomerulonefritis colapsante, una podocitopatía proliferativa renal de pronóstico desfavorable 3. Se presenta un caso en el que se asocian el síndrome hemofagocítico y la glomerulonefritis colapsante, lo cual es una forma infrecuente de presentación del linfoma hepatoesplénico de células T. Se discuten, además, la fisiopatología y el tratamiento de las dos condiciones.
Se trató de un varón senegalés de raza negra y de 48 años de edad, residente en España desde hacía 48 meses, y sin antecedentes médicos conocidos, salvo un episodio de malaria tratado años atrás. Acudió a urgencias con malestar general, fiebre, cefalea y vómitos acuosos de una semana de evolución, señalando haber tenido micciones de orina oscura y espumosa durante varias semanas.
En el examen clínico, el paciente tenía tensión arterial normal, temperatura de 37,7 oC y facies edematosa sin edema periférico asociado. En los exámenes de laboratorio, presentó leucopenia (2.090 leucocitos/μl, fórmula leucocitaria normal), trombocitopenia (104.000/μl), hemoglobina (13 g/L, la cual descendió a 9,7 g/dl posteriormente), frotis indicativo de proceso infeccioso sin presencia de hemoparásitos, aumento de siete veces en las concentraciones de glutamato-oxalacetato transaminasa (GOT) y de glutamato piruvato transaminasa (GPT), de ferritina (3.418 ng/ml) y de triglicéridos (385 mg/dl). Los valores de la urea, la creatinina (0,9 mg/dl), los iones, la albúmina, la proteína C reactiva y la coagulación, eran normales.
En el análisis de orina se encontró proteinuria (18 g/24 horas), cilindruria y sedimento inactivo. Los hemocultivos y los estudios de microbiología fueron negativos (citomegalovirus, virus de Epstein Barr, virus de la hepatitis B y de la hepatitis C, HIV, herpes simple 1, 2 y 6, gripe A y B, adenovirus, micoplasma, Chlamydia, Leishmania, Leptospira, Plasmodium, parvovirus B19, esquistosoma, estrongiloides, filaria, malaria, Brucella y Rickettsia), así como la prueba de Mantoux, los análisis de autoinmunidad (ANCA, ANA, ADN, ENA, antifosfolípido, C3-4, ECA, IgA, IgG, IgM) y la electroforesis de proteínas séricas.
La radiografía inicial de tórax fue normal y en la ecografía se evidenció esplenomegalia (16 cm), hepatomegalia homogénea leve y riñones simétricos de 13 cm de longitud con hiperecogenicidad cortical.
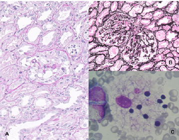
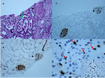
Establecido el diagnóstico sindrómico de proteinuria nefrótica y bicitopenia con síndrome febril y hepatoesplenomegalia, se practicó una biopsia renal en la que se contabilizó un número variable de glomérulos, aproximandamente 21 según las sección evaluada, de los cuales solo uno estaba esclerosado globalmente. En los glomérulos no esclerosados se advirtieron cambios de colapso del ovillo en cuatro a cinco; en uno a dos de ellos el colapso era global, en tanto que en los restantes era segmentario. Tambien se observó hipertrofia e hiperplasia de podocitos. En el compartimento túbulo-intersticial se observó dilatación de la luz con signos de isquemia, siendo normales el intersticio y los vasos. La inmunofluorescencia resultó inespecífica y la inmunohistoquímica compatible con la glomerulonefritis colapsante, y expresó los típicos marcadores de desdiferenciación podocitaria (figura 1 y figura 2).


Ante estos resultados, y habiendo descartado razonablemente un proceso infeccioso subyacente como causa de la glomerulopatía colapsante (cuadro 1), se obtuvo una biopsia por aspiración de la médula ósea, en la cual se encontraron signos claros de hemofagocitosis (figura 1). El estudio se amplió para determinar la presencia de subpoblaciones linfocitarias periféricas, con lo cual se evidenció un aumento de células natural killers (NK) (28 %) y linfocitos T citotóxicos (58 %).

Los resultados de la tomografía computadorizada de tórax, abdomen y pelvis, practicada para descartar un eventual síndrome linfoproliferativo, no fueron concluyentes (cuadro 1).
Aunque se instauró el tratamiento con corticoides, el paciente evolucionó rápidamente a falla hepática y renal, con pancitopenia y coagulopatía grave, por lo que precisó hemodiálisis, tras lo cual falleció a los diez días del ingreso.
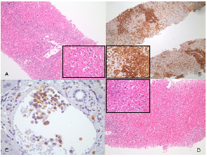
El estudio anatomopatológico post mortem de muestras del hígado y el bazo, evidenció una infiltración neoplásica difusa y masiva de linfocitos T en los espacios portales y los espacios sinusoidales hepáticos, así como en los cordones y sinusoides del bazo, con atrofia secundaria de la pulpa blanca, indicativos de un linfoma hepatoesplénico de células T (figura 3). Posteriormente, se conoció el resultado negativo del cultivo para micobacterias, llevado a cabo con las muestras obtenidas por biopsia.

El diagnóstico final fue el de síndrome nefrótico por glomerulonefritis colapsante secundaria a síndrome hemofagocítico como forma de presentación de un linfoma hepatoesplénico de células T.
El paciente falleció y no se disponía de los datos de familiares, representante legal o acompañante.
El síndrome hemofagocítico es una condición clínica primaria o secundaria (cuadro 1) provocada, en primera instancia, por una hiperestimulación de linfocitos T citotóxicos y de células NK que secretan masivamente citocinas, lo que activa la proliferación exagerada de macrófagos benignos. Ello conlleva un daño tisular grave por la infiltración de los propios macrófagos y de las células linfocitarias, y por el daño directo de las citocinas proinflamatorias secretadas por estas tres series celulares 1,2.
Para confirmar el diagnóstico se requiere la visualización de esta infiltración difusa de macrófagos fagocitando células hematopoyéticas (figura 1), lo cual se refleja clínicamente en un cuadro que incluye fiebre, hepatoesplenomegalia y adenopatías, pancitopenia, coagulopatía, así como concentraciones elevadas de transaminasas, triglicéridos y ferritina, signos que se presentaron todos en nuestro paciente, con excepción de las adenopatías.
Es una condición de pronóstico infausto, con tasas de mortalidad que varían, según las series, entre el 50 y el 100 % de los casos, a pesar del tratamiento etiológico y con corticoides, debido a la autonomía del daño orgánico con respecto a su causa. El pronóstico es mejor cuando la causa es autoinmunitaria, por una mayor respuesta al tratamiento con corticoides, y peor cuando se trata de neoplasias 4,5.
Debido a su elevada mortalidad, se han desarrollado protocolos de tratamiento con fármacos citostáticos (frecuentemente etopósido) y dosis altas de esteroides, acompañados o no de otros medicamentos inmunosupresores como las anticitocinas, para intentar actuar sobre el sustrato fisiopatológico de la enfermedad 6. En algunas series de casos, este tipo de tratamiento, instaurado de forma temprana, ha demostrado mejorar el pronóstico infausto de este síndrome. Se han descrito casos exitosos de trasplante de médula ósea. En el presente caso, la evolución fulminante del paciente no permitió iniciar ningún tratamiento de este tipo.
El efecto más frecuente del síndrome hemofa gocítico en el riñón es la insuficiencia renal aguda, presente en 30 a 50 % de los casos, la cual es secundaria al grave daño tubular por citotoxicidad directa y en el contexto de falla multiorgánica 7,8. La afectación intersticial es variable y, si aparece, suele ser de intensidad leve, con edema e infiltrado mononuclear compuesto por macrófagos y linfocitos T o B; los casos con fagocitosis intersticial son excepcionales y de mayor gravedad 9.
Las glomerulopatías asociadas con el síndrome hemofagocítico son raras y, hasta la fecha, se han publicado menos de 20 casos. Thaunat, et al., presentaron 11 casos, de los cuales el 91 % cursó con insuficiencia renal aguda 10, la mitad de ellos de naturaleza grave; el patrón histológico predominante fue la glomerulonefritis colapsante, seguido del de la nefropatía de cambios mínimos y de varios casos de microangiopatía trombótica 11. En otras series posteriores, los hallazgos fueron similares. Recientemente, Santoriello, et al., publicaron un caso excepcional de microangiopatía trombótica y glomerulonefritis con fagocitosis intraglomerular, que se ha denominado “glomerulopatía histiocitaria” 9,10,12. También, se han descrito casos en pacientes con trasplante en los que se ha postulado que la propia terapia inmunosupresora podría predisponer a un síndrome hemofagocítico, con otro factor desencadenante o sin él 13,14.
La denominación de glomerulonefritis colapsante se introdujo en la década de 1970 dentro de la clasificación de la glomeruloesclerosis focal y de la segmentaria; posteriormente, se asoció con el HIV y otras condiciones secundarias, entre las que se incluyen síndromes linfoproliferativos 3 y causas genéticas o idiopáticas (cuadro 1).
A medida que se ha conocido más sobre su epidemiología, histología y comportamiento, esta glomerulonefritis se ha redefinido como una condición diferenciada de la glomeruloesclerosis focal y la segmentaria. Desde la perspectiva epidemiológica, se presenta con mayor frecuencia en individuos de raza negra, lo cual se atribuye a la presencia en ellos de polimorfismos del gen de la apolipoproteína L1 15,16, que representa un mayor riesgo de padecerla en su forma grave. En este paciente no se determinaron estos aspectos, pero, dada su raza y su origen, se asume que tuvieron un papel en la aparición del síndrome renal. Queda por determinar la selección de las mutaciones selectivamente patogénicas, la fisiopatología exacta de esta asociación y su implicación en los posibles blancos terapéuticos.
Con respecto a la patogenia, en la glomeruloesclerosis focal y la segmentaria, así como en la glomerulonefritis colapsante, se presentan lesiones podocitarias opuestas: en la focal y en la segmentaria, aparecen con podocitopenia, en tanto que en la colapsante, con hiperplasia o proliferación. Además, hay una serie de marcadores podocitarios que diferencian muy bien las dos condiciones, pues en la glomerulonefritis colapsante hay pérdida de los marcadores de diferenciación o madurez (sinaptopodina, WT1) y reaparacen los de proliferación y desdiferenciación típicos del glomérulo fetal (Ki67) 17,18.
La secreción exagerada de citocinas proinflamatorias (TNF α, IL-6) por parte de los linfocitos y los macrófagos en diferentes procesos como los linfomas y el síndrome hemofagocítico (cuadro 1), por medio de los receptores de citocinas del podocito 19-21, parece ser la causante del daño podocitario inicial, el cual conduce a su desdiferenciación y, posteriormente, a la aparición del colapso glomerular y las pseudosemilunas típicas de esta glomerulopatía 18,22,23. A esto se añade el significativo daño tubular con dilataciones microquísticas y necrosis, ya bien descrito, el cual no está presente en la glomeruloesclerosis focal ni en la segmentaria 18,24.
En cuanto al tratamiento, no se han hecho ensayos clínicos que sustenten el establecimiento de un protocolo terapéutico unificado, por lo que se han utilizado esquemas con corticoides y diversos inmunosupresores. La glomerulonefritis colapsante suele ser más resistente a los corticoides que la glomeruloesclerosis focal y segmentaria, por lo que, en la mayoría de los casos, se precisa el uso de inmunosupresores más fuertes; sin embargo, esto no garantiza la remisión.
Esta escasa respuesta terapéutica resulta en un peor pronóstico de la glomerulonefritis colapsante, ya que en 50 a 100 % de los casos termina por presentarse la enfermedad renal crónica avanzada, tanto en riñones nativos como trasplantados 24,25. En los casos de trasplante, se ha empleado la plasmaféresis por sus resultados en la glomeruloesclerosis focal y segmentaria clásica 26.
En la glomerulonefritis colapsante asociada con síndrome hemofagocítico, el tratamiento suele combinar los corticoides con la inmunosupresión mediante agentes citostáticos, acompañado por anticitocina o no. En los casos con trasplante renal, se han usado con éxito las dosis elevadas de inmunoglobulinas dependiendo de si la causa se conoce o no 27.
Por otra parte, el linfoma hepatoesplénico de células T es una condición muy rara que afecta principalmente a varones jóvenes. Se comporta agresivamente, con infiltración masiva del hígado, el bazo y la médula ósea, y su diagnóstico por sospecha se basa en la presencia de hepatoesplenomegalia, trombocitopenia y anemia sin afectación ganglionar, todo lo cual se presentó en el presente caso, salvo la afectación medular 28.
El pronóstico del linfoma asociado con el síndrome hemofagocítico es aún más sombrío cuando se trata de células T que cuando es de células B 29. El tratamiento se basa en esquemas de quimioterapia intensiva que no pudieron emplearse en este paciente, dado que el diagnóstico del síndrome linfoproliferativo solo se logró post mortem. Este caso es de especial interés por la escasa frecuencia del linfoma hepastoesplénico de células T, así como por la presencia del síndrome hemofagocítico y la glomerulonefritis colapsante asociada. Tanto el síndrome hemofagocítico como la glomerulonefritis colapsante se asocian de forma independiente con enfermedades hematológicas, autoinmunitarias e infecciosas 8,30 (cuadro 1).
Aunque la asociación entre el linfoma y el síndrome hemofagocítico está claramente establecida, no lo está con la glomerulonefritis colapsante, la cual, si bien puede aparecer en el contexto de enfermedades hematológicas malignas, solo se ha encontrado asociado con leucemias y mielomas, no con linfomas sin mediación del síndrome hemofagocítico. Por ello, en este caso la secuencia que se plantea es el desarrollo de un síndrome hemofagocítico secundario a un linfoma hepatoesplénico de células T y la aparición de una glomerulonefritis colapsante en el contexto del propio síndrome hemofagocítico.
Se trata, pues, de un caso realmente infrecuente en el que se presentaron simultáneamente condiciones de poca prevalencia y elevada morbimortalidad. La histología renal, además, fue determinante a la hora de postular un proceso hematológico maligno extramedular como la posible etiología del cuadro clínico, dado que los estudios de imágenes fueron negativos para linfoma, y se descartó la etiología infecciosa y otras asociadas con el síndrome hemofagocítico o la glomerulonefritis colapsante (cuadro 1).
Al parecer, el síndrome hemofagocítico se asoció con la glomerulonefritis colapsante debido a una explosión de citocinas que indujeron modificaciones podocitarias. Los marcadores podocitarios permiten reclasificar esta glomerulonefritis como una condición independiente. El pronóstico de las dos condiciones es malo y, por ello, es importante que su sospecha y su confirmación sean precoces. En este sentido, la medición periférica de las citocinas puede ser de ayuda.
*Correspondencia: María Adoración Martín-Gómez, Unidad de Nefrología, Hospital de Poniente, El Ejido, España Teléfono: 0034 950 022 892 doritamg@gmail.com



