Resumen: Se estudió a una mujer de 19 años, con embarazo de cuatro meses, que presentaba cuatro úlceras cutáneas de tres meses de evolución, diagnosticadas por biopsia como leishmaniasis cutánea. El frotis directo y la leishmanina fueron negativos. Dado que todos los medicamentos usuales para la leishmaniasis cutánea están contraindicados en el embarazo, la paciente no recibió tratamiento, aunque curó espontáneamente durante el embarazo. Se cree que la leishmaniasis cutánea no tiene peligro para la mujer embarazada y que no hay transmisión de la madre al feto en el humano, aunque se ha detectado en animales en condiciones experimentales. La paciente tuvo un parto sin complicaciones y la condición de salud tanto de ella como de su hijo era normal a los dos años de seguimiento.
Palabras clave: leishmaniasis cutánea/terapialeishmaniasis cutánea/terapia,embarazoembarazo,transmisión vertical de enfermedad infecciosatransmisión vertical de enfermedad infecciosa,hipertermia inducida.hipertermia inducida..
Abstract: We studied a 19-year-old woman, with a 4-month pregnancy who presented with four cutaneous leg ulcers of three months of evolution diagnosed by biopsy as cutaneous leishmaniasis. Direct smear and the leishmanin skin test were negative. Since all the usual medications for cutaneous leishmaniasis are contraindicated in pregnancy, she did not receive any treatment but cured spontaneously of her lesions during pregnancy. It is believed that cutaneous leishmaniasis does not carry danger for pregnant women and that there is no maternal-fetal transmission in humans, though it occurs in experimental animals. The patient gave birth without complications and both she and her son remained normal after two years of follow-up.
Key words: Leishmaniasis, cutaneous/therapy, pregnancy, infectious disease transmission, vertical, hipertermia inducida.
PRESENTACIÓN DE CASO
Leishmaniasis cutánea y embarazo
Cutaneous leishmaniasis and pregnancy
Recepción: 14 Agosto 2016
Aprobación: 19 Noviembre 2017
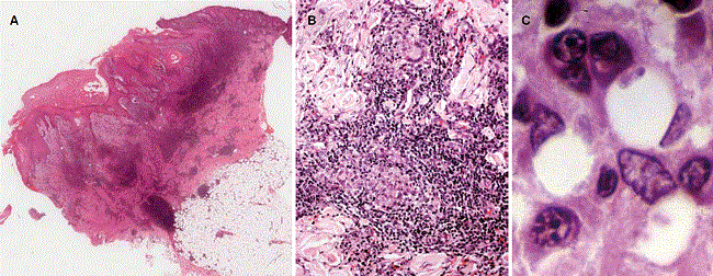
Se trata de una mujer de 19 años de edad, procedente de Picaleña, Tolima, en la semana 16 de gestación. Tres meses antes había presentado una erupción máculo-papular generalizada durante dos semanas, la cual se resolvió sola, aunque persistieron algunas ulceraciones en las piernas, las cuales aumentaron de tamaño y presentaron secreción serosa, produciéndole dolor a la paciente (figura 1). La biopsia de una de las úlceras se diagnosticó como sugestiva de leishmaniasis o de micosis profunda.

La paciente y su esposo habían estado en la zona rural de Chaparral, Tolima, cinco meses atrás. El esposo había presentado una úlcera similar a las de la paciente hacía dos meses, la cual curó espontáneamente.
Se encontraron cuatro úlceras crateriformes, dos en cada pierna, de 3-4 por 2 cm, no dolorosas (figura 1). No había adenopatías y la mucosa nasal era normal.
En el examen directo de una de las lesiones no se encontraron amastigotes. La leishmanina fue negativa. En el cultivo se identificó Streptococcus aureus; se hizo una ecografía a las 17 semanas del embarazo, la cual fue normal.
En la revisión de la biopsia se encontró piel ulcerada con hiperplasia pseudocarcinomatosa e inflamación dérmica difusa granulomatosa, con macrófagos vacuolados y abundantes plasmocitos, así como un único conglomerado intradérmico de leucocitos polimorfonucleares y ocasionales amastigotes fagocitados (figura 2).

Se recomendó crioterapia mientras culminaba el embarazo, tratamiento que no pudo efectuarse por la lejanía de la residencia de la paciente. A las 25 semanas de embarazo, todas las úlceras mostraban tendencia a cicatrizar espontáneamente. Se decidió seguir observándola mensualmente y no aplicar crioterapia.
En la revisión realizada dos meses después del parto, las lesiones habían cicatrizado, sin tratamiento específico. El niño había nacido con peso normal y estaba en buen estado general. Se decidió no suministrar tratamiento. Se le dio información general sobre la enfermedad y sobre su control en caso de una eventual recidiva o la aparición de alguna lesión mucosa.
La paciente asistió a las citas de control cada seis meses durante dos años, sin que se presentara recidiva de la enfermedad ni lesiones mucosas. El hijo está en condiciones normales.
Este caso representa un desafío importante en cuanto al diagnóstico de la leishmaniasis cutánea. ¿Con qué frecuencia lo enfrenta el médico colombiano? ¿El riesgo de la enfermedad es diferente o especial en los casos de mujeres embarazadas? ¿Qué peligro tiene el hijo de sufrir leishmaniasis congénita o perinatal? ¿Qué tratamiento debe recibir una mujer embarazada con leishmaniasis? ¿Hay algún peligro para los niños convivientes de padres con leishmaniasis cutánea? ¿Cuál es el desafío que representa para los médicos colombianos la leishmaniasis en mujeres embarazadas?
Las leishmaniasis son enfermedades cuyas formas clínicas son la cutánea, la mucocutánea y la visceral, producidas por más de 20 especies de Leishmania que parasitan los macrófagos y que son transmitidas a los humanos por picaduras de insectos flebotomíneos 1,2. En Colombia se diagnosticaron 10.561 casos de la forma cutánea, 122 de la mucocutánea y 60 de la visceral en el 2016 3. El 71 % de los casos de leishmaniasis cutánea ocurrió en hombres. No hay datos del porcentaje de mujeres en edad fértil entre los afectados, pero se supone que está alrededor del 30 % 2,3. Cuando se estudian focos de leishmaniasis con transmisión domiciliaria, la proporción entre hombres y mujeres es semejante; es posible que la mujer tienda menos a consultar o que tenga menor acceso a los programas de salud 4. La leishmaniasis cutánea en el embarazo se presenta ocasionalmente en nuestro medio, pero los datos mencionados invitan a investigar si pasa desapercibida.
Una situación parecida se presenta en Brasil, donde se registran 20.418 casos anuales 2 y son pocos los casos de leishmaniasis cutánea en el embarazo, a pesar de que 36 % de los pacientes son mujeres en edad fértil 5,6. El estudio que mayor número de casos reporta incluye 26 mujeres 5. En otro se señala que usualmente no se incluyen mujeres embarazadas en los estudios, que existe la posibilidad de reabsorción fetal o de aborto en los casos de leishmaniasis cutánea y que los datos epidemiológicos son insuficientes 6.
El embarazo disminuye la inmunidad celular de la madre (respuesta Th1) 6, por lo cual las enfermedades infecciosas, como la leishmaniasis cutánea, pueden ser más notorias, con lesiones más protuberantes y más ricas en amastigotes en mujeres embarazadas 5. Pueden presentarse varias formas de respuesta inmunitaria, las cuales atacan tanto a la infección como al feto, o lo protegen pero promueven la enfermedad 7. Sin embargo, estas pacientes con leishmaniasis cutánea no suelen presentar lesiones diseminadas ni lesiones mucosas metastásicas 5. En ellas se ha informado una mayor frecuencia de mortinatos y de parto prematuro 5.
En la paciente del caso que se presenta, llama la atención que no se detectaron los amastigotes en el examen directo, lo cual sugiere que había pocos parásitos. Asimismo, el resultado negativo de la leishmanina es un hallazgo que debe tenerse en cuenta en nuevos casos. En la biopsia se encontró el patrón usual de la leishmaniasis, con escasos amastigotes y, aunque se observó un conglomerado discreto de polimorfonucleares, no tenía la magnitud de los hallados en los casos de Brasil 5. Además, se observó un buen número de células epitelioides y gigantes, lo que indica una buena respuesta inmunitaria que no se correlaciona con la leishmanina negativa pero sí con la curación ‘espontánea’ de sus lesiones.
En los casos de mujeres embarazadas con leishmaniasis cutánea, el feto no tiene riesgo de sufrir la transmisión vertical de la enfermedad 5,6. Experimentalmente, en ratonas preñadas con leishmaniasis cutánea por L. mexicana, se demostraron reabsorción fetal, muertes fetales, menor peso al nacer, y presencia de ADN parasitario en la placenta y en el bazo de la madre y los fetos 8, es decir, hubo transmisión vertical de la enfermedad. Lo mismo ocurrió con hámsters preñadas, infectadas con L. panamensis en la primera semana de su embarazo, en cuyos hijos se encontró ADN leishmaniásico mediante reacción en cadena de la polimerasa (PCR) 9.
Estas complicaciones no se han demostrado en los humanos y se acepta que las diferentes formas etiológicas de la leishmaniasis cutánea no entrañan peligro de transmisión materno-fetal 5,6, aunque no hay estudios suficientes al respecto, porque, en general, no se estudia detalladamente la placenta 7. El médico debe estar vigilante y, en lo posible, hacer las pruebas para identificar la especie del parásito causante de la enfermedad. En esta paciente no fue posible estudiar la placenta ni identificar la especie del parásito.
Ella y su esposo se infectaron en Chaparral, en donde a partir del 2004, se presentó una epidemia con más de 3.000 casos de leishmaniasis cutánea, 95 % de los cuales se debieron a L. guyanensis y 5 % a L. panamensis 10.
En mujeres embarazadas con leishmaniasis visceral, el peligro para la madre y el feto es grande. En las madres, la enfermedad es más grave, incluso mortal, y el feto puede ser abortado, mortinato o tener transmisión vertical de la enfermedad, la cual suele expresarse en su primer año de vida 11,12. Por ello, es obligatorio que la madre reciba tratamiento específico 11,12. La posibilidad de leishmaniasis visceral durante el embarazo en Colombia es muy remota, porque más del 90 % de los casos ocurre en menores de cinco años 1-3.
El tratamiento básico para las leishmaniasis en nuestro país es con antimoniato de meglumina (Glucantime®) y con fosfocolina (Miltefosina®), medicamentos que suministra gratuitamente el Ministerio de Salud y Protección Social 1. Ambos productos están contraindicados en el embarazo porque son teratogénicos 5-7.
El antimoniato de meglumina se ha asociado con aborto, prematuridad y malformaciones congénitas espinales 5,6,13. Se ha sugerido que la mujer embarazada con leishmaniasis cutánea no debe recibir tratamiento porque la enfermedad no entraña riesgo para ella ni para el feto, y porque en el posparto la inmunidad celular materna se recupera debido al aumento de la producción de sintetasa de óxido nítrico y de IFN-γ, esenciales para destruir el parásito 6. La curación espontánea es posible 5,6, como ocurrió con la paciente del presente caso.
Los tratamientos sustitutos incluyen la crioterapia 14 y el calor local, lo que ha demostrado ser de gran utilidad 15,16, pero no es de uso generalizado en nuestro país. El calor local con compresas de 40 a 45 °C varias veces al día puede ayudar a la involución de la lesión cutánea leishmaniásica 1. La anfotericina B, especialmente la liposómica, en dosis única de 10 mg/kg, ha sido útil en el tratamiento de la leishmaniasis visceral y es inocua para las madres y los fetos 14,17.
En conclusión, la leishmaniasis cutánea en el embarazo se presenta ocasionalmente en Colombia. Su aparición no entraña peligro de desarrollar una forma más grave de la enfermedad para la mujer embarazada, ni de transmisión vertical de la enfermedad. El tratamiento con antimoniato de meglumina o fosfocolina está contraindicado. La paciente puede permanecer en observación, sin tratamiento, o manejarse con crioterapia, termoterapia o con anfotericina B, preferiblemente liposómica. La paciente del presente caso curó espontáneamente durante su embarazo. Ni la madre ni su hijo sufrieron alteraciones.
Aunque Colombia registra al año 10.000 a 12.000 casos de leishmaniasis cutánea, los casos de mujeres embarazadas con esta forma de la enfermedad son escasos.
Se cree que la leishmaniasis cutánea en mujeres embarazadas no entraña peligro especial para ellas o para el feto, y que no hay transmisión materno-fetal de la enfermedad.
Aunque en la mujer embarazada se disminuye la inmunidad celular, en una serie de 26 casos en Brasil, las lesiones de leishmaniasis cutánea tendieron a ser más prominentes, vegetantes, y a contener un buen número de amastigotes, lo cual no sucedió en el caso de la paciente cuyo caso se analiza, pues la prueba de leishmanina fue negativa y curó espontáneamente durante su embarazo, al igual que su esposo, quien también presentaba la enfermedad. Los dos la habían contraído en un área donde circulan L. guyanensis y L. panamensis, potenciales causantes de leishmaniasis mucocutánea, por lo cual se les instruyó sobre la posibilidad de presentarla y sobre la necesidad de consultar ante cualquier asomo de enfermedad mucosa.
Las mujeres embarazadas no deben recibir el tratamiento convencional para leishmaniasis cutánea, con antimoniato de meglumina o fosfocolina, porque estos medicamentos pueden ser teratógenos y abortivos. Debe mantenerse su vigilancia y no administrar tratamiento durante su embarazo; y aunque pueden recibirlo después del parto, no es raro que al recuperar su inmunidad celular la leishmaniasis cutánea cure espontáneamente. El calor local y la crioterapia son alternativas útiles e inocuas para estas mujeres.
La anfotericina B liposómica también es efectiva y, además, no es tóxica ni para la madre ni para el feto. Sin embargo, su inconveniente principal es el costo. Durante la lactancia la paciente puede recibir antimoniato de meglumina, pero se recomienda que lacte a su bebé seis horas después de recibir el medicamento, aunque no se ha establecido si este es tóxico para el bebé al ser secretado en la leche materna.
* Correspondencia: Gerzaín Rodríguez, Facultad de Medicina, Universidad de La Sabana, Chía, Colombia Teléfono: (315) 648 2036 josert@unisabana.edu.co

