BRIEF COMMUNICATION
Nuclei ultrastructural changes of C6/36 cells infected with virus dengue type 2
Cambios ultraestructurales en núcleos de células C6/36 infectadas con virus dengue de tipo 2
Nuclei ultrastructural changes of C6/36 cells infected with virus dengue type 2
Biomédica, vol. 38, no. 2, 2018
Instituto Nacional de Salud
Received: 01 August 2017
Accepted: 17 May 2018
ABSTRACT
Introduction: Dengue virus replication has been considered mainly cytoplasmic, however, studies indicate that some flaviviruses may use the intranuclear pathway as part of the machinery that the virus uses to increase infection capacity in the host cell. This paper describes alterations at nuclear level in the cell infected with dengue, which are likely involved in the virus replication processes.
Objective: This paper addresses the ultrastructural observations of C6/36 cells of the Aedes albopictus mosquito infected with dengue virus type 2.
Materials and methods: C6/36 cells were infected in culture medium with the serum of a patient positively diagnosed for dengue 2. Subsequently, the cells were incubated for 10 days and the cytopathic effect was assessed. The cells were processed for immunofluorescence assays and transmission electron microscopy.
Results: The immunofluorescence assays confirmed the presence of viral protein E associated with cellular syncytia in the culture. In the ultrastructural study, the infected cells showed vesicular-tubular structures and dilated cisterns of the endoplasmic reticulum at the cytoplasmic level. Viral particles were found exclusively in cytoplasm localized within the vacuoles. Nuclei of cellular syncytia showed membrane structures arranged in a circular shape and, in some cases, these syncytia displayed lysis; in no case viral particles were observed at the nuclear level.
Conclusions: The ultrastructural alterations of nuclei in cells infected with the dengue virus using electron microscopy techniques had not been reported before, as far as we know. It is likely that such modifications are associated with replicative processes at an intranuclear level as an alternate replication mechanism.
Key words: Aedes+ dengue+ microscopy, electron.
RESUMEN
Introducción. : La replicación del virus del dengue se ha considerado principalmente citoplásmica; sin embargo, en diversos estudios se ha informado que algunos flavivirus pueden utilizar factores intranucleares como parte de la maquinaria que utilizan para aumentar la capacidad de infección en la célula huésped. En este trabajo se describen las alteraciones a nivel nuclear en células infectadas con dengue, probablemente involucradas en procesos de replicación viral.
Objetivo. : Presentar las observaciones ultraestructurales de células C6/36 de Aedes albopictus infectadas con el virus del dengue de tipo 2.
Materiales y métodos. : Se infectaron células C6/36 con suero de un paciente con diagnóstico de dengue 2; posteriormente, se mantuvieron en medio de cultivo durante 10 días y se evaluó el efecto citopático. Las células se procesaron para los ensayos de inmunofluorescencia y microscopía electrónica de transmisión, con el fin de hacer el estudio ultraestructural.
Resultados. :
Los ensayos de inmunofluorescencia confirmaron la presencia de la proteína E viral asociada con sincitios celulares en el cultivo. En el estudio ultraestructural, las células infectadas tenían estructuras vesiculares y tubulares, y cisternas dilatadas del retículo endoplásmico en el citoplasma. Las partículas virales se encontraron exclusivamente en vacuolas localizadas en el citoplasma. Los núcleos de los sincitios celulares contenían estructuras de membrana dispuestas en forma circular y, en algunos casos, dichos sincitios presentaban lisis. En ningún caso se observaron partículas virales en el núcleo.
Conclusiones. : No se habían reportado alteraciones ultraestructurales en los núcleos de células infectadas con el virus del dengue detectadas mediante técnicas de microscopia electrónica. Es probable que tales modificaciones estén asociadas con procesos intranucleares de replicación como un mecanismo alternativo.
Palabras clave: Aedes, dengue, microscopía electrónica.
Dengue virus (DENV) belongs to the Flavivirus genus of the Flaviviridae family; this arbovirus possesses four antigenically distinct serotypes and is transmitted to humans through vectors of the Aedes genus, specifically A. aegypti and A. albopictus 1,2. The infection in humans causes a febrile illness limited in most of the cases and it can even be asymptomatic; however, in a small proportion, it generates a lethal infection characterized by hemorrhagic manifestations, hepatic dysfunction, respiratory difficulty, increased vascular permeability and multiple organ failure 3-5.
The viral particle has a size of 40 to 50 nm and is comprised by a wrapped capsid containing a single positive-polarity RNA genome of an approximate size of 11 kb. The genome codifies a polyprotein that contains three structural proteins (C, prM, and E) and seven non-structural proteins (NS1, NS2A, NS2B, NS3, NS4A, NS4B, and NS5); it has an open reading frame and is flanked by two untranslated regions that have secondary structures required for efficient translation and replication 6,7.
In pathogenesis studies of the arboviral dengue infection, one of the main objectives is to determine the mechanisms through which the virus replicates in the host cell. The viral replication of dengue has been associated mainly to the cytoplasmic level; however, some authors report intranuclear replication due to the presence of nonstructural proteins or their domains in this cellular organelle 8. In vitro, DENV has shown to be capable of infecting numerous human cells, including dendritic cells (DC), monocytes and macrophages, B cells, T cells, endothelial cells, hepatocytes, and neuronal cells, as well as a number of cell lines used for viral propagation such as Vero cells or C6/36 cells 9.
The latter cells of A. albopictus mosquito were established in 1978 and, since then, thanks to the non-complex nature of the culture conditions, it has been possible to isolate and identify other arboviruses 10,11; similarly, thanks to the ultrastructural study of the dengue viral infection in this type of cell, some morphological aspects that occur during the infection and replication processes have been elucidated, allowing to expand the knowledge on the pathogenesis of the dengue infection 12-14.
This paper presents an ultrastructural characterization of C6/36 cells infected with the dengue virus type 2 and, for the first time, alterations at the nuclear level that could be involved in the virus replication processes.
Materials and methods
Cell cultures and infection
C6/36 cells of A. albopictus (Aa C6/36) from the cell bank of the Grupo de Virología at the Instituto Nacional de Salud in Bogotá were infected with dengue virus type 2 (DENV-2).
Briefly, the Aa C6/36 cells were thawed with thawing medium (E-MEM-Gibco™, fetal bovine serum 20%, tryptose phosphate 3%, penicillin-streptomycin 2%, glutamine 1%, Hepes 1%, and bicarbonate 1%) were seeded and incubated during three days at 28°C in tubes until obtaining 80% of confluent layer. After removing the medium, the cells were incubated for 30 minutes at 28°C with a serum from patients with a positive diagnosis for dengue 2 in a 1:9 ratio in culture medium, and were subsequently incubated for 10 days in maintenance culture medium following the viral isolation protocols established by the Grupo de Virología of the Instituto Nacional de Salud. The viral titer was 4.00 x 106 PFU/ml obtained after passage in C6/36 cells. Finally, the cytopathic effect was assessed using light microscopy and the cell pellet obtained was rinsed with phosphate buffered saline.
Immunofluorescence for the confirmation of the viral infection
The viral infection was confirmed by detecting viral antigens with indirect immunofluorescence using an antibody against the protein E of the virus. Of the cell pellet obtained in the culture, 10 μl were taken and spread on a slide, and subsequently, they were fixed with 10% acetone for 10 minutes and stored at -70 °C until processing. The cells were permeated with Triton™ X-100 at 0.3% for 1 hour; after rinsing, blocking was performed using normal 10% goat serum for 1 hour followed by incubation overnight at 4 °C with the MAB8744 antibody (E protein of Flavivirus, Chemicon) in a 1:50 dilution. Later, they were incubated with anti-mice IgG marked with Alexa 488 in a 1:200 dilution for 1 hour using DAPI with nuclei contrast. Finally, the slides were mounted with VectaShield (Vector) and observed under the Leica TCSSP5™ confocal microscope.
Transmission Electron Microscopy
Infected and normal cells were processed separately with two fixators, i.e., tannic acid 4% and glutaraldehyde 2.5% in phosphate buffer 0.1 M, pH 7.2 and ruthenium red 1% in sodium cacodylate buffer; subsequently, the two treatments were fixed with aqueous osmium tetraoxide at 2%. The dehydration process was performed in ascending ethanolic gradient from 50 to 70 to 80% for 10 minutes each, to 95% for 20 minutes and two changes of ethanol at 100% for 20 minutes, to then pass the cells through propylene oxide twice for 20 minutes each. The infiltration was performed in a mixture of propylene oxide and araldite-Epon™ epoxy resin (2:1) for 1 hour, 1:1 for one hour, and then two changes of pure resin in 24 hours; finally, the polymerization was performed at 68 °C for 48 hours.
We obtained semi-fine sections from the cells included in resin of approximately 500 nm, which were stained with toluidine blue; then we contrasted sections of 60 to 90 nm thick with uranyl acetate and lead citrate and the sections were observed under a transmission electron microscope (ZEISS EM 109™).
Image digitalization for light microscopy was performed in an Axiophot Zeiss™ microscope with an Evolution VF™ camera and QCapture Pro 6.0™ software; for immunofluorescence images we used the Leica TCSSP5™ confocal microscope and the ZEN 2012™ Zeiss program and for electron microscopy, the Zeiss EM 109™ electron microscope and a Finger Lakes Instrumentations™ camera with MaxIm DL™ software.
Ethical considerations
Viral isolates were obtained from the sera of patients diagnosed by positive PCR for dengue virus from the samples archive of the Grupo de Virología of the Instituto Nacional de Salud. The information of the cases selected was treated following the basic ethical principles promulgated in the Declaration of Helsinki adopted by the 18th World Medical Assembly, Helsinki, Finland, June 1964 15.
Results
During the confirmation process by immunofluorescence of the viral infection in the C6/36 cells to detect the E protein of the virus, we observed a cytoplasmic localization of the protein, mainly in cell syncytia (figure 1).

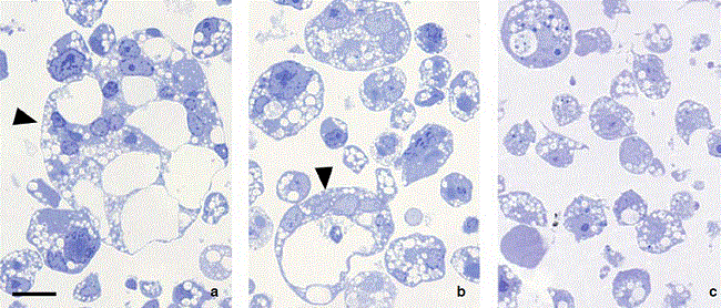
Using high-resolution optical microscopy to observe the infected C6/36 cells, we also observed a prominent vacuolization at the cytoplasmic level and the formation of cellular syncytia, a typical cytopathic effect of this cell line (figure 2) 14,16.

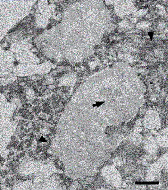
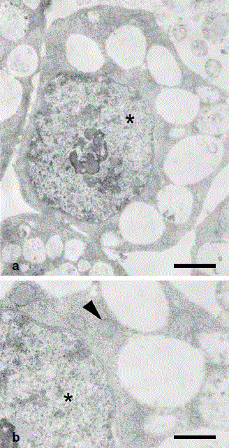
We also observed cytoplasmic vesicular-tubular structures and dilated cisterns of the endoplasmic reticulum during the ultrastructural study of the infected cells (figure 3). Viral particles with an approximate size of 70 nm were observed exclusively in the cytoplasm, specifically within the cytoplasmic vacuoles, which showed an arrangement in groups of particles when observed with a higher contrast (figure 3, b and c). In the syncytia nuclei circularly arranged, we observed membrane structures (figure 4 and 5), and, additionally, lysed syncytia whose nuclei have the same structures; no viral particles were observed at nuclear level; in uninfected cells, no alterations were observed (figure 2c and 6).




Discussion
The structural alterations we observed, such as the formation of vesicular-tubular structures, dilated endoplasmic reticulum cisterns, membrane structures at cytoplasmic level -in some cases in crystal arrangements-, and viral particles in cytoplasmic vesicles, have been previously reported in infected C6/36 cells and in other cell types 13,17-20. The prominent vacuolization observed in the infected cells is associated to a cytopathic effect, also demonstrated in other cell lines such as HepG2, Vero, BHK, and LLC-MK 21-24, which occurs usually in cell cultures with prolonged periods of dengue infection. These alterations have been reported in cultures with 5 to 7 days of infection, in which vacuolization and syncytia formation is observed with the abundant presence of viral particles 13. However, the membrane arrangements observed at nuclear level had not been reported so far for dengue virus type 2 infection in C6/36 cells (figure 5). These findings can be associated with the viral infection as apoptosis has been previously reported in this same cell type in models treated with heavy metals; however, different morphological findings have been described such as eccentric nuclei and lysosomes randomly distributed in the cytoplasm 25.
The membrane structures induced by the virus have been related to the replication factories that provide a platform to transport proteins and viral genomes between the sites of the RNA replication 26-29. Therefore, it is possible that the structures observed in the nucleus in this study are connected to the replication events of the virus at the nuclear level. However, this type of replication has traditionally been considered as the domain of the retroviruses, such as the herpes-virus, the adenoviruses and the orthomyxoviruses which have a genome composed of DNA and RNA, respectively, and use the nucleus as a site for viral replication.
Other viruses whose replication cycle involves the nucleus are some mononegavirals such as the Borna’s disease virus and some rhabdoviruses in insects 30. In the case of viruses with RNA genome and positive polarity, as is the case of the dengue virus, replication is believed to be exclusively cytoplasmic. Even so, many of the viruses that use the host cytoplasm as a primary site for viral replication involve in this process either the nucleus or its components by hijacking nuclear factors and altering the cytoplasm-nucleus traffic to promote viral replication 31. In the case of some flaviviruses, it has been demonstrated that they involve the nucleus in their replication, at least indirectly. For example, the treatment of host cells with actinomycin D or alpha-amanitine prior to the viral infection involves the viral replication and, subsequently, the viral titers 32,33. The cell enucleation during the latent period of the viral infection also inhibits the replication of the Japanese encephalitis virus (JEV) 34,35.
Although it is not clear if the virus replication can take place in the nucleus, it has been demonstrated that various viral proteins involved in this process are located in the nucleus. For example, there is evidence of the transportation towards the nucleus of the flavivirus and picornavirus RNA-dependent polymerase (RdRP) 36,37; moreover, in the Japanese encephalitis, West Nile, dengue, and yellow fever viruses, this polymerase migrates to the nucleus and, in some cases, a significant proportion of its activity resides in the nucleus 34,36,37. A high nuclear immunoreactivity has been reported for the NS5 protein in the dengue virus, and somewhat lower in types 1 and 2 38, although its function in the nucleus is not clear.
Some structural proteins of the virus have been located in the nucleus. It is known that the structural protein C contains three nuclear localization signals (NLS) 39,40 and although it has been demonstrated that the said localization is not required for viral proliferation 39, there is evidence suggesting that it interacts with a transcription repressor in the DAXX nucleus 41. In the case of the Zika virus, analyses have shown that a monoclonal antibody that recognizes an E protein epitope localizes in the nucleolus. It has been suggested that the localization of the antigen can be part of a polyprotein precursor synthesized before the maturation of the virus and is transported from the cytoplasm to the nucleus in an early stage of the infection cycle 42.
In the case of membrane structures, one of the viral proteins involved in the formation of these intracellular sources is protein NS4B of the hepatitis C virus; however, in the case of the dengue virus, it is unknown if such protein fulfills the same function 43. On the contrary, there is evidence that the individual manifestation of NS4A in dengue viruses lacking the 2K fragment results in the induction of membrane alterations similar to the structures induced by infection with the virus 44.
This paper reports changes in the ultrastructural morphology of C6/36 cells infected with the dengue virus. We observed a prominent vacuolization, as well as the formation of syncytia and tubular vesicle structures containing viral particles at the cytoplasmic level. We report the presence of membrane structures located at the nuclear level, which are probably involved in the replication processes according to previous reports. There are few reports of the inclusion of the dengue virus at the nuclear level, but the presence of glycogenassociated inclusions was recently demonstrated in fatal cases caused by dengue infection and in a murine model of infection with hepatitis C virus 45,46.
The cultures analyzed in this study are prolonged infection cultures (10 days of infection), so it is possible that the structures observed at the nuclear level may be an effect that occurs in the infection after several cycles of viral replication. Until now, only cultures with post-infection times of up to 72 hours have been assessed, as shown in table 1, and, therefore, it is possible that such findings have gone unnoticed. Our results point to the need of conducting further studies aimed at establishing the mechanisms used by the virus to perform its replication in the host cell. Additional assays will be required to demonstrate or reject the direct involvement of the membrane structures at the nucleus in replication events in this cell organelle.

Acknowledgements
We thank the Dirección de Investigación en Salud Pública and the Dirección de la Red Nacional de Laboratorios of the Instituto Nacional de Salud, as well as the Laboratorio de Virología of the Universidad El Bosque.
References
1. Calisher CH, Karabatsos N, Dalrymple JM, Shope RE, Porterfield JS, Westaway EG, et al. Antigenic relationships between flaviviruses as determined by cross-neutralization tests with polyclonal antisera. J Gen Virol. 1989;70:37-43. https://doi.org/10.1099/0022-1317-70-1-37
2. del Ángel RM. Entrada del virus del dengue: moléculas que pueden modular la patogenia viral. Cinvestad. 2006; 25:38-43.
3. Nascimento D, Castro AR, Froes IB, Bigaton G, Oliveira EC, Dal Fabbro MF, et al. Clinical and laboratory findings in patients with dengue associated with hepatopathy. Rev Soc Bras Med Trop. 2011;44:674-7. https://doi.org/10.1590/S0037-86822011005000061
4. Seneviratne SL, Malavige GN, de Silva HJ. Pathogenesis of liver involvement during dengue viral infections. Trans R Soc Trop Med Hyg. 2006;100:608-14. https://doi.org/10.1016/j.trstmh.2005.10.007
5. Ling LM, Wilder-Smith A, Leo YS. Fulminant hepatitis in dengue haemorrhagic fever. J Clin Virol. 2007;38:265-8. https://doi.org/10.1016/j.jcv.2006.12.011
6. Bartenschlager R, Miller S. Molecular aspects of dengue virus replication. Future Microbiol. 2008;3:155-65. https://doi.org/10.2217/17460913.3.2.155
7. Gubler DJ, Ooi EE, Vasudevan S, Farrar J. Dengue and dengue hemorrhagic fever. Second edition. Singapore: CABI; 2014. p. 337. https://doi.org/10.1079/9781845939649.0000
8. Kumar A, Buhler S, Selisko B, Davidson A, Mulder K, Canard B, et al. Nuclear localization of dengue virus nonstructural protein 5 does not strictly correlate with efficient viral RNA replication and inhibition of type I interferon signaling. J Virol. 2013;87:4545-57. https://doi.org/10.1128/JVI.03083-12
9. Clyde K, Kyle JL, Harris E. Recent advances in deciphering viral and host determinants of dengue virus replication and pathogenesis. J Virol. 2006;80:11418-31. https://doi.org/10.1128/JVI.01257-06
10. Figueiredo LT. Uso de células de Aedes albopictus C6/36 na propagação e classificação de arbovírus das famílias Togaviridae, Flaviviridae, Bunyaviridae e Rhabdoviridae. Rev Soc Bras Med Trop.1990;23:13-8. https://doi.org/10.1590/S0037-86821990000100003
11. Batista WC, Tavares Gda S, Vieira DS, Honda ER, Pereira SS, Tada MS. Notification of the first isolation of Cacipacore virus in a human in the State of Rondonia, Brazil. Rev Soc Bras Med Trop. 2011;44:528-30. https://doi.org/10.1590/S0037-86822011000400028
12. Grief C, Galler R, Cortés LM, Barth OM. Intracellular localisation of dengue-2 RNA in mosquito cell culture using electron microscopic in situ hybridisation. Arch Virol. 1997;142:2347-57.
13. Barth OM. Replication of dengue viruses in mosquito cell cultures--A model from ultrastructural observations. Mem Inst Oswaldo Cruz. 1992;87:565-74. https://doi.org/10.1590/S0074-02761992000400017
14. Castañeda NY, Castellanos JE, Zapata AC, Bello F. Línea celular de Aedes aegypti (DIPTERA: CULICIDAE) AEGY28 refractaria a la infección con los virus dengue 2 y fiebre amarilla. Acta Biológica Colombiana. 2007;12:47-58.
15. World Health Organization. Guidelines for good clinical practice (GCP) for trials on pharmaceutical products. WHO Technical Report Series. 1995;850:97-137.
16. Barth OM, De Castro-Côrtes LM. Morphology of dengue virus induced cell syncytia. Acta Microscopica. 1997;6:1-8.
17. Ko KK, Igarashi A, Fukai K. Electron microscopic observations on Aedes albopictus cells infected with dengue viruses. Arch Virol.1979;62:41-52.
18. Junjhon J, Pennington JG, Edwards TJ, Perera R, Lanman J, Kuhn RJ. Ultrastructural characterization and three-dimensional architecture of replication sites in dengue virus-infected mosquito cells. J Virol. 2014;88:4687-97. https://doi.org/10.1128/JVI.00118-14
19. Welsch S, Miller S, Romero-Brey I, Merz A, Bleck CK, Walther P, et al. Composition and three-dimensional architecture of the dengue virus replication and assembly sites. Cell Host Microbe. 2009;5:365-75. https://doi.org/10.1016/j.chom.2009.03.007
20. Cardiff RD, Russ SB, Brandt WE, Russell PK. Cytological localization of Dengue-2 antigens: An immunological study with ultrastructural correlation. Infect Immun.1973;7:809-16.
21. Stohlman SA, Wisseman CL Jr., Eylar OR, Silverman DJ. Dengue virus-induced modifications of host cell membranes. J Virol. 1975;16:1017-26.
22. Marianneau P, Steffan AM, Royer C, Drouet MT, Kirn A, Deubel V. Differing infection patterns of dengue and yellow fever viruses in a human hepatoma cell line. J Infect Dis. 1998;178:1270-8. https://doi.org/10.1086/314466
23. Matsumura T, Stollar V, Schlesinger RW. Studies on the nature of dengue viruses. V. Structure and development of dengue virus in Vero cells. Virology. 1971;46:344-55. https://doi.org/10.1016/0042-6822(71)90036-5
24. Demsey A, Steere RL, Brandt WE, Veltri BJ. Morphology and development of dengue-2 virus employing the freezefracture and thin-section techniques. J Ultrastruct Res. 1974;46:103-16.
25. Raes H, Braeckman BP, Criel GR, Rzeznik U, Vanfleteren JR. Copper induces apoptosis in Aedes C6/36 cells. J Exp Zool. 2000;286:1-12. https://doi.org/10.1002/(SICI)1097-010X(20000101)286
26. den Boon JA, Díaz A, Ahlquist P. Cytoplasmic viral replication complexes. Cell Host Microbe. 2010;8:77-85. https://doi.org/10.1016/j.chom.2010.06.010
27. Salonen A, Ahola T, Kaariainen L. Viral RNA replication in association with cellular membranes. Curr Top Microbiol Immunol. 2005;285:139-73.
28. Miller S, Krijnse-Locker J. Modification of intracellular membrane structures for virus replication. Nat Rev Microbiol. 2008;6:363-74. https://doi.org/10.1038/nrmicro1890
29. Romero-Brey I, Bartenschlager R. Membranous replication factories induced by plus-strand RNA viruses. Viruses. 2014;6:2826-57. https://doi.org/10.3390/v6072826
30. Whittaker GR, Kann M, Helenius A. Viral entry into the nucleus. Annu Rev Cell Dev Biol. 2000;16:627-51. https://doi.org/10.1146/annurev.cellbio.16.1.627
31. Hiscox JA. The interaction of animal cytoplasmic RNA viruses with the nucleus to facilitate replication. Virus Res. 2003;95:13-22. https://doi.org/10.1016/S0168-1702(03)00160-6
32. Uchil PD, Satchidanandam V. Characterization of RNA synthesis, replication mechanism, and in vitro RNA-dependent RNA polymerase activity of japanese encephalitis virus. Virology. 2003;307:358-71. https://doi.org/10.1016/S0042-6822(02)00130-7
33. Zebovitz E, Leong JK, Doughty SC. Involvement of the host cell nuclear envelope membranes in the replication of Japanese encephalitis virus. Infect Immun. 1974;10:204-11.
34. Uchil PD, Kumar AV, Satchidanandam V. Nuclear localization of flavivirus RNA synthesis in infected cells. J Virol. 2006;80:5451-64. https://doi.org/10.1128/JVI.01982-05
35. Kos KA, Osborne BA, Goldsby RA. Inhibition of group B arbovirus antigen production and replication in cells enucleated with cytochalasin B. J Virol. 1975;15:913-7.
36. Kapoor M, Zhang L, Ramachandra M, Kusukawa J, Ebner KE, Padmanabhan R. Association between NS3 and NS5 proteins of dengue virus type 2 in the putative RNA replicase is linked to differential phosphorylation of NS5. J Biol Chem. 1995;270:19100-6. https://doi.org/10.1074/jbc.270.32.19100
37. Weidman MK, Sharma R, Raychaudhuri S, Kundu P, Tsai W, Dasgupta A. The interaction of cytoplasmic RNA viruses with the nucleus. Virus Res. 2003;95:75-85. https://doi.org/10.1016/S0168-1702(03)00164-3
38. Tay MY, Fraser JE, Chan WK, Moreland NJ, Rathore AP, Wang C, et al. Nuclear localization of dengue virus (DENV) 1-4 non-structural protein 5; protection against all 4 DENV serotypes by the inhibitor Ivermectin. Antiviral Res. 2013;99:301-6. https://doi.org/10.1016/j.antiviral.2013.06.002
39. Sangiambut S, Keelapang P, Aaskov J, Puttikhunt C, Kasinrerk W, Malasit P, et al. Multiple regions in dengue virus capsid protein contribute to nuclear localization during virus infection. J Gen Virol. 2008;89:1254-64. https://doi.org/10.1099/vir.0.83264-0
40. Wang SH, Syu WJ, Huang KJ, Lei HY, Yao CW, King CC, et al. Intracellular localization and determination of a nuclear localization signal of the core protein of dengue virus. J Gen Virol. 2002;83:3093-102. https://doi.org/10.1099/0022-1317-83-12-3093
41. Netsawang J, Noisakran S, Puttikhunt C, Kasinrerk W, Wongwiwat W, Malasit P, et al. Nuclear localization of dengue virus capsid protein is required for DAXX interaction and apoptosis. Virus Res. 2010;147:275-83. https://doi.org/10.1016/j.virusres.2009.11.012
42. Buckley A, Gould EA. Detection of virus-specific antigen in the nuclei or nucleoli of cells infected with Zika or Langat virus. J Gen Virol. 1988;69:1913-20. https://doi.org/10.1099/0022-1317-69-8-1913
43. Egger D, Wolk B, Gosert R, Bianchi L, Blum HE, Moradpour D, et al. Expression of hepatitis C virus proteins induces distinct membrane alterations including a candidate viral replication complex. J Virol. 2002;76:5974-84. https://doi.org/10.1128/JVI.76.12.5974-5984.2002
44. Miller S, Kastner S, Krijnse-Locker J, Buhler S, Bartenschlager R. The non-structural protein 4A of dengue virus is an integral membrane protein inducing membrane alterations in a 2K-regulated manner. J Biol Chem. 2007; 282:8873-82. https://doi.org/10.1074/jbc.M609919200
45. Sarmiento L, Rengifo AC, Rivera J, Neira M, Parra E, Méndez J, et al. Glucógeno hepático en dengue severo: análisis histopatológico. Infectio. 2013;17:172-6. https://doi.org/10.1016/S0123-9392(13)70728-8
46. Thakur P, Lamoke F, Chaffin JM, Bartoli M, Lee JR, Duncan MB. Dysplastic hepatocytes develop nuclear inclusions in a mouse model of viral hepatitis. PloS One. 2014;9:e99872. https://doi.org/10.1371/journal.pone.0099872
47. Pryor MJ, Rawlinson SM, Butcher RE, Barton CL, Waterhouse TA, Vasudevan SG, et al. Nuclear localization of dengue virus nonstructural protein 5 through its importin alpha/beta-recognized nuclear localization sequences is integral to viral infection. Traffic. 2007;8:795-807. https://doi.org/10.1111/j.1600-0854.2007.00579.x
48. Diwaker D, Mishra KP, Ganju L, Singh SB. Dengue virus non-structural 1 protein interacts with heterogeneous nuclear ribonucleoprotein H in human monocytic cells. Asian Pac J Trop Med.2016;9:112-8. https://doi.org/10.1016/j.apjtm.2016.01.015
49. Tadano M, Makino Y, Fukunaga T, Okuno Y, Fukai K. Detection of dengue 4 virus core protein in the nucleus. I. A monoclonal antibody to dengue 4 virus reacts with the antigen in the nucleus and cytoplasm. J Gen Virol. 1989; 70:1409-15. https://doi.org/10.1099/0022-1317-70-6-1409
50. Bulich R, Aaskov JG. Nuclear localization of dengue 2 virus core protein detected with monoclonal antibodies. J Gen Virol. 1992;73:2999-3003. https://doi.org/10.1099/0022-1317-73-11-2999
Notes
Author notes
*Corresponding author: Jorge Alonso Rivera, Grupo de Morfología Celular, Dirección de Investigación en Salud Pública, Instituto Nacional de Salud, Avenida Calle 26 N° 51-20, CAN, Bogotá, D.C., Colombia Telephone: 220 7700, extension 1262 jrivera@ins.gov.co
Conflict of interest declaration