Abstract: Senna occidentalis is one of the many Senna species present in Argentina known for its toxicity to cardiac muscles and large muscle masses. However, there are only a few reports about S. occidentalis poisoning in cattle to date in Argentina. This work aims to describe a retrospective study, which includes 8 outbreaks of S. occidentalis poisoning in cattle from northwestern Argentina. The clinical, pathological, and epidemiological aspects of each outbreak were also detailed. The affected animals showed weakness, incoordination, and myoclonus of large muscle masses. Some animals also showed non-specific clinical signs like depression, anorexia, weight loss, and recumbency before death. The main macroscopic finding was muscle necrosis in large muscle masses and the histological findings included multifocal segmental degeneration and necrosis of muscle fibers. Serum samples collected from the necropsied animals showed a high CPK activity in the most acute cases.
Keywords: myotoxicity, bovine, toxic plant, creatine phosphokinase.
Resumen: Senna occidentalis es una de las muchas especies de Senna presentes en Argentina, conocida por su toxicidad para los músculos cardíacos y las grandes masas musculares. Sin embargo, existen pocos informes sobre la intoxicación por S. occidentalis en bovinos en Argentina. Este trabajo tiene como objetivo describir un estudio retrospectivo que incluye brotes de intoxicación por S. occidentalis en bovinos del noroeste argentino. También se detallaron los aspectos clínicos, patológicos y epidemiológicos de cada brote. Los animales afectados mostraron debilidad, incoordinación y mioclonías de las grandes masas musculares. Algunos también mostraron signos clínicos inespecíficos como depresión, anorexia, pérdida de peso y decúbito antes de morir. El principal hallazgo macroscópico fue una necrosis muscular en las grandes masas musculares, y los hallazgos histológicos incluyeron degeneración segmentaria multifocal y necrosis de las fibras musculares. Las muestras de suero recolectadas de los animales a los que se les realizó necropsia mostraron niveles altos de CPK en los casos más agudos.
Palabras clave: miotoxicidad, bovinos, planta tóxica, creatinfosfoquinasa.
Artículos
Senna occidentalis poisoning in cattle: report of 8 outbreaks in northwestern Argentina
The ingestion of S. occidentalis produces poisoning characterized by myopathy and, less frequently, by degenerative cardiomyopathy (Martins et al., 1986; Barros et al., 1990, 1999; Carmo et al., 2011). This plant is common to several environments in northern Argentina (Chileski et al., 2021) and is normally found in pastures, in fertile soils, along roads, corrals, or contaminating soybean, corn, and sorghum crops (Barros et al., 1990).
In Argentina, poisoning by this species has been described, in some cases, as isolated toxicity problems (Marín, 2010; Gual et al., 2012; Mussart et al., 2013). However, the information on this subject is limited in our country. In Brazil, S. occidentalis poisoning in cattle has been reported in Rio Grande do Sul and was associated with the direct consumption of the plant or after the use of feed contaminated with the seeds of the plant (Barros et al., 1990, 1999; Carmo et al., 2011; Takeuti et al., 2011; Riet-Correa et al., 2023).
As with other plant species, several factors can affect the probability of occurrence of outbreaks due to the consumption of S. occidentalis in cattle (Carmo, 2011; Chileski et al., 2021), such as variations in the toxicity of the plant due to its phenological stage, or the occurrence of special management conditions that may facilitate the plant being ingested by animals (Riet-Correa et al., 2023). These management factors may include feed restrictions, lack of forage, prolonged drought, prolonged transport or confinement of animals, and unfamiliarity with the plant. All these factors may predispose to the occurrence of this or other intoxications (Tokarnia et al., 2012).
This work aims to describe a sequence of 8 cases of poisoning by S. occidentalis in northwestern Argentina. Clinical, pathological, and epidemiological aspects of these cases are highlighted.
A retrospective study of the cases of poisoning by S. occidentalis was carried out at the Animal Health Research Area “Dr. Bernardo Carrillo” of IIACS Salta of the Agricultural Research Center of INTA. For the diagnosis, the presence of compatible muscular lesions was considered and later associated with the finding of the plant and evidence of its consumption. The data from the corresponding reports was analyzed by compiling information on the clinical, pathological, and epidemiological aspects of the outbreaks.
Throughout 2015-2023, 8 outbreaks of S. occidentalis poisoning were confirmed out of the 430 cases seen in cattle in that period. This represents 1.8% of the bovine cases received by the laboratory. The diagnosis of S. occidentalis poisoning (fig. 1 A) was based on clinical findings, along with the presence of monophasic muscle necrosis in large muscle masses, which was associated with the identification of the plant in grazing areas with evidence of its consumption.

A. Adult Senna occidentalis plant in the fruiting stage. The insert shows the flowers and pods in erect position, which are distinctive for field identification. B. Affected animal in sternal recumbency with normal sensory status and inability to sit up. However, they keep the ability to eat and drink until their death. C. Striated skeletal muscle (triceps brachii) with degeneration and diffuse necrosis with an appearance resembling cooked meat. D. Dark-colored urine resulting from myoglobinuria.
The clinical findings included paraparesis of muscular origin, characterized by weakness, incoordination of the extremities, myoclonus of large muscle masses, and difficulty in moving. The animals then remained in sternal or lateral decubitus position until death ensued. Some animals showed depression, anorexia, and weight loss, finally progressing to sternal recumbency, unable to sit up, but alert, and able to eat and drink water until they died (fig. 1 B). In all the clinical cases recorded, the average evolution of the disease occurred in 4.5 ± 3.9 days, with a maximum of 12 days.
Serum samples were collected from 12 animals and serum creatine phosphokinase (CPK) activity was determined. The variations in its values according to the time of evolution of each clinical case are shown in fig. 2.
Additionally, a total of 14 necropsies were performed. In all of them, degeneration and necrosis of the large muscle masses in the buttocks and forelimbs were identified. The lesions were characterized by an accentuated pallor of extensive muscular areas in the more rapidly evolving cases. These lesions were very noticeable in the quadriceps femoris, semitendinosus, semimembranosus, and triceps. They either had a homogeneous “cooked meat” appearance (fig. 1 C) or a striated appearance, involving several muscle fascicles. In cases of longer evolution (more than one week), the damaged areas had a focal distribution, mainly affecting the semimembranosus and semitendinosus muscles. In a single case, a cardiac lesion, characterized by a small area of affected right ventricular myocardium, was observed. In the animals that died more rapidly, hepatomegaly with an accentuated lobular pattern of the parenchyma was also observed. In these cases, the urine had a dark coloration due to myoglobinuria (fig. 1 D). In several cases with shorter evolutions, seeds or fragments of the sheaths of the plant were observed in the ruminal or abomasal contents.
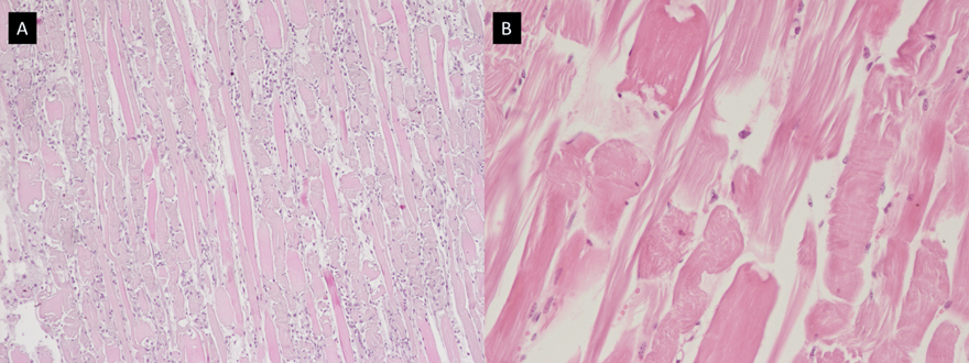
Microscopically, the muscle lesions were characterized by multifocal segmental degeneration and necrosis of muscle fibers (fig. 3. A B). The lesions were monophasic or polyphasic depending on the case. In the most acute cases (1-2 days of evolution), the lesions were of the diffuse monophasic type, while in the cases in which the evolution took longer, the distribution was of the multifocal polyphasic type. The liver presented centrilobular congestion and diffuse vacuolization of hepatocytes. In one case, small areas of focal necrosis were identified.
The epidemiological data of the recorded outbreaks are described in table 1—the date on which they occurred, the category affected, the place where they occurred, the incidence of the outbreak, and the conditions under which the outbreaks occurred.

Creatine phosphokinase (CPK) levels in cattle according to different evolution times. The different letters indicate significant differences between groups.
Senna occidentalis poisoning is a relatively common disease in Brazil and Argentina (Riet Correa et al., 2023). However, due to the wide distribution of the plant, outbreaks are expected to occur in other South American countries as well. Other species of this genus have been associated with poisoning in cattle, such as S. obtusifolia in cattle from Brazil (Carvalho et al., 2014; Furlan et al., 2014) and Senna cobanensis in calves from Costa Rica (Vargas-Muñoz et al., 2023).

A. Histology of skeletal muscle showing segmental degenerative myopathy. A diffuse lesion with swelling, hyalinization, and fragmentation of myofibrils with macrophage infiltration and myoblast proliferation is observed (H&E, 4X). B. Severe fragmentation and hyalinization of muscle fibers with the formation of contraction bands and fibrin floccules (H&E, 20X).
According to the data recorded in Brazil, poisoning by some of the Senna species mentioned above usually occurs in cattle older than one year, in the form of outbreaks, affecting from 2% to 62% of the herd (Carmo et al., 2011; Carvalho et al., 2014; Furlan et al., 2014). The same authors report mortality levels between 5% to 58%. In our work, incidence rates ranged from 1.3 to 28%, with an average value of 7.3 ± 9.2% and lethality of almost 100% in all cases. As mentioned in the literature, the most affected categories included animals older than 1 year (bulls, cows, and heifers) and the presence of affected calves was recorded in only two of the described outbreaks.
All the clinical findings mentioned in this report coincide with those mentioned by other authors (Barros et al., 1990, 1999; Carmo et al., 2011; Furlan et al., 2012; Purisco and Lemos, 2002). The clinical signs were quite unspecific initially. In some cases, and depending on the dose of the plant consumed, the animals died quickly. Pathologically, the most important findings were muscle degeneration and necrosis, present mostly in the forelimb and hind limb regions. These findings are similar to those described in the poisoning by other species of the genus Senna (Furlan et al., 2014; Vargas-Muñoz et al., 2023). As mentioned by several authors, CPK elevation is a relevant and indicative finding for diagnosis (Furlan et al., 2014; Mussart et al., 2013; Purisco and Lemos, 2002) and this result coincides with the findings observed in our study, where mean CPK values were 18948±19230 IU/dL. However, it should be considered that there are variations according to the evolution of each clinical case. For example, it was observed that, during the first 3 days post intoxication, CPK levels were quite high (CPK=36399±14326 IU/dL), and then they fell progressively in the first week (CPK=4979±1287 IU/dL) and continued to do so for the rest of the disease. Although this enzyme remained elevated after 7 days of plant consumption (CPK= 3250±1808 IU/dL), the levels were not high enough to reach a diagnosis, especially in animals that had been lying on the ground for a while. Microscopically, the muscle lesions were characterized by the presence of mono or polyphasic multifocal degeneration according to the evolution of the clinical case (Barros et al., 1990, 1999; Carmo et al., 2011). Ultra-structurally, these lesions consisted mainly of mitochondrial alterations. The mitochondria were usually swollen, with signs of rupture and destruction of the inner membrane ridges and the formation of electrodense inclusions associated with the formation of pseudo-myelinated structures (Barros et al., 1990).
There are still several unanswered questions about the toxic principles of S. occidentalis. Several potentially toxic compounds have been isolated, including an alkaloid, a toxoalbumin, and several anthraquinone derivatives. The latter compounds have been associated with muscle injury (Chileski et al., 2021; Carmo et al., 2011; Haraguchi et al., 1996); however, we cannot be conclusive in this regard. Toxic doses of the plant vary widely among animal species, and it is known that it can have a cumulative effect, as some animals become ill several days after ingesting the plant (Barros et al., 1990; Irigoyen et al., 1991).
According to the data recorded in Rio Grande do Sul, intoxication in grazing cattle is observed in late autumn and early winter, between April and July (Barros et al., 1990; Carmo et al., 2011). In this case, there seem to be two differentiable moments in which poisoning occurs: one at the end of autumn/beginning of winter (May) and the other at the end of winter/beginning of spring, when the plant is resprouting (August, September, and October). Cases occurring in late winter/early spring are less frequent and occur due to seed consumption or plant regrowth in the paddocks. The most important outbreaks occur with the consumption of mature seeded plants, probably because, although all parts of the plant are toxic, the seeds of S. occidentalis are the most toxic part of this species (Carmo, 2011; Chileski et al., 2021; Furlan et al., 2014).
Finally, it is important to note that plant poisonings are an ongoing problem for livestock throughout South America (Riet-Correa et al., 2023). However, despite their impact, the literature on this subject is very restricted and is usually limited to the description of isolated cases. The epidemiological aspects described in this work contribute to the knowledge of S. occidentalis poisoning in northwestern Argentina and may be useful to mitigate the losses caused by this plant. Further studies on this problem in Argentina are needed.

A. Adult Senna occidentalis plant in the fruiting stage. The insert shows the flowers and pods in erect position, which are distinctive for field identification. B. Affected animal in sternal recumbency with normal sensory status and inability to sit up. However, they keep the ability to eat and drink until their death. C. Striated skeletal muscle (triceps brachii) with degeneration and diffuse necrosis with an appearance resembling cooked meat. D. Dark-colored urine resulting from myoglobinuria.

Creatine phosphokinase (CPK) levels in cattle according to different evolution times. The different letters indicate significant differences between groups.

A. Histology of skeletal muscle showing segmental degenerative myopathy. A diffuse lesion with swelling, hyalinization, and fragmentation of myofibrils with macrophage infiltration and myoblast proliferation is observed (H&E, 4X). B. Severe fragmentation and hyalinization of muscle fibers with the formation of contraction bands and fibrin floccules (H&E, 20X).