Artículos
Abstract: Brucella melitensis is the etiological agent of small ruminant brucellosis and abortion is the only noticeable clinical sign in most cases. Vaccination with the attenuated Rev.1 strain is the best option to prevent this clinical manifestation and subsequently control the transmission of the disease. However, colonization of the genital tract in pregnant small ruminants is a common adverse effect observed in this and other brucellosis vaccine strains. Guinea pigs have demonstrated to be an excellent model for testing the immune-protection and efficacy of Rev.1 vaccine, but studies addressing the effects of this vaccine on pregnancy have not been fully explored. The goal of this study was to characterize the effects of subcutaneous inoculation of the B. melitensis Rev.1 on pregnant guinea pigs to evaluate the possibility of establishing a suitable laboratory animal model to test and compare the safety on pregnancy of novel vaccine candidates against small ruminant brucellosis. Mid-term pregnant guinea pigs were inoculated subcutaneously with three different concentrations of the Rev.1 strain and euthanized at late-term gestation (>50 days). Blood samples were taken for sero-response before the pregnant guinea pigs were euthanized, and samples for bacteriology and histopathology were collected during necropsy. The Rev.1 strain was more consistently isolated from the spleen, chorioallantoic placentas and fetal organs of animals inoculated with ≥107 CFU of Rev.1 than from those inoculated with a lower dose. Histological alterations varied from mild to moderate presence of inflammatory cells in the spleen, mammary gland and pregnant uterus. In conclusion, placental colonization and vertical transmission were observed in pregnant guinea pigs after being inoculated subcutaneously at mid gestation with Rev.1, which is similar to what was reported in pregnant small ruminants vaccinated against brucellosis. Therefore, the pregnant guinea pig would be a useful model to initially asses the safety of vaccine candidates in pregnancy and compare them with the currently available commercial vaccine for brucellosis in small ruminants.
Keywords: Brucella melitensis, vaccine, guinea pigs, pregnancy, histopathology, serology.
Resumen: Brucella melitensis es el agente etiológico de la brucelosis de los pequeños rumiantes, y el aborto es el signo clínico destacable. La vacunación con la cepa atenuada Rev.1 es la mejor opción para prevenir esa manifestación clínica y controlar la transmisión de la enfermedad. Sin embargo, la colonización del tracto genital es un efecto adverso que se observa tanto en esta como en otras cepas vacunales de Brucella. Los cobayos han demostrado ser un excelente modelo para evaluar la protección inmune y la eficacia de la vacuna Rev.1, pero no se han llevado a cabo estudios en esta especie para medir la seguridad de la vacuna sobre la preñez. El objetivo de este estudio fue caracterizar los efectos de la inoculación subcutánea (SC) de B. melitensis Rev.1 en cobayas gestantes, con el fin de establecer un modelo animal de laboratorio para evaluar y comparar la seguridad de candidatos vacunales contra la brucelosis de los pequeños rumiantes. Los animales fueron inoculados SC con tres diferentes concentraciones de Rev.1 y sacrificados al final de la gestación (>50 días). Para la necropsia se tomaron muestras para serología, bacteriología e histopatología. La cepa Rev.1 fue aislada de forma más consistente del bazo, membrana corioalantiodea y órganos fetales de aquellos animales inoculados con ≥107 UFC de Rev.1 que de los inoculados con una dosis más baja. Las alteraciones histológicas variaron de leve a moderada la presencia de células inflamatorias en el bazo, glándula mamaria y útero gestante. En conclusión, la colonización placentaria y la transmisión vertical fueron observadas en las cobayas preñadas luego de una inoculación subcutánea a mitad de la gestación, similar a lo observado en pequeños rumiantes vacunados contra la brucelosis. Por lo tanto, el modelo de cobaya gestante podria ser útil para evaluar la seguridad de los candidatos vacunales contra la brucelosis durante la preñez antes de testearlas en los hospedadores naturales.
Palabras clave: Brucella melitensis, vacuna, cobayos, preñez, histopatología, serología.
INTRODUCTION
Brucella melitensis is the etiological agent of small ruminant brucellosis, although under particular epidemiological situations, goats and sheep may act as occasional hosts for other species of the genus Brucella (Rossetti et al., 2022). In addition, B. melitensis-infected flocks are the origin of cattle outbreak of brucellosis in mixed breeding systems (Muendo et al., 2012) and they are responsible for the highest number of human cases due to consumption of unpasteurized milk or milk products, or by direct contact with infected material (Blasco and Molina-Flores, 2011). In spite of being controlled in most first-world countries, the pathogen still produces an extensive negative impact on flocks in low- and middle-income nations, such as the Mediterranean region, the Middle East, Central Asia, Sub-Saharan Africa, and parts of Latin America, where goats and sheep are the major livestock species (Rossetti et al., 2017).
Abortion is the characteristic and perhaps the only noticeable clinical sign of brucellosis in goats and sheep (Rossetti et al., 2022), and vaccination is the best option to prevent and control this clinical manifestation (Blasco, 1997). The virulence-attenuated strain Rev.1, a B. melitensis mutant derived from a streptomycin-dependent variant of the virulent strain 6056 (Herzberg and Elberg, 1953), is the immunogen used worldwide against small ruminant brucellosis. However, due to the affinity that the Brucella species has for pregnant uteri, invasion of the genital tract, fetus colonization and abortion are some of the negative side effects retained by this vaccine strain (Alton, 1987; Jimenez de Bagues et al., 1989). To date, goats and sheep have been the preferred animal models to test the safety of the B. melitensis Rev.1 vaccine on pregnancy (Crowther et al., 1977; Jimenez de Bagues et al., 1989; Zundel et al., 1992; Higgins et al., 2017). Using primary hosts to test vaccine safety allows the direct evaluation of the effects under study, but these trials are costly, time-consuming and present significant challenges, including biosafety concerns and the requirement of valid biocontainment facilities, sometimes with undesirable performance. Because of these issues and ethical concerns associated with experimentation in large mammals, laboratory animal species serve as important tools for conducting brucellosis vaccine trials.
Mice (Mus musculus) are usually the experimental animal model of choice for evaluating the efficacy of the brucellosis vaccine (Darbandi et al., 2022; Grilló et al., 2012), due to their ease of handling, their cheapness (purchase, housing and food), their availability, and the existence of vast literature and specific laboratory protocol and reagents (Carvalho et al., 2016). However, they have not been extensively used to test the safety of brucellosis vaccines on pregnancy, including the Rev.1 strain (Elizalde-Bielsa et al., 2024). Guinea pigs are probably the most susceptible laboratory animal species to Brucella infection (Silva et al., 2011). They show a very high susceptibility to B. melitensis (Braude, 1951; Garcia-Carrillo, 1990), and like the natural hosts, virulent B. melitensis causes abortions when inoculated into pregnant females (Hensel et al., 2020). Guinea pigs have demonstrated to be an excellent model for testing the immunogenicity and efficacy of the Rev.1 anti-B. melitensis vaccine (McCamish and Elberg, 1962; García-Carrillo, 1986; Nicola et al., 2014), but the pregnant guinea pig model has not been explored to address the effects of this vaccine strain on pregnancy. The goal of this study was to asses the effects of subcutaneous (SC) inoculation of the vaccine strain B. melitensis Rev.1 on pregnant guinea pigs to evaluate the possibility of establishing a suitable laboratory animal model, in order to test and compare the safety on pregnancy of vaccine candidates against small ruminant brucellosis before testing them on natural hosts.
MATERIALS AND METHODS
Bacterial strains, media and culture conditions
The B. melitensis Rev.1 strain was obtained from the commercial vaccine (OCUREV®, CZ Vaccines, Pontevedra, Spain), kindly provided by SENASA (Official Veterinary Service of Argentina). The lyophilized strain was reconstituted according to the manufacturer’s instructions and, immediately, 0.1 ml of the suspension was diluted 1:10 in sterile distilled water and cultured in a Brucella agar base (BAB, Laboratorio Britania, Buenos Aires, Argentina) plate. After four days of incubation at 37°C, the bacteria were harvested, washed twice in sterile distilled water, and re-suspended in a frozen solution (sterile trypticase soy broth –TSB– containing 15% glycerol). Subsequently, the stock culture was dispensed in 1.5 ml microtubes and stored at -80ºC until use.
When needed, one vial of the Rev.1 strain stock culture was thawed in water bath at 37ºC and cultured in TSB (Laboratorio Britania) at 37ºC under shaking condition (180 rpm) with loose lids. After 48 h, the culture was harvested and washed in sterile distilled water and re-suspended in sterile phosphate saline solution (PBS, pH 7.2).
The actual number of viable bacterial/ml was retrospectively obtained by serial dilution in PBS and plated onto BAB for quantitation (Castaño-Zubieta et al., 2021). The inoculum was adjusted by dilutions in PBS as appropriate.
Guinea pigs
American short-haired female guinea pigs (Cavia porcellus) bred at the INTA animal facilities, weighing between 550 to 650 g, were used. Animal welfare was determined by daily clinical observation of the guinea pigs, their appetite, environmental interaction, body temperature, respiratory rate and stool consistency. The animals received water ad libitum and were fed with concentrate and fresh vegetables (spinach, chard, carrots, kale). Barnyards were dry-cleaned three times per week. A week after their arrival, the females mated naturally by introducing one male to every three females in a cage for 17 days (one guinea pig estrus cycle).
At late gestation (>50 days), all the experimental female guinea pigs were euthanized by intramuscular application of 0.5 ml of xylazine (2%) (Richmond, Bs. As., Argentina), followed by intracardiac overdose of sodium pentobarbital (Euthanyle; Brouwer, Bs. As., Argentina). Necropsies were performed to collect the uteri for further assessment of bacterial colonization and microscopic observation of the tissues. Blood for serum was recovered from all the experimental animals before euthanasia. All the animal procedures were approved by the Institutional Animal Care and Use Committee (CICUAE) of CICVyA-INTA under approval number 01/2020.
In vivo inoculation
Experimental design
To determine the behavior of Rev.1 strain in pregnant guinea pigs, the animals from groups A, B and C (three pregnant females in each) were inoculated SC between the third and the fifth week of pregnancy (Hensel et al., 2020) with 0.5 ml of inoculum containing 108, 107 and 106 CFU of B. melitensis Rev.1, respectively (table 1). The control animals (group D, n = 3) were simultaneously inoculated SC with 0.5 ml of PBS. The experimental animals were euthanized one week (+/- 5 days) before the estimated day of delivery to avoid bacterial dissemination to the environment. Samples for bacteriological detection and histological observation were collected at necropsy.

Experimental design and pregnancy outcome in each experimental group.
Serology
Five ml of blood for serum were collected from all the experimental animals by intra-cardiac puncture under sedation. Brucella-specific antibodies were determined by buffer plate antigen (BPA) and complement fixation (CF) tests, following international recommendations (Alton et al., 1988; OIE, 2018). Briefly, for BPA test (Rosenbusch, Bs. As., Argentina), positive or negative results were determined by the presence or absence of visible agglutination, respectively. A scale was developed to categorize the degree of agglutination as 1) +++ strong, 2) ++ mild, 3) + weak and 4) – no agglutination. CFT was performed in microtiter plates (U bottom) as previously described (Foster et al., 2022). A hemolytic reaction of 50% or less at a dilution of 1:4 was considered as the minimum seropositive threshold (i.e., ≥ 20IU/ml).
Bacteriology
At necropsy, samples were taken from the spleen, mammary gland fluid, chorioallantoic placenta, amniotic fluid, and from the spleen, liver, lung and stomach content of the fetuses. For processing, one gram of the mother’s spleen, the chorioallantoic placenta, and the liver of the fetus were used; the fetal spleen and the diaphragmatic lobe of the right fetal lung were placed in sterile bags and mechanically homogenized until complete tissue disaggregation. Then, 1 ml of sterile distilled water was added, mixed and placed in a 1.5 ml microtube. One hundred µl of the suspension were cultured on a Farrell’s media plate for CFU counting. Simultaneously, a culture swab imbibed with mammary gland content, amniotic liquid and fetal stomach fluid were cultured in Farrell’s media by dissemination. All plates were observed daily until colonies appeared, and were maintained at 37ºC for up to 10 days if there was no colony growth. The mothers’ spleens were weighed immediately after recovery and before sampling. The following scale was used for evaluating the number of CFU / g of tissue or culture swab: - (negative, no growth), + (1-30 CFU), ++ (31-300 CFU) and +++ (>300 CFU).
Morphological analysis
To assess the histologic changes associated with the inoculation of Rev.1 in pregnant guinea pigs, samples from the mothers’ spleens, uteri, mammary glands, chorioallantoic placentas, and from the fetuses’ left lungs, spleens and livers were taken at necropsy. The tissues were fixed in 10% neutral buffered formalin and were then routinely processed and embedded in paraffin, sectioned at 5 m, stained with hematoxylin and eosin (H&E), and examined with light microscopy.
Statistical analysis
The CFU (logarithmic transformed) and spleen weight data were subjected to two-way and one-way analysis of variance (ANOVA), respectively. The statistical analyses were performed using the GraphPad Prism 6.0 software (San Diego, CA, USA) and P values < 0.05 were considered significant.
RESULTS
Clinical findings and pregnancy outcome
No adverse side effects were observed after the inoculation of Rev.1 during the course of the study, such as changes in behavior, loss of body weight, or local inflammation in response to the injection in any of the concentrations inoculated. With the exception of a guinea pig inoculated with 108 CFU of B. melitensis Rev.1 that aborted 21 days p.i., all the other pregnant guinea pigs were euthanized one week before the estimated day of delivery to avoid bacterial dissemination to the environment. The number of gestations was from 1 to 5, with a crown to rump length of 9 to 14 cm (table 1). The length and general features of the intra utero fetuses (same gestation) were uniform, which indicates that no in utero fetal death had occurred up to the time of euthanasia.
Serological responses in pregnant guinea pigs
The agglutination test (BPA) results showed that all the treated guinea pigs presented a strong agglutination reaction, except for one animal inoculated with 106 CFU of Rev.1 that presented a mild agglutination reaction (table 2). When the serum samples were analyzed by CFT, the guinea pigs inoculated with 108 (group A) and 107 CFU (group B) of Rev.1 showed a level of 1,000 international units per ml of complement fixation (CFIU/ml). In group C (106 CFU), 2 animals presented 31 CFIU and the other animal was negative (<20 CFUI/ml). The control animals were all negative to both serological tests (table 2). Taken together, these results would indicate that the lower the dose of the inoculum, the longer the time required for a strong humoral immune response.

Anti-Brucella immune response in serum samples of pregnant guinea pigs immunized with B. melitensis Rev.1, or inoculated with PBS (controls), determined by buffered plate antigen (BPA) and complement fixation test (CFT), 4 weeks post inoculation. For BPA: +++ = strong, ++ = mild, + = weak, and – no agglutination. CFT positive ≥ 20 international units per ml (IU/ml).
Bacteriological and histopathological analysis of tissues from pregnant guinea pigs
The B. melitensis Rev.1 was isolated from the spleen of all the treated guinea pigs, in direct relationship between the concentration of the inoculum and the number of CFU isolated, i.e., the higher the inoculum concentration, the higher the number of CFU of Rev.1 isolated from spleens (group A > group B > group C) (table 3). As expected, no Brucella was isolated from the spleens of the control animals.
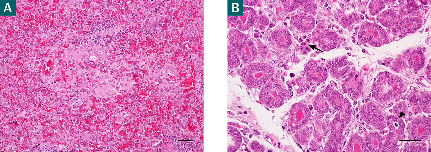
Weight gain and spleen enlargement were observed randomly in inoculated animals, and there was no significant difference among the average spleen weight in the inoculated groups, regardless of the inoculum concentration used (108 = 1.92 g, 107 = 2.09 g, and 106 =2.08 g; P > 0.05; table 3). In contrast, the average spleen weight of the control group was 1.43 g, but the moderate differences with the average spleen weight of the inoculated groups were not significant (P > 0.05). Histological images of spleens from pregnant guinea pigs inoculated with Rev.1 four weeks p.i. were characterized by a mild to moderate inflammatory infiltrate in the red pulp of histiocytes and epithelioid macrophages with fewer lymphoplasmacytic cells and congestion (figure 1 A). Uninfected controls had no histologic lesions in spleens. The degrees of histological alterations in the spleen did not correlate with the inoculum concentration, spleen bacterial load (CFU count) or spleen weight (table 3). In addition to enlargement, the only grossly visible alteration in spleens was a superficial abscess in a single animal inoculated with 106 CFU of Rev.1.
The Rev.1 strain was also isolated in three (one from group A –A2- and two from group C –C1 and C3-) out of 7 samples processed from the treated animals (two samples from the treated animals were not processed), in concentration of <30 CFU / culture swab (table 4). The samples from PBS-inoculated guinea pigs were negative. The low level of colonization of the mammary gland correlates with a mild interstitial infiltration of histiocytic and plasmatic cells, regardless of the concentration of the inoculum (figure 1 B). Neutrophils were observed in the lumen of the acinus in few samples (figure 1 B). The mammary gland samples from the control group presented no lesions.
These results showed that Rev.1 has the ability to colonize and develop histopathological changes in the spleen and mammary gland of pregnant guinea pigs.

Absolute and average (±SD) weight, number of CFU isolated and microscopic lesions of spleens of pregnant guinea pigs inoculated SC with 3 different doses of B. melitensis Rev.1. To assess the number of CFU isolated / g of spleen, the following scale was used: - (negative, no growth), + (1-30 CFU), ++ (31-300 CFU) and +++ (>300 CFU). No significant differences were observed in spleen weight between groups (P > 0.05).

Outstanding histological images observed in spleens and mammary glands of pregnant guinea pigs SC inoculated with B. melitensis Rev.1, four weeks p.i. (A) Infiltration of epithelioid macrophages in the red pulp of spleen (H&E, 20x, bar = 100μm); (B) Moderate number of neutrophils in the interstitium (arrow) and in the lumen of the acinus (arrowhead) of the mammary gland (H&E, 40x, bar = 50μm).
Placenta invasion and vertical transmission
Rev.1 colonized chorioallantoic placentas after its inoculation in pregnant guinea pigs, although at different levels according to the inoculum concentration. Thus, all the placentas from pregnant guinea pigs inoculated with 107 and 108 CFU of Rev.1 were colonized. Contrary, only two out of three placentas of the guinea pigs inoculated with 106 were colonized, although at lower concentrations (table 4). Concordantly, the B. melitensis Rev.1 was isolated from most of the amniotic fluid of those allantoic sacs in which Brucella was isolated from the placenta. No Rev.1 isolation was reported from placentas o amniotic fluid in PBS inoculated group (table 4).
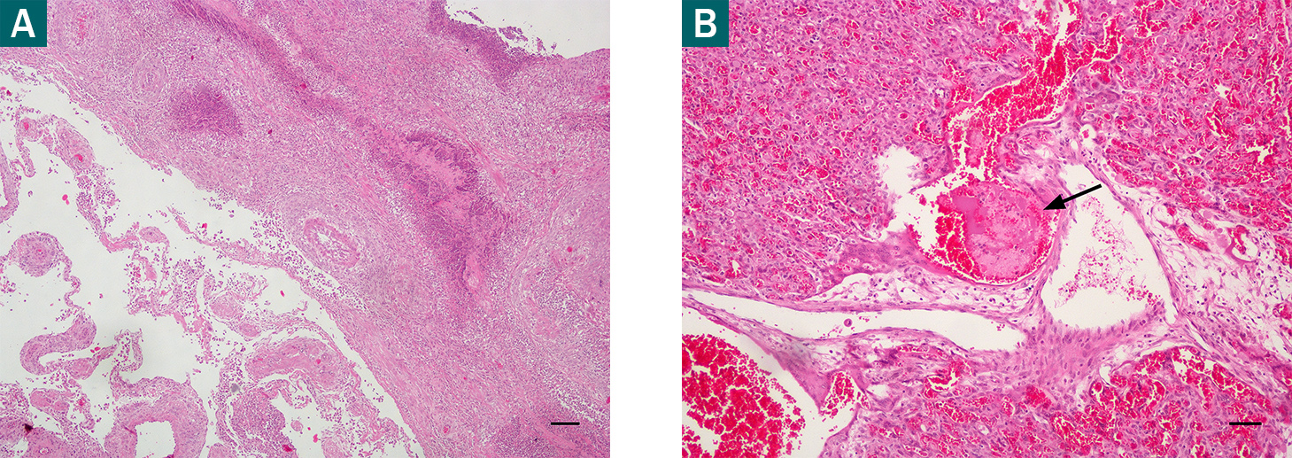
The histopathological analysis of the pregnant uteri indicated that, with one exception, all of the guinea pigs inoculated with the B. melitensis Rev.1, regardless of the inoculum concentration received, presented mild endometritis and myometritis with the presence of inflammatory cells, mainly histiocytes and lymphocytes. The exception was a pregnant guinea pig inoculated with 107 CFU of Rev.1 (B3) which had severe myometritis, characterized by intense neutrophils, lymphocytes and macrophages infiltration (figure 2 A). Regarding the placenta, no lesions were observed in any of the Rev.1 or PBS inoculated guinea pig, with the exception of the placenta of the guinea pig with severe endometritis and myometritis (B3), which presented focuses of coagulative necrosis and arterial thrombi (figure 2 B).
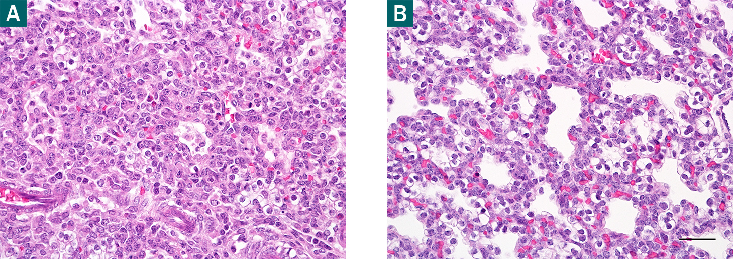
Vertical transmission is the ability of a pathogen to colonize the fetus from an infected mother via transplacental route. This study showed that the Rev.1 strain is able to cross the placenta and infect the fetuses, being the number of infected gestations directly related to the inoculum concentration (table 4). The B. melitensis Rev.1 was randomly isolated from the lung, liver, spleen and abomasum content of the fetuses from inoculated groups, but not from the tissue samples processed from control animals. No gross or histologic lesions were detected in any of the fetal tissues examined (lungs, livers and spleens) in any group, except for a mononuclear cells infiltration in the lung interstitium in a fetus whose mother was inoculated with 106 CFU of B. melitensis Rev.1 (figure 3).

Number of CFU isolated from mammary gland, placenta, amniotic fluid or fetus tissues samples taken from pregnant guinea pigs inoculated SC with 3 different doses of B. melitensis Rev.1. To assess the number of CFU isolated / g of tissue (mammary gland, placenta, spleen, liver, lung) or culture swab (amniotic and stomach fluid), the following scale was used: - (negative, no growth), + (1-30 UFC), ++ (31-300 UFC) and +++ (>300 UFC). The positive results indicate that at least one of the samples analyzed was positive for isolation. NP = not processed.

Highlighted microscopic images in uterus and placentas of pregnant guinea pigs SC inoculated with B. melitensis Rev.1, four weeks p.i. (A) Severe endometritis and myometritis characterized by intense neutrophils, lymphocytes and macrophages infiltration, and necrotic focus in the myometrium (H&E, 4x, bar = 250μm); (B) Thrombus in placental artery (arrow) (H&E, 10x, bar = 100μm).

Histological images of post-mortem processed lung fetus. (A) Mononuclear cells infiltration into the lung interstitium of a fetus whose mother had been inoculated with B. melitensis Rev.1 during pregnancy; (B) Lung of fetal guinea pig from control group (H&E, 40x, bar = 50μm).
DISCUSSION
In this study, we demonstrated that Rev.1 inoculated SC in guinea pigs at midterm gestation induces a humoral immune response, while invading and colonizing the placenta, mammary gland and fetuses via vertical transmission, which is similar to that observed in pregnant natural hosts inoculated with this vaccine (Jimenez de Bagues et al., 1989; Higgins et al., 2017). The susceptibility of pregnant guinea pigs to Brucella strains was initially demonstrated for B. abortus infection after parenteral inoculation (Bosseray and Diaz, 1974; Samartino et al., 1994) and, more recently, to B. melitensis via intratracheal challenge (Hensel et al., 2020). Likewise, the abortifacient capacity of B. abortus vaccine strains such as S19 and RB51 (Thomas et al., 1981; Yazdi et al., 2009) was also observed in 33% of the pregnant guinea pigs after being inoculated SC with 1x1011 CFU of each strain (Samartino et al., 1996a). This would be the first time that the safety of Rev.1 has been evaluated in pregnant guinea pigs. Abortion, the main adverse effect after Rev.1 immunization, was not observed in this trial, with the exception of one animal, most probably because the assay was finalized early to avoid environmental dissemination of Brucella.
In control and eradication programs of brucellosis in small ruminants, the Rev.1 is inoculated by conjunctival instillation to a concentration of 1-2x109 CFU. Ocular instillation not only confers similar immune protection than that induced by subcutaneous vaccination, but also reduces some of the disadvantages that occur when the vaccine is administered subcutaneously (Blasco and Molina-Flores, 2011). In any case, in this trial, the inoculum was administered SC because it is the preferable route for practical purposes and favors the comparison with other vaccines against brucellosis since it is the route initially chosen when novel vaccine developments are tested (Carvalho et al., 2016). Regarding the concentration of the inoculum, three different doses were tested. The doses chosen to evaluate the clinical and pathological consequences in guinea pigs pregnancy were 108, 107 and 106 CFU of B. melitensis Rev.1, which are 1/10, 1/100 and 1/1,000 of that used in vaccination campaigns against brucellosis in small ruminants, respectively. It is broadly known that the official dose of the vaccine generates an abortion outbreak when goats and ewes are immunized between the second and fourth month of gestation (Jimenez de Bagues et al., 1989; Blasco, 1997). Thus the 107 CFU dose maintains the CFU vaccine / live weight ratio between the target population of the vaccine and the laboratory animal species tested (109 CFU / 60 to 80 kg -small ruminants- vs. 107 CFU / 0.6-0.8 kg ―guinea pigs―). In addition, 106 and 107 CFU of Rev.1 have showed to be protective against challenge with virulent Brucella in guinea pigs without adverse effects (García-Carrillo, 1986; Nicola et al., 2014), and 106 has been indicated as a recommended dose for Rev.1 vaccine potency test assays in guinea pigs (Alton, 1990). A dose higher than those used in this study (109 CFU) had been similar to that used to vaccinate small ruminants and, consequently, it would have colonized the genital tract and generated an abortion outbreak in the inoculated guinea pigs. Conversely, a lower initial concentration of Rev.1 (≤ 105 CFU) may not have enough time to reach a critical number to infect and colonize the genital tract (Alton, 1969).
Contrary to what have been reported by McCamish and Elberg (1962), no clinical evidence of adverse vaccine reaction was observed in guinea pigs following subcutaneous immunization with Rev.1, including local inflammation at the site of inoculation, loss of appetite or lethargy. The length and general characteristics of fetuses from the same gestation were not affected either. The differences in the length of the fetuses between different pregnancies could be due to the different gestational ages at the time of euthanasia, since the estrus was not synchronized and, therefore, some females became pregnant earlier than others, or by the number of fetus/pregnancy since, the greater the number of fetus, the smaller the size of each fetus.
The humoral immune response elicited by Rev.1 in pregnant guinea pigs 4 weeks p.i. was found to be consistent with that observed in the same animal species as well as in natural hosts by other reports. In those publications, the highest level of humoral immune response was reached between 14 and 45 days p.i. (McCamish and Elberg, 1962; Alton, 1969; Fensterbank et al., 1985; Castaño-Zubieta et al., 2021) even with lower doses of Rev.1. In the study reported here, the animals immunized with the lowest dose (group C; 106) had the lowest humoral immune response, with a medium to high agglutinating response, and low or no complement activation activity. The low level of anti-Brucella specific antibodies in animals inoculated with a lower inoculum concentration was most probably due to the delay in the initial immune response that did not occur until the bacteria had reached a critical number at the site of infection necessary to spread.
After bacteremia, Brucella remains in cells of the reticuloendothelial system (RES) and induces splenomegaly in human and laboratory animal models due to an inflammatory response (Grilló et al., 2012). Based on that, many authors suggest that spleen enlargement and weight increase is a good indicator for brucellosis infection and it may replace bacteriology in experimental animal models (Braude and Spink, 1951; Thornton and Muskett, 1972; Garcia-Carrillo and Trenchi, 1974; Nicola et al., 2014). In this study, weight gain and spleen enlargement were randomly observed in the inoculated animals (table 3), and there was no significant difference between the mean spleen weights in the inoculated and control groups. Previous publications reported that the basal size and weight of the guinea pigs’ spleens show great variability (Garcia-Carrillo, 1977) and vary in animals inoculated with Rev.1 (McCamish and Elberg, 1962; Alton et al., 1988) or virulent strains (Braude, 1951). Accordingly, but difficult to explain, in this study, a large dispersion was observed in the weight of the spleens of two animals inoculated with 107 CFU of Rev.1 (group B) in comparison with the weight of the spleens of the other inoculated animals (table 3). Interestingly, these two spleens were lighter than the spleens of the control animals (group D), even when the Rev.1 was re-isolated and the histological lesions were observed. Histological images of all the spleens of the guinea pigs inoculated with Rev.1 were characterized by a mild to moderate inflammatory cells infiltration of the red pulp, which was comparable to images informed by others in similar circumstances (McCamish and Elberg, 1962), but less severe than the histologic appearance of the spleens infected with virulent B. melitensis strains (Braude, 1951; Hensel et al., 2019).
It is well documented that the attraction of Brucella to placentas increases during the late stage of gestation (Samartino and Enright, 1996b), which is consistent with the abortions in the last trimester of pregnancy. However, placental colonization and vertical transmission are not always linked to abortion (Tobias et al., 1993; Hensel et al., 2020); that is more related to the moment of pregnancy, the inoculum concentration and the passage of time after inoculation. In goats and sheep, Rev.1 induces abortion 40 to 60 days after vaccination and when it is inoculated between the second and fourth month of gestation (Blasco, 1997). The trophoblasts are probably not mature enough to allow intracellular growth of Rev.1 during the first month of pregnancy; and, when inoculated in the last month, the strain does not have sufficient time to colonize the placenta and induce abortion. In this study, pregnant guinea pigs were inoculated at mid-term gestation (20-35 days of pregnancy), a period in which the placenta of this animal species had previously been shown to be permissive of colonization and, therefore, susceptible to abortion by brucellae (Samartino et al., 1996a; Hensel et al., 2020). Even when no abortions were observed, except in one experimental animal inoculated with 108 CFU of Rev.1 (group A), the strain colonized the chorioallantoic placenta and was able to cross it. The lack of abortions, as well as the absence of lesions in the placenta and fetal organs, that are observed in goats and sheep immunized with Rev.1 (Jimenez de Bagues et al., 1989; Mazlan et al., 2021), can be mainly attributed to the experimental animals being euthanized 5 to 13 days before the estimated date of delivery. These differences in the gestational age may have affected the degree of susceptibility to Brucella infection and, consequently, the number of colonized fetal tissues or the isolated burden (table 4), as was also noted in other publications (Bosseray and Diaz, 1974). In addition, the lower level and number of colonized placentas and fetuses in animals inoculated with 106 CFU of Rev.1 (group C) could be because, the lower the concentration of the inoculum, the longer it takes to establish an infection with clinical consequences (Alton, 1969).
Brucella spp. also has an affinity for udders It is eliminated through milk or colostrum, with consequences such as environmental contamination and potential risk of infection of dairy workers, consumers of unpasteurized dairy products and other susceptible animals residing in the same area, as well as vertical transmission to litters (Meador et al., 1989). Therefore, the potential shedding of the vaccine strain in milk and colostrum is an important parameter that needs to be evaluated with caution during Brucella vaccine developments. In this study, we demonstrated that Rev.1 can be present in colostrum and potentially be excreted. These data are in concordance with previous reports in which they isolated Rev.1 in milk or colostrum of small ruminants after being vaccinated during pregnancy (Jimenez de Bagues et al., 1989; Higgins et al., 2017). The low number of mammary glands in which Rev.1 was detected (3 out of 7 samples processed; 43%) may be due to the few samples tested (7 samples), the small sample size (one culture swab / sample), because Brucella spreads intermittently from each mammary gland (Morgan and McDiarmid, 1960), or all of the above. In any case, this study showed that B. melitensis Rev.1 is able to colonize the mammary glands of the guinea pig.
In conclusion, the mid-term pregnant guinea pigs inoculated subcutaneously with B. melitensis Rev.1 reproduced the undesirable side effects reported in pregnant small ruminants immunized with this vaccine strain, such as placental colonization, vertical transmission and affinity for udders. This model may be useful as a hypothesis-driven model to assess the safety of the modifications in Rev.1 formulation or dose concentration in pregnancy before testing them in natural hosts. Furthermore, it could eventually be extended to initially evaluate and compare the safety and vertical transmission of new brucellosis vaccine candidates in pregnant animals.
CONFLICT OF INTEREST
The authors declare that they have no conflict of interest.
Acknowledgments
ACKNOWLEDGMENTS
The authors would like to thank Mrs. Claudia Moreno and Mrs. Gladys Francinelli (IP-IPVET) for their technical assistance. This study was funded by INTA (Instituto Nacional de Tecnología Agropecuaria), Grant 2019-PD-E5-I102-001.
REFERENCES
ALTON, G.G. 1969. Vaccination of guinea-pigs with rev. I Brucella melitensis vaccine. The response to very large and very small doses. Research Veterinary Science 10, 326-328.
ALTON, G.G. 1987. Control of Brucella melitensis infection in sheep and goats-a review. Tropical Animal Health Production 19, 65-74. doi:10.1007/bf02297320
ALTON, G.; JONES, L.; ANGUS, R.; VERGER, J. 1988. Techniques for the brucellosis laboratory, third. ed. INRA, Paris, France.
ALTON, G.G. 1990. Brucella melitensis. Animal Brucellosis. CRC Press Inc., 383-409.
BLASCO, J.M. 1997. A review of the use of B. melitensis Rev 1 vaccine in adult sheep and goats. Preventive Veteterinary Medicine 31, 275-283. doi:10.1016/s0167-5877(96)01110-5
BLASCO, J.M.; MOLINA-FLORES, B. 2011. Control and Eradication of Brucella melitensis Infection in Sheep and Goats. Veterinary Clinics North America Food Animal Practice 27, 95-104. doi:10.1016/j.cvfa.2010.10.003
Bosseray, N.; Diaz, R. 1974. Brucellose congénitale du cobaye. Annales Recherche Veterinaire 5, 147-153.
BRAUDE, A.I. 1951. Studies in the pathology and pathogenesis of experimental brucellosis. I. A comparison of the pathogenicity of Brucella abortus, Brucella melitensis, and Brucella suis for guinea pigs. Journal Infectious Disease 89, 76-86. doi:10.1093/infdis/89.1.76
BRAUDE, A.I.; SPINK, W.W. 1951. Studies in the pathology and pathogenesis of experimental brucellosis. iii. Investigations pertaining to the function of the spleen. Journal Infectious Disease 89, 272-276. doi:10.1093/infdis/89.3.272
CARVALHO, T.F.; HADDAD, J.P.A.; PAIXÃO, T.A.; SANTOS, R.L. 2016. Meta-Analysis and Advancement of Brucellosis Vaccinology. PLoS One 11, e0166582. doi:10.1371/journal.pone.0166582
CASTAÑO-ZUBIETA, M.R.; ROSSETTI, C.A.; MAURIZIO, E.; HENSEL, M.E.; ARENAS-GAMBOA, Á.M. 2021. Evaluation of the safety profile of the vaccine candidate Brucella melitensis 16MΔvjbR strain in goats. Vaccine 39, 617-625. doi:10.1016/j.vaccine.2020.11.033
CROWTHER, R.W.; ORPHANIDES, A.; POLYDOROU, K. 1977. Vaccination of adult sheep with reduced doses of Brucella melitensis strain Rev.1: Safety and serological responses. Tropical Animal Health Production 9, 85-91. doi:10.1007/BF02236385
Darbandi, A.; Alamdary, S.Z.; Koupaei, M.; Ghanavati, R.; Heidary, M.; Talebi, M. 2022. Evaluation of immune responses to Brucella vaccines in mouse models: A systematic review. Frontiers Veterinary Science 9:903890. doi:10.3389/fvets.2022.903890
ELIZALDE-BIELSA, A.; MUÑOZ, P.M.; ZUNIGA-RIPA, A.; CONDE-ALVAREZ, R. 2024. Review on the methodology and use of the pregnant mouse model in the study of Brucella reproductive pathogenesis and its abortifacient effect. Microorganisms 12, 866. doi.org/10.3390/ microorganisms12050866
FENSTERBANK, R.; PARDON, P.; MARLY, J. 1985. Vaccination of ewes by a single conjunctival administration of Brucella melitensis Rev. 1 vaccine. Annales Recherche Veterinaire 16, 351-356.
FOSTER, C.N.; ROSSI, U.A.; ZUBIETA, M.R.C.; VANZINI, V.; ROSSETTI, C.A. 2022. Evaluation of B. melitensis whole-cell lysate antigen-based indirect ELISA for the serodiagnosis of caprine brucellosis. Research Veterinary Science 147, 1-6. doi:10.1016/j.rvsc.2022.03.015
GARCÍA-CARRILLO, C.; TRENCHI, A. 1974. Estudio comparativo de la inmunidad conferida a cobayos por varios tipos de vacunas antibrucelicas. Revista Medicina Veterinaria (Bs. As.) 55, 381-394.
GARCÍA-CARRILLO, C. 1977. Relationship between bodyweight and spleen size in guinea-pigs. Laboratory Animals 11, 175-180.
GARCÍA-CARRILLO, C. 1986. Comparison of immunity produced by B. melitensis Rev. 1 and B. abortus strain 19 in guinea pigs challenged a month nd a year after vaccination. Zentralblatt fur Vet. R. B. Journal Veterinary Medicine B 33, 231-236.
GARCÍA-CARRILLO, C. 1990. Laboratory animal models for brucellosis studies. In: NIELSEN, K.; DUNCAN, J.R. (Eds.). Animal Brucellosis. CRC Press, Inc, Boca Raton, Florida, USA, 423-442 pp.
GRILLÓ, M.J.; BLASCO, J.M.; GORVEL, J.P.; MORIYÓN, I.; MORENO, E. 2012. What have we learned from brucellosis in the mouse model? Veterinary Research 43, 29. doi:10.1186/1297-9716-43-29
HENSEL, M.E.; GARCIA-GONZALEZ, D.G.; CHAKI, S.P.; SAMUEL, J.; ARENAS-GAMBOA, A.M. 2019. Characterization of an intratracheal aerosol challenge model of Brucella melitensis in guinea pigs. PLoS One 14, e0212457. doi:10.1371/journal.pone.0212457
HENSEL, M.E.; CHAKI, S.P.; STRANAHAN, L.; GREGORY, A.E.; VAN SCHAIK, E.J.; GARCIA-GONZALEZ, D.G.; KHALAF, O.; SAMUEL, J.E.; ARENAS-GAMBOA, A.M.; 2020. Intratracheal Inoculation with Brucella melitensis in the Pregnant Guinea Pig Is an Improved Model for Reproductive Pathogenesis and Vaccine Studies. Infection Immunity 88. doi:10.1128/IAI.00204-20
HERZBERG, M.; ELBERG, S. 1953. Immunization against brucella infection. i. Isolation and characterization of a streptomycin-dependent mutant. Journal Bacteriology 66, 585-599. doi:10.1128/jb.66.5.585-599.1953
HIGGINS, J.L.; GONZALEZ-JUARRERO, M.; BOWEN, R.A. 2017. Evaluation of shedding, tissue burdens, and humoral immune response in goats after experimental challenge with the virulent Brucella melitensis strain 16M and the reduced virulence vaccine strain Rev. 1. PLoS One 12, e0185823. doi:10.1371/journal.pone.0185823
JIMENEZ DE BAGUES, M.P.; MARIN, C.M.; BARBERAN, M.; BLASCO, J.M. 1989. Responses of ewes to B. melitensis Rev1 vaccine administered by subcutaneous or conjunctival routes at different stages of pregnancy. Annales Recherche Veterinaire 20, 205-213.
MAZLAN, M.; KHAIRANI-BEJO, S.; HAMZAH, H.; NASRUDDIN, N.S.; SALLEH, A.; ZAMRI-SAAD, M. 2021. Pathological changes, distribution and detection of Brucella melitensis in foetuses of experimentally-infected does. Veterinary Quarterly 41, 36-49. doi:10.1080/01652176.2020.1867328
MCCAMISH, J.; ELBERG, S.S. 1962. Immunization Against Brucella Infection: ix. The Response of the Guinea Pig to the Immunizing Strain (Rev. 1) of Brucella melitensis. American Journal Pathology 40, 77-93.
MEADOR, V.P.; DEYOE, B.L.; CHEVILLE, N.F. 1989. Pathogenesis of Brucella abortus infection of the mammary gland and supramammary lymph node of the goat. Veterinary Pathology 26, 357-368. doi:10.1177/030098588902600501
MORGAN, W.; MCDIARMID, A. 1960. The excretion of B. abortus in the milk of experimentally infected cattle. Research Veterinary Science 1, 53-56.
MUENDO, E.N.; MBATHA, P.M.; MACHARIA, J.; ABDOEL, T.H.; JANSZEN, P.V.; PASTOOR, R.; SMITS, H.L. 2012. Infection of cattle in Kenya with Brucella abortus biovar 3 and Brucella melitensis biovar 1 genotypes. Tropical Animal Health Production 44, 17-20. doi:10.1007/s11250-011-9899-9
NICOLA, A.; BAGNAT, E.; MANETTI, J.; ELENA, S.; FRANCO, C.; ROMO, A.; REGULIER, A.; ZYLBERMAN, V.; GOLDBAUM, F.A.; GHERSI, G.; PARDO, R. 2014. Guinea pig (Cavia porcellus) a model for the preliminary assessment of the efficacy of anti-Brucella vaccines. Brucellosis International Research Conference. Federal Institute for Risk Assessment, Berlin, Germany, 98 p.
OIE. 2018. Brucellosis (Brucella abortus, B. melitensis and B. suis). In: OIE. (Ed.). OIE Terrestrial Manual. Paris, France. 355-398 pp.
ROSSETTI, C.A.; ARENAS-GAMBOA, A.M.; MAURIZIO, E. 2017. Caprine brucellosis: A historically neglected disease with significant impact on public health. PLoS Neglected Tropical Disease 11, e0005692. doi:10.1371/journal.pntd.0005692
ROSSETTI, C.A.; MAURIZIO, E.; ROSSI, U.A. 2022. Comparative Review of Brucellosis in Small Domestic Ruminants. Frontiers Veterinary Science 9, 887671. doi:10.3389/fvets.2022.887671
SAMARTINO, L.E.; ROSSETTI, C.A.; CRAVERO, S.; ROSSETTI, O. 1994. Determinacion de dosis infectantes de Brucella abortus en cobayas gestantes. xiv Congreso Panamericano de Cs. Veterinarias ―PanVet―. Acapulco, Mexico. 158 p.
SAMARTINO, L.E.; ROSSETTI, C.A.; GREGORET, R. 1996a. Evaluacion de la cepa RB51 de Brucella abortus en cobayos. Transmisibilidad, inducción de títulos serológicos, protección contra el aborto y la infección. Revista Medicina Veterinaria (Bs. As.) 77, 86-90.
SAMARTINO, L.E.; ENRIGHT, F.M. 1996b. Brucella abortus differs in the multiplication within bovine chorioallantoic membrane explants from early and late gestation. Comparative Immunology Microbiology Infectious Diseases 19, 55-63. doi:10.1016/0147-9571(95)00018-6
SILVA, T.M.A.; COSTA, E.A.; PAIXÃO, T.A.; TSOLIS, R.M.; SANTOS, R.L. 2011. Laboratory animal models for brucellosis research. Journal Biomedical Biotechnology 2011, 518323. doi:10.1155/2011/518323
THOMAS, E.L.; BRACEWELL, C.D.; CORBEL, M.J. 1981. Characterisation of Brucella abortus strain 19 cultures isolated from vaccinated cattle. Veterinary Record 108, 90-93. doi:10.1136/vr.108.5.90
THORNTON, D.H.; MUSKETT, J.C. 1972. The use of laboratory animals in the potency test of Brucella abortus S.19 vaccine. Response of guinea-pigs to graduated doses of vaccine and challenge. Journal Comparative Pathology 82, 201-208. doi:10.1016/0021-9975(72)90064-3
TOBIAS, L.; CORDES, D.O.; SCHURIG, G.G. 1993. Placental pathology of the pregnant mouse inoculated with Brucella abortus strain 2308. Veterinary Pathology 30, 119-129. doi:10.1177/030098589303000204
YAZDI, H.S.; KAFI, M.; HAGHKHAH, M.; TAMADON, A.; BEHROOZIKHAH, A.M.; GHANE, M. 2009. Abortions in pregnant dairy cows after vaccination with Brucella abortus strain RB51. Veterinary Record 165, 570-571. doi:10.1136/vr.165.19.570
ZUNDEL, E.; VERGER, J.M.; GRAYON, M.; MICHEL, R. 1992. Conjunctival vaccination of pregnant ewes and goats with Brucella melitensis Rev 1 vaccine: safety and serological responses. Annales Recherche Veterinaire 23, 177-188.