Reporte de caso
Enfermedad de Creutzfeldt-Jakob. Presentación de un caso y revisión de la literatura
Creutzfeldt-Jakob Disease. Case Report and Literature Review
Doença de Creutzfeldt-Jakob. Apresentação de caso e revisão da literatura
Enfermedad de Creutzfeldt-Jakob. Presentación de un caso y revisión de la literatura
Revista Med, vol. 27, núm. 2, pp. 103-111, 2019
Universidad Militar Nueva Granada. Facultad de Medicina
Recepción: 10 Noviembre 2018
Aprobación: 28 Julio 2019
DOI: 10.18359/rmed.3759
Resumen: La enfermedad de Creutzfeldt-Jakob (ECJ) es una patología neurodegenerativa transmisible, producida por una proteína anómala infectante denominada prion. Junto con el kuru, el insomnio familiar fatal y el síndrome de Gerstmann-Stráussler-Scheinker, configura el grupo de las llamadas encefalopatías espongiformes. La ECJ es la forma más común en el ser humano: se calcula que afecta a una persona por cada millón, a nivel mundial, y la mayoría de los pacientes presenta síntomas clásicos de demencia y mioclonías, asociadas a cambios específicos en el electroencefalograma (EEG). Conforme la enfermedad progresa, el cuadro demencial empeora y pueden presentarse síntomas visuales, cerebelosos, piramidales y extrapiramidales. El diagnóstico definitivo se logra demostrando la degeneración espongiforme de las neuronas en histopatología. La ECJ siempre es mortal y no tiene tratamiento específico: cerca del 90% de los pacientes fallece dentro del primer año después del diagnóstico. En este artículo, se reporta el caso de un paciente con ECJ esporádica probable, de acuerdo con los criterios diagnósticos actuales de la OMS y se da a conocer una revisión de la literatura.
Palabras clave: prion, Creutzfeldt-Jakob, encefalopatía espongiforme, demencia, mioclonía.
Abstract: Creutzfeldt-Jakob disease (CJD) is a transmissible neurodegenerative pathology produced by an infecting abnormal protein called prion. Together with kuru, fatal familial insomnia, and Gerstmann-Stráussler-Scheinker syndrome, it forms the group of so-called spongiform encephalopathies. CJD is the most common form in humans: it is estimated to affect one person per million worldwide and most patients have classic symptoms of dementia and myoclonus, associated with specific changes in the electroencephalogram (EEG). As the disease progresses, the dementia condition worsens and visual, cerebellar, pyramidal, and extrapyramidal symptoms may develop. The final diagnosis is achieved by proving the spongiform degeneration of neurons in the histopathology. CJD is always fatal and has no specific treatment: about 90 % of patients die within the first year of diagnosis. This article reports the case of a patient with probable sporadic CJD, following current who diagnostic criteria, and provides a literature review.
Keywords: Prion, Creutzfeldt-Jakob, spongiform encephalopathy, dementia, myoclonus.
Resumo: A doença de Creutzfeldt-Jakob (DCJ) é uma doença patologia neurodegenerativa transmissível, produzida por uma proteína anormal infectante denominada prion. Juntamente com o kuru, a Insónia familiar fatal e a síndrome de Gerstmann-Stráussler-Scheinker, forma o grupo das chamadas encefalopatias espongiformes. A DCJ é a forma mais comum em humanos: estima-se que ela afete uma em cada um milhão de pessoas em todo o mundo, e a maioria dos pacientes apresenta sintomas clássicos de demência e mioclonia, associados a alterações específicas no eletroencefalograma (EEG). À medida que a doença progride, o quadro de demência piora e podem surgir sintomas visuais, ce-rebelares, piramidais e extrapiramidais. O diagnóstico definitivo é obtido por meio da demonstração da degeneração espongiforme dos neurónios na histopatologia. A dcj é sempre fatal e não possui tratamento específico: cerca de 90% dos pacientes morrem no primeiro ano após o diagnóstico. Neste artigo, é relatado o caso de um paciente com dcj esporádica provável, de acordo com os atuais critérios de diagnóstico da oms, e é apresentada uma revisão da literatura.
Palavras-chave: prion, Creutzfeldt-Jakob, encefalopatia espongiforme, demência, mioclonia.
Introducción
Las enfermedades priónicas son un grupo de trastornos neurodegenerativos con largos períodos de incubación y de curso fatal, que afectan a diferentes especies y son causadas por una partícula proteica transmisible denominada prion. Estas enfermedades se clasifican en tres grupos: esporádicas (8590 %), genéticas (10-15 %) y adquiridas [1,0-3,0 %] 1. Siete tipos de patologías de este tipo han sido descritos en el ser humano, tal como se muestra en la Tabla 1. La forma esporádica se conoce como enfermedad de Creutzfeldt-Jakob esporádica (Ecje); las hereditarias comprenden la ECJ genética (Ecjg); el síndrome de Gerstmann-Stráussler-Scheinker (soss) y el insomnio familiar fatal (IFF). Las formas adquiridas incluyen el kuru, la ECJ iatrogénica (ECJI) y la ECJ variante (ECJV). A continuación, presentamos el caso de un paciente con Ecje probable, de acuerdo con los criterios diagnósticos de la Organización Mundial de la Salud (OMS).
| Esporádicas (85-90 %) | ECJ esporádica |
| Genéticas (10-15 %) | ECJ genética |
| Síndrome de Gerstmann-Sträussler-Scheinker | |
| Insomnio familiar fatal | |
| Adquiridas (1,0-3,0 %) | Kuru |
| ECJ iatrogénica | |
| ECJ variante |
Caso clínico
Hombre de 62 años, natural y procedente de Bogotá, sin antecedentes de importancia. Presentaba cuadro clínico iniciado tres meses antes de la consulta, caracterizado por vértigo que había empeorado progresivamente, asociado a hipoacusia bilateral. Asistió a consulta especializada en otra institución, donde le realizaron resonancia magnética nuclear (RMN) cerebral con contraste y estudios auditivos que reportaron resultados normales. Dos meses después, el cuadro estaba acompañado de apraxia para la marcha, cambios en la conducta y disartria. Fue valorado por consulta externa y se le formuló quetiapina, por sospecha de trastorno somatomorfo. En los últimos cinco días antes de su ingreso, sus síntomas habían empeorado y se acompañaban de disfagia, aumento en el polígono de sustentación y mioclonías.
Al examen físico de ingreso a la Clínica de Marly, los signos vitales del paciente estaban normales. Neurológicamente, se encontraba alerta, aunque resaltaba un aumento de la disartria con somnolencia, acentuación notable de la espasticidad, prensión forzada, ataxia con retropulsión y muy confuso con rasgos afásicos. No presentaba signos meníngeos ni focalizaciones. La hija refirió que el paciente había experimentado alucinaciones auditivas ocasionales.
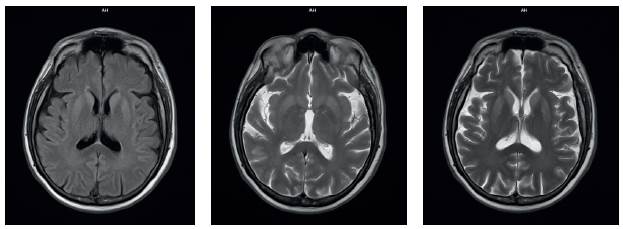
Los estudios paraclínicos solicitados, que incluyeron biometría hemática, química sanguínea, electrolitos séricos, pruebas de función hepática y renal, así como el citoquímico del líquido cefalorraquídeo (LCR), se encontraron normales. La resonancia magnética nuclear (RMN) cerebral contrastada evidenció hiperintensidad en las secuencias T2 en la región anterior e inferior núcleo-basal bilateral, simétrica con restricción en la secuencia de difusión, particularmente notorio en la cabeza y cuerpo del núcleo caudado, lo que impedía tomar una biopsia cerebral (Figura 1). La gammagrafía SPECT cerebral fue negativa para áreas de hipo- o hiperperfusión asimétricas a nivel cortical y cerebeloso, las cuales no contribuyeron a seleccionar un área idónea para biopsia.

Dentro de las posibilidades diagnósticas se plantearon Ecj y encefalitis autoinmune, por lo que se solicitaron marcadores en LCR y se realizaron sesiones de plasmaféresis. Los anticuerpos anti-NMDA y antirreceptores de potasio dependientes de voltaje fueron negativos. El seguimiento electroencefalográfico demostró la presencia de complejos bifásicos y trifásicos intermitentes, altamente sugestivos de ECJ. A los 12 días de su ingreso a la institución, el paciente presentó falla ventilatoria, por lo que requirió traslado a la unidad de cuidados intensivos (UCI), para brindarle soporte ventilatorio invasivo con intubación orotraqueal y se le instauró nutrición enteral con fórmula polimérica estándar.
La medición de la proteína T-tau en LCR arrojó un resultado de más de 4000 pg/ml (niveles normales de menos de 1100 pg/ml) y la proteína 14-33 fue positiva, con una probabilidad estimada de enfermedad mediada por priones mayor al 98 %.
El paciente evolucionó de forma tórpida, con estado neurológico de deterioro progresivo, razón por la cual se le realizó una gastrostomía y una traqueostomía. La frecuencia y la intensidad de las mioclonías aumentaron, por lo que requirió manejo continuo con benzodiacepinas; posteriormente, desarrolló un coma no reactivo.
Se dio información a la familia sobre la enfermedad, así como de las medidas de cuidado para el paciente; y se iniciaron trámites para hospitalización domiciliaria. Cuarenta y ocho días después de su ingreso al hospital, el paciente fue enviado a manejo paliativo en su casa, donde finalmente falleció.
Revisión de la literatura
Epidemiología
La ECje representa cerca del 90 % de los casos de enfermedades priónicas en el ser humano, con una incidencia estimada de un caso por cada millón de personas por año, a nivel mundial 2. Aunque, en Colombia, se desconoce la incidencia de esta enfermedad, nuestra búsqueda en la literatura científica muestra que se han informado 29 casos desde su primera descripción en 1973 3. En los últimos cuatro años, se han publicado seis casos de ECje, detallados en la Tabla 24-8.
| Hallazgos clínicos | Estudios paraclínicos | |||||||||
|---|---|---|---|---|---|---|---|---|---|---|
| Referencia | Año de publicación | Edad | Sexo | Demencia | Mioclonías | Duración (meses) | EEG | RMN | 14-3-3 en LCR | Tau en LCR |
| E4 | 2014 | 63 | F | + | + | 6 | - | + | NR | NR |
| E5 | 2014 | 67 | F | + | - | 6 | + | + | + | NR |
| E6 | 2015 | 90 | F | + | + | 6 | + | + | + | + |
| E7 | 2015 | 57 | M | + | + | ND | + | - | + | NR |
| E8 | 2016 | 63 | F | + | - | ND | + | - | + | + |
| 62 | F | + | - | ND | + | + | + | - | ||
Etiopatogenia
En condiciones normales, el cerebro humano presenta grandes cantidades de la proteína denominada Prpc (celular prion-related protein), codificada por el gen PRNP. Su función específica todavía es desconocida, pero probablemente esté involucrada en el transporte de iones cobre al encéfalo, así como en la señalización celular y la formación de sinapsis 9-10. Durante su síntesis la estructura terciaria puede alterarse por un plegamiento incorrecto y dar origen a la forma patogénica Prpsc (scrapie prion-related protein) que, en contacto con la Prpc, esta última se modifica a la forma Prpsc que, por mecanismo transformacional, altera la estructura de las otras proteínas Prpc del encéfalo, lo que favorece la creación de agregados moleculares aberrantes que conducen a daño neuronal 11,12. Aunque el paso inicial en la patogénesis de la Ecje no se ha esclarecido, se presume que la transformación de Prpc a Prpsc sucede espontáneamente.
Manifestaciones clínicas
Los pacientes con Ecje cursan con demencia que progresa rápidamente. Esta se presenta, generalmente, en la sexta o séptima década de la vida. Puede estar acompañada de cambios en el sueño, pérdida de la memoria, confusión y ansiedad, como ocurre en otros tipos de demencia. Las mioclonías son características durante todo el curso de la enfermedad, en especial, en fases avanzadas. Las alteraciones visuales (visión borrosa, diplopía o alucinaciones) pueden ser el primer síntoma de la enfermedad, en el 15 % de los casos. Conforme progresa, los síntomas se agudizan hasta el coma. La duración promedio de los síntomas es de 4-6 meses. Cerca del 90 % de los pacientes muere en el primer año después del diagnóstico y el 100 % de los pacientes habrá muerto a los 18 meses 13-15.
Diagnóstico
Debido a la gran variación clínica que puede presentar esta patología, su diagnóstico representa un reto para el personal médico. Las manifestaciones clínicas clásicas de la ECje son el deterioro cognitivo rápido y el mioclono que culmina en un estado silente acinético. El diagnóstico de ECje requiere del abordaje de las manifestaciones clínicas y los estudios paraclínicos. La OMS crea los criterios diagnósticos de la ECJ, teniendo en cuenta elementos clínicos, el electroencefalograma, la detección de proteínas específicas en LCR y los estudios histopatológicos [Tabla 3] 16,17.
| Definitivo | Hallazgos anatomopatológicos por técnicas convencionales |
|---|---|
| Probable | Demencia rápidamente progresiva y, al menos, dos de los siguientes hallazgos clínicos: |
| - Mioclonías | |
| - Alteraciones visuales o cerebelosas | |
| - Signos piramidales/extrapiramidales | |
| - Mutismo acinético | |
| Y un resultado positivo de los siguientes estudios paraclínicos: | |
| - Electroencefalograma típico | |
| - Proteína 14-3-3 positiva en LCR | |
| - RMN cerebral con alteraciones en núcleo caudado y putamen Además, que se haya descartado otra posible etiología. | |
| Posible | Demencia progresiva y, al menos, dos de los siguientes hallazgos clínicos: |
| - Mioclonías | |
| - Alteraciones visuales o cerebelosas | |
| - Signos piramidales/extrapiramidales | |
| - Mutismo acinético | |
| Además, ausencia de un resultado positivo en los estudios paraclínicos que clasifiquen al paciente dentro de un diagnóstico probable. Junto con duración de la enfermedad de menos de dos años. | |
| Así como que se haya descartado otra etiología posible. |
El electroencefalograma típico se caracteriza por la presencia de complejos de onda aguda trifásicos periódicos. Estos cambios en el contexto clínico adecuado tienen una especificidad del 90 % para Ecj. Estos cambios también pueden presentarse en patologías como el Alzheimer en etapa terminal, la demencia con cuerpos de Lewy y las encefalopatías metabólicas 18.
La RMN cerebral es el método más útil para el diagnóstico de Ecj, cuenta con una sensibilidad de 91-96 % y una especificidad de 92-94%, además de estar ampliamente disponible y no ser invasiva. Hay tres patrones principales de hiperintensidades en la RMN: cortical y subcortical (68 % de los casos), predominantemente neocortical (24 %) y predominantemente subcortical (principalmente estriado, con o sin cambios talámicos, 5 %) 19-23.
La identificación de la proteína 14-3-3 en el LCR es un marcador bioquímico importante en el diagnóstico de esta patología. Se trata de un marcador que indica destrucción neuronal. Varios estudios concluyen que la sensibilidad de la proteína 14-3-3 positiva en el LCR para la Ecje es del 92-96 %. La proteína Tau, otro marcador de daño neuronal, tiene sensibilidad del 81 % y especificidad del 85 %; cuando se realiza la prueba en combinación con la proteína 14-3-3, el valor predictivo positivo alcanza 91 % 24,25.
El diagnóstico definitivo de Ecje requiere de un estudio anatomopatológico que demuestre cambios compatibles con encefalopatía por priones. Los hallazgos neuropatológicos típicos son pérdida neuronal, gliosis y vacuolización (aspecto espongiforme), sin cambios inflamatorios.
Tratamiento
A pesar de los esfuerzos activos en la búsqueda de una medida terapéutica, actualmente no existe tratamiento que detenga el progreso de esta enfermedad y el manejo sintomático es la única opción. Se ha investigado el uso de los antivirales como la amantadina, el interferón, los esteroides o algunas moléculas antibióticas, sin obtenerse un beneficio uniforme. El tratamiento de los pacientes debe ir enfocado a disminuir la sintomatología asociada al compromiso neurológico, característico de esta enfermedad. El uso empírico de los inhibidores selectivos de la recaptación de serotonina (ISRS) para tratar la depresión y la agitación, los antipsicóticos atípicos (como la quetiapina) para tratar la agitación y la psicosis, y las benzodiacepinas para tratar las mioclonías o la agitación graves son algunas posibilidades. La intervención para los pacientes con ECJ es paliativa, brindando los soportes necesarios y el acompañamiento al paciente y su familia, con el conocimiento de que 100 % de los pacientes fallece a los 18 meses de iniciada la enfermedad.
Gestión
Se presenta el caso de un paciente con Ecje, patología poco frecuente a nivel mundial, que en nuestro país se encuentra subdiagnosticada. En Colombia la población se acerca a los 49 millones de habitantes. De acuerdo con esto, deberían presentarse cerca de 50 casos de ECJ por año; pero la revisión bibliográfica evidencia que, en promedio,
se reportan dos casos por año. Si bien se acepta unánimemente que la contribución al conocimiento científico de los reportes de casos clínicos y planes de cuidados es escasa, su publicación es una herramienta docente muy importante 26. Este tipo de publicaciones se caracterizan por tener un lenguaje menos técnico que el utilizado en la práctica clínica diaria, lo que facilita la proximidad de aquellos que están menos experimentados en la lectura de la literatura científica. Además, aportan una utilidad práctica al lector y conducen a tener un plan de cuidados sugerido para afrontar o manejar situaciones clínicas similares.
En cuanto a gestión clínica, es el momento de preguntarse si vale la pena reevaluar los métodos diagnósticos utilizados en la ECJ. Los avances tecnológicos en salud proveen herramientas diagnósticas cada vez más precisas y menos nocivas. La biopsia cerebral, si bien es la prueba de referencia (estándar de oro) para el diagnóstico de ECJ, implica importantes riesgos no solo para el paciente sino también para el personal sanitario y más gastos para el sector salud (anestesiología, neurocirugía, derechos de sala, histopatología, entre otros). El estudio del LCR en busca de proteínas de daño neuronal (14-3-3 y Tau), presentes en pacientes con ecj cuenta con un rendimiento importante y resultaría más práctico en este escenario.
Discusión
Se reporta el caso de un paciente con sintomatología inespecífica que consultó por urgencias, el cual presentaba rápido deterioro de su estado neurológico. Los primeros síntomas sugirieron un cuadro de encefalitis infecciosa subaguda o encefalopatía mediada por agentes tóxicos. Los estudios para infecciones víricas de LCR fueron negativos y también los tóxicos en suero y orina. Durante su estancia en hospitalización, el paciente desarrolló un importante compromiso del sensorio hasta comprometerse el reflejo de protección de la vía aérea, por lo que se trasladó a la uci y requirió de traqueostomía. Una vez allí, el paciente presentó mioclonías persistentes y se le realizaron EEG seriados. Se observaron ondas trifásicas y bifásicas intermitentes, indicio de compromiso por priones, razón por la cual se sugirió a la familia la realización de biopsia cerebral para confirmar el diagnóstico, pero la sugerencia fue rechazada. En una nueva muestra de LCR, se midieron los niveles de proteína 14-3-3 y proteína Tau, las cuales fueron positivas con una probabilidad de más del 98 % de enfermedad por priones.
En todo paciente que ingrese con demencia rápidamente progresiva, deben tomarse estudios generales para patología sistémica que se asocie a encefalopatía metabólica; de la misma manera, deben descartarse otras encefalopatías y encefalitis infecciosas. Todos los estudios en este paciente fueron negativos. De igual forma, se tomaron estudios de imagen en búsqueda de enfermedad cerebrovascular o neoplasias. Una vez descartadas estas patologías, debe considerarse la posibilidad de un diagnóstico de encefalopatía por priones.
La prueba de referencia para el diagnóstico de ECje consta de un estudio anatomopatológico en el que se observe vacuolización característica, sin componente inflamatorio en el encéfalo. En este paciente, el estudio de los niveles de proteína 143-3 y proteína Tau en LCR sugirió fuertemente el diagnóstico, a lo cual se sumó el estado clínico del paciente y los hallazgos en la RMN. Este caso corresponde a una ECJ que presumimos es esporádica por la edad de presentación y porque no contamos con antecedentes exposicionales como cirugías, antecedentes familiares de demencia inespecífica o viajes a Europa que sugirieran otro origen de la patología priónica.
El paciente recibió manejo encaminado a prevenir las complicaciones derivadas del rápido deterioro neurológico; se le brindaron soportes vitales a través de traqueostomía y gastrostomía junto con medicamentos que controlaron los síntomas asociados.
Es importante resaltar que la información suministrada a los familiares es crucial en el abordaje de estos pacientes ya que la ECJ es 100 % mortal. Por ello, es necesario que los familiares de los pacientes tengan claridad al respecto. Asimismo, es importante el acompañamiento del personal sanitario, que brinda apoyo importante hacia el desenlace. En este caso, y en común acuerdo con los familiares del paciente, usamos la hospitalización domiciliaria con el objetivo de brindar comodidad y privacidad durante este proceso.
La ECJ es una patología poco reportada en Colombia. De acuerdo con lo descrito en la literatura, en el mundo, se reporta un caso por cada millón de personas. En la revisión bibliográfica que hicimos, encontramos reportados en la literatura dos casos por año desde 2014. La población colombiana se acerca a los 50 millones y, por esta razón, concluimos que el número de casos encontrados en la literatura se encuentra muy por debajo de lo esperado. Esto puede deberse al desconocimiento de la patología por parte del personal asistencial y por no contarse en todos los niveles de atención con las ayudas diagnósticas que permitan ofrecer un abordaje integral a los pacientes.
Referencias
1. Takada L, Geschwind M. Prion diseases. Semin Neurol. 2013; 33:348-56.
2. Puoti G, Bizzi A, Forloni G et al. Sporadic human prion diseases: molecular insights and diagnosis. Lancet Neurol. 2012; 11:618.
3. Escandón K, Zorrilla A, Corral R. Positive 14-3-3 and tau proteins in a sporadic Creutzfeldt-Jakob disease case and a brief perspective of prion diseases in Colombia. Biomédica. 2016; 36(1):29-36.
4. Duque C, Garzón Á, Villegas A, Escobar L, Zea J, Lopera F et al. Human transmissible spongiform encephalopathy: Case report. Iatreia. 2014; 27:330-6.
5. Tramontini C, Mora J, Castaño N. Creutzfeldt-Jakob disease, MRI findings: A case report. Rev Colomb Radiol. 2014; 25:4021-5.
6. Cadena M, Ardila M, Rueda L. Status epilepticus and rapidly progressive dementia in an elderly woman. Sporadic Creutzfeldt-Jakob disease. Rev Esp Geriatr Gerontol. 2015; 50:103-4.
7. Triana J, Pérez-Rangel A. Creutzfeldt-Jakob disease. Hospital de San José, Bogotá DC, Colombia. Repertorio de Medicina y Cirugía. 2015; 24:298-302.
8. Pretelt F, Rivera N, Ursida V, Tovar C, Ramírez A. Revisión de Creutzfeld-Jakob a propósito de dos casos clínicos en el Hospital Universitario San Ignacio. 2016; 32(2):134-9.
9. Millhauser G. Copper and the prion protein: methods, structures, function, and disease. Annu Rev Phys Chem. 2007; 58:299-320.
10. Westergard L, Christensen H, Harris D. The cellular prion protein (PrPC): Its physiological function and role in disease. Biochim Biophys Acta. 2007; 1772(6):629-44.
11. Mackenzie G, Will R. Creutzfeldt-Jakob disease: recent developments. F1000Res. 2017; 6:2053. Doi: https://www.doi.org/10.12688/f1000research.1268L1
12. Soomro S, Mohan C. Biomarkers for sporadic Creutzfeldt-Jakob disease. Ann Clin Trans Neurol. 2016; 3(6):465-72.
13. Muayqil T, Gronseth G, Camicioli R. Evidence-based guideline: Diagnostic accuracy of CSF 14-3-3 protein in sporadic Creutzfeldt-Jakob disease. Neurology. 2012; 79(14):1499-506.
14. Rabinovici G, Wang P, Levin J et al. First symptom in sporadic Creutzfeldt-Jakob disease. Neurology. 2006; 66(2):286-7.
15. Pocchiari M, Puopolo M, Croes EA et al. Predictors of survival in sporadic Creutzfeldt-Jakob disease and other human transmissible spongiform encephalopathies. Brain. 2004; 127(10):2348-59.
16. Zerr I, Kallenberg K, Summers D, Romero C, Taratuto A, Heinemann U et al. Updated clinical diagnostic criteria for sporadic Creutzfeldt-Jakob disease. Brain. 2009; 132(10):2659-68.
17. World Health Organization (WHO). Global Surveillance, diagnosis, and therapy of human transmissible spongiform encephalopathies: Report of WHO consultation. Geneva, Switzerland, 9-11 February 1998 [Internet]. 1998 [consultado el 10 de enero de 2018]. Disponible en Disponible en https://www.who.int/csr/resources/publications/bse/WHO_EMC_ZDI_98_9/en/
18. Smith SJ. EEG in neurological conditions other than epilepsy: when does it help, what does it add? J Neurol Neurosurg Psychiatry. 2005; 76(2):8-12.
19. Puoti G, Bizzi A, Forloni G, Safar JG, Tagliavini F, Gambetti P. Sporadic human prion diseases: molecular insights and diagnosis. Lancet Neurol. 2012; 11(7):618-28.
20. Vitali P, Maccagnano E, Caverzasi E, Henry RG, Hainan A, Torres-Chae C et al. Diffusion-weighted MRI hyperintensity patterns differentiate CJD from other rapid dementias. Neurology. 2011; 76(20):1711-9.
21. Young GS, Geschwind MD, Fischbein NJ, Martindale JL, Henry RG, Liu S et al. Diffusion-weighted and fluid-attenuated inversion recovery imaging in Creutzfeldt-Jakob disease: High sensitivity and specificity for diagnosis. American Journal of Neuroradiology. 2005; 26(6):1551-62.
22. Forner S, Takada L. Comparing CSF biomarkers and brain MRI in the diagnosis of sporadic Creutzfeldt-Jakob disease. Neurolog Clinic Pract. 2015; 5(2):116-25.
23. Letourneau-Guillon L, Wada R, Kucharczyk W. Imaging of prion diseases. J Magn Reson Imaging. 2012; 35(5):998-1012.
24. Manix M, Kalakoti P, Henry M, Thakur J, Menger R, Guthikonda B et al. Creutzfeldt-Jakob disease: Updated diagnostic criteria, treatment algorithm, and the utility of brain biopsy. Neurosurg Focus. 2015; 39(5):E2.
25. Hyeon J, Kim S, Lee J, Park J, Huang K, Lee S. Alternative application of Tau protein in Creutzfeldt-Jakob disease diagnosis: Improvement for weakly positive 14-3-3 protein in thelaboratory. Sci Rep. 2015; 5:1-9.
26. Medina J, Martínez J, Castro-Sánchez E. Evaluación de la calidad de casos clínicos y planes de cuidados en la revista de enfermería ENE en el periodo 2007-2013. Ene. 2014; 8(3). Doi: http://dx.doi.org/10.4321/S1988-348X2014000300004
Notas