Artículos
Microcefalia asociada a infección congénita por Zika. Primer caso confirmado en el Tolima*
Microcephaly Associated with Congenital Zika Infection. First Confirmed Case in Tolima
Microcefalia associada à infecção congênita pelo vírus Zika. Primeiro caso confirmado em Tolima, Colômbia
Microcefalia asociada a infección congénita por Zika. Primer caso confirmado en el Tolima*
Revista Med, vol. 28, núm. 1, 2020
Universidad Militar Nueva Granada. Facultad de Medicina
Recepción: 07 Diciembre 2018
Aprobación: 15 Mayo 2020
DOI: 10.18359/rmed.3691
Resumen: El virus del Zika fue el responsable en Colombia de la segunda epidemia más grande del continente después de Brasil durante el período 2015-2017. Con 100.000 casos reportados, 19.963 gestantes infectadas y 248 casos de niños nacidos con microcefalia, la epidemia fue declarada como finalizada en el país en 2016. Es el causal del Síndrome Congénito por Zika (SCZ), sospechado por primera vez en Río de Janeiro donde se estableció la relación entre la infección por Zika en gestantes y el aumento en la incidencia de microcefalias. Posteriormente se plantearía toda una serie de alteraciones congénitas en el feto a nivel neurológico, sensorial y osteomuscular confirmando así el efecto teratogénico del virus. Se presenta el caso de un paciente de cuatro meses y veinte días de edad que procede del área rural de Ibagué y que acude al programa madre canguro de la Unidad Materno Infantil del Tolima (UMIT); presenta diagnóstico de microcefalia asociada a neuroinfección congénita por Zika con prueba confirmatoria RT-PCR de la madre por parte del Instituto Nacional de Salud. Presenta hallazgos imagenológicos, físicos y clínicos como un perímetro cefálico que persiste por debajo de -3SD, trastorno del tono y un Retardo en el Desarrollo Psicomotor (RDPM) severo con una edad neurológica de tres meses persistente en todos los controles. Atrofia cortical, microcalcificaciones periventriculares y gangliobasales, y ventriculomegalia. Se trata del primero de veintiún pacientes con sospecha clínica y confirmación con hallazgos similares a los presentados en la literatura. La importancia de la detección de estos casos radica en el riesgo neurológico que se presenta por el compromiso motor, cognitivo y sensorial. También en la diferenciación con las secuelas neurológicas por TORCH y de alteraciones cromosómicas.
Palabras clave: microcefalia, virus del Zika, hallazgos neurológicos, síndrome congénito por Zika.
Abstract: The Zika virus was responsible in Colombia for the second largest epidemic on the continent after Brazil during the 2015-2017 period. With 100,000 reported cases, 19,963 infected pregnant women and 248 cases of children born with microcephaly, the epidemic was declared to have ended in the country in 2016. It is the cause of the Congenital Zika Syndrome (CZS), suspected for the first time in Rio de Janeiro where the relationship between Zika infection in pregnant women and the increase in the incidence of microcephaly was established. Subsequently, a whole series of congenital disorders in the fetus would be considered at the neurological, sensory, and musculoskeletal levels, thus confirming the teratogenic effect of the virus. The case of a four-month and twenty-day old patient coming from the rural area of Ibagué and attending the kangaroo mother program of the Maternal and Child Unit of Tolima (UMIT) is presented. The child was diagnosed with microcephaly associated with congenital Zika neuroinfection confirmed by RT-PCR test to the mother by the National Institute of Health. It presents imaging, physical, and clinical findings such as a head circumference persistently below -3SD, tone disorder, and a severe Psychomotor Development Retardation (PDR) with a persistent neurological age of three months in all controls. Cortical atrophy, periventricular and basal ganglia micro-calcification, and ventriculomegaly. This is the first of twenty-one patients with clinical suspicion and confirmation with findings similar to those presented in the literature. The importance of detecting these cases lies in the neurological risk presented by motor, cognitive and sensory involvement and also in the differentiation with TORCH neurological sequelae and chromosomal abnormalities.
Keywords: microcephaly, Zika virus, neurological findings, congenital Zika syndrome.
Resumo: O vírus do Zika foi o responsável na Colômbia pela segunda maior epidemia do continente depois do Brasil entre 2015 e 2017. Com 100.000 casos relatados, 19.963 gestantes infectadas e 248 casos de recém-nascidos com microcefalia, a epidemia foi declarada como finalizada no país em 2016. É a causa da síndrome congênita pelo vírus Zika, suspeita pela primeira vez no Rio de Janeiro, Brasil, onde foi estabelecida a relação entre a infecção pelo vírus Zika em gestantes e o aumento da incidência de mi-crocefalias. Em seguida, são apresentadas alterações congénitas no feto em nível neurológico, sensorial e osteomuscular, o que confirma o efeito teratogênico do vírus. É apresentado o caso de um paciente de quatro meses e vinte dias de idade que procede da área rural de Ibagué, Colômbia, e que recorre ao programa "mãe canguru" da Unidade Materno-Infantil de Tolima; apresenta diagnóstico de microcefalia associada à neuroinfecção congênita pelo vírus Zika com teste confirmatório RT-PCR da mãe, realizado pelo Instituto Nacional de Saúde da Colômbia. Apresenta achados imagenológicos, físicos e clínicos como um perímetro cefálico que persiste abaixo de -3SD, transtorno do tom e um atraso no desenvolvimento psicomotor agudo com uma rede neurológica de três meses persistente em todas as revisões. Atrofia cortical, microcalcificações periventriculares e dos gânglios da base, e ventriculomegalia. Trata-se do primeiro de 21 pacientes com suspeita clínica e confirmação com achados semelhantes aos apresentados na literatura. A importância da detecção desses casos está no risco neurológico apresentado pelo comprometimento motor, cognitivo e sensorial. Também na diferenciação com as sequelas neurológicas por TORCH e alterações cromossômicas.
Palavras-chave: microcefalia, vírus do Zika, achados neurológicos, síndrome congênita pelo vírus Zika.
Introducción
El virus Zika (ZIKV) es un flavivirus miembro de la familia Flaviviridae y es transmitido por m os-quitos especialmente del género Aedes1. Es el causante de la fiebre del Zika, caracterizada por ser una enfermedad exantemática acompañada comúnmente de rash, fiebre, artralgia y conjuntivitis 2. Su transmisión es vectorial; sin embargo la transmisión vertical o útero-placentaria 3 y sexual 4-7 se confirmó durante la epidemia de 2015-2017. Durante este período se reportaron en el país más de 100.000 casos, siendo el país con mayor incidencia solo después de Brasil 8. Con cerca de 19.963 mujeres embarazadas reportadas 8, y 248 casos confirmados de niños nacidos con microcefalia 9, Colombia afrontó un período difícil para la salud pública. Oficialmente la epidemia fue declarada finalizada en 2016 por el Ministerio de Salud colombiano, luego de comprobar el fin de transmisión autóctona 10. Durante el 2017 se realizaron las últimas pesquisas epidemiológicas, dando como resultado que la tasa de mortalidad en nuestro país por ZIKAV fue del 0,0 %; con respecto a la población gestante las empresas aseguradoras de planes de beneficio en salud (EAPBS) solo realizaron un seguimiento de las gestantes con fiebre del Zika en el 49 % de los casos en el país y con respecto a nuestro departamento, Tolima, en tan solo el 32,3 % 11.
El síndrome congénito por ZIKV (SCZ) es una de las presentaciones que más ha acaparado la atención mundial por las repercusiones que tiene en el desarrollo de los fetos durante la gestación. Inicialmente se presentó en Brasil, cuando un estudio llevado a cabo en Rio de Janeiro mostró anomalías ecográficas fetales en doce de 42 mujeres (29 %) con infección por ZIKV durante el embarazo; siete de los 42 fetos (17 %) que se estudiaron tuvieron microcefalia, atrofia cerebral o calcificaciones cerebrales 11; esta sería la primera señal del efecto nocivo del virus en el sistema nervioso central de los fetos. Respecto a la microcefalia, uno de los hallazgos más comunes y llamativos, es definida por el Centro para el control y la prevención de enfermedades (CDC) como una circunferencia occipitofrontal por debajo del tercer percentil (< 3 SD) para la edad gestacional y el sexo 13. En Colombia, por su parte, otra investigación llevada a cabo en Barranquilla e Ibagué mostró hallazgos imagenológicos similares; se concluyó que deben transcurrir quince semanas entre la presentación de los síntomas en la gestante y el hallazgo temprano de signos imagenológicos en el feto 14 además de presentar estos síntomas durante el primer trimestre de gestación; con ello se corroboró el efecto teratogénicos del virus 15-20. Moore et al.21 caracterizaron los patrones hallados en el SCZ y los individualizaron respecto a los de otras neuroinfecciones congénitas del TORCH; encontraron entonces como únicos del Zika la microcefalia severa con colapso parcial del cráneo, cortezas cerebrales delgadas con calcificaciones subcorticales, cicatrización macular y manchas pigmentarias retinianas focales, contracturas congénitas y marcada hipertonía temprana con síntomas de afectación extrapiramidal.
Caso clínico
Paciente masculino de cuatro meses y veinte días de edad procedente del área rural de Ibagué que es llevado a consulta al servicio de Plan Canguro de la Unidad Materno Infantil del Tolima (UMIT) el 18 de enero de 2017 para primer control posnatal acompañado de un diagnóstico previo de microcefalia asociado a neuroinfección por Zika con prueba confirmatoria de la madre (RT-PCR) por parte del Instituto Nacional de Salud (INS).
Antecedentes
Prenatales: retardo en el crecimiento intrauterino (RCIU), infección congénita por Zika (confirmado), madre presenta RASH y fiebre durante la semana diez de gestación. Perinatales: Parto vaginal (29/09/2016) a la edad gestacional de 37 semanas, con un peso de 2.000 gramos, perímetro cefálico de 28 centímetros (< -3 SD). Apgar: ocho puntos al minuto, nueve puntos a los cinco minutos, diez puntos a los diez minutos. Al examen físico general se encuentra hallazgo de retinopatía. Posnatales: requerimiento de Unidad de Cuidados Intensivos Neonatal sin asistencia ventilatoria por bajo peso al nacer (30/09/2016). Ultrasonografía Transfontanelar que reporta signos de microcefalia con dilatación ventricular y presencia de microcalcificaciones por neuroinfección a nivel ganliobasal y periventriculares. Así mismo, se encuentran hallazgos compatibles con lisencefalia.
Desde su nacimiento hasta su último control se realizan tres controles con Neuropediatría, con la presencia de los siguientes hallazgos:
(18/01/2017). Examen físico muestra talla en -3 SD y peso < -3 SD. A la exploración topográfica se identifica en cráneo y cara fontanela cerrada con frente estrecha y cuero cabelludo redundante, mirada sostenida hacia la derecha (Figura 1). Examen neurológico: hipertonía con hiperre-flexia y tendencia al opistótono. Concepto clínico que menciona un riesgo neurológico alto y con diagnósticos activos de microcefalia severa por Zika. Se solicita TAC cerebral simple, electroencefalograma (EEG), radiografía de cráneo y VOD.
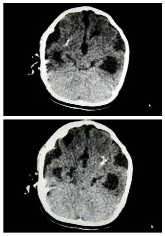
(5/04/2017). Examen físico: muestra talla < -3 SD, peso < -3 SD y perímetro cefálico < -3 SD. Cráneo con fontanela cerrada. Examen neurológico: se encuentra en el campo motor hipertonía con hiperreflexia, DPM correspondiente para un mes de edad. El TAC cerebral simple (Figura 2) reporta dilatación simétrica de los ventrículos laterales, imágenes hiperdensas focales hacia los lóbulos parietales, normalidad de las cisternas perime-sencefálicas, tallo y fosa posterior. El EEG enseña un trazado en sueño NREM uno y dos normal. Concepto clínico es de retraso en el desarrollo psicomotor (RDPM) y microcefalia por Zika.
(10/07/2017). Examen físico: muestra talla y peso < -3 SD, perímetro cefálico que persiste en < -3 SD. Examen neurológico: sin cambios con respecto al control anterior. Persiste hipertonía e hiperreflexia. Edad neurológica de 3 meses.


Discusión
El actual caso se presenta como uno de los pocos confirmados de que se tiene registro hasta la fecha en Tolima. Junto a este, veintiún casos más que aguardan por la confirmación por parte del Instituto Nacional de Salud (INS) a la Secretaría de Salud del Tolima. Pero estos presentan las características típicas del CSZ (microcefalia severa, atrofia cortical, calcificaciones, ventriculomegalia, retinopatía, entre otras) 3,12,14,15,17,18,21-25 y corresponden a niños nacidos vivos de madres a las que se les realizó el muestreo serológico (RT-PCR) para ZIKV.
La microcefalia es severa, persistiendo por debajo de las -3 SD con un P50 al nacimiento que corresponde al de un feto a las 28 semanas. Pese a que progresa, tiende a estancarse a medida que se avanza en los controles y se aleja cada vez más del límite inferior de -3 SD (Figura 3). El trastorno del tono es marcado y persistente, su hiperreflexia con actitud en opistótono es un factor de pronóstico para Parálisis Cerebral Espástica alcanzados sus dos años de edad. El EEG es de morfología normal; se descarta cualquier posibilidad de epilepsia pese a los múltiples hallazgos que la literatura en los casos de CSZ 23-26. En cuanto a los hallazgos oftalmológicos del caso, es importante mencionar que la retinopatía por Zika hace parte del cuadro clínico típico 21; con ella se concluye la existencia de un daño a nivel retiniano y del nervio óptico que comprometerá la visión de los recién nacidos de forma permanente, alcanzando en algunos casos a la ceguera por la gravedad de las lesiones 27-29.

Se menciona como importante la caracterización de todos estos casos y su detección para poder entablar un seguimiento neurológico que se justifica por el alto riesgo de compromiso motor, cognitivo y sensorial. Establecer las diferencias con las secuelas neurológicas que se observan en las microcefalias del Síndrome TORCH e incluir también las secuelas de los síndromes de origen cromosómico. En Colombia y en Tolima el rezago de la vigilancia al seguimiento de estos casos es más que evidente 11; sin embargo organizaciones como la Red Colombiana de Colaboración en Zika (Recolzica) menciona como importante poder llevar un seguimiento a los nacidos con microcefalia para obligar a explorar otros tipos de secuelas en esta población, hoy infantil 30.
Referencias
[1] Dick GWA. Zika virus (II). Pathogenicity and physical properties [Internet]. Trans R Soc Trop Med Hyg. 1952;46(5):521-534. DOI: https://doi.org/10.1016/0035-9203(52)90043-6
[2] Duffy MR, Chen T-H, Hancock WT, Powers AM, Kool JL, Lanciotti RS, et al. Zika Virus Outbreak on Yap Island, Federated States of Micronesia [Internet]. N Engl J Med. 2009;360(24):2536-2543. DOI: https://doi.org/10.1056/NEJMoa0805715
[3] Petersen LR, Jamieson DJ, Powers AM, Honein MA. Zika Virus [Internet]. Baden LR, editor. N Engl J Med. 2016;374(16):1552-1563. DOI: https://doi.org/10.1056/NEJMra1602113
[4] Sherley M, Ong CW. Sexual transmission of Zika virus: a literature review [Internet]. Sex Health. 2018;15(3):183-199. DOI: https://doi.org/10.1071/SH17046
[5] Hills SL. Transmission of Zika Virus Through Sexual Contact with Travelers to Areas of Ongoing Transmission - Continental United States, 2016. [Internet]. MMWR Morb Mortal Wkly Rep. 2016;65(8):215-216. DOI: https://doi.org/10.15585/mmwr.mm6508e2er
[6] Deckard DT. Male-to-Male Sexual Transmission of Zika Virus[Internet]. MMWR Morb Mortal Wkly Rep. 2016;65(14):372-374. DOI: https://doi.org/10.15585/mmwr.mm6514a3
[7] Laval F de, Matheus S, Labrousse T, Enfissi A, Rous-set D, Briolant S. Kinetics of Zika Viral Load in Semen [Internet]. N Engl J Med. 2017;377:697-699. DOI: https://doi.org/10.1056/NEJMc1612600
[8] Méndez N, Oviedo-Pastrana M, Mattar S, Caicedo-Castro I, Arrieta G. Zika virus disease, microcephaly and Guillain-Barré syndrome in Colombia: epidemiological situation during 21 months of the Zika virus outbreak, 2015-2017 [Internet]. Arch Public Health. 2017;75:65. Doi: https://doi.org/10.1186/s13690-017-0233-5
[9] Pan American Health Organization / World Health Organization. Zika suspected and confirmed cases reported by countries and territories in the Americas Cumulative cases, 2015-2017 [Internet]. 2018. Disponible en: https://www.paho.org/hq/dmdocuments/2017/2017-ago-10-phe-ZIKV-casess.pdf
[10] MINSALUDCOL. Minsalud declara el cierre de la epidemia de zika en Colombia (Rueda de Prensa) [Internet]. 2018. Disponible en: https://www.youtube.com/wat-ch?v=cAQZ-2j1CdM&feature=youtu.be
[11] Instituto Nacional de Salud. Informe De Evento. Enfermedad Por Virus Zika, Colombia 2017 [Internet]. Disponible en: https://www.ins.gov.co/buscador-eventos/Informesdeevento/ZIKA%202017.pdf
[12] Brasil P, Pereira JP, Moreira ME, Ribeiro Nogueira RM, Damasceno L, Wakimoto M, et al. Zika Virus Infection in Pregnant Women in Rio de Janeiro [Internet]. N Engl J Med. 2016;375(24):2321-2334. DOI: https://doi.org/10.1056/NEJMoa1602412
[13] Adebanjo T, Godfred-Cato S, Viens L, Fischer M, Staples JE, Kuhnert-Tallman W, et al. Update: Interim Guidance for the Diagnosis, Evaluation, and Management of Infants with Possible Congenital Zika Virus Infection - United States, October 2017 [Internet]. mmwr Morb Mortal Wkly Rep. 2017;66(41):1089-1099. DOI: https://doi.org/10.15585/mmwr.mm6641a1
[14] Parra-Saavedra M, Reefhuis J, Piraquive JP, Gilboa SM, Badell ML, Moore CA, et al. Serial Head and Brain Imaging of 17 Fetuses With Confirmed Zika Virus Infection in Colombia, South America [Internet]. Obstet Gynecol. 2017;130(1):207-212. DOI: https://doi.org/10.1097/AOG.0000000000002105
[15] Chimelli L, Melo ASO, Avvad-Portari E, Wiley CA, Camacho AHS, Lopes VS, et al. The spectrum of neuropathological changes associated with congenital Zika virus infection [Internet]. Acta Neuropathol (Berl). 2017;133(6):983-999. DOI: https://doi.org/10.1007/s00401-017-1699-5
[16] Coffey LL, Keesler RI, Pesavento PA, Woolard K, Singapuri A, Watanabe J, et al. Intraamniotic Zika virus inoculation of pregnant rhesus macaques produces fetal neurologic disease [Internet]. Nat Commun. 2018;9(1):2414. DOI: https://doi.org/10.1038/s41467-018-04777-6
[17] Costa Monteiro LM, Cruz GN de O, Fontes JM, Saad Salles TRD, Boechat MCB, Monteiro AC, et al. Neurogenic bladder findings in patients with Congenital Zika Syndrome: A novel condition [Internet]. PloS One. 2018;13(3):e0193514. DOI: https://doi.org/10.1371/journal.pone.0193514
[18] Solomon IH, Milner DA. Neuropathology of Zika Virus Infection [Internet]. J Neuroinfectious Dis. 2016;7(2):220. DOI: https://doi.org/10.4172/2314-7326.1000220
[19] Gharbaran R, Somenarain L. Insights into the molecular roles of Zika virus in human reproductive complications and congenital neuropathologies [Internet]. Pathology (Phila). 2017;49(7):707-714. DOI: https://doi.org/10.1016/j.pathol.2017.07.008
[20] Kim K, Shresta S. Neuroteratogenic Viruses and Lessons for Zika Virus Models [Internet]. Trends Microbiol. 2016;24(8):622-636. DOI: https://doi.org/10.1016/j.tim.2016.06.002
[21] Moore CA, Staples JE, Dobyns WB, Pessoa A, Ventura CV, Fonseca EB da, et al. Characterizing the Pattern of Anomalies in Congenital Zika Syndrome for Pediatric Clinicians [Internet]. JAMA Pediatr. 2017;171(3):288-295. DOI: https://doi.org/10.1001/jama-pediatrics.2016.3982
[22] Alvarado MG, Schwartz DA. Zika Virus Infection in Pregnancy, Microcephaly, and Maternal and Fetal Health: What We Think, What We Know, and What We Think We Know [Internet]. Arch Pathol Lab Med. 2017;141(1):26-32. DOI: https://doi.org/10.5858/arpa.2016-0382-RA
[23] Araújo TVB de, Rodrigues LC, de Alencar Ximenes RA, de Barros Miranda-Filho D, Montarroyos UR, de Melo APL, et al. Association between Zika virus infection and microcephaly in Brazil, January to May, 2016: preliminary report of a case-control study [Internet]. Lancet Infect Dis. 2016;16(12):1356-1363. DOI: https://doi.org/10.1016/S1473-3099(16)30318-8
[24] França GVA, Schuler-Faccini L, Oliveira WK, Henriques CMP, Carmo EH, Pedi VD, et al. Congenital Zika virus syndrome in Brazil: a case series of the first 1501 livebirths with complete investigation [Internet]. Lancet Lond Engl. 2016;388(10047):891-897. DOI: https://doi.org/10.1016/S0140-6736(16)30902-3
[25] Driggers RW, Ho C-Y, Korhonen EM, Kuivanen S, Jáás-keláinen AJ, Smura T, et al. Zika Virus Infection with Prolonged Maternal Viremia and Fetal Brain Abnormalities [Internet]. N Engl J Med. 2016;374(22):2142-2151. DOI: https://doi.org/10.1056/NEJMoa1601824
[26] Carvalho MDCG, Miranda-Filho D de B, van der Linden V, Sobral PF, Ramos RCF, Rocha MAW, et al. Sleep EEG patterns in infants with congenital Zika virus síndrome [Internet]. Clin Neurophysiol Off J Int Fed Clin Neurophysiol. 2017;128(1):204-214. DOI: https://doi.org/10.1016/j.clinph.2016.11.004
[27] Aleman TS, Ventura CV, Cavalcanti MM, Serrano LW, Traband A, Nti AA, et al. Quantitative Assessment of Microstructural Changes of the Retina in Infants With Congenital Zika Syndrome [Internet]. JAMA Ophthalmol. 2017;135(10):1069-1076. DOI: https://doi.org/10.1001/jamaophthalmol.2017.3292
[28] Fernandez MP, Parra Saad E, Ospina Martínez M, Corchuelo S, Mercado Reyes M, Herrera MJ, et al. Ocular Histopathologic Features of Congenital Zika Syndrome [Internet]. JAMA Ophthalmol. 2017;135(11):1163-1639. DOI: https://doi.org/10.1001/jamaophthalmol.2017.3595
[29] Yepez JB, Murati FA, Pettito M, Peñaranda CF, de Yepez J, Maestre G, et al. Ophthalmic Manifestations of Congenital Zika Syndrome in Colombia and Venezuela [Internet]. JAMA Ophthalmol. 2017;135(5):440-445. DOI: https://doi.org/10.1001/jamaophthal-mol.2017.0561
[30] Rodríguez-Morales A, Patiño-Valencia S, Villamil-Gómez W, Alvarado-Socarras J, Jimenez-Canizales C. Situación del Zika en Colombia: Experiencia de miembros de la Red Colombiana de Colaboración en Zika (Recolzica) [Internet]. Acta Médica Peruana. 2016;33(1):79-81. DOI: https://doi.org/10.35663/amp.2016.331.22
Notas