Reporte de caso
Embarazo ectópico en cicatriz de cesárea: reporte de caso y revisión de la literatura. Hospital Simón Bolívar subred norte Bogotá, Colombia*
Ectopic pregnancy in cesarean section scar: case report and literature review. Hospital Simón Bolívar Subred Norte, Bogota, Colombia
Gravidez ectópica em cicatriz de cesárea: relato de caso e revisão da literatura. Hospital Simón Bolívar, subrede norte Bogotá, Colômbia
Embarazo ectópico en cicatriz de cesárea: reporte de caso y revisión de la literatura. Hospital Simón Bolívar subred norte Bogotá, Colombia*
Revista Med, vol. 28, núm. 2, pp. 103-110, 2020
Universidad Militar Nueva Granada. Facultad de Medicina
Recepción: 01 Julio 2020
Aprobación: 08 Octubre 2020
Resumen: El embarazo ectópico se define como la Implantación del saco gestaclonal fuera del útero y representa el 3 % de todos los embarazos. La ubicación anatómica más frecuente es en la trompa uterina, en donde se presenta en un 95 %, dejando así un 5 % a otras localizaciones como el ovario, la cavidad abdominal, cervlcouterina y cicatriz uterina previa. El caso es relevante por su baja prevalencia y por los hallazgos ecográficos, las posibles opciones terapéuticas para la paciente y los hallazgos intraoperatorios. Se realizó una revisión de la literatura, utilizando bases de datos como PubMed, Medline y Science Direct, con el fin de evaluar y analizar el estado del arte de esta condición patológica. Presentamos el caso de una paciente con un embarazo de 7 semanas localizado a nivel ístmico cervical por ecografía, inicialmente tratada de manera conservadora con Metotrexato (MTX) sistémico, sin respuesta al tratamiento, por lo cual requirió intervención quirúrgica y preservación de la fertilidad. Se realiza una revisión actualizada del tema con los diferentes enfoques terapéuticos.
Palabras clave: embarazo ectópico, cicatriz de cesárea, metotrexate.
Abstract: Ectopic pregnancy is defined as the implantation of the gestational sac outside the uterus and it represents 3% of all pregnancies. The most frequent anatomical location is in the uterine tube, where it occurs in 95% of the cases, thus leaving 5% to other locations such as the ovary, the abdominal cavity, the cervix and a previous uterine scar. The case is relevant because of its low prevalence and because of the ultrasound findings, the possible therapeutic options for the patient, and the intraoperative findings. A literature review was carried out, using databases such as PubMed, Medline and Science Direct, in order to evaluate and analyze the state of the art of this pathological condition. Here, we present the case of a patient with a 7-week pregnancy located at the cervical isthmus level by ultrasound, initially treated conservatively with systemic Methotrexate (MTX), with no response to the treatment, and therefore she required surgical intervention and preservation of fertility. An updated review of the subject is carried out with the different therapeutic approaches.
Keywords: ectopic pregnancy, cesarean section scar, Methotrexate.
Resumo: A gravidez ectópica é definida como a Implantação do saco gestaclonal fora do útero e representa 3 % de todas as gestações. A localização anatómica mais frequente é na trompa uterina, onde é apresentada em 95 %, deixando assim 5 % a outras localizações, como ovário, cavidade abdominal, cervicouterina e cicatriz uterina prévia. O caso é relevante por sua baixa prevalência e pelos achados ecográficos, as possíveis opções terapêuticas para a paciente e os achados intraope-ratórios. Foi realizada uma revisão da literatura com a utilização de bases de dados como PubMed, Medline e Science Direct, a fim de avaliar e analisar o estado da arte dessa condição patológica. Apresentamos o caso de uma paciente com uma gravidez de sete semanas localizada no nível Istmo cervical por ecografia, inicialmente tratada de maneira conservadora com metotrexato (MTX) sistémico, sem resposta ao tratamento, razão pela qual requiriu intervenção cirúrgica e preservação da fertilidade. Foi realizada uma revisão atualizada do tema com diferentes abordagens terapêuticas.
Palavras-chave: gestação ectópica, cicatriz de cesariana, metotrexato.
Introducción
El embarazo ectópico se define como la implantación del óvulo fecundado por fuera de la cavidad uterina y representa cerca del 3% de todos los embarazos, de los cuales, la ubicación del embarazo ectópico sobre la cicatriz de la cesárea representa aproximadamente el 4-6%, lo que equivale a 1 por cada 2000 embarazos. Esta incidencia ha ido aumentando, debido a la tasa de partos por cesáreas en nuestro medio y a nivel mundial. A pesar de que el número de cesáreas a repetición no predispone un mayor riesgo de presentar un embarazo a nivel de la cicatriz, con un solo antecedente de cesárea previa se presenta una interrupción entre el endometrio y miometrio, generando una predisposición a la implantación en este sitio 1.
A continuación, presentamos el caso de embarazo a nivel de cicatriz de cesárea, cuyo diagnóstico se hace intraoperatorio. Se describen los diferentes abordajes terapéuticos utilizados y cómo se logra llevar a la paciente a un desenlace exitoso, preservando su deseo de fertilidad.
Caso clínico
Paciente de 26 años de edad, cuya fórmula obstétrica corresponde a tres gestaciones, una cesárea, un aborto, quien cursaba con embarazo de 6,5 semanas por ecografía. Refiere cuadro clínico de 1 día de evolución de dolor pélvico sin otra sintomatología asociada. Sin antecedentes relevantes.
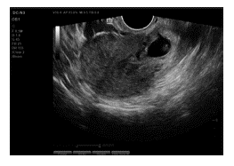
Al examen físico de ingreso, se encuentra paciente en aceptables condiciones generales, normotensa, frecuencia cardiaca con tendencia a la taquicardia, abdomen blando sin signos de irritación peritoneal, al examen ginecológico sin presencia de sangrado activo, sin cambios cervicales. Se deja paciente en observación y se solicitan niveles de gonadotropina coriónica (BhCG), cuyo reporte inicial era de 22162,60 mUI/ml, se revisa lectura de ecografía extrainstitucional, la cual reportaba un embarazo de localización cervical con un saco gestacional de 7 mm. Durante su observación en nuestra institución, se solicita nueva ecografía transvaginal, la cual reporta embrión con longitud cráneo caudal de 7,5 mm, saco gestacional de 20,6 mm y actividad cardiaca de 131 lpm a nivel ístmico izquierdo vs. embarazo en cicatriz uterina (Figura 1).

Debido a la localización del saco gestacional y los posibles riesgos secundarios, como son la ruptura uterina, hemorragia severa, la posibilidad de requerir histerectomía secundaria a esta implantación y el riesgo de falla terapéutica con MTX debido a niveles iniciales de BhCG y embriocardia presente, se plantea manejo quirúrgico, sin embargo, con deseo de fertilidad, a pesar de explicar posibles complicaciones, se decide en conjunto intentar manejo farmacológico con MTX, recibiendo una dosis de 80 mg/sm2 el primer y cuarto día. Se realiza seguimiento de la hormona gonadotropina coriónica humana (BhCG), con aumento en los niveles de la hormona, de 37945,60 mUI/ml y en el control eco-gráfico se evidencia persistencia de embriocardia, por lo cual se decide administrar una tercera dosis de MTX. Posterior a esto, se realiza nuevo control ecográfico en el cual se encuentra saco gestacional de 25 mm, localizado en istmo vs. cicatriz uterina previa con presencia de embrión con longitud cráneo caudal de 12.2 mm para un embarazo de 7,3 semanas con actividad cardiaca presente en 139 lpm, sin evidencia de líquido libre (Figuras 2 y 3).


Debido a la falla del MTX sistémico, determinada por aumento de niveles de BhCG, crecimiento de embrión y persistencia de embriocardia, se decide pasar a la paciente a laparotomía exploratoria. Bajo anestesia raquídea, se realiza disección por planos, iniciando con la liberación de vejiga, seguido de una disección roma y cortante del tabique vesicouterino, hasta exponer masa redondeada (Figura 4), a nivel de cicatriz antigua de cesárea de aproximadamente 3x3 cm con embrión en su interior de 15 mm (Figura 5), la cual se diseca por planos hasta su extracción completa, se realiza fulguración de lecho vascular hasta obtener adecuada hemostasia, útero de forma usual, anexos sin alteraciones. Para finalizar, se realiza histerorrafia por planos, se confirma adecuada hemostasia y se finaliza procedimiento con un sangrado aproximado de 100 cc, sin complicaciones.


Evolución postoperatoria a las 24 horas sin complicaciones, sin sangrado vaginal significativo, adecuado control del dolor, con disminución importante en las concentraciones de BhCG, la cual se continuó en seguimiento hasta su negativización. La paciente acude nuevamente para retiro de puntos, cicatriz de herida quirúrgica en adecuado estado, no dehiscencia ni signos de infección local y se brinda consejería sobre métodos de planificación familiar.
Discusión
El embarazo ectópico continúa siendo un reto para el ginecólogo, no solo desde el punto de vista del diagnóstico, sino también por el enfoque terapéutico que se le puede ofrecer a la paciente 2. Hoy en día, se conoce que existe una mayor incidencia de esta patología, lo que puede estar asociado por los avances en su identificación por medio de métodos más sensibles para su diagnóstico, como es la ecografía transvaginal. La tasa de embarazo ectópico hacia los años 70 era de 4.5 por cada 1000 embarazos, si bien tuvo un aumento considerable en los años 90 con una incidencia de 19.7 por 1000 embarazos. Esta alteración en la implantación de la gestación se favorece por diferentes factores, como mayor prevalencia de enfermedades de transmisión sexual, aumento de la infertilidad secundario a una falla tubárica, deseos de fertilidad a mayor edad, por lo que la reproducción asistida juega un papel importante en la aparición de este tipo de embarazo, y finalmente se ha visto relacionada con el uso del dispositivo intrauterino como método de planificación 3,4,5.
En el caso descrito, la localización del embarazo ectópico siempre fue debatida por los diferentes hallazgos ecográficos (extrainstitucional e institucional) y la clínica de la paciente. Inicialmente, se pensó en una localización cervical, considerando la histerectomía en caso de falla terapéutica con MTX; sin embargo, factores como la edad de la paciente y paridad no satisfecha, hicieron considerar un manejo conservador con MTX sistémico, dado que en nuestra institución no contamos con los implementos necesarios para una colocación intrasaco, radiología intervencionista para embolización de arterias uterinas, ni rectoscopio para intentar manejo quirúrgico por histeroscopia. La paciente recibió múltiples dosis de MTX, pero el embrión seguía creciendo y la embriocardia persistía por encima de 130 latidos por minuto. Por tanto, se consideró un manejo farmacológico fallido y se llevó la paciente a manejo quirúrgico, laparotomía exploratoria en la cual se logra describir y establecer el embarazo ectópico sobre la cicatriz uterina previa 6.
El embarazo en la cicatriz de la cesárea es una patología que se caracteriza por una implantación anormal del saco. Aunque se le conoce como embarazo ectópico, es importante recordar que no cumple con esta definición dado que se encuentra localizado dentro de la cavidad uterina, con incidencia reportada en la literatura entre 1/800 -1/2656 embarazos 7. Según su patrón de implantación, se puede clasificar en dos. El primer patrón, la implantación endógena, se describe como un crecimiento en dirección hacia la cavidad uterina, y exógena con un crecimiento del saco en dirección hacia la vejiga y la cavidad abdominal, esta última asociada a una mayor tasa de complicaciones y ruptura uterina 8.
La cesárea previa es el factor de riesgo más importante, aunque no está claro si a mayor número de cesáreas existe un mayor riesgo. Se estima que el 52% de los casos ocurre en pacientes con una cesárea previa. Lo que sí parece jugar un papel muy importante es la indicación de la misma, con mayor asociación en aquellas con presentación podálica, porque no existe un adecuado desarrollo del segmento uterino, por lo cual la histerotomía es más gruesa con mayor riesgo de cicatrización deficiente 9.
Es una patología que tiene una presentación clínica variable, presentando sangrado en el 39% de los casos, dolor abdominal en el 25% y siendo asintomática en el 37% de los casos. Las principales complicaciones de esta presentación en presencia de embriocardia son ruptura uterina en un 9,9%, requerimiento de histerectomía en un 15,2%, hemorragia masiva en un 39,2% y muerte materna, todas asociadas a diagnósticos tardíos 9.
Diagnóstico
Se realiza con ecografía en escala de grises en combinación con el Doppler color que tiene una sensibilidad del 84.6%, con una edad gestacional promedio de 7.5 semanas al momento de la detección. Adicionalmente, se ha descrito una combinación de ecografía transvaginal y transabdominal para valorar la relación entre el saco gestacional y la vejiga 7,9.
Criterios Diagnósticos con ecografía 2D y Do-ppler color:
Aunque cerca de una tercera parte de estos embarazos son asintomáticos, la presentación más común es el sangrado vaginal, seguido por dolor abdominal. El diagnóstico precoz antes de la semana 12 es fundamental, ya que permite dar tratamiento antes que se presenten complicaciones.
No todos los criterios son observados en gestaciones tempranas, su diagnóstico siempre será un reto, y se debe tener en cuenta diagnósticos diferenciales como el embarazo ístmico, el cual es diagnosticado erróneamente hasta en el 13% de los casos. Otro método diagnóstico descrito es la resonancia magnética nuclear, donde se observa la implantación del saco gestacional en el segmento uterino, la cavidad uterina vacía y el grado de invasión miometrial 7. Sin embargo, no se recomienda utilizarla de manera rutinaria, solo en aquellos casos donde la ecografía no es conclusiva. El uso de procedimientos como la laparoscopía e histeroscopia no se utilizan de manera exclusiva para el diagnóstico, sino también de manera terapéutica, donde el embarazo se puede observar como un abultamiento de color rojo salmón al momento de realizar el procedimiento 9.
Tratamiento
El tratamiento tiene como objetivos preservar la salud materna y la fertilidad. Depende de la edad gestacional, los niveles de BhCG, el deseo de fertilidad, el estado hemodinámico, la habilidad y experiencia del médico. El tratamiento ideal es controvertido, dado que las revisiones sistémicas 10 no han podido identificar una única modalidad de tratamiento y se han descrito múltiples opciones terapéuticas 7,9. Existe tres manejos descritos en la literatura: el expectante, médico y quirúrgico. El Manejo expectante no se recomienda, este asociado con mayor morbimortalidad materna 2.
Manejo farmacológico: el MTX es el medicamento utilizado, puede ser administrado de manera local, sistémica y combinada con una tasa de éxito del 56%, 60% y 70 % respectivamente 11,12. Se recomienda el uso de MTX local conocido como intrasaco en lugar del sistémico, utilizando una aguja calibre 20 guiada por ecografía. Los datos con respecto a la dosis son limitados; se recomienda 1 mg/kg (miligramo/kilogramo), máximo 50 mg 7. Está asociado a una menor tasa de complicaciones, siendo el factor más importante los niveles de BhCG. No se recomienda manejo médico con niveles mayores a 20.000, porque aumenta el riesgo de falla terapéutica 9,11. El MTX sistémico tiene mayor efectividad cuando cumple las siguientes características: la BhCG es menor de 12.000, hay ausencia de embriocardia y un embarazo menor de 8 semanas. Nuestra paciente tenía estos factores de pronóstico en contra; sin embargo, se decidió intentar el manejo conservador por la edad de la paciente y la insistencia de su deseo de preservar fertilidad 13. El 25% de pacientes va a requerir un tratamiento adicional por la persistencia de la embriocardia o el aumento de BhCG secundario a la vida media corta de MTX; además, el tejido que rodea el saco se encuentra altamente cicatrizado, lo que dificulta una adecuada concentración de MTX 12.
Las complicaciones en general son reportadas hasta en un 44,1%, y con una mayor incidencia cuando se administra intramuscular en dosis única. Ahora, con menos frecuencia se encuentran el curetaje sin manejo adyuvante y algunas intervenciones menores con histeroscopia e inyección local con MTX.
Manejo quirúrgico
La resección transvaginal y laparoscópica están asociadas a un bajo número de complicaciones y una tasa de éxito del 97-99%. Por el contrario, el legrado solo sin terapia adyuvante ha tenido altas tasas de complicaciones, por su incapacidad para acceder y eliminar completamente el tejido trofoblástico, además de estar asociado a una contracción uterina menos eficaz y por lo tanto a un mayor riesgo de sangrado.
La combinación de manejo con MTX seguido de realización de dilatación y curetaje también ha sido utilizada con una tasa de éxito del 82%, con hemorragia en el 13% e histerectomía en el 4% de los casos 11.
Terapia adyuvante
La embolización de las arterias uterinas es un procedimiento mínimamente invasivo que ha sido usado en combinación con MTX, curetaje e histeroscopia, asociado a una reducción significativa del sangrado con un aumento en la tasa del éxito hasta del 94-97% 9,11,12.
La tasa de recurrencia es del 5%, por lo que se recomienda realización de ecografía temprana en la siguiente gestación con menos de 8 semanas, para confirmar la localización intrauterina y preferiblemente terminar la gestación entre las 34-35.6 semanas, con administración previa de corticoides, recordando siempre que tienen alto riesgo de hemorragia y necesidad de histerectomía 7.
Debido a las altas tasas de cesárea que van en aumento a nivel mundial, se ha visto una mayor incidencia del número de embarazos a nivel de la cicatriz de cesárea previa, siendo este de localización menos frecuente, lo cual interpone un reto a la hora de hacer su diagnóstico y elección de tratamiento, según las necesidades de la paciente. Es por esto que se debe individualizar cada caso, siempre pensando en el bienestar de la paciente, y el trabajo multidisciplinario debe ser el pilar para el manejo integral de las pacientes.
Conclusiones
El manejo ideal para el embarazo de localización a nivel de cicatriz de cesárea previa sigue siendo incierto y controvertido, debe incluir la evaluación general del paciente con sus factores de riesgo para inclinar el enfoque terapéutico, ya sea conservador o definitivo. Considerar el manejo médico con Metotrexato como primera línea puede ser razonable en mujeres con deseo de fertilidad, niveles bajos de BhCG y embarazos menores de 8 semanas, explicando claramente a la paciente la necesidad de intervenciones adicionales. Se recomienda establecer un diagnóstico temprano y un manejo oportuno, garantizando siempre la salud física y mental de la materna.
Aclaración: caso clínico reportado bajo autorización de la paciente.
Agradecimientos a todo el grupo de ginecología y Obstetricia del Hospital Simón Bolívar que participaron en el diagnóstico imagenológico y manejo médico asistencial de la paciente citada.
Bibliografía
Brancazio S, Saramago I, Goodnight W, McGinty K. Cesarean scar ectopic pregnancy. Radiol Case Report. 2019;14(3):354-359. doi: https://doi.org/10.1016/j.radcr.2018.12.001
Perales-Puchalt A, Diago VJ, Plana A, Perales-Marín A. Embarazo ectópico sobre cicatriz de cesárea previa. Caso clínico. Clin Invest Ginecol Obstet. 2009;38(2):65-67. doi: https://doi.org/10.1016/j.gine.2009.07.006
Sardo ADS, Alviggi C, Zizolfi B, Spinelli M, Rosa PD, Placido GD, et al. Cervicoisthmic pregnancy successfully treated with bipolar resection following methotrexate administration: case report and literature review. Reprod Biomed Online. 2012;26(1):99- 103. doi: https://doi.org/10.1016/j.rbmo.2012.10.005
Yáñez M R, Martínez B P, Ibáñez D Y, Benavides B C, Vega C A. Embarazo ectópico ístmico-cervical en cicatriz de cesárea previa. Rev Chil Obstet Ginecol. 2007;72(3):186-189. doi: https://doi.org/10.4067/S0717-75262007000300010
Hoffman BL, Schorge JO, Bradshaw KD, Halvorson LM, Schaffer JI, Corton MM. Williams Ginecología. 3a ed. México, D.F.: McGraw-Hill Interamericana Editores; 2017. (239-253)
Kirk E, Bourne T. Diagnosis of ectopic pregnancy with ultrasound. Best Pract Res Clin Obstet Gynaecol. 2009;23(4):501-508. doi: https://doi.org/10.1016/j.bpobgyn.2008.12.010
Miller R, Timor-Tritsch IE, Gyamfi-Bannerman C. Society for Maternal-Fetal Medicine (smfm) Consult Series #49: Cesarean scar pregnancy. Am J Obstet Gynecol. 2020;222(5): B2-14. doi: https://doi.org/10.1016/j.ajog.2020.01.030
Maita F, Hochstatter E, Céspedes G, Avalos F, Quintanilla M. Embarazo ectópico en cicatriz de cesárea previa. Gac Méd Boliviana. 2015 dic. 1;38(2):70-72.
Calì G, Timor-Tritsch IE, Palacios-Jaraquemada J, Monteaugudo A, Buca D, Forlani F, et al. Outcome of cesarean scar pregnancy managed expectantly: systematic review and meta-analysis. Ultrasound Obstet Gynecol. 2018;51(2):169-75. doi: https://doi.org/10.1002/uog.17568
Odgers H, Taylor R, Balendran J, Benness C, Ludlow J. Rupture of a caesarean scar ectopic pregnancy: a case report. Womens Health. 2019 abr. 26;66(2020):26-34
Maheux-Lacroix S, Li F, Bujold E, Nesbitt-Hawes E, Deans R, Abbott J. Cesarean Scar Pregnancies: a Systematic Review of Treatment Options. J Minim Invasive Gynecol. 2017;24(6):915-25. doi: https://doi.org/10.1016/j.jmig.2017.05.019
Bhusal Miluna, Wei Hua, Yi Cunjian. Cesarean scar pregnancy. ZHAO Zhen; DONG Bai-hua;SU Shi-li; Department of Gynecology and Obstetrics, Qilu Hospital of Shandong University. 2012;12:141-146.
González N, MD, Tulandi, Togas, MD, MHCM. Cesarean Scar Pregnancy: A systematic review. J Minim Invasive Gynecol. 2017;24(5):731-738. doi: https://doi.org/10.1016/j.jmig.2017.02.020
Notas