Reporte de caso
Manifestaciones neurológicas por COVID-19. Reporte de casos en Hospital Militar Central Bogotá, Colombia, y revisión de la literatura*
Neurological Manifestations due to COVID-19. Case Report at Hospital Militar Central Bogotá, Colombia, and Literature Review
Manifestações neurológicas pela COVID-19. Relato de casos no Hospital Militar Central Bogotá, Colombia, e revisão da literatura
Manifestaciones neurológicas por COVID-19. Reporte de casos en Hospital Militar Central Bogotá, Colombia, y revisión de la literatura*
Revista Med, vol. 29, núm. 1, pp. 57-76, 2021
Universidad Militar Nueva Granada. Facultad de Medicina
Recepción: 19 Agosto 2020
Aprobación: 24 Julio 2021
Resumen: acorde a las fuentes epidemiológicas de la Organización Mundial de la Salud, en la última década, entre las principales causas de mortalidad más del 55 % resultaban de enfermedades no transmisibles, predominando la isquemia cardiaca y el accidente cerebrovascular como causales. En el 2019, con la aparición del nuevo coronavirus, COVID-19, como etiología de la pandemia que ha impactado tanto en salud como económica y socialmente al mundo, las cifras de la curva de las causas usuales de mortalidad han cambiado no solo a causa del efecto directo de la enfermedad en los múltiples órganos, sino también por los efectos indirectos en relación con falta de acceso a atención médica en enfermedades crónicas. Dado que es una enfermedad transmisible, el COVID-19 produce alteraciones, principalmente respiratorias y vasculares, sin embargo, el mayor conocimiento de los aspectos fisiopatológicos de la enfermedad ha revelado el compromiso de múltiples sistemas, destacando el sistema nervioso central como un objetivo del virus que impacta en las secuelas y los desenlaces de los pacientes, de modo que se documentan manifestaciones neurológicas hasta en un 55 %. El objetivo de esta revisión es caracterizar una serie de casos de pacientes en el Hospital Militar Central, mediante la descripción de aspectos fisiopatológicos y clínicos del compromiso neurológico.
Palabras clave: COVID-19, enfermedad cerebrovascular, epilepsia, Parkinson, polirradiculoneuropatía, cefalea.
Summary: according to the epidemiological sources of the World Health Organization, In the last decade, among the leading causes of mortality, more than 55 % resulted from non-communicable diseases, predominating cardiac ischemia, and stroke as the leading causes. In 2019, with the appearance of the new coronavirus, COVID-19, as an etiology of the pandemic that has Impacted health, economy, and society, the familiar figures of the mortality curve have changed, not only because of the direct effect of the disease on multiple organs, but also because of the Indirect effects, concerning lack of access to medical care in chronic diseases. Since it is a communicable disease, COVID-19 produces alterations, mainly respiratory and vascular; however, the greater knowledge of the pathophysiological aspects of the disease has revealed the involvement of multiple systems, highlighting the central nervous system as a target of the virus that impacts on the sequelae and outcomes of patients, so neurological manifestations are documented up to 55 %. The objective of this review Is to characterize a series of cases of patients in Hospital Militar Central, by the description of pathophysiological and clinical aspects of the neurological compromise.
Keywords: COVID-19, cerebrovascular disease, epilepsy, Parkinson, poliradiculoneuropathy, headache.
Resumo: de acordo com fontes epidemiológicas da Organização Mundial da Saúde, na última década, entre as principais causas de mortalidade, mais de 55 % resultavam de doenças não transmissíveis, com predominância da Isquemia cardíaca e do acídente cerebrovascular como causais. Em 2019, com o surgimento no novo coronavirus (COVID-19), como etiologia da pandemia que vem Impactando tanto em saúde quanto económica e socialmente o mundo inteiro, as cifras da curva das causas usuais de mortalidade vêm mudando não somente devido ao efeito direto da doença nos múltiplos órgãos, mas também aos efeitos indiretos com relação à falta de acesso à atenção médica em doenças crónicas. Tendo em vista que é uma doença transmissível, a COVID-19 produz alterações principalmente respiratórias e vasculares, contudo o maior conhecimento dos aspectos fisiopatológicos da doença revela o comprometimento de vários sistemas, destacando o nervoso central como um objetivo do vírus, que Impacta nas sequelas e nos desenlaces dos pacientes, de modo que são registradas manifestações neurológicas de até 55 %. O objetivo desta revisão é caracterizar uma série de casos de pacientes no Hospital Militar Central, mediante a descrição de aspectos flsiopatológicos e clínicos do comprometimento neurológico.
Palavras-chave: COVID-19, doença cerebrovascular, epilepsia, Parkinson, pollrradlculoneuropatla, cefaleia.
Introducción
En diciembre del 2019 se reportaron 41 casos de neumonía de etiología desconocida en Wuhan (China) 1. Posteriormente, se logró establecer que fue causada por un nuevo coronavirus que sería denominado como novel coronavirus (2019-nCOV), también llamado severe acute respiratory syndrome coronavirus 2 (SARS-CoV-2), dado eel alto potencial de complicaciones respiratorias y su transmisibilidad. La rápida propagación del virus alrededor del mundo llevó a que en marzo del 2020 se declarara, por parte de la Organización Mundial de la Salud, la pandemia por COVID-191. Tres meses después del primer reporte el virus se encontraba en más de 180 países (véase el COVID-19 Map-Johns Hopkins Coronavirus Resource Center). Asimismo, se lograba documentar un incremento en manifestaciones, incluyendo el sistema gastrointestinal, vascular, inmunológico, renal y del sistema nervioso central (SNC) y periférico, entre otros.
El objetivo principal de este artículo es realizar una revisión de la literatura sobre las manifestaciones neurológicas asociadas al SARS-CoV-2 y el impacto indirecto, así como describir parte de la experiencia del servicio de neurología de un hospital de cuarto nivel de Bogotá, Colombia.
Métodos
Se describen casos clínicos confirmados con el uso de reacción en cadena de la polimerasa con transcripción inversa (RT-PCR) para SARS-CoV-2 del servicio de neurología del Hospital Militar Central Bogotá (Colombia), en el cual se encuentra el registro de pacientes con manifestaciones neurológicas valorados en hospitalización y urgencias durante el 2020. Del mismo modo, se realiza una revisión actualizada de la literatura disponible acerca de las principales manifestaciones neurológicas. Los datos de los casos clínicos presentados fueron tomados de las historias clínicas del Hospital; este estudio fue presentado y aprobado por el Comité de Ética del Hospital Militar Central, por lo cual se eliminó la necesidad de consentimiento informado.
Revisión de la literatura y discusión
La familia de coronavirus está compuesta por un grupo de virus de RNA monocatenario, con envoltura lipídica y proteínas externas que permiten el anclaje a receptores de sus hospederos. Los virus de esta familia HKU y 229E tienen una baja capacidad patógena, pero los acute respiratory distress syndrome (SARS-C0V-2) y el Middle East respiratory (MERS-CoV) conllevan alta patogenicidad y mortalidad, reportado en diferentes partes del mundo en el 2002 y 2011, respectivamente 2.
Esta familia de virus afecta múltiples órganos gracias a la presencia de la proteína s, por medio de la cual interactúa con los receptores de la enzima convertidora de angiotensina 2(rECA) localizados en alvéolos, sistema gastrointestinal y riñones. También se reporta afinidad por receptores de nervios como el olfato, el gusto y el nervio periférico 3-5. Se considera que la diseminación del virus al SNC podría ser a través de la lámina cribiforme a los nervios olfatorios, pero también es posible que existan otras rutas, como, por ejemplo, la diseminación hematógena con daño de células endoteliales en vasculatura cerebral, el transporte viral anterógrado y retrógrado por medio de nervios sensitivos, o motores, especialmente el nervio vago desde los pulmones y los nervios entéricos del tracto gastrointestinal 5,6. En roedores se han encontrado rECA2 en tallo, corteza motora, rafe medio y núcleos básales (células dopaminérgicas y colinérgicas), tejido glial, neuronal y vasculatura cerebral 3,4.
La acción del coronavirus sobre la célula produce alteraciones en la membrana celular, transporte vesicular, componente nuclear genético, retículo endoplásmico rugoso y mitocondria, de manera que altera tanto la producción proteica como la capacidad de control de reacciones Redox (estrés oxidativo), modificando la carga genética y expresando genes proapoptóticos, de modo que lleva, finalmente, a la muerte celular.
Adicionalmente, el conflicto inmunomediado por producción de interleucinas desde las células de la glía, principalmente la tipo 6, donde también están incluidos interferones y muchas otras, conduce a una tormenta de citocinas y, por último, a una respuesta inflamatoria sistémica, con compromiso neurológico por lesión directa, y secundario al compromiso sistémico, especialmente debido a hipoxemia por lesión alveolar y el compromiso circulatorio 3,4.
En relación con los hallazgos patológicos del sistema nervioso, se han encontrado alteraciones vasculares con lesiones del parénquima secundarias a hipoxia e hipoperfusión, y, aunque no en todos, acúmulos de alfa sinucleina, que se considera producto de envejecimiento acelerado. Se plantea, entonces, que la respuesta ante el COVID tenga un componente de fisiopatología cruzada y, junto con la respuesta inflamatoria mediada por interferones, lleven a que haya acumulación de proteínas, como se observa en otras enfermedades neurodegenerativas. En cuanto al compromiso neurológico se ha descrito un amplio espectro de manifestaciones en pacientes con infección por el SARS-CoV-2 (véase la Tabla 1).

Compromiso neurovascular
Se presentan los casos clínicos que se enlistan a continuación.
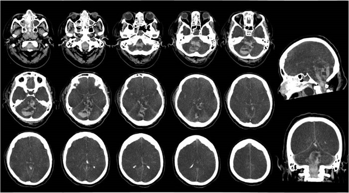
Caso clínico 1. Mujer de 69 años, con antecedente de hipertensión arterial, hipotiroidismo en suplencia y diabetes mellitus tipo II no insulinorequirriente, con cuadro clínico de quince días de fiebre no cuantificada, tos no productiva, disgeusia, anosmia, odinofagia y disnea de esfuerzo siete días después del inicio de los síntomas. Evoluciona a síndrome de dificultad respiratoria aguda (SDRA) severo, hipoxemia refractaria con trastorno de oxigenación severo (PAFI 60), con requerimiento de ventilación mecánica invasiva controlado por volumen, vasopresor e inotrópico (noradrenalina y dobutamina titulable), en contexto de neumonía grave de origen viral por SARS-CoV-2 confirmado. Se encuentran marcadores de severidad elevados (lactato deshidrogenasa 1575, proteína c reactiva 26, ferritina 2000, troponina 1344, dímero D > 10 000, leucocitosis 21 080 y linfopenia 2100), y reporte de tomografía de tórax simple con opacidades alveolares con patrón de vidrio esmerilado difusas en ambos campos pulmonares, con consolidaciones subpleurales posteriores de predominio en lóbulos inferiores. Progresa a falla renal aguda KDIGO ni, de etiología multifactorial en terapia de reemplazo renal con hemodiálisis. Recibe manejo con dexametasona, anticoagulación plena con enoxaparina, antibioticoterapia con cefepime, ciclos de pronación y sedación con propofol 10 mg hora y dexmedetomidina 0,5 mcg kg hora. Durante evolución presenta falla multiorgánica, síndrome coronario agudo, epistaxis, sangrado oral y vaginal, así como trombocitopenia 55 000, por lo que se suspende anticoagulación. Para el día diez de hospitalización en uci, durante retiro de sedación presenta deterioro neurológico, dado por presencia de midriasis arreactiva, reflejos de tallo ausente con bradicardia e hipotensión, por lo que fallece. Se realiza tomografía de cráneo simple con evidencia de hematoma retrovermiano que se extiende al hemisferio cerebeloso derecho, con un volumen aproximado de 46 cc (véase la Figura 1).

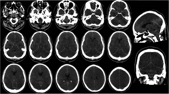
Caso clínico 2. Paciente masculino de 34 años remitido de San Buenaventura, Valle del Cauca, sin antecedentes conocidos. Ingresó después de cinco días de astenia, tos con abundante expectoración blanquecina, fiebre subjetiva, con posterior disnea progresiva asociada a hipoxemia en contexto de enfermedad SARS-C0V-2/ COVID-19 con falla ventilatoria, severo compromiso radiológico; recibe manejo con hidroxicloroquina, lopinavir, ritonavir, vancomicina, piperacilina/tazobactam y claritromicina. Durante evolución presenta parada cardíaca por actividad eléctrica sin pulso (AESP), posterior a lo cual documentan mioclonías cara y tronco. por lo que tratan con levetiracetam. Tomografía de cráneo simple evidenció edema cerebral y hemorragia subaracnoidea difusa con descenso amigdalino (véase la Figura 2), por lo cual se realizan medidas antiedema con solución salina hipertónica y sedación profunda con midazolam. Presenta complicaciones de SDRA severo en fase fibrótica con secuelas neurológicas en relación con encefalopatía hipóxico-isquémica, en estado de mínima conciencia y requerimiento de gastrostomía y traqueostomía. En el momento, paciente en seguimiento en controles por neurología, sin nuevas complicaciones ni procesos infecciosos a la fecha, dependiente funcional.

Mecanismo directo
El síndrome neurovascular, evento cerebro vascular (ECV) agudo, es aún una emergencia médica durante la infección por SARS-CoV-2. Se ha observado mayor riesgo de evento en pacientes con neumonía multilobar grave (SDRA primario severo, falla multiorgánica, coagulación intravascular diseminada, miocardiopatía arritmogénica, puntuaciones más altas de qSOFA con requerimiento de UCI y soporte ventilatorio), con un incremento de 2,5 veces, especialmente en pacientes con antecedente de ataque cerebrovascular, y una asociación del 1 al 6 % de los casos reportados, lo que conlleva a un peor pronóstico mRS ≥ 2, una morbilidad de 1,4-5,1 % y una mortalidad de alrededor del 75 %.
Se ha asociado a factores de riesgo en un 32,4 % por compromiso cardiovascular (daño miocárdico agudo, fibrilación auricular, endocarditis, fracción de eyección ≤ 30 %, valvulopatía), adultos mayores (> 65 años), trastornos crónicos (hipertensión, diabetes mellitus tipo II no controlada, dislipidemia, enfermedad renal crónica) y tabaquismo 7-12.
Las manifestaciones neurológicas pueden ocurrir en el inicio temprano de la infección (tiempo medio, 1-2 días) en el 43,8 % de los casos, con tiempo promedio de diez días después del diagnóstico confirmatorio por RT-PCR e inicio de los síntomas (rango 0-33) (COVID-19 grave 5,7 %, frente a 0,8 % en moderado), con una puntuación NIHSS al ingreso más alta ≥ 8 (mediana de 19 puntos) 12-15 (véase la Tabla 2).
Se ha encontrado que la mayor causa de ECV es de origen isquémico con un 81-85 % de los casos reportados y mayor incidencia en UCI; seguido por el ataque isquémico transitorio con un 11,6 %, hemorrágico entre un 7,7 %-12 % y trombosis del seno venoso cerebral en 0,5 %. En este contexto, acorde a los criterios Toast y Ascod (aterosclerosis, enfermedad de pequeño vaso, patología cardíaca, otras causas y disección), los reportes de casos y las series de casos, se ha presentado variabilidad de resultados (véase la Tabla 3) 11,13,19-25.

Entre los mecanismos directos por el virus que aumentan el riesgo de ataque cerebrovascular, se encuentran los que se enumeran a continuación 11,13,19,25-31.
Activación de la formación de aterosclerosis en las arterias cerebrales.
Acumulo de células inflamatorias en la pared vascular (monocitos/macrófagos CD68 + y linfocitos T CD3+) con alteración de la permeabilidad de la barrera hematoencefálica.
Ruptura de la placa de ateroma con generación de trombosis e infección crónica.
La unión de la glicoproteína s a rACE2 conduce a la regulación negativa de su función con efectos vasoconstrictores mediante la activación del receptor MAS con alteración de la regulación del sistema simpaticoadrenal y autorregulación del flujo sanguíneo cerebral.
Alteración del el equilibrio entre el eje regulador clásico RAS: ACE-Ang II-receptor de angiotensina 1 (AT1R) y el eje contrarregulador ACE2-Ang 1-7- MAS, con niveles más altos de Ang II en la sangre.
Menor angiogénesis en el tejido cerebral con efectos apoptóticos, antitrombóticos y neuroprotectores más bajos.
Estimulación de la activación del factor nuclear KB (NF-KB) en monocitos con mayor inflamación de la aterosclerosis.
Aumento anormal de la presión arterial con ruptura de la pared vascular (hemorragia cerebral, encefalopatía necrotizante y coagulopatía por consumo).
4. Estado prolongado de hipoxia con producción de eritropoyetina, con aumento de los niveles de hematocrito y viscosidad sanguínea alterando el flujo sanguíneo cerebral.
Trastornos del intercambio de gas alveolar.
Aumento de presión capilar cerebral, producción de líquido tisular y radicales libres de ácido láctico y oxígeno libre, con peroxidación lipídica de membrana afectando el metabolismo de la energía celular (glucólisis anaeróbica) y disfunción de la barrera hematoencefálica.
La acidosis metabólica conlleva a vasoespasmo cerebral y aumento de permeabilidad, lo que conduce a edema cerebral intersticial y disminución de la producción de ATP.
Sobrecarga intracelular de Ca2+, excitotoxicidad del glutamato que culmina en necrosis neuronal y astroglial, apoptosis y déficit neurocognitivo.
5. Neurotropismo viral: transporte axonal retrógrado y activación de los sistemas de complemento.
Mecanismo indirecto
Se ha evidenciado una reducción en el número de consultas médicas, situación que puede estar relacionada con el distanciamiento social, las restricciones por cuarentena y sistemas de emergencia públicos sobrecargados, con minimización, por parte de los pacientes y sus cuidadores, de los síntomas y los signos de alarma de un ECV. Las personas evitan ser derivadas a urgencias (especialmente con ECV leves no incapacitantes) debido al miedo a la exposición al virus del SARS-CoV-2 o la percepción de que las salas de urgencias están abarrotadas y abrumadas. La falta de diagnóstico y tratamiento oportuno conlleva a un incremento de las tasas de morbilidad y mortalidad que, en conjunto con la mayor exposición a factores de riesgo y limitación de acceso a medicaciones, principalmente antiagregantes o anticoagulantes, sin realización de exámenes complementarios, redundan en tiempos de reperfusión cerebrovascular más largos 32,33.
Recomendaciones de manejo

Compromiso nervio periférico
En el transcurso de la historia se ha reportado la presencia de desórdenes neuromusculares asociados a infección por coronavirus, incluidas manifestaciones neurológicas similares a la encefalitis de Bickerstaff y Guillain-Barré (SGB) relacionadas con MERS-CoV 6. Durante la pandemia, con el rápido aumento de casos se hizo más frecuente la evidencia de compromiso de sistema nervioso periférico asociado a SARS-CoV-2.
En enero del 2020 se reportó en Wuhan el caso de una paciente de 61 años que presentó debilidad aguda de miembros inferiores con progresión a miembros superiores, arreflexia y alteración de sensibilidad superficial; estudio de líquido cefalorraquídeo (LCR) con disociación albumino-citológica y estudios neurofisiológicos con latencias distales prolongadas y ausencia de respuestas tardías, considerándose SGB. Posteriormente, presentó fiebre y tos seca, con infiltrados de opacidades en vidrio esmerilado en ambos campos pulmonares y se realizó diagnóstico de infección por el nuevo coronavirus planteando la posibilidad SGB como un fenómeno parainfeccioso 37.
Reportes de otros casos se han dado con debilidad y parestesias de extremidades, compromiso de reflejos miotendinosos y de sensibilidad profunda, en su mayoría en los primeros cinco a diez días de iniciados los síntomas respiratorios 38,39, similar al síndrome posinfeccioso clásicamente descrito, dado que es poco frecuente la asociación con disautonomías. El departamento de neurología de Nueva York reportó dos casos que se presentaron a las tres semanas del inicio de los síntomas sistémicos 40, y se reportan otros casos sugestivos de variantes de SGB que se manifestaron con diplopia secundaria a oftalmoparesia, parestesias y debilidad en región facial, ataxia e hipo/arreflexia en probable relación con el síndrome de Miller Fisher 41,42.
En los casos mencionados, los estudios de LCR mostraron ausencia de pleocitosis en algunos hiperproteinorraquia y se destaca la reacción en cadena de polimerasa en tiempo real (RT-PCR), al ser negativa para SARS-CoV-2. Los estudios neurofisiológicos mostraron compromiso axonal y desmielinizante, mientras que las neuroimágenes mostraron RM cerebral normal con realce de las raíces nerviosas caudales en algunos casos. La estrategia terapéutica en la mayoría fue el uso de inmunoglobulina 37,38,40,43, mientras que el grupo de Nueva York trató con plasmaféresis 40.
Otra de las manifestaciones en las que se ha planteado probable asociación por la relación temporal con el diagnóstico de COVID-19 son las neuropatías craneales. Se reportó un caso de parálisis del nervio abduces bilateral en un paciente de 39 años sin otra sintomatologia asociada con resolución completa y espontánea posterior a dos semanas 41. Otro paciente de 32 años con parálisis facial periférica dada por dificultad para la oclusión del ojo izquierdo y desviación de la comisura labial, House-Brackman IV, veintiocho días posterior al inicio de síntomas respiratorios y tras haberse confirmado infección por SARS-CoV-2. Las neuroimágenes descartaron lesión nuclear y se evidenció realce con contraste del nervio facial en sus segmentos intralaberíntico e intracanalicular sugestivo de neuritis 43.
Se ha evidenciado el impacto en el abordaje de los pacientes, si se tiene en cuenta que se han restringido en casos determinados la realización de algunos exámenes diagnósticos o procedimientos que se realizan para soportar la impresión diagnóstica de forma rutinaria fuera del contexto de pandemia. Punciones lumbares, estudios neurofisiológicos y neuroimágenes se limitan debido a la alta ocupación hospitalaria y los protocolos de aislamiento 41,42.
Movimientos anormales
Los casos clínicos se enlistan y describen a continuación.
Caso clínico 3. Paciente de 59 años con antecedente de parkinsonismo, quien cumple criterios para atrofia de múltiples sistemas, con compromiso disautonómico severo, así como bradicinesia y rigidez, sin compromiso de funciones mentales superiores ni de otros sistemas. Estuvo en casa cuidándose de la pandemia, pero requería ayuda de terapias física, ocupacional y del lenguaje. Presenta deterioro respiratorio rápidamente progresivo dado por disnea, tos y desaturación rápidamente progresiva, confirmándose infección por COVID-19. Adicionalmente, con empeoramiento de la hipotensión presente en su condición de base, requiriendo aporte de oxígeno suplementario a los tres días e intubación orotraqueal dos días después con soporte inotrópico, a pesar de lo cual sufre paro cardiorrespiratorio sin respuesta a maniobras y fallece.
Tanto en la enfermedad de Parkinson como en otras sinucleopatias, así como en otros movimientos anormales de diferente origen, se ha observado empeoramiento de manifestaciones motoras y no motoras, con múltiples síntomas en común secundario a múltiples estructuras del sistema nervioso, con la diferencia de la temporalidad y persistencia de estos. En una encuesta realizada por la Michael J. Fox Foundation a 7200 pacientes, en la que 5429 con EP respondieron, estos manifestaron que el 43 % presentó empeoramiento de sus síntomas motores, el 52 % manifestó deterioro de síntomas no motores y el 35 % refirió alteraciones en las funciones de la vida diaria2. Lo anterior se ha relacionado con varios factores: temor a consultar por el miedo a contagiarse, aislamiento social, dificultades al acceso, y el mismo solapamiento de los síntomas entre algunas enfermedades neurodegenerativas y el COVID-19, llevando a que, finalmente, este tipo de pacientes empeoren su pronóstico.
En la infección por COVID-19, la hiposmia y disosmia son síntomas que se pueden presentar incluso antes de las manifestaciones respiratorias, al igual que la ageusia. Se ha observado que los pacientes recuperan estas funciones usualmente en dos a cuatro semanas después de haberse recuperado, sin embargo, este síntoma prodrómico en la infección por COVID-19 puede no ser de ayuda en la EP, puesto que la hiposmia es también uno de los síntomas que se pueden presentar hasta veinte años antes del inicio de los síntomas motores en la EP y será aún más difícil empezar a reconocer los síntomas asociados a COVID. Igualmente pasa con la fatiga y la disnea, síntomas presentes en hasta el 36 % de los pacientes con EP.
Los mareos, la somnolencia, la sensación de debilidad generalizada como manifestación de hipotensión, finalmente puede llevar a presentar síncopes afectando al paciente con EP, no solo por ser parte de los síntomas no motores, sino también por los efectos de algunos medicamentos como, por ejemplo, los agonistas dopa. Síntomas como estos pueden también ser una manifestación en la fase avanzada de la infección por COVID-19, llevando a solaparse y confundir tanto al paciente como al personal de salud (véase la Tabla 5).

El nervio vago también está directamente expuesto en ambas enfermedades. Mientras que en la EP se manifiesta con estreñimiento con la teoría de la relación con microbiota y translocación proteica priónica, en el COVID-19 se manifiesta con diarrea por compromiso directo e inflamatorio en cascada por la reacción al virus.
Pero los síntomas no son lo único común en la relación EP-COVID-19; acúmulos de Alfa sinucleina en cerebros de pacientes que han fallecido por ambas causas se han atribuido a producto de envejecimiento acelerado por la reacción inflamatoria mediada por interferones, los cuales, a su vez, llevan a que haya acumulación de otras proteínas.
En una reciente publicación se encontró que los pacientes con EP que requieren hospitalización tienen mayor riesgo de mortalidad, de manera que la única comorbilidad que empeoraba el pronóstico era la diabetes mellitus.
Quedan preguntas por responder que solo el tiempo nos permitirá aclarar, pero tal vez la más importante es la siguiente: ¿ocurrirá lo mismo que hace cien años en la pandemia de 1918?; es decir, cuando la encefalitis que afectó a más de cinco millones de personas (enfermedad de Von Ecconomo) se manifestó como un parkinsonismo, con la salvedad de que en esa pandemia, en las muestras patológicas, no fue posible documentar agregados de alfa sinucleina 3.
Indirectamente se encuentra también que los pacientes tienen menos oportunidad de consultar y se observa deterioro de síntomas y complicaciones propias de la enfermedad 44. Un estudio iraní muestra que la ansiedad empeora en los pacientes que ya la presentan y se desarrolla en otros, secundaria al miedo de contagiarse, de no conseguir medicaciones y de estar confinados en sus casas 4.
El aislamiento ha llevado a que los pacientes no puedan realizar actividad física de la misma manera que lo hacían antes de la pandemia, así como terapias física, ocupacional y, especialmente, del lenguaje y respiratoria, restringidas por el riesgo de contagio.
Las opciones de tratamiento con terapias avanzadas para complicaciones de la EP como fluctuaciones motoras y discinesias severas también deben postergarse.
Opción de cirugía de EP, movimientos anormales y otros trastornos neuropsiquiátricos en medio de pandemia
En el caso de que un paciente sea candidato a cirugía de implante de sistema de neuroestimulación para movimientos anormales, se debe posponer el procedimiento hasta que haya pasado el pico epidemiológico. Además, aunque el objetivo es no exponer al paciente a riesgo, el procedimiento puede realizarse en una institución en la que no se traten pacientes con COVID-19, lo cual es impredecible en la mayoría de los casos. Mientras la cirugía se pueda realizar, el paciente debe ser atendido y sus medicaciones deben ser optimizadas para todos los síntomas, teniendo en cuenta el aislamiento que debe guardar y las limitaciones físicas y las complicaciones emocionales. Si el paciente es llevado a cirugía, se sugiere que la programación se inicie en el momento en que se autorice la consulta con tiempo suficiente de seguimiento. Como resultado de la programación de neuroestimuladores deben prevenirse complicaciones tales como discinesias, rigidez por efecto capsular y otras que pueden llevar al paciente a consultar a urgencias.
Algunos procedimientos se deben priorizar, dado el riesgo de complicaciones severas que pueden llevar al paciente a requerir manejo en unidad de cuidados intensivos e, incluso, riesgo de mortalidad, como es el caso de recambio de generador, especialmente en movimientos anormales como los anotados en la Tabla 6.

También puede ser una urgencia la aparición de complicaciones tempranas y tardías de la cirugía (incluso uno o dos años después), tales como infecciones, fractura del electrodo o de la extensión y falla de la batería, entre otras. No podemos olvidar a los pacientes que manipulan sus sistemas de neuroestimulación, quienes pueden apagarlo accidentalmente e incluso modificar los programas, de manera que se complican.
En caso de que no haya opciones de reemplazar el generador, se debe optimizar los medicamentos dopaminérgicos, bien sea aumentando la dosis, o bien la frecuencia de toma de medicaciones, o de ser posible intentar estimulación dopaminérgica continua. Para distonías se debe considerar medicaciones que ayuden en los movimientos, disminuyan la ansiedad y el dolor, tales como benzodiacepinas, toxina botulínica o baclofeno.
En caso de temblor esencial se recomienda usar las medicaciones conocidas y que puedan ayudar al paciente sin producir mayores efectos secundarios, entre las cuales se encuentran fenobarbital, primidona, propanolol, topiramato e, incluso, toxina botulínica.
El manejo de pacientes con depresión, TOC y otras alteraciones neuropsiquiátricas debe ser en conjunto con el psiquiatra 4.
Existe otra serie de eventos que se deben tener en cuenta por deterioro de la enfermedad y que, además de medicaciones, pueden beneficiarse de terapias, como son los pacientes con coreas, ataxias y movimientos anormales complejos, entre otros.
Se recomienda que las visitas por consulta externa puedan ser sustituidas por las herramientas disponibles de telemedicina y solo se deben realizar cuando es necesario el contacto directo para ajustar o verificar la programación de DBS, o el estado de la batería de la ECP. Esperamos que en un futuro muy cercano podamos en nuestro país usar métodos de cambio de parámetros de neuroestimulación de forma remota y evaluar resultados de la misma manera 45.
Asimismo, en el caso de valoración de movimientos anormales para la EP, las escalas pueden ser aplicadas por telemedicina, acorde a lo evaluado y autorizado por la Movement Disorders Society 46.
Puede ser necesario el contacto directo con el paciente para la terapia con toxina botulínica cuidadosamente, según sea necesario, asegurando un equipo de protección personal adecuado. La cuarentena limita el estilo de vida activo de los pacientes con EP, que puede empeorar por afecciones preexistentes, como, por ejemplo, apatía, alteraciones afectivas o discapacidad física, entre otras 47.
Se sugiere fomentar los juegos de ejercicios de realidad virtual o los instrumentos de ejercicios en el hogar. En caso de infección por COVID-19, así como se recomienda para cualquier tipo de neumonía, el médico debe garantizar el mantenimiento de los medicamentos previos para la EP, especialmente las dosis adecuadas de levodopa, a fin de evitar la rigidez, las contracturas y la insuficiencia respiratoria con capacidad vital reducida y el flujo espiratorio máximo.
Epilepsia
Caso clínico 4. Paciente de treinta años sin antecedentes conocidos, quien ingresa por cuadro de cuatro días de fiebre, tos progresiva seca, diarrea y emesis. Progresa a infección respiratoria aguda grave con reporte de RT-PCR para SARS-CoV-2 positiva, con linfocitos 670, dímero d 680, ferritina 751, troponina 8 y TAC de tórax con extensos infiltrados de ocupación alveolar en todos los lóbulos pulmonares con tendencia a la consolidación, especialmente en hemitórax izquierdo, y de vidrio esmerilado en los restantes lóbulos. Durante su estancia hospitalaria presenta requerimiento de aumento de oxígeno suplementario con hipoxemia en deterioro y necesidad de IOT. Quince días después de inicio de síntomas presenta episodio de postura tónica y movimientos clónicos de un minuto de duración, y luego dos episodios más que requieren uso de 5 mg de midazolam; se desconoce periodo intercrisis, sin nuevos episodios, dado que se encuentra bajo sedación no es posible detallar la recuperación del estado de conciencia entre estos. Sin antecedentes de crisis febriles, ausencias, mioclonías ni crisis previas, sin elementos clínicos o en imagen que configuren definición de epilepsia, por lo que se considera que puede tratarse de una crisis sintomática en contexto de SDRA grave. Progresa con evolución favorable, tolera extubación de manera satisfactoria sin recurrencia posterior de crisis, posterior al control de comorbilidades sistémicas, actualmente sin nuevos episodios de crisis y ausencia de anticonvulsivante.
En la literatura son pocos los reportes que describen causalidad de la infección por COVID-19 y su relación con epilepsia de Novo; sin embargo, se hace mención en el contexto de infección SARS-CoV-2 severa. En la literatura se reporta un caso de estatus epiléptico focal como presentación inicial del virus, en un paciente con epilepsia posencefalítica bien controlada, sin expresar un compromiso pulmonar significativo, de modo que se sugiere considerar la manifestación de epilepsia incluso de forma inicial de la enfermedad 48.
Son más frecuentes las crisis sintomáticas agudas y provocadas por la presencia de alteración metabólica, electrolítica y falla multiorgánica, dado que estos pacientes tienen riesgo de más comorbilidades, incluyendo factores cardiovasculares, así como tres veces más riesgo de presentar neumonía que la población general. En el contexto anotado debe considerarse este diagnóstico diferencial y requerir incluso monitorización con EEG 49.
Entre los mecanismos relacionados con la presentación de crisis se incluye el efecto neurotrópico, las toxinas producidas por SARS-CoV-2 y citoquinas inflamatorias en el cerebro, que pueden conducir a cascada inflamatoria, resultando en hiperexcitabilidad neuronal por activación de los receptores de glutamato y, consecuentemente, en la presentación de crisis epilépticas 50.
Asimismo, después de la penetración de la barrera hematoencefálica, el virus puede retrasar la microcirculación cerebral, posiblemente mediante la creación de un estado hipercoagulable; esto permite una mayor interacción de SARS-CoV-2 con los receptores endoteliales y los receptores en el tejido glial que resulta en mayor predisposición a crisis 51.
Es importante aclarar si la epilepsia implica mayor riesgo de adquirir la infección, ante lo cual la CDC sugiere que podría considerarse un factor de riesgo a pesar de la pobre evidencia descrita. Esto se soporta en el estudio observacional realizado en Málaga, España, con 1537 pacientes con diagnóstico de epilepsia, en el que se encontró una incidencia acumulada de COVID en 1,2 % comparado con la población sin epilepsia en 0,5 %, de manera que es la hipertensión el factor de asociación con mortalidad en pacientes con epilepsia activa 52. Estos hallazgos contrastan con la población china, con una cohorte de 304 pacientes de los cuales 108 se encontraban en condiciones severas, sin historia conocida de epilepsia; no se observaron crisis sintomáticas agudas o estatus epiléptico, dos personas presentaron eventos paroxísticos no epilépticos durante la hospitalización en relación con estrés e hipoglucemia, de modo que se identificó en un 27 % de los pacientes factores predisponentes para crisis; sin embargo, no se logró evidenciar riesgo adicional de crisis sintomáticas agudas 53.
Por otra parte, la asociación entre antiepilépticos y medicamentos de uso en COVID debe considerarse, dada la interacción farmacocinética con fármacos inductores 54. En una revisión sistemática se evaluó la predisposición de crisis con el uso de cloroquina e hidroxicloroquina, los cuales se han asociado con mayor riesgo de crisis. Sin embargo, de este estudio se destaca que dicha declaración no está respaldada por ningún estudio de clase I, sino por informes de casos anecdóticos y series de casos, pues dos ensayos clínicos no lograron demostrar un mayor riesgo de convulsiones con estos medicamentos 55.
Finalmente, hay retos que trae consigo la pandemia como los son las barreras de acceso a la consulta y la adquisición de medicamentos; se estima que el 65-70 % de los pacientes estará libre de crisis con un tratamiento antiepiléptico adecuado en la dosis precisa 56. La atención en telesalud es una estrategia en curso para garantizar el adecuado control de estos pacientes.
Cefalea
Si bien el COVID-19 ha demostrado que actúa, principalmente, en la vía respiratoria y a nivel pulmonar, las manifestaciones del SNC pasaron inicialmente desapercibidas, pero a medida que se reportaron series de casos y revisiones sistemáticas se evidenciaron síntomas neurológicos comunes, como, por ejemplo, la cefalea.
La cefalea es un síntoma aceptado en los primeros días de una infección viral sistémica según la Clasificación Internacional de Trastornos por Cefalea ICDH 57,58. Se han descrito múltiples mecanismos que pueden explicar la cefalea no solo como un síntoma. El principal mecanismo considera la invasión viral directa del tejido nervioso, con activación de mediadores de inflamación sistémica de manera desproporcionada, logrando generar ruptura de la barrera hematoencefálica pero sin invasión viral directa o desmielinización parainfecciosa, ocasionando lo que se conoce como “síndrome de liberación de citocinas (SRC)” que pueden llegar a desencadenar neurotoxicidad 59.
Durante el inicio del SRC en el SARS-CoV-2, el aumento de marcadores inflamatorios involucran el péptido relacionado con el gen de la calcitonina (CGRP) que, como se ha descrito en la última década, ha tomado un papel protagonista dentro del mecanismo fisiopatológico de las cefaleas primarias, en especial en la migraña. De la misma manera explicaría la presunta activación viral de los canales de receptor potencial transitorio (TRP) que constituyen el grupo principal de detectores moleculares y transductores de cationes no selectivos con relativamente alta permeabilidad al Ca2+, los cuales son expresados, en especial, como transductores primarios de la mayoría de las modalidades sensoriales conocidas como visión, oído, olfato, gusto y tacto, relacionados con la ageusia y anosmia, y una segunda activación que genera la estimulación nociceptiva del nervio trigémino, lo que explica la aparición de la cefalea 60.
Otro mecanismo es la interacción del receptor de la enzima convertidora de angiotensina tipo 2 (ACE-2), por la que la Ang II aumenta los niveles circulantes de CGRP, de modo que contribuye a la cefalea. Además, su antagonismo es eficaz en el tratamiento de la migraña 61.
Una tercera explicación se da por la vásculopatía que resulta de la expresión antígeno ACE2 en las células endoteliales, con vasoconstricción desequilibrada, estrés oxidativo y formación de radicales libres tras la regulación a la baja e internalización de la ECA2 transmembrana por la unión del virus. Las fibras del nervio trigémino perivascular serían estimuladas secuencialmente en la cavidad nasal, oral, vasos cefálicos y circundantes, y en la duramadre, de modo que son generadores de cefalea 62.
Entre las revisiones sistemáticas y los metaanálisis de manifestaciones neurológicas en COVID-19 publicadas, un estudio que incluyó a más de 40 000 pacientes de sesenta estudios calculó un promedio de presentación de cefalea del 12 % (4 % -23 %) 63, mientras que en otros se evidenció que corresponde, aproximadamente, a la cuarta patología neurológica descrita (13-18 %) 64 severe acute respiratory syndrome coronavirus 2 (SARS-CoV-2. En otra revisión de 51 estudios, con 16 446 pacientes, alcanzó el 20,1 % de la población estudiada, con un rango de 2,0 a 66,1 %. En pacientes con COVID-19 y los datos disponibles sobre la gravedad del curso de la enfermedad, el dolor de cabeza se informó con más frecuencia en la enfermedad leve o moderada en comparación con la enfermedad grave o crítica (10,8 % frente a 8,3 %, IC del 95 % sin superposición) 2.
La European Migraine & Headache Alliance (EMHA) y la Federación Europea del Dolor de Cabeza (EHF), el pasado mes de marzo, realizaron una publicación en la que plantean la preocupación por el temor a usar ciertos medicamentos usados con frecuencia como tratamiento del dolor de cabeza, entre estos los inhibidores del sistema renina-angiotensina (RAS) y el ibuprofeno en relación con un mayor riesgo de infección por COVID-19, al sugerir que aumentan la ACE2. Sin embargo, la Agencia Europea de Medicamentos y la OMS concluyeron que no existe evidencia suficiente para restringir su uso, no obstante, se prefiere el uso de paracetamol en el manejo de dolor de cabeza como causa de infección viral 65.
Neuroimágenes y diagnósticos diferenciales en otras manifestaciones neurológicas
Con la presentación de manifestaciones neurológicas, las neuroimágenes son de utilidad en la evaluación de diagnósticos diferenciales. En el caso de pacientes con COVID-19 severo se han descrito tres patrones predominantes: alteraciones de la señal localizadas en el lóbulo temporal medial, lesiones hiperintensas de la sustancia blanca multifocal no confluente en Flair y difusión con realce variable, asociadas a lesiones hemorrágicas y microhemorragias de sustancia blanca extensas y aisladas, estas últimas asociadas con un peor estado respiratorio, neurológico y biológico estado respiratorio, neurológico y biológico 66.
En un estudio multicéntrico en el que se incluyeron 64 pacientes con manifestaciones neurológicas y un estudio de RMN se describieron hallazgos que se clasificaron en tres grupos: 1) ACV isquémico: a) infartos de arterias grandes, b) infartos limítrofes, c) infartos lacunares, y d) hipóxico isquémico; 2) encefalitis: a) encefalitis límbica, b) lesión citotóxica del cuerpo calloso (CLOCC), c) encefalomielitis aguda diseminada radiológica (ADEM), d) encefalopatía necrotizante hemorrágica aguda, y e) encefalitis miscelánea; 3) realce leptomeníngeo. De este grupo de pacientes, 36 (el 56 %) resonancias magnéticas cerebrales se consideraron anormales, posiblemente relacionadas con el SARS-CoV-2. Los accidentes cerebrovasculares isquémicos (27 %) y la encefalitis (13 %) fueron los hallazgos de neuroimagen más frecuentes. Se observó realce leptomeníngeo en las secuencias Flair y ponderadas en T1 poscontraste. Entre las ocho encefalitis, se describieron dos casos de encefalitis límbica, dos casos de encefalopatía necrosante hemorrágica aguda radiológica, dos casos de encefalitis miscelánea, un caso de ADEM radiológica y un caso de CLOCC 67.
Respecto a este último grupo de manifestaciones, el SARS-CoV-2 debería incluirse en el diagnóstico diferencial de encefalitis junto con otros virus neurotropos. Los síntomas usuales incluyen fiebre, cefalea, crisis epilépticas, trastornos conductuales y alteración del estado de conciencia 68. El primer paciente descrito, de veinticuatro años, debutó con cefalea y odinofagia, posterior alteración del estado de conciencia y crisis convulsivas; se realizó la detección del virus en muestra de LCR, con hallazgos imagenológicos dados por hiperintensidad del lóbulo temporal mesial derecho e hipocampo 69. Asimismo, se describió un caso de encefalopatía necrotizante aguda hemorrágica como complicación asociada en una paciente de 58 años que consulta por un cuadro de tres días de tos, fiebre y alteración del estado de conciencia, con PCR positivo para COVID-19 y negativo para el virus del herpes simple 1 y 2, el virus del Nilo occidental y el virus de la varicela zóster. La RMN cerebral demostró lesiones que realzan en tálamos bilaterales, con componente hemorrágico en secuencia de susceptibilidad e hiperintensidad en los lóbulos temporales mediales y las regiones subinsulares.
Los hallazgos en LCR de una cohorte de seis pacientes con observaciones en neuroimagen sugestivos de encefalopatía mostraron marcadores de inflamación: cuatro tenían pleocitosis, cinco niveles altos de proteína, dos tenían inmunoglobulina G elevada y otro tenía bandas oligoclonales idénticas en LCR y suero, destacando en ellos que el análisis RT-PCR SARS-CoV-2 fue negativo 67, por lo que en el contexto descrito la sospecha clínica debe orientar a evaluar este diagnóstico.
Otros hallazgos a destacar en este grupo es la presencia de lesiones citotóxicas del cuerpo calloso (CLOCC), entendido como un trastorno clínico-radiológico, caracterizado por una encefalopatía leve transitoria y una lesión reversible del cuerpo calloso, predominante en el esplenio, relacionadas con edema citotóxico, por los mecanismos mediados por citocinas previamente descritos 67.
Teniendo en cuenta la naturaleza inmunomediada del SARS-CoV-2 se han reportado manifestaciones como ADEM en un caso de un paciente de 71 años, positivo para infección por MERS-CoV que desarrolló nuevas lesiones en la sustancia blanca profunda periventricular, cuerpo calloso, tallo, cerebelo izquierdo y cordón cervical después de veinticuatro días de la enfermedad.
Se debe considerar el curso clínico complejo de la enfermedad, lo que incluye condiciones comórbidas, como, por ejemplo, diabetes mellitus, estadía prolongada en la UCI con regímenes de múltiples fármacos, dificultad respiratoria con episodios de hipoxia, que pueden ser factores de confusión y, consecuentemente, se torna difícil establecer una clara relación causa-efecto entre la infección por COVID-19 y los hallazgos de la resonancia magnética 70, por lo que los hallazgos descritos se deben evaluar de acuerdo con la clínica del paciente.
Conclusiones
Las múltiples publicaciones acerca de la pandemia por COVID-19 han demostrado el aumento de la incidencia de manifestaciones del SNC que empeoran los síntomas en unos casos y en otros casos aumentan secundariamente la mortalidad. Aunque síntomas como la cefalea se describen cada vez con mayor frecuencia, puede tener múltiples orígenes y pacientes que la refieran deben tener una evaluación más estrecha y considerar estudios adicionales, dado que puede ser de origen primario por el virus o complicaciones de la cascada inflamatoria, tales como hemorragias o encefalitis, entre otras. El compromiso mismo del SNC puede llevar a complicaciones vasculares y manifestarse como eventos isquémicos o hemorragias, también de origen multifactorial.
Pacientes con compromiso neurológico previo tales como epilepsias o enfermedades neurodegenerativas van a ver aumentada su sintomatologia y probable deterioro, por compromiso directo (aumento de la acumulación de alfa-sinucleina a nivel extracelular) o indirectamente por falta de oportunidades al no tener acceso al sistema de salud, los medicamentos o por miedo a consultar y ser infectado. El COVID-19 afecta también el sistema nervioso periférico produciendo neuropatías o radiculoneuropatías que pueden dejar secuelas y discapacidad permanente.
La consulta oportuna de los síntomas con los que viene el paciente, recordar los signos de alarma y mantener hábitos saludables ayudarán a prevenir la infección por el virus. En caso de adquirirlo, el manejo médico oportuno tanto de la infección como de las complicaciones, probablemente, redundará en un mejor pronóstico.
Quedan muchas preguntas cuya respuesta se irán dilucidando: ¿es posible que, así como se observan secuelas pulmonares, a nivel neurológico ocurra lo mismo?, ¿el acúmulo de alfa-sinucleina nos mostrará otras manifestaciones como lo ocurrido hace cien años?, ¿controlar la cascada inflamatoria desde el comienzo ayudará a minimizar o evitar el compromiso neurológico?
Finalmente, a nuestro hospital de cuarto nivel han llegado pacientes con manifestaciones directas e indirectas como las que anotamos en este artículo y recomendamos acatar las recomendaciones aquí escritas.
Agradecimientos
Al servicio de neurología del Hospital Militar Central por el trabajo en equipo que lo caracteriza
Referencias
Lu H, Stratton CW, Tang Y W. Outbreak of pneumonia of unknown etiology in Wuhan, China: The mystery and the mirac. J Med Virol. 2020;92(4):401-2. DOI: https://doi.org/10.1002/jmv.25678
Chen N, Zhou M, Dong X, Qu J, Gong, F., Han Y, et al. Epidemiological and clinical characteristics of 99 cases of 2019 novel coronavirus pneumonia in Wuhan, China: a descriptive study. Lancet. 2020;395(10223):507-13. DOI: https://doi.org/10.1016/S0140-6736(20)30211-7
Papa SM, Brundin P, Fung VSC, Kang UJ, Burn DJ, Colosimo C, et al. Impact of the COVID-19 Pandemic on Parkinsons Disease and Movement Disorders. Mov Disord. 2020;35(5):711-5. DOI: https://doi.org/10.1002/mds.28067
Lippi A, Domingues R, Setz C, Outeiro TF, Krisko A. SARS-CoV-2: At the Crossroad Between Aging and Neurodegeneration. Mov Disord. 2020;35(5):716-20. DOI: https://doi.org/10.1002/mds.28084
Costello F, Dalakas MC. Cranial Neuropathies and COVID-19: Neurotropism and Autoimmunity. Neurology. 2020;95(5):195-6. DOI: https://doi.org/10.1212/WNL.0000000000009921
Ahmed MU, Hanif M, Ali MJ, Haider MA, Kherani D, Memon GM, et al. Neurological Manifestations of COVID-19 (SARS-CoV-2): A Review. Front Neurol. 2020;11:518. DOI: https://doi.org/10.3389/fneur.2020.00518
Avula A, Nalleballe K, Narula N, Sapozhnikov S, Dandu V, Toom S, et al. COVID-19 presenting as stroke. Brain Behav Immune. 2020;87:115-119. DOI: https://doi.org/10.1016/j.bbi.2020.04.077
Khosravani H, Rajendram P, Notário L, Chapman MG, Menon BK. Protected Code Stroke: Hyperacute Stroke Management during the Coronavirus Disease 2019 (COVID-19) Pandemic. Stroke. 2020;51(6): 1891-1895. DOI: https://doi.org/10.1161/STROKEAHA.120.029838
Nguyen TN, Abdalkader M, Jovin TG, Nogueira R, Jadahav A, Hausse D, et al. Mechanical Thrombectomy in the Era of the COVID-19 Pandemic: Emergency Preparedness for Neuroscience Teams: A Guidance Statement From the Society of Vascular and Interventional Neurology. Stroke. 2020;51(6):1896-901. DOI: https://doi.org/10.1161/STROKEAHA.120.030100
Romoli M, Jelcic I, Bernard-Valnet R, Garcia Azorin D, Mancinelli L, Akhvlediani T, et al. A Systematic Review of Neurological Manifestations of SARS-CoV-2 Infection: The Devil is Hidden in the Details. Eur J Neurol. 2020;10:1111. DOI: https://doi.org/10.1111/ene.14382
Reddy ST, Reddy ST, Garg T, Shah C, Nascimento FA, Imran R, et al. Cerebrovascular Disease in Patients with COVID-19: A Review of the Literature and Case Series. Case Rep Neurol. 2020;12(2):199-209. DOI: https://doi.org/10.1159/000508958
Benussi A, Pilotto A, Premi E, Libri I, Giunta M, Agosti C, et al. Clinical Characteristics and Outcomes of inpatients with neurologic disease and COVID-19 in Brescia, Lombardy, Italy. Neurology. 2020;10:1212. DOI: https://doi.org/10.1212/WNL.0000000000009848
Yaghi S, Ishida K, Torres J, Mac Grory B, Raz E, Humbert K, et al. SARS-CoV-2 and Stroke in a New York Healthcare System. Stroke. 2020;51(7):2002-11 DOI: https://doi.org/10.1161/STROKEAHA.120.030335
Mao L, Jin H, Wang M, Hu Y, Chen S, He Q, et al. Neurologic Manifestations of Hospitalized Patients with Coronavirus Disease 2019 in Wuhan, China. JAMA Neurol. 2020;77(6):1-9.
Beyrouti R, Adams ME, Benjamin L et al. Characteristics of ischaemic stroke associated with COVID-19. J Neurol Neurosurg Psychiatry. 2020;91:889-91. DOI: https://doi.org/10.1136/jnnp-2020-323586
Ellul MA, Benjamin L, Singh B, Lant S, Michael BD, Easton A, et al. Neurological associations of COVID-19. Lancet Neurol. 2020;19(9):767-83. DOI: https://doi.org/10.1016/S1474-4422(20)30221-0
Wang L, Shen Y, Li M, Chuang H, Ye Y, Zhao H, et al. Clinical manifestations and evidence of neurological involvement in 2019 novel coronavirus SARS-CoV-2: a systematic review and meta-analysis. J Neurol. 2020;11:1-13. DOI: https://doi.org/10.1007/s00415-020-09974-2
Payus AO, Lin CLS, Noh MM, Jeffree MS, Ali RA. SARS-CoV-2 infection of the nervous system: A review of the literature on neurological involvement in novel coronavirus disease-( COVID-19). Bosn J Basic Med Sci. 2020;20(3):283-92.DOi:https://doi.org/10.17305/bjbms.2020.4860
Wu Y, Xu X, Chen Z, Duan J, Hashimoto K, Yang L. Nervous system involvement after infection with COVID-19 and other coronaviruses. Brain Behav Immun. 2020;87:18-22. DOI: https://doi.org/10.1016/j.bbi.2020.03.031
Bridwell R, Long B GM. Neurologic complications of COVID-19. Am J Emerg Med. 2020;38(7):1-5. DOI: https://doi.org/10.1016/j.ajem.2020.05.024
Romero-Sánchez CM, Díaz-Maroto I, Fernández-Díaz E, Sánchez-Larsen Á, Layos-Romero A, García-García J, et al. Neurologic manifestations in hospitalized patients with COVID-19: The albaCOVID registry. Neurology. 2020;10:1212. DOI: https://doi.org/10.1212/WNL.0000000000009937
Román G, Spencer P, Reis J, Buguet A, Faris M, Katrak S, et al. The Neurology of COVID-19 Revisited: A Proposal from the Environmental Neurology Specialty Group of the World Federation of Neurology to Implement International Neurological Registries. J Neurol Sci. 2020;414(4):116884. DOI: https://doi.org/10.1016/j.jns.2020.116884
Pryce-Roberts A, Talaei M, Robertson N. Neurological complications of COVID-19: a preliminary review. J Neurol. 2020;267(6): 1870-3. DOI: 10.1007/s00415-020-09941-x
Moshayedi P, Ryan TE, Mejia LLP, Nour M, Liebeskind DS. Triage of Acute Ischemic Stroke in Confirmed COVID-19: Large Vessel Occlusion Associated With Coronavirus Infection. Front Neurol. 2020;11(April): 10-2.
Spence J, de Freitas G., Pettigrew L, Ay H, Liebeskind D, Kase C, et al. Mechanisms of Stroke in COVID-19. Cerebrovasc Dis. 2020;20(7):1-8. DOI: https://doi.org/10.1159/000509581
Oxley TJ, Moceo J, Majidi S, et al. Large-Vessel Stroke as a Presenting Feature of COVID-19 in the Young. N Engl J Med. 2020;382(20):60. DOI: https://doi.org/10.1056/NEJMc2009787
Fan H, Tang X, Song Y, Liu P, Chen Y. Influence of COVID-19 on cerebrovascular disease and its possible mechanism. Neuropsychiatr Dis Treat. 2020;16:1359-67. DOI: https://doi.org/10.2147/NDT.S251173
Sheraton M, Deo N, Kashyap R, Surani S. A Review of Neurological Complications of COVID-19. Cureus. 2020;2(5):8192. DOI: https://doi.org/10.7759/cureus.8192
Jin H, Hong C, Chen S, Zhou Y, Wang Y, Mao L, et al. Consensus for Prevention and management of coronavirus disease 2019 (COVID-19) for neurologists. Stroke Vase Neurol. 2020;5(2):146-51. DOI: https://doi.org/10.1136/svn-2020-000382
Divani A, Andalib S, Napoli M, Lattanzi S, Hussain M, Mccullough L, et al. Coronavirus Disease 2019 and Stroke: Clinical Manifestations and Pathophysiological Insights. J Stroke Cerebrovasc Dis. 2020;29(8):104941. DOI: https://doi.org/10.1016/j.jstrokecerebrovasdis.2020.104941
Montalvan V, Lee J, Bueso T, De Toledo J, Rivas K. Neurological manifestations of COVID-19 and other coronavirus infections: A systematic review. Clin Neurol Neurosurg. 2020;194(7):105921. DOI: https://doi.org/10.1016/j.clineuro.2020.105921
AHA/ASA Stroke Council Leadership. Temporary Emergency Guidance to us Stroke Centers During the Coronavirus Disease 2019 (COVID-19) Pandemic: On Behalf of the American Heart Association/American Stroke Association Stroke Council Leadership. Stroke. 2020;51(6):1910-2. DOI: https://doi.org/10.1161/STROKEAHA.120.030023
Han Y, Zeng H, Jiang H, Yang Y, Yuan Z, Cheng X, et al. csc Expert Consensus on Principles of Clinical Management of Patients with Severe Emergent Cardiovascular Diseases during the COVID-19 Epidemic. Circulation. 2020;141(20):810-6. DOI: https://doi.org/10.1161/CIRCULATIONAHA.120.047011%0A%0A
Dafer R, Osteraas N, Biller J. Acute Stroke Care in the Coronavirus Disease 2019 Pandemic. J Stroke Cerebrovasc Dis. 2020;29(7):104881. DOI: https://doi.org/10.1016/j.jstrokecerebrovasdis.2020.104881
Meyer D, Meyer B, Rapp K, Modir R, Agrawal K, Hailey L, et al. A Stroke Care Model at an Academic, Comprehensive Stroke Center During the 2020 COVID-19 Pandemic. J Stroke Cerebrovasc Dis. 2020; 29(8):104927. DOI: https://doi.org/10.1016/j.jstrokecerebrovasdis.2020.104927
De Silva D, Tan I, Thilarajah S. A protocol for acute stroke unit care during the COVID-19 pandemic. J Stroke Cerebrovasc Dis. 2020;29(9):105009. DOI: https://doi.org/10.1016/j.jstrokecerebrovasdis.2020.105009
Sedaghat Z, Karimi N. Guillain Barre syndrome associated with COVID-19 infection: A case report. J Clin Neurosci. 2020;76(6):233-5. DOI: https://doi.org/10.1016/j.jocn.2020.04.062
Toscano G, Palmerini F, Ravaglia S et al. Guillain-Barré Syndrome Associated with SARS-CoV-2. N Engl J Med. 2020;382(26):2574-6. DOI: https://doi.org/10.1056/NEJMc2009191
Alberti P, Beretta S, Piatti M, Karantzoulis A, Piatti ML, Santoro P, et al. Guillain-Barré syndrome related to COVID-19 infection. Neurol Neuroimmunol Neuroinflammation. 2020;7(4):741. DOI: https://doi.org/10.1212/NXI.0000000000000741
Chan M, Han S, Kelly S, Tamimi M, Giglio B, Lewis A. A case series of Guillain-Barré Syndrome Following COVID-19 Infection in New York. Neurol Clin Pract. 2020;10.1212/CP. DOI: https://doi.org/10.1212/CPJ.0000000000000880
Gutiérrez-Ortiz C, Méndez A, Rodrigo-Rey S, San Pedro-Murillo E, Bermejo-Guerrero L, Gordo-Mañas R, et al. Miller Fisher Syndrome and polyneuritis cranialis in COVID-19. Neurology. 2020;95(5):601-5. DOI: https://doi.org/10.1212/WNL.0000000000009619
Manganotti P, Pesavento V, Buoite Stella A, Bonzi L, Campagnolo E, Bellavita G, et al. Miller Fisher syndrome diagnosis and treatment in a patient with SARS-CoV-2. J Neurovirol. 2020;1-2. DOI: https://doi.org/10.1007/s13365-020-00858-9
Casas E, Barbosa A, Rubio-García E, Cebrián J, Díaz-Pérez C, de la Fuente E, et al. Isolated peripheral facial paralysis in a patient with COVID-19. Rev Neurol. 2020;71(1):40-1. DOI: https://doi.org/10.33588/rn.7101.2020229
Kobylecki C, Jones T, Lim C, Miller C, Thomson A. Phenomenology and outcomes of in-patients with Parkinson’s disease during COVID-19 pandemic. Mov Disord. 2020;35(8):1295-6. DOI: https://doi.org/10.1002/mds.28205
Zhang J, Hu W, Chen H, Meng F, Li L, Okun MS. Implementation of a Novel Bluetooth Technology for Remote Deep Brain Stimulation Programming: The Pre-and Post-COVID-19 Beijing Experience. Mov Disord. 2020;35(6):909-10. Doi: https://doi.org/10.1002/mds.28098
Goetz CG, Stebbins GT, Luo S. Movement Disorder Society-Unified Parkinson’s Disease Rating Scale Use in the COVID-19 Era. Mov Disord. 2020;35(6):911. DOI: https://doi.org/10.1002/mds.28094
Salari M, Zali A, Ashrafi F, Etemadifar M, Sharma S, Hajizadeh N, et al. Incidence of Anxiety in Parkinson’s Disease During the Coronavirus Disease (COVID-19) Pandemic. Mov Disord. 2020;35(7):1095-6.
Vollono C, Rollo E, Romozzi M, Frisullo G, Servidei S, Borghetti A, et al. Focal Status Eepilepticus as Unique Clinical Feature of COVID-19: a Case Report. Seizure. 2020;78:109-12. DOI: https://doi.org/10.1016/j.seizure.2020.04.009
Elgamasy S, Kamel MG, Ghozy S, Khalil A, Morra ME, Islam SMS. First Case of Focal Epilepsy Associated with SARS Coronavirus-2. J Med Virol. 2020;10.1002/jm
Libbey JE, Kirkman NJ, Smith MCP, Tanaka T, Wilcox KS, White HS, et al. Seizures Following Picornavirus Infection. Epilepsia. 2008;49(6):1066-74. DOI: https://doi.org/10.1111/j.1528-1167.2008.01535.x
Hepburn M, Mullaguri N, George P, Hantus S, Punia V, Bhimraj A, et al. Acute Symptomatic Seizures in Critically lll Patients with COVID-19: Is There an Association? Neurocrit Care. 2020; 1-5. DOI: https://doi.org/10.1007/s12028-020-01006-153
Cabezudo-García P, Ciano-Petersen NL, Mena-Vázquez N, Pons-Pons G, Castro-Sánchez MV, Serrano-Castro PJ. Incidence and Case Fatality Rate of COVID-19 in Patients with Active Epilepsy. Neurology. 2020;10.1212/WN. DOI: https://doi.org/10.1212/WNL.0000000000010033
Lu L, Xiong W, Liu D, Liu J, Yang D, Li N, et al. New Onset Acute Symptomatic Seizure and Risk Factors in Coronavirus Disease 2019: A Retrospective Multicenter Study. Epilepsia. 2020;61(6):49-e53. DOI: https://doi.org/10.1111/epi.16524
Kuroda N. Epilepsy and COVID-19: Associations and Important Considerations. Epilepsy Behav. 2020;108:107122. DOI: https://doi.org/10.1016/j.yebeh.2020.107122
Pati S, Houston T. Assessing the Risk of Seizures with Chloroquine or Hydroxychloroquine Therapy for COVID-19 in Persons with Epilepsy. Epilepsy Res. 2020;165:106399. DOI: https://doi.org/10.1016/j.eplepsyres.2020.106399
Kwan P, Arzimanoglou A, Berg A, Brodie M, Hauser W, Mathern G, et al. Definition of Drug Resistant Epilepsy: Consensus Proposal by the ad hoc Task Force of the ILAE Commission on Therapeutic Strategies. Epilepsia. 2010;51(6):1069-77. DOI: https://doi.org/10.1111/j.1528-1167.2009.02397.x
Olesen J. Headache Classification Committee of the International Headache Society (IHS) The International Classification of Headache Disorders, 3rd edition. Cephalalgia. 2018;38(1):1-211. DOI: https://doi.org/10.1177/0333102417738202
Yachou Y, El Idrissi A, Belapasov V, Ait S. Neuroin vasion, neurotropic, and neuroinflammatory events of SARS-CoV-2: understanding the neurological manifestations in COVID-19 patients. Neurol Sci. 2020;1-13. DOI: http://link.springer.com/10.1007/s10072-020-04575-3
Moore JB, June CH. Cytokine release syndrome in severe COVID-19. Science (80-). 2020;368(6490):473-4. DOI: https://doi.org/10.1126/science.abb8925
Benemei S, Dussor G. TRP channels and migraine: Recent developments and new therapeutic opportunities. Pharmaceuticals. 2019;12(2):1-17.
Baig A, Khaleeq A, Ali U, Syeda H. Evidence of the COVID-19 Virus Targeting the CNS: Tissue Distribution, Host-Virus Interaction, and Proposed Neurotropic Mechanisms. acs Chem Neurosci. 2020;11(7):995-8. DOI: https://doi.org/10.1021/acschemneuro.0c00122
Bolay H, Gül A, Baykan B. COVID-19 is a Real Headache! Headache. 2020;10.1111/he. DOI: https://doi.org/10.1111/head.13856
Borges do Nascimento IJ, Cacic N, Abdulazeem HM, von Groote TC, Jayarajah U, Weerasekara I, et al. Novel Coronavirus Infection (COVID-19) in Humans: A Scoping Review and Meta-Analysis. J Clin Med. 2020;9(4):941. DOI: https://doi.org/0.3390/jcm9040941
Whittaker A, Anson M, Harky A. Neurological Manifestations of COVID-19: A Systematic Review and Current Update. Acta Neurol Scand. 2020;142(1):14-22. DOI: https://doi.org/10.1111/ane.13266
Maassenvandenbrink A, De Vries T, Danser AHJ. Headache Medication and the COVID-19 Pandemic. J Headache Pain. 2020;21(1):1-4. DOI: https://doi.org/doi:10.1186/S10194-020-01106-5
Ratal S, Balakrishnan S, Gholamrezanezhad A. Neuroimaging and Neurologic Findings in COVID-19 and Other Coronavirus Infections: A Systematic Review in 116 Patients. J Neuroradiol. 2020;S0150-9861(20):30204-2.DOI:https://doi.org/10.1016/j.neurad.2020.06.007
Kremer S, Lersy F, Anheim M, Merdji H, Schenck M, Oesterlé H, et al. Neurologic and Neuroimaging Findings in COVID-19 Patients: A Retrospective Multicenter Study. Neurology. 2020;10.1212/WN. DOI: https://doi.org/10.1212/WNL.0000000000010112
Carod-Artal FJ. Neurological complications of coronavirus and COVID-19. Rev Neurol. 2020;70(9):311- 22. Disponible en: DOI: https://doi.org/10.33588/rn.7009.2020179
Moriguchi T, Harii N, Goto J, Harada D, Sugawara H. Since January 2020 Elsevier has created a COVID-19 resource centre with free information in English and Mandarin on the novel coronavirus COVID-19. The COVID-19 resource centre is hosted on Elsevier Connect, the company’s public news and information. 2020;(en).
Poyiadji N, Shahin G, Noujaim D, Stone M, Patel S GB. COVID-19-associated Acute Hemorrhagic Necrotizing Encephalopathy: Imaging Features. Radiology. 2020;296(2):119-20. DOI: https://doi.org/10.1148/radiol.2020201187
Notas